Primary Extra Cranial Meningioma in Parotid Gland: Review of a Rare Case
- 1. Department of Pathology, West Bengal University of Health Sciences, India
Abstract
Extra cranial Meningioma is a rare tumour that occurs in skin and soft tissue around scalp or along the vertebral axis. By definition they are not associated with an underlying Meningioma of the neuraxis and extra cranial extension of an intracranial tumour should always be excluded. Adult presentation of extra cranial Meningioma usually occurs in the vicinity of sensory organs (eye, ear, and nose) or along the path of cranial and spinal nerves. 35 years, Male patient presented with unilateral swelling in right parotid region gradually increasing in size for last one year, without any other clinical symptom, clinically diagnosed as Mixed Parotid tumour. FNAC done from the swelling yielded particulate material, stained by routine MGG and PAP stain on dried and wet-fixed smears respectively, which on microscopy had shown high cellular yield of spindle to oval cells, epithelial looking (meningothelial cells), in syncytial clusters with whirling pattern, having central psammomatous calcification. Individual cells show blunt chromatin pattern, regular nuclear contour and presence of intra-nuclear cytoplasmic inclusions. On the basis of cytological findings, diagnosis of Meningioma was given and subsequently computerized Tomography did reveal neither any intracranial lesion, nor any intra-cranial /par pharyngeal extension. Final diagnosis of extra-cranial Meningioma was confirmed by histopathological examination of the swelling. An FNAC finding of Meningioma almost mimics its histopathological pattern and is therefore very much sensitive tool to diagnose the cases of extra cranial Meningioma.
Keywords
• Meningioma
• Extra cranial
• Soft tissue tumour
Citation
Mukhopadhyay SG, Soma D, Gautam B (2016) Primary Extra Cranial Meningioma in Parotid Gland: Review of a Rare Case. Ann Clin Cytol Pathol 2(5): 1034.
ABBREVIATIONS
FNA: Fine Needle aspiration; MGG: May Grunewald Giemsa; PAP: Papanicolaou; H&E : Hematoxylin and Eosin; CT : Computed Tomography; MRI : Magnetic Resonance Imaging
INTRODUCTION
Mostly arising in the vicinity of meninges, Meningioma is well known neoplasm’s presenting near the surface of the cerebral hemispheres or base of the brain. Though they can rarely present in intraventricular, intraparenchymal and intraosseous location inside the cranial cavity, primary extra cranial Meningioma is reported to be less than 2% of the total reported case of Meningioma [1]. By definition they are not associated with an underlying Meningioma of the neuraxis and extra cranial extension of intracranial tumours should always be excluded. Extra cranial Meningioma occurs mainly in the head neck region like orbital (i.e., optic sheath), glabellar, sinonasal, or opharyngeal or subgaleal locations [2]. On the other hand cases from up to lungs and mediastinum have been reported[3].
Intra cranial Meningiomas (98%) of cases are not accessible to an aspiration cytologist. Extra cranial Meningiomas, if encountered and aspirated, are usually misdiagnosed and culminating in mismanagement of such cases. Here we report a Meningioma in the parotid gland which was diagnosed cytological and confirmed by histopathology.
CASE PRESENTATION
A healthy 35 years old South East Asian (Bengali) Male presented with a swelling in the right side of face for past one year. The swelling was painless, bore no relationship with eating and was slowly increasing in size for past 1 year. On examination, a 4 x 5 cm2 swelling with 2cm elevation from skin surface was located just below the angle of the mandible (Figure 1).
Figure 1: Swelling in Right Parotid region, 35/ M
The surface was smooth on inspection and it got prominent with clenching of teeth. On palpation, the surface was smooth, consistency firm, fluctuation negative and the borders were diffuse. The oral cavity was normal. Facial nerve function was normal (House-Brackmann grading system: Grade I). Patient was otherwise asymptomatic and routine blood work was unremarkable. He had no such swelling anywhere else in the body. Family history was non-contributory. A clinical diagnosis of Parotid mixed tumors was provided.
