Abducent Nerve Palsy in Petrositis: A Review of Three Different Cases and Management Protocol
- 1. Department of Otorhinolaryngology, Vardhmann Mahavir Medical College and Safdarjung Hospital, New Delhi, India
ABSTRACT
Objective: To discuss the management and outcome of abducent nerve palsy in patients of apical petrositis associated with otitis media.
Results: Three cases of abducent nerve palsy with petrositis have been reported. Computed tomography (CT) scan of temporal bone demonstrated soft tissue opacification and expansion of mastoid and petrous air cells without bone erosion. Two patients recovered completely from diplopia by medical management and one underwent transcanal infracochlear hypotympanic approach for drainage of petrous apex because it did not respond to medical treatment. All patients had complete resolution of sixth nerve palsy.
Conclusion: With advancement of antibiotics, medical treatment should be initially offered to all patients of petrositis. Surgical intervention is reserved for patients, not responding to medical management. Transcanal infracochlear hypotympanic approach is an effective and safe method for drainage of petrous apex with complete recovery of sixth nerve with hearing preservation.
KEYWORDS
Petrositis, Sixth nerve palsy, Otitis media, Transcanal infracochlear approach
CITATION
Pradhan P, Bhardwaj A, Vashishth A (2015) Abducent Nerve Palsy in Petrositis: A Review of Three Different Cases and Management Protocol. Ann Otolaryngol Rhinol 2(8): 1056.
INTRODUCTION
Petrositis is an extension of infection from the mastoid air cell tract into a pneumatized anterior or posterior petrous apex. It has been estimated that posterior petrous apex is pneumatized in 33% of patients and anterior apex is pneumatized in 10% of patients [1]. Abducent nerve palsy in petrositis is the result of compression due to the inflammatory edema in the Dorello’s canal which is bounded by petrosphenoidal or Gruber’s ligament (posterior/superior), clivus (medial), and anteromedial sphenoid ridge (lateral) as described by Primo Dorello [2]. Again only a thin dura mater separates the sixth cranial nerve from the bony petrous apex and any inflammatory processes in that region leads to lateral rectus paralysis, and diplopia [3]. Classic clinical trial of petrous apicitis i.e. Gradenigo’s syndrome is very rarely observed these days [1]. Prior to the introduction of widely available antibiotics, petrositis was a frequently fatal complication of otitis media because if unrecognized, it can lead to meningitis, brain abscess, cranial nerve palsies, and venous sinus thrombosis [4]. Previously surgical decompression of petrous apex was the mainstay of treatment. But in recent years, with advancement of antibiotics, conservative approach is preferred over surgery and later has been reserved for patients not responding to medical treatment. We present a case series of petrositis and their response to both medical and surgical treatment.
CASE REPORT 1
A 20 year adult male presented with intermittent discharge and decreased hearing in the right ear for 8 months. Previous episodes of ear discharge had resolved with topical antibiotics (ofloxacin ear drops) prescribed at primary health centre. Otoscopic examination showed a small central perforation in the right ear. For 3 days, patient had history of double vision which was initially on right lateral gaze and over the course of hours; he developed a complete failure of abduction of the right eye. His neurological examination was normal, and a full systemic examination revealed no pathology,
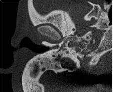
Aural discharge was sent for culture, found sterile. Highresolution computed tomography (HRCT) of temporal bone showed soft tissue opacification and expansion of mastoid and petrous air cells (Figure 1).
Figure 1: (Patient 1) High-resolution computed tomography (HRCT) of temporal bone (right) showing soft tissue opacification and expansion of mastoid and petrous air cells without any evidence of bony erosion.
Patient was treated with intravenous antibiotics (ceftriaxone 100mg/kg/day for one week), intravenous steroid (dexamethasone 20mg/day for 10 days followed by 10mg/day for 7 days and 4mg/day for 5 days and stopped) and topical antibiotics. Since he did not respond to medical treatment, surgical treatment was planned after one week. Petrous apex was drained by transcanal infracochlear hypotympanic approach. Complete return of sixth nerve palsy was noted on tenth post operative day. Patient is asymptomatic for last six months.
CASE REPORT 2
An 8 year male child presented with left otalgia, fever, headache for the 5 days and double vision for 4 days. Otoscopy revealed mucopurulent discharge in the left ear with a small central perforation. Overnight culture of aural discharge was found sterile. Audiogram showed conductive deafness in left ear. HRCT of the left temporal bone revealed soft tissue attenuation in epitympanum, mesotympanum extending to petrous apex without erosion of the adjacent bones (Figure 2).
Figure 2: (Patient 2) High resolution computed tomography of left temporal bone revealed soft tissue attenuation in epitympanum, mesotympanum involving petrous apex without any evidence of bone erosion.
