Hydatid Cyst of Pelvic Destruction of Hip Joint, Sacrum, Ischium, Pubic Bone, and Femur Proximal with Necrotized Fasciitis and Sepsis Symptoms
- 1. Department of Internal Medicine, Guilan University of Medical Sciences, Iran
- 2. Department of Orthopedic Surgery, Arya Hoaspital, Iran
- 3. Department of General Surgery, Arya Hoaspital, Iran
- 4. Cellular and Molecular Research Center, Guilan University of Medical Sciences, Iran
Abstract
Cystic Echinococcosis (CE) caused by Echinococcus granulosus can produce cystic lesions anywhere in the body. This study has presented a rare patient who had CE at the left pelvic and proximal femoral bones with destruction of the left side hip joint, ischium, and pubic bone with necrotized fasciitis and sepsis symptoms. Patient treated by amputation and chemotherapy. This study indicated that pathological fracture was able to extending of CE to other bones. However, delay in diagnosis of CE of bone could increase risk of amputation, recurrence, sepsis, and even mortality.
Keywords
• Hydatid cyst
• Proximal femoral bones
• Pelvic
• Necrotized fasciitis
• Sepsis
citation
Aghajanzadeh M, Zarehsharif H, Yosafi PM, Ildari S, Jafari A (2018) Hydatid Cyst of Pelvic Destruction of Hip Joint, Sacrum, Ischium, Pubic Bone, and Femur Proximal with Necrotized Fasciitis and Sepsis Symptoms. Ann Clin Cytol Pathol 4(7): 1122.
INTRODUCTION
Cystic echinococcosis (CE) is a zoonotic infection caused by Echinococcus granulosus or less frequently, E. multilocularis [1,2]. Cystic Echinococcosis (CE) is a neglected tropical disease in few developing countries across world and especially in the war affected areas. However, (CE) remains a considerable public health problem in several Mediterranean countries. The dog or other carnivore is the definitive host The intermediate host are herbivores in general (sheep, cows and camel) humans are accidentally infected [3,4]. Cystic Echinococcosis is endemic in central Asia, the Middle East, Australia, New Zealand, South America, and the Mediterranean regions. (CE) involves 59 to 75% in the liver, 27% in the lung, 3% in the kidney, and 1 to 2% in the brain [1]. The disease occurs less frequently in the spleen, pancreas, heart, adrenal and muscles, soft tissue and rib. CE of bone involvement is rare [3,4], and is very uncommon of Echinococcosis in humans [5]. Although compatible with longterm survival, the disease is not easy to eradicate and perhaps impossible to cure [2,5]. Bone involvement is usually secondary to hepatic or pulmonary hydatidosis, however it may occur as the primary disease [1,2]. Bone involvement has been reported in the vertebrae, femur, tibia, and the pelvic bones [5-7,16]. Intraosseous lesions usually began at the epiphysis and it may be polycystic, though less frequently in the form of a solitary CE [2,5- 7]. The polycystic type occurs because the cyst is unable to expand and fragments, causing diffuse spreading of the daughter cyst and protoscolex along the bone canals owing to bone rigidity [2,5-8]. In both types of (CE), destruction of bone occurs through three mechanisms: compression, ischemia, and osteoclast proliferation around the compressed bone tissue causing thinning and fracture and extension into the nearing soft tissues of bones (5,8-10). In this study, we present a patient that had developed hydatid disease of the left pelvic and femoral bones with destruction of the hip joint, ischium, pubic bone, and proximal portion of femur bone with necrotized fasciitis and sepsis. The patient had diagnosed as tuberculosis (TB) positive or other bone disease such as malignancy for 10 year. The cause of this advanced of such disease are missed diagnosis and management, because in endemic area as Iran for hydatid cyst, the physicians and clinicians must think about the hydatid disease
CASE PRESENTATION
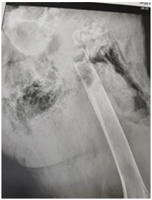
The patient was a 56-year-old male with pain, swelling, deformity in the thigh and pelvic, who had been referred to Arya private hospital in Rash, Iran. Patient had anemia symptoms and poor general condition. Case had left hip and knee flexion contracture, as well as the left proximal thigh and pelvic swelling. In addition, case had left hip joint mobilization and abnormal pain. X-ray showed a segmental destruction in the left proximal femur, as well as ischium, hip joint, iliac crest, left hemi-pelvis and femoral bone. Figure 1 shows gas in soft tissues between buttock muscles and swelling.
