Mucinous Tubular and Spindle Cell Carcinoma- A Recently Added Entity Posing Diagnostic Challenges: Case Report with Review of Literature
- 1. Department of Pathology, Rajiv Gandhi Super Speciality Hospital, India
- 2. Department of Urology, Rajiv Gandhi Super Speciality Hospital, India
Abstract
Background: Mucinous tubular and spindle cell carcinomas (MTSCC) are low grade renal epithelial neoplasms, recently described as a subtype of renal cell carcinoma.
Aim: To report the histopathological and immunohistochemical features of MTSCC to solve the diagnostic challenges associated with the diagnosis of this tumour. Also adding a new case for better understanding of this rare entity with limited literature available.
Materials and methods: A single case of renal MTSCC was studied along with review of literature. HPE and IHC were done for confirmation of diagnosis.
Results: A 40 years old female presented with chief complain of left flank pain since last one year. Radiological findings revealed a mass lesion involving the mid pole of the left kidney. Left nephrectomy was done laproscopically and submitted for HPE. Grossly, cut surface of the kidney showed a single well circumscribed, grayish white to yellowish white, firm growth measuring 4.5 x 3 x 1.5 cm in size, present in the midrenal area. HPE showed tumor cells arranged in tubules and cords separated by pale mucinous stroma with minimal nuclear atypia and low mitotic index. At places, the tumour cells were seen transitioning into anastomosing spindle cells. Clear cell changes and occasional psammoma bodies were also noted. IHC stains were strongly positive for CK 7, AMACR and EMA, weakly positive for CK 19 while negative for CD10 and RCC with a low Ki 67 index.
Conclusions: In spite of diagnostic challenges, on the basis of histomorphological and immunohistochemical featuresa final diagnosis of MTSCC was made. MTSCC shares some overlapping histomorphological features with RCC with sarcomatoid features, papillary RCC, clear cell RCC and collecting duct carcinoma. Immunohistochemistry as well as a thorough morphological assessment is necessary to avoid a misdiagnosis.
Keywords
• Mucinous tubular and spindlecell carcinoma
• Clear cell changes
• Psammoma bodies
• CK 7
• CD 10
Citation
Bargotya M, Das P, Monika K, Kumar L, Yadav R (2018) Mucinous Tubular and Spindle Cell Carcinoma- A Recently Added Entity Posing Diagnostic Challenges: Case Report with Review of Literature. Ann Clin Cytol Pathol 4(6): 1115.
ABBREVIATIONS
MTSCC: Mucinous Tubular and Spindle Cell Carcinoma; HPE: Histopathological Examination; IHC: Immunohistochemistry; RCC: Renal Cell Carcinoma
INTRODUCTION
Mucinous tubular and spindle cell carcinoma (MTSCC) is a distinct low grade polymorphous renal epithelial neoplasm, which was introduced as a subset of renal cell carcinoma by the World Health Organization (WHO) in 2004 [1]. MTSCC is morphologically composed of tubules, spindle cells and extracellular basophilic mucinous or myxoid stroma. It was first described in 2001 – 2002 by Rakozy C et al., who suggested the presence of this unique tumour and termed it as tubular-mucinous renal tumours of low malignant potential [2]. Previously, the cases with similar morphology had been classified under spindle and cuboidal renal cell carcinoma [3], low grade mucin producing tubulocystic renal cell carcinoma of possible collecting duct origin [4], low-grade myxoid renal epithelial neoplasm with distal nephron differentiation, spindle and cuboidal renal cell carcinoma and sarcomatoid papillary renal cell carcinoma or unclassified [5]. Herein, we are presenting a detailed summary of a case of MTSCC and discussion of the clinico-pathological and immunohistochemical characteristics as well as precise differential diagnosis of MTSCC to expand the recognition and improvement at the level of clinical diagnosis.
CASE REPORT
A 40 years old female presented in the Department of Urology with the chief complaint of left flank pain since one year. On USG (W/A), left kidney showed a mixed echogenic lesion measuring 33 x 30.9 mm, involving the mid pole. Figure 1 CECT (W/A) showed evidence of heterogeneous enhancing mass lesion measuring 44 (SI) x 42 (AP) x 35 (TR) mm,
Figure 1: USG (KUB) shows a mixed echogenic lesion measuring 33 x 30.9 mm, involving the mid- pole of the left kidney.
arising from the mid pole of the left kidney with small exophytic component in left perinephric space. Figure 2 No significant lymph nodes were noted.
