RadioFrequency Ablation of Septal Swell Body
- 1. Department of Otolaryngology - Head & Neck Surgery St. Elizabeth’s Medical Center, USA
ABSTRACT
Introduction: Anatomic etiologies of nasal obstruction (NO) include septal deviation, turbinate hypertrophy, and nasal valve collapse. We have also noted that nasal septal swell bodies (NSB) are extremely common and can produce a significant effect on nasal resistance. The aim of our study was to explore changes in validated outcome metrics after surgical reduction of NSB.
Methods: 60 consecutive patients (38 M: 22 F) were enrolled after persistent nasal obstruction following septoplasty, turbinate reduction and internal nasal valve repair. Clinical history and nasal endoscopy confirmed prominent NSB. Evaluation of treatment effect was determined by changes in the NOSE scale and a newly developed NSB grading scale before, and six months after swell body ablation in the officesetting using . NSB grades were based on endoscopic visualization of the middle turbinate (MT): 1= > 50% MT visualized; 2 = < 50% MT visualized; 3 = no MT visualized. Patient data was scored and transferred for analysis using Prism6
Graph Pad software.
Results: The 60 patients in our study had a mean age of 48 years (range 19- 71) and were followed for 3 and 6 months. The mean pre-operative NOSE score was 41.6 and mean NSB grade was 2.5. At 3 months, the mean post-operative NOSE score was 17 with NSB grade of 1. At 6 months, the NOSE score was 21 and the NSB grade was 1.2 (p<.05). Thus, statistically significant improvement in NOSE scores and standardized NSB grading was noted at 3 and 6 months post coblation of NSB tissue. There was one asymptomatic small septal perforation noted, and 5 patients needed retreatment at 6 months.
Conclusions: Coblation reduction of NSB is a safe and very effective new officebased treatment option for the correction of refractory nasal obstruction.
KEYWORDS
Septal, Nasal obstruction, Septoplasty
CITATION
Catalano P, Ashmead MG, Carlson D (2015) RadioFrequency Ablation of Septal Swell Body. Ann Otolaryngol Rhinol 2(11): 1069.
INTRODUCTION
The septal swell body was first described in the German literature 1951 by Wustrow and has been given several names since that time, including the septal turbinate, septal body, septal cavernous body, septal tumescence, and Kiesselbach’s ridge [1]. Its physiologic role is unclear, but it has been shown to react as expansile tissue, swelling in response to histamine and reducing in response to decongestants [2-4]. Little clinical attention has been paid to this area historically. Topical nasal preparations, such as intranasal steroids or antihistamines, can theoretically treat this area medically, but to our knowledge no such study has been performed. The focus of our study is to describe an officebased surgical treatment of the NSB, specifically with the use of radiofrequency ablation.
Airflow takes a parabolic path through the nasal cavity and any area of obstruction along this path may result in increased turbulence, which is then interpreted as nasal obstruction [5]. Laminar flow can be altered in many areas of the nose due to various reasons, including septal deviations, internal or external valvular collapse, middle and/or inferior turbinate hypertrophy, nasal polyposis, and enlarged adenoidal tissue. The NSB lies within the pathway of laminar flow; it is a fusiform structure on the septum, between the middle turbinate and the internal nasal valve [6].
Previous histologic and anatomic studies have been performed to help classify the NSB tissue. Histologically, this area has a significant proportion of glandular structures, especially in the superficial submucosa, denoting that it has secretory function [7]. However, on deeper examination, there appear to be an increased number of venous sinusoids, which suggests that its vasoactive properties can influence nasal airflow [6]. This also suggests that the size of the NSB may be gravity dependent and therefore influenced by patient head position. This vasoactivity has also been confirmed by several radiologic studies comparing changes to enhancement and size of the NSB before and after vasoconstriction.
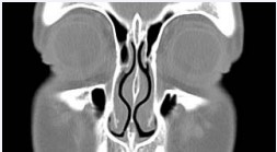
Radiologic imaging of the NSB has been reported using both CT and MR modalities (Figure 1).
Figure 1: Nasal Septal Swell Body* (NSB) as seen on coronal CT image.
