Loading

Granulomatous Hypertrophy of the Lingual Tonsil

Case Report | Open Access | Volume 3 | Issue 8

  • 1. Department of Ear and Oral Diseases, Tampere University, Finland
  • 2. Department of Otorhinolaryngology, Tampere University, Finland
  • 3. Department of Internal Medicine, Tampere University, Finland
+ Show More - Show Less
Corresponding Authors
Argyro Bizaki, Tampere University, Department of Ear and Oral Diseases, P.O. Box: 2000, 33 521 Tampere, Finland, Tel: 358331164929
ABSTRACT

This is a case report about the non-caseating necrotizing granulomatous  inflammation of the lingual tonsil. Without any past medical history, a young woman  presented with severe dysphagia and difficult of breathing. No malignancy or abscess  was found. However, the inflammation was resistant to treatment and it required  repeated high doses of corticosteroids. After a detailed throughout diagnostic scan,  mononucleosis was claimed to be the most possible causative agent of the noncaseating necrotizing granulomatous inflammation.

KEYWORDS

• Glossal tonsil

• Inflammation

• Orofacial Granulomatosis

• Granulomas

• Sarcoidosis

CITATION

Bizaki A, Salonen T, Numminen J, Rautiainen M (2016) Granulomatous Hypertrophy of the Lingual Tonsil. Ann Otolaryngol Rhinol 3(8): 1123.

ABBREVIATIONS

EPG: Epithelioid Granulomas; RSV: Respiratory Syncytial Virus; EBV: Epstein-Barr; CMV: Cytomegalovirus; HIV: Human Immunodeficiency Virus, WBC: White Blood Cells; CRP: C-Reactive Protein; ACE: Angiotensin Converting Enzyme; MRI: Magnetic Resonance Tomography; CT: Computer Tomography; CCPAb: Cyclic Citrullinated Peptide Antibody; ENT: Ear Nose and Throat; PPI: Proton Pump Inhibitor; RF: Rheumatoid Factor.

INTRODUCTION

Granulomas are noticeably complex inflammatory foci that sequester organisms or other substances that are resistant to degradation. While a large number of granulomatous disorders are recognized, infections are clearly the most common underlying causative agents of granulomas [1]. Waldeyer’s tonsillar ring is uncommonly affected by granulomatous inflammation. Orofacial granulomatosis characterized by noncaseating granulomatous inflammation affecting the soft tissues of the oral and maxillofacial region. It has been strongly associated with Crohn’S disease [2-11]. Based on a Japanese study, three types of epithelioid granulomas (EPG) have been identified: (i) poorly demarcated small epithelioid cell granulomas; (ii) welldemarcated non-caseating sarcoid-like granulomas; and (iii) EPGs with suppurations at the center [12].

Based on other study gram-positive cocci that included a streptococci are not usually causative agents of tonsillar granulomatous inflammation [13]. The causative form of tonsillar EPGs having central suppurations remains unclear. It seems that tonsillar EPGs are not so common and they show histological variation. According to histochemical and clinical follow-up information, the etiology of granulomas includes Sarcoidosis, Tuberculosis, Hodgkin’s lymphoma, Toxoplasmosis and Squamous cell carcinoma. However, in a large number of cases, the cause remains unknown [14].

CASE PRESENTATION

Patient history

A healthy 24-year-old woman presented with dysphagia, sore throat, high fever and abdominal pain that had lasted for a week, in addition to some subjective shortness of breath. The patient had no allergies and, with the exception of oral contraceptives, took no medication. Tonsillectomy was performed at the age of 16 (because of hypertrophy) and appendectomy at the age of 18 (the appendix was normal but mesenteric lymphadenitis was found).

Clinical examination

Clinical examination at the time of initial presentation, revealed neck lymphadenopathy, a swollen lingual tonsil covered in white spots, purulent mucous in the nasopharynx and edematous epiglottis. There was also some redness in the mucosal of the oropharynx. Indirect laryngoscopy and flexible laryngoscopy revealed normal cords and arytenoid cartilages.

Laboratory tests

Blood test results revealed severe leukocytosis (WBC = 29.6 x 10E9/l), elevated c-reactive protein (CRP = 37 mg/l) and liver enzymes (ALAT = 481U/l, ASAT = 288 U/l, AFOS = 472U/l, GT = 283U/l, Bilirubin = 45U/l). Mononucleosis antibodies were positive.

