Cytolomorphological Spectrum of Tubercular Mastitis in a Tertiary Hospital in North India
- 1. Department of Pathology, Maulana Azad Medical College, India
Abstract
Introduction: Although tuberculosis (TB) is common in endemic areas, isolated tubercular mastitis of the breast is very rare. Its incidence in India has been described as ranging from 0.1 to 3%.
Aims and objectives: To study the cytomorphological spectrum of breast tuberculosis and review the literature
Materials and Methods: This is a retrospective study done over past 6 years of patients who presented with a breast lump, and were referred for Fine needle aspiration (FNA) at Cytopathology Laboratory, Maulana Azad Medical College. FNAC smears were reviewed for cytomorphological spectrum.
Results: Hundred and seventy cases (170) were included in the study of which 159 were female and 11 male patients. 88% of female patients were in the reproductive age group. Either breast was affected in equal proportions. All patients presented with a palpable lump along with an associated nipple discharge in 12 cases. FNAC yielded purulent, whitish and hemorrhagic aspirate in 68%, 21% and 11% cases respectively. Cytology smears were studied in detail and were grouped as I to IV- I: epithelioid cell granulomas (ECG) only (30%), II: caseous necrosis only (16.5%), III: both granulomas and caseous necrosis (14.7%) IV: acute inflammation (38.8%). Acid fast bacilli were demonstrated in 46 cases. Histopathological correlation was observed in 18 cases.
Conclusion: TB breast is rare but not so uncommon in India. It poses diagnostic difficulty both clinicoradiologically and on cytology more so in the elderly women. The diagnosis can be established with accuracy on cytology alone with the help of special stains. Epithelioid cell granulomas may not always be present, hence a holistic approach should be adopted to arrive at the correct diagnosis, whenever suspecting possibility of tuberculosis in a breast lump.
Keywords
• Mastitis; Tuberculosis; Breast
Citation
Sharma D, Mahajan N, Saxena A, Gupta G, Jain S (2018) Cytolomorphological Spectrum of Tubercular Mastitis in a Tertiary Hospital in North India. Ann Clin Cytol Pathol 4(5): 1111.
INTRODUCTION
Tuberculosis (TB) is the most widespread infectious disease in the world and can involve any organ, but involvement of the breast is a rare occurrence. Its incidence has been reported to be less than 0.1% of all breast lesions. It accounts for 3% of surgically treated breast diseases in developing countries [1]. Histopathological evidence is considered conclusive for diagnosis however, FNAC is well established as a primary diagnostic modality for evaluating palpable breast lumps and at centers where histopathology facilities are unavailable, FNAC diagnosis alone is considered definitive for institution of therapy [2,3]. This paper revisited the cytomorphological appearance of 170 cases of tubercular breast disease over the past 6 years.
MATERIALS AND METHODS
The clinicopathological data of the patients with breast lesions, who were reviewed over six years at Maulana Azad Medical College and LNJP hospital, was retrospectively collected and analyzed with respect to the clinical presentation and cytological findings.
All the patients (100%) presented with a palpable lump in the breast with associated nipple discharge in 12 cases and skin ulceration in 5 cases. FNAC was advised to evaluate the etiology and to rule out malignancy. FNAC was performed as per the standard technique using a 23 gauze needle connected to a 10 ml disposable syringe. The slides were stained by May-GrunwaldGiemsa after air drying. Ziel Nielson (ZN) staining was performed in 83 cases. Histopathological tissue came in only 18 cases. Slides of which were reviewed.
The criteria for inclusion in the study was one of the following: (1) cases in which FNA smears illustrated benign ductal epithelial cells along with epithelioid cell granulomas and caseous necrosis, with or without suppuration; (2) cases in which FNA smears showed benign ductal cells with either necrosis or epithelioid cell granulomas with a demonstrable AFB by ZN staining. (3) Cases in which benign ductal cells in acute inflammatory and suppurative background were seen. On the basis of cytomorphological features, 170 cases of breast TB were divided into four groups I to IV- I: epithelioid cell granulomas (ECG) only, II: caseous necrosis only, III: both granulomas and caseous necrosis, IV: acute inflammation.
RESULTS
On the basis of cytomorphological features, 170 cases of breast TB were divided into four groups (Table 1).
