Loading

Annals of Breast Cancer Research

The Role of MRI-Guided Tissue Marker Placement without Concurrent Breast Biopsy in Preoperative Localization of Breast Disease

Research Article | Open Access | Volume 7 | Issue 1

  • 1. Department of Breast Imaging, The University of Texas MD Anderson Cancer Center, Texas, USA
  • 2. Harris Health System, Texas, USA
  • 3. South Texas Radiology Group, Texas, USA
  • 4. Department of Biostatistics, The University of Texas MD Anderson Cancer Center, Texas, USA
+ Show More - Show Less
Corresponding Authors
Megan J Kalambo, Department of Breast Imaging, The University of Texas MD Anderson Cancer Center, 1155 Pressler-Unit 1350, Houston, Texas, USA, Tel: +713-745-5555; E-mail:mkalambo@mdanderson.org/megan.kalambo@gmail.com
Abstract

Objective: This retrospective study evaluates breast MRI-Guided Clip Marker Placement (MRCMP) without concurrent biopsy for preoperative surgical localization where a component of disease extent can only be seen on MRI. Achievement of negative surgical margins was the primary outcome.

Material and Methods: 28 patients with 30 lesions underwent breast MRCMP without a concurrent biopsy between May 2008 and February 2019. Age, lesion type (Mass or Non-Mass Enhancement (NME)), size, type of localization, pathology, surgical margins (positive or negative) and post-surgical course were recorded.

Results: 23 patients had malignant breast pathology and were included in the study. 12(52%) presented as a mass and 11(48%) as NME. Mean lesion size was 3.6 cm (median 2 cm, range 0.4-13.5 cm). No difference in lesion size or type was identified between the positive and the negative surgical margin groups (p = 0.53 and p = 0.51, respectively). 17(74%) underwent preoperative image-guided surgical localization following MRCMP. Seven (41%) were localized with radioactive seeds, seven (41%) with wire guidance and three (18%) with magnetic seeds. 13(57%) received neoadjuvant chemotherapy. Final pathology for eight (35%) was invasive and in situ ductal carcinoma (DCIS), five (22%) invasive lobular carcinoma, three (13%) pure IDC, three (13%) pure DCIS, one (4%) invasive mammary carcinoma, one (4%) pleomorphic Lobular Carcinoma in Situ (LCIS), one (4%) angiosarcoma, and one (4%) showed no evidence of residual disease. 17(74%) had negative surgical margins and 6(26%) positive margins. All positive margins underwent BCS at initial surgery. The use of Neoadjuvant Chemotherapy (NAC) before BCS was the only statistically significant factor between positive and negative margins (p = 0.02). Patients achieving negative margins at surgery received NAC at a higher rate (75%) than positive margins (17%).

Conclusion: MRCMP without concurrent breast biopsy is a practical technique for achieving negative margins in patients desiring BCS when a component of disease can only be seen on MRI. This technique has demonstrated utility in facilitating successful excision of disease measuring up to 13.5 cm in our patient population. The MRCMP technique should be considered while MRI compatible wireless localization devices remain unavailable for widespread commercial use.

Citation

Kalambo M, Fan J, Boyce W, Patel M, Bassett RL, et al. (2023) The Role of MRI-Guided Tissue Marker Placement without Concurrent Breast Biopsy in Preoperative Localization of Breast Disease. Ann Breast Cancer Res 7(1): 1022.

INTRODUCTION

Breast cancer is the most common cancer diagnosed in women and accounts for more than 10% of cancer diagnoses each year.. While most early-stage breast cancers are detected as small non palpable cancers by screening mammography and ultrasound, a subset of breast cancers may have additional disease extent that cannot be detected by mammography and ultrasound alone [1- 3]. The utility of contrast-enhanced breast Magnetic Resonance Imaging (MRI) in the detection of mammogram and ultrasound occult breast cancer, particularly in high-risk patient population has demonstrated efficacy in recent years.

A number of studies have demonstrated that the sensitivity of contrast-enhanced MRI is superior to that of mammography and ultrasound, performing in a range of 89% to 100% sensitivity [2-3]. The utility of preoperative MRI in patients newly diagnosed with breast cancer continues to be a topic of debate. In the setting of a patient with known breast cancer, the identification of suspicious enhancement often prompts MRI guided biopsy to ensure that disease extent is fully accounted for. Some contend that MRI can detect additional disease not appreciated on conventional ultrasound and mammogram imaging that can ultimately guide treatment. Conversely, others assert that routine preoperative MRI results in a higher incidence of unnecessary ipsilateral and bilateral mastectomies without impact on morbidity or mortality [2-3].

Breast Magnetic Resonance Imaging (MRI) and MRIguided interventions are increasingly being utilized to evaluate nonpalpable breast lesions that are occult by ultrasound and mammography [1-4]. MRI-guided tissue marker placement is a minimally invasive interventional procedure that relies on high quality MRI imaging, expertise in imaging interpretation and operator experience [5-14].

While MRI-guided tissue marker placement is rarely performed in the absence of a concurrent tissue biopsy, there are instances when clip marker placement may be indicated to guide pre-operative image-guided surgical localization and excision [5]. Indications for MRI-guided marker placement without a biopsy include patients with partially documented and/or contiguous multifocal disease requiring additional delineation of disease extent to guide successful excision, periareolar or far posterior chest wall lesions that cannot be sampled safely under MRI guidance, patients with concern for residual disease at the surgical bed, and clip migration or failed clip marker deployment following MRI-guided biopsy [5,6,13-15]. After successful clip marker placement, these lesions can then be localized by mammographic guidance in preparation for surgical excision.

