Correlation of Cytomorphology Pattern on FNAC with AFB Positivity in Tubercular Lymphadenitis Cases
- 1. Department of Pathology, ESIC Model Hospitals, India
Abstract
Background: Tuberculosis (TB) is common disease in developing countries. FNAC (fine needle aspiration cytology) is minimally invasive and inexpensive diagnostic procedure for evaluation of peripheral lymphadenopathy. Cytomorphological features and Ziehl Neelsen stains are used for confirmation of tuberculosis on FNAC.
Aims: We aim to evaluate role of cytomorphological pattern in diagnosis of tubercular lymphadenitis (TBL).
Methods: Clinically suspected patients of TBL were sent for FNAC and included in study.
Results: FNAC was suggested TB in 90 patients. Out of 90 patients 63.3% were male and 36.7% female. Mean age of included patients was 27.8 ± 11.7 years. Mostly patients clinically presented with fever (24%). Cervical lymph nodes mostly affected in 60%. Cytomorphological findings suggestive of TB were grouped in following patterns with their percentage: Pattern 1: Epithelioid granulomas, Langerhans giant cells, caseous necrosis -25.6%, Pattern 2: Epithelioid granulomas with caseous necrosis - 15.7%, Pattern 3: Epithelioid granulomas, Langerhans giant cells, caseous necrosis, polymorphs- 16.6%. Pattern 4: Numerous clusters of epithelioid cells, granuloma, giant cells in a reactive background- 13.3%, Pattern 5: Granulomas, caseous necrosis, polymorphs- 12.2%. Pattern 6: Only caseous necrotic material - 10.0%, Pattern 7: Predominantly neutrophils, degenerating cells, semi fluid necrotic material- 6.6%. Overall AFB positivity rate was 53.3%. Pattern 3 showed highest positivity (80%) for AFB, pattern 2 (64.4%), pattern 1 (60.8%). Pattern 3 was most specific (92.3%), pattern 6 and 7 (90.4% each).
Conclusion: FNAC is sensitive, specific and rapid procedure for diagnosis of TBL. Cytomorphological Pattern 3 was most specificity and pattern 1 sensitivity for diagnosis of TBL.
Keywords
• FNAC; Cytomorphology; Pattern; Tuberculosis
Citation
Khairwa A (2018) Correlation of Cytomorphology Pattern on FNAC with AFB Positivity in Tubercular Lymphadenitis Cases. Ann Clin Cytol Pathol 4(6): 1116.
INTRODUCTION
Tuberculosis is very common disease in the developing countries. Lymph node is the second most common site of involvement after lung [1]. Lymphadenopathy can be manifestation of various diseases. FNAC (fine needle aspiration cytology) is a minimal invasive, rapid, inexpensive and easy diagnostic procedure for evaluation of peripheral lymphadenopathy in comparison to excisional biopsy [2]. FNAC prevents unnecessary surgery and it is affordable diagnostic test in developing countries. Cytological features for diagnosis of tuberculosis in lymph node include epithelioid cell granulomas with or without multinucleated giant cells and caseous necrosis [3]. Culture is referred as gold standard method for diagnosis of TB, but it takes longer time for identification, and its sensitivity is also relatively low in paucibacillary conditions [4]. Ziehl Neelsen (ZN) stain is useful for bacteriological confirmation on dry smear of FNAC routinely at most of small and large centres. Newer molecular techniques like TB Gold, Gene expert and TB PCR is very sensitive but these are very costly. Diagnosis of tubercular lymphadenitis (TBL) is challenge for clinicians, especially in early stages. Microscopy and staining for acid-fast bacilli (AFB) of FNAC specimen is the only facility available to diagnose TBL at many centers in developing countries. In index study we aim to evaluate the role of cytomorphology pattern on FNAC in diagnosis of TBL in comparison to ZN stain for AFB.
