Hydatid Cyst of the Brain: Typical MRI Findings
- 1. Department of Imaging, Sahloul University Hospital, Tunisia
- 2. Department of Neurosurgery, Sahloul University Hospital, Tunisia
Citation
Hasni Bouraoui I, Ben Tebra A, Arifa N, Hersi H, Gamaoun W, et al. (2018) Hydatid Cyst of the Brain: Typical MRI Findings. Ann Clin Cytol Pathol 4(1): 1094.
CLINICAL IMAGE
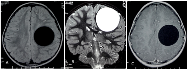
A 16 year old male from a rural area was admitted to our neurosurgery department with complaints of headache and vomiting. Physical exam noted a right hemiparesis. MRI demonstrated a cystic mass in the left parietal region measuring 6cm in diameter, with lateral ventricle compression. No peripheral oedema was noted around the cyst. The lesion was with low signal intensity on T1 and high signal on T2 Weighted images and the cystic wall was hyposignal T2. On diffusion weighted images the cyst was like cerebrospinal fluid. No enhancement was seen (Figure 1).
Figure 1: Cerebral MRI: FLAIR axial (A), T2 coronal (B) and T1 with contrast (C) images showing fronto parietal cyst compressing the frontal horn. The cyst is like cerebrospinal fluid and the cystic wall is hypo signal T2 suggestive of Hydatid cyst.
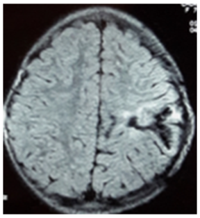
Based in this typical finding, the diagnosis of hydatid cyst of the brain was made. The thorax and abdomen were also observed with CT scans. No lesion was seen on careful examination of the liver, lungs, and other organs. Serological tests for hydatid diseases were positive. The patient was operated and the cyst was removed unruptured. The pseudocyst capsule was then completely removed. Surgery and histology confirmed the hydatid disease. MR six months later demonstrates no recurrence of the cyst (Figure 2).
Figure 2: Cerebral MRI: FLAIR axial image showing no recurrence of the cyst.
DISCUSSION
The disease is endemic in many parts of the world but it is important to be aware of the condition even in non endemic parts of the world, where only occasional cases are encountered, because of the rapid movement of large human groups from endemic to non endemic areas [1]. Radiologists must be familiar with hydatid disease findings. Cerebral hydatidosis accounts for approximately 1-3% of all cases of hydatid disease [2]. Primary multiple cysts of the brain result from arterial embolism secondary to ingestion of multiple larvae and without any radiological or clinical evidence of hydatid disease elsewhere in the body [3]. It is most commonly seen in children and young adults in approximately 50-70% of cases [3]. Intracranial hypertension and motor weakness due to increased intracranial pressure are the most common clinical manifestations of hydatid disease. Because of their indolent nature, hydatid cysts may not cause focal neurological signs until they are very large [2,3]. Most commonly, cerebral hydatid cysts are single lesions and locate anywhere within the brain, but are especially located in the middle cerebral artery territory. The parietal lobe is the most frequently involved region [1,2]. Hydatid cysts of the brain are usually single, spherical, unilocular, and may be large; in rare instances, they can be multiple and embolic [3-5], in rare instances, they can be multiple and embolic [3]. Both CT and MRI demonstrate a spherical and well-defined, smooth, thin walled, homogeneous cystic lesion with fluid density similar to the cerebrospinal fluid, with or without septations or calcification. The cyst wall usually showed a rim of low signal intensity on both T1- and T2-weighted images. Compression of the midline structures and ventricles are seen in most of the cases, however surrounding oedema and rim enhancement are usually absent in untreated or uncomplicated cases [4]. The differential diagnosis of intracerebral hydatid cysts includes cystic lesions such as porencephalic cyst, arachnoid cyst, cystic tumor of the brain and pyogenic abscess [1]. The hydatid cyst is usually hypointense in diffusion weighted images and Proton MR Spectroscopy demonstrate lactate, alanine and pyruvate within the lesion. Pyruvate is very characteristic of hydatid cyst. This metabolite may be a marker of parasitic etiology and perhaps that of viability of such intracranial cysts [4]. CT scan and MRI are excellent techniques to diagnose and localize the lesions [3]. The serologic tests are of little practical value in confirming the diagnosis of cerebral echinococcal disease [2]. Surgery is the standard and most effective treatment for intracranial hydatid cysts. The preoperative diagnosis is very important both in planning the surgery and taking the measures against spillage of daughter cysts and scolices at surgery. Rupture is associated with the well-recognized problems of anaphylaxis, meningitis, or local recurrence from spillage of the cyst contents [3,5]. Nevertheless, hydatid cyst is a benign lesion, appropriate and timely diagnosis and management are mandatory for reducing mortality and morbidity [3,4].
REFERENCES
- Bükte Y, Kemaloglu S, Nazaroglu H, Ozkan U, Ceviz A, Simsek M. Cerebral hydatid disease: CT and MR imaging findings. Swiss Med Wkly. 2004; 134: 459-467.
- Cemil B, Tan K, GuarcayA, Uygur A, Kaptanoglu E. Cranial epidural hydatid cysts: Clinical report and review of the literature. Acta Neurochir. 2009 ; 151: 659-662.
- Cavu?o?lu H, Tuncer C, Ozdilmaç A, Aydin Y. Multiple intracranial hydatid cysts in a boy. Turk Neurosurg. 2009; 19: 203-207.
- Tlili-Graiess K, El-Ouni F, Gharbi-Jemni H, Arifa N, Moulahi H, Mrad-Dali K, et al. Cerebral hydatid disease: imaging features. J Neuroradiol. 2006; 33: 304-318.
- Thakur SH, Joshi PC, Kelkar AB, Seth N. Unusual presentation of hydatid cyst - ruptured intraventricular hydatid. Indian J Radiol Imaging. 2017; 27: 282-285.