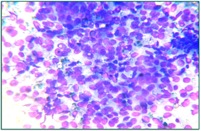
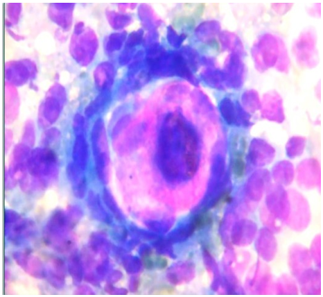
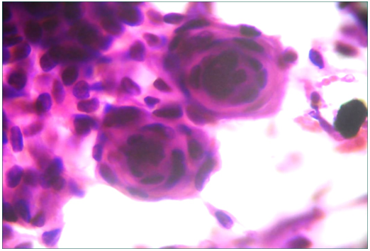
Fine Needle Aspiration (FNA) done from the swelling revealed a particulate aspirate which as stained with May Grunwald Giemsa (MGG) and Papanicolaou (PAP) stain in dry and wet-fixed smears respectively. On microscopy the smears were highly cellular. There was monomorphic spindle to oval, epithelial looking cells in sheets, small syncytial clusters and few discrete cells. A whirling pattern was very prominent among the cells. Foci of psammomatous calcification was appreciated in a number of clusters with epithelial looking cells (meningothelial cells) forming a whirling architecture around them (Figures 2-5).
Figure 2: Leishman-Giemsa (LG) X 40; Dry-fixed FNAC smear showing high cellular yield of spindle to oval cells having blunt nuclear chromatin.
Figure 3: PAP X 40 Wet-fixed slide showing cellular smear having syncytial clusters with prominent whorling pattern and fair number of psammomatous calcification.
Figure 4: LG X 400 Cellular whorls having central Psammoma bodies.
Figure 5: PAP X 400 Psammoma Bodies.
Individual cells show single oval nucleus, powdery chromatin pattern, a regular nuclear contour, intranuclear cytoplasmic inclusions, nuclear grooves at places (Figure 6) with pale cytoplasm and ill-defined cellular boundary (syncytial).
Figure 6: LG X 400 Intranuclear cytoplasmic inclusions.
On the basis of cytological findings, diagnosis of extra cranial Meningioma was given. Subsequent Computerized Tomography did reveal neither any intracranial lesion, nor any intra-cranial / par pharyngeal extension.
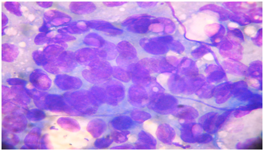
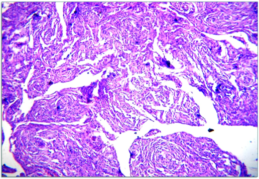
A local excision of the lesion was performed under general anesthesia and the specimen was sent for histopathological examination. A 4.5 x5.5 x2.5 cm3 whitish globular mass was received. It had a smooth surface. The consistency was firm. On cut section, a grayish white smooth surface was noted with no variegation. Representative sections were given. Routine Processing and Hematoxylin and Eosin (H&E) staining revealed, a highly cellular tumor composed of sheets of meningothelial cells arranged in a whirling pattern with psammomatous calcification in some areas. Individual cells were spindle shaped, had a round nuclear contour and ill-defined syncytial cytoplasm (Figure 7).
Figure 7: H and E X 40 sheets of meningothelial cells.
Thus a final histopathological conclusive diagnosis of Meningioma in an extra cranial location (parotid) was given. The patient was followed up clinically for one year and no recurrence was reported.
