Loading

Inferior Concha Bullosa Communicating into the Maxillary Sinus: Case Report

Case Report | Open Access | Volume 3 | Issue 3

  • 1. Department of Otorhinolaryngology, AbantIzzet Baysal University School of Medicine, Turkey
  • 2. Department of Radiology, AbantIzzet Baysal University School of Medicine, Turkey
  • 3. Department of Otorhinolaryngology, Fatma Hatun Private Hospital, Turkey
+ Show More - Show Less
Corresponding Authors
Murat Sereflican, Department of Otorhinolaryngology, AbantIzzet Baysal University, Faculty of Medicine, Golkoy, Turkey, Tel: 90-3742534656–3347
ABSTRACT

Concha bullosa or conchal pneumatization refers to the presence of an air cell  within a nasal turbinate. Pneumatization is most commonly seen in the middle turbinate  followed by the superior turbinate. Pneumatized inferior turbinate is rare, and most  of the papers in the literature appear as case reports. In this study, a 33-year-old  female patient complaining from unilateral nasal stuffiness and intermittent headache  is presented.  , diagnostic and therapeutic methods for inferior concha  bullosa is discussed. In clinical practice, the pneumatization status should well be studied  on the scans before sinus and turbinate surgery and inferior concha bullosa should be 
kept in mind.

KEYWORDS

?ereflican M, Hal?c?o?lu S, Seyhan S, Yurtta? V, Funda YO, et al. (2016) Inferior Concha Bullosa Communicating into the Maxillary Sinus: Case Report. Ann Otolaryngol Rhinol 3(3): 1096.

CITATION

?ereflican M, Hal?c?o?lu S, Seyhan S, Yurtta? V, Funda YO, et al. (2016) Inferior Concha Bullosa Communicating into the Maxillary Sinus: Case Report. Ann Otolaryngol Rhinol 3(3): 1096.

ABBREVIATIONS

CT: Computerized Tomography

INTRODUCTION

Inferior turbinates are important anatomical structures located along the lateral nasal wall. The middle and superior concha, and occasionally the supreme concha, are parts of the ethmoid bone, whereas the inferior nasal concha is an independent bone [1]. The inferior concha is bounded anteriorly by the internal nasal valve and posteriorly by the choana. Moreover, it is responsible for filtration, heating, and humidification of the air inhaled through the nose. It is also responsible for 2/3 of the airway resistance and thus even small changes in the size of the inferior concha may lead to major alterations [1,2]. With the growing use of computed tomography (CT) in the diagnosis of the inferior concha, the frequency of anatomical variations of the concha has increased [3]. In terms of frequency, concha bullosa is the most common anatomic variant of the middle turbinate. As an alternative, concha bullosa is relatively infrequent in the superior turbinates and even more uncommon in the inferior turbinates [4]. Inferior concha bullosa incidence detected in paranasal CT images is between 0.03 to 4.88 %, incidentally. Even though, the sex ratio (male to female) is close to one another the rate is slightly more common in women. The average age is seen with 36 to 42.1, besides this the disease can occur at every age [3,5]. Although the inferior concha and the maxillary sinus are of different embryological provenance, our patient presented with inferior concha pneumatization associated with the maxillary sinus. Here, we present this rare case with the review of the literature.

 

CASE PRESENTATION

A 33-year-old female patient presented to our clinic with a 2-year history of nasal obstruction, headache and intermittent postnasal drip. Anterior rhinoscopy and nasal endoscopy revealed that the right inferior concha was hypertrophic and the nasal septum was deviated to the left.

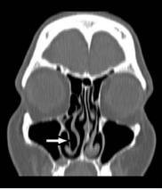
A coronal section computerized tomography (CT) scans showed pneumatized right inferior concha and an air-filled sac in the pneumatized inferior concha associated with the right maxillary sinus (Figure 1).

The coronal CT image of the right inferior concha bullosa communicating into the right maxillary sinus.

