A Study of Testicular Fine Needle Aspiration Cytology (FNAC) in Male Infertility
- 1. Department of Pathology, Byramjee Jeejeebhoy Government Medical College & Sasoon General Hospital, India
- 2. Department of Obstetrics and Gynecology, Byramjee Jeejeebhoy Government Medical College & Sasoon General Hospital, India
Abstract
Fine needle aspiration cytology of superficial as well as of deep seated lesions is now well recognized in diagnosis of neoplastic as well as non-neoplastic and inflammatory lesions. Recently it has also gained popularity for its diagnostic and therapeutic role in male infertility. Male infertility is a common problem and needs a minimally invasive method to arrive at the appropriate diagnosis. Alternative to open testicular biopsy the fine needle aspiration cytology (FNAC) of the testis is being increasingly used as a minimally invasive method of evaluating testicular function. This study aims to evaluate the efficacy of fine needle aspiration cytology (FNAC) as compared to open testicular biopsy in the evalu¬ation of male infertility by correlating diagnoses from tes¬tis FNA cytology with biopsy histology.
Materials &Methods: We prospectively studied 50 infertile male patients who were referred to infertility clinic and urology out-patient department (OPD). All patients were azoospermic. They underwent bilateral testicular fine needle aspiration for cytological evaluation as well as bilateral testicular biopsy for histopathological correlation.
Results: The morphological diagnosis revealed normal spermatogenesis in 19 patients, hyposparmatogenesis in 03, maturation arrest in 11, Sertoli cell only syndrome in 12. Good correlation between the two methods was found in 62 testes (67.4%) testes which were identical in the right and left testis. Discrepancies between cytology and histology were mainly the result of insufficient and scanty smears.
Conclusion: Testicular FNAC is a simple and minimally invasive alternative method to open testicular biopsy in the investigation and assessment of patients with azoospermia.
Keywords
• Azoospermia
• Testis FNA
• Biopsy
• Cytology
• Histology
Citation
Rane SR, Gadage VS, Bhatia VO, Shinde A (2018) A Study of Testicular Fine Needle Aspiration Cytology (FNAC) in Male Infertility. Ann Clin Cytol Pathol 4(2): 1099.
INTRODUCTION
Infertility is defined as failure of conception despite one year of regular unprotected coitus [1,2]. The cause of infertility may be either in male, female or both the partners [3]. It becomes necessary to investigate couple together to determine the cause of infertility. In the modern era, a team involving gynecologists, urologists, pathologists and endocrinologists provide the best services for the infertile couple. A detailed evaluation of the male partner is mandatory to determine the etiology and plan therapy [3,4]. There are multiple diagnostic tests available of which the basic screening test is semen analysis [1-3], but it doesn’t assess the functional status of seminiferous epithelium. Therefore further evaluation with testicular biopsy is must which discriminates between endogenous or exogenous etiology of disturbed fertility. This helps in treatment and further management of infertile males.The development of intracytoplasmic sperm injection (ICSI) is an exciting advance in the treatment of male infertility [5]. The concept of using testicular sperm retrieval to achieve fertilization has revolutionized the treatment of patients suffering from azoospermia [6-8]. In an attempt to minimize the cost associated with failed in-vitro fertilization (IVF) cycles, FNAC of the testis is currently used to determine presence of spermatozoa in azoospermic males [8,9].
Fine needle aspiration biopsy is a simple, low cost, low risk procedure that provides a histological result comparable to open biopsy. Also it provides the prognostic parameters of the status of the seminiferous tubules and for successful sperm extraction at testicular sperm retrieval (TESE) [10-13].
MATERIALS AND METHODS
This was a prospective study which included fifty azoospermic males; age ranging from 20-45 years who had been infertile for more than two years from the infertility clinic and urology OPD. The semen analysis was done for all men after a period of abstinence of atleast 4 days. A clinical examination was then conducted and relevant personal and clinical data were noted. Patients were then subjected to a fine needle aspiration of the testes for cytological evaluation. A specimen for histopathological correlation was obtained by open testicular biopsy. Bilateral testicular FNAC and biopsy were done under local anaesthesia as an OPD procedure using all aspetic techniques.