MRI-guided clip marker placement in the absence of a concurrent breast biopsy differs from standard localization techniques as the targeted areas remain un-biopsied and are presumed to be suspicious or contiguous with a known malignant lesion. It is unclear if factors such as lesion type (Mass Versus Non-Mass Enhancement), lesion size, or method of localization influence the success of one-step surgical excision of the targeted lesions. This retrospective study investigates the role of MRI-guided breast clip marker placement in the absence of a concurrent breast biopsy in breast cancer patients desiring breast conservation. Achievement of negative margin status at surgery was the primary outcome.

MATERIALS AND METHODS

Patient Demographics and MRI Lesion Features, Penultimate Sentence

All participants diagnosed with breast cancer undergoing breast MRI-guided clip marker placement without a concurrent biopsy were retrospectively enrolled into our study. A waiver of informed consent was granted by the institutional review board for this HIPAA-compliant study. All eligible cases occurring between May 1, 2008 and February 20, 2019 were retrospectively reviewed. The decision for MRI-guided clip marker placement without concurrent biopsy was at the discretion of the operating surgeon and the patient agreeing to proceed with planned breast conservation. Patient age, MRI lesion type (Mass or NonMass Enhancement), lesion size, number of clip markers placed, type of localization device used (wire, radioactive or magnetic seed), final surgical pathology, surgical margin status (positive or negative margins), adjuvant treatment (chemotherapy and/ or radiation therapy), re-excision, and mastectomy conversion were obtained from the patients’ electronic medical records. All available and relevant images, imaging reports, pathology and clinical notes were reviewed by two dedicated fellowship trained breast imaging radiologists with eight and 30 years of breast imaging experience. Lesions were classified according to their appearance using the American College of Radiology BI-RADS standardized lexicon [16] and classified as a mass or a region of non- mass enhancement.For the purposes of this study, all foci were grouped into the mass group to allow for a binary assessment of margin status. Lesion size was based on the largest dimension reported on diagnostic breast MRI. The number of clip markers placed, the type of device (wire, radioactive or magnetic seed) and the modality (mammography and/or ultrasound) subsequently used for preoperative localization were also recorded.

MRI-Guided Clip Marker Placement - Pre-procedural Planning and Equipment As with all breast imaging procedures, successful preprocedural planning for MRI-guided clip marker placement requires review of all pertinent imaging studies, imaging reports and pathology reports [12]. Communication with the surgeon is an essential component of the planning process to ensure that there is clarity in the procedural objectives in preparation for localization, especially in complex cases. All cases were reviewed between 1-10 days prior to the scheduled procedures by one of 17 fellowship trained breast radiologists with one to 30 years of experience. All patients scheduled for MRI-guided clip marker placement had a preceding diagnostic MRI within 1 month of their MRI-guided clip marker placement procedure and had completed neoadjuvant chemotherapy where applicable.

The type, location and size of the targeted lesions, shape and the number of existing clip markers in the ipsilateral breast, and the number of clip markers needed were reviewed and informed consent was obtained. MRI-guided clip marker placement was performed on either a 1.5 T (Signa, GE Healthcare, Waukesha, WI) or 3-T (Signa Excite HDx, GE Healthcare, Waukesha, WI) MRI unit. The MRI-guided clip marker placement and initial diagnostic breast MRI were performed on the same scanner whenever possible. A bilateral 7-channel phased-array breast coil (Open Breast Array Coil, Invivo, Gainesville, FL) and a fenestrated grid localization apparatus were used.

MRI Clip Marker Placement - Procedure Technique

Clip marker placement was performed by one of 17 fellowship trained breast radiologists with one to over 30 years of experience along with trainees under their supervision. Preprocedural sagittal breast MRI images were obtained prior to and after the administration of gadolinium contrast (gadobenate dimeglumine [MultiHance, Bracco] or gadobutrol [Gadovist, Bayer HealthCare)]. The same type of contrast agent and the same dose of the contrast agent was utilized at both the diagnostic MRI and the procedural MRI whenever possible. Utilizing a manual technique and calculation based on localization of the targeted lesion relative to the fiducial marker placed in the fenestrated grid, the targeted lesion was localized. Utilizing sterile technique, local anesthetic was administered, and a small skin incision was made to advance the obturator into the lesion. Axial images were then obtained to confirm positioning of the obturator within the targeted lesion prior to marker placement. Once the appropriate position was confirmed, the clip marker was deployed. (Figure 1A)

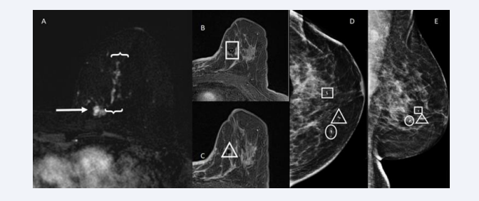
 A: T1-weighted post-contrast subtraction MRI shows a lobular mass with irregular margins in the left breast upper inner quadrant (arrow). This finding is  consistent with the index carcinoma. There is associated malignant appearing segmental, reticular non mass enhancement contiguous with the index mass extending  anteriorly and laterally (brackets). B and C: Post-contrast MRI show clip marker placement in the anterior-superior (square) and lateral (triangle) most extent of  enhancement. D and E: Craniocaudal and lateral post-clip mammography shows the index tumour (circle) and two ribbon clip markers delineating the anterior (triangle  and square) and lateral (square) most extent of disease. Final pathology showed invasive and in situ ductal carcinoma with negative margins.

