Loading

Management of Acquired Tracheoesophageal Fistula and Complete Pharyngoesophageal Stenosis as a Complication of COVID-19

Case Report | Open Access | Volume 9 | Issue 5

  • 1. Thyroid, Head and Neck Cancer (THANC) Foundation, USA
  • 2. Department of Otolaryngology-Head and Neck Surgery, Icahn School of Medicine at Mount Sinai, USA
+ Show More - Show Less
Corresponding Authors
Lily Greenberg, Thyroid, Head and Neck Cancerv(THANC) Foundation, 10 Union Square, Suite 5B, New York, NY, 10003, Tel: (917) 599-7138; Email: lily.greenberg@thancfoundation.org
ABSTRACT

Background: Many patients experiencing severe symptoms of COVID-19 require critical care involving intubation, tracheostomy, and mechanical ventilation. These treatment interventions can result in life-threatening consequences.

Methods: We report a case demonstrating severe complications of COVID-19 and prolonged intubation. This patient developed a tracheoesophageal fistula (TEF) and complete pharyngoesophageal stenosis (PES). We detail the novel operative repair of this complex injury and review the literature regarding iatrogenic airway-injuries experienced by COVID-19 patients after prolonged intubation and mechanical ventilation.

Results: Following a year of G-tube dependence and unsuccessful attempts at repair, our patient underwent successful surgical reconstruction via tracheal resection and esophageal reconstruction with a radial forearm free flap. Two months post-operatively, the patient has a stable airway and maintains his weight by oral nutrition.

Conclusions: Head and neck surgeons must be well-versed in techniques for upper aerodigestive restoration amidst this unprecedented rise in intubation-related injuries associated with the COVID-19 pandemic.

KEYWORDS

• Tracheoesophageal fistula

• Pharyngoesophageal stenosis

• COVID-19

• Prolonged intubation

• Surgical reconstruction

CITATION

Greenberg LA, Wein LE, Dowling E, Urken ML (2022) Management of Acquired Tracheoesophageal Fistula and Complete Pharyngoesophageal Stenosis as a Complication of COVID-19. Ann Otolaryngol Rhinol 9(5): 1300.

ABBREVIATIONS

ARDS: Acute Respiratory Distress Syndrome; IMV: Invasive Mechanical Ventilation; TEF: Tracheoesophageal Fistula; PES: Pharyngoesophageal Stenosis

INTRODUCTION

The World Health Organization has reported upwards of 511 million confirmed cases of COVID-19 infections worldwide as of May 3rd, 2022 [1]. In most patients, the disease presents in a mild form with symptoms including fever, cough, nausea, vomiting and diarrhea [2,3]. However, severe complications of this disease have emerged. These include multifocal pneumonia, acute respiratory distress syndrome (ARDS), severe hypoxemic respiratory failure, and thromboembolic events [2-4]. Although rates of patients requiring critical care are low, ranging from 5% to 12%, intensive care units have been overwhelmed as a result of the high transmissibility and sheer number of COVID-19 cases [2,3,5,6].

Use of invasive mechanical ventilation (IMV) via intubation and tracheostomy to treat severe cases of COVID-19 have resulted in an array of complications, including laryngotracheal granulomas, webs, stenosis, and malacia. Less frequently, fullthickness tracheal necrosis and tracheoesophageal fistulae (TEFs) have been reported as complications [3]. Though rare, these serious conditions can be life threatening due to airway obstruction, tracheobronchial contamination and impaired deglutition, requiring alternative routes of enteral nutrition.

Herein, we review the challenge of increasingly prevalent COVID-19-related upper aerodigestive tract complications and present a case of iatrogenic TEF with complete pharyngoesophageal stenosis (PES) treated with a novel operative technique.

METHODS

We review the case of a patient who presented to our institution after experiencing severe multisystem complications resulting from prolonged hospitalization for a COVID-19 infection that lasted for over 12 months. The patient developed a TEF with complete PES (Figure 1).

Figure 1 Illustration of the tracheoesophageal fistula with complete pharyngoesophageal stenosis in the case presented.

Figure 1: Illustration of the tracheoesophageal fistula with complete pharyngoesophageal stenosis in the case presented.

Multiple attempts to repair the fistula were carried out unsuccessfully at outside institutions. We outline the novel operative technique ultimately performed to successfully repair the patient’s fistula and restore oral nutrition.