DISCUSSION
Meningiomas originate from meningocytes (arachnoid or meningothelial cells) capping the arachnoid villi [4]. These multipotent mesenchymal cells may proliferate at the ectopic sites to form Meningioma [5]. These neoplasms are more common in females during the middle decades of life and account for 24–30% of primary intracranial tumours [6]. Though rare, extra cranial meningiomas are well recognized in literature with some large case series without any obvious predilection for sex in contrast with intracranial meningiomas which are female predominant [6]. Extra cranial Meningiomas are divided into four categories depending on their location. Type an Involves direct extension from a primary intracranial tumour through the foramina of the base of the skull. Type B involves extra cranial growth from arachnoid cells within the sheaths of cranial nerves. Type C involves extra cranial growth from embryonic rests of arachnoid without any apparent connection to the foramina of the skull base or cranial nerves. They can happen anywhere in the body. Type D involves distant metastases from intracranial Meningioma [7]. Our case was a Type C; possibly arising from the embryonic cell rests in parotid region. Less than 1% Extra cranial meningiomas are malignant and among the extra cranial meningiomas 95% are meningothelial (WHO grade I) [5].
Extra cranial Meningioma is a diagnostic challenge for cytopathologist for two main reasons. Firstly, they are cohesive cellular tumors’ and yield of cells is usually poor to give a proper diagnosis, though in this case there is high cellularity. Secondly, it is easily forgotten in the list of differential diagnosis where Parotid Mixed Tumour, schwannoma, neurofibroma, Paraganglioma or other benign and malignant salivary gland tumor are considered first. Such extra cranial presentations are difficult to diagnose on CT and MRI also [8].
Spindle cells in loose clusters, cell balls and whorls, and psammoma bodies, are recognized as diagnostic criteria for Meningioma in cytology. The individual cells are described as pale ovoid or elongated nuclei with finely granular, evenly distributed chromatin with pale cytoplasm and indistinct cell borders [9]. One should always rule out the above mentioned differential diagnoses before diagnosis of Meningioma in a case of cervical or parotid region swelling. A diagnosis of extra cranial Meningioma should always be confirmed by histopathology. Immuno histochemistry for Vimentin and Epithelial Membrane Antigen (EMA) can help in a case of diagnostic confusion unlike our case where the cytology so totally reflects the histopathological features.
Surgical excision is the treatment of choice for extra cranial Meningiomas; completeness of surgical excision being the most important prognostic factor. Most of the cases do not recur. Radiation is considered in case of recurrent tumors.
To conclude, extra cranial Meningiomas should be considered in the differential diagnosis of tumors during FNA screening of tumors of head and neck region. The cytological and histological features correlate each other. Clinicians and pathologists should be aware of this rare diagnostic possibility.
REFERENCES
- Friedman CD, Costantino PD, Tietelbaum B. Primary extracranial meningiomas of the head and neck. Laryngoscope. 1990; 100: 41-48.
- Thompson LD, Bouffard JP, Sandberg GD, Mena H. Primary ear and temporal bone meningiomas: a clinicopathologic study of 36 cases with a review of the literature. Mod Pathol. 2003; 16: 236–245.
- Wilson AJ, Ratliff JL, Lagios MD, Aguilar MJ. Mediastinal meningioma. Am J Surg Pathol. 1979; 3: 557–562.
- Cushing H. The meningiomas (duralendotheliomas): Their source, and favored seats of origin. Brain1922; 45: 282–306.
- Rushing EJ, Bouffard JP, McCall S, Olsen C, Mena H, Sandberg GD, et al. Primary extracranial meningiomas: an analysis of 146 cases. Head Neck Pathol. 2009 ; 3: 116-130.
- Louis DN, Ohgaki H, Wiestler OD, Cavenee WK. World Health Organization classification of tumours of the central nervous system. 4th ed. Lyon: IARC Press; 2007.
- Kumar S, Hasija S, Goyal R, Kataria SP, Sen R, Wadhera R. Ectopic par pharyngeal Meningioma: diagnosis of a rare entity on FNAC. J Surg Case Rep. 2012; 12.
- Shetty C, Avinash KR, Auluck A, Mupparapu M. Extracranial meningioma of the parapharyngeal space: report of a case and review of the literature. Dentomaxillofacial Radiology. J Surg Case Rep. 2007; 36: 117–120.
- Orell RS, Klijanienko J. Head and neck; salivary glands. In: Orell RS, Sterrett GF, editors. Orrell and Sterrett’s fine needle aspiration cytology. J Oral Maxillofac Pathol. 2015; 19: 106.