Diagnosis

Based on clinical examination and laboratory tests, the patient was initially diagnosed with mononucleosis.

Treatment

Throat culture was taken and the patient was admitted to an inpatient ward and empiric antibiotic treatment with G-penicillin (2millions units IU x 4 intravenously) was started. Additionally, Oradexon (10 mg x 2 intravenously) and ketoprofen 100 mg 2 times per day intravenously were also administered. The following day prednisone was started (20 mg per day per os). An abdominal ultrasound scan was taken and esomeprazole (40 mg x 1 per os) was started. Four days after admission, the patient was discharged with a prescription for penicillin (1500 mg per os two times per day) and ketoprofen 100 mg 3 times per day.

Patient’s clinical course was unusual since after initial presentation and patient several times repeatedly developed the same symptoms. Patient was admitted within 6 months in total 4 times in the ward because of dysphagia, sore throat and subjective shortness of breath. There was no stridor at any point. Fever was present at the time of first and third admission. Since swelling of epiglottis and lingual tonsil were present, patient received high doses of corticosteroids intravenously and per os. There was no swelling of the vocal cords at any point and airway was patent. Each admission lasts between 4 to 7 days. CRP was elevated every time that patient was admitted. Leukocytosis was present during the first, third and fourth admission of the patient. Since patient had fever and inflammation parameters were elevated, patient received in total two courses of intravenous antibiotics and five courses of antibiotics per os. Along with a follow-up appointment between the second and third admission, a neck MRI was taken and it revealed a hypertrophy of lingual tonsil and neck lymphadenopathy. During the third admission of the patient in the hospital, patient complained also for tenderness to her ankles. A thorax x-ray showed no pulmonary infiltrates but visualization of the bronchus close to the hilum of the lung was prominent. During the admission, patient’s dysphagia and airway symptoms were more prominent. Thus, different laboratory tests were carried out to exclude diseases such as sarcoidosis and vasculitis. A computed tomography (CT) body scan was ordered. CT imaging showed one solitary condensed triangularshaped 6-mm shadow in right lung (in the middle lobe). In the left ovary, there was a 2.8 cm x 4 cm cyst. In SI-joints, there was some mild sclerosis. No pathological lymphadenopathy was found. Three days later, a biopsy was taken from the lingual tonsil. Histopathological examination of lingual tonsil, revealed the presence of necrotizing granulomatous inflammation (non caseating granulomas with giant cells). There was no evidence of sarcoidosis and tuberculosis was excluded figure 1.

Magnetic resonance imaging revealed hyperthophy of the lingual tonsil neck lymphadenopathy.

Figure 1: Magnetic resonance imaging revealed hyperthophy of the lingual tonsil neck lymphadenopathy.

An ultrasound of ankles was performed during the fourth admission and it revealed a tendonitis of Achilles tendon bilaterally. According to internal medicine physicians, tenosynovitis was found in the ankles and confirmed with an ultrasound scan. The tibialis posterior area was positive for tenosynovitis in Doppler ultrasound examination. The Achilles-tendons were treated locally with an injection of methyl prednisone (Depo-Medrol) and lidocain. A MRI scan of the sacroiliac-joints was ordered, and the findings for sacroiliitis were negative figure 2.

Examination with a flexible nasofiberoscope, the image shows swelling of the lingual tonsil and also swelling in the arytenoids.

Figure 2: Examination with a flexible nasofiberoscope, the image shows swelling of the lingual tonsil and also swelling in the arytenoids.

Further laboratory tests that included respiratory syncytial virus (RSV), Epstein-barr (EBV), cytomegalovirus (CMV), human immunodeficiency virus (HIV) and throat culture were carried out. The blood tests were positive for streptococcus, adenovirus and CMV. During the third admission, detailed laboratory test results revealed mild leukocytosis with 38% lymphocytes, Mild Thrombocytosis, Microcytic anemia, high levels of ferritin (Table 1).

Table 1: Symptoms, Findings and Diagnostic Work-Up.

