Loading

Differential Diagnosis of Clival Lesions

Review Article | Open Access | Volume 4 | Issue 9

  • 1. Department of Otorhinolaryngology, Senhora da Oliveira Hospital, Portugal
  • 2. Department of Anatomy, University of Porto, Portugal
  • 3. Department of Otorhinolaryngology, Complexo Hospitalar Edmundo Vasconcelos, Brazil
  • 4. Department of Otolaryngology - Head and Neck Surgery, Federal University of São Paulo, Brazil
+ Show More - Show Less
Corresponding Authors
Jorge Rodrigues, Department of Otolaryngology, Senhora da Oliveira Hospital, Rua da Lagoa nº53,4905- 396 Barroselas, Viana do Castelo, Portugal, Tel: 00351- 964167236
ABSTRACT

Background and objectives: Solitary lesions of the clivus are uncommon and represent a diagnostic and therapeutic challenge. There is a wide range of  entities, with several behaviours, that can affect the central region of skull base. Imaging studies constitute an important tool in differentiating between malign,  benign and non-tumoral lesions. The aim of this study is to provide an overview of the clinical and radiological characteristics of clival lesions.
Subjects and methods: A literature review was conducted, with special attention to clinical and imaging features of the different diseases that can affect  the clivus. Clinical examples of some cases are also given.
Results: Chordoma is the most frequent lesion in this location, although they are difficult to distinguish from chondrosarcomas or metastases on CT scans  and MR images. Benign neoplasms can also be life-threatening and clinically undistinguishable from malignancies. Non-tumoral lesions can mimic neoplasms  and lead to unnecessary aggressive treatments.
Conclusion: Clival disorders comprise a large range of entities with different characteristics and behaviors. Imaging study allows an evaluation of the  tumor extent, a reliable distinction between benign and malignant processes and helps in the suspicious diagnosis. Despite imaging is an important supporting  element, a final diagnosis often cannot be found without histologic biopsy. 

KEYWORDS

• Clivus • Clival lesions

• Chordoma

• Chondrosarcoma

• Metastasis

CITATION

Rodrigues JF, da Silva FM, Mangussi-Gomes J, Marconato F, Dassi CS, et al. (2017) Differential Diagnosis of Clival Lesions – Literature Review of the Clinical and Radiological Features. Ann Otolaryngol Rhinol 4(9): 1200.

INTRODUCTION

The skull base forms the floor of the cranial cavity and separates the brain from facial structures. This complex region is composed by five bones and can be subdivided into three regions: the anterior, middle, and posterior cranial fossae. Tumors that arise in the skull base are usually classified based on this division.

The posterior cranial fossa is composed by the occipital bone, with contributions from the sphenoid and temporal bones. The basilar part of the occipital bone and the posterior portion of the sphenoid body form the clivus, which constitutes the most anterior region of the posterior fossa. The clivus occupies a central position in the skull base, establishing close relationships with the brainstem and other noble structures [1,2].

Lesions that arise from or within the clivus are rare and represented by a wide range of different diseases. There are different studies describing neoplastic processes – like chordoma, plasmacytoma, multiple myeloma, pituitary adenoma, chondrosarcoma, meningioma and metastatic tumors – or tumor-like conditions affecting the clival region – such as fibrous dysplasia. Most of these studies, however, are limited to single case reports or case series. Revision papers on this matter are scarce.

Although most of the lesions show a benign behaviour, clival diseases can be potentially devastating and life-threatening [3,4]. These tumours usually present as incidental imaging findings. Patients may complain of headache or cranial neuropathies, especially diplopia due to abducens nerve palsy. Then, other cranial nerves or the brainstem can be affected by compression and invasion.

Given the poor clinical presentation, imaging plays a pivotal role in achieving a correct diagnosis. High resolution computed tomography (CT) and magnetic resonance imaging (MRI) are helpful to differentiate between non-tumoral and tumoral conditions and in searching for malignant characteristics. They also evaluate the extension of the lesions and the invasion of adjacent structures. CT is more sensitive in the assessment of trabecular and cortical bone destruction and MRI allows visualization of bone marrow and soft tissue involvement [5].

Scintigraphy permits a functional approach in the research of other bone lesions. The Fluorodeoxyglucose - Positron Emission Tomography/Computed Tomography (FDG-PET/CT) scanning technique may be helpful in the evaluation of metabolic activity of the tumor and in the investigation of other involved structures.

A correct differential diagnosis of a clival lesion is important to define the most effective therapeutic or surgical approach. For a definitive diagnosis, biopsy or resection of the lesion followed by histopathologic analyses are usually necessary. However, this task can sometimes be difficult. That is why an accurate diagnosis needs a close cooperation between surgeons, radiologists, and pathologists in a real multidisciplinary team work [6].

This study aims to review the main differential diagnosis of the lesions that typically arise from the clivus and describe the imaging characteristics that can be helpful to perform a correct diagnosis.

Hyperintensity on T2-weighted images and strong contrast enhancement with gadolinium suggest chordoma and chondrosarcoma.

- Chordoma reacts with cytokeratin and EMA, whereas chondrosarcoma is negative for cytokeratin and EMA.

- Chordomas commonly enhance markedly with gadolinium, although EP does not show any enhancement with contrast addition.

DISCUSSION & CONCLUSION

Anatomy and Embryology

The term clivus was firstly used by von Sommerring in 1791 and it meaning “slope or declivity”. The clivus is a sloping bony structure that forms the anterior portion of the posterior cranial fossa, in a median position. It occupies a central part in the skull base and is bounded posteriorly by the margin of the foramen magnum. The anterior margin is not well defined, since it blends with the sphenoid sinus. The lateral margins are formed by the petro-occipital fissures, separating it from the petrous portion of the temporal bones. The exocranial surface of the clivus is roughened by the attachments of the fibrous raphe of the pharynx, giving rise to the pharyngeal tubercle and faces the roof of the nasopharynx. The intracranial surface is smooth and faces the pons and medulla [1,2]. The clivus is composed by the posterior portion of the body and then the dorsum sellae of the sphenoid bone, also called basisphenoid, and the basilar portion of the occipital bone, denominated basiocciput. This bony structure can be divided into upper, middle, and lower thirds. The upper third is formed by the basisphenoid bone and it is at the level of the sphenoid sinus. The middle and lower thirds are formed by the basiocciput and are divided by a line connecting the caudal ends of the petroclival fissures. Given its central position in the skull base, the clivus has close relationships with nervous and vascular structures. Lateral to the clivus is a groove for the inferior petrosal sinus, the foramen magnum and the internal carotid arteries. Superiorly, basilar artery and its branches run between the clivus and pons. The abducent nerve arises from the brainstem between the pons and medulla and passes forward, piercing the dura covering the clivus. Continuing upward in the Dorello’s canal, it crosses the superior edge of the petrous temporal bone, enters and crosses the cavernous sinus [1, 2, 7].

