Symptomatic Congenital Cytomegalovirus Infection: Three Years MRI and Clinical Follow Up
- 1. Department of Pediatrics, Zadar General Hospital, Croatia
- 2. Department of Pediatrics, Zadar General Hospital, Croatia
- 3. Department of Radiology, Zadar General Hospital, Croatia
Abstract
Congenital cytomegalovirus infection affects about 1% of the live-born infants. Around 10% of children with congenital infection at birth have apparent disease, being symptomatic. The most common and prognostically unfavourable clinical sign is microcephaly, reflects disturbed brain development. We present brain magnetic resonance imaging findings of the girl performed at the age of 7 days, 12 months, and 2.5 years. MRI follow-up images showed that cortical dysgenesis (pachygyria) remained unchanged, whereas white matter abnormalities evolved over the years. From the beginning she had delayed motor milestones, sensorineural deafness on the left side and poor social contact. At the age of 3 years she showed severe neuromotor dysfunction, predictive of bilateral spastic palsy and severe mental impairment, absent language development, marked microcephaly, but no epilepsy so far. The aim of this study was to correlate brain structural abnormalities as visualized by serial MRI with neurodevelopmental outcome in child with symptomatic congenital CMV infection and try to connect onset of infection with the severity of structural abnormalities and neurodevelopmental outcome.
Keywords
• Congenital cytomegalovirus infection
• Microcephaly
• Magnetic resonance imaging
• Pachygyria
• Periventricular leukoencephalopathy
• Severe neurodevelopmental dysfunction
Citation
Delin S, ?uranovi? V, ?akovi? I, Harapin M (2016) Symptomatic Congenital Cytomegalovirus Infection: Three Years MRI and Clinical Follow Up. Ann Clin Cytol Pathol 2(5): 1035.
ABBREVIATIONS
CMV: Cytomegalovirus Infection; MRI: Magnetic Resonance Imaging; FLAIR: Fluid Attenuated Inversion Recovery; DNA -PCR: DNA- Polymerase Chain Reaction; EEG: Electroencephalography; NPC: Neuronal Progenitor Cells; CNS: Central Nervous System
INTRODUCTION
Congenital cytomegalovirus infection affects about 1% of the live-born infants [1]. Around 10% of children with congenital infection at birth have apparent disease being symptomatic [1,2]. The most common and prognostically unfavourable clinical sign in children with congenital CMV infection is microcephaly, reflecting disturbed brain development [3]. Structural abnormalities of the CNS are related to the timing of affected neurogenetic processes. Early-onset infection occurring before 16 to 18 weeks of gestation causes severe disorder of neuronal proliferation and migration i.e. lissencephaly, shizencephaly, cerebellar hypoplasia, and calcification. Infection between 18 and 24 weeks causes less severe cortical dysplasia, i.e. pachy/polymycrogyria [1,4,5]. Late onset CMV infection in the third trimester affects the development of cerebral white matter, various type and severity i.e. leukoencephalopathies with multifocal white matter lesions/ temporal cysts, delayed myelination, and callosal hypoplasia [4]. The timing of intrauterine infection predicts the outcome [3,4]. Early-onset abnormalities predict poor prognosis. Late-onset abnormalities have variable neurodevelopmental outcomes [4,5]. All these brain structural abnormalities could be readily visualized by MRI [3,6].The risk of fetal infection and sequelae is greatest after primary maternal CMV infection. Primary maternal CMV infection results in transmission in 30 to 50% of cases, whereas in women with pre-existing immunity varies from 3.4 to 5% [2]. It is estimated that only 40 to 60% of women of childbearing age are CMV-seropositive [1]. Seroprevalence is much higher in disadvantage ethnic minorities and persons of low social economic status, over 70% is considered to be high [2]. Congenital CMV infection is the most common infective cause of neurodevelopmental disorders, as well as brain malformations [2,3,7]. Symptomatic neonates are at high risk of permanent neurological sequelae: the most prominent are sensorineural hearing loss (60%); severe motor deficiency including cerebral palsy [8], choreoretinitis with visual problems and epilepsy [9]. The aim of this study was to correlate brain structural abnormalities as visualized by serial MRI with neurodevelopmental outcome in child with symptomatic congenital CMV infection and try to connect onset of infection with the severity of structural abnormalities and neurodevelopmental outcome.
CASE PRESENTATION
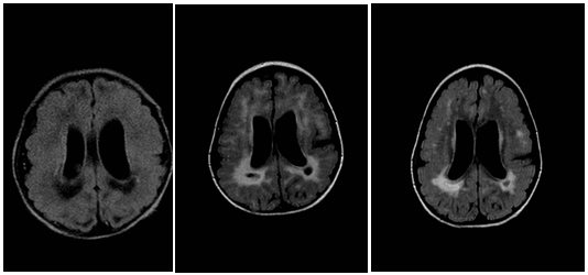
We presented first and term born girl in 37th week of gestation, to young, 17-year-old mother, of low social economic status. The girl was admitted to the neonatal unit because of microcephaly and intrauterine growth retardation. Brain MRI (1.5 Tesla) was performed at age 7 days and showed bilateral frontal and temporal pachygyria (including insula), low white matter signal intensity of periventricular leukoencephalopathy on T1weighted images, dilated lateral ventricles especially occipitally and temporal horns, bilateral intraparenchymal calcifications, hypoplastic corpus callosum, periventricular pseudocysts adjacent to the trigonum of the lateral ventricle and pseudocystic changes of the apical parts of the temporal lobes (Figure 1A, Figure 2A, Figure 3A).