MATERIAL AND METHODS
The present study is a retrospective study. Clinically suspected patients of tubercular lymphadenitis (TBL), who were sent for FNAC, were included in the study from January to September 2017 at our institute. Findings on FNAC were classified as suggestive of tuberculosis, reactive and suggestive of malignancy. We collected the data of the patients who were having Cytomorphological pattern suggestive of TB on FNAC were grouped in seven patterns and were compared with ZN stain on FNAC slides. To make cytomorphological diagnosis, it also required clinical and laboratory findings correlation to rule out other causes of granulomatous inflammation and AFB negative patients. The study considered AFB positivity as gold standard for diagnosis of TBL. The sensitivity and specificity of various pattern was calculated against the gold standard AFB positivity. FNAC of peripheral lymph node and prepared smears were stained with Giemsa (dry smear), H&E (wet smear) and ZN stain. The study was exempt from approval because retrospective study only used de-identified patient data.
Statistical analysis
Continuous data were reported as mean ± SD for normally distributed variables and as median with interquartile range for skewed variables. Categorical data were reported as percentages. P value of <0.05 was considered statistically significant. We used SPSS 16 software for statistical analysis.
RESULTS
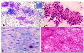
A total of 143 patients with suspected tubercular lymphadenopathy underwent FNAC during study period. Out of these, 90 patients showed cytomorphological features suggestive of tuberculosis, 46 patients had reactive lymphoid hyperplasia, seven had metastatic carcinoma and one patient diagnosed with non-hodgkin’s lymphoma. Out of 90 patients suggestive of TB on FNAC, 57 (63.3%) were male and 33 (36.7%) were female patients. Age range of included patients was 4 to 61 years with mean age of 27.8 ± 11.7 year. Out of 90 patients, 11 patients were children with age range 4 to 12 year. Most of the patients have history of fever, cough, and weight loss. There was history of contact in 24%, only fever in 20%, only cough in 10%, and only pain in 8.9%. On physical examination 60% patients were having cervical lymph node enlargement, 30% patients were having submandibular and supraclavecular lymph node enlargement and 10% patients were having other lymph node swelling. Lymph node swellings were tender in 20% patients and nontender in 80% patients. A total of 20.2 % received antitubercular treatment (ATT) in past. At the time of FNAC, 7.9% cases were already on ATT. On cytological examination 80% patients showed granulomas formation and absent in 20% cases. Giant cells formation was seen in 56.7% and absent in 43.3% cases. Caseous necrosis was seen 72.2% and absent 27.8% cases. Polymorphs were present in 47.8% and absent in 52.2% cases. Histiocytes were in present 90% and absent in 10% cases. Acute supportive inflammation present in 38.2% and absent 61.8% cases. All morphological features of granulomas, giant cells, caseous necrosis, histiocytes, polymorphs, acute suppuration were present in 8%. Stain for AFB positive in 53.3% cases and negative in 46.7% cases. Common cytomorphology of tubercular lymphadenitis includes epitheliod cells granulomas, Langerhans giant cells, histiocytes, lymphocytes and with or without necrosis, is shown in Figure 1.
Figure 1: Showed a cytomorphological features and AFB positive on FNAC of Tubercular lymphadenitis: (a) Epithelioid cell granuloma, giant cells (insert) and a caseous necrotic background (Gimsa X 100), (b) Epithelioid granuloma (H&E, 400), (c) Supportive necrotic background (Gimsa X 400), (d) Positive Acid fast bacilli (ZN X1000).
The study considered AFB positivity as gold standard for diagnosis of TBL. The sensitivity and specificity of various pattern was calculated against the gold standard AFB positivity. The cytomorphological findings were grouped in seven patterns to identify the pattern more specific for tuberculosis. These patterns were as follows:
Pattern 1: Epithelioid granulomas with Langerhans giant cells and caseous necrosis – 25.6%
Pattern 2: Epithelioid granulomas with caseous necrosis - 15.7%
Pattern 3: Epithelioid granulomas, Langerhans giant cells, caseous necrosis and poly morphs- 16.6%
Pattern 4: Numerous clusters of epithelioid cells with granuloma and giant cells in a reactive background- 13.3%
Pattern 5: Epithelioid granulomas with caseous necrosis and polymorphs- 12.2%
Pattern 6: Only caseous necrotic material - 10.0%
Pattern 7: Predominantly neutrophils along with degenerating cells and semi fluid necrotic material- 6.6 %
The correlation between cytomorphological pattern with AFB positivity rate by ZN stain and sensitivity and specificity of these patterns is shown in Table 1.
