Abdominal Ultrasound Findings Associated with Canine Visceral Leishmaniasis in Endemic Areas
- 1. Department of Emergency and Organ Transplantation, University of Bari, Italy
- 2. Department of Veterinary Medical Science, University of Bologna, Italy
- 3. Practitioner, Italy
Abstract
The aim of the study is to describe the ultrasound (US) findings associated to canine leishmaniasis (CVL) in dogs from an endemic area.
Thirty-four dogs naturally infected by Leishmania Infantum were enrolled. Morphologic changes of abdominal parenchymatous organs, including size, change in echogenicity and echo-texture and the presence of focal or diffused lesions were recorded. When possible the return to normal of US changes after treatment were monitored, in order to further confirm the association with the disease.
The most common pathological findings were: spleen from mild to severely enlarged, hyperechogenicity of renal cortex and hepatomegaly. Interesting findings were: the honey-comb splenic parenchymal pattern (2 dogs), the cirrhotic/fibrotic aspect of the liver (2 dogs) and the abdominal lymphadenopathy in absence of peripheral lymphadenopathy (2 dogs). Focal macro nodular lesions in spleen and liver, as described in some human cases, were not registered.
Results of this study suggest the ultrasonography could contribute to define the systemic involvement of dogs with leishmaniasis and to monitor the response to treatment. Canine leishmnaiasis need to be included in the differential diagnosis of the US honey-comb appearance of the spleen.
Keywords
• Canine leishmaniasis; Diagnosis; Endemic area; Follow-up; Ultrasonography
Citation
Paradies P, Cipone M, Mele I, Greco B, Romano D, et al. (2018) Abdominal Ultrasound Findings Associated with Canine Visceral Leishmaniasis in Endemic Areas. Ann Clin Cytol Pathol 4(1): 1093.
INTRODUCTION
Canine leishmaniasis (CVL) by Leishmania infantum is a vector borne protozoal disease widely distributed in many Mediterranean countries. In endemic areas a high percentage of clinically healthy infected dogs have been registered [1,2] serving as reservoirs for the transmission of Leishmania spp. to receptive animals and humans. The diagnosis of CVL in paucisymptomatic animals may be troublesome because of the vague and nonspecific clinical signs and the complexity of interpretation of specific tests.
In human medicine the abdominal ultrasound (US) findings associated with visceral leishmaniasis has been reported [3- 5]. Moreover, single or multiple macronodular focal lesions in liver and spleen have been described in single case reports [6-8]. Differently, few are actually available on abdominal ultrasonographic findings registered in CVL. The aim of this study was to describe and discuss the US abdominal findings associated with CVL and, when possible, to monitor the reverse to normal of US abnormalities after specific treatment. Furthermore, the correlation between the US pathological changes with an assigned clinical score and with selected laboratory tests has been investigated.
MATERIALS AND METHODS
Study design
Dogs of different age, sex and breed with a diagnosis of L. infantum infection achieved by amastigotes detection on lymphnodal smears at microscopy and positivity to IFAT test were selected for the study. All the dogs came from and lived in the same region (Apulia, Italy). A clinical examination was performed on each dog and blood and urine samples were collected for routine laboratory exams at presentation (HCT%, Urea, Creatinine, Albumine, Total Proteins, Albumin/Globulin ratio, urinalysis). Animals with evidence of concomitant diseases were excluded. In particular a negative test for other vector borne diseases (SNAP rapid ELISA Kit multi tests, Idexx, Belgium) was required as inclusion criteria. Animal data (breed, sex, age, and weight), presenting complaint and history were recorded on an individual form. The animals were kept under their usual housing conditions before, during and after the study. The owner gave written consent for his/her animal(s) to participate in the study. Each dog was assigned to a clinical set based on the following criteria: A= absence of clinical signs suggestive of leishmaniasis; B= vague and nonspecific clinical signs, fairly suggestive of leishmaniasis; C= clinical signs highly suggestive of leishmaniasis.
