Granulomatous Mastitis with Erythema Nodosum and Polyarthritis: A Rare Case Report and Review of Literatures
- 1. Department of Thoracic and General Surgery, Guilan University of Medical Sciences, Iran
- 2. Department of Internal Medicine, Guilan University of Medical Sciences, Iran
- 3. Department of Radiology, Guilan University of Medical Sciences, Iran
Abstract
A 31-year-old woman was referred with a painful mass and erythema in the left breast that was initially treated with antibiotics. Three weeks later, the mass and erythema had increased and polyarthritis and erythema nodosum had developed in both legs. In our hospital,A core needle biopsy of breast and leg nodule led to a diagnosis of granulomatous mastitis with polyarthritis and erythema nodosum. High-dose prednisolone (15 mg x 3 daily) with indomethacin (25 mg x3 daily) for three week, rapidly improved the polyarthritis and the erythema nodosum. Granulomatous mastitis is a very rare, chronic inflammatory disease and only nine cases with granulomatous mastitis with erythema nodosum and polyarthritis have been described. We reviewed the literature to determine the clinical presentations, diagnosis, pathological features and treatment of granulomatous mastitis with erythema nodosum and polyarthritis. Appropriate diagnosis with steroid therapy should result in excellent outcomes.
Keywords
• Granulomatous mastitis
• Erythema nodosum
• Polyarthritis
• Steroid
Citation
Aghajanzadeh M, Foumani AA, Rassol H, Shohailla Alizadeh SS, Khosha R, et al. (2018) Granulomatous Mastitis with Erythema Nodosum and Polyarthritis: A Rare Case Report and Review of Literatures. Ann Clin Cytol Pathol 4(8): 1129.
INTRODUCTION
Granulomatous Mastitis (GM) is an unusual chronic inflammatory disease of breast characterized by non-caseation granulomas [1]. Although GM is a rare disease of breast, it is very important to consider GM in differential diagnosis of breast lesions as breast cancer both clinically and radiologically [2]. GM has a chronic course; it begins with a redness and tender mass in breast, proceeding to fistulization, sinus tract formation, scar formation and deformity of breast if diagnosis and treatment performed with delay and not correctly. In the lirtatures, There are many theories about the etiology of GM, including autoimmunity, prolactinemia, trigger with trauma, alpha-1 antitrypsin deficiency, hormonal and infections; however, these theories have not been proven yet [3]. GM has been rarely associated with oligoarthritis or polyarthritis and erythema nodosum [2,4,5]. In the literature (EN) is a delayed-type hypersensitivity reaction that most often presents as erythematous, tender nodules on the shins Common triggers for EN include infection, drugs, pregnancy, malignancy, and inflammatory conditions, such as sarcoidosis or gastrointestinal diseases; however, many cases are idiopathic [4,6,7]. The characteristic histologic finding in EN is a septal panniculitis without vasculitis. EN usually resolves spontaneously within several weeks. When necessary, treatment can be given to reduce symptoms or hasten resolution [4,6,7]. In this case report, we want to discuss the clinical presentations, diagnostic tools, and therapeutic approach to a unique case with granulomatous mastitis, EN, and polyarthritis that may be of interest to clinicians or surgeons who are not readily familiar with this condition.
CASE REPORT
A 32-year-old uniparous female patient was admitted to our hospital with one- month history of a pain full palpable mass and erythema in left breast and multiple red tender nodules on both lower extremities and polyarthritis of both knee and both ankles ,fever and swilling of lower limbs. The involved joint was warm and painful. Past medical history of the patient was insignificant. There was no history of parturition, breastfeeding, or oral contraceptive drug use in the past three years. Drugs history was negative. Family history for breasts and genitalia cancer was negative. Breast examination revealed a red tender mass with skin erythema and skin retraction (3x2 cm diameter) was located on superior portion of left areola (Figure A,B).
Figure A,B: Show erythema and a mass on the superior portion of areola of the left breast.
In the axillary region there were not any palpable lymph nodes. Widespread erythematous tender nodules on anterior surfaces on both lower extremities were observed (Figure C).
Figure C: Show multiple erythematous nodular lesions on both lower extremities.
With S&S and XR of knees and ankles of Patient show arthritis of the right and left ankle and both knee with swelling and edema. Vital examination for fever was 38 degree in centigrade. Lab date in Acute phase reactants were elevated [erythrocyte sedimentation rate: 95 mm/hour (normal, 0-20)], [C-reactive protein levels: 119 mg/L (normal, 0-3)]. Leukocyte count was (12800/L). Ultrasound examination of breast excluded breast abscess, but showed a 4 cm mass with edema of skin (Figure D).
Figure D: Ultrasound examination of breast excluded breast abscess, but showed a 4 cm mass with edema of skin on the left breast.
