Metastatic Neuroendocrine Lung Cancer Mimicking Medullary Thyroid Cancer: Case Report of a Rare Presentation
- 1. Austin Thyroid Surgeons, Austin, TX
- 2. Thyroid Cytopathology Partners, Austin, TX
- 3. Clinical Pathology Associates, Austin, TX
Abstract
Metastatic cancer to the thyroid gland occurs rarely, and needs to be differentiated from primary thyroid cancer for proper medical and surgical planning. Neuroendocrine neoplasms can present with metastatic disease before the primary tumor is discovered. We present a rare case of metastatic neuroendocrine lung cancer to the thyroid gland and lateral neck lymph nodes, where accurate recognition of this entity on pathology significantly altered the clinical care of the patient.
Keywords
• Metastatic thyroid cancer
• Metastatic neuroendocrine cancer
• Medullary cancer of the thyroid
Citation
Brady BM, Sabra JP, Starling C, Sussman Z (2018) Metastatic Neuroendocrine Lung Cancer Mimicking Medullary Thyroid Cancer: Case Report of a Rare Presentation. Ann Clin Cytol Pathol 4(7): 1120.
ABBREVIATIONS
NET: Neuroendocrine Tumor; FNA: Fine Needle Aspirate; CT: Computed Tomography; MTC: Medullary Thyroid Cancer; TTF-1: Thyroid transcription factor-1
INTRODUCTION
Metastases to the thyroid gland are rare, and have been reported in up to 3% of all patients who have suspected cancer in the thyroid gland [1]. Accurate pre-operative identification of these tumors as metastatic disease and not as primary tumors can be difficult on cytopathology [2].
Neuroendocrine tumors arising in the bronchopulmonary system, the gastrointestinal tract, and the pancreas can present as metastases to the thyroid before the primary tumor has even been detected [3]. Properly identifying neuroendocrine tumors in the thyroid as metastatic disease is crucial in order to maintain the proper medical and surgical planning, workup, and treatment.
We present a rare case of metastatic neuroendocrine lung cancer to the thyroid gland and lateral neck lymph nodes, where accurate recognition of this entity on pathology significantly altered the patient’s surgical care and subsequent medical treatment.
CASE PRESENTATION
A 58 year old female presented with a new 2.5 cm complex thyroid isthmus nodule. Her past medical history was significant for a spontaneous subarachnoid hemorrhage. Social history was negative for smoking or any tobacco use. The nodule was initially discovered on a head and neck MRI that was performed during the workup for subarachnoid hemorrhage. The nodule was further evaluated with neck ultrasound, which revealed iso-echoic complex partially cystic features, no calcifications, no extra-thyroidal extension, smooth borders, and no increased vascularity. Based on these findings it was considered lowsuspicion for malignancy. An ultrasound-guided fine-needle? aspirate (FNA) biopsy of the nodule returned “Bethesda II”, benign tissue. She was followed non-operatively for this thyroid nodule and returned after six months for repeat follow-up. At this visit she complained of mild compressive symptoms, the feeling of a “lump” in her throat, and occasional difficulty swallowing. Given these new clinical symptoms, surgery was recommended. The location of the nodule in the mid-isthmus and a benign FNA made her a candidate for a partial thyroidectomy, and surgical plans were made for a thyroid isthmusectomy.
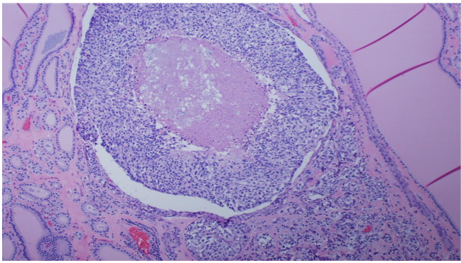
An isthmusectomy was performed with complete excision of the isthmus nodule and a small surrounding margin. The final pathology results from this excision revealed an “isthmus nodule” and consisted largely of benign hyperplastic follicles with a greatest dimension of 2.7 cm. In three microscopic foci (largest 3 mm), a proliferation of round to spindled neoplastic cells with well-dispersed nuclear chromatin and cleared cytoplasm were seen forming trabeculae within a dense hyalinized background. In the largest tumor focus, there was a nodule of briskly proliferative neoplastic cells with central necrosis (Figure 1).
Figure 1: Proliferation of round to spindled neoplastic cells with well-dispersed nuclear chromatin and cleared cytoplasm.