Dogs were treated with a standardised treatment protocol for CVL: meglumine antimoniate (Glucantime, Merial) 50mg/kg/bid subcutaneously for 28 days and allopurinol 10 mg/kg/bid per so for 6 months or allopurinol in monotherapy for 6 months in case of severe disease with evidence of organ impairment [9,10]. Abdominal ultrasonography was performed at the beginning of the study in all dogs (T0= diagnosis). In dogs that showed US pathological signs, the US abdominal examination was repeated at the end of treatment with meglumine antimoniate (T1) or after allopurinol discontinuation (T2).
Microscopic diagnosis
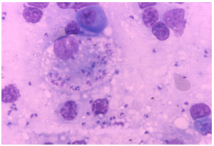
Popliteal lymphnode tissues were sampled using a nonaspiration technique [11]. Smears were prepared and stained using May-Grunwald-Giemsa and examined under light microscope. The cytological examination was considered positive if Leishmania spp. amastigotes (1.5 - 2.0 x 2.5 - 5 µm) were revealed (Figure 1).
Figure 1: Leishmania spp. amastigotes in the lymph nodal smear stained with May-Grunwald-Giemsa, microscopic examination 100X.
In some dogs other tissues samples (spleen, liver, abdominal fluid) were also collected using an US guided fine needle aspiration technique and microscopically examined.
Ultrasonography
An Esaote Mylab 30 Gold ultrasonic diagnostic apparatus (Medmark-Esaote, Italia) equipped with a curvilinear 5-8 MHz and an 8-12 MHz linear transducer was used for abdominal examinations. A conventional B mode US study of parenchymatous organs was performed. Morphologic changes of parenchymatous organs, including changes in organ size and shape, echogenicity and/or echostructure were recorded. US criteria were used to define US pathological changes as reported in Nyland and Mattoon [12]. In particular, splenomegaly was defined on the basis of rounded edges and contact with a normal distended bladder; hepatomegaly was assessed on the basis of the displacement of the caudal edge of the liver, on their rounding and on displacement of the pylorus. The echogenicity was evaluated as baseline echogenicity relative to the surrounding parenchyma and echostructure was described as homogeneous or heterogeneous and evaluated for the presence of widespread parenchymal changes (diffuse disorders). The presence of single or multiple focal macro nodular lesions was investigated in liver and spleen and registered separately. Further more, mesenteric and medial iliac lymphnodes were evaluated and lymphadenopathy was assessed using previously reported parameters (short/long axis ratio >0.5, thickness >8mm, altered echopattern) [13,14]. Other pathological findings revealed at the abdominal US exam were also registered.
Statistical analysis
For statistical analysis a score was assigned to single US pathological findings ranging from -1 to 1 for liver size and liver and spleen echogenicity (-1= reduced, 0= normal, 1= increased); from 0 to 2 for spleen size (0 =normal, 1 = moderate increased volume, 2= severe increased volume), and from 0 to 1 (0= absence, 1= presence) for the following alterations: increased echogenicity of renal cortex, abdominal lymphadenopathy, diffuse altered echostructure in spleen and liver.
Data (clinical set, US score in single organs and laboratory results) were submitted to Pearson’s correlation indices analysis. Data showing high correlation indices were analyzed with simple linear regression analysis. A value of P <0.05 was considered significant.
RESULTS AND DISCUSSION
Thirty four dogs were included in the study. They were 15 males and 19 females aged between 2 to 10 years. All of them underwent abdominal US examination at diagnosis. US followup post treatment was available in 11 dogs. Table 1 shows the dogs data, presenting complaint, clinical signs and score.
Table 1: Signalament and assigned clinical score of the dogs included in the study.