CASE PRESENTATION

A 52-year-old male presented with a TEF more than 1.5 years following hospitalization for a severe COVID-19 infection. During this time, he required intubation and IMV for 69 days due to ARDS. His hospital course was complicated by two cardiac arrests, stroke, acute kidney injury requiring dialysis, osteomyelitis of the cervical spine, and sacral decubitus ulcers requiring colostomy diversion. Tracheostomy was performed and the patient was ultimately weaned from IMV. He made a significant recovery, but subsequently developed poor oral intake, chronic vomiting, and weight loss of 113 pounds. The patient was unable to swallow saliva and was completely dependent on his gastrostomy tube for nutrition. A modified barium swallow demonstrated a TEF with complete PES (Figure 2).

Figure 2 Modified barium swallow showing tracheoesophageal fistula with complete pharyngoesophageal stenosis and demonstrating aspiration of the entire bolus.

Figure 2: Modified barium swallow showing tracheoesophageal fistula with complete pharyngoesophageal stenosis and demonstrating aspiration of the entire bolus.

Multiple prior attempts to repair the fistula, including esophageal stent placement, rendezvous procedures (Figure 3),

Figure 3 Fluoroscopic image from a prior unsuccessful rendezvous procedure, indicating the location of the stenosis and the ability to perform the entire surgery through a transcervical approach.

Figure 3: Fluoroscopic image from a prior unsuccessful rendezvous procedure, indicating the location of the stenosis and the ability to perform the entire surgery through a transcervical approach.

and reconstruction with a pectoralis major myofascial flap were unsuccessful. Nearly two years after the initial COVID-19 diagnosis, the patient presented to our institution for consultation. Surgical repair was ultimately performed using a novel technique including tracheal division and esophageal reconstruction with a radial forearm free flap.

Operative technique

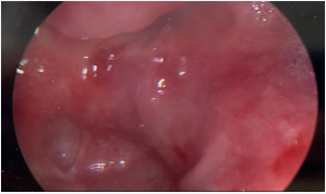
At the onset of the procedure, direct laryngoscopy, esophagoscopy, and retrograde esophagoscopy were performed to identify the location of the fistula and the site and extent of the PES. The TEF was identified immediately distal to the cricoid cartilage and was approximately 4 millimeters in diameter. The proximal and distal esophageal segments both ended in blind pouches with approximately 2 centimeters of complete stenosis between them (Figure 4).

Figure 4 Retrograde esophagoscopy demonstrating a blind pouch at the proximal extent of the distal esophageal segment, consistent with complete esophageal stenosis.

Figure 4: Retrograde esophagoscopy demonstrating a blind pouch at the proximal extent of the distal esophageal segment, consistent with complete esophageal stenosis.

Retrograde esophagoscopy confirmed that the cervical esophagus was normal above the level of the clavicles and could be accessed through a transcervical approach. Once the location and extent of the injury was confirmed, we proceeded with open repair of the TEF and resection of the PES with reconstruction. A midline approach was used to access the anterior tracheal wall. The strap muscles were separated and retracted laterally to expose the central compartment. The recurrent laryngeal nerves were identified and lateralized from the tracheoesophageal groove. This was done with continuous neuromonitoring to ensure preservation of vocal cord function. The thyroid gland was divided in the midline and retracted laterally to expose the anterior trachea (Figure 5A).

Figure 5 (A) The recurrent laryngeal nerves were lateralized and the thyroid gland was divided at the midline to expose the anterior tracheal wall. (B) A transverse tracheotomy was performed and a wedge of tissue incorporating the tracheoesophageal fistula was resected from the posterior tracheal wall. (C) The pharyngoesophageal segments proximal and distal to the site of stenosis were incised to expose a favorable caliber of the proximal and distal esophageal segments.

Figure 5: (A) The recurrent laryngeal nerves were lateralized and the thyroid gland was divided at the midline to expose the anterior tracheal wall. (B) A transverse tracheotomy was performed and a wedge of tissue incorporating the tracheoesophageal fistula was resected from the posterior tracheal wall. (C) The pharyngoesophageal segments proximal and distal to the site of stenosis were incised to expose a favorable caliber of the proximal and distal esophageal segments.

The trachea was entered at the approximate level of the TEF. Once the location of the TEF was confirmed, just distal to the cricoid cartilage, the trachea was transected at this level and the TEF was exposed and excised (Figure 5B). Direct repair of the tracheal component of the TEF was accomplished with mattress sutures.