FNA needle aspiration biopsy was performed to rule out malignancy. Tuberculosis work–up was negative. Tuberculosis of breast was excluded with negative of polymerase chain reaction test and acid fast bacilli staining from aspiration material of the lesion. CXR was normal. Angiotensin converting enzyme (ACE) level was within normal range [14U/L (normal, 8-52 U/L)]. Sarcoidosis and tuberculosis were excluded with these findings and CXR. Antinuclear antibody, antineutrophil cytoplasmic antibody were negative and rheumatoid factor level (RF) was within normal range (<6, (normal, 0-14)).
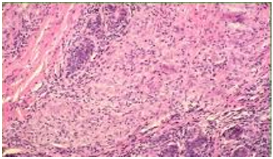
Prolactin level was normal (3 ng/mL (normal, 3.3-26.7). ZN stain of needle aspiration for acid fast bacilli was negative. PAS stain was negative for fungal organisms. Gram’s stain shows no presence of any bacteria. Culture for mycobacterial tuberculosis yielded no growth. With US guided Core–needle biopsy was performed. Pathologic examination was compatible with non-necrotizing granulomatous inflammation consisting of neutrophils, lymphocytes, and multinucleated histiocytic giant cells compatible with granulomatous mastitis (Figure E).
Figure E: Histopathological examination show aggregates of epithelioid histiocytes, multinucleate giant cells, multinucleated histiocytic giant cells, defined epithelioid granulomas, inflammatory infiltrate consisting of lymphocytes and plasma cells along with granulation tissue fragments.
Needle Biopsy of leg lesions revealed Erythema Nodosum. The consultation with pulmonologist and ophthalmologist, they exclude the TB and sarcoidosis, but the rumatologist confirmed the diagnosis of EN. Initial treatment to our experiences in GM [5] ,was prednisolon (15 mg three times a day)And indomethacin (25 mg three times a day).{clindamycin(150mg three time daily and ciprofloxacin500 mg two time daily for 15 day)} .Twenty one days after this therapy, Erythema Nodosom and arthritis was regressed (Figure F).
Figure F: Show partiall regression of the multiple erythematous nodular lesions of both leg.
The symptoms and sign of mastitis was regressed partially (50% decreased in size of mass after 21 day during therapy Prednisolone tapered to 15 mg two time daily. On follow-up of two months; Erythema Nodosom, and arthritis regressed completely (Figure G) and breast mass and erythema subside three month after treatment.
Figure G: Show near complete regression of the multiple erythematous nodular lesions of both legs.
Patient was free of symptoms and no relapse was observed through prednisolon (10mg/day) in follow-up of 6 months.
DISCUSSION
Granulomatous mastitis (GM) is a rare chronic inflammatory breast disease that can be mistaken for a multiple of inflammatory or infection and neoplastic disorders of the breast. Erythema nodosum (EN) is a common panniculitis disease. (EN) is often associated with a variety of diseases, but coexistence of EN and GM is very rare [6].
GM is a subtype of panniculitis with granulomatous inflammation. (GM) was first described by Kessler and Wolloch, and is uncommon disease in females, (GM) usually common in reproductive years in female which can mimic various inflammatory and neoplastic disorders [1,2]. Differentiated diagnosis of GM is infection disease as tuberculosis, bacterial and fungal infection of breast, neoplasms, foreign body reaction, and autoimmune disorders. And these disorder must been ruled out [3]. In our case, underlying causes were excluded with medical history, laboratory tests, radiology, and pathology. Many etiological factors including breast feeding, local irritation, oral contraceptive, viral and mycotic infections, parasites disease, hyperprolactinemia, diabetes mellitus, smoking, alpha-1 antitrypsin deficiency, and autoimmunity have been suggested in pathogenesis of GM, but none of them have been proven yet [7].
Erythema nodosum (EN) is an acute, nodular, erythematous eruption that usually is limited to the extensor aspects of the lower legs [6,8]. Chronic or recurrent erythema nodosum is rare but may occur [8,10,11]. Erythema nodosum is presumed to be a hypersensitivity reaction and may occur in association with several systemic diseases or drug therapies, or it may be idiopathic [6,8,11]. The inflammatory reaction occurs in the panniculus form [2,4,5]. Polyarthritis and erythema nodosum are rare systemic manifestations of granulomatous mastitis [9,11]. In 1987, Adams and colleagues reported the first case of granulomatous mastitis coextended with arthritis and erythema nodusum [8]. Although cases of granulomatous mastitis with erythema nodusum are occasionally reported, only ten other cases of granulomatous mastitis coextend by both arthritis and erythema nodosum have been previously reported [6,8,11]. Response of GM to steroids methotrexate therapy and involvement of breast some disease as erythema nodosum or arthritis support an autoimmune processes in the etiology GM [9,11]. Usually, GM presents as unilateral breast mass, breast pain, nipple inversion, skin retraction and ulceration with axillary lymphadenopathy. Biopsy site of breast with core-needle or open biopsy usually fail to repair for long time [5]. Biopsy material from the center of lesion is valuable for histopathological examination for accurate diagnosis [5,7,8]. Pathological findings in GM are none castings Granuloma formations, dense neutrophilic infiltration without necrosis [7-9]. Other causes of granulomatous inflammation of breast are tuberculosis, actinomyces and systemic diseases such as sarcoidosis, Wegener granulomatosis and this disease should be exclude and are necessary during diagnosing of GM [7,9]. Taylor detected Corynebacterium in 41% of 34 isolated GM lesions [10]. In the literature, association of EN, GM, and polyarthritis has been reported in seven cases up until now [4,10]. Two of these reports were happened in pregnancy duration and in third trimester [11]. Polyrthritis with GM regresses concurrently with resolution of GM, this phenomena show that polyarthritis in these cases was the result of a reactive process [4,1]. Resolution time in some cases may prolong up to 9 to 12 months [4,5,7,9]. Moderate and severe disease of GM require systemic treatment [13,14]. Surgery is not recommended due to slow wound healing after the operation [5,11]. Prednisolon is the drug of choice for treatment of GM [5,11,13]. Methotrexate is reported as an effective treatment option in a few studies [5,11,13,14]. Colchicine, hydroxychloroquine and systemic steroids were reported to be effective treatment modalities [15]. Despite therapy, recurrences may be occurs [5,11]. GM, EN and polyarthritis in our case was unresponsive to NSAD and others anti-inflammatory drugs or antibiotic in other clinic before admission to our clinic, but response very fast to steroids therapy after 3 weeks. And in six month follow-up recurrence was not happened.