|
Dog |
Breed, sex, age, weight |
Owner complaint |
Most striking clinical signs |
Clinical Set (0-1-2)
|
|
1. |
Mongrel F10y, 26 kg |
Sneezing + nasal discharge |
Sero-haemorragicnasal discharge, dermatitis, |
1 |
|
2. |
Mongrel F5y 16 kg |
Abdomen enlargement |
Splenomegaly, hyperkeratosis of nose |
1 |
|
3. |
Pitt-bull M8y 31.5 kg |
Preputial haemorragic discharge |
Pawsulceration, lymphadenomegaly |
1 |
|
4. |
Border collie F6y 14.3 kg |
Routine visit |
Pallor of mucous membranae |
0 |
|
5. |
Boxer FS7y 29.6 kg |
Annual monitoring visit for CVL recurrence* |
n.n. |
0 |
|
6. |
Pitt-bull FS4y 22.7 kg |
Annual monitoring visit for CVL recurrence * |
Pallor of mucous membranae and mild lymphadenomegaly |
1 |
|
7. |
Mongrel M adult 20 kg |
Preputial haemorragic discharge |
Pallor of mucous membrane |
1 |
|
8. |
Great Dane F2.5y 39 kg |
Anorexia |
Mild lymphadenomegaly |
1 |
|
9. |
Boxer MC8y 32.8 kg |
Routine visit |
BCS 4, lymphadenomegaly |
1 |
|
10. |
Italian levriere FS 4y 6 kg |
Anorexia, vomiting, abdominal pain |
Abdominalpain |
0 |
|
11. |
Breton F Adult 16 kg |
Epistaxis |
Pallor of mucous membranae and lymphadenomegaly |
2 |
|
12. |
Mongrel M adult 14.7 kg |
Exfoliative dermatitis |
Elbow ulcerations, ear pinnae dermatitis and crusts, lymphadenomegaly |
2 |
|
13. |
Mongrel M adult 27.4 kg |
Weight loss and exfoliative dermatitis |
Pallor of mucous membranae, ulcers and depigmentation of nose, conjunctivitis |
2 |
|
14. |
Mongrel M adult9.1 kg |
Generalized lameness and muscle hypotrophy |
Depression, exfoliative dermatitis, deforming arthritis, lymphadenomegaly |
2 |
|
15. |
Mongrel M adult 15 kg |
Alopecia and weight loss |
Periocular alopecia, BCS 4 |
2 |
|
16. |
Mongrel M12y 33.4 kg |
Preputial hemorrhagic discharge |
Elbow ulcerations, abnormal finding at palpation (spleen) |
1 |
|
17. |
Mongrel M 5y 36.9kg |
Depression |
Depression, lymphadenomegaly |
1 |
|
18. |
Cavalier king FAdult 8.25kg |
Pruritus |
Pallor of mucousmembranae |
1 |
|
19. |
Irish setter F 6y 15 kg |
dysuria |
n.n. |
0 |
|
20. |
Pointer FS young 19.8 kg |
Lameness |
Onychogryphosis, arthritis, lymphadenomegaly |
2 |
|
21. |
Mongrel F 2y, 27 kg |
Routine visit |
n.n. |
0 |
|
22. |
Mongrel M adult 27 kg |
Abdominal enlargement |
Ascites, weight loss |
0 |
|
23. |
Mongrel M 4y 12 kg |
Lameness |
Lymphadenomegaly, splenomegaly |
2 |
|
24. |
Beagle F 10y 12.1 kg |
Anorexia |
n.n. |
0 |
|
25. |
German shepherd F 9y 33.8 kg |
Pre-surgery visit |
Mammary nodules, head muscular atrophy |
0 |
|
26. |
Dobermann M 10y 21 kg |
Chronic diarrhoea |
BCS 3, Lymphadenomegaly, periocular alopecia |
2 |
|
27. |
Mongrel M 6y 22.7 kg |
Mild depression, dermatitis |
Eczematous dermatitis, lymphadenomegaly, |
2 |
|
28. |
Rottweiler Fs 9.5y 35.3 kg |
Diarrhea, haematochezia, reduced food intake, lameness |
Abdominal pain, lameness, pallor of mucous membranae |
1 |
|
29. |
MongrelFs 8y 23.3kg |
Epistaxis, ricorr enturinary infection |
Nasal ulcerated granuloma. |
1 |
|
30. |
Mongrel F adult 15 kg |
Weight loss, dermatitis |
BCS 4, periocular alopecia, lymphadenomegaly, skin ulcers |
2 |
|
31 |
English setter Fs 10y, 18 kg |
Mild depression, weakness |
Depression, muscular hypotrophy |
1 |
|
32 |
Mongrel M 3y 16 kg |
Lameness, dermatitis |
Polyarthritis, ear pinnae hypothricosis |
1 |
|
33 |
Mongrel F 6y, 12 kg |
Blindness |
Exfoliative dermatitis, uveitis, |
2 |
|
34 |
Breton, m 7y, 16 kg
|
Mild depression, lameness |
Junction swelling, lymphadenomegaly, splenomegaly |
2 |
* = Monitoring of dogs with a history of leishmaniasis which stopped specific treatment at least from 6 months.