The clivus develops by endochondral ossification. The notochord in the cephalic region of the fetus has begun to develop by the third week of gestation. Chondrofication centres begin in the future basioocciput and spread superiorly to unite with cartilaginous centres in the region of the basiosphenoid. By the sixth week of fetal life, the basal portion of the sphenoid bone contains one or two ossification centers. At birth, the clivus consists of partially ossified components of the basioocciput and sphenoid body, separated by the spheno-ocipital synchondrosis. The synchondroses between the basilar and the lateral parts of the occipital component usually close very early, at between one and four years. However, the spheno-ocipital synchondrosis closes between 18 to 25 years. This synchondrosis, which is one of the last sutures in the body to fuse, has an important role in the postnatally growth of the skull base [1,2].

Normal Imaging of the Clivus.

Imaging study is determinant in detection and diagnosis of clival lesions. High resolution CT-scan and MRI are complementary techniques necessary to clarify and characterize the lesion. The clivus is best analysed in the sagittal and axial view. In a sagittal view, clivus seems a triangle with the base in the dorsum sellae and the apex pointed to the foramen magnum. A normal clivus appears on the CT-scan as a central portion of cancelllous bone with marrow bone elements, bounded by peripheral compact cortical bone. On the normal MRI, the signal intensity depends on the nature of the marrow in the cancellous bone. Young patients reveal a low T1 signal due to the predominance of the hematopoietic cells. With advancing age, occurs conversion of red to yellow bone marrow. With the fatty transformation of the bone marrow, the T1 signal becomes brighter in adults. Thus, hypointense T1-weighted images of the clivus relative to the pons should be considered suspicious in adults. On T2-weighted sequences, clivus is usually isointense relative to the pons. Commonly, contrast with gadolinium does not show a considerable enhancement in healthy patients [5].

Differential Diagnosis

Clival lesions comprise tumoral and non-tumoral pathologies. Malignant neoplasms are more common than benign tumours in this location. Despite the benign behaviour of some entities, they can also be life threatening by compression of noble structures. Chordomas are the most frequent in this region and represent about 40% of all cases. Non-chordomatous lesions are rare and much diversified [8]. The main differential diagnoses are presented in the Table (1).

Table 1: Differential diagnosis.

Malign Neoplasms Benign Neoplasms Non-tumoral lesions
Chordoma Pituitary adenoma Echordosis 
Physaliphora
Chondrossarcoma Petroclival 
meningioma
Fibrous dysplasia
Metastasis Osteoblastoma Dermoid cyst
Multiple myeloma Condroblastoma Epidermoid cyst
Plasmocytoma   Arachnoid cyst
Lymphoma   Neurenteric cyst
Osteosarcoma   Arachnoid herniation

Pituitary Adenomas

Pituitary adenomas are the most common cause of sellar and parasellar mass, comprising about 10 to 15% of all intracranial tumors. Despite histologically benign, they have the capacity to invade adjacent structures, such as: sphenoidal sinus, cavernous sinus, skull base or nasopharynx. The clivus invasion is rare and basisphenoid is the most commonly affected portion [9]. Ectopic pituitary adenomas are extremely unusual and arise from residual cells along the migration tract of the anterior portion of the pituitary gland, during passage from Rathke’s pouch to the sellaturcica. Ectopic locations include the suprasellar region, sphenoid sinus, cavernous sinus and clivus. In these cases pituitary gland is commonly normal. However, purely ectopic clival pituitary adenomas are exceedingly rare. Pituitary adenomas classically present with bitemporal hemianopsia, however ectopic adenomas usually do not, unless they involve the optic chiasm. Headache is a common complain, but it is unspecific and cannot distinguish a pituitary adenoma from other lesions. Invasive and ectopic pituitary adenomas can manifest as a clival neoplasm in the imaging study and lead to misdiagnosis [10-12]. CT-scan typically reveals an enhancing soft-tissue mass that shows bone destruction. On T1-weighted MRI, pituitary adenomas demonstrate an isointense to slightly hypointense mass that enhances after administration of contrast (Figure 1).

Figure 1 Coronal and sagittal T1-weighted images revealing a giant pituitary adenoma.

Figure 1: Coronal and sagittal T1-weighted images revealing a giant pituitary adenoma.

On T2-weighted images, they range from isointense to hyperintense, unless they contain intratumoral hemorrhage or cystic changes [13].

Petroclival Meningioma

Meningiomas are benign and slow-growing tumors that originate from the arachnoidal cells. The majority of them occur intracranially and they account for about 20% of all primary intracranial tumors in adults. Meningiomas are more frequent in women and their incidence increases with age. Intracranially meningiomas can be classified according place of origin and cellular type. The clivus is covered with dura mater, therefore it can be affected. Meningiomas at the center of the clivus proper are very uncommon. Petroclival meningiomas arise in the upper two thirds of the clivus at the petroclival junction, medial to the trigeminal nerve. They have a close relationship with the brainstem and large tumours can displace it or encase the basilar artery. The symptoms depend on the size of the tumor and they usually develop as a result of compression of surrounding structures. These patients commonly present with insidious onset of headache, seizures, unilateral hearing loss, facial sensory disturbances or trigeminal neuralgia [14,15]. The CT-scan reveals a hyperdense enhancing lesion and approximately a quarter of all cases demonstrate calcifications. CT-scan images may also be helpful in determining if the meningioma invades the bone, showing an intense hyperostotic bony response. T1-weighted MRI is generally isointense to slightly hypointense relative to the brain. Meningiomas vary from hypointense to hyperintense on T2-weighed images. Approximately 50% are isointense, 40% hyperintense and 10% hypointense relative to the gray matter. They reveal a strongly and homogeneous contrast enhancement, being the most sensitive method for detecting meningiomas. Angiography with vertebral and carotid studies is usually needed to elucidate the blood supply to the tumor and their relation with the major arterial branches [15, 16].

