Posterior Mediastinal Hydatid Cysts Associated with Destruction of the Rib, Vertebral Column and Compress Spinal Cord (Dumbbell Hydatid Cyst)
- 1. Department of Thoracic and General Surgery, Guilan University of Medical Sciences, Iran
- 2. Department of Neurosurgery, Guilan University of Medical Sciences, Iran
Abstract
Primary Mediastinal localization of hydatidosis is very rare. Destruction of the Rib and Vertebral Column in Primary posterior Mediastinal hydatidosis is extremely rare and represents an uncommon but significant manifestation of hydatid disease (HD). We report a case of posterior Mediastinal hydatidosis with intraspinal extension and Destruction of the Rib and Vertebral Column in the thoracic region causing spinal cord compression. The presenting symptoms were back pain, posterior chest wall pain, back pain progressive difficulty in walking with radiation to right lower limp and was atypical and the diagnosis was established preoperatively on the basis of computer tomography (CT-scan) and magnetic resonance imaging. The patient underwent surgery by thoracic and neurosurgeon in one stage and resulting in complete recovery and is no recurrence happened after 18 months follow-up.
Keywords
• Hydatidosis
• Magnetic resonance imaging
• Spinal cord compression
• Surgery
Citation
Aghajanzadeh M, Samidost P, Alnabi, Alijani Madipoursafar (2018) Posterior Mediastinal Hydatid Cysts Associated with Destruction of the Rib, Vertebral Column and Compress Spinal Cord (Dumbbell Hydatid Cyst). Ann Clin Cytol Pathol 4(3): 1102.
INTRODUCTION
Hydatid cyst still remains an important zoonotic problem in developing countries [1,2]. It can be located in various tissues [2,3]. The organs most commonly affected are the liver and the lungs. Vertebral involvement accounts for less than 2% [3]. Pleural involvement is rare and usually follows the rupture of a pulmonary cyst [2]. Mediastinal hydatid cysts are very rare and constitute less than 0.1 % of all localizations and less than 1 % in thorax [2,4]. Mediastinal hydatid cysts occur more frequently seen in the posterior mediastinum [2,4]. Most patients are asymptomatic [5], and my present with cough and dyspnea. Also pulmonary parenchymal involvement and cause hemoptysis. Generally, the lesion is usually discovered incidentally on a routine chest X-Ray [2,4]. Mediastinal hydatid cysts with Dumbbell hydatid cyst of the spine is extremely rare [5]. We report a case of posterior Mediastinal hydatid cysts with destruction of the vertebral column and rib and erosion spinal cord (Dumbbell Shape) with back pain, cough, dyspnea and progressive difficulty in walking. The patient successfully treated by resection of cysts and involved rib followed by via postero-lateral thoracotomy and the patient underwent T7 to T8 partial laminectomy, partial cordectomy. Posterior pedicle screw fixation was performed to stabilize the thoracic spine.
CASE PRESENTATION
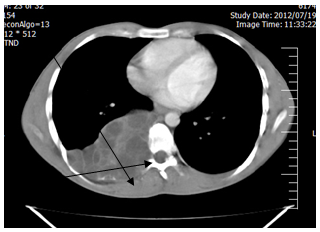
24 year-old man, farmer by occupation presented with right side chest wall pain, chronic cough and dyspnea and gradually increasing posterior chest wall pain, back pain progressive difficulty in walking since three months. Persistent back pain not responsive to usual conservative treatment and gradually increasing neurologic deficit of the lower limbs. He also complained of numbness and altered sensations in both legs. General physical examination showed no abnormality. Chest Physical examinations was completely normal. Neurological examination revealed spastic paraparesis and hypoaesthesia below T6 level. Power was reduced to Grade two in both the lower limbs and there was loss of sensations, especially to pain and fine touch. The superficial abdominal and cremastric reflexes were absent. The knee and ankle jerk were exaggerated with bilateral ankle clonus. Plain X-ray of the thoracic spine did not reveal any abnormality. Posteroanterior chest radiograph revealed multiple masses at the right hemithorax. Thoracic computed tomography revealed a cystic, mass in the posterior mediastinum. The mass measured 11.5 cm × 8.5 cm with water attenuation and unenhanced wall. Causing destruction of the six ribs, and the posterior of the six rib and invasion of the Th7 vertebral corpus (dumpling shape) and The lesion extended intramedullary and compressed the spinal cord (Figures 1,2).
Figure 1: CT-scan revealed a cystic mass in the posterior mediastinum with rib destruction, erode vertebra and dumbbell tumors.
Figure 2: MRI showing extradural cystic lesions at T7-T8 level. There was cerebrospinal fluid (CSF) like signal intensities on T1- and T2- weighted images.
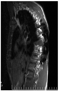
The magnetic resonance imaging (MRI) of thoracic spine revealed multiple well-defined extradural cystic lesions at T6-T8 level. There was cerebrospinal fluid (CSF) like signal intensities on T1- and T2- weighted images (Figures 3-5).
Figure 3: MRI showing extradural cystic lesions at T7-T8 level. There was cerebrospinal fluid (CSF) like signal intensities on T1- and T2- weighted images.