Abbreviations: n.n. = none; BCS = Body Condition Score; F = Female; M = Male; y = Year; m = Months
The most common US abdominal pathological findings were: spleen from mild to severely enlarged (24 dogs), mostly associated with a hypoechoic or coarse hypoechoic parenchymal pattern; bilateral increased echogenicity of the renal cortex (14 dogs), hepatomegaly (7 dogs) and abdominal lymphadenopathy (Table 2).
Table 2: Frequency and percentage of dogs according to US findings at time of CVL diagnosis.
|
|
US findings |
Frequency |
Percentage |
|
|
None US payhologicalfindings
|
7/34 |
20.6% |
|
Liver |
Liver enlargement (mild to moderate) |
7/34 |
20.6% |
|
Increased echogenicity |
3/34* |
8.8% |
|
|
Decreased echogenicity |
2/34 |
5.8% |
|
|
Fibrotic/cirrhoticaspect |
2/34 |
5.8% |
|
|
Multiple mineralizations |
1/34 |
2.9% |
|
|
Focallesions |
0/34 |
0% |
|
|
Spleen |
Severe splenomegaly Moderate splenomegaly |
8/34 16/34 |
23.5% 47% |
|
Diffuse hypoechogenicity |
9/34 |
26.5% |
|
|
Honey-combaspect |
2/34 |
5.8% |
|
|
Inhomogeneous aspect |
7/34** |
20.6% |
|
|
Focallesions |
0/34 |
0% |
|
|
|
|
|
|
|
Lymphnodes |
Lymphadenopathy |
5/34 |
14.7% |
|
|
|
|
|
|
Kidneys |
Increased echogenicity of renal cortex |
14/34 |
41.17% |
|
Reduced cortex-medullary differentiation |
3/34 |
8.8% |
|
|
Other Findings |
Signs of pancreatitis |
1/34 |
2.9% |
|
Gastric wall thickness |
1/34 |
2.9% |
|
|
Abdominaleffusion |
1/34 |
2.9% |
* Not including cirrhotic
** include: coarse pattern (6 dogs), presence of areas at different echogenicity (1 dog); not including spleen honey-comb appearance.
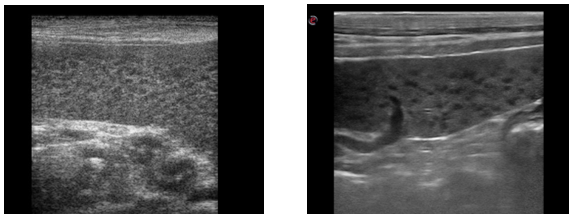
The spleen showed a honey-comb pattern in two dogs (Figure 2) and a heterogeneous structure with multiple iso/hyperechoic focal lesions in one.
Figure 2 (a, b): The honey-comb appearance of the spleen in two dogs with leishmaniasis.
A small liver with irregular margins suggestive of a chronic process was revealed in two other dogs. In one of this dog the presence free fluid in abdomen was revealed. Overall, liver echogenicity appeared increased in 5 dogs (including that with cirrhosis) and decreased in 2. Focal macronodular lesions were not detected in spleen or liver of any dogs.
The kidneys showed regular margins except for two dogs in which one of the kidneys was characterized by irregular margins. Fourteen animals showed an increased echogenicity of the renal cortex and 3 dogs showed also a reduction of the corticomedullary definition.
In five dogs the jejunal and iliac lymphnodes appeared increased in volume and showed inhomogeneous echogenicity.