Figure 1: The coronal CT image of the right inferior concha bullosa communicating into the right maxillary sinus.

(Figure 2).

The coronal CT image of the right inferior concha bullosa.

Figure 2:The coronal CT image of the right inferior concha bullosa.

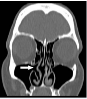
(Figure 3).

The axial CT image of the right inferior concha bullosa.

Figure 3: The axial CT image of the right inferior concha bullosa.

Septoplasty and submucous resection (SMR) of the inferior concha were recommended but the patient objected to the proposed surgeries and thus was followed up.

DISCUSSION

Concha bullosa, also known as pneumatized concha, is an anatomical variation of the middle concha, consisting of pneumatization. It is mostly seen in the middle concha and rarely seen in the inferior concha [4]. Inferior concha bullosa was first described by Zinreich [6]. There are three hypotheses regarding the development of an inferior concha bullosa. The first suggests that the inferior concha is ossified from two separate centers and two cartilaginous lamellae during the fetal life. Two ossified lamellae and an air-filled sac between these two lamellae may develop as a result of the epithelial invagination among the lamellae that ossify in the order of development. The second hypothesis suggests that air cell-formation most likely results from maxillary sinus disease and is associated confidentially with the site of inferior turbinate attachment. The above two theories can be termed as non-communicating type pneumatization. The third hypothesis suggests that in foetal life, maxillary sinus lamellae and an air-filled sac between these two lamellae may develop as a result of the epithelial invagination among the lamellae that ossify in the order of development. The second hypothesis suggests that air cell-formation most likely results from maxillary sinus disease and is associated confidentially with the site of inferior turbinate attachment. The above two theories can be termed as non-communicating type pneumatization. The third hypothesis suggests that in foetal life, maxillary sinus.

lamellae and an air-filled sac between these two lamellae may develop as a result of the epithelial invagination among the lamellae that ossify in the order of development. The second hypothesis suggests that air cell-formation most likely results from maxillary sinus disease and is associated confidentially with the site of inferior turbinate attachment. The above two theories can be termed as non-communicating type pneumatization. The third hypothesis suggests that in foetal life, maxillary sinus.

Endoscopic examination reveals no findings that could indicate inferior concha bullosa except for concha hypertrophy. Therefore, CT remains the most ideal method in the diagnosis of inferior concha bullosa. In particular, coronal section CT is a valuable tool for the diagnosis of inferior concha bullosa. It is usually identified as incidental in the CT images taken by other reasons. Yang et al., [5] reported that 16 patients with inferior concha bullosa were detected in 59238 CT images performed for another reason. In another study, Baldea et al., [3] determined 10 patients with inferior concha bullosa in 205 paranasal CT images taken by other reasons

Cone-beam computed tomography (CBCT) is a technique first announced in Italy in 1997 [9]. Among its advantages are lower radiation dose compared to standard computed tomography.

(CT), used in medical tomography, and its high spatial resolution of bone tissue, which makes it a widely used method in general dental practice [10,11]. However, we have not a CBCT scan in our Radiology department so that we couldn’t take an image with CBCT for our patient.

There is no need for treatment in asymptomatic inferior concha bullosa. The goals of treatment are to maximize the nasal airway, to preserve nasal mucosa function, and to minimize complications. Medical treatment such as steroid nasal sprays may be attempted, but often are not successful in these cases and surgery is required. The most common methods used in the treatment of inferior concha bullosa include injection of steroids or sclerosing agents into the submucosal area, radiofrequency ablation, cauterization, cryoturbinectomy, and concha resection [1,12]. Out fracture of the inferior concha, resection of the lateral lamella of the concha bullosa of inferior turbinate, or submucous resection are the surgical treatment options in the management of the symptomatic concha bullosa [7,8] (Table 1).

Table 1: The table summarizing age of diagnosis, symptoms of presentation, treatment and outcome.

