A Giant Right Anterior Mediastinal Thymolipoma with Extension to Left Hemithorax and Neck and Misdiagnosed as Liposarcoma on Needle Biopsy
- 1. Department of Thoracic Surgery, Guilan University of Medical Sciences, Iran
- 2. Department of Pathology, Guilan University of Medical Sciences, Iran
- 3. Department of Pathology, Guilan University of Medical Sciences, Iran
Abstract
Thymolipomas are rare benign tumors of mediastinum, constituting one of the differential diagnoses of an anterior mediastinal mass.These tumors may growth an indolent, asymptomatic course, or often grow thing and achieving huge mass in dimensions before presentation. Once Symptom present, respiratory symptoms ispredominate. We report a case of thymolipoma in a 30 years old male, complaining of heaviness and constricting type of chest pain and neck swelling of 2 year duration. CT scan of chest and neck show a space occupying lesion in the anterior mediastinum and extend to right side of mediastinum , neck and left side of hemithorax. The tumor was completely excised through ‘Postero lateral thoracotomy’. Histopathological finding confirms the diagnosis ofthymolipoma. This patient is the second case which we have reported from our hospital.
Keywords
• Thymolipoma
• Anterior mediastinum
• Liposarcoma
Citation
Aghajanzadeh M, Asgary MR, Mesbah A, Samidoust P, Omidmosafaii, et al. (2018) A Giant Right Anterior Mediastinal Thymolipoma with Extension to Left Hemithorax and Neck and Misdiagnosed as Liposarcoma on Needle Biopsy. Ann Clin Cytol Pathol 4(7): 1124.
INTRODUCTION
Thymolipomas are rare anterior mediastinal tumors composed of mature adipose tissue and benign thymic tissue arising from thymus gland. This tumor accounts for only a small percentage of mediastinal masses [1,2]. The majority of these tumors are clinically quiescent; however, symptomatic patients may present with dyspnea, tachypnea, and chest pain, upper respiratory tract infections and rarely myasthenia gravis [3-6]. Diagnosis should be confirmed radiologically during the preoperative work-up, with pathognomonic features demonstrated on both computed tomography (CT) scan and magnetic resonance imaging (MRI) and with fine needle aspiration biopsy [4,7-9]. Thymolipomas are benign neoplasms for which complete surgical excision is curative [4]. Here we report a case of thymolipoma in a 35 years old male complaining of heaviness and constricting type of chest pain , dyspnea and neck swelling of 2 year duration
CASE PRESENTATION
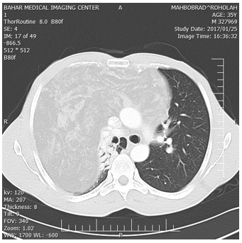
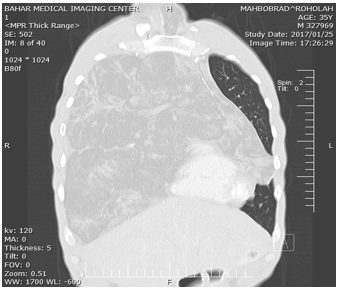
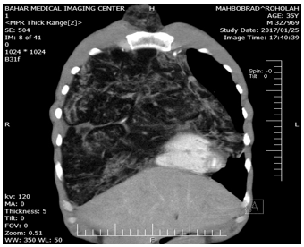
The patient is 30 year old man who has been struggling with progressive chest pain and productive cough, dyspnea and right side neck swelling for the last two years. The symptom has been increased by the last two month .In physical examination in right side of neck a soft tissue mass was palpable. The history of past medical, he had a sever car accident in two year ago and chest tube insetion in right hemithorax because of hemothorax and laparatomy. Breath sound in right hemithorax was absent. The heart biting was palpable in in five intercostal space in middle axilla line, others was normal. CXR, show completeopassification of right hemithrax. Pulmonary function tests showed a decrease in forced vital capacity (47% predicted) and forced expiratory volume (42% predicted) with a total lung capacity of only 72%. These findings were interpreted as being consistent with mixed obstructive and restrictive lung disease. During his diagnostic evaluation, a computed tomographic scan was performed, CT scan show a huge mass of anterior mediastinum and right hemithorax with extension to left hemithorax and neck,the mass was collapsed totally the right lung and shift mediastinum to the left side and compressed the heart. The Radiologist’s report was liposarcoma or teratoma (Figure 1-3).
Figure 1: Showing CT scan of chest showing anterior mediastinal fatty tissue mass with strands and islands of soft tissue with extension to occupying total right hemithorax and to left hemithorax.
