Cytological Diagnosis of Papillary Cystadenocarcinoma of the Parotid Gland
- 1. Department of Pathology, Giansagar Medical College, India
- 2. Department of Pathology, Giansagar Medical College, India
Abstract
Papillary cystadenocarcinomas are common tumors of the ovary, but limited reports are there in the literature where the tumor arises in the salivary gland. Of all the salivary glands, parotid is the most common site where it is seen. Cytological features in papillary cystadenocarcinoma do overlap with cystadenoma but there are certain pointers, which help in distinguishing the two. The present case studies the cytological findings in a malignancy and how to differentiate it from the benign counterpart.
Keywords
• Cystadenoma
• Cystadenocarcinoma
• Papillary
• Parotid
Citation
Jindal S, Handa U (2015) Cytological Diagnosis of Papillary Cystadenocarcinoma of the Parotid Gland. Ann Clin Cytol Pathol 1(2): 1009.
ABBREVIATIONS
PC: Papillary cystadenocarcinoma; FNA: Fine needle aspiration; MGG: May GrunwaldGiemsa; H&E: Hematoxylin and Eosin.
INTRODUCTION
Papillary cystadenocarcinoma (PC) is an extremely raremalignant tumor of the salivary gland described by theWHOin 1991. Until then, this tumor was classified as an of adenocarcinoma or was also called malignant papillary cystadenoma, low-grade papillary adenocarcinoma or mucusproducing adenopapillary carcinoma [1].This type of tumor can also occur in the ovary, bladder, bileduct, pancreas, mammary gland, thyroid, and upperrespiratory tract [2]. Cases of PC in the prostate have beenreported but are uncommon [3]. Cytologically, PC is defined as a low-grade glandulartumor with an indolent biological behavior, which is characterized, by cysts and papillary endocystic projections. This tumor most commonly arises in the major salivaryglands, mainly the parotid gland, but involvement of theminor salivary glands has also been reported [2,4,5]. Mostpatients present a mass of slow and painless growth [1].
We report a case of recurrent papillary cystadenocarcinoma of the parotid gland in a 58 years old male patient. Previous excision was reported as papillary cystadenocarcinoma on histopathology. Although there have been reports, and some series on histological diagnosis in the literature, we did not find substantial reports on the cytological diagnosis of papillary adenocarcinoma. We present the cytologicalfindings in such a case.
CASE PRESENTATION
A 58 years old male patient presented in the ENT OPD with a swelling in the right parotid region. He had a history of excision done 4 months back and now the swelling had recurred since the past one month. On examination the swelling had well defined borders involving the parotid region measuring approximately 5x4x2 cm. Scar from the previous surgery could be appreciated. The swelling was partly solid to cystic, soft to firm in consistency and non-tender. Clinical diagnosis was suggested as a recurrence in a known case of papillary cystadenocarcinoma on the basis of previous histopathology report.
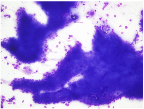
Fine needle aspiration (FNA) was performed with a 22-gaugeneedle attached to 20 mL syringe mounted on Cameco’ sholder. The aspirate consisted of 2 ml clear cystic fluid. Two smears were air-dried and stained with May-Gru?nwald Giemsa (MGG) and two wet-fixed and stained with Hematoxylin and Eosin (H&E). On microscopic examination, the smears showed tumor cells arranged in a prominent papillary pattern. The cells were small to medium and showed minimal nuclear pleomorphism with abundant cytoplasm (Figure 1).
Figure 1: Prominent papillary pattern, MGG [100x].
Focal areas of cells showingoncocytic change were also seen. Few mitotic figures could be appreciated.
Previous histopathology report was reviewed and the sections examined.Sections showed a tumor arranged in papillary pattern having a fibro vascular core (Figure 2).
Figure 2: Histopathology section, H&E [400x].
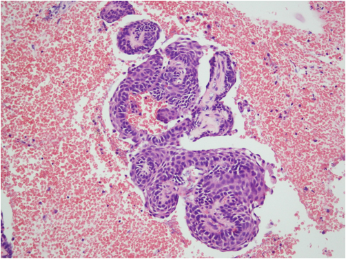
Papillae were lined by hyperplastic epithelium showing oncocytic change and focal squamous metaplasia. At places, the papillary core showed cystic degeneration with the presence of foamy macrophages. Focal areas showed increase in mitotic activity. Similar features were noted on the cellblock preparation prepared from FNA material (Figure 3).
Figure 3: Cell block preparation, H&E [100x].
Although the findings of cystadenoma and cystadenocarcinoma overlap, the fact that there was an increase in the mitotic activity and the tumor had recurred after previous excision, a diagnosis of recurrent papillary cystadenocarcinoma was given.
DISCUSSION
Adenocarcinomas of the salivary glands can be distinguished morphologically into solid, tubular, and papillary. Papillary adenocarcinomas (28.5%) are located, in almost 50% of cases, in the minor salivary glands, 45% in the parotid gland, and only 5% in the submandibular gland [6]. Cystadenocarcinomas is also known as malignant papillary cystadenoma, mucusproducing adenopapillary, or nonepidermoid carcinoma; lowgrade papillary adenocarcinoma of the palate; and papillary adenocarcinoma. They are usually well circumscribed and exhibit multicystic appearance. However, when they occur, they pose a diagnostic challenge. They are rare tumors characterized by diverse cytomorphologic features.