Reference Age Sex Complaint CT findings Treatment Outcomes
Ural A,UsluS. 23 M Ingram WA, Richardson BE. Sol alt konkabülloza Out fracture and radyofrequency Close to full recovery
Kiroglu AF., et al. 14 F Nasal blockage, nasal pain, and purulent discharge at the left side Pneumatization of the left inferior turbinate The lateral lamella of the inferior Conchabullosa was resected Nasal obstruction was resolved After surgery
Pittore B, Al Safi W, JarvisS. 24 F Rhinorrhoea and nasal obstruction Pneumatization of the left inferior turbinate The inferior conchabullosa was resected removing the free edge of the inferior turbinate using turbinectomy scissors Nasal obstruction had improved significantly
Yuca K, et al. 37 F Nasal obstruction Right inferior concha bullosa Patient did not accepted any kind of surgery Patient did not return for follow up
BaykaraM, PolatC, UysalIO, SoyluE. 37 F Left nasal obstruction and headache Right inferior concha bullosa Patient did not accepted any kind of surgery Patient did not return for follow up
AkagünF, Erdo?anBA, BoraF 35 F Nasal obstruction Bilaterally inferior and middle concha bullosa Bilaterally out fracture and radyofrequency Nasal obstruction had improved significantly
Ingram WA, Richardson BE. 38 F Nazal obstruction and post nasal discharge Left inferior concha bullosa Patient did not accepted any kind of surgery A little complaints of the patients were resolved with medical treatment

Unlu et al., suggested that partial turbinectomy can be performed in cases of inferior concha bullosa that have no association with the maxillary sinus but performing partial resection in the cases extending to the sinus may cause inferior meatalantrostomy, leading to persistent sinusitis by impairing the mucous circulation [13]. Total turbinectomy is contraindicated because it can increase the risk of the patient developing atrophic rhinitis, in particular in hot and dry climates [1].

In conclusion, inferior concha bullosa should be kept in mind in the differential diagnosis of commonly encountered inferior hypertrophy. A suitable treatment should be planned for symptomatic cases and the association between the concha bullosa and the maxillary sinus should be investigated prior to surgical planning.

REFERENCES

1. Pittore B, Al Safi W, Jarvis SJ. Concha bullosa of the inferior turbinate: an unusual cause of nasal obstruction. Acta Otorhinolaryngol Ital. 2011; 31: 47-49.

2. Uzun L, Ugur MB, SavranlarA. Pneumatization of the inferior turbinate. European Journal of Radiology Extra. 2004; 51: 99-101.

3. V Baldea, MD Cobzeanu, M Moscalu. Pneumatization of the inferior turbinate-imaging study. Romanian Journal of Rhinology. 2011; 1: 171-187.

4. Yuca K, Varsak YK, Ery?lmaz MA, Arba? H. Inferior Concha Bullosa with Bilaterally Concha Hypertropy. Eur J Gen Med. 2015; 12: 252-254.

5. Yang BT, Chong VF, Wang ZC, Xian JF, Chen QH. CT appearance of pneumatized inferior turbinate. Clin Radiol. 2008; 63: 901-905.

6. Zinreich SJ, Mattox DE, Kennedy DW, Chisholm HL, Diffley DM, Rosenbaum AE. Concha bullosa: CT evaluation. J Comput Assist Tomogr. 1988; 12: 778-784.

7. Braun H, Stammberger H. Pneumatization of turbinates. Laryngoscope. 2003; 113: 668-672.

8. Kiroglu AF, Cankaya H, Yuca K, Kara T, Kiris M. Isolated turbinitis and pneumatization of the concha inferior in a child. American journal of otolaryngology. 2007; 28: 67-68.

9. Mozzo P, Procacci C, Tacconi A, Martini PT, Andreis IA. A CT new volumetric machine for dental imaging based on the conebeam technique: preliminary results. Eur Radiol. 1998; 8: 1558-1564.