Also of note was a 1 mm focus of calcified tumor outside the hyperplastic nodule in which lymphovascular invasion was suspected but not confirmed. Immunohistochemical studies were positive for expression of neuroendocrine markers (synaptophysin and chromogranin) and Thyroid Transcription Factor (TTF-1), typically positive in both thyroid and lung tissue (Figure 2,3).
Figure 2: Immunohistochemical study positive for expression of chromogranin.
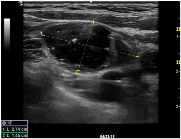
Figure 3: Ultrasound image of suspicious 2.7 cm left lateral neck lymph node, concerning for metastatic disease.
Calcitonin, usually positive in medullary thyroid carcinoma, thyroglobulin and Paired Box gene 8 (PAX-8), typically positive in thyroid, were negative. Despite the lack of calcitonin expression, the lesion was initially diagnosed and signed-out as “medullary micro-carcinoma”.
The patient was seen in follow-up after the isthmusectomy for further surgical planning which included a lateral neck ultrasound. This ultrasound showed suspicious lateral neck disease concerning for metastatic medullary thyroid cancer with multiple enlarged lymph nodes, the largest being a deep level IV lymph node measuring 2.74 cm. She had a normal serum calcitonin level (<1.0 pg/ml) and normal serum calcium (9.7 mg/dL). Plasma metanephrine was normal (0.13 nmol/L), and plasma normetanephrine was normal (0.38 nmol/L), ruling out pheochromocytoma. The tumor marker Chromogranin A was negative. An FNA biopsy of one of the suspicious lateral neck lymph nodes was performed at this same follow up visit.
Given the working diagnosis of primary thyroid medullary carcinoma with clinically enlarged suspicious lateral neck lymph nodes, the patient was scheduled for a completion thyroidectomy along with central and lateral neck lymph node dissections. Final cytopathology results from the lateral neck node biopsy returned shortly thereafter. For cytopathologic evaluation of the lateral neck node, a ThinPrep slide was prepared using the ThinPrep 5000 Processor (Hologic, Marlborough, MA) according to the manufacturer’s instructions. A cell block was also prepared using the Cellient Cell Block system (Hologic, Marlborough, MA).
The cytologic and cell block preparations (Figure 4) displayed abundant cellularity with numerous single tumor cells and few small loosely cohesive aggregates of cells.
Figure 4: Cytomorphology of Level IV Lymph node
(A) ThinPrep: Dispersed single tumor cells (Papanicolaou stain 200x)
(B) ThinPrep: Loose aggregates of tumor cells (Papanicolaou stain 400x)
(C)ThinPrep: Single cells with stippled chromatin and high nuclear to cytoplasmic ratio (Papanicolaou stain 400x) (D) Cell block: Sheets of tumor cells (Hematoxlyin & Eosin stain 200x).
The nuclei were small to intermediate in size with a high nuclear to cytoplasmic ratio and stippled chromatin. An occasional large, bizarre tumor cell was present. Necrosis was not seen and significant nuclear molding was not evident.
Given the prior history of multifocal, millimeter size neuroendocrine tumors in the thyroidectomy specimen, the differential diagnosis included a metastatic medullary thyroid carcinoma, a metastatic thyroid neuroendocrine tumor, or a metastatic neuroendocrine carcinoma from lung or other primary site. To further characterize the tumor cells, a panel of immunohistochemical antibody stains was performed at Propath Laboratories in Dallas, TX according to their laboratory procedures (Figure 5).
Figure 5: Immunohistochemical Antibody Stains 200x
(A) Synaptophysin diffusely positive
(B) TTF-1 diffusely positive
(C) Ki-67 moderate proliferation rate.
The tumor cells were strongly positive for TTF-1. The tumor also showed positive staining with the neuroendocrine markers, synaptophysin and CD56. PAX-8 was negative. Monoclonal carcinoembryonic antigen (mCEA) and calcitonin, typically positive in medullary thyroid carcinoma, were also negative. Proliferation marker, Ki-67, showed a moderate proliferation rate. The immunoprofile supported the diagnosis of a metastatic neuroendocrine carcinoma. While grade is better assessed by determining mitotic index on surgical resection of the primary tumor, the tumor was assumed to be of intermediate grade given the moderate proliferation rate. Evaluation for a lung primary was recommended given the negative immunohistochemical antibody stains calcitonin, mCEA and PAX-8.
After a detailed discussion with the pathologist, it was thought that the metastatic disease in the lateral neck node was suspicious for a neuroendocrine tumor originating from a lung primary. The isthmus nodule from the original surgery was reevaluated by pathology, and the determination was made that it could indeed represent metastatic neuroendocrine disease and not primary medullary carcinoma. An addendum was made to the original report to reflect this change.