Figure 4: MRI showing extradural cystic lesions at T7-T8 level. There was cerebrospinal fluid (CSF) like signal intensities on T1- and T2- weighted images.
Figure 5: MRI showing extradural cystic lesions at T7-T8 level. There was cerebrospinal fluid (CSF) like signal intensities on T1- and T2- weighted images.
No contrast enhancement was seen. Spinal cord was compressed postero-laterally. Ultrasonography of abdomen, chest X-ray and cranial CT were negative for any systemic foci. Serological test (ELISA) was also negative. A consultation performed with neurosurgeon for the plan of surgery. A right postero-lateral thoracotomy was performed by thoracic surgeon through the seven intercostal spaces. During exploration, a cystic mass was discovered in an extra pleural location in the middle portion of the thoracic cavity (posterior mediastinum) attached to the vertebra and spinal cord. Cystic lesion was walled of and covered with wet sponge of saline 5%. When the lesion was accidentally opened during the procedure, daughter cysts were seen. Germinative, laminated membrane and daughter cysts were removed (Figure 6).
Figure 6: Germinative, laminated membrane and daughter cysts.
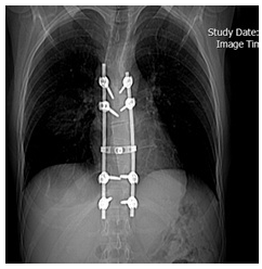
The cyst cavity was irrigated with hypertonic saline solution. After All the cysts element were extirpated, exploration of spinal canal was performed by the neurosurgeons, and the cystic mass eroded the vertebral pedicle, body, vertebral corpus destruction, transverses process and spinal column. The patient underwent T7 to T8 partial laminectomy, T7 vertebral body resection, curettage of lesion and removed of all hydatid elements, necrotic tissue and Partial resection of the six ribs. During exploration of spinal Colum, Multiple pearly white cysts were found in the extradural space compressing the dural sac, all cyst elements was removed and released spinal cord. The operative field was soaked with hydrogen peroxide for a few minutes and then washed with normal saline. Posterior pedicle screw fixation was performed to stabilize the thoracic spine (Figure 7).
Figure 7: Pedicle screw fixation.
Postoperative period was uneventful. Albendazole (10 mg/kg daily) was administered postoperatively for a period of 18 months, because recurrent in bone hydatid cysts are high and duration of medical management is longer than others organ involvement [1]. There was complete regain of sensation, chronic cough and dyspnea and posterior chest wall pain in three to five weeks there was no recurrence during the follow-up period of two years.
DISCUSSION
Cystic Echinococcosis caused by the parasite Echinococcus granulosus is one of the major health problems in underdeveloped countries. It is endemic in some parts of South America, the Middle East, Africa, Mediterranean regions, New-Zeland and Australia. It is a neglected disease in many areas of the world and only 4.1% of people have heard about the disease, and 58.1% were closely associated with dogs. Sixty-three percent of dogs in study area were consuming uncooked organs (e.g. liver, lung, etc.) of slaughtered animals, while 100% of dogs at butcher shops were consuming uncooked organs [11,12]. The definitive hosts are Dogs or other carnivores [1,4,6]. The intermediate hosts are Sheep and other ruminants. Humans are incidentally hosts and are infected by the ingestion of food, vegetable or water contaminated by eggs of these parasites [1,6]. Liver is the most frequent site of involvement In humans and followed by the lungs [1,4,6]. Other rare sites which involvement include, peritoneum, kidney, brain, mediastinum, heart, bone, muscle, spinal cord, spleen, bladder, ovary, scrotum, and thyroid gland [1,6,7]. In our practice we have on case of breast hydatidcyst. Mediastinal hydatid cysts are very rare, accounting for less than 0.1% of all cases and less than 1% of thoracic involvement [1,2,6,8]. These occur more frequently in the posterior mediastinum [1,2,6,8]. The most of patients may remain asymptomatic and some lesion being discovered incidentally on a routine chest radiograph for others problems [6,8,9]. Chest pain, cough, dyspnea are non-specific symptoms may present in the patients. Hemoptysis, superior vena cava syndrome, phrenic or recurrent laryngeal nerve compression, vertebral destruction with intraspinal extension and neurological symptoms, and Bernard–Horner syndrome may be produced as a result of involvement of neighboring structures and other etiologies like [1,2,4]. The complications of mediastinal hydatid cyst can be significant and include rupture into the mediastinum, pleural cavity and right ventricle, cysto-aortic fistula with possible embolization, and infection and compression of vital structures [1,4,8]. Posterior mediastinal hydatid cyst with intraspinal extension and destruction of spinal colom are extremely rare, in the literature we found11 similar cases reported till date [3,7] Such masses with both intraspinal and extraspinal components assume a dumbbell shape [6,9]. Though the most common cause of dumbbell masses is neurogenic tumor [6,9] and infectious process such as tuberculosis, hydatid cyst are nonneoplastic lesions can mimics dumbbell tumors [1,6,9]. Spinal hydatids as may present as a paravertebral masses with vertebral colon destruction, intraspinal extension and compress spinal cord with neurologic symptoms [5-9].
