Intraperitoneal Rupture of Liver Hydatid Cyst: Presented with Sever Right Shoulder and Mild Abdominal Pain
- 1. Department of Thoracic and General Surgery, Guilan University of Medical Sciences, Iran
- 2. Department of Anesthesiology, Guilan University of Medical Sciences, Iran
- 3. Inflammatory Lung Disease Research Center, Guilan University of Medical Sciences, Iran
Abstract
Hydatid Disease (HD) can involve all organs of the human body but most often in the liver (77%-50%) and lungs (35%18%). (HD) disease is endemic in certain areas of the world; however, (HC) remains a considerable public health problem in several mediterranean countries. Intraperitoneal cavity rupture is the most common causes of rupture are result from trauma or may occur spontaneously. The latter form of rupture is due to increased pressure of the cystic fluid. Ruptured hydatid cyst is a rare cause of severe shoulder and abdominal pain but should be considered in the differential diagnosis, especially in endemic areas. The diagnosis of ruptured hydatid cyst is important, because it requires emergency intervention. Here we present a case of 64 year old Iranian female admitted in our hospital under orthopedic specialty, because of severe right shoulder pain. Physical examination was unremarkable except mild right side abdominal pain. Chest radiography (CX) showed right side costophrenic angle was blunt. Abdominal ultrasonography showed a small amount of fluid around the liver and three cystic masses in the right and left lobe of liver. Abdominal computed tomography (CT) showed two intact cysts and one ruptured cyst. Emergency laparotomy was performed. A yellow serous fluid, containing many daughter vesicles and laminated membrane was collected through the peritoneal cavity under the diaphragm and liver. All elements of hydatid cyst were removed and two other intact cysts were evacuated and omentoplasty was performed. Albendazole 800 mg daily was started to day postoperatively. Patient was discharged 6 day post operative with good condition. The rupture of hydatid cyst into the peritoneal cavity is rare but presents a challenge for the radiologist and the surgeon especially in endemic area.
Citation
Aghajanzadeh M, Glali SA, Palizkar, Jafari A, Ildari S (2018) Intraperitoneal Rupture of Liver Hydatid Cyst: Presented with Sever Right Shoulder and Mild Abdominal Pain. Ann Clin Cytol Pathol 4(4): 1109.
INTRODUCTION
Human hydatid disease usually occurs by infestation most occur with Echinococcus granulosus and less common with Echinococcus multilocularis [1]. Although hydatid disease is a serious health problem in endemic area such as in the Mediterranean region, Far East, South America, New Zeland, and Middle East [2,3]. In humans, 60% to 75% of hydatid cysts occur in the liver, 25% are found in the lungs, and 5% to 10% are distributed along the other organs via arterial system [4]. The most common complications of hepatic hydatid disease are intrabiliary rupture; secondary bacterial infection and intrapleural rupture [4-6]. Primary intra- abdominal cavity and peritoneal hydatidosis is rare (2%) [3], the liver hydatid cyst may be ruptured after abdominal trauma, or rupture spontaneously because of increased intracystic pressure. Superficially located cysts, large cysts, and following treatment with albendazole and viable and non-calcified cysts with high pressure are especially prone to rupture [7]. Rupture may occur into body cavities such as the pleural space, pulmonary parenchyma and peritoneal cavity, or they may rupture into the biliary tract because of pressure. The most common diagnostic methods are ultrasonography and computed tomography [7-9]. Presentation is usually dramatic with acute abdominal signs, or anaphylaxis, utricaria and shock. Abdominal examination revealed guarding, rebound, and tenderness [7]. But shoulder pain is very rare. This complication should be included in the differential diagnosis of other causes of acute abdomen, especially in the endemic areas. Specific management has not been in the literatures In patients with peritoneal perforation of hydatid cyst [7,10]. Intraabdominal Rupture of a liver hydatid cyst requires emergency surgical laparotomy [8]. We present the case of a patient who had hydatid cyst of liver that ruptured into the peritoneal cavity spontaneously without any trauma and we want to report ruptured liver hydatid cyst into the peritoneum cavity may present with shoulder pain and discuss surgical treatment of this kind of complication
CASE PRESENTATION
A 64-year-old woman was admitted to our emergency department of hospital from emergency service of a local hospital with the complaint of sever right shoulder pain accompanied by mild abdominal pain, without vomiting, fever and dyspnea.
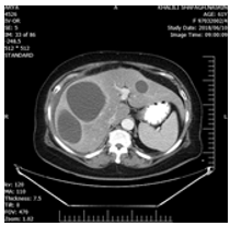
In treatment history, a shoulder Pain was present which not associated with any trauma or GI tract problem. That time she was conscious, only complaining of severe shoulder pain and mild abdominal pain. The shoulder movement was normal. The only physical finding was mild tenderness and guarding in all quadrants of the abdomen. Her blood pressure120/80 mmHg, heart rate was 95 beats min, respiratory rate 18 bpm, WBC=21000. Three days after admission, she had a CXR showed that shoulder joint was normal but in chest mild pleural effusion and atelectasis was present with on the right side. The patient underwent ultrasonography which showed one intact cystic lesion (42x38mm) in the left lobe and two cysts in the right lobe (87x83mm) and (67x4 mm) and computed tomography of abdomen showed as U&S but showed fluid at sub diaphragmatic location and around with on liver (Figures 1-3).