Entry into the proximal esophageal segment was then performed and the margins of the TEF were freshened (Figure 5C). The distal blind pouch of the esophagus was identified and mobilized while protecting the recurrent laryngeal nerves bilaterally. Entry into the distal esophagus demonstrated a normal caliber of the lumen. At this point, both the trachea and esophagus were in discontinuity (Figure 6A).

Figure 6 (A) After resection of the tracheoesophageal fistula, both the trachea and esophagus were discontinuous. (B) After mobilizing the distal esophageal segment, a tension free repair of the anterior wall of the distal esophageal segment was approximated to the postcricoid mucosa. The remaining defect in the posterior esophageal wall could not be repaired without tension and was reconstructed with a radial forearm free flap. (C) The wedge defect in the posterior tracheal wall was closed vertically and did not lead to narrowing the tracheal lumen.

Figure 6: (A) After resection of the tracheoesophageal fistula, both the trachea and esophagus were discontinuous. (B) After mobilizing the distal esophageal segment, a tension free repair of the anterior wall of the distal esophageal segment was approximated to the postcricoid mucosa. The remaining defect in the posterior esophageal wall could not be repaired without tension and was reconstructed with a radial forearm free flap. (C) The wedge defect in the posterior tracheal wall was closed vertically and did not lead to narrowing the tracheal lumen.

Through mobilization of the distal esophagus, a tension free approximation of the anterior cervical esophagus to the postcricoid mucosa was then accomplished, achieving closure of approximately 180 degrees of the cervical esophageal lumen. A radial forearm free flap was harvested for reconstruction of the remaining defect in the posterior esophageal wall (Figure 6B). A separate skin paddle of the radial forearm flap was incorporated into a suture line in the neck for postoperative microvascular monitoring.

Once the esophageal reconstruction was completed and the flap revascularized, closure of the trachea was performed. Direct repair of the tracheal component of the TEF was accomplished with mattress sutures (Figure 6C). Primary anastomosis of the trachea was performed without tension (Figure 7).

Figure 7 The tracheal segments were reapproximated with a tension-free closure. Revascularization of the radial forearm flap and exteriorization of a proximal monitor paddle led to completion of the reconstruction.

Figure 7: The tracheal segments were reapproximated with a tension-free closure. Revascularization of the radial forearm flap and exteriorization of a proximal monitor paddle led to completion of the reconstruction.

The patient remained intubated overnight with the cuff of the endotracheal tube distal to the suture line. Uneventful extubation was performed the following day in the intensive care unit. The patient remained nil per os for one week and restarted an oral diet once a modified barium swallow confirmed patency of the reconstruction without evidence of a leak (Figure 8).

Figure 8 Postoperative modified barium swallow showing a widely patent pharyngoesophageal reconstruction without evidence of a leak or fistula.

Figure 8: Postoperative modified barium swallow showing a widely patent pharyngoesophageal reconstruction without evidence of a leak or fistula.

At 2 months follow-up, the patient tolerated a diet of soft solids. Swallowing assessment showed marked improvement with a widely patent pharyngoesophageal segment and closure of the TEF. The patient will continue to advance his diet as tolerated with the goal of removing his gastrostomy tube.

The patient underwent reversal of his colostomy at 2 months following TEF repair in order to restore continuity of his entire alimentary tract. At that time, tracheoscopy demonstrated a wellhealed posterior tracheal wall and a widely patient airway.

DISCUSSION

Acquired tracheoesophageal fistula is a rare complication most commonly related to prolonged IMV via endotracheal intubation or tracheostomy [7,8]. Couraud and colleagues reported tracheal and esophageal erosion in 0.3-3% of mechanically ventilated patients [7]. Laryngotracheal injury in the context of intubation has several known risk factors. High cuff pressure, high airway pressure, tube mobility, inappropriately large endotracheal tube, and prolonged intubation are risk factors related to intubation itself [9,10]. Additional risk factors include immunosuppression, hypotension, respiratory or esophageal infection, and use of a nasogastric tube [9-11].

The COVID-19 pandemic has resulted in an unprecedented increase in iatrogenic intubation-related laryngotracheal injuries due to both the volume of COVID-19 patients in the ICU who require IMV as well as the prolonged duration for which it is required [3]. Guan et al. reviewed 1,099 patients from 552 hospitals in China with confirmed COVID-19 cases between December, 2019 and January 2020. Ninety-one percent of these patients were diagnosed with pneumonia, with 3.4% progressing to ARDS [2]. Treatment of ARDS often involved prolonged mechanical ventilation with high peak pressures [12]. In another analysis of 1,591 patients referred for ICU admission within the COVID-19 Lombardy ICU Network, 88% required IMV [13]. Another study found that the median length of IMV was 10 days [13].