The patient’s surgery that had been previously scheduled was cancelled in order to complete the metastatic workup, and she was referred to oncology. A computed tomography (CT) scan and F-18 FDG PET scan of the chest revealed multiple right lower lobe lung nodules (largest 8 mm) consistent with probable primary neuroendocrine cancer, as well as bilateral pulmonary hilar lymphadenopathy (largest 3.0 x 2.2 cm). CT scans of the neck and abdomen showed left supraclavicular, mediastinal, and right adrenal lesions concerning for metastatic disease.
The case was presented and discussed at an endocrinology multidisciplinary conference, and the decision was made to defer any primary neck surgery at this time and pursue adjuvant therapy with plans to re-stage in 3 months. Follow-up therapy by the oncologist at an outside tertiary cancer center included starting the patient on oral chemotherapy with the mTOR inhibitor agent everolimus at a dose of 10 mg each day.
Three months after starting the chemotherapy the patient was restaged. Repeat imaging revealed progression of metastatic disease with new left sided pulmonary nodules, progression of known lymphadenopathy, and new subcarinal lymphadenopathy. Everolimus was discontinued and she was started on somatostatin. She is presently entered into a clinical trial at the tertiary cancer center evaluating additional chemotherapeutic agents.
DISCUSSION
Thyroid nodules are very common, with nearly 5% to 15% of the adult population harboring a clinically significant nodule. This incidence increases with age, and prevalence has increased over the past several decades. These nodules require evaluation because of the risk of thyroid cancer and the dangers associated with it. The correct pathologic diagnosis and choice of the proper extent of initial surgery influences the prognosis and outcomes for patients [4].
Although solitary benign thyroid nodules, multinodular goiter, and primary thyroid malignancy are the most common diagnoses associated with thyroid nodules, metastases to the thyroid gland can occur and must be considered during workup. Metastases to the thyroid gland are rare, but can occur from distant sites and settle in the gland because of its rich vascular supply. Metastases from distant sites represent approximately 3% of all thyroid malignancies [1,13].
In a study at the Mayo Clinic during the period 1980 to 2010, 97 patients were identified with a metastatic solid tumor of the thyroid gland [5]. The most frequent primary tumor sites included the kidney in 21 patients (22%), the lung in 21 patients (22%), the head and neck in 12 patients (12%), and the breast in 11 patients (11%). Less commonly, metastases originated from the esophagus (9%), skin (7%), neuroendocrine (5%), and ovary/uterus (3%).
Forty-one of these patients underwent thyroid resection with an average metastatic tumor size of 3 cm. Median survival in all patients with metastases was 20 months. Patients who underwent thyroid resection had a median survival of 30 months whereas survival in patients without thyroid surgery was 12 months. An important question for clinicians when a metastasis to the thyroid gland is discovered is whether or not performing a thyroidectomy will improve the prognosis [6]. Limited institutional case series have suggested that the surgical management of metastases is associated with a survival advantage over expectant management. Other studies have shown longer survival in patients treated with thyroidectomy versus those treated non-surgically. However, these studies did not evaluate the extent of the surgical management (total thyroidectomy versus subtotal thyroidectomy versus lobectomy) [7].
One metastatic thyroid cancer that can be particularly challenging to distinguish from primary disease is a metastatic neuroendocrine tumors (NETs) versus a primary medullary thyroid cancer (MTC). This is understandable given that both arise from the same neuroendocrine origin. The ability of neoplasms to imitate one another morphologically is well known to all anatomic pathologists. Undifferentiated tumors such as adenocarcinomas, melanomas, lymphomas, and sarcomas can all potentially look alike under the microscope. Selected primary tumors can? potentially be confused pathologically with metastatic tumors.
Sometimes, adjunctive studies can be employed to help make the necessary distinction between primary and secondary tumors, but that is not always the case [2].
Neuroendocrine tumors are rare tumors arising from Kultchitzky cells, or enterochromaffin cells, and are considered a part of the diffuse neuroendocrine system. The first description of NETs was given in 1904 by Siegfried Oberndorfer. Based on Surveillance, Epidemiology, and End Results (SEER) data, the incidence of NETs has shown a nearly fivefold increase from 1973 to 2004. The most frequent primary sites include lung (27%), rectum (17%), jejunum/ileum (13%), pancreas (6%), stomach (6%), and colon (4%) [8,9].