Fibrous Dysplasia

FD is a developmental disorder characterized by the progressive replacement of mature bone by fibrous tissue, caused by an abnormal proliferation and maturation of fibroblasts. This benign disease of unknown etiology results in the formation of woven and structurally weak bone. FD is more frequent in the first two decades of life and it may be present in the monostotic form (70%), affecting a single bone, or in the polyostotic form (30%), involving multiple bones. The polyostotic form can also occur as a part of McCune-Albright syndrome [17,18]. Craniofacial skeleton is involved in 30% of patients with monostotic disease and in 50% of patients with the polyostotic variant, affecting sphenoid, frontal, ethmoid, temporal and maxilla bones. FD rarely affects the clivus and when it occurs, does not seem to produce any functional limitation or aesthetic problem. However, clivus involvement may present headache, neck pain, craniocervical instability or hypoglossal nerve palsy [17,18].

Diagnosis of FD is based in the imaging findings and the high-resolution CT scan is the tool of choice. The characteristic appearance of the disease is ground-glass opacity, ballooning of the affected bone and thinning of the cortex. However, FD may present several patterns: ground glass, sclerotic, cystic or mixed pattern. The MRI appearance is less specific than CT. FD usually shows low signal intensity on T1-weighted images and variable signal intensity on T2-weighted images. Contrast enhancement is intermediate. This variation is determined by the disease activity, overall cellularity, extent of bone trabeculae, mineralization and cyst formation. Clival isolated lesions with low or intermediate signal intensity on T2-weighted MR imaging are rare. However, when FD presents high intensity on T2-weighted images, differential diagnosis is much more complex [19, 20].

Cysts and Herniations

Cysts are other important differential diagnoses in clival lesions. They can be divided in epidermoid, dermoid, neuroenteric and arachnoid cysts.

Epidermoid cysts are congenital lesions which result from inclusion of ectodermal elements during neural tube closure. They have a thin capsule of squamous epithelium and they can be smooth or lobulated. Internal components are often filled with desquamated epithelial keratin and cholesterol crystals. Epidermoid cysts are usually less sharply defined than arachnoid cysts and more heterogeneous. On MRI, the T1-weighted signal intensity tends to increase with the lipid content. The lesions are

usually isointense relative to cerebrospinal fluid (CSF) on T2- weighted images. Epidermoid cysts present markedly restricted diffusion, different from arachnoid cysts [21].

Dermoid cysts are inclusion cysts composed of ectodermal elements such as hair, fluid, skin glands and rich in fat. Low attenuation values are suggestive of the diagnosis of dermoid cyst on CT. They also are hyperintense on T1-weighted images and hypointense on T2-weighted images, similar to fat [22].

Neurenteric cysts are endoderm derived lesions with ovoid/ lobulated aspect. Neurenteric cysts of the clivus are unusual causes for clival masses. On CT-scan, they usually appear as a lytic lesion with intact cortex. The signal intensity depends of the protein content. They are isointense to slightly hyperintense compared with CSF on T1 W images, without contrast enhancement. Neurenteric cysts may show mild restriction on diffusion-weighted images [23].

Arachnoid cysts are avascular lesions containing CSF. Arachnoid cysts at the clivus are extremely rare. On the CT-scan, the margins of the lesion are well defined and sharp. They are unilocular, homogeneous, non enhancing and noncalcified and they present CSF density. On MRI, the signal is usually isoinense on T1and T2-weighted images [24].

Intracranial hypertension can originate arachnoid herniations or lead to spontaneous CSF leaks. Theses nontraumatic osseous defects occur most frequently within the ethmoid and sphenoid sinus. In the clivus, the defects usually penetrate the posterior wall of the sphenoid sinus allowing for small arachnoid pits to herniate into the sinus [24].

Chordoma

Chordomas are slow-growing malignant tumors that arise from notocord remnants along the length of the neuraxis. These neoplasms have an incidence about 0.08 per 100,000 and they are more frequent in fourth and fifth decades of life. Skull base appears to be responsible for about 40% of all chordomas and the clivus is commonly involved location [25, 26]. Chordomas are locally aggressive and tend to recur after surgical resection, however they rarely metastasize to distant sites. Patients with Clival chordoma usually present with headache and diplopia, secondary to abducent nerve palsy. Progressive compression and local invasion of the lesion may lead to other lower cranial nerve deficits [7, 26]. CT-scan typically shows an expansive soft-tissue mass arising from the intraosseous part of the clivus and causing extensive lytic bone destruction and showing intratumoral calcifications. Surrounding sclerosis is not common. There is heterogeneous enhancement following contrast administration. At MRI, chordomas are isointense to slightly hypointense on T1- weighted images and hyperintense on T2-weighted images, with areas of decreased signal intensity due to calcifications (Figure 2).

Figure 2 Intra-operative images of a clivalchordoma on neuronavigation system.

Figure 2: Intra-operative images of a clivalchordoma on neuronavigation system.

Contrast addiction reveals a strong enhancement in both techniques, distinguish it from Ecchordosisphysaliphora (EP) [26-28].

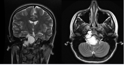
Chondrosarcoma

Chondrosarcomas are malignant mesenchymal tumors composed of cartilage-producing cells. They can be developed de novo, resulted of a malignant transformation of a chondroma or can be associated with other osseous diseases. These tumors are more frequent in men in the fourth decade of life. Intracranial chondrosarcomas are more common in the skull base, arising from chondrocytes within cartilaginous remnants in petroclival and spheno-occipital synchondroses. They represent about 6% of skull base neoplasms and they constitute a challenge, given their location. Despite they are overall slow growing, they manifest local aggressiveness. Skull base chondrosarcomas usually present with insidious onset headache and cranial nerve palsies such as hoarseness, dysphagia, diplopia, facial dysesthesia or hearing loss [29,30]. CT findings include enhancing soft-tissue mass with a calcified matrix, bone erosion and destruction and a sharp zone of transition to normal tissue. CT-scan is useful for detecting subtle calcifications in the matrix when the diagnosis is in doubt. On MRI, lesions are hypointense on T1-weighted images and hyperintense on T2-weighted images, relative to the brain (Figure 3).