Figure 1: A: T1-weighted post-contrast subtraction MRI shows a lobular mass with irregular margins in the left breast upper inner quadrant (arrow). This finding is consistent with the index carcinoma. There is associated malignant appearing segmental, reticular non mass enhancement contiguous with the index mass extending anteriorly and laterally (brackets). B and C: Post-contrast MRI show clip marker placement in the anterior-superior (square) and lateral (triangle) most extent of enhancement. D and E: Craniocaudal and lateral post-clip mammography shows the index tumour (circle) and two ribbon clip markers delineating the anterior (triangle and square) and lateral (square) most extent of disease. Final pathology showed invasive and in situ ductal carcinoma with negative margins.

A T1-weighted post-contrast image was obtained in the majority of cases at the radiologist’s discretion for assessment of clip deployment and post-procedural hematomas (Figure 1B,1C). The patient was then escorted to the mammography suite where craniocaudal and lateral medial or mediolateral mammograms were obtained. These images were evaluated to confirm successful clip marker deployment and to document potential clip migration (Figure 1D,1E). All patients subsequently underwent surgical excision with total mastectomy or breast conservation with mammographic localization utilizing wire, magnetic seed or radioactive seed guidance.

Surgical Margin Assessment

For all patients, intraoperative specimen radiography was performed to document excision of the targeted lesions and retrieval of all deployed clips and localization devices. The final surgical pathology report was used to assess the surgical margin status. Positive margin status was defined as a lesion in direct contact with the inked specimen margin [17-19]. For the purposes of our study, close and negative margin lesions were grouped together and referred to as “negative margins” to allow for binary assessment of margin status.

Statistical Analysis

All lesions were treated independently to account for independent margin status reporting at the time of final surgical pathology. Comparisons were made between patients with positive margins and patients with negative margins. Selected continuous variables were compared between groups using the Wilcoxon rank-sum test. Selected categorical variables were compared between groups using Fisher’s exact test. All statistical analyses were performed using R version 3.6.1. All statistical tests used a significance level of 5%. No adjustments for multiple testing were made.

RESULTS

Lesion Morphology, Pathology and Localization

A total of 23 patients with malignant pathology underwent MRI-guided clip marker placement without a concurrent biopsy during the study timeframe (Figure 2A,2B).

 A: T1-weighted post-contrast subtraction MRI image demonstrates non-mass enhancement in the central right breast (arrow). B: MRI-guided core biopsy  with clip marker placement (circle) showed carcinoma in situ with predominantly lobular features and focal pleomorphism. C and D: Craniocaudal and lateral post-clip  mammography images show anterior and inferior migration of the post-biopsy clip (circle). Figure E: Subsequent MRI-guided clip marker images show satisfactory  positioning of the clip marker into the area of non-mass enhancement targeted for initial biopsy (triangle). F and G: Post-clip mammography images following same  day I125 radioactive seed insertion document appropriate positioning of the MRI clip marker and successful localization (triangle). The migrated clip marker is seen  anteriorly and laterally (circle). Two clips from benign stereotactic biopsies are noted in the upper outer and lower inner quadrants (arrowhead). Final pathology  showed pleomorphic LCIS with negative margins.

Figure 2: A: T1-weighted post-contrast subtraction MRI image demonstrates non-mass enhancement in the central right breast (arrow). B: MRI-guided core biopsy with clip marker placement (circle) showed carcinoma in situ with predominantly lobular features and focal pleomorphism. C and D: Craniocaudal and lateral post-clip mammography images show anterior and inferior migration of the post-biopsy clip (circle). Figure E: Subsequent MRI-guided clip marker images show satisfactory positioning of the clip marker into the area of non-mass enhancement targeted for initial biopsy (triangle). F and G: Post-clip mammography images following same day I125 radioactive seed insertion document appropriate positioning of the MRI clip marker and successful localization (triangle). The migrated clip marker is seen anteriorly and laterally (circle). Two clips from benign stereotactic biopsies are noted in the upper outer and lower inner quadrants (arrowhead). Final pathology showed pleomorphic LCIS with negative margins.

The median patient age was 52 years (age range, 34-77 years). The distribution of lesions by MRI morphology, localization modality, localization device, final surgical pathology, margin status and post-operative course is summarized in (Table 1).

Table 1: Summary of characteristics for patients undergoing MRI-guided clip marker placement.