CONCLUSION
Early diagnosis and medical treatment of MG and EN is important. Diagnosis should be confirmed by histopathological findings with FNA or core–needle biopsy. Corticosteroid therapy is the choice of treatment for GM. Our patient was started on oral steroids and had marked improvement in her symptoms and reduction in the size of breast lump. Surgery not indicated in GM. Early diagnosis and medical treatment may prevent patients from undergoing potentially disfiguring surgery.
REFERENCES
- Kessler E, Wolloch Y. Granulomatous mastitis: a lesion clinically simulating carcinoma. Am J Clin Pathol. 1972; 58: 642-646.
- Patel RA, Strickland P, Sankara IR, Pinkston G, Many W Jr, Rodriguez M. Idiopathic granulomatous mastitis: case reports and review of literature. J Gen Intern Med. 2010; 25: 270-273.
- Pereira FA, Mudgil AV, Macias ES, Karsif K. Idiopathic granulomatous lobular mastitis. Int J Dermatol. 2012; 51: 142-151.
- Zabetian S, Friedman BJ, McHargue C. A case of idiopathic granulomatous mastitis associated with erythema nodosum, arthritis, and reactive cough. JAAD Case Rep. 2016; 2: 125-127.
- Aghajanzadeh M, Hassanzadeh R, Alizadeh Sefat S, Alavi A, Hemmati H, Esmaeili Delshad MS, et al. Granulomatous mastitis: Presentations, diagnosis, treatment and outcome in 206 patients from the north of Iran. Breast. 2015; 24: 456-460.
- Hida T, Minami M, Kawaguchi H, Oshiro Y, Kubo Y. Case of erythema nodosum associated with granulomatous mastitis probably due to Corynebacterium infection. J Dermatol. 2014; 41: 821-823.
- Patel RA, Strickland P, Sankara IR, Pinkston G, Many W Jr, Rodriguez M. Idiopathic granulomatous mastitis: case reports and review of literature. J Gen Intern Med. 2010; 25: 270-273.
- Adams DH, Hubscher SG, Scott DG. Granulomatous mastitis--a rare cause of erythema nodosum. Postgrad Med J. 1987; 63: 581-582.
- Nakamura Y, Yamaguchi M, Nakamura A, Muto M. Tender, red nodules and arthralgia in a young woman with mastitis. Clin Exp Dermatol. 2014; 39: 410-412.
- Taylor GB, Paviour SD, Musaad S, Jones WO, Holland DJ. A clinicopathological review of 34 cases of inflammatory breast disease showing an association between corynebacteria infection and granulomatous mastitis. Pathology. 2003; 35: 109-119.
- Olfatbakhsh A, Beheshtian T, Djavid GE. Granulomatous mastitis, erythema nodosum, and oligoarthritis in a pregnant woman. Breast J. 2008; 14: 588-590.
- Binesh F, Shiryazdi M, Bagher Owlia M, Azimi S. Idiopathic granulomatous mastitis, erythema nodosum and bilateral ankle arthritis in an Iranian woman. BMJ Case Rep. 2013; 2013.
- Al-Khaffaf B, Knox F, Bundred NJ. Idiopathic granulomatous mastitis: a 25-year experience. J Am Coll Surg. 2008; 206: 269-273.
- Akbulut S, Yilmaz D, Bakir S. Methotrexate in the management of idiopathic granulomatous mastitis: review of 108 published cases and report of four cases. Breast J. 2011; 17: 661-668.
- Néel A, Hello M, Cottereau A, Graveleau J, De Faucal P, Costedoat-Chalumeau N, et al. Long-term outcome in idiopathic granulomatous mastitis: a western multicentre study. QJM. 2013; 106: 433-441.