The NSB is easily identified using either technique, and can also be shown to the patient during pre-op counseling.
Treatment of the NSB has not been a common rhinologic procedure. Only one underpowered study has looked at the effect of reduction of the NSB in the treatment of nasal obstruction and inflammatory disease, without showing any benefit [8]. Thus the goal of our study was to determine if the septal swell body was a contributing factor to some degree of persistent nasal obstruction in patients who underwent successful septoplasty, turbinoplasty and endoscopic sinus surgery.
MATERIALS AND METHODS
In our study, the indication for treatment of the NSB is persistent subjective nasal obstruction after failure of medical therapy (i.e. nasal steroid sprays, antihistaimes), septoplasty, endoscopic sinus surgery, inferior turbinate reduction, and internal nasal valve repair. All patients had the presence of significant widening of the septum at the area of the NSB that obstructs a clear view of the middle turbinate on nasal endoscopy. To confirm the diagnosis of NSB obstruction, endoscopic guided compression of the NSB tissue with a freer, while asking the patient to breath before and after NSB compression, should yield a positive response in cases of NSB obstruction. We recommend waiting a minimum of 3 months after septoplasty before performing this procedure to avoid a septal perforation. The latter was seen in a few of our early patients when we attempted NSB ablation immediately after septal surgery. Patients can be treated either bilaterally or unilaterally, based upon symptoms and physical exam. Bilateral treatment can be done during the same visit. Be aware of the nasal cycle and its potential impact on the diagnosis of NSB obstruction, and whether it is a unilateral or bilateral process, as well as the fact that the NSB is gravity dependent tissue, and may only be clinically active during sleep when the patient is supine. If patients complain of nasal obstruction mostly during sleep, and the in-office endoscopic exam does not identify a cause, we have placed patients supine for 20-30 minutes to allow their nasal tissues to enlarge by minimizing the effect of gravity. Endoscopic exam after this maneuver will usually clarify the sight of the obstruction, and whether a large NSB is present.
Sixty patients underwent RFA of their NSB under local anesthesia in the office-setting. Age ranged from 19-71 years, there were 38 males and 22 females, and 43/60 patients were atopic.All patients underwent septoplasty and bilateral inferior turbinoplasty, and 3 patients required unilateral internal nasal valve surgery prior to their NSB procedure. NSB ablation was only performed in this study if all other potential causes of nasal obstruction were evaluated and addressed, thus the final result could only be due to the effect of NSB ablation. The procedure was performed bilaterally in 80% of patients, and unilaterally (10% right, 10% left) in the remainder. It is important to note that almost all patients were improved after their original surgical procedure (septoplasty, turbinate reduction, etc), however, they did note some persistent symptoms of reduced airflow which improved with NSB compression as described earlier. In the majority of cases this was most obvious during sleep. This study was approved by the IRB at our institution.
Pre-operative Grading / Assessment
All patients completed the validated Nasal Obstruction Symptom Evaluation (NOSE) scale prior to their NSB procedure, and at their 3 and 6 month follow-up visits. Because the NOSE scale is a purely subjective evaluation, we developed an NSB endoscopy grading scale for the purpose of evaluating the degree of reduction of the NSB as seen clinically. The latter was based on one’s ability to see the middle turbinate from the most anterior nares during routine nasal endoscopy. A NSB endoscopy score of 1 permits visualization of >50% of the ipsilateral MT, a score of 2 reveals <50% of the middle turbinate, and a score of 3 means the middle turbinate could not be visualized. To minimize bias, all endoscopic grades were assigned by an independent rhinologist not involved in treating any of the study patients. We specifically did not use rhinomanometry to assess nasal obstruction as it has been shown to be a very unreliable and insensitive measurement.
Surgical technique
The goal of the procedure is to ablate the vasoactive tissue within the NSB and to decrease the width of the septum without resulting in septal perforation. The setup is similar to other otolaryngic office-based nasal procedures. The patient is first seen in an exam room and endoscopy performed prior to any decongestant application to confirm the presence of the NSB. Be aware of the nasal cycle as we have identified and treated the NSB unilaterally in our early experience, only to have it noted on the contralateral side in subsequent visits. Topical oxymetazoline is then administered, followed by 1 spray of 4% topical lidocaine.