Table 1: Correlation between cytomorphological patterns of Tubercular lymph node aspiration with ZN stains positivity and sensitivity and specificity of these patterns.
|
Pattern |
Cytomorphology |
No. of patient |
No. of AFB Positive patients |
% rate of AFB Positive |
Sensitivity of pattern |
Specificity of pattern |
|
1 |
Epithelioid granulomas, Langerhans giant cells & caseous necrosis |
23 |
14 |
60.8% |
29.1% |
78.6% |
|
2 |
Granulomas with caseous necrosis |
14 |
9 |
64.4% |
18.7% |
88.0% |
|
3 |
Epithelioid granulomas, Langerhans giant cells, caseous necrosis & polymorphs |
15 |
12 |
80.0% |
25.0% |
92.3% |
|
4 |
Epithelioid cells with granuloma & giant cells in a reactive background |
12 |
3 |
25.0% |
6.2% |
78.5% |
|
5 |
Granulomas, caseous necrosis & polymorphs |
11 |
3 |
27.2% |
6.2% |
80.9% |
|
6 |
Only caseous necrotic material |
9 |
5 |
55.5% |
10.4% |
90.4% |
|
7 |
Predominantly neutrophils, degenerating cells, semi fluid necrotic material |
6 |
2 |
33.3% |
4.1% |
90.4% |
Pattern 3 showed highest positivity (80%) for AFB on ZN stain, followed by pattern 2 (64.4%), pattern 1 (60.8%) and pattern 6 had positivity (55.5%). The sensitivity was highest of pattern 1 (29.1%), followed by pattern 3 (25%) and pattern 2 had (18.7%). The specificity was highest of pattern 3 (92.3%), followed by pattern 6 and 7 (90.4% each). Pattern 6 and 7 were negative for AFB on ZN stain, it required clinical correlation and advisable repeat FNAC after a course of antibiotics, so that acute suppurative inflammation subsided and we can assess representative sample for diagnosis of tuberculosis. In category 6 caseous necrosis is highly suggestive for tuberculosis because it has AFB positivity rate 55.5% and both (6&7) category have high specificity 90.4% for tuberculosis.
DISCUSSION
The index study showed stain for AFB was positive in 53.3% cases in comparison to other studies were demonstrated AFB positivity from 26.7% to 64%.5,6 Most of studies were demonstrated AFB positivity on FNAC of tubercular lymphadenitis 20 to 40.6% [5-7].
Rajwanshi et al., described most common site of tuberculosis involvement was lymph node, which was similar to our study [7,8]. Most common site of TBL was cervical lymph node that was comparable to our study [5-9]. Common clinical presentations of TBL were fever, cough, weight loss, history of contact, which were corroborated with other studies [6,7]. We found that most common cytomorphological pattern of TB lymphadenitis was pattern 1 (Epithelioid granulomas, Langerhans giant cells & caseous necrosis) in 25.6% cases that was similar to Rajwanshi et al., [7].