VARIABLE DESCRIPTOR N %
MRI Lesion Type Mass 10 43
Nonmass Enhancement 11 48
Hematoma 2 9
Localization Modality Radioactive Seed 8 35
Wire Localization 7 30
Magnetic Seed 2 9
Mastectomy 6 26
Neoadjuvant Chemotherapy Yes 13 57
No 10 43
Surgical Pathology IDC + DCIS 8 35
IDC 3 13
DCIS 3 13
ILC 5 22
ILC +1DC 1 4
Pleomorphic LCIS 1 4
Angiosarcoma 1 4
No Residual Disease 1 4
Margin Status Negative 17 74
Positive 6 26
Post-Surgical Course Chemotherapy + Radiation 3 13
Chemotherapy + Radiation + Re-excision 1 4
Mastectomy 1 4
Re-excision 1 4

Of the 23 malignant lesions identified, 12(52%) presented on breast MRI as a mass and 11(48%) as non-mass enhancement. Mean lesion size was 3.6 cm (median 2 cm, range 0.4-13.5 cm) (Figure 2C,2D). No differences in lesion size or type were identified between the positive and the negative surgical margin groups (p = 0.53 and p = 0.51, respectively). 17(74%) of the 23 patients underwent preoperative image-guided surgical localization following MRI-guided clip marker placement. The remaining six (26%) patients did not undergo localization as the treatment planned was changed to mastectomy at their initial surgery (Figure 2E). Of the 17 patients undergoing breast conservation with pre-surgical localization, seven (41%) were localized with radioactive seeds, seven (41%) with wire guidance and three (18%) with magnetic seeds.

13 out of 23 patients (57%) received neoadjuvant chemotherapy, while 10(43%) did not. The pathology at final surgery for eight patients (35%) was invasive and in situ ductal carcinoma. An additional five patients (22%) had invasive lobular carcinoma, three (13%) had pure invasive ductal carcinoma, three (13%) had pure in situ ductal carcinoma, one (4%) was invasive mammary carcinoma, one (4%) had pleomorphic LCIS, one (4%) had angiosarcoma, and one patient (4%) showed no evidence of residual disease.

Surgical Margin Results

17 out of 23 patients (74%) had negative margins at surgery and 6 (26%) had positive margins. All six patients with positive margins underwent Breast Conservation (BCS) at initial surgery.Of the six patients with positive margins, two (33%) underwent re-excision with subsequent negative margin status, three (50%) were treated with adjuvant chemotherapy and radiation therapy, and one (17%) underwent total mastectomy. Two of the three patients (67%) undergoing immediate oncoplastic reconstruction with tissue rearrangement at the time of surgery had close margins and subsequently underwent adjuvant chemotherapy and radiation therapy. Of the parameters considered, the use of Neoadjuvant Chemotherapy (NAC) was the only statistically significant factor that differed between patients with positive and negative surgical margins (p = 0.02). Patients with negative margins at initial surgery received NAC at a higher rate (75%) than patients with positive margins (17%). As of December 31, 2021, there was no documented evidence of recurrence for any of the patients in our cohort in the electronic medical records. A single patient was deceased from non-breast cancer related sequelae.

DISCUSSION

Our retrospective study suggests that breast MRI-guided clip marker placement without a concurrent biopsy can aid in guiding successful excision with negative margins in the majority of patients. This technique has been shown to be useful in facilitating excision of extensive disease measuring up to 13.5 cm in our patient population and serves as a supplemental tool for breast imaging and surgical teams to consider in the setting of patients who desire breast conservation.

In our study, the majority of patients undergoing breast conservation returned with negative margins. Six patients out of 23(26%) had positive margins, mirroring the rate of margin positive resections at breast conservation in the National Cancer Database [18]. Roughly equivalent margin status was achieved with seed versus wire localization, data that also closely aligns with the current literature [19].

Our study had several limitations. The retrospective design over a short study period resulted in limited power of the study data presented. Additionally, there were six patients who went from clip marker placement to mastectomy, with no attempt at breast conservation, at the discretion of the operating surgeon, effectively removing them from the margin assessment category. Furthermore, the type of localization device utilized was solely at the discretion of the operating surgeon. Multiple studies have consistently shown at least equivalence in surgical margin status when comparing seed localization to wire guidance [20-22].

Although MRI-guided clip marker placement aids in mapping the disease extent in preparation for surgery, an additional variable to consider is the additional time and resources required to carry out this procedural step. These cases routinely follow multiple diagnostic mammography, ultrasound and MRI evaluations, which can take an emotional and physical toll and leave the patient fatigued [2,9]. Additionally, costs should also be considered. Although a cost analysis was not a component of this study, it is presumed that, in a bundled payment system, MRI guided clip marker placement may result in an overall savings in cost per patient when extrapolating for differences in rates of margin positivity and the need for possible additional surgeries.

At the time of this study, no commercially available single step MRI safe nonwire localization device was available on the market - leaving breast conservation candidates with mammography or sonographically occult disease to have MRI only findings localized under a minimum of a two-step procedure involving biopsy or clip marker placement followed by localization, usually under mammographic guidance. This procedure adds time to the patient’s presurgical localization process, requiring additional coordination and scheduling with localization to follow on the same day as the MRI-guided clip marker placement unit or on subsequent days. The formation of a hematoma after biopsy may result in clip migration, presenting a subsequent challenge to mammographic localization of the clip when excision is required. Additionally, some patients have difficulty tolerating the prone position and also encounter challenges with claustrophobia or contrast intolerance which underscores the importance of proactively identifying and vetting eligible patient candidates prior to the procedure [23].