Tracheostomy is indicated for patients with severe cases of COVID-19 requiring prolonged mechanical ventilation [12]. Studies prior to COVID-19 have demonstrated the efficacy of early tracheostomy placement as opposed to long-term intubation in patients requiring IMV [3]. More specifically, tracheostomy placement within 1-2 weeks of intubation has shown significantly better outcomes than later tracheostomy with regard to weaning from IMV, complications, and mortality [3]. Unfortunately, patients with COVID-19 are often intubated for more prolonged periods due to a variety of clinical practice protocols including confirmation of viral load clearance and cessation of prone positioning prior to tracheostomy [3].

The rationale for confirmation of viral load clearance is to diminish the risk of COVID-19 transmission to healthcare workers performing the tracheostomy, which is recognized as a highly aerosol-generating procedure [14]. In a study comparing international perioperative care protocols in 26 countries for patients with COVID-19, Bier-Laning and colleagues found that the majority of protocols directly addressing perioperative COVID-19 testing recommended delaying tracheostomy until obtaining a negative COVID-19 test [15]. These protocols often extended intubation time to 3-4 weeks or more [3]. Alternatively, there was pressure to perform tracheostomies in this patient population due to the sheer number of COVID-19 patients requiring critical care compared to the limited availability of ventilators and ICU beds in an effort to reduce the duration of patient stays in the ICU [12].

Regarding the postponement of tracheostomies to prevent coronavirus transmission, Rosano and colleagues found that only 7 out of 91 doctors and nurses (7.7%) involved in early percutaneous tracheostomies acquired COVID-19, compared to 6 out of 52 healthcare workers (11.5%) with no prior involvement in tracheostomies [16]. This data suggests that delaying tracheostomies does not necessarily result in added protection for the associated healthcare team.

Furthermore, Fiacchini and colleagues performed a study comparing the incidence of intubation-related tracheal complications in patients with and without COVID-19. This study demonstrated that significantly more patients with COVID-19 undergoing prolonged intubation suffered from fullthickness tracheal injuries or tracheoesophageal fistulae than matched controls without COVID-19 (46.7% compared to 2.2%) [17]. These results emphasize the increased risk of prolonged intubation for patients with COVID-19. The authors proposed several hypotheses regarding airway injury specific to the pathophysiology and management of severe COVID-19. The tracheal mucosa harbors actively replicating COVID-19 viruses, which can theoretically weaken the mucosa. In severe cases, COVID-19 can also produce a prothrombotic and antifibrinolytic state which results in microvascular injury and can potentially lead to necrosis of the tracheal and esophageal mucosa [17]. In addition, severe COVID-19 infections are often treated with high doses of systemic steroids which can contribute to mucosal atrophy and alteration of normal healing processes [17]. Another contributing factor is the use of pronation maneuvers to improve ventilation in COVID-19 patients with severe respiratory compromise. This position introduces significant pressure of the endotracheal tube against the tracheal wall. This pressure is also transmitted to the esophagus, especially when a rigid orogastric or nasogastric tube is in place. Additionally, Fiacchini et al., found that the ratio of partial pressure of arterial oxygen to fraction of inspired oxygen was lower for COVID-19 patients compared to matched controls, which can result in hypoxic injury to the tracheal mucosa [17]. This constellation of factors is thought to contribute to the rise in iatrogenic airway sequelae from severe COVID-19 infections.

Tracheoesophageal fistulae can be life threatening as a result of dyspnea, tracheobronchial contamination, and impaired nutrition [18]. Pharyngoesophageal stenosis occurring simultaneously with tracheoesophageal fistulae has been reported in the literature [19-24]. The patient presented in this paper required surgical repair of both a tracheoesophageal fistula and complete PES. Concurrent tracheoesophageal fistulae and stenosis required additional surgical considerations, especially in light of having an intact larynx [20]. Early identification and continued protection of the recurrent laryngeal nerves is a critical step for functional success.