Figure 2: CECT (W/A) shows a heterogeneous enhancing mass lesion measuring 44 (SI) x 42 (AP) x 35 (TR) mm arising from mid pole of left kidney with small exophytic component in left perinephric space.
Laparoscopic left nephrectomy was done and sent to the Department of Pathology for histopathological examination. Grossly, nephrectomy specimen measured 16 x 8 x 4 cm with attached perinephric fat and adrenal gland. Cut surface of the kidney showed a single well demarcated , grayish white to yellowish white , firm growth measuring 4.5 x 3 x 1.5 cm in size situated predominantly in the midrenal area; 2.5 cm from upper pole, 5 cm from lower pole and 1.5 cm from renal sinus. Figure 3 Histopathological examination showed a well circumscribed tumour with cells arranged in tubules and cords.
Figure 3: Grossly the tumor is well circumscribed, grayish white to yellowish white, firm, nodular growth in the mid-renal area bulging out from the surface.
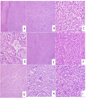
Figure 4A-C These tumour cells were separated by pale mucinous vascular stroma.
Figure 4: Microscopic features A. well circumscribed tumour. (100 X) B & C. Tumour cells arranged in tubules and long cords. (100X & 400X) D. Mucinous stroma with tumour cells showing bland nuclear features. (400 X) E & F. Anastomosing spindle cells. (100X & 400X) G. Clusters of foamy macrophages. H: Occasional psammoma bodies. (400X) I. Tumour showing clear cell changes with individual cells having bland, uniform, round to oval cells with large nuclei, high N:C ratio, vesicular chromatin, prominent nucleoli, scant to moderate amount of cytoplasm and sparse mitotic activity. (400X).
Figure 4D At places, these cells were seen transitioning into anastomosing spindle cells. Figure 4E & F Few of the tumour cells showed clear cell changes. Individual tumour cells were bland, uniform, round to oval having large nuclei with high N:C ratio, vesicular chromatin, prominent nucleoli and scant to moderate amount of cytoplasm. Figure 4I Many small, thin walled blood vessels and clusters of foamy macrophages were seen intermingled among the tumour cells with sparse mitotic figures. Figure 4G Occasional psammoma bodies were also noted. Figure 4H Interstitium showed chronic inflammatory infiltrate comprising of lymphocytes and plasma cells. On the basis of histomorphological features, the differential diagnosis considered were clear cell RCC, mucinous tubular and spindle cell carcinoma and papillary RCC. Table 1 An extended panel of antibody was used for immunohistochemistry IHC) (Figure 5) with positive and negative controls for further differentiation.
Figure 5: Immunohistochemistry panel in the present case.
Table 1: Histomorphological findings of various differential diagnosis considered on microscopy.
|
Differential diagnosis |
Age (years) |
Gross findings |
Histopathological findings |
|
RCC with sarcomatoid features |
Mean age 60 (M:F=1.5:1) |
Fleshy, grayish white, infiltrative margins; mean 9 cm. |
Atypical spindle cells showing marked pleomorphism, high mitotic activity & necrosis |
|
Clear cell renal cell carcinoma |
(M:F = 3:1) |
Orange / yellow, circumscribed, hemorrhagic, necrotic, solid and cystic. |
Solid, alveolar and acinar pattern along with regular network of small thin-walled blood vessels. May have microcytic and macrocytic pattern. |
|
Papillary renal cell carcinoma |
52-88 (M:F =1.8:1 to 3.8:1) |
Well circumscribed pseudo capsulated tumour with areas of hemorrhage, necrosis and cystic degeneration.
|
Malignant epithelial cells arranged in papillae and tubules along with aggregates of foamy macrophages, cholesterol crystals, necrosis, desmoplasia and hemorrhage along with calcified concretions. |
|
Mucinous tubular and spindle cell carcinoma |
(M:F =1:4) |
Well-circumscribed, 2 - 10 cm (mean 4 cm). Greyish white to tan to yellow glistening cut surface; may have focal hemorrhage |
Low grade, well circumscribed, anastomosing tubules with spindle cells in mucinous stroma with features of low nuclear grade. Occasional areas of necrosis, foam cell deposits and chronic inflammation noted. |
|
Collecting duct carcinoma |
13-83 (M:F =2:1) |
Range from 2.5 to 12 cm (mean, about 5 cm) firm grey-white irregular borders along with areas of necrosis. |
Tubulo-papillary growth with desmoplastic stroma. Cells shows high grade (Fuhrman 3 and 4) nuclear features, may have a hobnail pattern and the cytoplasm is generally eosinophilic. Glycogen is usually inconspicuous |
Table 2 CK 7, AMACR and EMA were strongly positive,
Table 2: Comparison of immunohistochemical findings of present case with various differential diagnosis considered. (+ve = Positive, -ve = Negative).