Of the parameters considered, the use of NAC was the only statistically significant factor that differed between patients with positive and negative surgical margins after MRI-guided clip marker placement without a concurrent biopsy. Accurate assessment of NAC response plays a significant role in estimating the residual disease burden with tumor downsizing and achievement of pathologic complete response being the main aims of NAC [22,24,25]. Recent studies have shown that less than 30% of patients achieve a pathologic complete response and roughly 5% of patients show disease progression while receiving NAC [26]. The likelihood of achieving significant response is also largely predicated on the cancer phenotype and the histologic subtype [24,27]. Sheikhbahaei, et al performed a meta-analysis to compare the diagnostic accuracy of MRI and PET/CT for the prediction of pathological response following NAC in breast cancer patients [27]. The study results showed that FDG-PET/ CT imaging outperformed MRI for assessment during NAC treatment, whereas the overall performance of MRI was higher at the completion of NAC, before surgery [27]. When compared with PET/CT, MRI has a higher sensitivity but a lower specificity in predicting pathologic response. The study also concluded that MRI assessment was also shown to be most accurate in HER2- positive and triple negative breast cancers [27].

In summary, MRI-guided clip marker placement without a concurrent breast biopsy in the setting of preoperative localization is a valuable and practical technique for achieving negative margin status in patients desiring breast conservation where a component of disease extent can only be seen by MRI. This study underscores the potential utility in developing an MRI compatible non-wire guided device in order to avoid multiple procedures over the course of several days. Until such devices are readily available in the marketplace, MRI-guided clip marker placement helps to facilitate breast conservation treatment with possible oncoplastic reconstruction in patients with large volume disease.

ACKNOWLEDGEMENT

Funding Sources: Grant support for this project was provided by NIH/NCI Cancer Center Support Grant #P30 CA016672.

REFERENCES

1. Orel SG, Schnall MD. MR imaging of the breast for the detection, diagnosis, and staging of breast cancer. Radiology. 2001; 220(1): 13- 30. doi: 10.1148/radiology.220.1.r01jl3113. PMID: 11425968.

2. Gao Y, Bagadiya NR, Jardon ML, Heller SL, Melsaether AN, Toth HB, et al. Outcomes of Preoperative mri-guided needle localization of nonpalpable mammographically occult breast lesions. AJR Am J Roentgenol. 2016; 207(3): 676-684.

3. Stout NK, Nekhlyudov L, Li L, Malin ES, Ross-Degnan D, Buist DS, et al. Rapid increase in breast magnetic resonance imaging use: trends from 2000 to 2011. JAMA Intern Med. 2014; 174(1): 114-121. doi: 10.1001/jamainternmed.2013.11958. PMID: 24247482; PMCID: PMC4145846.

4. LaTrenta LR, Menell JH, Morris EA, Abramson AF, Dershaw DD, Liberman L. Breast lesions detected with MR imaging: utility and histopathologic importance of identification with US. Radiology. 2003; 227(3): 856-861. doi: 10.1148/radiol.2273012210. PMID: 12773685.

5. Song SE, Cho N, Han W. Post-clip placement MRI following second look US-guided core biopsy for suspicious lesions identified on breast MRI. Eur Radiol. 2017; 27(12): 5196-5203. doi: 10.1007/s00330- 017-4924-7. Epub 2017 Jul 7. PMID: 28687909.

6. ACR Practice Parameter for the Performance of Magnetic Resonance Imaging-Guided Breast Interventional Procedures. American College of Radiology. 2019.

7. Kuhl CK, Elevelt A, Leutner CC, Gieseke J, Pakos E, Schild HH. Interventional breast MR imaging: clinical use of a stereotactic localization and biopsy device. Radiology. 1997; 204(3): 667-75. doi: 10.1148/radiology.204.3.9280242. PMID: 9280242.

8. Hefler L, Casselman J, Amaya B, Heinig A, Alberich T, Koelbl H, Heywang-Köbrunner SH. Follow-up of breast lesions detected by MRI not biopsied due to absent enhancement of contrast medium. Eur Radiol. 2003; 13(2): 344-346. doi: 10.1007/s00330-002-1713-7. Epub 2002 Oct 3. PMID: 12599000.

9. Fischer U, Kopka L, Grabbe E. Magnetic resonance guided localization and biopsy of suspicious breast lesions. Top Magn Reson Imaging. 1998; 9(1): 44-59. PMID: 9617901.

10. Daniel BL, Birdwell RL, Butts K, Nowels KW, Ikeda DM, Heiss SG, et al. Freehand iMRI-guided large-gauge core needle biopsy: a new minimally invasive technique for diagnosis of enhancing breast lesions. J Magn Reson Imaging. 2001; 13(6): 896-902. doi: 10.1002/ jmri.1128. PMID: 11382950.

11. Brennan SB, Sung J, Lee C, Dershaw DD, Morris E. Lessons learned from MR-guided breast-biopsy. Eur J Radiol. 2012; 81 Suppl 1:S10. doi: 10.1016/S0720-048X(12)70004-9. PMID: 23083545.

12.Santiago L, Candelaria RP, Huang ML. MR imaging-guided breast interventions: indications, key principles, and imaging-pathology correlation. Magn Reson Imaging Clin N Am. 2018; 26(2): 235- 246. doi: 10.1016/j.mric.2017.12.002. Epub 2018 Feb 21. PMID: 29622128.

13. Funaro K, Prather A, Niell B, Jared Weinfurtner R. Tissue marker migration after MRI-guided breast biopsy: Migration frequency and associated factors. Breast J. 2020; 26(3): 440-445. doi: 10.1111/ tbj.13486. Epub 2019 Aug 25. PMID: 31448455.

14. Lehman CD, Eby PR, Chen X, Dee KE, Thursten B, McCloskey J. MR imaging-guided breast biopsy using a coaxial technique with a 14-gauge stainless steel core biopsy needle and a titanium sheath. AJR Am J Roentgenol. 2003; 181(1): 183-135. doi: 10.2214/ ajr.181.1.1810183. PMID: 12818854.