Proliferating evidence linking COVID-19 to iatrogenic airway injuries substantiates the need for multidisciplinary follow-up care of COVID-19 survivors [3]. Maintaining a low threshold of suspicion for intubation-related airway injuries and increasing awareness of subclinical symptoms associated with this diagnosis is necessary. Furthermore, head and neck surgeons should be familiar with existing techniques to correct these complications. An individualized approach is needed to optimally treat upper aerodigestive tract injuries depending on the specifics of their location and nature.

CONCLUSION

COVID-19 has contributed to an unprecedented rise in iatrogenic upper aerodigestive tract injuries. While most injuries are minor, serious complications such as TEFs have occurred at an alarming rate. Herein, we present the case of a patient with a TEF with complete PES secondary to COVID-19-related complications reconstructed with a novel surgical technique.

REFERENCES
  1. WHO Coronavirus (COVID-19) Dashboard: World Health Organization;2022.
  2. Guan WJ, Ni ZY, Hu Y, Liang WH, Ou CQ, He JX, et al. Clinical Characteristics of Coronavirus Disease 2019 in China. N Engl J Med. 2020; 382: 1708-20.
  3. Piazza C, Filauro M, Dikkers FG, Nouraei SAR, Sandu K, Sittel C, et al. Long-term intubation and high rate of tracheostomy in COVID-19 patients might determine an unprecedented increase of airway stenoses: a call to action from the European Laryngological Society. Eur Arch Otorhinolaryngol. 2021; 78: 1-7.
  4. Ribes A, Vardon-Bounes F, Memier V, Poette M, Au-Duong J, Garcia C, et al. Thromboembolic events and Covid-19. Adv Biol Regul. 2020; 77: 100735.
  5. Kowalski LP, Sanabria A, Ridge JA, Ng WT, de Bree R, Rinaldo A, et al. COVID-19 pandemic: Effects and evidence-based recommendations for otolaryngology and head and neck surgery practice. Head Neck. 2020; 42: 1259-67.
  6. Phua J, Weng L, Ling L, Egi M, Lim CM, Divatia JV, et al. Intensive care management of coronavirus disease 2019 (COVID-19). challenges and recommendations. Lancet Respir Med. 2020; 8: 506-17.
  7. Couraud L, Ballester MJ, Delaisement C. Acquired tracheoesophageal fistula and its management. Semin Thorac Cardiovasc Surg. 1996; 8: 392-9.
  8. Reed MF, Mathisen DJ. Tracheoesophageal fistula. Chest Surg Clin N Am. 2003; 13: 271-89.
  9. Wolf M, Yellin A, Talmi YP, Segal E, Faibel M, Kronenberg J. Acquired tracheoesophageal fistula in critically ill patients. Ann Otol Rhinol Laryngol. 2000; 109: 731-5.
  10. Santos PM, Afrassiabi A, Weymuller EA Jr. Risk factors associated with prolonged intubation and laryngeal injury. Otolaryngol Head Neck Surg. 1994; 111: 453-9.
  11. Pacheco-Lopez PC, Berkow LC, Hillel AT, Akst LM. Complications of airway management. Respir Care. 2014; 59: 1006-19.
  12. Caputo MP, Aziz S, Mifsud M. Early Tracheostomy in Morbidly Obese COVID-19 Patients: A Case Series and Discussion of Institutional Practices. Cureus. 2021; 13: e14345.
  13. Grasselli G, Zangrillo A, Zanella A, Antonelli M, Cabrini L, Castelli A, et al. Baseline Characteristics and Outcomes of 1591 Patients Infected With SARS-CoV-2 Admitted to ICUs of the Lombardy Region, Italy. JAMA. 2020; 323: 1574-81.
  14. Delides A, Maragoudakis P, Nikolopoulos T. Timing of Tracheotomy in Intubated Patients With COVID-19. Otolaryngol Head Neck Surg. 2020; 163: 328-9.
  15. Bier-Laning C, Cramer JD, Roy S, Palmieri PA, Amin A, Anon JM, et al. Tracheostomy During the COVID-19 Pandemic: Comparison of International Perioperative Care Protocols and Practices in 26 Countries. Otolaryngol Head Neck Surg. 2021; 164: 1136-47.
  16. Rosano A, Martinelli E, Fusina F, Albani F, Caserta R, Morandi A, et al. Early Percutaneous Tracheostomy in Coronavirus Disease 2019: Association With Hospital Mortality and Factors Associated With Removal of Tracheostomy Tube at ICU Discharge. A Cohort Study on 121 Patients. Crit Care Med. 2021; 49: 261-70.
  17. Fiacchini G, Trico D, Ribechini A, Forfori F, Brogi E, Lucchi M, et al. Evaluation of the Incidence and Potential Mechanisms of Tracheal Complications in Patients With COVID-19. JAMA Otolaryngol Head Neck Surg. 2021; 147: 70-6.
  18. Chauhan SS, Long JD. Management of Tracheoesophageal Fistulas in Adults. Curr Treat Options Gastroenterol. 2004; 7: 31-40.
  19. Thomas AN. The diagnosis and treatment of tracheoesophageal fistula caused by cuffed tracheal tubes. J Thorac Cardiovasc Surg. 1973; 65: 612-9.
  20. Marzelle J, Dartevelle P, Khalife J, Rojas-Miranda A, Chapelier A, Levasseur P. Surgical management of acquired post-intubation tracheo-oesophageal fistulas: 27 patients. Eur J Cardiothorac Surg. 1989; 3: 499-502.
  21. Bibas BJ, Cardoso PFG, Minamoto H, Pego-Fernandes PM. Surgery for intrathoracic tracheoesophageal and bronchoesophageal fistula. Ann Transl Med. 2018; 6: 210.
  22. Poissonnet V, Culie D, Rouanet C, Bozec A. Tracheoesophageal fistula and pharyngoesophageal stenosis repair by double skin paddle radial forearm flap. Eur Ann Otorhinolaryngol Head Neck Dis. 2021.
  23. Machado RA, Moubayed SP, Urken ML. Repair of pharyngoesophageal stenosis and a tracheoesophageal fistula using a dual-paddled radial forearm free flap: Flap design and surgical technique. Laryngoscope. 2017; 127: 2081-4.
  24. Calvo Medina V, Galan Gil G, Sales Badia G, Morcillo Aixela A, Garcia Zarza A, Tarrazona Hervas V, et al. [Benign acquired tracheoesophageal fistulas]. Arch Bronconeumol. 1997; 33: 577-81.