Figure 3 Coronal and axial T2-weighted images showing an extensive Petroclival condrosarcoma.

Figure 3: Coronal and axial T2-weighted images showing an extensive Petroclival condrosarcoma.

The contrast enhancement is very strong. Neoplasms commonly exhibit heterogeneous internal areas of decreased signal, corresponding to internal calcifications [31].

Metastasis

Metastatic lesions to skull base are infrequent. Clivus metastases commonly arise from prostate, lung, breast and head and neck cancer. Hematogenous spread of cancer cells to the clivus can occur via two routes: a) through the Batson plexus into the internal vertebral venous plexus system, which communicates superiorly with the basilar plexus at the clivus; b) or via the inferior ophthalmic vein, which drain into the cavernous sinus and communicates with the inferior petrosal sinus and basilar plexus. Cranial neuropathies are the main expression of skull base metastases and abducens palsy can occur in the clivus invasion [31,32].

CT-scan of the clivus metastases reveals areas of lytic bone destruction, except prostatic cancer, which is usually osteoblastic. T1-weighted MRI shows replacement of normal bone marrow by material of decreased signal intensity. On T2- weighted images, metastases are generally hyperintense and the addition of contrast material usually reveals enhancement. However, imaging alone does not allow differentiation between primary and metastatic cancer. FDG-PET/CT has an important role in identifying an unknown primary or progression of a prior tumor [33,34].

Lymphoma, Plasmacytoma and Multiple Myeloma

Primary bone lymphoma is a rare malignancy, accounting for less than 5% of all primary bone tumors. Femur and pelvis are the most common affected locations, although the clivus can also be involved. CT-scan reveals a lytic or blastic-sclerotic pattern with cortical breakthrough and periosteal reaction. MRI reveals areas of low signal intensity within the marrow on T1-weighted images. These areas generally appear bright on T2-weighted sequences, as well as peri-tumoraloedema and reactive marrow changes [35].

Plasmacytoma and multiple myeloma are clonal neoplasms of terminally differentiated plasma cells. Plasmacytoma is a localized collection of plasma tumour cells and usually presents as a solitary lytic lesion. Multiple myeloma is a multifocal and destructive tumour involving the axial skeleton with features of osteolytic lesions, pathological fractures, hypercalcaemia, bone pain and serum monoclonal protein levels. The most commonly affected bones are the vertebrae, ribs, skull and pelvis. In the skull base, plasmacytomas can affect clivus as a solitary lesion of challenging diagnosis [36]. On CT-scan, these neoplasms appear as a punched-out lytic lesion without sclerotic rims and an expansive soft-tissue mass. On MRI, T1-weighted images generally show a focal hypointense area and T2-weighted images and gadolinium-enhanced images present a hiperintense focal lesion relative to the hypointense marrow background. Scintigraphy has a limited interest because mainly detect osteoblastic response of the skeleton and plasma cells tumours are osteolytic lesions, underestimating the extent of the disease [36]. The FDG-PET/CT shows focal uptake in the metabolically active lesion and allows the detection of other involved places in multiple myeloma. FDG-PET/CT also reveals different patterns of Fluorodeoxyglucose uptake, according the activity of the tumour. Plasmacytomas show a mild-intense signal, helping in the differential diagnoses of solitary clivus neoplasms [37].

Osteosarcoma

Osteosarcomas are the most common primary bone malignancies. They are highly aggressive lesions that comprise osteoid-producing spindle cells. Osteosarcomas usually occur in the second decade of life and may be associated with Paget disease, Fibrous dysplasia or prior radiation. Predominant locations are the metaphysis of long bones but skull base can also be affected. CT-scan reveals a destructive mass involving the clivus with multiple ossifications and slight contrast enhancement. On MRI, T1-weighted images show an isointense mass with expansive appearance and T2-weighted images are slightly hyperintense [38].

Chondroblastoma

Chondroblastomas are benign primary bone tumors that originate from chondroblasts. They typically develop in the epiphyses of long bones, however skull base including clivus can also be affected. Chondroblastomas usually present in the second decade of life, with a male predominance. When they implicate the clivus the patient can refers diplopia and headache. CT-scan reveals an osteolytic lesion with areas of punctate calcifications and sclerotic margins. On the MRI, they usually have low-to intermediate Intensity on T1 and low to-high intensity on T2 with variable contrast enhancement following gadolinium [39].

Osteoblastoma

Osteoblastomas are uncommon primary bone neoplasms with slow growing and benign behaviour. Clivus involvement is uncommon, but it can occur. CT-scan presents a wellcircumscribed osteolytic and multiloculated mass, mottled by calcifications and with an intact cortex. T1-weighted images are hopyintense and T2-weighted images are hyperintense with contrast enhancement [40].

Ecchordosis Physaliphora

Ecchordosisphysaliphora (EP) is a tumor-like congenital malformation which arises from ectopic notochordal remnants, located along the midline craniospinal axis, from the clivus to the sacrococcygeal region. Although these remnants usually have an intraosseous location, they occasionally perforate through the dorsal wall of the clivus. Intracranial EP is typically found in the prepontine cistern and attached to the dorsal wall of the clivus by a small pedicle. EP is habitually asymptomatic and found incidentally, however tumor expansion and compression of surrounding structures were reported in some cases [41,42].

On CT-scan, these lesions reveal focal sclerosis without bone destruction, different from chordomas. EP is well-circumscribed and homogeneously hypointense on T1-weighted images and hyperintense on T2-weighted images, without enhancement after gadolinium addition. This lack of enhancement is also useful to distinguish it from chordomas and other malignant tumours [42, 43].

DIFERENTIAL DIAGNOSIS

Clivus is a sloping structure that forms the anterior portion of the posterior cranial fossa, in the center of the skull base. Due to its strategic location and its embryologic origin, some disorders typically affect the clivus. Clival lesions are rare and they represent a wide range of pathologies, including nontumoral lesions, benign and malign neoplasms. Chordomas account for about 40% of all entities, although it is often difficult to distinguish them from non-chordomatous lesions [2, 8].