15. Bourke AG, Peter P, Jose CL. The disappearing clip: an unusual complication in MRI biopsy. BMJ Case Rep. 2014; 2014: bcr2014204092. doi: 10.1136/bcr-2014-204092. PMID: 25139917; PMCID: PMC4139558.

16.D’Orsi, CJ, Sickles EA, Mendelson EB, Morris EA. ACR BI-RADS Atlas, Breast Imaging Reporting and Data System. Reston, VA: American College of Radiology. 2013.

17. Moran MS, Schnitt SJ, Giuliano AE, Harris JR, Khan SA, Horton J, et al. Society of Surgical Oncology-American Society for Radiation Oncology consensus guideline on margins for breast-conserving surgery with whole-breast irradiation in stages I and II invasive breast cancer. J Clin Oncol. 2014; 32(14): 1507-1515. doi: 10.1200/ JCO.2013.53.3935. Epub 2014 Feb 10. PMID: 24516019.

18.Hotsinpiller WJ, Everett AS, Richman JS, Parker C, Boggs DH. Rates of margin positive resection with breast conservation for invasive breast cancer using the NCDB. Breast. 2021; 60: 86-89. doi: 10.1016/j. breast.2021.08.012. Epub 2021 Sep 2. PMID: 34520952; PMCID: PMC8441089.

19.. Dryden MJ, Dogan BE, Fox P, Wang C, Black DM, Hunt K, et al. Imaging factors that influence surgical margins after preoperative 125i radioactive seed localization of breast lesions: comparison with wire localization. AJR Am J Roentgenol. 2016; 206(5): 1112-1118. doi: 10.2214/AJR.15.14715. Epub 2016 Mar 23. PMID: 27007608; PMCID: PMC4852474..

20.Choi J, Laws A, Hu J, Barry W, Golshan M, King T. Margins in Breast Conserving Surgery After Neoadjuvant Therapy. Ann Surg Oncol. 2018; 25(12): 3541-3547. doi: 10.1245/s10434-018-6702-4. Epub 2018 Aug 20. Erratum in: Ann Surg Oncol. 2018 Aug 25;: PMID: 30128902.

21. Harvey JR, Lim Y, Murphy J, Howe M, Morris J, Goyal A, et al. Safety and feasibility of breast lesion localization using magnetic seeds (Magseed): a multi-centre, open-label cohort study. Breast Cancer Res Treat. 2018; 169(3): 531-536. doi: 10.1007/s10549-018-4709-y. Epub 2018 Feb 16. PMID: 29453521; PMCID: PMC5953977.

22. Mayo RC 3rd, Kalambo MJ, Parikh JR. Preoperative localization of breast lesions: Current techniques. Clin Imaging. 2019; 56: 1-8. doi: 10.1016/j.clinimag.2019.01.013. Epub 2019 Jan 16. PMID: 30818165.

23. Kalambo M, Dogan BE, Whitman GJ. Step by step: Planning a needle localization procedure. Clin Imaging. 2020; 60(1): 100-108. doi: 10.1016/j.clinimag.2019.12.007. Epub 2019 Dec 12. PMID: 31865213; PMCID: PMC8635082.

24. Narui K, Ishikawa T, Oba MS, Hasegawa Y, Kaise H, Kawate T, et al. Prediction of pathological complete response after neoadjuvant chemotherapy in breast cancer by combining magnetic resonance imaging and core needle biopsy. Surg Oncol. 2020; 35: 447-452. doi: 10.1016/j.suronc.2020.10.002. Epub 2020 Oct 6. PMID: 33045629.

25. Romeo V, Accardo G, Perillo T, Basso L, Garbino N, Nicolai E, et al. Assessment and Prediction of response to neoadjuvant chemotherapy in breast cancer: a comparison of imaging modalities and future perspectives. Cancers (Basel). 2021; 13(14): 3521. doi: 10.3390/ cancers13143521. PMID: 34298733; PMCID: PMC8303777.

26. Rastogi P, Anderson SJ, Bear HD, Geyer CE, Kahlenberg MS, Robidoux A, et al. Preoperative chemotherapy: updates of National Surgical Adjuvant Breast and Bowel Project Protocols B-18 and B-27. J ClinOncol. 2008; 26(5): 778-785. doi: 10.1200/JCO.2007.15.0235. Erratum in: J Clin Oncol. 2008 Jun 1;26(16):2793. PMID: 18258986.

27. Sheikhbahaei S, Trahan TJ, Xiao J, Taghipour M, Mena E, Connolly RM, et al. FDG-PET/CT and mri for evaluation of pathologic response to neoadjuvant chemotherapy in patients with breast cancer: a meta analysis of diagnostic accuracy studies. Oncologist. 2016; 21(8): 931- 939. doi: 10.1634/theoncologist.2015-0353. Epub 2016 Jul 8. PMID: 27401897; PMCID: PMC4978549.

Kalambo M, Fan J, Boyce W, Patel M, Bassett RL, et al. (2023) The Role of MRI-Guided Tissue Marker Placement without Concurrent Breast Biopsy in Preoperative Localization of Breast Disease. Ann Breast Cancer Res 7(1): 1022.