10. Pette GA, Norkin FJ, Ganeles J, Hardigan P, Lask E, Zfaz S, et al. Incidental findings from a retrospective study of 318 cone beam computed tomography consultation reports. Int J Oral Maxillofac Implants. 2012; 27: 595-603.

11. Pliska B, De Rocher M, Larson BE. Incidence of significant findings on CBCT scans of an orthodontic patient population. Northwest Dent. 2011; 90: 12-16.

12. Fradis M, Golz A, Danino J, Gershinski M, Goldsher M, Gaitini L, et al. Inferior turbinectomy versus submucosal diathermy for inferior turbinate hypertrophy. Ann Otol Rhinol Laryngol. 2000; 109: 1040- 1045.

13. Unlu HH, Altuntas A, Aslan A, Eskiizmir G, Yucel A. Inferior concha bullosa. J Otolaryngol. 2002; 31: 62-64

Received : 08 Feb 2016
Accepted : 07 Mar 2016
Published : 08 Sep 2016
Journals
Annals of Otolaryngology and Rhinology
ISSN : 2379-948X
Launched : 2014
JSM Schizophrenia
Launched : 2016
Journal of Nausea
Launched : 2020
JSM Internal Medicine
Launched : 2016
JSM Hepatitis
Launched : 2016
JSM Oro Facial Surgeries
ISSN : 2578-3211
Launched : 2016
Journal of Human Nutrition and Food Science
ISSN : 2333-6706
Launched : 2013
JSM Regenerative Medicine and Bioengineering
ISSN : 2379-0490
Launched : 2013
JSM Spine
ISSN : 2578-3181
Launched : 2016
Archives of Palliative Care
ISSN : 2573-1165
Launched : 2016
JSM Nutritional Disorders
ISSN : 2578-3203
Launched : 2017
Annals of Neurodegenerative Disorders
ISSN : 2476-2032
Launched : 2016
Journal of Fever
ISSN : 2641-7782
Launched : 2017
JSM Bone Marrow Research
ISSN : 2578-3351
Launched : 2016
JSM Mathematics and Statistics
ISSN : 2578-3173
Launched : 2014
Journal of Autoimmunity and Research
ISSN : 2573-1173
Launched : 2014
JSM Arthritis
ISSN : 2475-9155
Launched : 2016
JSM Head and Neck Cancer-Cases and Reviews
ISSN : 2573-1610
Launched : 2016
JSM General Surgery Cases and Images
ISSN : 2573-1564
Launched : 2016
JSM Anatomy and Physiology
ISSN : 2573-1262
Launched : 2016
JSM Dental Surgery
ISSN : 2573-1548
Launched : 2016
Annals of Emergency Surgery
ISSN : 2573-1017
Launched : 2016
Annals of Mens Health and Wellness
ISSN : 2641-7707
Launched : 2017
Journal of Preventive Medicine and Health Care
ISSN : 2576-0084
Launched : 2018
Journal of Chronic Diseases and Management
ISSN : 2573-1300
Launched : 2016
Annals of Vaccines and Immunization
ISSN : 2378-9379
Launched : 2014
JSM Heart Surgery Cases and Images
ISSN : 2578-3157
Launched : 2016
Annals of Reproductive Medicine and Treatment
ISSN : 2573-1092
Launched : 2016
JSM Brain Science
ISSN : 2573-1289
Launched : 2016
JSM Biomarkers
ISSN : 2578-3815
Launched : 2014
JSM Biology
ISSN : 2475-9392
Launched : 2016
Archives of Stem Cell and Research
ISSN : 2578-3580
Launched : 2014
Annals of Clinical and Medical Microbiology
ISSN : 2578-3629
Launched : 2014
JSM Pediatric Surgery
ISSN : 2578-3149
Launched : 2017
Journal of Memory Disorder and Rehabilitation
ISSN : 2578-319X
Launched : 2016
JSM Tropical Medicine and Research
ISSN : 2578-3165
Launched : 2016
JSM Head and Face Medicine