Figure 2: Showing Sagittal CT scan of chest showing a mass to occupying total right hemithorax andand extend to left hemithorax and neckwith strands and islands of soft fatty tissue.
Figure 3: Showing Sagittal CT scan of chest(in another window) showing a mass to occupying total right hemithorax and and extend to left hemithorax and neck with strands and islands of soft fatty tissue.
Haematological and serological investigations, including tumor markers (alphafetoprotein, lactate dehydrogenase, beta human chorionic gonadotrophin, and alkaline phosphatase) were normal and not contributory to the diagnosis. With these radiologist report, the patient underwent to US-needle biopsy identified atypical cell and suspicious to liposarcoma. On completion of the preoperative evaluation, a right extensive posterolateral thoracotomy was performed via the fifth intercostal space. a large, encapsulated, vaguely lobulated mass was found within the anterior mediastinum. The mass arose in the anterior mediastinal fat, increasing in size as it extended above to the right side of neck and to the superior vena cava to the right inferior pulmonary vein, and extended to left hemithorax, compress the heart, diaphragm and shifted the mediastinum to the left, The mass occupied approximately 90% of right and 30% of left pleural cavity, resulted in marked compression and totally collapsed of right lung and partially collapse of left upper lobe (Figure1-4).
Figure 4: CT scan of neck showing a mass to occupying total thoracic inlet with strands and islands of soft fatty tissue.
After tumor dissection and sectioning of the blood vessels, First right hemithorax and mediastinal masses wasresected completely. For prevention of re-expansion pulmonary edema, we did not re-expanded the right lung.Neck portion was resected via the mediastinum.Left side mediastinal and pleural portion was resected complexly. Weight of mass was 5000 g (Figure 5).
Figure 5: Showing Resected specimen: thymolipoma(macroscopic).
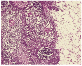
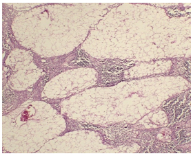
In cut section of resected mass, it was primarily consisted of mature-appearing adipose tissue with no area of hemorrhage or necrosis. The post-operative period was incident-free, and the patient was discharged on days 5 after surgery. Pathology examination results showed a tumor measuring 31×21×8cm, consisting of fatty tissue and thymicparenchyma (Figure 6,7).
Figure 6: Histopathology of Mass (Thymolipoma).
Figure 7: Mature adipose tissue admixed by normal thymus containing epithelial cells, thymic lymphocytes and Ha.
There were also foci of collagenous fibrosis and accumulation of cholesterol crystals. No signs of malignant disease were observed. Final pathologist report was thymolipoma. The patient remains asymptomatic during sixmonth follow-up.
DISCUSSION
Thymolipomas (TL) are very rare, slow-growing mediastinal tumors, accounting for only 2%-9% of all thymus tumors [5]. Thymolipomas are characterized by mesodermic (fatty) and endodermic (thymic epithelium) elements [6]. Thymolipomas is a very rare mediastinal tumor composing mature adipose and thymic tissue arising from thymus gland. It is a rare and benign mesenchymal tumor of mediastinum that is often asymptomatic [4]. This tumor accounts for only a small percentage of mediastinal masses [6,8]. They are lobulated and well encapsulated, with septal divisions [8]. They consist of large lobules of mature adipose tissue interspersed with small areas of thymictissue [6]. Thymolipomas usually present as asymptomatic tumors [6]. When the patient does have symptoms, these are usually due to compression of adjacent structures [6]. In our patient presented with dyspnea and chest wall pain and was due to pulmomary and mediastina compression. Occasionally, this benign tumor may be associated with certain autoimmune disorders, such as myasthenia gravis, hypogammaglobulinemia or red cell aplasia [6]. None of these disorders were observed in our patient. Although the finding of soft fatty tissue within the tumor with no invasion of adjacent structures on imaging studies clearly suggests a diagnosis of lipoma of mediastinum, it is impossible to make a definitive diagnosis or to even distinguish benign disease from malignancy [6]. Differential diagnosis includes other adipose tumors, such as prominent epicardial fat pad, lipomas, liposarcomas or thymoliposarcomas [2]. Nevertheless, although radiological signs may be non-specific, CT and MRI can still offer useful data [2]. The characteristic signs of (TL) on CT-scan consist of a fatty tissue with strands of white tissue, probably corresponding to islets of normal thymiccomponents [6]. On T1- weighted MRI, fatty tumor tissue is isointense, and in T2-weighted sequences it is suppressed, while the thymic tissue remains are enhanced [6]. Definitive diagnosis is based on histopathological findings. A preoperative fine needle biopsy aspirate (FNAB) is really necessary in all patients with radiological suspicion of thymolipoma [7-9]. Heimann [7] published the first description of a (TL) and for diagnosis using this technique in 1987. However, the role of FNAB in these patients is controversial [6,7]. It is not always easy to differentiate between a thymolipoma and other fatty mediastinal lesions, such as well-differentiated liposarcoma [6]. Romero Guadarrama [8] reported a false positive result on FNAB in a patient with an erroneous diagnosis of welldifferentiated liposarcoma [7-9]. On the other hand, Gupta [9] recently published the case of a child diagnosed from a cytology specimen obtained by endoscopic ultrasound-guided fine needle aspiration (EUS-FNA). We decided to perform FNA-needle biopsy in our patient, butcan not have ruled out the need for surgery and after complete surgery of neck and mediatinal mass, pathologist report was Thymolipomas (TL).