 

Admission 1

Admission 2

Admission 3

Admission 4

Duration of admission

4 days

7 days

8 days

4 days

Symptoms

Dysphagia, sore throat , fever

Dysphagia, sore throat

Dysphagia, sore throat ,fever

Swelling of ankles

 

Abdominal pain

Shortness of breath

Achilles tendon pain

Achilles tendon pain

Findings

LAD

swelling of adenoid tonsil

 

 

 

swollen lingual tonsil

swollen lingual tonsil

 

 

 

edematous epiglottis

edematous epiglottis

edematous epiglottis

tenosynovitis of Achilles tendons

 

purulent mucous in nasopharyx

edematous right arytenoid

edematous arytenoids

 

Antibiotics

G-penicillin 2milj x 4 i.v

Cefuroxime 1,5g x3 i.v

Cefuroxime 1,5g x3 i.v

 

 

Penicillin 1500mg x2 per os

Kefexin 500mg x3 per os

 

 

Corticosteroids

Oradexon 10mg x2 i.v

Oradexon 10mg x2 i.v

Solu-Cortef 250mg x1 iv

Methylprednisone&lidocain injected in Achilles tendons

 

Prednisolon 20mg per os

Prednisolon 20mg per os

Prednisolon 20mg per os

Prednisolon 20mg per os

Other medications

Esomeprazol 40mg x1 per os

 

 

Esomeprazol 40mg x1 per ops ,

 

Ketoprofen 100mg x2 i.v and per os

   

Oxiklorin ,Calcium and Vitamin D supplement

Other studies

Abdominal ultrasound

 

neck MRI * ( hypertrophic lingual tonsil, neck LAD)

Doppler ultrasound of ankles

 

   

Thorax x-ray ** ,Body CT scan ***

MRI of sacroiliac joint : normal

Laboratory exams

WBC =29.6 x 10E9/l , CRP= 37 mg/l

WBC =7.6 x 10E9/l , CRP=12.8

WBC = 15x 10E9/l , CRP =95mg/l, Trombocyes: =372x 10E9/l)

 

 

ALAT =481U/l, ASAT= 288 U/l,

ALAT= 78 IU/l

Hb= 116 g/l, ALAT= 36U/l  .ESR= 54mg/l

 

 

AFOS= 472 U/l, GT =283 U/l, Bilirubin =45 U/l)

 

CMVAbM and EMVAbM positive but test for DNA were negative

 

 

mononucleosis test positive

 

AdenNhopositive , HIV negative , C3= 1.82g/l , C4=0.45g/l , C1Inh=0.37g/l , 

 

 

   

ACE= 29 U/l  , ferritin =188ug/l, IgGAM, ASTA and AST normal 

 

 

   

ANA, ANCA negative, Lysosyme=1.6u/l

 

 

 

 

RF low ,CCPAb=negative , tularemia test = negative

 

Throat culture

Streptococcus milleri positive

 

Streptococcus beta-hemolyticus group C

 

Blood culture

Negative

 

Negative

 

Urine culture

Negative

 

Negative

 

Histopathological exam

 

 

Lingual tonsil :necrotizing granulomatous inflammation

 

 

 

 

(non-caseating granulomas with giant cells).

 

Even though CMV and EBV IgG and IgM were positive, tests for CMV and EBV DNA were negative. The angiotensin-converting enzyme (ACE) and complement tests were also slightly elevated (Table 1). Lysozyme was normal in high border (=1.6u/l). Lysozyme and ACE may be increased in cases of sarcoidosis however sarcoidosis was excluded based on histopathological examination of lingual tonsil. Oxiklorin was started for the treatment of tenosynovitis during the fourth admission into the hospital based on rheumatologist’s guidance. Calcium tablets,Further laboratory tests that included respiratory syncytial virus (RSV), Epstein-barr (EBV), cytomegalovirus (CMV), human immunodeficiency virus (HIV) and throat culture were carried out. The blood tests were positive for streptococcus, adenovirus and CMV. During the third admission, detailed laboratory test results revealed mild leukocytosis with 38% lymphocytes, Mild Thrombocytosis, Microcytic anemia, high levels of ferritin (Table 1). Even though CMV and EBV IgG and IgM were positive, tests for CMV and EBV DNA were negative. The angiotensin-converting enzyme (ACE) and complement tests were also slightly elevated (Table 1). Lysozyme was normal in high border (=1.6u/l). Lysozyme and ACE may be increased in cases of sarcoidosis however sarcoidosis was excluded based on histopathological examination of lingual tonsil. Oxiklorin was started for the treatment of tenosynovitis during the fourth admission into the hospital based on rheumatologist’s guidance. Calcium tablets,vitamin D and PPI-medication were given during prednisone treatment. Prednisone was prescribed per os with a taper-off dose until follow-up examination, which was scheduled for about one month later figure 3.