ISSN : 2578-3793
Launched : 2016
JSM Cardiothoracic Surgery
ISSN : 2573-1297
Launched : 2016
JSM Bone and Joint Diseases
ISSN : 2578-3351
Launched : 2017
JSM Bioavailability and Bioequivalence
ISSN : 2641-7812
Launched : 2017
JSM Atherosclerosis
ISSN : 2573-1270
Launched : 2016
Journal of Genitourinary Disorders
ISSN : 2641-7790
Launched : 2017
Journal of Fractures and Sprains
ISSN : 2578-3831
Launched : 2016
Journal of Autism and Epilepsy
ISSN : 2641-7774
Launched : 2016
Annals of Marine Biology and Research
ISSN : 2573-105X
Launched : 2014
JSM Health Education & Primary Health Care
ISSN : 2578-3777
Launched : 2016
JSM Communication Disorders
ISSN : 2578-3807
Launched : 2016
Annals of Musculoskeletal Disorders
ISSN : 2578-3599
Launched : 2016
Annals of Virology and Research
ISSN : 2573-1122
Launched : 2014
JSM Renal Medicine
ISSN : 2573-1637
Launched : 2016
Journal of Muscle Health
ISSN : 2578-3823
Launched : 2016
JSM Genetics and Genomics
ISSN : 2334-1823
Launched : 2013
JSM Anxiety and Depression
ISSN : 2475-9139
Launched : 2016
Clinical Journal of Heart Diseases
ISSN : 2641-7766
Launched : 2016
Annals of Medicinal Chemistry and Research
ISSN : 2378-9336
Launched : 2014
JSM Pain and Management
ISSN : 2578-3378
Launched : 2016
JSM Women's Health
ISSN : 2578-3696
Launched : 2016
Clinical Research in HIV or AIDS
ISSN : 2374-0094
Launched : 2013
Journal of Endocrinology, Diabetes and Obesity
ISSN : 2333-6692
Launched : 2013
Journal of Substance Abuse and Alcoholism
ISSN : 2373-9363
Launched : 2013
JSM Neurosurgery and Spine
ISSN : 2373-9479
Launched : 2013
Journal of Liver and Clinical Research
ISSN : 2379-0830
Launched : 2014
Journal of Drug Design and Research
ISSN : 2379-089X
Launched : 2014
JSM Clinical Oncology and Research
ISSN : 2373-938X
Launched : 2013
JSM Bioinformatics, Genomics and Proteomics
ISSN : 2576-1102
Launched : 2014
JSM Chemistry
ISSN : 2334-1831
Launched : 2013
Journal of Trauma and Care
ISSN : 2573-1246
Launched : 2014
JSM Surgical Oncology and Research
ISSN : 2578-3688
Launched : 2016
Annals of Food Processing and Preservation
ISSN : 2573-1033
Launched : 2016
Journal of Radiology and Radiation Therapy
ISSN : 2333-7095
Launched : 2013
JSM Physical Medicine and Rehabilitation
ISSN : 2578-3572
Launched : 2016
Annals of Clinical Pathology
ISSN : 2373-9282
Launched : 2013
Annals of Cardiovascular Diseases
ISSN : 2641-7731
Launched : 2016
Journal of Behavior
ISSN : 2576-0076
Launched : 2016
Annals of Clinical and Experimental Metabolism
ISSN : 2572-2492
Launched : 2016
Clinical Research in Infectious Diseases
ISSN : 2379-0636
Launched : 2013
JSM Microbiology
ISSN : 2333-6455
Launched : 2013
Journal of Urology and Research
ISSN : 2379-951X
Launched : 2014
Journal of Family Medicine and Community Health
ISSN : 2379-0547
Launched : 2013
Annals of Pregnancy and Care
ISSN : 2578-336X
Launched : 2017
JSM Cell and Developmental Biology
ISSN : 2379-061X
Launched : 2013
Annals of Aquaculture and Research
ISSN : 2379-0881
Launched : 2014
Clinical Research in Pulmonology