Greenberg LA, Wein LE, Dowling E, Urken ML (2022) Management of Acquired Tracheoesophageal Fistula and Complete Pharyngoesophageal Stenosis as a Complication of COVID-19. Ann Otolaryngol Rhinol 9(5): 1300.

Received : 15 Aug 2022
Accepted : 05 Sep 2022
Published : 07 Sep 2022
Journals
Annals of Otolaryngology and Rhinology
ISSN : 2379-948X
Launched : 2014
JSM Schizophrenia
Launched : 2016
Journal of Nausea
Launched : 2020
JSM Internal Medicine
Launched : 2016
JSM Hepatitis
Launched : 2016
JSM Oro Facial Surgeries
ISSN : 2578-3211
Launched : 2016
Journal of Human Nutrition and Food Science
ISSN : 2333-6706
Launched : 2013
JSM Regenerative Medicine and Bioengineering
ISSN : 2379-0490
Launched : 2013
JSM Spine
ISSN : 2578-3181
Launched : 2016
Archives of Palliative Care
ISSN : 2573-1165
Launched : 2016
JSM Nutritional Disorders
ISSN : 2578-3203
Launched : 2017
Annals of Neurodegenerative Disorders
ISSN : 2476-2032
Launched : 2016
Journal of Fever
ISSN : 2641-7782
Launched : 2017
JSM Bone Marrow Research
ISSN : 2578-3351
Launched : 2016
JSM Mathematics and Statistics
ISSN : 2578-3173
Launched : 2014
Journal of Autoimmunity and Research
ISSN : 2573-1173
Launched : 2014
JSM Arthritis
ISSN : 2475-9155
Launched : 2016
JSM Head and Neck Cancer-Cases and Reviews
ISSN : 2573-1610
Launched : 2016
JSM General Surgery Cases and Images
ISSN : 2573-1564
Launched : 2016
JSM Anatomy and Physiology
ISSN : 2573-1262
Launched : 2016
JSM Dental Surgery
ISSN : 2573-1548
Launched : 2016
Annals of Emergency Surgery
ISSN : 2573-1017
Launched : 2016
Annals of Mens Health and Wellness
ISSN : 2641-7707
Launched : 2017
Journal of Preventive Medicine and Health Care
ISSN : 2576-0084
Launched : 2018
Journal of Chronic Diseases and Management
ISSN : 2573-1300
Launched : 2016
Annals of Vaccines and Immunization
ISSN : 2378-9379
Launched : 2014
JSM Heart Surgery Cases and Images
ISSN : 2578-3157
Launched : 2016
Annals of Reproductive Medicine and Treatment
ISSN : 2573-1092
Launched : 2016
JSM Brain Science
ISSN : 2573-1289
Launched : 2016
JSM Biomarkers
ISSN : 2578-3815
Launched : 2014
JSM Biology
ISSN : 2475-9392
Launched : 2016
Archives of Stem Cell and Research
ISSN : 2578-3580
Launched : 2014
Annals of Clinical and Medical Microbiology
ISSN : 2578-3629
Launched : 2014
JSM Pediatric Surgery
ISSN : 2578-3149
Launched : 2017
Journal of Memory Disorder and Rehabilitation
ISSN : 2578-319X
Launched : 2016
JSM Tropical Medicine and Research
ISSN : 2578-3165
Launched : 2016
JSM Head and Face Medicine
ISSN : 2578-3793
Launched : 2016
JSM Cardiothoracic Surgery
ISSN : 2573-1297
Launched : 2016
JSM Bone and Joint Diseases
ISSN : 2578-3351
Launched : 2017
JSM Bioavailability and Bioequivalence
ISSN : 2641-7812
Launched : 2017
JSM Atherosclerosis
ISSN : 2573-1270
Launched : 2016
Journal of Genitourinary Disorders
ISSN : 2641-7790
Launched : 2017