The patient is then reclined approximately 30 degrees. A submucosal injection of 1 ml of 1% lidocaine with 1:200,000 epinephrine is then performed on the first side to be treated. The patient is advised before and during the procedure that he or she may experience a transient increase in heart rate. In our experience, this seems to be more profound than the effect of injecting the same medication into the inferior turbinates. The injection needle is placed parallel to the long axis of the septum so that only the swell body is infiltrated with lidocaine. This minimizes the amount of lidocaine required and associated tachycardia. The NSB area is not a very sensitive and patients tolerate the injection very well.
After approximately 20 seconds, the radiofrequency wand is placed into the nasal cavity. If one waits too long after injection, the epinephrine effect can sometimes temporarily resolve the NSB making its identification difficult. The wand (either Arthrocare at a coblation setting of 6, or Celon at a setting of 25) is inserted into the NSB submucosa parallel to the septum, similar to the technique and trajectory of the needle used for injection of the local anesthesia. The wand remains in place for about 2 seconds per pass, looking for early blanching and contraction of the overlying mucosa. Two to four (average of three) parallel passes are completed depending upon the size of the NSB, moving vertically along the area of swelling from inferior to superior. A cylindrical cotton pledget may be placed intranasally to assist with post-treatment hemostasis if needed, and is removed after five minutes. This last step varies depending upon the RF technology being used as better hemostasis can be achieved with certain technologies. The gentle ooze from the RF treatment sites confirms the vascular nature of the NSB.
The procedure can then be repeated on the contralateral side at the same visit. In our experience, this has not increased the risk for perforation or epistaxis.
Postoperative management and Follow-up
Hypotonic saline irrigations are recommended, once daily for 2 weeks, beginning the day of the procedure. No medicines are required, and patients generally return to work the same day. Patients are typically seen in follow-up two or three months after the procedure to allow for maximum RF effect. Sooner followup can be performed as needed on an individual basis. Pain is extremely rare, and if present, usually signifies a post-treatment infection.
Patients were evaluated using the NOSE score and endoscopy grade at baseline, 3 months and 6 months following NSB ablation.
RESULTS
At the 3 month follow-up, the average pre-op NOSE score of 41.6 was reduced to 17 at 3 month follow-up (p<.05), and the average pre-op NSB endoscopy score of 2.5 was reduced to 1.0. Figure 2
Figure 2: Endoscopic view of right nasal cavity before and after NSB RFA. Note white dot on anterior tip of middle turbinate S = septum, IT = inferior turbinate, SB = swell body, arrows = RFA site
shows a pre-op and post treatment endoscopic image of a right sided NSB, and Figure 3
Figure 3: Endoscopic view of left nasal cavity showing NSB before and 6 months after RFA. Blue dot on anterior tip of middle turbinate. SB = swell body, S = septum
shows the same patients 6 months after the RFA procedure. Note the obvious improvement in endoscopic visualization of the ipsilateral middle turbinate. After 6 months, the average NOSE score 20.6 (p<.05), and the average NSB endoscopy score was 1.2.
Five of the sixty patients acquired a new NSB, either on the untreated contralateral side, or anterior to the original NSB on the ipsilateral side. All 5 patients requiring retreatment carried the diagnosis of vasomotor rhinitis, and had very vasoactive nasal tissues. The original NSB was completely reduced in all patients.
Nasal crusting was common and can be minimized by lowering the RF energy and using saline irrigations. Occasionally, a small, localized infection can occur, which resolves easily with a short course of oral antibiotics. The latter was seen in 3 study patients. To date, we have had one asymptomatic and limited septal perforation in the study group when performed bilaterally in-office as described herein. This perforation was small, just in front of the middle turbinate, and positioned high on the septum, making it clinically silent. The patient was completely unaware of the perforation. One patient reported significant epistaxis 3 weeks after the procedure, which was likely due to the late detachment of a NSB septal scab. Post procedure pain is rare and when present, is usually due to local infection. Most patients return to work the same day.