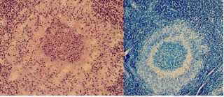
Pathological examination of the lingual tonsil showed noncaseating necrotizing granulomatous inflammations.

Figure 3: Pathological examination of the lingual tonsil showed noncaseating necrotizing granulomatous inflammations.

Based on the examinations, an autoimmune disease was suspected and treatment continued in the department of rheumatological diseases. Three months later, a follow-up thorax CT scan revealed no changes in the previous findings. At the same time, the patient’s ENT status was checked and the patient was free of symptoms. Based on the guidance of a doctor of internal medicine doctor, a colonoscopy was performed at the same time in order to exclude autoimmune diseases such as Crohn’S disease. Oxiklorin was gradually discontinued a month later. Four months after the discontinuation of oxiklorin, the patient contacted our clinic because of a 2-day sore throat. Before that and for about 6 months, she had not had any otolaryngological symptoms. In clinical examination, the lingual tonsil was slightly swollen, but otherwise the larynx and otolaryngological status were normal. In blood tests, inflammatory parameters were normal.

The patient’s case was discussed in a multi-specialty meeting, but no further intervention or treatment was scheduled. Three months later, the patient came again to the emergency room with a feeling of swelling in the throat. In otolaryngological clinical examination, the base of tongue was swollen and the lingual tonsil was hypertrophic. There was no neck lymphadenopathy and no findings in the larynx. Prednisone was once again prescribed to the patient for a few days in a low dose. However, patient did not need further examination or admission since she remains otherwise free of symptoms.

DISCUSSION

Waldeyer’s ring is uncommonly affected by granulomatous inflammation. Infection seems to be a common causative agent. However, in many cases, it may be part of a systemic disease such as sarcoidosis, Crohn’s disease [2-11], fungal infection or tuberculosis [15-17]. In the case of tonsillar granulomas that are not associated with chronic tonsillitis or recurrent tonsillar infection, the presence of systemic disease should be excluded. Sarcoidosis is characterized by the presence of noncaseating granulomas and orofacial manifestations of the condition have been reported [18,19]. However, a pathologist confirmed that our case was not sarcoidosis. Tuberculosis and malignancy were also excluded.

The interest point of this case is that granulomatous inflammation without malignancy is extremely rare in oropharynx. Even tonsillectomy had been previously performed; lingual tonsil and supraglottical structures were inflamed and swollen, causing severe symptoms as dysphagia and shortness of breath. Patient needed repeated high doses of corticosteroids and also immunosuppressive medications as oxiklorin in order to control the inflammation. Since systemic diseases had been excluded, mononucleosis was the most likely causative agent of granulomatous inflammation of the lingual tonsil.

REFERENCES

1. Zumla A, James DG. Granulomatous infections: etiology and classification. Clin Infect Dis. 1996; 23: 146-158.

2. Al-Hamad A, Porter S, Fedele S. Orofacial Granulomatosis. Dermatol Clin. 2015; 33: 433-446.

3. Troiano G, Dioguardi M, Giannatempo G, Laino L, Testa NF, Cocchi R, et al. Orofacial granulomatosis: clinical signs of different pathologies. Med Princ Pract. 2015; 24: 117-122.

4. Lazzerini M, Bramuzzo M, Ventura A. Association between orofacial granulomatosis and Crohn’s disease in children: systematic review. World J Gastroenterol. 2014; 20: 7497-7504.

5. Alawi F. An update on granulomatous diseases of the oral tissues. Dent Clin North Am. 2013; 57: 657-671.

6. Zbar AP, Ben-Horin S, Beer-Gabel M, Eliakim R. Oral Crohn’s disease: is it a separable disease from orofacial granulomatosis? A review. J Crohns Colitis. 2012; 6: 135-142.

7. Martini MZ, Galletta VC, Pereira EM, De Sousa SC, Lemos CA, Migliari DA. Orofacial granulomatosis of the lip: a report of 2 cases with histological and immunohistochemical analyses and intralesional corticotherapy. Minerva Stomatol. 2010; 59: 579-581.

8. Rowland M, Fleming P, Bourke B. Looking in the mouth for Crohn’s disease. Inflamm Bowel Dis. 2010; 16: 332-337.

9. Tilakaratne WM, Freysdottir J, Fortune F. Orofacial granulomatosis: review on aetiology and pathogenesis. J Oral Pathol Med. 2008; 37: 191-195.