The procedure of the fine needle aspiration was done with the patient in the supine position; the skin of the scrotum was prepared with 5% betadine solution. 5 ml of 1% xylocaine was injected into the spermatic cord bilaterally. Aspiration was done with a 23-gauge needle attached to a 10 ml disposable syringe [4,8,9,10,14]. The syringe was fixed on to a syringe holder. The needle was inserted into the middle of the anterior surface of the testes opposite the epididymis. The needle was introduced in different directions to ensure that different areas were aspirated (Figure 1).
Figure1: Photograph showing procedure of Fine Needle Aspiration of Testis.
If material aspirated was appeared to be inadequate, the procedure was repeated. The smears were air dried and stained with leishman stain. In various studies, May-GrunwaldGiemsa (MGG) and Papanicolaou stains were used [4,8,9,10,14]. If too much pressure is applied while preparing the smear it may lead to marked distortion and crushing artifacts. Open testicular biopsy was performed immediately following the procedure of FNAC of the testes. Testicular biopsies were done either by open incision or by 18 gauge butterfly needle [5,12,15-17]. Bilateral 1 cm transverse incisions provided good exposure with minimal scrotal skin bleeding (Figure 2,3).
Figure 2: Photograph showing procedure of open testicular biopsy of testis.
Figure 3: Photograph showing procedure of percutaneous needle biopsy of testis.
A small specimen of the seminiferous tubules was excised. Biopsies were collected in Bouin’s fixative with minimal handling and fixed overnight before processing. Histopathological slides were prepared using paraffin embedding method and stained with Hematoxylin and Eosin (H&E).
Testicular FNAC interpretation
The smears were examined by light microscopy and evaluated for cellularity, presence or absence of mature spermatozoa, progressive maturation of the germ cells, cell types. If the cellularity was >10hpfs of any slides it was considered sufficient for analysis. At least 200 spermatogenic cells were counted per smear [18].
Testicular biopsy was evaluated for the number and size of seminiferous tubules, the presence of lumen, the state of germinal epithelium, the thickness of the tubular basement membrane, the presence or absence of spermatozoa, the leydig cells.
Correlation of FNAC to biopsy findings
For each patient, FNAC and biopsies were evaluated independently and compared as the FNAC slides were examined immediately after procedure within 1 hour and for routine histological sectioning it took 3 days. For each patient, the sperm findings from the FNAC smear and the testis biopsy were examined to determine relationships between histopathological diagnosis and the presence of spermatozoa by FNAC. Also, morphological diagnosis was compared in both FNAC and histology.
RESULTS
A total of 50 patients were studied with detailed clinical history, external examination, semen analysis and hormonal assay wherever possible. 2 cases had previous reports of oligospermia with progressively reducing counts and now azoospermia. Hormonal study was done only in 20 cases. FSH level was normal in 08 cases and raised in 12 cases.
The age range of the patients studied was 20-45 years and the duration of infertility was 2-14 years. The clinical characteristics of the patients are shown in (Table 1).
Table 1: The clinical characteristics of the patients with azoospermia.
|
Clinical characteristics |
No (n=50) |
|
Age range (years) |
22-45 |
|
Duration of infertility (years) |
2-14 |
|
Type of infertility |
|
|
Primary |
48 |
|
Secondary |
02 |
|
Testicular size (n=100) |
|
|
>4cm |
69 |
|
<4cm |
31 |
Associated urogenital diseases were detected in 10/50(20%) patients and varicocele was the most common finding in them 3/10(30%) (Table 2).