Table 1: Distribution of cases on basis of cytomorphology.
|
|
No. of cases |
AFB positive |
HPE correlation |
AFB positive (HPE) |
|
Group I (ECG + BDC) |
51 |
12 |
14 |
1 |
|
Group II (CN+BDC) |
28 |
6 |
2 |
2 |
|
Group III (ECG+CN) |
25 |
2 |
2 |
0 |
|
Group IV (AIE) |
66 |
23 |
0 |
0 |
Abbreviations: ECG: Epithelioid Cell Granulomas; CN: Caseous Necrosis; BDC: Benign Ductal Cells; AIE: Acute Inflammatory Exudates; HPE: Histopathology.
Group I included cases with epithelioid cell granulomas (51). Group II cases showed only caseous necrosis with benign ductal epithelial cells (28). Group III cases showed both ECG and caseous necrosis (25). Group IV showed benign ductal cells in acute inflammatory background (66).
The age of the patients ranged from 14 to 70 years. The majority of the females (88%) were in the reproductive age group of 18 to 44 years. There was no relationship between the cytomorphological appearance and the age of the patient. Eleven male patients were included in the study. History of lactation was documented in 25 cases. There was no predilection for either side; both right and left breast were affected in equal proportions. Bilateral involvement was not seen in any case and one case each had a coexistent fibroadenoma and one case had aspergillosis in the contra lateral breast. The most common finding on clinical assessment was a mobile, firm to hard lump (100% cases) with an associated nipple discharge in 12 cases and skin ulceration in 5 cases.
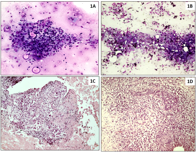
Fine needle aspiration yielded purulent (68%), whitish (21%) and hemorrhagic (11%) aspirate. Group I cases showed well formed epithelioid cell granulomas in an acute suppurative or chronic inflammatory background (Figure 1A, 1B).
Figure 1: 1A: Microphotograph of FNA smear showing epithelioid cell granuloma along with lymphocytes (Giemsa, 200x), 1B: Epithelioid cell granulomas in acute inflammatory background (Giemsa, 100x). 1C: Histological section showing granulomas and caseous necrosis (H&E, 100x) 1D: Trucut biopsy showing epithelioid cell granuloma along with Langhans type giant cell and benign breast ductal cells. (H&E, 200x).
AFB was positive in thirteen of these cases (13/51). Group II comprised of 28 cases which showed only caseous necrosis. The necrosis was typically granular with complete loss of architectural details (Figure 2A).
Figure 2: 2A: Microphotograph showing abundant caseous necrosis (Giemsa, 40x); 2B: multiple epithelioid cell granulomas along with caseous necrosis (Giemsa, 400x); 2C: Benign ductal cells along with histiocytes in a suppurative background (Giemsa, 100x); 2D: Acid fast bacilli seen on ZN staining. (1000x).
Eight of these cases demonstrated the presence of AFB (8/ 28). 25 cases showed both epithelioid cell granulomas and caseous necrosis and were included in group III (Figure 2B, 2C). Two of these were AFB positive (2/25) (Figure 2D). However Polymerase chain reaction confirmed these cases as tuberculosis. Group IV was the most crucial to diagnose group. It comprised of 66 cases showing a dense acute inflammatory infiltrate with foci of suppurative necrosis (Figure 3A, 3B).
Figure 3: 3A: Cluster of benign ductal epithelial cells in an acute inflammatory background (Giemsa, 200x). 3B: Intense suppurative background (Giemsa, 100x).
TB was kept as a differential in these cases in view of strong clinical suspicion like positive family or past history of pulmonary tuberculosis (17), history of anorexia and significant weight loss (12) and concurrent axillary lymphadenopathy (11) which showed granulomas and giant cells. A repeat FNAC was advised after a course of antibiotics to rule out tuberculosis in these cases. However few (18) of these patients were lost to follow up. The rest were advised Polymerase chain reaction (PCR). The morphology of ductal epithelial cells in all the cases remained near normal, with occasional ones showing apocrine change and minimal reactive atypia. Histopathology showed fibroadipose tissue with benign breast ductal epithelial cells with many epithelioid cell granulomas and giant cells with foci of caseous necrosis (Figure 1C, 1D).