10. Kauzman A, Quesnel-Mercier A, Lalonde B. Orofacial granulomatosis: 2 case reports and literature review. J Can Dent Assoc. 2006; 72: 325- 329.

11. Leão JC, Hodgson T, Scully C, Porter S. Review article: orofacial granulomatosis. Aliment Pharmacol Ther. 2004; 20: 1019-1027.

12. Kaneko Y, Kojima M, Nakazato Y, Masawa N. Epithelioid cell granulomatous response of Waldeyer’s ring among Japanese: a clinicopathological and immunohistochemical study of 16 cases. J Clin Exp Hematop. 2012; 52: 179-184.

13. Kardon DE, Thompson LD. A clinicopathologic series of 22 cases of tonsillar granulomas. Laryngoscope. 2000; 110: 476-481.

14. Bozkurt T, Langer M, Fendel K, Lux G. Granulomatous tonsillitis. A rare extraintestinal manifestation of Crohn’s disease. Dig Dis Sci. 1992; 37: 1127-1130.

15. Turchi RM, Soriano H, Rodgers GL. Tb or not TB: Crohn’s disease presenting with tonsillar granulomas. Otolaryngol Head Neck Surg. 2006; 134: 528-530.

16. Weaver DK. Atypical lymphadenopathies of the head and neck. Crit Rev Clin Lab Sci. 1981; 15: 1-24.

17. Grave B, McCullough M, Wiesenfeld D. Orofacial granulomatosis a 20- year review. Oral Dis. 2009; 15: 46-51.

18. Poate TW, Sharma R, Moutasim KA, Escudier MP, Warnakulasuriya S. Orofacial presentations of sarcoidosis a case series and review of the literature. Br Dent J. 2008; 205: 437- 442.

Bizaki A, Salonen T, Numminen J, Rautiainen M (2016) Granulomatous Hypertrophy of the Lingual Tonsil. Ann Otolaryngol Rhinol 3(8): 1123.