Table 2: The urogenital diseases found in our patients.
|
The disease |
No. of patients (n=50) |
|
Hydrocele |
05 |
|
Varicocele |
03 |
|
Cryptorchidism |
01 |
|
Scars on genitals |
01 |
|
Normal |
40 |
A total of 100 FNAC smears obtained from (n=50 men) were studied. FNAC slides were evaluated for adequacy, presence or absence of sperms and cytological patterns. FNAC smears were adequate in 45 males. The following were the morphological diagnosis:
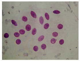
1) Normal spermatogenesis n=19 revealed all germ cell maturation steps from speramatogonia till mature spermatozoa (Figure 4).
Figure 4: Microphotograph showing normal spermatogenesis, Leishman stain, x40.
2) Hypospermatogenesis (germ cell hypoplasia) n=3, the smears had less than normal amount of spermatozoa admixed with other cells.
3) Maturation arrest n=11, showed no spermatozoa with presence of immature germ cells, including several primary spermatocytes and spermatids.
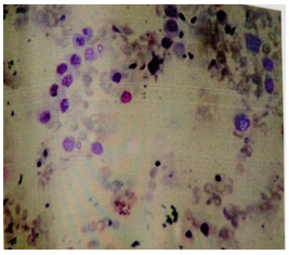
4) Sertoli cell only syndrome (germ cell aplasia) n= 12, the smears were cellular characterized by complete lack of germ cells and showed only Sertoli cells (Figure 5, Table 3).
Figure 5: Microphotograph showing sertoli cell only, Leishman stain, x40.
Table 3: The qualitative and quantitative cytological patterns.
|
Group |
Cytological pattern |
Cellularity |
Spermatic index |
Sertoli index |
Germ cells
|
|
1 |
Normal spermatogenesis n=19
|
High |
>50% |
<50% |
Numerous progressively maturating cells |
|
2 |
Hypospermatogenesis (germ cell hypoplasia) n=03 |
Moderate to high |
<50% |
>50% |
All stages present in decreased numbers |
|
3 |
Maturation arrest n=11 |
Moderate to high |
No spermatozoa |
<50% |
At spermatid andspermatocyte level |
|
4 |
Sertoli cell only syndrome n=12 |
Moderate |
No spermatozoa |
Very high |
Occasional |
DISCUSSION
Male factor is responsible for nearly half of infertility cases. One of the well established techniques in the investigation of male infertility is testicular biopsy [19]. In view of the good correlation between histology of the testis and FNAC, the latter is gaining more popularity. The utility of testicular aspiration in male infertility was first described in 1928, but it was only in the late 1980s that detailed descriptions of cytologic morphology of various cells seen in FNA smears of the testis appeared in the literature [20]. Nowadays, FNA is not only popular in assessing the testicular function in azoospermic males, but also has several advantages over biopsy [21].
This study aimed at evaluating the utility of testicular FNAC in the investigation and management of male factor infertility due to azoospermia in comparison to open surgical biopsy.
50 azoospermic patients were studied with detailed clinical history, external examination, semen analysis and hormonal assay wherever possible. On semen analysis, azoospermia was confirmed on repeat semen examination. Two cases had previous reports of oligospermia with progressively decreasing counts, now azoospermia. The age range was 22 to 45 years and mean age range was 30 years. Forty eight had primary infertility and only two cases had secondary infertility. The duration of infertility was ranging from 2 to 14years and mean duration was 5 years. In 27 cases the duration of infertility was less than 5 years. On local examination, testicular size as normal in 69% cases and reduced in 31% cases. In 40 cases there were no abnormalities on external examination while there were 03cases of varicocele, 05 cases of hydrocele and 01 case of cryptorchidism and in one case there were scars on the scrotum and in inguinal region.
Cytological patterns
In cytological smears, the cellularity was high to moderate in normal spermatogenesis and maturation arrest at spermatid level. In reduced size of testis moderate cellularity showed Sertoli cell only pattern. The smears were more cellular with progressive maturation and there was decrease in sertoli cell % and increase number of more mature spermatocytic cells.