Diagnosis of mediastinal hydatid cyst according to clinically and radiologically is difficult to distinguish from other mediastinal cystic lesions as: bronchogenic cysts, cystic. Esophageal duplication cyst, cystic hygroma, enteric cyst, and neurogenic tumors [1,6,7]. Presence of a posterior mediastinal mass with rib and vertebral destruction and intraspinal extension can raise the possibility of aggressive malignant masses like round cell tumor, lymphoma, metastasis, or neurogenic tumor [1,6-8].
In intact and uncomplicated cysts serological tests usually can be negative. Aspiration of cystic lesion under CT-guided is considered the procedure of choice for establishing the diagnosis of hydatid cysts from others lesions [10]. But this procedure may complicated with anaphylaxis shoke, spreeding and multiple new cyst [1,2,6,10]. Our imagines for diagnosis consist of chest radiograph and CT-scan of the Chest. CT -scan defines the cystic nature of the lesions and shows exactly the anatomical relations.
Though presence of multiloculated appearance and calcification may suggest the diagnosis, there is no pathognomonic sign of hydatid cyst on CT [1,2,4,6]. Magnetic resonance imaging is indicated in defining the intraspinal extension, especially when patients present with neurological signs [1,6,7,9,10]. For diagnosed in our case we use CT-scan and MRI .The treatment choice of mediastinal hydatid cyst is radical surgery during surgery all elements of cyst as, Germinative, laminated membrane and daughter cysts and pericyst should be remove [1,2,3,6]. In our practice we have one case of posterior mediastinal hydatid cyst in which 6th rib was distracted [1] and one case with pancost, syndrome [4]. In all of our cases we removed all cyst elements with surrounding tissue and irrigated with 5% of saline solution. If invasion of cysto the vital structures was present and total excision was not possible, partial pericystectomy is an alternative procedure [6-8]. It has been proposed that better outcome are obtained by combining of surgical resection with antihelminthic therapy pre and postoperatively. World Health Organization recommends adjuvant chemotherapy with mebendazole or albendazole for 2 years postoperatively [6,7]. We used albendazole (800mg daily) for one year in one patient [1] and for three years in another patient [4]. In the present case we used for 18 months.
CONCLUSION
The solid-cystic mass of posterior mediastinum, hydatid cyst should be considered in the differential diagnosis of such lesion, especially in endemic countries for Echinococcus granulosus and even when the lesion appears aggressive clinically and on imaging. Although total removal of the cysts without rupture is the surgical treatment of choice in all cases with albendazole therapy in postoperative period.
REFERENCES
- Aghajanzadeh M, Khajeh Jahromi S, Hassanzadeh R, Ebrahimi H. Posterior Mediastinal Cyst. Arch Iran Med. 2014; 17: 95-96.
- Kabiri el H, Zidane A, Atoini F, Arsalane A, Bellamari H. Primary hydatid cyst of the posterior mediastinum. Asian Cardiovasc Thorac Ann. 2007; 15: 60-62.
- Purohit M. Primary hydatid cysts of the mediastinum. Eur J Cardiothorac Surg. 2003; 23: 257-258
- Aghajanzadeh M, Molaie R, Aghajanzadeh H, Marandi K. Hydatid cyst as a cause of Pancoast’s Syndrome. Arch Iran Med. 1999; 2.
- Hamdan TA, Al-Kaisy MA. Dumbbell hydatid cyst of the spine: Case report and review of the literature. Spine (Phila Pa 1976). 2000; 25: 1296-1259.
- Kumar S, Satija B, Mittal MK, Thukral BB. Unusual Mediastinal Dumbbell Tumor Mimicking an Aggressive Malignancy. J Clin Imaging Sci. 2012; 2: 67.
- D?nil? N, Chifan M, Prescorni?? L, Andronic D, Tara?i C, Crumpei F. Rare location of a hydatid cyst in the upper mediastinum migrating into the spinal channel. Rev Med ChirSoc Med Nat Iasi. 2001; 105: 573-575.
- Kabiri el H, al Aziz S, el Maslout A, Benosman A. Hydatid cyst: An unusual disease of the mediastinum. Acta Chir Belg. 2001; 101: 283-286.
- Kilic D, Erdogan B, Sener L, Sahin E, Caner H, Hatipoglu A. Unusual dumbbell tumours of the mediastinum and thoracic spine. J Clin Neurosci. 2006; 13: 958-962.
- Das DK, Bhambhani S, Pant CS. Ultrasound guided fine-needle aspiration cytology: Diagnosis of hydatid disease of the abdomen and thorax. Diagn Cytopathol. 1995; 12: 173-176.
- Ahmed H, Ali S, Afzal MS, Khan AA, Raza H, Shah ZH, et al. Why more research needs to be done on echinococcosis in Pakistan. Infect Dis Poverty. 2017; 6: 90.
- Khan A, Naz K, Ahmed H, Simsek S, Afzal MS, Haider W, et al. Knowledge, attitudes and practices related to cystic Echinococcosis endemicity in Pakistan. Infect Dis Poverty. 2018; 7: 4.