Figure 1: Brain MRI scans:
A: Age 7 days: Axial T1 weighted image: dilated lateral ventricles especially occipital horns, left frontal and right occipital ventricular septation, periventricular calcifications, decreased white matter signal intensity in neonatal age, and cortical dysplasia in terms of frontal and temporal bilateral pachygyria.
B: Age 12 months: Axial T2 Flair image at the same level: still large occipital horns without septation, increased white matter signal intensity of periventricular leukoencephalopathy, frontal and temporal pachygyria.
C: Age 2,5 years: Axial T2 Flair image: mild periventricular leukoencephalopathy, still mildly dilated occipital horns, frontal and temporal bilateral pachygyria.
Figure 2: A: age 7 days; B: age 12 months; C: age 2,5 years
Brain MRI (1,5 Tesla). Axial T2 Flair sequences at the same level through the lateral ventricles: periventricular leukoencephalopathy with periventricular pseudocysts next to trigonum of the lateral ventricles-evolution over the time.
Figure 3: A: age 7 days ; B: age 12 months ; C: age 2,5 years
Brain MRI (1,5 Tesla). Axial T2 Flair sequences show pseudocystic changes of the apical parts of the temporal lobes- evolution over the time.
Congenital cytomegalovirus infection was confirmed by specific serology and cytomegalovirus DNA polymerase chain reaction in blood and urine sample taken on the fifth day. In the mother’s blood were detected CMV-IgG antibodies of high avidity. The girl received intravenous treatment with gancyclovir during the 3-week period, subsequent with valgancyclovir liquid next three weeks. Control blood CMV-DNA PCR was negative, but five months later repeated viremia with 190 DNA copies/ ml, and viruria with 576 002 DNA copies/ml, was detected. She received one more, 6-week cycle of valgancyclovir therapy. Afterwards, repeated blood polymerase chain reaction tests were continuously negative. From the beginning the clinical course showed delayed motor milestones, she had sensorineural deafness on the left side and poor social contact, she was unable to sit without support until the age of 2.5 years. There were no seizures and the EEG was normal. Chorioretinitis wasn’t found. From early infancy she underwent continuous multidisciplinary habilitation including physical, visual, speech and language therapy. Neurodevelopmental outcome at the age of 3 years showed severe neuromotor dysfunction, predictive of bilateral spastic palsy and severe mental impairment, absent language development, marked microcephaly, but no epilepsy so far. We evaluated hearing status using brainstem-evoked reponses after ganciklovir therapy in the neonatal period. She maintained normal hearing on the right side, but severe sensoneuronal hearing loss on the left side remained. At the age of 1year, control brain MRI (1.5 Tesla) was performed and showed reduced volume of periventricular white matter, still mildly dilated lateral ventricles, more developed corpus callosum, patchy periventricular gliosis occipitally with pseudocystic changes (Figure 2B) and bilateral frontal and temporal pachygyria (Figure 1B). Additional brain MRI (1.5 Tesla) was performed at the age of 2,5 years and revealed only mildly dilated occipital, and temporal horns, normal corpus callosum, minimal occipital and left temporal periventricular gliosis, less prominent pseudocystic changes (Figure 2C, Figure 3C), frontal and temporal bilateral pachygyria (Figure 1C). MRI at the age of 2.5 years showed unchanged periventricular calcifications (like on the Figure 1A).