Clinical symptoms and signs of clival disease are nonspecific or absent. Headache and cranial neuropathies, especially abducent nerve palsy, are the most common complains. Furthermore, these lesions often present as an incidental imaging finding [3].

Imaging study constitutes a useful tool in differential diagnosis. CT-scan is the best exam for evaluating cortical bone and for demonstrating the detailed anatomy of the cortical margins of the clivus. However, CT has less sensitivity in evaluating bone marrow space involvement until significant marrow infiltration and subsequent trabecular bone loss has occurred. CT-scan is important in primary bone lesions, distinguishing bone tumors from fibrous dysplasia or other bone disease. One the other hand, MRI is more sensitive in assessing bone marrow signal abnormalities in the skull base and in discriminating soft tissue. In adults, hypointense T1-weighted images of the clivus relative to the pons should be considered suspicious. On T2- weighted sequences, clivus is usually isointense relative to the pons [5]. Hyperintensity on T2-weighted images and strong contrast enhancement with gadolinium suggest chordoma and chondrosarcoma (Table 2).

 Table 2: Imagological characteristics of different lesions.

Histological Diagnosis CT T1-MRI T2-MRI Contrast Enhancement Type of Enhancement
Chordoma Osteolytic Hypo/Isointense Hyperintense High Heterogeneous
Chondrosarcoma Osteolytic Hypointense Hyperintense High Heterogeneous
Metastasis Osteolytic/ Osteoblastic Hypointense Hyperintense High Heterogeneous
Lymphoma Osteolytic/ Osteoblastic Hypointense Hyperintense High Heterogeneous
Lymphoma Osteolytic Hypointense Hyperintense High Heterogeneous
Multiple Myeloma Osteolytic Hypointense Hyperintense High Heterogeneous
Osteossarcoma Osteolytic Isointense Hyperintense High Heterogeneous
Pituitary Adenoma Osteolytic Hypo/Isointense Variable Variable Heterogeneous
Petroclival Meningioma Osteoblastic Hypo/Isointense Variable High Homogeneous
Condroblastoma Osteolytic Hypo/Isointense Variable Variable Variable 
Osteoblastoma Osteolytic Hypointense Hyperintense High Heterogeneous
EchordosisPhysalyphora Focal Sclerosis Hypointense Hyperintense No no
Fibrous Dysplasia Osteoblastic
Several Paterns
Hypointense Variable Moderate Heterogeneous
Cyst Osteolytic Variable Variable Variable  Variable

MRI also gives additional information about dural infiltration and the intracerebral origin of the tumor [5, 31]. Despite imaging study, a final diagnosis cannot be achieved without histologic analyses because, sometimes, lesions are radiologically difficult to specify. Thus, an accurate diagnosis remains a challenge and needs a close cooperation between surgeon, radiologist, and pathologist in a multidisciplinary team work.

Chordomas and chondrosarcomas are difficult to distinguish because both of them present hypointense signal on T1-weighted images, hyperintense signal on T2-weighted images and contrast enhancement with gadolinium [26, 29]. Thus, definitive diagnosis is based on the immunohistochemical study. Chordoma reacts with cytokeratin and epithelial membrane antigen (EMA), whereas chondrosarcoma is negative for cytokeratin and EMA [44]. Clival metastases also are an important differential diagnosis. They can occur in the context of a known history of a distant malignancy or can be the presenting symptom. Imaging alone does not allow differentiation between primary and metastatic cancer. FDG-PET/CT may help in identifying an unknown primary or progression of a prior tumor [33,34]. FDG-PET/CT is also useful on plasma cells neoplasms because it reveals different patterns of Fluorodeoxyglucose uptake and allows the detection of other involved places in multiple myeloma. Plasmacytomas show a mild-intense uptake, different from other clival lesions [37]. The histologic and immunohistochemistry similarity reinforce the possibility that chordomas may arise from EP. On MRI study, chordomas commonly enhance markedly with gadolinium, although EP does not show any enhancement with contrast addition [42,43]. Non-tumoral lesions as FD or cysts also need to be considered in the differential diagnosis. Given their very slow growth potential, asymptomatic FD of the clivus and cysts can be usually treated with clinical observation [36].

CONCLUSION

Clival disorders comprise a large range of entities with different characteristics and behaviors. The knowledge of these pathologies is crucial to establish a correct workup and achieved the right diagnosis. Imaging study allows an evaluation of the tumor extent, a reliable distinction between benign and malignant processes and helps in the suspicious diagnosis. Despite imaging is an important supporting element, a final diagnosis often cannot be found without histologic biopsy. Thus, it is necessary a multidisciplinary team with close cooperation between surgeon, radiologist and pathologist to achieved the correct diagnosis.

REFERENCES

1. Kbksel T, Crockard HA. Clivus – through the eyes of the transoral surgeon. No Shinkei Geka. 1998; 26:169-175.

2. Standring S. Head and neck: intracranial region. In: Standring S, ed. Gray’s Anatomy: The Anatomical Basis of Clinical Practice.40th ed. London, England: Churchill Livingstone/Elsevier. 2008: 429.

3. Borges A. Skull base tumours: Part II. Central skull base tumours and intrinsic tumours of the bony skull base.Eur J Radiol. 2008; 66: 348- 362.

4. Hofmann E, Prescher A. The clivus: anatomy, normal variants and imaging pathology. Clin Neuroradiol. 2012? 22: 123-139.

5. Laine FJ, Nadel L, Braun IF. CT and MR imaging of the central skull base. Part 1: Techniques, embryologic development, and anatomy. Radiographics. 1990; 10: 591-602.

6. Yuh S, Woulfe J, Corsten MJ, Carrau RL, Prevedello DM, Kassam AB. Diagnostic Imaging Dilemma of a Clival Lesion and Its Clinical Management Implications. J Neurol Surg. 2014; 75: 177–182.

7. Stamm AC, Balsalobre L, Hermann D. Endonasal endoscopic approach to clival and posterior fossa chordomas. Oper Tech Otolaryngol Head Neck Surg. 2011; 22: 274–280.

8. Chambers KJ, Lin DT, Meier J, Remenschneider A, Herr M, Gray ST. Incidence and survival patterns of cranial chordoma in the United States. Laryngoscope. 2014; 124: 1097–1102.