The only curative treatment of (TL) is surgical excision. This treatment is helpful to reducing the compression to adjacent structures and relief ofsymptoms orautoimmune diseases [6,8,10]. Various surgical approaches have been described, including thoracotomy [2,4] sternotomy [6,11,7] or videoassisted thoracoscopy [10]. The decision must be tailored to tumor size and site. We used posterolateral thoracotomy and removed all of right side and left side of mediastinum and cervical portion parts of mass without any complications.
CONCLUSION
thymolipoma is a very rare benign mediastinal tumor, consisting of thymic and fatty tissue. Preoperative diagnosis is frequently based on CT and MRI findings. In review of literature, The use of FNAB iscontroversialbut should be kept in mind [2,4]. Surgical intervention is the best choice for cure of mass and also provides the definitive diagnosis.
REFERENCES
- Charles PC, Linda W, Jerome AL, A Giant Thymolipoma. SAJCH. 2010; 4: 1-2.
- Takeda S, Miyoshi S, Akashi A, Ohta M, Minami M, Okumura M, et al. Clinical spectrum of primary mediastinal tumors: A comparison of adult and pediatric populations at a single Japanese institution. J Surg Oncol. 2003; 83: 24-30.
- Isa Döngel, Hakan Imamo?lu, Ali Feyzullah ?ahin, Salih Y?ld?r?m, Mehmet Bayram. A Rare Mediastinal Tumor: Thymolipoma. Eur J Gen Med. 2014; 1: 21-23.
- Aghajanzadeh M, Alavi A, Pourrasouli Z, Aghajanzadeh G, Massahnia S. Giant MediastinalThymolipoma in 35-Year-Old Women. J Cardiovasc Thorac Res. 2011; 3: 67-70.
- Halkos ME, Symbas JD, Symbas PN. Acute respiratory distress caused by massive thymolipoma. South Med J. 2004; 97: 1123-1125.
- Obeso Carillo GA, García Fontán EM, Cañizares Carretero MÁ. Giant Thymolipoma: Case Report of an Unusual MediastinalTumor. Arch Bronconeumol. 2014; 50: 557-559.
- Gupta R, Verma S, Bansal K, Mohta A. Thymolipoma in child: A case diagnosed by correlation of ultrasound-guided fine needle aspiration (EUS-FNA) cytology and computed tomography with histological confirmation. Cytopathology. 2014; 25: 278-279.
- Romero-Guadarrama MB, Durán-Padilla MA, Cruz-Ortíz H, Castro-Gómez L, López-Vancell D, Novelo-Retana V. Diagnosis of thymolipoma with fine needle aspiration biopsy. Report of a case initially misdiagnosed as liposarcoma. Acta Cytol. 2004; 48: 441-446.
- Gupta R, Verma S, Bansal K, Mohta A. Thymolipoma in child: a case diagnosed by correlation of ultrasound-guided fine needle aspiration (EUS-FNA) cytology and computed tomography with histological confirmation. Cytopathology. 2013.
- Ferrari G, Paci M, Sgarbi G. Thymolipoma of the anterior mediastinum: videothoracoscopic removal using a bilateral approach. Thorac Cardiovasc Surg. 2006; 54: 435-437.
- Savitt MA, Gao G, Furnary AP, Swanson J, Gately HL, Handy JR. Application of robotic-assisted techniques to the surgical evaluation and treatment of the anterior mediastinum. Ann Thor Surg. 2005; 79: 450-455.