DISCUSSION
No appropriate clinical trials have been published to date looking at the treatment of the NSB after failure of more traditional techniques to maximally improve nasal airflow. In studying our own cohort of 60 patients, we have been able to reduce the NOSE (nasal obstruction symptom evaluation) score and endoscopic grade more than half (p<.05), with only minor complications such as local infection, crusting, or small asymptomatic septal perforation. Septal perforation was a rare and clinically silent complication, but was much more common when performed in the operating room simultaneously with septoplasty. Instead, we recommend RFA of the NSB as an in-office procedure to be performed a minimum of 3 months after healing from septoplasty in those patients with some degree of persistent symptoms from this anatomic area. Reducing the RF energy can also minimize the risk of perforation, but one must balance lowering the risk with the potential for inadequate tissue reduction due to reduced RF energy.
RFA of NSB can easily be performed with minimal risks in patients who do not have a septal deviation, but are diagnosed with large NSB. Similar to a modified Cottle maneuver, one can confirm the diagnosis by placing a freer or ear wax curette in the nose under endoscopic control and simply compressing the NSB medially. If the patient notes improvement in breathing, then the NSB is the cause. Remember that many patients will not be symptomatic in the upright position, as enlargement of the NSB is sensitive to gravity. Therefore, the maneuver described above to identify symptomatic patients is not fail safe, and must be taken into proper account with other information obtained from the rest of the patient’s physical exam and history. Furthermore, due to the high incidence of clinically relevant nasal obstruction due to NSB enlargement seen in our practice, we have begun to identify the NSB on pre-op CT images and forewarning patients undergoing endoscopic sinus surgery that a secondary in-office procedure to enhance nasal airflow will likely be required during the early follow-up period. To be clear, most of the patients in this study were significantly improved after their primary nasal surgery (septoplasty, turbinoplasty, etc), however, they did note some residual symptoms of reduced nasal airflow as noted in their pre-RFA NOSE scores. We did not obtain NOSE scores prior to their primary nasal/sinus procedures as its need was not anticipated. Thus, the average baseline NOSE score (41.6) is not very high because some degree of improvement was already achieved, however, as shown in our study, further improvement can be achieved with NSB reduction (NOSE scores reduced to 17 and 20.6 at 3 and 6 months, respectively). In simple terms, reduction of the NSB has made the difference between a good result and a great result.
In order to obtain an objective unbiased measure of NSB reduction, we developed a novel endoscopic grading system that was performed by an independent rhinologist not involved in the treatment of any of the study patients. The grading system was relatively simple and based on one’s ability to visualize the ipsilateral middle turbinate on routine nasal endoscopy. If in full view, the score as 1, if >50% was visible, the score was 2, and if <50% was visible, the score was 3. Our baseline endoscopy score was 2.5, reflective of the highly obstructive nature of the NSB in this cohort. After 3 months, the endoscopy score was reduced to 1.0, and after 6 months, remained low at 1.2 (p<.05). The slight increase in both NOSE score and endoscopy score was due to the 5 patients with vasomotor rhinitis who developed a new NSB.
Radiofrequency ablation has become an accepted method for tissue reduction in the inferior turbinates in the office under local anesthesia, thus this technique was slightly modified for treatment of the NSB [9]. The long-term efficacy of this procedure (>2 years) has not yet been studied, as the procedure is new and follow-up time reported herein limited to 6 months. We did see the need to retreat 5/60 patients after 6 months due to the presence of new NSB, either contralateral to the treated side, or anterior to the original NSB on the ipsilateral side. All 5 patients were previously diagnosed with vasomotor rhinitis, a well-known vasoactive disease process. In general, one might postulate that the durability of NSB RFA would mirror radiofrequency ablation of the inferior turbinates since the vasoactive tissues are similar, but this is yet unproven. Further studies to demonstrate the longterm effectiveness of this treatment are needed and underway, yet this simple procedure has yielded significant improvements in our patient population, and is an important adjunct to any nasal airway procedure in patients with obstructive sleep apnea, snoring, allergic rhinitis, and other types of nasal obstruction.
CONCLUSION
RF reduction of the NSB is a safe and very effective new officebased treatment option for the correction of refractory nasal obstruction.