9. Di Maio S, Temkin N, Ramanathan D, Sekhar LN. Current comprehensive management of cranial base chordomas: 10-year meta-analysis of observational studies. J Neurosurg. 2011; 115: 1094–1105.

10. Mangussi-Gomes J, Beer-Furlan A, Balsalobre L, Vellutini E, Stamm A. Endoscopic Endonasal Management of Skull Base Chordomas. Surgical Technique, Nuances, and Pitfalls. Otolaryngol Clin N Am. 2016; 49: 167–82.

11. Erdem E, Angtuaco EC, Van Hemert R, Park JS, Al-Mefty O. Comprehensive review of intracranial chordoma. Radiographics. 2003; 23: 995–1009.

12. Meyers SP1, Hirsch WL Jr, Curtin HD, Barnes L, Sekhar LN, Sen C. Chordomas of the skull base: MR features. AJNR Am J Neuroradiol. 1992; 13: 1627–1636.

13. Korten AG, ter Berg HJ, Spincemaille GH, van der Laan RT, Van de Wel AM. Intracranial chondrosarcoma: review of the literature and report of 15 cases. J Neurol Neurosurg Psychiatry. 1998; 65: 88–92.

14. Lau DP, Wharton SB, Antoun NM, Bottrill ID, Moffat DA. Chondrosarcoma of the petrous apex. Dilemmas in diagnosis and treatment. J Laryngol Otol. 1997; 111: 368–371.

15. Ginsberg LE. Neoplastic diseases affecting the central skull base: CT and MR imaging. AJR Am J Roentgenol. 1992; 159: 581-589.

16. Pallini R, Sabatino G, Doglietto F, Lauretti L, Fernandez E, Maira G. Clivus metastases: report of seven patients and literature review. Acta Neurochir. 2009; 151: 291–296.

17. Gangadhar K, Santhosh D. Radiopathological evaluation of primary malignant skull tumors: a review. Clin Neurol Neurosurg. 2012; 114: 833–839.

18. Fogelman I, Cook G, Israel O, Van der Wall H. Positron emission tomography and bone metastases. SeminNucl Med. 2005; 35: 135– 142.

19. Krishnan A, Shirkhoda A, Tehranzadeh J, Armin AR, Irwin R, Les K. Primary bone lymphoma: radiographic-MR imaging correlation. Radiographics. 2003; 23: 1371-1383.

20. Angtuaco E, Fassas A. Multiple Myeloma: clinical review and diagnostic imaging. Radiology. 2004; 231:11-23.

21. Cistaro A, Durando S, Pazè F, Limberti A, Cogoni M, Junemann C, et al. Expansive Masses Arising From TheClivus: The Role of FDG-PET/CT in The Metabolic Assessment of Skeletal Lesions. J Radiol Case Rep. 2009; 3: 33-40.

22. Park YK, Yang MH, Choi WS, Lim YJ. Well-differentiated, low-grade osteosarcoma of the clivus. Skeletal Radiol. 1995; 24: 386-388.

23. Terada T, Kovacs K, Stefaneanu L, Horvath E. Incidence, pathology, and recurrence of pituitary adenomas: study of 647 unselected surgical cases. Endocrine Pathology. 1995; 6: 301–310.

24. De Witte O, Massager N, Salmon I, Meyer S, Dooms G, Brotchi J. Ectopic prolactinoma in the clivus. Acta Chir Belg. 1998; 98: 10–13.

25. Anand VK, Osborne M, Harkey HL. Infiltrative clival pituitary adenoma of ectopic origin. Otolaryngol Head Neck Surg. 1993; 108: 178–183.

26. Wong K, Raisanen J, Taylor SL, McDermott MW, Wilson CB, Gutin PH. Pituitary adenoma as an unsuspected clival tumor. Am J Surg Pathol. 1995; 19: 900-903.

27. Connor SE, Wilson F, Hogarth K. Magnetic resonance imaging criteria to predict complete excision of parasellar pituitary macroadenoma on postoperative imaging. J Neurol Surg B Skull Base. 2014; 75: 41-46.

28. Lobato RD, Gonzalez P, Alday R, Ramos A, Lagares A, Alen JF, et al. Meningiomas of the posterior fossa. Surgical experience in 80 cases. Neurocirurgia. 2004; 15: 525-542.

29. Kawse T, Shiobara R, Ohira T, Toya S. Developmental patterns and characteristic symptoms of petroclivalmeningiomas. Neurol Med Chir. 1996; 36:1-6.

30. Kim KS, Rogers LF, Goldblatt D. CT features of hyperostosing meningioma en plaque. AJR Am J Roentgenol. 1987; 149: 1017-1023.

31. Liu J, Ahmadpour A, Bewley AF, Lechpammer M, Bobinski M, Shahlaie K. Chondroblastoma of the Clivus: Case Report and Review. J Neurol Surg Rep. 2015; 76: 258-264.

32. Kroon HM, Schurmans J. Osteoblastoma: clinical and radiologic findings in 98 new cases. Radiology. 1990; 175: 783-790.

33. Rodriguez L, Colina J, Lopez J, Molina O, Cardozo J. Intradural prepontine growth: giant ecchordosisphysaliphora or extraosseouschordoma? Neuropathology. 1999; 19: 336–340.

34. Mehnert F, Beschorner R, Küker W, Hahn U, Nägele T. Retroclival ecchordosisphysaliphora: MR imaging and review of the literature. Am J Neuroradiol. 2004; 25:1851–1855.

35. Toda H, Kondo A, Iwaski K. Neuroradiological characteristics of ecchordosisphysaliphora: case report and review of the literature. J Neurosurg. 1998; 89: 830–834.

36. Adada B, Al-Mefty O. Fibrous dysplasia of the clivus. Neurosurgery. 2003; 52: 318–322.

37. Levy ML, Chen TC, Weiss MH. Monostotic fibrous dysplasia of the clivus. Case report. J Neurosurg. 1991; 75: 800-803.

38. Atalar M, Ozum U. Monostotic fibrous dysplasia of the clivus: imaging findings. Turk Neurosurg. 2010; 20: 77-81.

39. Sirvanci M, Karaman K, Onat L, Duran C, Ulusoy OL. Monostotic fibrous dysplasia of the clivus: MRI and CT findings. Neuroradiology. 2002; 44: 847–850.