|
|
AMACR |
EMA |
RCC |
CK7 |
CK 19 |
CD 10 |
|
RCC with sarcomatoid features |
-ve |
+ve |
-ve |
-ve |
-ve |
-ve |
|
Clear cell renal cell carcinoma |
-ve |
+ve |
+ve |
-ve |
-ve |
+ve |
|
Papillary renal cell carcinoma |
+ve |
+ve |
+ve |
+ve |
+ve |
+ve |
|
Mucinous tubular and spindle cell carcinoma |
+ve |
+ve |
-ve |
+ve |
+ve |
-ve/+ve |
|
Collecting duct carcinoma |
-ve |
+ve |
-ve |
+ve |
+ve |
-ve |
|
Our case |
+ve |
+ve |
-ve |
+ve |
Weakly +ve |
-ve |
Abbreviations: +ve = Positive; -ve = Negative
whereas CK 19 was weakly positive in the present case. RCC and CD 10 were negative with low Ki-67 index. On the basis of clinical presentation, radiological findings, histology and IHC; a final diagnosis of mucinous tubular and spindle cell carcinoma was made.
DISCUSSION
Mucinous tubular and spindle cell carcinoma is an unusual entity of kidney having an indolent behaviour. First time this tumour was recognised as “low grade mucinous tubulo-cystic carcinoma of possible collecting duct origin” by MacLennan et al., in 1997 [4]. In 1999, Srigley et al., reported this lesion as “unusual renal cell carcinoma with cell change possibly related to the loop of Henle” [5]. Parwani et al., studied four cases of MTSCC under the name of low-grade myxoid renal epithelial neoplasm with distal nephron differentiation [6]. In December 2002, WHO recognized this tumour as a distinct variant of renal cell carcinoma and penned a new term “mucinous tubular and spindlecell carcinoma” characterised histologically as tightly packed, small, elongated tubules and spindle cells with mucinous stroma [1].
MTSCC predominantly affects adult patients with a wide age range from 13 to 82 years and shows a female predominance with a 1:4 male to female ratio [7-9]. These tumours usually present as asymptomatic masses, withthe majority being discovered as an incidental finding during abdominal imaging studies for other unrelated reasons [10]. Sometimes these tumours may present with flank pain, abdominal mass or haematuria. Few of them may be associated with nephrolithiasis and they can also arise in the background of end stage renal disease [11].Radiologically, MTSCC displays a common appearance that is different from clear cell RCC, but similar to papillary RCC. All tumours showed an expansile growth pattern, exophytic or partially exophytic with a spherical or ovoid shape on CT, and had well demarcated margins with the surrounding renal parenchyma. Tumours less than 5 cm in size usually demonstrate homogenous pattern of enhancement, while those larger than 5 cm often show heterogeneous enhancement pattern [12]. The current case was of a 40 years old female who presented with dull aching left flank pain and was discovered incidentally during abdominal imaging studies done for nephrolithiasis. Out of all the lesions considered in differential diagnosis, only clear cell RCC can present in the age group of 20-50 years. Table 1 Radiologically, clear cell RCC presents as a heterogeneous mass enhancing lesion with a small exophytic component [13]. Macroscopically, MTSCCs are well circumscribed and have a grey or light tan, uniform cut surfaces. Size varies from 2 - 10 cm (mean 4 cm). MTSCC may present with focal haemorrhage, but no renal vein invasion. Grossly, clear cell RCC simulates MTSCC by being well circumscribed tumours with greyish to yellowish uniform cut surface, while only clear cell RCC show renal vein invasion most of the times. On the basis of histopathological findings, main differential diagnosis to be considered are MTSCC, clear cell RCC, papillary RCC, RCC with sarcomatoid features and collecting duct carcinoma. The common presenting and histomorphological features of various lesions had been summarized in Table 1. Comparative IHC panel as shown in Table 2 helped in coming to a final diagnosis.