In primary MTC multiple independent foci of medullary carcinoma may arise in the thyroid gland, and can appear similar to metastatic neuroendocrine carcinoma coming from other primary sites. Conventional histologic examination is insufficient to make a distinction between these two possibilities, because the generic appearance of a neuroendocrine tumor is seen in both instances. Tumor cells contain dispersed nuclear chromatin and have variable mitotic activity, with amyloid deposits potentially seen in either case [2,10]. Immunohistochemical stains can be used to aid in distinguishing between primary MTC and metastatic NETs. Neuroendocrine markers and TTF-1 can be positive in both entities, thus not helpful in distinguishing between the two. PAX-8 is variably positive in MTC [11], but negative in metastatic NETs. Calcitonin is positive in greater than 95% of MTCs, but negative in NETs. Monoclonal CEA can be useful in diagnosing those few MTCs that are negative for calcitonin as most MTCs are positive for mCEA, however NETs are negative [11].
Making this distinction between primary MTC versus a metastatic NET is critical, given the vastly different medical versus surgical treatment options that may be delivered depending on the correct pathologic diagnosis. Patients may be assigned an adverse prognosis and not offered effective surgery if a true primary lesion is misdiagnosed as a metastasis, or they may be subjected to unnecessary surgery in the alternate circumstance. The treatment of primary medullary thyroid cancer is usually associated with aggressive surgery. A total thyroidectomy with complete dissection of the central neck compartments has become the mainstay of therapy for this calcitonin-secreting malignancy of neural crest origin. Lateral neck surgery in the form of modified radical neck dissections is performed when there is clinical suspicion for metastatic disease to these lymph node zones. Performing “berry picking” surgery of individual enlarged lymph nodes is not recommended as it does not extend survival. The success of any surgical intervention performed with curative intent in patients with MTC is judged by the excision of all gross disease, as well as post-operative normalization of calcitonin levels [12].
The two main factors that guide treatment of metastatic NETs are the degree of differentiation of poorly differentiated neuroendocrine carcinoma and the primary site of origin. Identification of the primary site of origin has become increasingly important in the surgical and medical management of patients. A variety of imaging studies are often performed to localize the primary tumor in patients presenting with metastatic NET of unknown primary origin, but this can be met with limited success. Metastatic NETs of the thyroid can be divided into two categories, synchronous and metachronous lesions. Synchronous are those thyroid metastases diagnosed simultaneously with the primary tumor, while metachronous lesions are diagnosed months after primary diagnosis and represent the majority of NETs according to previous reports [1].
When evaluating a metastatic lesion, a NET is typically suspected when neuroendocrine morphologic features are identified, including an organoid growth pattern, a uniform population of tumor cells, and the characteristic “salt and pepper” nuclear chromatin pattern [3].
Chromogranin A and synaptophysin are useful neuroendocrine markers in confirming neuroendocrine differentiation. Chromogranin A is the most specific marker for neuroendocrine differentiation, but its expression is known to vary based on anatomical location. Synaptophysin is more sensitive but is less specific for NETs, as its expression can be seen in adrenal cortical tumors, acinar cell carcinoma, and solid pseudopapillary tumor of pancreas.
Thyroid transcription factor-1 (TTF-1) has shown a wide range of sensitivities for lung carcinoids (both typical and atypical) from 0% to 95%, with a recent systematic review showing an overall mean sensitivity of 32% (including both typical and atypical carcinoids) [3]. While TTF-1 expression is not a sensitive marker of lung origin in NET, it appears to be quite specific when positive. TTF-1 cannot be used to distinguish between pulmonary and extra-pulmonary small cell carcinomas.
Once a NET is confirmed with the help of supportive neuroendocrine markers, distinguishing between a welldifferentiated NET versus a poorly differentiated tumor is important in determining the prognosis and management of patients. While most primary malignancies of the thyroid gland are usually associated with an excellent prognosis, these metastatic NETs more often have a poor outcome [7]. The treatment outcomes of metastatic NETs remain poor, with a median survival ranging from 10 to 20 months [5,14].
CONCLUSION
Metastatic disease to the thyroid gland occurs rarely, but when it does, it is important to differentiate it from primary thyroid tumors. An accurate pathologic diagnosis can be difficult to make and warrants a high level of suspicion, especially with neuroendocrine tumors. Such an accurate determination is critical in helping guide the proper clinical care of these patients. The medical and surgical treatments of this primary versus metastatic tumors can vary significantly, and proper pathologic diagnosis is critical in avoiding unnecessary surgeries and morbidity.