Khajuria et al., reported most common pattern 2 (Granulomas with caseous necrosis) in 49.3% [5]. Few studies reported granulomatous lymphadenitis in 57.8% cases [6]. But they did not clarify the granulomatous lymphadenitis contents. Our study showed highest AFB positivity of 80% of AFB in pattern 3, followed by pattern 2 with 64.4% and pattern 1 with 60.8% AFB positivity. These findings were not correlated with other studies. Rajwanshi et al., and Khajuria et al., were reported highest positivity of AFB in pattern 6 (only caseous necrotic material) with 80% and 78% respectively but in index study reported 55.5% positivity of AFB [5-7]. Rajwanshi et al., reported 6 pattern of the cytomorphology of TB. Few other studies also showed similar pattern of cytomorphology of Tubercular lymphadenitis [8,10,11]. But in our study we reported 7 pattern of cytomorphology of Tubercular lymphadenitis. In addition, we reported pattern 3 which included epithelioid granulomas, Langerhans giant cells, caseous necrosis & polymorphs. We found highest 80% AFB positivity rate in pattern 3. Khajuria et al., and Thakur et al., reported only three pattern of cytomorphology of TB [5,6]. Radhika et al., showed highest positivity of AFB for pattern one that not corroborated with our finding [12].
CONCLUSION
We concluded FNAC is very cheap, simple, safe, rapid and easy procedure for diagnosis of tubercular peripheral lymphadenitis. It is a sensitive and specific procedure for diagnosis of tubercular lymphadenitis. Cytomorphological pattern 3 (Epithelioid granulomas, Langerhans giant cells, caseous necrosis & polymorphs) is most specific for diagnosis of TBL.
Cytomorphological pattern 1 (Epithelioid granulomas with Langerhans giant cells and caseous necrosis) is most sensitive for diagnosis of TBL. Coupling of FNAC with ZN staining had increased sensitivity, specificity and accuracy of this procedure.
REFERENCES
- Lau SK, Kwan S, Lee J, Wei WI. Source of tubercle bacilli in cervical lymph nodes: a prospective study. J Laryngol Otol. 1991; 105: 558-561.
- Pahwa R, Hedau S, Jain S, Jain N, Arora VM, Kumar N, et al. Assessment of possible tuberculous lymphadenopathy by PCR compared to non-molecular methods. J Med Microbiol. 2005; 54: 873-878.
- Singh KK, Muralidhar M, Kumar A, Chattopadhyaya TK, Kapila K, Singh MK, et al. Comparison of in house polymerase chain reaction with conventional techniques for the detection of Mycobacterium tuberculosis DNA in granulomatous lymphadenopathy. J Clin Pathol. 2000; 53: 355-361.
- Daniel TM. The rapid diagnosis of tuberculosis: a selective review. J Lab Clin Med. 1990; 116: 277-282.
- Khajuria R, Singh K. Cytomorphological Features of Tuberculous Lymphadenitis on FNAC. Jk Sci. 2016; 18: 63-66.
- Thakur B, Mehrotra R, Nigam JS. Correlation of Various Techniques in Diagnosis of Tuberculous Lymphadenitis on Fine Needle Aspiration Cytology. Pathology Res Int. 2013.
- Rajwanshi A, Bhambhani S, Das DK. Fine-needle aspiration cytology diagnosis of tuberculosis. Diagn Cytopathol. 1987; 3: 13-16.
- Gangane N, Null A, Singh R. Role of modified bleach method in staining of acid-fast bacilli in lymph node aspirates. Acta Cytol. 2008; 52: 325-328.
- Paliwal N, Thakur S, Mullick S, Gupta K. FNAC in tuberculous lymphadenitis: experience from a tertiary level referral centre. Indian J Tuberc. 2011; 58: 102-107.
- Annam V, Karigoudar MH, Yelikar BR. Improved microscopical detection of acid-fast bacilli by the modified bleach method in lymphnode aspirates. Indian J Pathol Microbiol. 2009; 52: 349-352.
- Chandrasekhar B, Prayaga AK. Utility of concentration method by modified bleach technique for the demonstration of acid-fast bacilli in the diagnosis of tuberculous lymphadenopathy. J Cytol. 2012; 29: 165-168.
- Radhika S, Gupta SK, Chakrabarti A, Rajwanshi A, Joshi K. Role of culture for mycobacteria in fine?needle aspiration diagnosis of tuberculous lymphadenitis. Diagn Cytopathol. 1989; 5: 260-262.