DISCUSSION
The breast tissue is highly resistant to the survival and multiplication of tubercular bacilli like the spleen and skeletal muscle. The incidence of tuberculosis of breast varies from 1% in the Western population to as high as 4% in the Indian population [4]. The risk factors include lactation, multiparity, trauma, past history of suppurative mastitis and Acquired immunodeficiency syndrome (AIDS) [5]. We found history of lactation in 25 cases. This is explained by the fact that during pregnancy and lactation, the breast is highly vascular with dilated ducts predisposing it to trauma, making it more susceptible to tubercular infection.
Breast tuberculosis commonly affects women in the reproductive age group [6]. This fact was brought out in the present study as 130 of the 159 females were in the reproductive age group. It is rarely reported in the male breast. In our study, 11 of the patients were male. Kakkar et al. [4], also documented tubercular mastitis in six male patients.
Tuberculosis of the breast is classified as primary when the breast is the sole organ of involvement and secondary when there is a demonstrable focus of tuberculosis elsewhere in the body. In these cases, the major routes of spread are lymphatic or hematogeneous. Primary TB breast is rare and may arise from infection of the breast through abrasions or through openings of the ducts in the nipple [5]. Our patients did not have any focus of tuberculosis outside the breast, both on physical and radiological examination, thus designated as the primary form. The cases with coexistent axillary lymph nodes were treated as primary of the breast, considering the lymph nodes appeared later in the disease, than the breast lump.
Most common presentation of Tuberculosis in breast is a lump. Majority cases had a lump in the central or upper outer quadrant of the breast, often indistinguishable from carcinoma breast clinically, especially in the elderly patients. Abscess formation with or without discharging sinus and ulceration are other forms of clinical presentation [7]. However none of our case had an associated discharging sinus.
Recently mammary TB is divided into nodular, disseminated and sclerosing types [8]. The nodular form is the commonest mode of presentation. It presents as a well circumscribed, slowly growing painless swelling. Early lesions are often mistaken for a fibro adenoma while late stages mimic carcinoma. The disseminated variety commonly leads to caseation and sinus formation. The sclerosing form more commonly affects the older women and shows fibrosis rather than caseation. Therefore the clinical picture is difficult to distinguish from breast carcinoma in any mode of presentation. The older McKeown classification of breast tuberculosis [6] also included tuberculous mastitis obliterans and acute tubercular mastitis, which are of historical importance today. In the present study, majority of cases belonged to the nodular subtype.
Modern imaging investigations help in defining the extent of the lesion rather than in making a diagnosis. Mammography, ultrasound and gadolinium-diethylenetriaminepentaacetic acid (Gd-DTPA) enhanced magnetic resonance imaging (MRI) have been used to study the breast lesions [5]. Mammography findings include a mass, calcification and asymmetrical density with speculated margins and it is inconclusive in differentiating tuberculosis from carcinoma [9]. Ultrasound does not clinch the diagnosis as the features are nonspecific. Chest X ray may show evidence of healed tuberculosis in the lung. Gd-DTPA shows significant enhancement at first minute of injection in only half of the cases [5]. Thus, radiological investigations have not been able to successfully distinguish tuberculosis as a mimic to carcinoma in the breast.
In most cases, FNAC clinches the diagnosis by showing characteristic epithelioid cell granulomas, caseous necrosis, Langhans giant cells and lymphohistiocytic aggregates. The accuracy of FNA in diagnosing tubercular mastitis varies from 73% to 100% [10]. Demonstration of AFB on FNAC is not essential since for AFB to be seen, their number must be 10,000-1,00,000/ ml of material [9]. Kakar et al., also showed the similar findings with AFB positivity in only four cases of culture positive cases [4]. A biopsy is required in difficult cases. For a confirmed histological diagnosis, either a combination of ECG and caseous necrosis or AFB positivity is required [11]. ZN staining on histology is positive in only 25% of cases and hence is not mandatory for diagnosis [9].
Though mycobacterial culture remains the gold standard for diagnosis of TB, the long time and high rate of negative results in paucibacillary specimen is a limitation [1]. Polymerase chain reaction (PCR) is mostly used as a tool to distinguish tubercular mastitis from other forms of granulomatous mastitis and that can also render false negative report [12].
Antitubercular treatment therapy (ATT) for six months is the primary line of treatment for TB breast with good response. Surgical intervention is required for aspiration of abscesses and excision of sinuses and masses [7].
