An Adult Male Presented with Bullous Impetigo with Leukocytoclastic Vasculitis (LAC) in Pathology Secondary to MRSA Bacteremia
- 1. Department of Infectious Diseases, Louisiana State University Health Sciences Center, USA
- 2. Department of Internal Medicine, Louisiana State University Health Sciences Center, USA
- 3. Department of Infectious Diseases, Louisiana State University Health Sciences Center, USA
- 4. Department of Infectious Diseases, Louisiana State University Health Sciences Center, USA
- 5. Department of Infectious Diseases, Shreveport VA Medical Center, USA
- 6. Department of Pathology, Shreveport VA Medical Center, USA
- 7. Department of Pathology, Shreveport VA Medical Center, USA
- 8. Department of Infectious Diseases, Shreveport VA Medical Center, USA
Abstract
We present an adult male with MRSA bacteremia presented as Bullous impetigo with leukocytoclastic vasculitis (LAC) in pathology.
Keywords
• MRSA
• Bullous impetigo
• Leukocytoclastic vasculitis
Citation
Mada PK, Malus ME, Castano G, Saldaña Koppel DA, Washburn R, et al. (2018) An Adult Male Presented with Bullous Impetigo with Leukocytoclastic Vasculitis (LAC) in Pathology Secondary to MRSA Bacteremia. Ann Clin Cytol Pathol 4(1): 1095.
BACKGROUND
Impetigo incidence is highest in children under five years, followed by ages 5-14, and the elderly are the least affected group [1]. It is important to remember that impetigo has two variants; non-bullous, representing 70% of all cases, and bullous form representing 30%. Bullous impetigo is common in children of 1-5 years of age and in immunocompromised patients.
Staphylococcus aureus is still the most common pathogen responsible for a diversity of infections; however only a few diseases have been associated with their toxins: Toxic shock syndrome, furuncles, staphylococcal scalded skin syndrome (SSSS) and bullous impetigo. SSSS and bullous impetigo are most common in newborns. Epidermolysins are the primary causative toxins of bullous impetigo and SSSS, and it is still not clear if this disease results from their protease activity or by a super-antigen property [2].
CASE PRESENTATION
A 59-year-old male with a history of chronic systolic heart failure, mitral valve repair, hypertension, chronic kidney disease stage III, atrial flutter, gout, and alcohol abuse who had presented to our hospital with new bullous lesions on both of his hands and both of his feet for two days before admission. He said that blisters on his feet appeared first which then ruptured (Figure 1,2)
Figure 1: Ruptured blisters on the plantar surface of both feet.
Figure 2: Ruptured blisters on the medial surface of both feet.
and then he noticed the blisters on his hands appearing later in the disease progression (Figure 3).
Figure 3: Multiple blisters on the right palm.
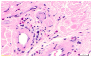
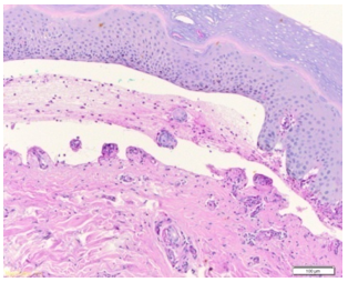
The blisters were not painful, but he did have some itching. He denied fever, chills, sore throat, cough, diarrhea or night sweats. He also denied recent ingestion of new medications, sick contacts, similar rashes in family members, dietary change, exposure to chemicals, or tick or mosquito bites. On presentation, he was afebrile and hemodynamically stable. Vitals were: Blood Pressure 106/76 mm of Hg, Heart rate 90 beats per minute, Respiratory rate 20 per minute, and Temperature was 97.2F. Notable labs included WBC 6.5k, Hgb 10.1, Hct 31.3, Plt 165k, Na 139, K 4.3, BUN 13.1, and Cr 1.56 (baseline 1.4-1.5), CRP 18.88, and ESR 29. HIV, RPR and Hepatitis serology were nonreactive. Procalcitonin was 0.07. Autoimmune screen including ANA screen, Rheumatoid factor, and Anti-CCP IgG antibody was all negative. Immunoglobulin levels except IgG subclass 4 were all within normal limits. IgG subclass 4 was elevated at 338. Herpes simplex virus type 1 and 2 DNA was not detectable. Dermatology team performed a biopsy of the bulla. Pathology reported as leukocytoclastic vasculitis and features suggestive of bullous pemphigoid or bullous drug eruption (Figure 4-6) and the patient was started on dexamethasone.
Figure 4: Punch biopsy of skin with epidermis showing hyperkeratosis and minimal spongiosis. In the superficial dermis, there is a mild mixed perivascular infiltrate. (Hematoxylin & Eosin stain, magnification 100X).