Figure 1: XR of hemipelvic, show distraction of iliac, iscum bone, hipe joint and proximal portion of femure.
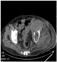
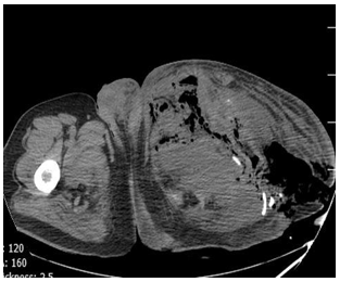
Abdominal ultrasound did not show hepatic or other visceral involvement. Pelvic ultrasound indicated a collection include necrotic tissues, gas bubbles, and discharge in the left side of pelvic cavity. Chest x-ray (CXR) was normal. A computed tomography scan showed destruction lesions in the left hemi pelvis, sacrum, and the left proximal femur, as well (Figures 2-5).
.Figure 2: CT-scan of pelvic show distraction of iliac bone with a mass with air in the mass
Figure 3: CT-scan of pelvic show distraction of iliac, scum bone, hipe joint and swelling of boutack with air.
Figure 4: CT-scan of pelvic show distraction of iliac, scum bone, hipe joint and distracion of femur neck.
Figure 5: CT-scan of pelvic show distraction ofhipe joint and proximal portion of femure with sever swelling and air in the muscles.
In this case, the body temperature was 39°C (102.2°F), heart pulse rate was 120 beats per minute, and respiratory rate was 18 breaths per minute. Furthermore, white blood cells (WBCs) were 24000 WBC per micro liter with high levels of both eosinophil and erythrocyte. The erythrocyte sedimentation rate (ESR) value measured between 0 and 56 millimeters per hour (mm/h). Hemoglobin (Hb) level of red blood cells measured about 8 grams per deciliter (g/dl), and C-reactive protein (CRP) level was 12 milligrams per liter (mg/L) as well. Internal hemipelvectomy with left lower extremity amputation performed on case to the protecting of sepsis, pelvic, hip joint and proximal left thigh destruction. Subsequently, daughter hydatid cysts were discharged. (Figure 6A,B).
Figure 6(A,B): During the dissection duoghter cysts and necrotic tissues was presnted(both specimen).
Cystic Echinococcosis protoscolex showed in histopathology report (Figure 7).
Figure 7: Histopathology show protoscolex of (CE) and laminated membrane of hydatid cyst.
Patient received albendazole (10 mg/kg/day). Stoma of amputation closed on the second week postoperative. Patient dismissed from hospital 25 day after surgery and referred to physiotherapies.
DISCUSSION
Cystic Echinococcosis (CE) is caused E. granulosus [2,3,5]. 10% of the HC involve the spleen, pancreas, heart, brain, kidney, bones, adrenal gland, muscles, soft tissues, mediastinum and rib [1,2,4,9]. (CE) of bones is an asymptomatic disease. CE is diagnosed after a pathologic fracture bone, secondary infection, or compressive myelopathy [4,5]. In this study, case had suffered from left pelvic pain for ten years. A preoperative diagnosis of (CE) of bone is difficult for two reasons. First, there are not any pathognomonic symptoms in which case with (CE) of bone [5,11]. Second, pathological fracture is uncommon in long bones of cases with (CE) of bone [5]. Our case referred to hospital with pathological fracture, necrotized fasciitis, and sepsis. In fact, hydatid disease is able to extend from adjacent bone to another bone [5,7]. We believed that extension of (CE) might develop from the pelvic bone to the femur bone, joint and sacrum [7,8,11]. Surgeons have some concerned about open biopsy surgery of (CE) of bone due to anaphylactic reaction of cyst fluid, and extending of Echinococcus scolex in soft tissues of human body. Hence, the diagnosis and management of (CE) of bone is difficult [5-7]. On the other hands, the hydatid disease can be similar to chronic osteomyelitis, Tuberculosis, fibrous dysplasia, osteosarcoma of bone, bone cystic lesion, brown tumor [8,11-13]. Histopathological diagnosis is useful to CE of bone [5,10,11]. (CE) HC of bone should be treated by wide radial resection with enough margins of healthy tissue [5-7]. Radial resection of HC from bone may be difficult, but incomplete resection leads to recurrence of CE [5,12]. Hence, radial resection surgery in the pelvis and hip is extremely controversial and challenging [4,8,12]. The eradication of (CE) of bone is almost impossible [11]. Reconstructive surgery after radial surgery is almost very difficult and impossible [3,7]. Prosthesis is needed for reconstruction and mortality is high [4,5,11]. Sepsis also may be common cause of death in the patient with (CE) of bone [7,11]. Current studies have presented rare cases which suffered from (CE) of pelvis and femur bones with a poor prognosis [10- 13]. Patient are treated by left hemipelvectomy and referred to prosthesis reconstructions [14-16].