Foss et al report that cystadenocarcinomas can present with an invasive growth pattern and nuclear atypia [5]. In contrast, Aloudah et al reported a case in which the cytological features showed bland appearing papillary and micro papillary neoplasm with variable cellularity and absence of cytological atypia. The cells were small with abundant and occasionally vacuolated cytoplasm. The nuclei were bland appearing, round, and in most part, uniform in size without anaplasia or mitotic activity [7]. These findings are in agreement with our case. Nakagawa et al report that malignancy is confirmed by nuclear pleomorphism, an infiltrative growth pattern and mitosis [1]. Some mitotic figures could be appreciated in our case, although no definite infiltrative pattern was seen. Histologically, cellular pleomorphism, numerous mitoses, nuclear hyperchromatism, and numerous prominent nucleoli have been reported [8]. Although the vast majority of cystadenocarcinomas are lowgrade lesions, some are high-grade histological malignancies, which are divided into well and poorly-differentiated tumors. Recurrence and nodal metastases have been observed with the poorly differentiated subtype [9]. This is in total contrast to our case where recurrence has been observed in a relatively lowgrade carcinoma. Intermediate-grade histological malignancy has been described in the literature; that case showed moderate nuclear pleomorphism, in addition to the infiltrative growth pattern [10].
In a review of 57 cases, PC showed no preference forgender or patient age, the latter ranging from 20 to 86 years, with a mean of 58.8 years [5]. The present patient was 58 years old, in agreement with the former study. In contrast, another review of 22 cases reported a strong predominancein males (17/22) and a mean age of 37 years (range: 17–61years) [10].
The clinical presentation of the tumorwhen located in the parotid glandis usually that of a slowly growing, asymptomaticmass.The preoperative diagnosis of cystadenocarcinomais complex. In a series of 56 cystic lesions of the salivary glands including only two cystadenocarcinomais, Layfield and Gopez [11] reported an overall accuracy of 84%. Otherauthors describe diagnostic efficacy of FNAB, around 80% in application to cystadenocarcinomais [12]. In the literature, the lesions most often confused with cystadenocarcinomais when performing FNAB are Warthin’s tumour or salivary gland cysts [13]. Warthin’s tumor is confused when there is relatively bland appearing tumor with a prominent lymphoid element. Although salivarycysts are devoid of papillary elements, it can mimic cystadenocarcinomas, which have low cellularity.
Thus, cytological features of papillary cystadenocarcinomas are quite varied and a preoperative diagnosis is a difficult one. However, recurrence in a case strongly augurs in favour of cystadenocarcinoma than cystadenoma.
REFERENCES
- Nakagawa T, Hattori K, Iwata N, Tsujimura T. Papillary cystadenocarcinoma arising from minor salivary glands in the anterior portion of the tongue: a case report. Auris Nasus Larynx. 2002; 29: 87-90.
- Kobayashi I, Kiyoshima T, Ozeki S, Shima K, Shigemura N, Matsuo K, et al. Immunohistochemical and ultrastructural study of a papillary cystadenocarcinoma arising from the sublingual gland. J Oral Pathol Med. 1999; 28: 282-286.
- Naoe M, Ogawa Y, Fuji K, Fukagai T, Inoue K, Yoshida H. Papillary cystadenocarcinoma of the prostate. Int J Urol. 2004; 11: 1036-1038.
- Ellis GL, Auclair PL. Malignant epithelial tumours. Tumors of the salivary glands: atlas of tumor pathology, 3rd ed., Washington, DC: Armed Forces Institute of Pathology. 1996; 155–373.
- Foss RD, Ellis GL, Auclair PL. Salivary gland cystadenocarcinomas. A clinicopathologic study of 57 cases. Am J Surg Pathol. 1996; 20: 1440-1447.
- Seifert G, Schulz JP. Adenocarcinoma of the salivary glands. The pathohistology and subclassification of 77 cases. HNO. 1985; 33: 433-442.
- Aloudah NM, Raddaoui E, Aldhahri S, Al-Abbadi MA. Low-grade papillary cystadenocarcinoma of the parotid gland: presentation of a case with cytological, histopathological, and immunohistochemical features and pertinent literature review. Diagn Cytopathol. 2009; 37: 128-131.
- Cavalcante RB, Da Costa Miguel MC, Souza Carvalho AC, Maia Nogueira RL, Batista de Souza L. Papillary cystadenocarcinoma: report of a case of high-grade histopathologic malignancy. Auris Nasus Larynx. 2007; 34: 259-262.
- Auclair PL. Cystadenocarcinoma. In: Barnes L, Eveson JW, Reichart P, Sidransky D, editors. World Health Organization classification of tumours. Pathology and genetics of head and neck tumours. Lyon: 2005; 232.
- Chen XM. Papillary cystadenocarcinoma of the salivary glands: clinicopathologic analysis of 22 cases. Zhonghua Kou Qiang Yi Xue Za Zhi. 1990; 25: 102-104, 126.
- Layfield LJ, Gopez EV. Cystic lesions of the salivary glands: cytologic features in fine-needle aspiration biopsies. Diagn Cytopathol. 2002; 27: 197-204.
- Mills SE, Garland TA, Allen MS Jr. Low-grade papillary adenocarcinoma of palatal salivary gland origin. Am J Surg Pathol. 1984; 8: 367-374.
- Klijanienko J, Vielh P. Salivary carcinomas with papillae: cytology and histology analysis of polymorphous low-grade adenocarcinoma and papillary cystadenocarcinoma. Diagn Cytopathol. 1998; 19: 244-249.