Figure 5: Dermal mixed superficial perivascular composed of neutrophils, eosinophils, and lymphocytes are seen. A fibrin thrombus is seen. Nuclear dust is also seen. Other features characteristic for leukocytoclastic vasculitis (e.g., fibrinoid vascular necrosis or extravasated red blood cells are not prominent. (Hematoxylin & Eosin stain, magnification 400X).
Figure 6: Punch biopsy with subepidermal clefting that contains a few eosinophils, lymphocytes and occasional neutrophils. The dermis shows a mild perivascular infiltrate with eosinophils and lymphocytes. (Hematoxylin & Eosin stain, magnification 100X). Features suggestive of bullous pemphigoid or bullous drug eruption. Immunofluorescence studies were suboptimal but showed linear pattern along the basement membrane with the C3 antibody.
Unfortunately, cultures were not done at this time. All non-essential medications were withheld due to the concern of Erythema Multiforme. Blood cultures on admission grew methicillin-resistant Staphylococcus aureus (MRSA). Organism was resistant to Clindamycin, Erythromycin, Levofloxacin, Oxacillin, Tetracycline, and Trimethoprim + Sulfamethoxazole and sensitive to Vancomycin, Daptomycin and Linezolid. Infectious Diseases was consulted at this point. The patient was started on Intravenous vancomycin one gram every 12 hours. The patient had developed Acute Kidney Injury with creatinine elevation (Baseline creatinine was 0.98 mg/ dl, trended up to 1.6 mg/dl) and vancomycin was switched to intravenous daptomycin 6mg/kg every 24 hours with base line check of Creatinine phosphokinase (His CPK level was with in normal limits). We performed aspirate from one of the blisters which yielded five ml of serous fluid, and bacterial cultures were negative. Blood cultures were repeated three days after were negative. Rheumatology was consulted, and they believed leukocytoclastic vasculitis was not from a systemic vasculitis or connective tissue disease but it was from MRSA bacteremia and there was no need for steroid therapy. A 2-D transthoracic echocardiogram was negative for valvular vegetation. A PICC line was inserted, and the patient was sent home on daptomycin for two weeks. He was scheduled for follow up by primary team clinic after one month; however patient was lost to follow up.
DIFFERENTIAL DIAGNOSIS
Bullous lesions have a broad differential; bullous erythema multiforme, bullous fixed drug eruption, bullous lupus, bullous pemphigoid, bullous scabies, contact dermatitis, dermatitis herpetiformis, insect bites, linear immunoglobulin A bullous dermatosis, necrotizing fasciitis, pemphigus vulgaris, steven johnson syndrome, thermal burns, transient neonatal pustular melanosis. However, the diagnosis is nearly always clinical. Clinical swabs cannot differentiate between bacterial infection and colonization; and in patients whom first-line therapy fails, a culture of the pus or bullous fluid may be helpful for pathogen identification and antimicrobial susceptibility [3].
Staphylococcal scalded skin syndrome (SSSS) is a toxinmediated disease, usually in children, in which the skin easily detaches by rubbing, which is known as Nikolsky’s sign. The toxin acts on the stratum granulosum of the epidermis. SSS differs from toxic epidermonecrolysis since SSS almost never involves the mucosa while TEN typically usually involves the mucous membranes. The severity of SSS varies from a few blisters that are localized at the site of infection to a severe exfoliation affecting the entire body
Linear IgA bullous disease (LABD) is an idiopathic autoimmune subepidermal blistering disorder characterized by a vesiculobullous eruption of the skin and mucous membranes. Pathology shows linear IgA deposition alongthe basement membrane. IV vancomycin can precipitate Drug-induced LABD which resolves withdiscontinuation of vancomycin.
Dermatitis herpetiformis is characterized by extremely pruritic grouped excoriations, erythematous plaques, and papuleswith vesicles usually located on the extensor surfaces of the back, elbows, knees, and buttocks. It is an autoimmune blistering disorder that is frequentlyassociated with coeliac disease. The usual location for bullous pemphigoid is a chronic subepidermal blistering disease.
Kouskoukis did a study to try to establish firm criteria to differentiate between pemphigus and bullous impetigo concluded that bullous impetigo would present bacteria within intact blisters and pemphigus presents with no bacteria in blisters [4]. In our case, the patient had been taking antibiotics before aspirate resulting in no growth of bacteria.