Received : 01 Jun 2016
Accepted : 30 Jun 2016
Published : 01 Jul 2016
Journals
Annals of Otolaryngology and Rhinology
ISSN : 2379-948X
Launched : 2014
JSM Schizophrenia
Launched : 2016
Journal of Nausea
Launched : 2020
JSM Internal Medicine
Launched : 2016
JSM Hepatitis
Launched : 2016
JSM Oro Facial Surgeries
ISSN : 2578-3211
Launched : 2016
Journal of Human Nutrition and Food Science
ISSN : 2333-6706
Launched : 2013
JSM Regenerative Medicine and Bioengineering
ISSN : 2379-0490
Launched : 2013
JSM Spine
ISSN : 2578-3181
Launched : 2016
Archives of Palliative Care
ISSN : 2573-1165
Launched : 2016
JSM Nutritional Disorders
ISSN : 2578-3203
Launched : 2017
Annals of Neurodegenerative Disorders
ISSN : 2476-2032
Launched : 2016
Journal of Fever
ISSN : 2641-7782
Launched : 2017
JSM Bone Marrow Research
ISSN : 2578-3351
Launched : 2016
JSM Mathematics and Statistics
ISSN : 2578-3173
Launched : 2014
Journal of Autoimmunity and Research
ISSN : 2573-1173
Launched : 2014
JSM Arthritis
ISSN : 2475-9155
Launched : 2016
JSM Head and Neck Cancer-Cases and Reviews
ISSN : 2573-1610
Launched : 2016
JSM General Surgery Cases and Images
ISSN : 2573-1564
Launched : 2016
JSM Anatomy and Physiology
ISSN : 2573-1262
Launched : 2016
JSM Dental Surgery
ISSN : 2573-1548
Launched : 2016
Annals of Emergency Surgery
ISSN : 2573-1017
Launched : 2016
Annals of Mens Health and Wellness
ISSN : 2641-7707
Launched : 2017
Journal of Preventive Medicine and Health Care
ISSN : 2576-0084
Launched : 2018
Journal of Chronic Diseases and Management
ISSN : 2573-1300
Launched : 2016
Annals of Vaccines and Immunization
ISSN : 2378-9379
Launched : 2014
JSM Heart Surgery Cases and Images
ISSN : 2578-3157
Launched : 2016
Annals of Reproductive Medicine and Treatment
ISSN : 2573-1092
Launched : 2016
JSM Brain Science
ISSN : 2573-1289
Launched : 2016
JSM Biomarkers
ISSN : 2578-3815
Launched : 2014
JSM Biology
ISSN : 2475-9392
Launched : 2016
Archives of Stem Cell and Research
ISSN : 2578-3580
Launched : 2014
Annals of Clinical and Medical Microbiology
ISSN : 2578-3629
Launched : 2014
JSM Pediatric Surgery
ISSN : 2578-3149
Launched : 2017
Journal of Memory Disorder and Rehabilitation
ISSN : 2578-319X
Launched : 2016
JSM Tropical Medicine and Research
ISSN : 2578-3165
Launched : 2016
JSM Head and Face Medicine
ISSN : 2578-3793
Launched : 2016
JSM Cardiothoracic Surgery
ISSN : 2573-1297
Launched : 2016
JSM Bone and Joint Diseases
ISSN : 2578-3351
Launched : 2017
JSM Bioavailability and Bioequivalence
ISSN : 2641-7812
Launched : 2017
JSM Atherosclerosis
ISSN : 2573-1270
Launched : 2016
Journal of Genitourinary Disorders
ISSN : 2641-7790
Launched : 2017
Journal of Fractures and Sprains
ISSN : 2578-3831
Launched : 2016
Journal of Autism and Epilepsy
ISSN : 2641-7774
Launched : 2016
Annals of Marine Biology and Research
ISSN : 2573-105X
Launched : 2014
JSM Health Education & Primary Health Care
ISSN : 2578-3777
Launched : 2016
JSM Communication Disorders
ISSN : 2578-3807
Launched : 2016
Annals of Musculoskeletal Disorders
ISSN : 2578-3599
Launched : 2016
Annals of Virology and Research
ISSN : 2573-1122
Launched : 2014
JSM Renal Medicine
ISSN : 2573-1637
Launched : 2016
Journal of Muscle Health
ISSN : 2578-3823
Launched : 2016
JSM Genetics and Genomics
ISSN : 2334-1823
Launched : 2013
JSM Anxiety and Depression
ISSN : 2475-9139
Launched : 2016
Clinical Journal of Heart Diseases
ISSN : 2641-7766
Launched : 2016
Annals of Medicinal Chemistry and Research
ISSN : 2378-9336
Launched : 2014
JSM Pain and Management
ISSN : 2578-3378
Launched : 2016
JSM Women's Health
ISSN : 2578-3696
Launched : 2016
Clinical Research in HIV or AIDS
ISSN : 2374-0094
Launched : 2013
Journal of Endocrinology, Diabetes and Obesity
ISSN : 2333-6692
Launched : 2013
Journal of Substance Abuse and Alcoholism
ISSN : 2373-9363
Launched : 2013
JSM Neurosurgery and Spine
ISSN : 2373-9479
Launched : 2013
Journal of Liver and Clinical Research
ISSN : 2379-0830
Launched : 2014
Journal of Drug Design and Research
ISSN : 2379-089X
Launched : 2014
JSM Clinical Oncology and Research
ISSN : 2373-938X
Launched : 2013
JSM Bioinformatics, Genomics and Proteomics
ISSN : 2576-1102
Launched : 2014