Journal of Fractures and Sprains
ISSN : 2578-3831
Launched : 2016
Journal of Autism and Epilepsy
ISSN : 2641-7774
Launched : 2016
Annals of Marine Biology and Research
ISSN : 2573-105X
Launched : 2014
JSM Health Education & Primary Health Care
ISSN : 2578-3777
Launched : 2016
JSM Communication Disorders
ISSN : 2578-3807
Launched : 2016
Annals of Musculoskeletal Disorders
ISSN : 2578-3599
Launched : 2016
Annals of Virology and Research
ISSN : 2573-1122
Launched : 2014
JSM Renal Medicine
ISSN : 2573-1637
Launched : 2016
Journal of Muscle Health
ISSN : 2578-3823
Launched : 2016
JSM Genetics and Genomics
ISSN : 2334-1823
Launched : 2013
JSM Anxiety and Depression
ISSN : 2475-9139
Launched : 2016
Clinical Journal of Heart Diseases
ISSN : 2641-7766
Launched : 2016
Annals of Medicinal Chemistry and Research
ISSN : 2378-9336
Launched : 2014
JSM Pain and Management
ISSN : 2578-3378
Launched : 2016
JSM Women's Health
ISSN : 2578-3696
Launched : 2016
Clinical Research in HIV or AIDS
ISSN : 2374-0094
Launched : 2013
Journal of Endocrinology, Diabetes and Obesity
ISSN : 2333-6692
Launched : 2013
Journal of Substance Abuse and Alcoholism
ISSN : 2373-9363
Launched : 2013
JSM Neurosurgery and Spine
ISSN : 2373-9479
Launched : 2013
Journal of Liver and Clinical Research
ISSN : 2379-0830
Launched : 2014
Journal of Drug Design and Research
ISSN : 2379-089X
Launched : 2014
JSM Clinical Oncology and Research
ISSN : 2373-938X
Launched : 2013
JSM Bioinformatics, Genomics and Proteomics
ISSN : 2576-1102
Launched : 2014
JSM Chemistry
ISSN : 2334-1831
Launched : 2013
Journal of Trauma and Care
ISSN : 2573-1246
Launched : 2014
JSM Surgical Oncology and Research
ISSN : 2578-3688
Launched : 2016
Annals of Food Processing and Preservation
ISSN : 2573-1033
Launched : 2016
Journal of Radiology and Radiation Therapy
ISSN : 2333-7095
Launched : 2013
JSM Physical Medicine and Rehabilitation
ISSN : 2578-3572
Launched : 2016
Annals of Clinical Pathology
ISSN : 2373-9282
Launched : 2013
Annals of Cardiovascular Diseases
ISSN : 2641-7731
Launched : 2016
Journal of Behavior
ISSN : 2576-0076
Launched : 2016
Annals of Clinical and Experimental Metabolism
ISSN : 2572-2492
Launched : 2016
Clinical Research in Infectious Diseases
ISSN : 2379-0636
Launched : 2013
JSM Microbiology
ISSN : 2333-6455
Launched : 2013
Journal of Urology and Research
ISSN : 2379-951X
Launched : 2014
Journal of Family Medicine and Community Health
ISSN : 2379-0547
Launched : 2013
Annals of Pregnancy and Care
ISSN : 2578-336X
Launched : 2017
JSM Cell and Developmental Biology
ISSN : 2379-061X
Launched : 2013
Annals of Aquaculture and Research
ISSN : 2379-0881
Launched : 2014
Clinical Research in Pulmonology
ISSN : 2333-6625
Launched : 2013
Journal of Immunology and Clinical Research
ISSN : 2333-6714
Launched : 2013
Annals of Forensic Research and Analysis