We observed that the cells with progressive maturation were seen in clusters. So usually spermatids were accompanied by the primary spermatocytes and secondary spermatocytes. It was observed that with the progressive maturation the nucleus becomes condensed and the amount of cytoplasm is reduced. So the primary spermatocytes have open chromatin and spermatids and spermatozoa have condensed chromatin. Distinctically, the only sertoli cells have the prominent nucleoli and alternate pattern of staining was observed with mature spermatozoa which have undergone acrosomal reaction. These features helped in detecting the various cells. This experience was shared by others.
Four groups with distinct cytological smears were identified. 1. Normal spermatogenesis in 38% 2. Hypospermatogenesis in 06%, 3. Maturation arrest in 22%, 4. Sertoli only cell syndrome in 24%. Prof Gupta SK4 observed normal spermatogenesis in 28.3%, hypospermatogenesis n 3.3%, sertoli cell only in 28.3%, maturation arrest in 15%, dual pattern in 11.6% and non commitable in 12.6%. Normal spermatogenesis accounted for 5% of cases in the series by Ali et al. [22], 10.6% by Forresta O et al. [23], 22% by Papie et al. [21], and 33% by Batra et al [24].
Histological diagnosis
On histology, the number of semniferous tubules was counted for defining the adequacy. In our study on 46 men testicular biopsies were performed. Mature sperm visualization was noted in 13 male testes. The minimum 20 tubules were present to give the diagnosis. Average number of tubules was 30.26 and 25.8 in open biopsy and in needle biopsy respectively.
The histological diagnosis was offered 1. Normal spermatogenesis in 26% 2. Sertoli cell only in 18% 3. Maturation arrest in 18% 4. Hypospermatogenesis in 16% 5. Mixed pattern in 4% 6. Atrophic tubules in 2% 7. Fibrous tissue in 6% 8. Epididymis in 2%.
While biopsy was not done in 8 cases, of the 92 testes studied on FNAC and biopsy good correlation was noted between cytological and histological was noted in 62 testes (67.4%) (Table 4).
Table 4: Showing the comparison between diagnosis offered by FNAC & biopsy of bilateral testis. (n=100).
|
Intrepretationa |
FNAC |
Biopsy |
|
Normal Spermatogenesis |
38 |
26 |
|
Sertoli cell only syndrome |
25 |
18 |
|
Maturation arrest |
21 |
18 |
|
Hypospermatogenesis |
06 |
16 |
|
Mixed pattern |
00 |
04 |
|
Fibrous tissue on biopsy |
00 |
05 |
|
Testicular atrophy |
00 |
02 |
|
Epididymis on biopsy |
00 |
03 |
|
Biopsy not done |
00 |
08 |
|
FNAC inadequate |
08 |
00 |
|
Blood only on FNAC |
02 |
00 |
On referring to χ2 table, with degree of freedom, p < 0.005 was statistically significant. According to Fisher’s test, p value (p < 0.05), indicating the test to be statistically significant. The test is more significant and is to be used for diagnostic purposes with significant diagnostic accuracy value. Hence this study proves that FNA is a very important diagnostic modality in the diagnosis of male infertility (Table 5a, 5b, 5c).
Table 5a: Statistical analysis between diagnoses offered by FNAC and Biopsy.