Signs suggestive of acute pancreatitis were reported in one case only (i.e. pancreas enlarged, hypoechoic and slightly heterogeneous, surrounded by peripancreatic hyperecogenicity) and a thickened and edematous stomach wall in another (Table 2). Alterations in the reproductive system (i.e. prostatic hypertrophy) were detected in 6 dogs.
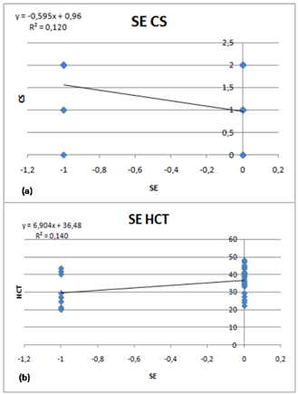
Results of the statistical correlation showed that among the US pathological findings the only parameter correlated with clinical score (r = -0.34668, P = 0.0446) and HCT (r = 0.37510, P = 0.0344) was the spleen echogenicity (Figure 3).
Figure 3: Correlation between Spleen Echogenicity (SE) and Clinical Score (CS) (a) and between SE and HCT% (b) in 34 dogs with leishmaniasis diagnosed by microscopic detection of amastigotes in lymph-node smears.
No statistically significant correlations have been observed between renal US alterations and clinical-pathological data on renal function (Urea, Crea, Albumin, and HCT).
The US follow-up post treatment was available in 11 dogs (Table 3).
Table 3: Ultrasound monitoring after 1,5 or 6 months from the beginning of therapy in 14 dogs. The ultrasound findings at diagnosis and in follow up are reported.
|
ID
|
Time |
Liver |
Spleen |
Kidneys |
Otherfindings |
|
Dog n 16 |
T0 |
n |
Splenomegaly (++) |
Increased echogenicity of renal cortex |
n |
|
T 2 |
n |
r.n. |
p.f. |
n |
|
|
Dog n. 18 |
T0 |
Multiple mineralization |
Splenomegaly (++), multiple iso-hyperecogenic lesions |
n |
n |
|
T 2 |
p.f |
r.n. |
n. |
Surrenal glands hypo and enlarged |
|
|
Dog n. 23 |
T0 |
n. |
Splenomegaly (++) with honey-comb aspect |
n. |
n |
|
T1 |
n. |
r.n. |
n. |
n |
|
|
Dog n. 24 |
T0 |
n |
Splenomegaly (+) |
n |
Lymphadenopathy |
|
T 2 |
n |
r.n |
n |
r.n |
|
|
Dog n. 25 |
T0 |
Fibrotic vs cirrhotic aspect+ mucocele |
n |
Mineralization |
n |
|
T 2 |
p.f. |
n |
p.f. |
Mild ascites |
|
|
Dog n. 28 |
T0 |
Increased volume, inhomogeneous |
Splenomegaly (++), honey-comb aspect |
Increased echogenicity of cortex |
n |
|
T 1 |
r.n. |
r.n. |
p.f. |
n |
|
|
Dog n. 29 |
T0 |
Increased volume |
Splenomegaly (++), hypoechogenicity |
Increased echogenicity, reduced cortico-medullary definition, mineralization |
n |
|
T 2 |
r.n. |
r.n. |
p.f. |
Bladderurolithiasis |
|
|
Dog n. 30 |
T0 |
Colecistitis. |
Splenomegaly (+), hypoechogenicity |
n |
n |
|
T 2 |
r.n. |
r.n. |
Renalmineralizations |
Bladdersediment |
|
|
Dog n. 31 |
T0 |
Increased volume |
Splenomegaly (++) |
Increased echogenicity of cortex |
Lymphadenopathy |
|
T 1 |
r.n. |
r.n. |
p.f. |
r.n. |
|
|
Dog n. 32 |
T0 |
n |
Splenomegaly (+). Inhomogeneustexiture |
n |
n |
|
T 2 |
n |
r.n |
n |
n |
|
|
Dog n. 34 |
T0 |
Splenomegaly(++) |
n |
Lymphadenopathy |
|
|
T 1 |
r..n |
n |
r.n |
n= normal: no pathological ultrasound findings are revealed; r.n. = reverse to normal; p.f .= persisting US finding; in bracket is reported the severity of the pathological finding; T0= diagnosis; T 1= follow up at the end of treatment with melamine; T 2= follow up at discontinuation of allopurinol treatment (about 6 months from diagnosis).