Figure 1: CT-scan of patient show three intact cystic lesions in the right and left lobes with mild effusion in around the liver.
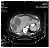
Figure 2: CT-scan of patient show two cystic lesions in the right lobe, which one is partially ruptured and one left lobes with mild effusion in around the liver.
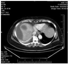
Figure 3: CT-scan of patient show two cystic lesion in the right lobe, which one is completed ruptured and one left lobes with effusion in around the liver.
The patient underwent emergency extensive sub costal laparotomy with a diagnosis of peritonitis due to rupture of liver hydatid cysts. At surgery, elements of the cyst and greenish fluid were seen in the peritoneal cavity under diaphragm and around liver (Figure 4),
Figure 4: CT-scan of chest show infiltration in the right lower lobe of lung.
after evacuation of these cystic element and fluid from peritoneal cavity (Figure 5).
Figure 5: Show element of cyst from pritional cavity.
Walling of around the liver was performed with wet gauze of with hypertonic saline, Aspiration of cyst was performed (Figure 6).
Figure 6: Show aspiration of fluid from intact cyst.
After evacuation of cyst (Figure 5). Remnant cavity was filled with omentum (Figure 7);
Figure 7: Show laminated membrane from intact cyst.
during exploration ruptured cyst was present and filled with omentum. The abdominal cavity was washed twice with providing-iodine 10% of solution at 10-minute interval. She was extubated 24 hours later after the surgery. Two days after surgery, she discharged from intensive care unit. Albendazole started day two (800mg/daily). Ten days later she discharges on day 10 postthoracotomy with good conditions. In follow-up she was perfect.
DISCUSSION
Infection with hydatid disease is the most common cause of liver cysts in the entire world [7]. Hydatid disease is a serious health problem in endemic countries such as Iran [1,2]. Although Hydatid disease is a serious health and infection problem in endemic area such as Mediterranean region, Far East, South America, New Zeland, Australia and Middle East [2,3]. In humans, 60% to 75% of hydatid cysts occur in the liver, 25% are found in the lungs, and 5% to 10% are distributed along the other organs via arterial system [4]. It is caused by the larval stage of Echinococcus granulosus [1,2]. Concomitant liver and pulmonary hydatid cysts occur in 4% to 25% of patients with Echinococcosis [7,9]. Dogs are the definitive hosts; whereas sheep, cattle and, human are intermediate hosts [1,7]. Human are infected accidentally by ingestion of contaminated foods [7]. Rupture of a hydatid cyst into the abdominal cavity is a rare complication of the hydatid disease and causes serious problems and severe, life-threatening complications, including anaphylaxis [1,7,8,10]. However, ruptured liver hydatid cyst cases present without anaphylaxis which have been reported in the literatures [1,7,8]. In a report cyst rupture present with three types which include: contained, communicating, and direct [11]. Incidence rates of direct rupture have been reported8.6% and in another reportis1.75% [8]. Rupture can occur spontaneously or due to a trauma [1,7]. The risk of rupture is reported to increase with increased size of the cyst or increased intracystic pressure [1,7,8]. The most common predisposing factors for cyst rupture are young age active patients, superficial localization of cysts and cyst diameter of > 10 cm [1,5,7,8]. Abdominal pain, nausea and vomiting, urticarial and anaphylaxis are the most common symptoms [1,3,10]. But chief complaint of our case was severe shoulder pain; we don’t find such presentation in the ruptured hydatid cysts. Allergic reactions may occur in 16.7% to 25.0%patients with ruptured hydatid cysts [10,11]. Fatal anaphylaxis shock after cyst rupture has been described [7,10]. Ultrasonography and CT are the most common diagnostic methods, with 85% and 100% sensitivity, respectively, in liver hydatid cyst rupture [1,5,7,10]. CT-scan shows the most information about the position and extent of intra abdominal hydatid disease and shows other site of cysts. In our case, the diagnosis was suspected after abdominal Ultrasonography and CT-scan. Locating extra- liver cysts and in the other organs is not always possible during surgery. Emergency medical treatment against allergic reactions should be initiated, and emergency surgery should be performed after diagnosing rupture of hydatid cysts [7,10,11]. The standard methods of the surgery is to prevent complications, to eradicate of local disease, and to decrease morbidity, mortality, and