40. Kallmes DF, Provenzale JM, Cloft HJ, McClendon RE. Typical and atypical MR imaging features of intracranial epidermoid tumors. AJR Am J Roentgenol. 1997; 169: 883-887.

41. Orakcioglu B, Halatsch ME, Fortunati M, Unterberg A, Yonekawa Y. Intracranial dermoid cysts: variations of radiological and clinical features. Acta Neurochir. 2008; 150:1227-1234.

42. Kapoor V, Johnson DR, Fukui MB, Rothfus WE, Jho HD. Neuroradiologicpathologic correlation in a neurenteric cyst of the clivus. AJNR Am J Neuroradiol. 2002; 23: 476–479.

43. Schuknecht B, Simmen D, Briner HR, Holzman D. Nontraumatic skull base defects with spontaneous CSF rhinorrhea and arachnoid herniation: imaging findings and correlation with endoscopic sinus surgery in 27 patients. Am J Neurorad. 2008; 29: 542-549.

44. Rosenberg AE, Nielsen GP, Keel SB, Renard LG, Fitzek MM, Munzenrider JE, et al. Chondrosarcoma of the base of the skull: a clinicopathologic study of 200 cases with emphasis on its distinction from chordoma. Am J Surg Pathol. 1999; 23: 1370–1378.

Rodrigues JF, da Silva FM, Mangussi-Gomes J, Marconato F, Dassi CS, et al. (2017) Differential Diagnosis of Clival Lesions – Literature Review of the Clinical and Radiological Features. Ann Otolaryngol Rhinol 4(9): 1200.