The most common differential diagnosis for TB mastitis is malignancy. The features which favour TB include presence of constitutional symptoms, a mobile breast lump with a sinus or fistula formation, and intact nipple areola complex in a young, multiparous or lactating female. Peau d’ orange appearance of overlying skin with nipple retraction and concurrent axillary lymphadenopathy especially in elderly female is more frequently observed in carcinoma breast [10].
When cytologic findings include epithelioid cell granulomas in background of caseous necrosis, the diagnosis of TB mastitis can be given with greatest accuracy. Demonstration of AFB on cytology is not mandatory and a diagnosis of TB mastitis can be given even in the presence of ECG and CN as extra pulmonary TB usually contains few organisms.
Abscess like picture dominated by acute inflammatory exudates poses the greatest challenge and in these cases, AFB positivity or histologic confirmation is required to categories the lesion as tubercular. In the present study, we had 66 cases of breast abscess. Clinical features that raised suspicion of tuberculosis included positive family history of pulmonary tuberculosis (17), history of weight loss (12) and concurrent axillary lymphadenopathy (11). A repeat FNAC was advised after a course of antibiotics to rule out TB in these cases. Out of these, patients who did not respond to antibiotics (48) were started ATT and subsequently showed clinical improvement on follow up. However rest of the patients was lost to follow up. Suspicion of TB should be kept in those breast abscesses which are resistant to antibiotic therapy and those presenting with a chronic discharging sinus. These cases should be subjected to the biopsy of the abscess wall. However, biopsy confirmation could not be achieved in any of the cases
CONCLUSION
Tubercular mastitis is rare, however not so uncommon a disease in developing countries like ours. It poses a diagnostic difficulty both clinicoradiologically and on cytology, particularly in the elderly patients. In majority of the cases, an accurate diagnosis can be established on cytology alone. The possibility of tuberculosis should always be kept in mind when evaluating cases of breast abscesses, fistulae or nodules with poor response to antibiotic therapy. In cases of high clinical suspicion of TB, a trial of ATT with regular clinical assessment is warranted. Epithelioid cell granulomas may not always be present, hence their absence shouldn’t rule out the diagnosis. A complete clinical, radiological and laboratory work up is needed to arrive to the correct diagnosis especially in young and elderly age groups where TB mimics fibro adenomas or carcinomas.
REFERENCES
- Khanna R, Prasanna GV, Gupta P, Kumar M, Khanna S, Khanna AK. Mammary tuberculosis: Report on 52 cases. Postgrad Med J. 2002; 78: 422-424.
- Sarin R, Verma K, Kapil BAL, Dass S. Tuberculosis of the breast. Ind Surg. 1984; 46: 27-31.
- Verma K, Kapila K. The role of fine needle aspiration cytology of breast lumps in the management of patients. Ind J Med Res. 1989; 90: 135-139.
- Kakker S, Kapila K, Singh MK, Verma K. Tuberculosis of the breast. A cytomorphologic study. Acta Cytol. 2000; 44: 292-296.
- Yanamandra U, Pathak N, Naithani N, Grover N, Nair V. Tuberculosis of breast: unusual manifestation of tuberculosis. J Infect Chemother. 2012; 18: 109-111.
- Suresh IB, Yamanur PL, Shaileshkumar ME, Eshwar BK, Vijay D, Vishwanath G, et al. tuberculosis of the breast: A Review of 16 Cases. JCDR. 2012; 6: 69-71.
- Madhusudhan KS, Gamanagatti S. Primary breast tuberculosis masquerading as carcinoma. Singapore Med J. 2008; 49: e3-5.
- Baharoon S. Tuberculosis of the breast. Ann Thorac Med. 2008; 3: 110-114.
- Chowdri NA, Parray FQ, Dar RA, Malik AA, Mushtaque M, Malik RA. Tubercular mastitis--a rare presentation. Int J Surg. 2010; 8: 398-400.
- Tewari M, Shukla HS. Breast tuberculosis: diagnosis, clinical features & management. Indian J Med Res. 2005; 122: 103-110.
- da Silva BB, dos Santos LG, Costa PV, Pires CG, Borges AS. Primary tuberculosis of the breast mimicking carcinoma. Am J Trop Med Hyg. 2005; 73: 975-976.
- Katoch VM. Newer diagnostic techniques for tuberculosis. Indian J Med Res. 2004; 120: 418-428.