In particular 4 dogs were monitored at T1, the others at T2. Table 4 shows post treatment follow-up results. A resolution of US changes in spleen, liver and lymphnodes was recorded in most of the dogs. In particular, the honeycomb aspect of the spleen quickly disappeared at T1 and enlarged organs reverse to normal size at T2. At T2 other abnormal findings, previously absent, were observed in 4 dogs including kidney and bladder stones, enlargement of the adrenal glands and mild abdominal effusion.
The study was conducted in an endemic area for CVL. Most of the dogs enrolled in this study showed vague and non-specific clinical signs (Table 1) or atypical signs (lameness, diarrhea) far from the most commonly reported signs of leishmaniasis (i.e. exfoliative dermatitis, onychogryphosis, periocular alopecia, peripheral lymphadenomegaly). Other dogs were presented for routine visit or were presented with signs referable to single apparatus with no evidence of systemic involvement at clinical examination. The 64.7% of dogs in this study was included in set 0 and 1. In this context, the US findings could play an important role. In fact, they can provide new paraclinical data that, if associated to traditional exams, could represent a useful support to address the diagnosis and to define the systemic involvement in dogs with CVL. However, the absence of US signs does not exclude the diagnosis, as shown in 20, 6% of the cases. Results of this study showed that the most common US findings were: splenomegaly often associated with decreased echogenicity and/or inhomogeneous texture, hepatomegaly and increased echogenicity of the renal cortex. The honeycomb aspect of the spleen, the cirrhotic aspect of the liver and the abdominal lymphadenopathy (in absence of peripheral lymphadenopathy) were less common, but notable findings.
Focal macro nodular lesions in spleen and liver, as described in humans, were not registered in this study, but they could not be ruled out and a larger population needs to be examined. These findings aroused interest in human medicine because their appearance could easily resemble neoplastic lesions [6- 8]. Canalias and collaborators [6] observed the presence of solid lesions with peripheral hyperechoic halo (3 and 1.5 cm of diameter) in the right lobe of the liver in an HIV positive patient. Similar macronodular lesions were observed in the liver of another patient [7], the bigger measuring 5 cm and having a necrotic center. Similarly Raeymaeckers and collaborators [8] observed an enlarged spleen with multiple hyperechoic nodules in another patient with leishmaniasis.
Statistical analysis comparing US findings with clinical set and laboratory data show that significant correlations were found only with splenic echogenicity. In particular, spleen echogenicity was negatively correlated with the clinical score and positively correlated with HCT (%), thus indicating that a reduction in the spleen echogenicity could early reflects the systemic involvement in course of CVL. The difficulty in categorizing the clinical status of Leishmania infected dogs is one of the major hurdles that practitioners encounter when deciding how to manage and treat affected dogs [15], thus abdominal US could contribute to better define the complex clinical picture of dogs with leishmaniasis. This is particularly important in endemic areas for the high presence of pauci-symptomatic infections. Results from US abdominal examination after treatment show that all dogs, except for one (dog 25) had the resolution of US abnormalities (Table 3), thus supporting their association with the disease but also suggesting that US monitoring could contribute to monitor the response to treatment.
Worth of note is the ultrasonographic honeycomb appearance of the spleen, characterized by multiple small hypoechoic nodules, that is suggestive of lymphoma or lymph sarcoma [16] or pyogranulomatous splenitis in dogs [16]. It was never been previously associated specifically with CVL. In this study the microscopic examination of multiple spleen fine needle aspirates revealed the presence of amastigotes of Leishmania spp. and the resolution of US changes after specific treatment confirmed the association with the infection (or reaction to the infection). In human medicine, Saxena and colleagues [17] observed a similar sonographic appearance of the spleen in a 7-year-old girl with leishmaniasis.
Kidney disease is often the only clinical abnormality in dogs with leishmaniasis and can evolve into asymptomatic proteinuria, nephrotic syndrome or chronic renal failure with glomerulonephritis, tubulo-interstitial nephritis and amyloidosis [18]. In our study, we found a high frequency of cortical increased echogenicity (41.2%).