Systemic examination including neurological examination was found normal. After making the diagnosis of apical petrositis, patient was treated with intravenous antibiotics (ceftriaxone 100mg/kg/day for one week), intravenous steroid (dexamethasone 20mg/day for 10 days followed by 10mg/day for 7 days and 4mg/day for 5 days and stopped) and topical antibiotics. Complete abducent nerve recovery was noted after 7 days of medical treatment. Patient is on regular follow-up for last 7 months and he is asymptomatic with a healed tympanic membrane.
CASE REPORT 3
A 30 year male presented with left ear discharge for 9 months, and double vision for 5 days. Previous episodes of ear discharge had resolved with topical antibiotics (ofloxacin ear drops) prescribed at primary health centre. Otoscopy showed a medium size perforation involving the anteroinferior and posteroinferior quadrants of pars tensa in the left ear. Ocular examination revealed left lateral rectus palsy. Aural culture was found sterile. Audiometry showed 30 dB conducting hearing loss in left ear. Computed tomography (CT) scan of temporal bone demonstrated soft tissue opacification of mastoid and petrous apical air cells without bone erosion. Patient was treated with intravenous antibiotics (ceftriaxone 100mg/kg/day for one week), intravenous steroid (dexamethasone 20mg/day for 10 days followed by 10mg/day for 7 days and 4mg/day for 5 days and stopped) and topical antibiotics. Complete nerve recovery was noted after five days of medical treatment. Patient underwent elective cortical mastoidectomy with tympanoplasty after one month for coalescent mastoiditis. Patient is on close follow-up in outpatient department and is asymptomatic for last 6 months.
DISCUSSION
Apical petrositis is the result of spread of infection from middle ear cleft to the petrous apex which can be directly through the petrous bone via air cells. Surgical drainage of mastoid and decompression of the petrous apex was considered as the main stay of treatment and complete recovery of sixth nerve palsy was found to be variable within 6 weeks [5]. Currently, with the development of newer antibiotics, the treatment modality has been shifted away from surgical intervention to more often conservative management. Thomas E Rossor et.al [6] reported a child with Gradenigo’s syndrome which was responded to conservative management (ceftriaxone with high dose dexamethasone) and complete recovery of abducent nerve was noted after 6 weeks. Surgical treatment is reserved for chronic infections not responding to conservative management [2,5,7]. Due to better intracranial penetration, third generation cephalosporins (cefotaxime 200mg/kg/day, ceftriaxone 100mg/ kg/day or ceftazidime (150mg/kg/day) can be successfully used for medical treatment. Kong SK et al. [8] managed successfully a patient with acute petrositis with intravenous antibiotics and ventilation tube, both showing complete recovery of sixth nerve. And Finkelstein et al. [9] also reported a 12-year-old boy with Gradenigo’s syndrome successfully treated with intravenous antibiotics and ventilation tube placement.
Here we have presented 3 cases of acute petrositis (duration of onset < one week), of which 2 cases were associated with chronic otitis media and one with acute otitis media. Irrespective of the duration of otorrhoea, all patients were initially subjected for conservative management. Complete recovery of sixth nerve was noticed in two cases within a week of conservative treatment. In the first case which did not improve with medical treatment for one week was planned for surgical drainage of petrous apex by transcanal infracochlear hypotympanic approach. It was initially proposed by Giddings NA et al. [10] in 1991 for drainage of cholesterol granuloma involving the anterior petrous apex.
Post auricular incision was made and a superiorly based tympanomeatal flap was elevated by giving incision at 10 ‘o’clock and 2 ‘o’ clock positions. Tympanomeatal flap was then folded anterior-superiorly and canaloplasty was performed to lower the inferior tympanic ring and the floor of the canal. The infracochlear air cell tract was identified bounded superiorly by the basal turn of the cochlea, anteriorly by the vertical segment of the internal carotid artery and inferiorly by the jugular bulb. The hypotympanic bone was then removed inferior medial to cochlea between internal carotid artery and jugular bulb towards the petrous apex using 2 mm diamond burr. Once drainage procedure was complete, a silastic stent was put into the path to facilitate ventilation and drainage. Tympanomeatal flap was reposited back and incision was closed. It is more conservative procedure to provide dependent drainage of the apical air cells with preservation of the normal hearing including the tympanic membrane. This procedure is relatively safer and simpler than middle cranial fossa approach because it avoids injury to greater superficial petrosal nerve, facial nerve, carotid artery and inner ear injury. In the current case series, of three patients, one had undergone drainage of petrous apex through transcanal infracochlear hypotympanic approach and complete recovery of abducent nerve was noticed after 10 days postoperatively.
CONCLUSION
Apical petrositis is a life threatening complication of otitis media. Though traditionally it has been treated by aggressive surgical method yet conservative treatment should be offered to all patients of petrositis irrespective of the chronicity of otitis media. Surgical intervention is warranted with non-responding petrositis complicating chronic/acute otitis media. Transcanal infracochlear hypotympanic approach is a safe and effective procedure to drain petrous apex offering satisfactory outcomes with preservation of residual hearing.