ISSN : 2378-9476
Launched : 2014
JSM Biochemistry and Molecular Biology
ISSN : 2333-7109
Launched : 2013
Annals of Breast Cancer Research
ISSN : 2641-7685
Launched : 2016
Annals of Gerontology and Geriatric Research
ISSN : 2378-9409
Launched : 2014
Journal of Sleep Medicine and Disorders
ISSN : 2379-0822
Launched : 2014
JSM Burns and Trauma
ISSN : 2475-9406
Launched : 2016
Chemical Engineering and Process Techniques
ISSN : 2333-6633
Launched : 2013
Annals of Clinical Cytology and Pathology
ISSN : 2475-9430
Launched : 2014
JSM Allergy and Asthma
ISSN : 2573-1254
Launched : 2016
Journal of Neurological Disorders and Stroke
ISSN : 2334-2307
Launched : 2013
Annals of Sports Medicine and Research
ISSN : 2379-0571
Launched : 2014
JSM Sexual Medicine
ISSN : 2578-3718
Launched : 2016
Annals of Vascular Medicine and Research
ISSN : 2378-9344
Launched : 2014
JSM Biotechnology and Biomedical Engineering
ISSN : 2333-7117
Launched : 2013
Journal of Hematology and Transfusion
ISSN : 2333-6684
Launched : 2013
JSM Environmental Science and Ecology
ISSN : 2333-7141
Launched : 2013
Journal of Cardiology and Clinical Research
ISSN : 2333-6676
Launched : 2013
JSM Nanotechnology and Nanomedicine
ISSN : 2334-1815
Launched : 2013
Journal of Ear, Nose and Throat Disorders
ISSN : 2475-9473
Launched : 2016
JSM Ophthalmology
ISSN : 2333-6447
Launched : 2013
Journal of Pharmacology and Clinical Toxicology
ISSN : 2333-7079
Launched : 2013
Annals of Psychiatry and Mental Health
ISSN : 2374-0124
Launched : 2013
Medical Journal of Obstetrics and Gynecology
ISSN : 2333-6439
Launched : 2013
Annals of Pediatrics and Child Health
ISSN : 2373-9312
Launched : 2013
JSM Clinical Pharmaceutics
ISSN : 2379-9498
Launched : 2014
JSM Foot and Ankle
ISSN : 2475-9112
Launched : 2016
JSM Alzheimer's Disease and Related Dementia
ISSN : 2378-9565
Launched : 2014
Journal of Addiction Medicine and Therapy
ISSN : 2333-665X
Launched : 2013
Journal of Veterinary Medicine and Research
ISSN : 2378-931X
Launched : 2013
Annals of Public Health and Research
ISSN : 2378-9328
Launched : 2014
Annals of Orthopedics and Rheumatology
ISSN : 2373-9290
Launched : 2013
Journal of Clinical Nephrology and Research
ISSN : 2379-0652
Launched : 2014
Annals of Community Medicine and Practice
ISSN : 2475-9465
Launched : 2014
Annals of Biometrics and Biostatistics
ISSN : 2374-0116
Launched : 2013
JSM Clinical Case Reports
ISSN : 2373-9819
Launched : 2013
Journal of Cancer Biology and Research
ISSN : 2373-9436
Launched : 2013
Journal of Surgery and Transplantation Science
ISSN : 2379-0911
Launched : 2013
Journal of Dermatology and Clinical Research
ISSN : 2373-9371
Launched : 2013
JSM Gastroenterology and Hepatology
ISSN : 2373-9487
Launched : 2013
Annals of Nursing and Practice
ISSN : 2379-9501
Launched : 2014
JSM Dentistry
ISSN : 2333-7133
Launched : 2013
Author Information X