JSM Chemistry
ISSN : 2334-1831
Launched : 2013
Journal of Trauma and Care
ISSN : 2573-1246
Launched : 2014
JSM Surgical Oncology and Research
ISSN : 2578-3688
Launched : 2016
Annals of Food Processing and Preservation
ISSN : 2573-1033
Launched : 2016
Journal of Radiology and Radiation Therapy
ISSN : 2333-7095
Launched : 2013
JSM Physical Medicine and Rehabilitation
ISSN : 2578-3572
Launched : 2016
Annals of Clinical Pathology
ISSN : 2373-9282
Launched : 2013
Annals of Cardiovascular Diseases
ISSN : 2641-7731
Launched : 2016
Journal of Behavior
ISSN : 2576-0076
Launched : 2016
Annals of Clinical and Experimental Metabolism
ISSN : 2572-2492
Launched : 2016
Clinical Research in Infectious Diseases
ISSN : 2379-0636
Launched : 2013
JSM Microbiology
ISSN : 2333-6455
Launched : 2013
Journal of Urology and Research
ISSN : 2379-951X
Launched : 2014
Journal of Family Medicine and Community Health
ISSN : 2379-0547
Launched : 2013
Annals of Pregnancy and Care
ISSN : 2578-336X
Launched : 2017
JSM Cell and Developmental Biology
ISSN : 2379-061X
Launched : 2013
Annals of Aquaculture and Research
ISSN : 2379-0881
Launched : 2014
Clinical Research in Pulmonology
ISSN : 2333-6625
Launched : 2013
Journal of Immunology and Clinical Research
ISSN : 2333-6714
Launched : 2013
Annals of Forensic Research and Analysis
ISSN : 2378-9476
Launched : 2014
JSM Biochemistry and Molecular Biology
ISSN : 2333-7109
Launched : 2013
Annals of Breast Cancer Research
ISSN : 2641-7685
Launched : 2016
Annals of Gerontology and Geriatric Research
ISSN : 2378-9409
Launched : 2014
Journal of Sleep Medicine and Disorders
ISSN : 2379-0822
Launched : 2014
JSM Burns and Trauma
ISSN : 2475-9406
Launched : 2016
Chemical Engineering and Process Techniques
ISSN : 2333-6633
Launched : 2013
Annals of Clinical Cytology and Pathology
ISSN : 2475-9430
Launched : 2014
JSM Allergy and Asthma
ISSN : 2573-1254
Launched : 2016
Journal of Neurological Disorders and Stroke
ISSN : 2334-2307
Launched : 2013
Annals of Sports Medicine and Research
ISSN : 2379-0571
Launched : 2014
JSM Sexual Medicine
ISSN : 2578-3718
Launched : 2016
Annals of Vascular Medicine and Research
ISSN : 2378-9344
Launched : 2014
JSM Biotechnology and Biomedical Engineering
ISSN : 2333-7117
Launched : 2013
Journal of Hematology and Transfusion
ISSN : 2333-6684
Launched : 2013
JSM Environmental Science and Ecology
ISSN : 2333-7141
Launched : 2013
Journal of Cardiology and Clinical Research
ISSN : 2333-6676
Launched : 2013
JSM Nanotechnology and Nanomedicine
ISSN : 2334-1815
Launched : 2013
Journal of Ear, Nose and Throat Disorders
ISSN : 2475-9473
Launched : 2016
JSM Ophthalmology
ISSN : 2333-6447
Launched : 2013
Journal of Pharmacology and Clinical Toxicology
ISSN : 2333-7079
Launched : 2013
Annals of Psychiatry and Mental Health
ISSN : 2374-0124
Launched : 2013
Medical Journal of Obstetrics and Gynecology
ISSN : 2333-6439
Launched : 2013
Annals of Pediatrics and Child Health
ISSN : 2373-9312
Launched : 2013
JSM Clinical Pharmaceutics
ISSN : 2379-9498
Launched : 2014
JSM Foot and Ankle
ISSN : 2475-9112
Launched : 2016
JSM Alzheimer's Disease and Related Dementia
ISSN : 2378-9565
Launched : 2014
Journal of Addiction Medicine and Therapy
ISSN : 2333-665X
Launched : 2013
Journal of Veterinary Medicine and Research
ISSN : 2378-931X
Launched : 2013
Annals of Public Health and Research
ISSN : 2378-9328
Launched : 2014
Annals of Orthopedics and Rheumatology
ISSN : 2373-9290
Launched : 2013
Journal of Clinical Nephrology and Research
ISSN : 2379-0652
Launched : 2014
Annals of Community Medicine and Practice
ISSN : 2475-9465
Launched : 2014
Annals of Biometrics and Biostatistics
ISSN : 2374-0116
Launched : 2013
JSM Clinical Case Reports
ISSN : 2373-9819
Launched : 2013
Journal of Cancer Biology and Research
ISSN : 2373-9436
Launched : 2013
Journal of Surgery and Transplantation Science
ISSN : 2379-0911
Launched : 2013
Journal of Dermatology and Clinical Research
ISSN : 2373-9371
Launched : 2013
JSM Gastroenterology and Hepatology
ISSN : 2373-9487
Launched : 2013
Annals of Nursing and Practice
ISSN : 2379-9501
Launched : 2014
JSM Dentistry
ISSN : 2333-7133
Launched : 2013
Author Information X