Received : 05 Jul 2023
Accepted : 24 Jul 2023
Published : 26 Jul 2023
Journals
Annals of Otolaryngology and Rhinology
ISSN : 2379-948X
Launched : 2014
JSM Schizophrenia
Launched : 2016
Journal of Nausea
Launched : 2020
JSM Internal Medicine
Launched : 2016
JSM Hepatitis
Launched : 2016
JSM Oro Facial Surgeries
ISSN : 2578-3211
Launched : 2016
Journal of Human Nutrition and Food Science
ISSN : 2333-6706
Launched : 2013
JSM Regenerative Medicine and Bioengineering
ISSN : 2379-0490
Launched : 2013
JSM Spine
ISSN : 2578-3181
Launched : 2016
Archives of Palliative Care
ISSN : 2573-1165
Launched : 2016
JSM Nutritional Disorders
ISSN : 2578-3203
Launched : 2017
Annals of Neurodegenerative Disorders
ISSN : 2476-2032
Launched : 2016
Journal of Fever
ISSN : 2641-7782
Launched : 2017
JSM Bone Marrow Research
ISSN : 2578-3351
Launched : 2016
JSM Mathematics and Statistics
ISSN : 2578-3173
Launched : 2014
Journal of Autoimmunity and Research
ISSN : 2573-1173
Launched : 2014
JSM Arthritis
ISSN : 2475-9155
Launched : 2016
JSM Head and Neck Cancer-Cases and Reviews
ISSN : 2573-1610
Launched : 2016
JSM General Surgery Cases and Images
ISSN : 2573-1564
Launched : 2016
JSM Anatomy and Physiology
ISSN : 2573-1262
Launched : 2016
JSM Dental Surgery
ISSN : 2573-1548
Launched : 2016
Annals of Emergency Surgery
ISSN : 2573-1017
Launched : 2016
Annals of Mens Health and Wellness
ISSN : 2641-7707
Launched : 2017
Journal of Preventive Medicine and Health Care
ISSN : 2576-0084
Launched : 2018
Journal of Chronic Diseases and Management
ISSN : 2573-1300
Launched : 2016
Annals of Vaccines and Immunization
ISSN : 2378-9379
Launched : 2014
JSM Heart Surgery Cases and Images
ISSN : 2578-3157
Launched : 2016
Annals of Reproductive Medicine and Treatment
ISSN : 2573-1092
Launched : 2016
JSM Brain Science
ISSN : 2573-1289
Launched : 2016
JSM Biomarkers
ISSN : 2578-3815
Launched : 2014
JSM Biology
ISSN : 2475-9392
Launched : 2016
Archives of Stem Cell and Research
ISSN : 2578-3580
Launched : 2014
Annals of Clinical and Medical Microbiology
ISSN : 2578-3629
Launched : 2014
JSM Pediatric Surgery
ISSN : 2578-3149
Launched : 2017
Journal of Memory Disorder and Rehabilitation
ISSN : 2578-319X
Launched : 2016
JSM Tropical Medicine and Research
ISSN : 2578-3165
Launched : 2016
JSM Head and Face Medicine
ISSN : 2578-3793
Launched : 2016
JSM Cardiothoracic Surgery
ISSN : 2573-1297
Launched : 2016
JSM Bone and Joint Diseases
ISSN : 2578-3351
Launched : 2017
JSM Bioavailability and Bioequivalence
ISSN : 2641-7812
Launched : 2017
JSM Atherosclerosis
ISSN : 2573-1270
Launched : 2016
Journal of Genitourinary Disorders
ISSN : 2641-7790
Launched : 2017
Journal of Fractures and Sprains
ISSN : 2578-3831
Launched : 2016
Journal of Autism and Epilepsy
ISSN : 2641-7774
Launched : 2016
Annals of Marine Biology and Research
ISSN : 2573-105X
Launched : 2014
JSM Health Education & Primary Health Care
ISSN : 2578-3777
Launched : 2016
JSM Communication Disorders
ISSN : 2578-3807
Launched : 2016
Annals of Musculoskeletal Disorders
ISSN : 2578-3599
Launched : 2016
Annals of Virology and Research
ISSN : 2573-1122
Launched : 2014
JSM Renal Medicine
ISSN : 2573-1637
Launched : 2016
Journal of Muscle Health
ISSN : 2578-3823
Launched : 2016
JSM Genetics and Genomics
ISSN : 2334-1823
Launched : 2013
JSM Anxiety and Depression
ISSN : 2475-9139
Launched : 2016
Clinical Journal of Heart Diseases
ISSN : 2641-7766
Launched : 2016
Annals of Medicinal Chemistry and Research
ISSN : 2378-9336
Launched : 2014
JSM Pain and Management
ISSN : 2578-3378
Launched : 2016
JSM Women's Health
ISSN : 2578-3696
Launched : 2016
Clinical Research in HIV or AIDS
ISSN : 2374-0094
Launched : 2013
Journal of Endocrinology, Diabetes and Obesity
ISSN : 2333-6692
Launched : 2013
Journal of Substance Abuse and Alcoholism
ISSN : 2373-9363
Launched : 2013
JSM Neurosurgery and Spine
ISSN : 2373-9479
Launched : 2013
Journal of Liver and Clinical Research
ISSN : 2379-0830
Launched : 2014
Journal of Drug Design and Research
ISSN : 2379-089X
Launched : 2014
JSM Clinical Oncology and Research
ISSN : 2373-938X
Launched : 2013
JSM Bioinformatics, Genomics and Proteomics