|
Intrepretation |
FNAC |
Biopsy |
p value |
|
Normal Spermatogenesis |
38 |
26 |
0.008 |
|
Hypospermatogenesis |
06 |
16 |
|
|
Table 5b: |
|||
|
Intrepretation |
FNAC |
BIOPSY |
p value |
|
Sertoli cell only syndrome |
25 |
18 |
0.0173 |
|
Hypospermatogenesis |
06 |
16 |
|
|
Table 5c: |
|||
|
Intrepretation |
FNAC |
BIOPSY |
p value |
|
Maturation arrest |
21 |
18 |
0.04 |
|
Hypospermatogenesis |
06 |
16 |
|
There was good correlation between cytology and histology in cases with normal spermatogenesis and Sertoli cell only syndrome in all cases. However, the difference between the FNAC and biopsy diagnosis was noted as the cases with hypospermatogenesis and mixed pattern were diagnosed better on histology. Odabas et al [25]., also found that FNA is insufficient for diagnosis of hypospermatogenesis which is better diagnosed on biopsy. In cases reported as mixed pattern, we observed that few tubules were showing very few spermatids with primary spermatocytes in few tubules with atrophic tubules. Thus cases of mixed pattern should be followed as one can speculate that the degeneration of cells in the semniferous tubules occurs in a progressive fashion in such a way that the tubules lose cells in a particular order [26,27].
It was difficult to differentiate between late spermatid and spermatozoa on biopsy. So in such a situation FNAC was helpful. But the visualization of sperm is easier on the FNAC as wet preparation can be observed during the procedure. If they are not seen the procedure can be repeated at the same time. The identification of sperm was easier as the tail could be easily detected on the FNAC than the biopsy. All cases of normal spermatogenesis and hypospermatogenesis on biopsy showed spermatozoa on cytology.
Advantages of testicular FNAC
FNAC technique is relatively painless, produces speedy results and is inexpensive. But it is not a substitute for conventional histopathology. The definitive diagnosis may not always be possible by cytology however, a categorization of disease and differential diagnosis can be provided in majority of cases. This information serves as a guide for further investigations, saving time and resources.
Limitations of testicular FNAC
In testicular FNAC there is no pattern diagnosis. There is no information about the basement membrane of tubules and interstitium on cytology. The difference between the diagnoses was seen in mainly hypospermatogenesis and mixed pattern.
CONCLUSION
FNAC of testis is a simple, cost effective and reliable technique for detecting spermatogenesis with minimal side effects. It is diagnostic in normal spermatogenesis and Sertoli Cell Only Syndrome with excellent correlation with histology. Thus FNAC/ FNAB are an excellent alternative to the open surgical biopsy both in the diagnostic as well as therapeutic interventions.
REFERENCES
- Howkins and Bourne. Shaw‘s text book of gynecology. 13th edn. New Delhi: Reed Elsevier India Private Ltd. 2004.
- Datta DC. Text Book of Gynaecology. 2nd edn. Calcutta: New Central Book Agency Private Ltd. 1997.
- Purohit TM, Purohit MB, Dabhi BJ. Study of semen analysis and testicular biopsy in infertile male. Indian J Pathol Microbiol. 2004; 47: 486-490.
- Gupta SK. FNAC in evaluation of Azoospermic males. Bull PGI. 2000; 34: 49-56.
- Craft L, Tsirigotis M, Courtauld E, Farrer Brown G. Testicular needle aspiration as an alternative to biopsy for the assessment of spermatogenesis. Hum Reprod. 1997; 12: 1483-1487.
- Palermo G, Joris H, Devroey P, Van Steirteghem AC. Pregnancies after intracytoplasmic injection of single spermatozoon into an oocyte. Lancet. 1992; 340: 17-18.
- McLachlan RI, Meyts ER, Hoei Hansen CE, de Kreustser DM, Shakkebaek NE. Histological evaluation of the human testis- approach to optimizing the clinical value of the assessment: mini review. Hum Reprod 2007; 22: 2-16.
- Mohmed AA, Al-Salim AL, Al-Juwaiser AA, Francis I. FNAC of azoospermic testes- could it replace histologic biopsy? Acta Cytol. 2000; 44: 967-975.
- Meng MV, Cha I, Ljung BM, Turek PJ. Testicular fine needle aspiration in infertile men: correlation of cytological pattern with biopsy histology. Am J Surg Patho. 2001; 25: 71-79.
- Bettclla A, Mrrico M, Spolaore D, Foresta C. FNAC as diagnostic parameter in the assessment with varicocele. Arch Ital Urol Androl. 2002; 73: 3-13.