DISCUSSION
Skin infections are caused due to a breach in the epithelium which serves as a barrier through abrasions, trauma, insect bites, eczema and even other diseases like scabies. All this are probable causes for impetigo, either bullous or non-bullous [5]. The blister formation of the skin is mediated by exfoliative toxins, A and B (ETA and ETB), both causing exfoliation of the epidermis without necrolysis or inflammatory response of the skin. These toxins act as proteases that cleave desmosomes (desmoglein 1-Dsg1) in the granular layer [6]. Bullous impetigo and SSSS are a result of skin separation, from the stratum granulosa and spinosum, and Nicholsky sign is positive.
ETA and ETB share a very similar amino acid structure, and they are “atypical” glutamate-specific serine proteases. The “atypical” term is used because the catalytic site is not appropriately configured to be active, perhaps requiring activation by binding to Dsg1, which is also the relevant substrate in the autoimmune disease pemphigus foliaceus, leaving identical blisters to those of bullous impetigo and SSSS. Recently ETD was also identified, along with ETA and ETB, these toxins act as some glutamic acid-specific serine proteases with unusually focused specificity that breaks down Dsg1. This mechanism could be attributed to hydrolysis of a single peptide bond in Dsg1 [7].
The epidermolytic toxin of staphylococcal is not able to bind to any cells in the skin, and it may not be found in the fluid from the blisters. Leaving as an unknown mechanism of action of the toxins when it comes to bullae formation [8].
Diagnosis of impetigo is almost exclusively clinical. Identifying risk factors such as atopic eczema, scabies, chickenpox, insect bite, abrasion, thermal burn, surgical wound [9], is very helpful for the diagnosis. The lesions of bullous impetigo are vesicles that rapidly progress to superficial, thin-roofed, flaccid, and transparent bullae that initially have clear fluid that turns into cloudy and dark yellow. The bullae break easily, and this usually happens in the first three days. This disease is very contagious, and contact isolation is needed [10]. It can be seen in older patients with the renal deficiency or with immunosuppression [11]. It is rare to have an adult with impetigo, even when the bullous variant is more common in adults and immunocompromised it is still a rare disease for this age group. Da shi et al. conducted a study in children on 134 bullous impetigo cases, of which 19.4% were positive for MRSA, in those, the ET gene carriage was 61.5% for MRSA [12].
CONCLUSION
In our case, despite having the leukocytoclastic vasculitis, there was no need for immune suppressive treatment because it was secondary to the staphylococcal infection.Bullous impetigo is a milder form of SSSS, and it can be treated with topical therapy such as fusidic acid or mupirocin. First-line systemic treatment for MSSA bullous impetigo is oral or intravenous flucloxacillin and for MRSA bullous impetigo is intravenous vancomycin.
REFERENCES
- Bernard P. Management of common bacterial infections of the skin. Curr Opin Infect Dis. 2008; 21: 122-128.
- Prévost G, Couppié P, Monteil H. Staphylococcal epidermolysins. Curr Opin Infect Dis. 2003; 16: 71-76.
- Hartman Adams Holly, Christine Banvard, Gregory Juckett. Impetigo: Diagnosis and Treatment. Am Fam Physician. 2014; 90: 229-235.
- Kouskoukis CE, Ackerman AB. What histologic findings distinguish superficial pemphigus and bullous impetigo? Am J Dermatopathol. 1984; 6: 179-181.
- Ibrahim F, Khan T, Pujalte GG. Bacterial Skin Infections. Prim Care. 2015; 42: 485-499.
- Yamaguchi T, Yokota Y, Terajima J, Hayashi T, Aepfelbacher M, Ohara M, et al. Clonal association ofstaphylococcus aureus causing bullous impetigo and the emergence of new methicillin resistant clonal groups in kansai district in japan. J Infect Dis. 2002; 185: 1511-1516.
- Hanakawa Y, Schechter NM, Lin C, Garza L, Li H, Yamaguchi T, et al. Molecular mechanisms of blister formation in bullous impetigo and staphylococcal scalded skin syndrome. J Clin Invest. 2002; 110: 53-60.
- Baker DH, Dimond RL, Wuepper KD. The epidermolytic toxin of staphylococcus aureus: its failure to bind to cells and its detection in blister fluids of patients with bullous impetigo. J Invest Dermatol. 1978; 71: 274-275.
- Hon A. Impetigo. DermNet NZ. 1999.
- Schiazza Luciano. Bullous Impetigo. 2015.
- Junkins Hopkins, Jacqueline M, Klaus J, Busam. Blistering Skin Diseases. Dermatopathol. 2010; 210-249.
- Shi D, Higuchi W, Takano T, Saito K, Ozaki K, Takano M, et al. Bullous impetigo in children infected with methicillin-resistant staphylococcus aureus alone or in combination with methicillin-susceptible s. aureus: analysis of genetic characteristics, including assessment of exfoliative toxin gene carriage. J Clin Microbiol. 2011; 49: 1972-1974.