ISSN : 2576-1102
Launched : 2014
JSM Chemistry
ISSN : 2334-1831
Launched : 2013
Journal of Trauma and Care
ISSN : 2573-1246
Launched : 2014
JSM Surgical Oncology and Research
ISSN : 2578-3688
Launched : 2016
Annals of Food Processing and Preservation
ISSN : 2573-1033
Launched : 2016
Journal of Radiology and Radiation Therapy
ISSN : 2333-7095
Launched : 2013
JSM Physical Medicine and Rehabilitation
ISSN : 2578-3572
Launched : 2016
Annals of Clinical Pathology
ISSN : 2373-9282
Launched : 2013
Annals of Cardiovascular Diseases
ISSN : 2641-7731
Launched : 2016
Journal of Behavior
ISSN : 2576-0076
Launched : 2016
Annals of Clinical and Experimental Metabolism
ISSN : 2572-2492
Launched : 2016
Clinical Research in Infectious Diseases
ISSN : 2379-0636
Launched : 2013
JSM Microbiology
ISSN : 2333-6455
Launched : 2013
Journal of Urology and Research
ISSN : 2379-951X
Launched : 2014
Journal of Family Medicine and Community Health
ISSN : 2379-0547
Launched : 2013
Annals of Pregnancy and Care
ISSN : 2578-336X
Launched : 2017
JSM Cell and Developmental Biology
ISSN : 2379-061X
Launched : 2013
Annals of Aquaculture and Research
ISSN : 2379-0881
Launched : 2014
Clinical Research in Pulmonology
ISSN : 2333-6625
Launched : 2013
Journal of Immunology and Clinical Research
ISSN : 2333-6714
Launched : 2013
Annals of Forensic Research and Analysis
ISSN : 2378-9476
Launched : 2014
JSM Biochemistry and Molecular Biology
ISSN : 2333-7109
Launched : 2013
Annals of Gerontology and Geriatric Research
ISSN : 2378-9409
Launched : 2014
Journal of Sleep Medicine and Disorders
ISSN : 2379-0822
Launched : 2014
JSM Burns and Trauma
ISSN : 2475-9406
Launched : 2016
Chemical Engineering and Process Techniques
ISSN : 2333-6633
Launched : 2013
Annals of Clinical Cytology and Pathology
ISSN : 2475-9430
Launched : 2014
JSM Allergy and Asthma
ISSN : 2573-1254
Launched : 2016
Journal of Neurological Disorders and Stroke
ISSN : 2334-2307
Launched : 2013
Annals of Sports Medicine and Research
ISSN : 2379-0571
Launched : 2014
JSM Sexual Medicine
ISSN : 2578-3718
Launched : 2016
Annals of Vascular Medicine and Research
ISSN : 2378-9344
Launched : 2014
JSM Biotechnology and Biomedical Engineering
ISSN : 2333-7117
Launched : 2013
Journal of Hematology and Transfusion
ISSN : 2333-6684
Launched : 2013
JSM Environmental Science and Ecology
ISSN : 2333-7141
Launched : 2013
Journal of Cardiology and Clinical Research
ISSN : 2333-6676
Launched : 2013
JSM Nanotechnology and Nanomedicine
ISSN : 2334-1815
Launched : 2013
Journal of Ear, Nose and Throat Disorders
ISSN : 2475-9473
Launched : 2016
JSM Ophthalmology
ISSN : 2333-6447
Launched : 2013
Journal of Pharmacology and Clinical Toxicology
ISSN : 2333-7079
Launched : 2013
Annals of Psychiatry and Mental Health
ISSN : 2374-0124
Launched : 2013
Medical Journal of Obstetrics and Gynecology
ISSN : 2333-6439
Launched : 2013
Annals of Pediatrics and Child Health
ISSN : 2373-9312
Launched : 2013
JSM Clinical Pharmaceutics
ISSN : 2379-9498
Launched : 2014
JSM Foot and Ankle
ISSN : 2475-9112
Launched : 2016
JSM Alzheimer's Disease and Related Dementia
ISSN : 2378-9565
Launched : 2014
Journal of Addiction Medicine and Therapy
ISSN : 2333-665X
Launched : 2013
Journal of Veterinary Medicine and Research
ISSN : 2378-931X
Launched : 2013
Annals of Public Health and Research
ISSN : 2378-9328
Launched : 2014
Annals of Orthopedics and Rheumatology
ISSN : 2373-9290
Launched : 2013
Journal of Clinical Nephrology and Research
ISSN : 2379-0652
Launched : 2014
Annals of Community Medicine and Practice
ISSN : 2475-9465
Launched : 2014
Annals of Biometrics and Biostatistics
ISSN : 2374-0116
Launched : 2013
JSM Clinical Case Reports
ISSN : 2373-9819
Launched : 2013
Journal of Cancer Biology and Research
ISSN : 2373-9436
Launched : 2013
Journal of Surgery and Transplantation Science
ISSN : 2379-0911
Launched : 2013
Journal of Dermatology and Clinical Research
ISSN : 2373-9371
Launched : 2013
JSM Gastroenterology and Hepatology
ISSN : 2373-9487
Launched : 2013
Annals of Nursing and Practice
ISSN : 2379-9501
Launched : 2014
JSM Dentistry
ISSN : 2333-7133
Launched : 2013
Author Information X