recurrence rates [1,2,7,8]. Our surgical methods are evacuation, unroofing, external drainage and cavity filling with momentum as other authors [5,6]. Laparoscopic methods and percutaneous drainage of the hydatid cysts has gained interest during the last decade [7,8]. But, we do not find any reports of Laparoscopy for ruptured hydatid cyst and we believe that Laparoscopy have no place in the management of ruptured hydatid cysts with peritoneal cavity. After laparotomy the first and most important step is irrigating the peritoneal cavity scolicidal agents and removal of all cystic elements. Numerous solutions, such as hypertonic saline solution, silver nitrate (0.5%), povidone-iodine (10%) and a combination of cetrimide (0.5%) and chlorhexidine (0.4%), have been used as scolicidal agents for the purpose of inactivation [8]. We used povidoneiodine (10%). Derici et al [1]. Believed that hypertonic saline is not appropriate because it may damage the peritoneal surfaces and may cause hypernatremia, Additionally, some authors believe that irrigation of peritoneal cavity with hypertonic sodium chloride is mandatory for preventing intra abdominal recurrence of hydatid disease [7,8,10]. Surgical mortality rates are3% even after surgery for uncomplicated hydatid cysts [1,3,5]. Morbidity has been reported to be 12% to 63% [1,3]. The causes of Deaths in ruptured liver cyst are usually duo to septic shock and multi organ failure [1,8]. All patients received albendazole for at least between 3 to 6 month to reduce recurrence rate. Treatment with Albendazole can prevention of recurrence and secondary hydatidosis, but there is controversy on the duration use of the treatment with albendasole for cyst sterilization [1,8,10]. The efficacy and safety of albendazole treatment have been demonstrated in various studies [1,3]. Recurrence rates were 0% to 13% in other studies. In Beyrouti, Ackan and Dreci, reports recurrence rates are 6.7% and 14% and 11,1 respectively [1,3,8].Our patient was discharged with albendazole 800mg daily in good condition without any morbidity
CONCLUSION
Rupture of hydatid cysts into the peritoneal cavity is very rare and still presents a major problem for the surgeon. This complication should be included in the differential diagnosis of acute abdomen in endemic areas with other causes of peritonitis. Emergency surgery is the most common treatment for intraperitoneal rupture of hydatid cysts, and albendazole should be given postoperatively. The choice of treatment depended on the number, size, localization of cyst and the conditions of intraperitoneal cavity. The morbidity and mortality rates of post - surgical operations depend among patients who ruptured hydatid cysts are ruptured than or are intact cysts. It is most important to, prevent recurrences and dissemination.
REFERENCES
- Derici H, Tansug T, Reyhan E, Bozdag AD, Nazli O. Acute intraperitoneal rupture of hydatid cysts. World J Surg. 2006; 30: 1879-1883.
- McManus DP, Zhang W, Li J, Bartley PB. Echinococcosis. Lancet. 2003; 362: 1295-1304.
- Akcan A, Akyildiz H, Artis T, Ozturk A, Deneme MA, Ok E, et al. Peritoneal perforation of liver hydatid cysts: clinical presentation, predisposing factors, and surgical outcome. World J Surg. 2007; 31: 1286-1293.
- Manouchehr A, Siamak Rimaz RH, Hossein H, Mohammad S, Esmaeili D, Amid MR, Managements and Outcome of Complicated Liver Hydatid Cyst. Clin Surg. 2017; 2: 1-6.
- Sayek I, Onat D. Diagnosis and treatment of uncomplicated hydatid cyst of the liver. World J Surg. 2001; 25: 21-27.
- Bozdag AD, Peker Y. Surgical treatment of hydatid cysts of the liver Insizyon Cerrahi T?p Bilimleri Dergisi. World J Emerg Surg. 2000; 3.
- Mouaqit O, Hibatallah A, Oussaden A, Maazaz K, Taleb KA. Acute intraperitoneal rupture of hydatid cysts: a surgical experience with 14 cases. World J Emerg Surg. 2013; 8: 28.
- Beyrouti MI, Ramez B, Imed A, Madiha K, Mohamed Ben A, Foued F, et al. Rupture aiguë du kyste hydatique dans le péritoine: À propos de 17 observations. Presse Med. 2004; 33: 378-384.
- Aghajanzadeh M, Mohammad Reza A, Ali Alavi F, Syrus Emir A, Siamak R, Zohre B, et al. Surgical Management of pleural Complications of Lung and Liver Hydatid Cysts in 34 Patients. Int J Life Sci. 2014; 8: 15-19.
- Manouchehr A, Farzad G, Goharshrieha, Bahareh M, Omid M, Mohammad RH. Ruptured Hydatid Cyst of Liver and Huge Pulmonary Hydatid cyst: Presented as Acute Abdomen with Severe Anaphylaxis Shock: A Rare Presentation. Ann Clin Pathol. 2018; 6: 1-3.
- Lewall DB, McCorkell SJ. Rupture of echinococcal cysts: diagnosis, classification, and clinical implications. AJR Am J Roentgenol. 1986; 146: 391-394.