ISSN : 2333-6625
Launched : 2013
Journal of Immunology and Clinical Research
ISSN : 2333-6714
Launched : 2013
Annals of Forensic Research and Analysis
ISSN : 2378-9476
Launched : 2014
JSM Biochemistry and Molecular Biology
ISSN : 2333-7109
Launched : 2013
Annals of Breast Cancer Research
ISSN : 2641-7685
Launched : 2016
Annals of Gerontology and Geriatric Research
ISSN : 2378-9409
Launched : 2014
Journal of Sleep Medicine and Disorders
ISSN : 2379-0822
Launched : 2014
JSM Burns and Trauma
ISSN : 2475-9406
Launched : 2016
Chemical Engineering and Process Techniques
ISSN : 2333-6633
Launched : 2013
Annals of Clinical Cytology and Pathology
ISSN : 2475-9430
Launched : 2014
JSM Allergy and Asthma
ISSN : 2573-1254
Launched : 2016
Journal of Neurological Disorders and Stroke
ISSN : 2334-2307
Launched : 2013
Annals of Sports Medicine and Research
ISSN : 2379-0571
Launched : 2014
JSM Sexual Medicine
ISSN : 2578-3718
Launched : 2016
Annals of Vascular Medicine and Research
ISSN : 2378-9344
Launched : 2014
JSM Biotechnology and Biomedical Engineering
ISSN : 2333-7117
Launched : 2013
Journal of Hematology and Transfusion
ISSN : 2333-6684
Launched : 2013
JSM Environmental Science and Ecology
ISSN : 2333-7141
Launched : 2013
Journal of Cardiology and Clinical Research
ISSN : 2333-6676
Launched : 2013
JSM Nanotechnology and Nanomedicine
ISSN : 2334-1815
Launched : 2013
Journal of Ear, Nose and Throat Disorders
ISSN : 2475-9473
Launched : 2016
JSM Ophthalmology
ISSN : 2333-6447
Launched : 2013
Journal of Pharmacology and Clinical Toxicology
ISSN : 2333-7079
Launched : 2013
Annals of Psychiatry and Mental Health
ISSN : 2374-0124
Launched : 2013
Medical Journal of Obstetrics and Gynecology
ISSN : 2333-6439
Launched : 2013
Annals of Pediatrics and Child Health
ISSN : 2373-9312
Launched : 2013
JSM Clinical Pharmaceutics
ISSN : 2379-9498
Launched : 2014
JSM Foot and Ankle
ISSN : 2475-9112
Launched : 2016
JSM Alzheimer's Disease and Related Dementia
ISSN : 2378-9565
Launched : 2014
Journal of Addiction Medicine and Therapy
ISSN : 2333-665X
Launched : 2013
Journal of Veterinary Medicine and Research
ISSN : 2378-931X
Launched : 2013
Annals of Public Health and Research
ISSN : 2378-9328
Launched : 2014
Annals of Orthopedics and Rheumatology
ISSN : 2373-9290
Launched : 2013
Journal of Clinical Nephrology and Research
ISSN : 2379-0652
Launched : 2014
Annals of Community Medicine and Practice
ISSN : 2475-9465
Launched : 2014
Annals of Biometrics and Biostatistics
ISSN : 2374-0116
Launched : 2013
JSM Clinical Case Reports
ISSN : 2373-9819
Launched : 2013
Journal of Cancer Biology and Research
ISSN : 2373-9436
Launched : 2013
Journal of Surgery and Transplantation Science
ISSN : 2379-0911
Launched : 2013
Journal of Dermatology and Clinical Research
ISSN : 2373-9371
Launched : 2013
JSM Gastroenterology and Hepatology
ISSN : 2373-9487
Launched : 2013
Annals of Nursing and Practice
ISSN : 2379-9501
Launched : 2014
JSM Dentistry
ISSN : 2333-7133
Launched : 2013
Author Information X