- Craft L, Tsirigotis M. Simplified recovery, preparation and cryopreservation of testicular spermatozoa. Hum Reprod. 1995; 10: 1623-1627.
- Friedler S, Raziel A, Strassburger D, Soffer Y, Komarovsky D, Ron El R. Testicular sperm retrieval by percutaneous FNA compared with testicular sperm extraction by open biopsy in men with non obstructive azoospermia. Hum Reprod. 1997; 12: 1488-1493.
- Glina S, Soares JB, Antunes N Jr, Galuppo AG, Paz LB, Wonchockier R. Testicular histological diagnosis as a predictive factor for retrieving spermatozoa for ICSI in non obstructive azoospermic patients. Int Braz J Urol. 2005; 31: 338-341.
- Arora VK, Singh N, Bhatia A, Rashmi, Radhakrishnan G, Jain BK, et al. Testicular fine needle aspiration cytology for the diagnosis of azoospermia and oligospermia. Acta Cytol. 2000; 44: 349-356.
- Wheeler JE, Rudy FR. The testis paratesticular structures and Male External Genitalia. In: Silverberg SG, Delellis RA, Frable WJ editors. Principles and Practice of Surgical Pathology and Cytopathology. Singapore: Churchill Living Stone Inc. 1983: 2238-2253.
- Levin HS. Nonneoplastic diseases of the testis. In: Mills Seeds editor. Sternberg’s Diagnostic Surgical Pathology. Philadelphia: Lippincott Williams and Wilkins. 2004.
- Rosenlund B, Kvist U, Ploen L, Ekstrom U, Hovatta O. Percutaneous cutting needle biopsies for histopathological assessment and sperm retrieval in men with azoospermia. Hum Reprod. 2001; 16: 2154-2159.
- Meng MV, Cha I, Ljung BM, Pual JT. Relationship between classical histological pattern and sperm finding on FNA mapping in infertile men. Hum Reprod. 2000; 15: 1973-1977.
- Levis HS. Testicular biopsy in the study of male infertility: Its current usefulness, histologic techniques and prospects for future. Hum Pathol. 1979; 10: 569-584.
- Han U, Adabað A, Köybaþioðlu F, Onal BU. Clinical value of cell counts and indices in testicular fine needle aspiration cytology in primary infertility. Anal Quant Cytol Histol. 2006; 28: 331-336.
- Papic Z, Katona G, Skrabalo Z. The cytologic identification and quantification of testicular cell subtypes: reproducibility and relation to histologic finding of male infertility. Acta Cytol. 1988; 32: 697-706.
- Ali MA. Role of testicular FNAC in the evaluation of male infertility cytology and histologic correlations. Diagn Cytopathol. 1997; 7: 128-131.
- Forresta C, Varotto A. Assessment of testicular cytology by fine needle aspiration as a diagnostic parameter in the evaluation of the azoospermic subject. Fertil Steril. 1992; 57: 858-865.
- Batra VV, Khadgawat R, Agarwal A, Krishnani N, Mishra SK, Mithal A, et al. Correlation of cell counts and indices in testicular FNAC with histology in male infertility. Acta Cytol. 1999; 43: 617-623.
- Odabas O, Ugras S, Aydin S, Yilmaz Y, Kemal, Atilla M. Assessment of testicular cytology by FNAC and imprint technique: Are they reliable diagnostic modalities? B J Urol. 1997; 79: 445-448.
- Tournaye H. Use of testicular sperm for treatment of male infertility. In: Steirtegham V, Devrory A, Tournaye H, Tesarik J, editors. Male Infertility: Clinical Obstetrics and Gynecology. London: Baillere Tindall. 1998; 753-762.
- Ezeh UI, Moore HD, Cooke ID. A prospective study of multiple needle biopsies versus a single open biopsy for testicular sperm extraction in men with non-obstructive azoospermia. Hum Reprod. 1998; 13: 3075-3080.