Although dogs with CVL usually do not show clinical evidence of liver disease, the liver involvement has been already demonstrated as well as histopathological changes [19-22]. Inflammation and fibrosis of the liver are induced by CVL [20-23]; liver US changes probably reflect these histopathological changes. The cirrhotic-like evolution detected in two animals of this study could be the result of long-lasting infection as suggested also in humans [4]. In the dog with ascites Leishmania spp amastigotes were microscopically found both in the abdominal effusion and in the liver.
It is known that the 80% of symptomatic dogs with CVL has increased volume of peripheral lymphnodes [18]. Differently, poor information are reported in literature about the frequency of abdominal lymphadenopathy in dogs with CVL [24] and it is not known if the increase in volume of the peripheral lymphnodes is associated to abdominal lymphadenopathy. In two out of the five dogs showing abdominal lymphadenopathy, the peripheral lymphnodes resulted not enlarged. It is north worthy that in one of them, the microscopic diagnosis of Leishmania spp. infection was possible by sampling the enlarged abdominal lymph node under echo-guidance (dog 31).
Other US pathological findings were registered during this study in the urinary and reproductive system but it is possible that they were expression of concomitant diseases. However, systemic CVL can affect any organ including those of the reproductive system [25]. US signs of acute pancreatitis have been reported in humans in association with leishmaniasis [4].
In follow-up post treatment spleen, liver and lymph nodal US pathological signs resolved but some other findings (not revealed before therapy) were registered. Uroliths and renal mineralization may be due to the formation of xanthine uroliths resulting from xanthinuria, a condition observed in dogs undergoing prolonged treatment with allopurinol [26,27].
CONCLUSION
Results of this study suggest the ultrasonography could contribute to define the systemic involvement of dogs with leishmaniasis and to monitor the response to treatment. Furthermore data suggest that CVL need to be included in the differential diagnosis of the US honey-comb appearance of the spleen, while further investigation are need to rule out the possibility of macro nodular focal lesions associated to CVL.
ACKNOWLEDGEMENTS
The authors thank Prof. Andrea Navach for the language revision of the Manuscript and Dott. Aristide Maggiolino for statistical support
REFERENCES
- Paradies P, Capelli G, Cafarchia C, de Caprariis D, Sasanelli M, Otranto D. Incidence of canine leishmaniasis in an endemic area of Southern Italy. J Vet Med B Infect Dis Vet Public Health. 2006; 53: 295-298.
- Dantas-Torres F. The role of dogs as reservoirs of Leishmania parasites, with emphasis on Leishmania (Leishmania) infantum and Leishmania (Viannia) braziliensis. Vet Parasitol. 2007; 149: 139-146.
- Meliia KhO, Zenaishvili OP. Ultrasound study of parenchymatous organs in visceral leishmaniasis. Med Parazitol (Mosk). 2006; 2: 31-33.
- Abdalla EA, Ayad CE, Ahmed AMF, El Gaddal ASA, Saeed A. Ultrasound findings in patients with visceral leishmaniosis. Int J Med Imaging. 2014; 2: 5-9.
- Mahmoud MZ. Assessment of Visceral Leishmaniasis Consequences Using Ultrasound. O J Radiol. 2014; 4: 201-206.
- Canalias J, Falcó J, Martín J, Jurado I. Macronodular hepatic granulomas due to visceral leishmaniasis in an AIDS patient: imaging findings. J Comput Assist Tomo. 1997; 21: 677-679.
- Bükte Y, Nazaroglu H, Mete A, Yilmaz F. Visceral leishmaniasis with multiple nodular lesions of the liver and spleen: CT and sonographic findings. Abdom Imaging. 2004; 29: 82-84.
- Raeymaeckers S, Docx M, Demeyere N. MRI findings of nodular lesions in an enlarged spleen, associated with visceral leishmaniasis. Eur J Radiol. 2011; 81: 2550-2553.
- Noli C, Auxilia ST. Treatment of canine old world visceral leishmaniasis: a systematic review. Vet Dermatol. 2005; 16: 213-232.