Received : 21 Oct 2017
Accepted : 27 Nov 2017
Published : 30 Nov 2017
Journals
Annals of Otolaryngology and Rhinology
ISSN : 2379-948X
Launched : 2014
JSM Schizophrenia
Launched : 2016
Journal of Nausea
Launched : 2020
JSM Internal Medicine
Launched : 2016
JSM Hepatitis
Launched : 2016
JSM Oro Facial Surgeries
ISSN : 2578-3211
Launched : 2016
Journal of Human Nutrition and Food Science
ISSN : 2333-6706
Launched : 2013
JSM Regenerative Medicine and Bioengineering
ISSN : 2379-0490
Launched : 2013
JSM Spine
ISSN : 2578-3181
Launched : 2016
Archives of Palliative Care
ISSN : 2573-1165
Launched : 2016
JSM Nutritional Disorders
ISSN : 2578-3203
Launched : 2017
Annals of Neurodegenerative Disorders
ISSN : 2476-2032
Launched : 2016
Journal of Fever
ISSN : 2641-7782
Launched : 2017
JSM Bone Marrow Research
ISSN : 2578-3351
Launched : 2016
JSM Mathematics and Statistics
ISSN : 2578-3173
Launched : 2014
Journal of Autoimmunity and Research
ISSN : 2573-1173
Launched : 2014
JSM Arthritis
ISSN : 2475-9155
Launched : 2016
JSM Head and Neck Cancer-Cases and Reviews
ISSN : 2573-1610
Launched : 2016
JSM General Surgery Cases and Images
ISSN : 2573-1564
Launched : 2016
JSM Anatomy and Physiology
ISSN : 2573-1262
Launched : 2016
JSM Dental Surgery
ISSN : 2573-1548
Launched : 2016
Annals of Emergency Surgery
ISSN : 2573-1017
Launched : 2016
Annals of Mens Health and Wellness
ISSN : 2641-7707
Launched : 2017
Journal of Preventive Medicine and Health Care
ISSN : 2576-0084
Launched : 2018
Journal of Chronic Diseases and Management
ISSN : 2573-1300
Launched : 2016
Annals of Vaccines and Immunization
ISSN : 2378-9379
Launched : 2014
JSM Heart Surgery Cases and Images
ISSN : 2578-3157
Launched : 2016
Annals of Reproductive Medicine and Treatment
ISSN : 2573-1092
Launched : 2016
JSM Brain Science
ISSN : 2573-1289
Launched : 2016
JSM Biomarkers
ISSN : 2578-3815
Launched : 2014
JSM Biology
ISSN : 2475-9392
Launched : 2016
Archives of Stem Cell and Research
ISSN : 2578-3580
Launched : 2014
Annals of Clinical and Medical Microbiology
ISSN : 2578-3629
Launched : 2014
JSM Pediatric Surgery
ISSN : 2578-3149
Launched : 2017
Journal of Memory Disorder and Rehabilitation
ISSN : 2578-319X
Launched : 2016
JSM Tropical Medicine and Research
ISSN : 2578-3165
Launched : 2016
JSM Head and Face Medicine
ISSN : 2578-3793
Launched : 2016
JSM Cardiothoracic Surgery
ISSN : 2573-1297
Launched : 2016
JSM Bone and Joint Diseases
ISSN : 2578-3351
Launched : 2017
JSM Bioavailability and Bioequivalence
ISSN : 2641-7812
Launched : 2017
JSM Atherosclerosis
ISSN : 2573-1270
Launched : 2016
Journal of Genitourinary Disorders
ISSN : 2641-7790
Launched : 2017
Journal of Fractures and Sprains
ISSN : 2578-3831
Launched : 2016
Journal of Autism and Epilepsy
ISSN : 2641-7774
Launched : 2016
Annals of Marine Biology and Research
ISSN : 2573-105X
Launched : 2014
JSM Health Education & Primary Health Care
ISSN : 2578-3777
Launched : 2016
JSM Communication Disorders
ISSN : 2578-3807
Launched : 2016
Annals of Musculoskeletal Disorders
ISSN : 2578-3599
Launched : 2016
Annals of Virology and Research
ISSN : 2573-1122
Launched : 2014
JSM Renal Medicine
ISSN : 2573-1637
Launched : 2016
Journal of Muscle Health
ISSN : 2578-3823
Launched : 2016
JSM Genetics and Genomics
ISSN : 2334-1823
Launched : 2013
JSM Anxiety and Depression
ISSN : 2475-9139
Launched : 2016
Clinical Journal of Heart Diseases
ISSN : 2641-7766
Launched : 2016
Annals of Medicinal Chemistry and Research
ISSN : 2378-9336
Launched : 2014
JSM Pain and Management
ISSN : 2578-3378
Launched : 2016
JSM Women's Health
ISSN : 2578-3696
Launched : 2016
Clinical Research in HIV or AIDS
ISSN : 2374-0094
Launched : 2013
Journal of Endocrinology, Diabetes and Obesity
ISSN : 2333-6692
Launched : 2013
Journal of Substance Abuse and Alcoholism
ISSN : 2373-9363
Launched : 2013
JSM Neurosurgery and Spine
ISSN : 2373-9479
Launched : 2013
Journal of Liver and Clinical Research
ISSN : 2379-0830
Launched : 2014
Journal of Drug Design and Research
ISSN : 2379-089X
Launched : 2014
JSM Clinical Oncology and Research
ISSN : 2373-938X
Launched : 2013
JSM Bioinformatics, Genomics and Proteomics
ISSN : 2576-1102
Launched : 2014
JSM Chemistry
ISSN : 2334-1831
Launched : 2013
Journal of Trauma and Care
ISSN : 2573-1246
Launched : 2014
JSM Surgical Oncology and Research
ISSN : 2578-3688
Launched : 2016
Annals of Food Processing and Preservation
ISSN : 2573-1033
Launched : 2016
Journal of Radiology and Radiation Therapy
ISSN : 2333-7095
Launched : 2013
JSM Physical Medicine and Rehabilitation
ISSN : 2578-3572
Launched : 2016
Annals of Clinical Pathology
ISSN : 2373-9282
Launched : 2013
Annals of Cardiovascular Diseases
ISSN : 2641-7731
Launched : 2016
Journal of Behavior
ISSN : 2576-0076
Launched : 2016
Annals of Clinical and Experimental Metabolism
ISSN : 2572-2492
Launched : 2016
Clinical Research in Infectious Diseases
ISSN : 2379-0636
Launched : 2013
JSM Microbiology
ISSN : 2333-6455
Launched : 2013
Journal of Urology and Research
ISSN : 2379-951X
Launched : 2014
Journal of Family Medicine and Community Health
ISSN : 2379-0547
Launched : 2013
Annals of Pregnancy and Care
ISSN : 2578-336X
Launched : 2017
JSM Cell and Developmental Biology
ISSN : 2379-061X
Launched : 2013
Annals of Aquaculture and Research
ISSN : 2379-0881
Launched : 2014
Clinical Research in Pulmonology
ISSN : 2333-6625
Launched : 2013
Journal of Immunology and Clinical Research
ISSN : 2333-6714
Launched : 2013
Annals of Forensic Research and Analysis
ISSN : 2378-9476
Launched : 2014
JSM Biochemistry and Molecular Biology
ISSN : 2333-7109
Launched : 2013
Annals of Breast Cancer Research
ISSN : 2641-7685
Launched : 2016
Annals of Gerontology and Geriatric Research
ISSN : 2378-9409
Launched : 2014
Journal of Sleep Medicine and Disorders
ISSN : 2379-0822
Launched : 2014
JSM Burns and Trauma
ISSN : 2475-9406
Launched : 2016
Chemical Engineering and Process Techniques
ISSN : 2333-6633
Launched : 2013
Annals of Clinical Cytology and Pathology
ISSN : 2475-9430
Launched : 2014
JSM Allergy and Asthma
ISSN : 2573-1254
Launched : 2016
Journal of Neurological Disorders and Stroke
ISSN : 2334-2307
Launched : 2013
Annals of Sports Medicine and Research
ISSN : 2379-0571
Launched : 2014
JSM Sexual Medicine
ISSN : 2578-3718
Launched : 2016
Annals of Vascular Medicine and Research
ISSN : 2378-9344
Launched : 2014
JSM Biotechnology and Biomedical Engineering
ISSN : 2333-7117
Launched : 2013
Journal of Hematology and Transfusion
ISSN : 2333-6684
Launched : 2013
JSM Environmental Science and Ecology
ISSN : 2333-7141
Launched : 2013
Journal of Cardiology and Clinical Research
ISSN : 2333-6676
Launched : 2013
JSM Nanotechnology and Nanomedicine
ISSN : 2334-1815
Launched : 2013
Journal of Ear, Nose and Throat Disorders
ISSN : 2475-9473
Launched : 2016
JSM Ophthalmology
ISSN : 2333-6447
Launched : 2013
Journal of Pharmacology and Clinical Toxicology
ISSN : 2333-7079
Launched : 2013
Annals of Psychiatry and Mental Health
ISSN : 2374-0124
Launched : 2013
Medical Journal of Obstetrics and Gynecology
ISSN : 2333-6439
Launched : 2013
Annals of Pediatrics and Child Health
ISSN : 2373-9312
Launched : 2013
JSM Clinical Pharmaceutics
ISSN : 2379-9498
Launched : 2014
JSM Foot and Ankle
ISSN : 2475-9112
Launched : 2016
JSM Alzheimer's Disease and Related Dementia
ISSN : 2378-9565
Launched : 2014
Journal of Addiction Medicine and Therapy
ISSN : 2333-665X
Launched : 2013
Journal of Veterinary Medicine and Research
ISSN : 2378-931X
Launched : 2013
Annals of Public Health and Research
ISSN : 2378-9328
Launched : 2014
Annals of Orthopedics and Rheumatology
ISSN : 2373-9290
Launched : 2013
Journal of Clinical Nephrology and Research
ISSN : 2379-0652
Launched : 2014
Annals of Community Medicine and Practice
ISSN : 2475-9465
Launched : 2014
Annals of Biometrics and Biostatistics
ISSN : 2374-0116
Launched : 2013
JSM Clinical Case Reports
ISSN : 2373-9819
Launched : 2013
Journal of Cancer Biology and Research
ISSN : 2373-9436
Launched : 2013
Journal of Surgery and Transplantation Science
ISSN : 2379-0911
Launched : 2013
Journal of Dermatology and Clinical Research
ISSN : 2373-9371
Launched : 2013
JSM Gastroenterology and Hepatology
ISSN : 2373-9487
Launched : 2013
Annals of Nursing and Practice
ISSN : 2379-9501
Launched : 2014
JSM Dentistry
ISSN : 2333-7133
Launched : 2013
Author Information X