The most important differential diagnosis of MTSCC is papillary RCC type 1. Macroscopically, papillary carcinomas are quite different being soft to firm, yellowish and necrotic. Recently, a solid variant has been described. Microscopically, the tumour cells are arranged predominantly in tubulo-papillary pattern, but compression of elongated tubules and papillae can create a fusiform pattern. However, both the entities share common findings such as tubulo-papillary growth imparting a fusiform pattern, collections of foamy cells and psammoma bodies as well as CK 7 and AMACR positivity. However, major morphological and immunohistochemical difference is that mucinous stroma is never observed in papillary carcinomas and is positive for CD 10, while MTSCC has abundant mucinous stroma and is usually CD 10 negative. Another newly added entity named as papillary RCC with low grade spindle cell foci has been described which shows morphology that resembles significantly with MTSCC [14]. This tumour has male predominance and foci of bland appearing spindle cells which is in contrast to MTSCC.
Other differential diagnosis to be considered is RCC with sarcomatoid features, which can develop in any histologic subtypes of RCC and usually confers a highly threatening form of RCC. In contrast to RCC with sarcomatoid features, which has large, hyperchromatic to pleomorphic nuclei, abnormal mitotic activity and areas of necrosis, MTSCC are composed of spindle cells which were bland looking with uniform architectural pattern and have usually low nuclear grade. MTSCC in itself can undergo sarcomatoid transformation; however, in these tumours, at least focally, evidence of a low grade sarcomatoid component can exist [15]. Collecting duct carcinomas shows papillary growth pattern, larger eosinophilic cells, marked atypia in fibrous stroma with areas of necrosis and hence can be easily differentiated from MTSCC which had low nuclear grade, abundant mucinous stroma and no areas of necrosis. MTSCC exhibits a lower malignant potential and a better prognosis compared to other types of RCC [16]. Radical nephrectomy is the best treatment and no additional chemotherapy or radiotherapy is required. Till date, very few cases have been reported with distant metastasis and no tumour related mortality has yet been reported [17]. However, it requires close follow up after surgery.
Mucinous tubular and spindle cell carcinoma shows high genomic instability on cytogenetic studies [18]. MTSCC on karyotyping, comparative genomic hybridization as well as fluorescent in situ hybridization (FISH) demonstrate complex genomic aberrations which could include, isolated or combination of, losses on either chromosome 1, 4, 6, 8, 9, 13, 14, 15 or 22 and or gains on chromosomes 7, 11, 16 or 17. But these abnormalities are not specific and could show varied karyotypic patterns. Hence, there is a debate on the hypothesis that mucinous tubular and spindle cell carcinoma is a distinctively new entity [19,20].
This entity is quite new, hence not frequently reported, so more cases should be diagnosed and published for better understanding and approach.
CONCLUSION
On the basis of clinical, radiological, histomorphological and immunohistochemical findings, a final diagnosis of mucinous tubular and spindle cell carcinoma was made. Patient is clinically doing well with no post-operative complications, uneventful recovery and currently she is on regular follow up.
MTSCC shares similar histological features overlapping with RCC with sarcomatoid features, papillary RCC, clear cell RCC and collecting duct carcinoma. Hence, a immunohistochemical analysis should be performed in such difficult cases to avoid misdiagnosis and hence wrong treatment.
Moreover, few cases of MTSCC are reported and studied, hence this a small attempt on our behalf by adding another case in the limited literature available to broaden the spectrum for better understanding and awareness of this entity among both pathologists and urologists. This is important to recognize this tumour at the level of clinical diagnosis as it has a different biological behavior and treatment protocol.
REFERENCES
- Srigley R. Mucinous tubular and spindle cell carcinoma. In: Eble JN, Sauter G, Epstein JI, Sesterhenn IA, editors. World health organization of tumours; pathology and genetics. Lyon: IARC Press; 2004. 40.
- Rakozy C, Schmahl GE, Bogner S, Störkel S. Low-grade tubular-mucinous renal neoplasm’s: morphologic, immunohistochemical, and genetic features. Mod Pathol. 2002; 15: 1162-1171.