- Oliva G, Roura X, Crotti A, Maroli M, Castagnaro M, Gradoni L, et al. Guidelines for treatment of leishmaniasis in dogs. J Am Vet Med Assoc. 2010; 236: 1192-1198.
- Menard M, Papageorges M. Fine-needle biopsies: how to increase diagnostic yield. Compend Contin Educ Vet. 1997; 19: 738-740.
- Nyland TG, Mattoon JS. Small Animal Diagnostic Ultrasound. 3rd edn. Philadelphia: Saunders. 2015.
- d'Anjou MA. Abdominal cavity, lymphnodes and great vessels. In: Pennick D, d'Anjou MA, editors. Atlas of small animal ultrasonography. USA: Blackwell publishing. 2008.
- Agthe P, Caine AR, Posch B, Herrtage ME. Ultrasonographic appearance of jejunal lymph nodes in dogs without clinical signs of gastrointestinal disease. Vet Radiol Ultrasound. 2009; 50: 195-200.
- Paradies P, Sasanelli M, de Caprariis D, Testini G, Traversa D, Lia RP et al. Clinical and laboratory monitoring of dogs naturally infected by Leishmania infantum. Vet J. 2010; 186: 370-373.
- Hecht S. Spleen. In: Pennick D, d'Anjou MA, editors. Atlas of small animal ultrasonography. USA: Blackwell publishing. 2008.
- Saxena AK, Sodhi KS, Narayanan S, Singhi S, Khandelwal N. Splenic lesions in visceral leishmaniasis. Indian J Pediatr. 2011; 78: 753-754.
- Koutinas AF, Polizopoulou ZS, Saridomichelakis MN, Argyriadis D, Fytianou A, Plevraki KG. Clinical considerations on canine visceral leishmaniasis in Greece: a retrospective study of 158 cases (1989-1996). J Am Anim Hosp Assoc. 1999; 35: 376-383.
- Tafuri WL, de Oliveira MR, Melo MN, Tafuri WL. Canine visceral leishmaniosis: a remarkable histopathological picture of one case reported from Brazil. Vet Parasitol. 2001; 96: 203-212.
- Rallis T, Day MJ, Saridomichelakis MN, Adamama-Moraitou KK, Papazoglou L, Fytianou A, et al. Chronic hepatitis associated with canine leishmaniosis (Leishmania infantum): a clinico pathological study of 26 cases. J Comp Pathol. 2005; 132: 145-152.
- Melo F, Amaral M, Oliveira P, Lima W, Andrade M, Michalick M, et al. Diffuse intralobular liver fibrosis in dogs naturally infected with Leishmania (Leishmania) chagasi. Am J Trop Med Hyg. 2008; 79: 198-204.
- Melo FA, Moura EP, Ribeiro RR, Alves CF, Caliari MV, Tafuri WL, et al. Hepatic extracellular matrix alterations in dogs naturally infected with Leishmania (Leishmania) chagasi. Int J Exp Pathol. 2009; 90: 538-548.
- Duarte MI, Corbett CE. Histopathological patterns of the liver involvement in visceral leishmaniasis. Rev Inst Med Trop São Paulo. 1987; 29: 131-136.
- Freeman KS, Miller MD, Breitschwerdt EB, Lappin MR. Leishmaniasis in a dog native to Colorado. J Am Vet Med Assoc. 2010; 237: 1288-1291.
- Mir F, Fontaine E, Reyes-Gomez E, Carlus M, Fontbonne A. Subclinical leishmaniasis associated with infertility and chronic prostatitis in a dog. J Small Anim Pract. 2012; 53: 419-422.
- Ling GV, Ruby AL, Harrold DR, Johnson DL. Xanthine-containing urinary calculi in dogs given allopurinol. J Am Vet Med Assoc. 1991; 198: 1935-1940.
- Torres M, Pastor J, Roura X, Tabar MD, Espada Y, Font A, et al. Adverse urinary effects of allopurinol in dogs with leishmaniosis. J Small Anim Pract. 2016; 57: 299-304.