DISCUSSION
The type and severity of the lesion of congenital cytomegalovirus infection on the developing brain depends on the neurogenetic processes of the central nervous system at the time of fetal infection [10,11]. Infection in early pregnancy results in severe neurological sequelae, while later infection has less prominent signs. Pathogenesis of brain damage is debated. One of possible pathogenetic mechanism of brain injury in congenital CMV infection is mediated by vasculitis (placental, striatal, periventricular) with consequent ischemia, necrotic inflammation, gliosis, and calcification [4]. Some studies suggest that the main reason would be direct viral inhibition of proliferation and differentiation of the neural progenitor cells to neuronal and glial cells in addition to induction of neuronal cell loss by apoptosis [12]. Human neural progenitor cells (NPC) and their derivatives, glial and neuronal cells are fully permissive for human CMV infection [13]. All cell types showed expression of viral genes and established the viral replication. While NPC and astroglia soon went to apoptosis, some neurons showed long-term survival during which they released small quantities of virus. Lytic necrotic infection of NPC causes loss of all cell types, mostly affecting astroglia thus disturbing appropriate cortical organization [12]. These processes result in severe brain malformation in early pregnancy. Persistent neuronal infection presumably causes brain dysfunctions and also serves as viral reservoir [12,13]. This can explain evaluative structural abnormalities in brain caused by CMV infection. However as early infection lasts during pregnancy it is possible that in the same child exist various types of cortical malformation and leukoencephalopathy. Immune inflammatory response to CMV in the infected brain is also considered [9]. Radiological findings show connection between onset of infection and brain imaging [14]. According to MRI results we assume that our patient with bilateral frontal pahygiria, ventriculomegaly with ventricular septation, dilated temporal horns, especially enlarged occipital horns, had an early onset of infection. Developmental outcome was poor. Gomes et al. described non progressive leukoencephalopathy with bilateral temporal cysts in congenital cytomegalovirus infection [15]. Van der Knaap described static encephalopathy predominantly involving the deep parietal white matter [14]. In our patient repeated brain MRI showed mild regression of leukoencephalopathy at age 2.5 years, suggesting that myelination improved. As we previously reported by Krakar et al., the leukoencephalopathy in congenital cytomegalovirus infection is not only nonprogressive or static but even evaluative and suggests both underlying disruption and delay of myelination [16]. Antiviral treatment in our patient should also be considered. However, there is no study dealing with effect of antiviral drugs on brain structural changes, particularly leukoencephalopathies.
REFERENCES
- Mejaski-Bosnjak V. Congenital CMV infection: a common cause of childhood disability. Dev Med Child Neurol. 2008; 50: 403.
- Jones CA. Congenital cytomegalovirus infection. Curr Probl Pediatr Adolesc Health Care. 2003; 33: 70-93.
- Steinlin MI, Nadal D, Eich GF, Martin E, Boltshauser EJ. Late intrauterine Cytomegalovirus infection: clinical and neuroimaging findings. Pediatr Neurol. 1996; 15: 249-253.
- Barkovich AJ, Lindan CE. Congenital cytomegalovirus infection of the brain: imaging analysis and embryologic considerations. AJNR Am J Neuroradiol. 1994; 15: 703-715.
- Cheeran MC, Lokensgard JR, Schleiss MR. Neuropathogenesis of congenital cytomegalovirus infection: disease mechanisms and prospects for intervention. Clin Microbiol Rev. 2009; 22: 99-126.
- Manara R, Balao L, Baracchini C, Drigo P, D'Elia R, Ruga EM. Brain magnetic resonance findings in symptomatic congenital cytomegalovirus infection. Pediatr Radiol. 2011; 41: 962-970.
- Smithers-Sheedy H, Raynes-Greenow C, Badawi N, Jones CA. Neuroimaging Findings in a Series of Children with Cerebral palsy and Congenital Cytomegalovirus infection. Infect Disord Drug Targets. 2014; 14: 185-190.
- Dakovic I, da Graça Andrada M, Folha T, Neubauer D, Hollody K, Honold M, et al. Clinical features of cerebral palsy in children with symptomatic congenital cytomegalovirus infection. Eur J Paediatr Neurol. 2014; 18: 618-623.
- Bosnjak VM, Dakovi? I, Duranovi? V, Luji? L, Krakar G, Marn B. Malformations of cortical development in children with congenital cytomegalovirus infection - A study of nine children with proven congenital cytomegalovirus infection. Coll Antropol. 2011; 35 Suppl 1: 229-234.
- Lanari M, Capretti MG, Lazzarotto T, Gabrielli L, Rizzollo S, Mostert M , et al. Neuroimaging in CMV congenital infected neonates: how and when. Early Hum Dev. 2012; 88 Suppl 2: S3-S5.
- Tsutsui Y. Effects of cytomegalovirus infection on embryogenesis and brain development. Congenit Anom (Kyoto). 2009; 47-55.
- Odeberg J, Wolmer N, Falci S, Westgren M, Seiger A, Söderberg-Nauclér C. Human cytomegalovirus inhibits neuronal differentiation and induces apoptosis in human neural precursor cells. J Virol. 2006; 80: 8929-8939.
- Luo MH, Hannemann H, Kulkarni AS, Schwartz PH, O'Dowd JM, Fortunato EA. Human cytomegalovirus infection causes premature and abnormal differentiation of human neural progenitor cells. J Virol. 2010; 84: 3528-3541.
- van der Knaap MS, Vermeulen G, Barkhof F, Hart AA, Loeber JG, Weel JF. Pattern of white matter abnormalities at MR imaging: use of polymerase chain reaction testing of Guthrie cards to link pattern with congenital cytomegalovirus infection. Radiology. 2004; 230: 529-536.
- Gomes AL, Vieira JP, Saldanha J. Non-progressive leukoencephalopathy with bilateral temporal cysts. Eur J Paediatr Neurol. 2001; 5: 121-125.
- Krakar G, ?akovi? I, Delin S, Bošnjak VM. Evolutive leukoencephalopathy in congenital cytomegalovirus infection. J Child Neurol. 2015; 30: 93-95.