- Hes O, Hora M, Perez-Montiel DM, Suster S, Curik R, Sokol L, et al. Spindle and cuboidal renal cell carcinoma, a tumour having frequent association with nephrolithiasis: report of 11 cases including a case with hybrid conventional renal cell carcinoma/ spindle and cuboidal renal cell carcinoma components. Histopathol. 2002; 41: 549-555.
- MacLennan GT, Farrow GM, Bostwick DG. Low-grade collecting duct carcinoma of the kidney: Report of 13 cases of low-grade mucinous tubulocystic renal carcinoma of possible collecting duct origin. Urology. 1997; 50: 679-684.
- Zhao ming, Xiang-lei he, Xiao-dong Teng. Mucinous tubular and spindle renal cell carcinoma
- A review of clinicopathological aspect. Diagnostic pathol. 2015; 10: 168.
- Srigley UR, Eble JN, Grignon DJ, Hartwick RJ. Unusual renal cell carcinoma (RCC) with cell change possibly related to the loop of Henle. Mod Pathol. 1999; 12: 107.
- Parwani AV, Husain AN, Epstein JI, Beckwith JB, Argani P. Low-grade myxoid renal epithelial neoplasms with distal nephron differentiation. Hum Pathol. 2001; 32: 506-512.
- Wu XR, Chen YH, Sha JJ, Zhao L, Huang JW, Bo JJ, et al. Renal mucinous tubular and spindle cell carcinoma: a report of 8 cases and review of the literature. Diagn Pathol. 2013; 8: 206.
- Srigley JR, Delahunt B. Uncommon and recently described renal carcinomas. Mod Pathol. 2009.
- Srigley JR, Delahunt B, Eble JN, Egevad L, Epstein JI, Grignon D, et al. The International Society of Urological Pathology (ISUP) Vancouver Classification of Renal Neoplasia. Am J Surg Pathol. 2013; 37: 1469-1489.
- Hes O, Hora M, Perez-Montiel DM, Suster S, Curik R, Sokol L, et al. Spindle and cuboidal renal cell carcinoma, a tumour having frequent association with nephrolithiasis: Report of 11 cases including a case with hybrid conventional renal cell carcinoma/ spindle and cuboidal renal cell carcinoma components. Histopathol. 2002; 41: 549-555.
- Fine SW, Argani P, DeMarzo AM, Delahunt B, Sebo TJ, Reuter VE, et al. Expanding the histologic spectrum of mucinous tubular and spindle cell carcinoma of the kidney. Am J Surg Pathol. 2006; 30: 1554-1560.
- Kenney PA, Vikram R, Prasad SR, Tamboli P, Matin SF, Wood CG, et al. Mucinous tubular and spindle cell carcinoma (MTSCC) of the kidney: a detailed study of radiological, pathological and clinical outcomes. BJU Int. 2015; 116: 85-92.
- Val-Bernal JF, Gomez-Roman JJ, Vallina T, Villoria F, Mayorga M, García-Arranz P. Papillary (chromophil) renal cell carcinoma with mucinous secretion. Pathol Res Pract. 1999; 195: 11-17.
- Ursani NA, Robertson AR, Schieman SM, Bainbridge T, Srigley JR. Mucinous tubular and spindle cell carcinoma of kidney without sarcomatoid change showing metastases to liver and retroperitoneal lymph node. Hum Pathol. 2011; 42: 444-448.
- Dhillon J, Amin MB, Selbs E, Turi GK, Paner GP, Reuter VE. Mucinous tubular and spindle cell carcinoma of the kidney with sarcomatoid change. Am J Surg Pathol. 2009; 33: 44-49.
- Kumari N, Chhabra P, Dewan U, Jain M. Renal mucinous tubular and spindle cell carcinoma. Indian J Pathol Microbiol. 2009; 52: 400-402.
- Ursani NA, Robertson AR, Schieman SM, Bainbridge T, Srigley JR. Mucinous tubular and spindle cell carcinoma of kidney without sarcomatoid change showing metastases to liver and retroperitoneal lymph node. Hum Pathol. 2011; 42: 444-448.
- Weber A, Srigley J, Moch H. Mucinous spindle cell carcinoma of the kidney. A molecular analysis. Pathol. 2003; 24: 453-459.
- Meloni Ehrig AM. Renal cancer: cytogenetic and molecular genetics aspects. Am J Med Genet. 2000; 115: 164-172.