CONCLUSION
This rare patient of (CE) of bone is on alert to orthopedic surgeons that this disease could involve any organ of the human body such as bones. Pathological fracture can help in extending of (CE) in human body. Besides, delay in diagnosis of (CE) of bone increases risk of amputation, recurrence, sepsis and mortality
REFERENCES
- Aghajanzadeh M, Alavi C, Asgary M, Rimaz S, Massahnia S. Primary Hydatid Cyst of the Rib: Present as a Chest Wall Mass. MOJ Surg. 2016; 3: 42-43.
- Aghajanzadeh M, Omid M, Babak K, H Torabi, Mostafa Z, et al. Isolatedextra Hepatic and Extra Pulmonary Hydatid Cyst: Report of Rare Cases. Ann Clin Pathol. 2018; 6: 1-5.
- Zlitni M, Ezzaouia K, Lebib H, Karray M, Kooli M, Mestiri M. Hydatid cyst of bone: diagnosis and treatment. World J Surg. 2001; 25: 75-82.
- Morris BS, Madiwale CV, Garg A, Chavhan GB. Hydatid disease of bone: a mimic of other skeletal pathologies. Australas Radiol. 2002; 46: 431-434.
- Siwach R, Singh R, Kadian VK, Singh Z, Jain M, Madan H, et al. Extensive hydatidosis of the femur and pelvis with pathological fracture: a case report. Int J Infect Dis. 2009; 13: 480-482.
- Wirbel RJ, Mues PE, Mutschler WE, Salomon-Looijen M. Hydatid disease of the pelvis and the femur. A case report. Acta Orthop Scand. 1995; 66: 440-442.
- Song XH, Ding LW, Wen H. Bone hydatid disease. Postgrad Med J. 2007; 83: 536-542.
- Nath P, Bhattacharya S, Dutta V, Joshi GR, Patel M. Primary Iliac Bone Hydatid Disease: An Unusual Presentation. Med J Armed Forces India. 2009; 65: 180-181.
- Neelapala VS, Chandrasekar CR, Grimer RJ. Revision hip replacement for recurrent Hydatid disease of the pelvis: a case report and review of the literature. J Orthop Surg Res. 2010; 5:17.
- Martínez AA, Herrera A, Cuenca J, Herrero L. Hydatidosis of the pelvis and hip. Int Orthop. 2001; 25: 302-304.
- Notarnicola A, Panella A, Moretti L, Solarino G, Moretti B. Hip joint hydatidosis after prosthesis replacement. Int J Infect Dis. 2010; 14: 287-290.
- Tüzün M, Hekimo?lu B. CT findings in skeletal cystic echinococcosis. Acta Radiol. 2002; 43: 533-538.
- Ozkan H, Dogramaci Y, Kose O, Esen E, Erdem H, Komurcu M. Primary hydatid disease of the humerus. Ann Acad Med Singapore. 2008; 37: 440-441.
- Ahmed H, Ali S, Afzal MS, Khan AA, Raza H, et al. Why more research needs to be done on echinococcosis in Pakistan. Infect Dis Poverty. 2017; 6: 90.
- Khan A, Simsek S, Ahmed H. War, Migration and Cystic Echinococcosis. Travel Med Infect Dis. 2018; S1477-8939: 30234-30235.
- Khan A, Ahmed H, Khan H, Simsek S, Afzal MS, Kilinic SG, et al. A retrospective analysis on the Cystic Echinococcosis (CE) cases occurred in northeastern Punjab Province, Pakistan. Korean J Parasitol. 2018; 56: 385-390.






