Loading

Annals of Clinical Pathology

A Case of Squamous Cell Carcinoma with Adjacent Bronchopulmonary Cavitary Lesions: A Case Report and Literature Review

Case Report | Open Access | Volume 11 | Issue 1

  • 1. Department of Respiratory Medicine, the First Hospital of Jilin University, China
+ Show More - Show Less
Corresponding Authors
Yuanping Huang, Department of Respiratory Medicine, the First Hospital of Jilin University, Changchun, 130021, China
Abstract

Lung cancer accounts for 12% of all new cancer cases, 21% of all cancer deaths, and stands as the leading cause of death nationwide.

CITATION

Huang Y, Zhao Y (2024) A Case of Squamous Cell Carcinoma with Adjacent Bronchopulmonary Cavitary Lesions: A Case Report and Literature Review. Ann Clin Pathol 11(1): 1167.

INTRODUCTION

Lung cancer accounts for 12% of all new cancer cases, 21% of all cancer deaths, and stands as the leading cause of death nationwide [1]. Lung cavitation is generally defined as lung consolidation, mass, or node containing gas cavities in the lung. Cavitated lung lesions are uncommon on chest computed tomography scans. Cavitation is more common in infectious lung diseases such as pneumonia caused by Streptococcus pneumoniae, Staphylococcus aureus, Haemophilus influenzae, Klebsiella pneumoniae, Mycobacterium tuberculosis (MTB), and invasive pulmonary aspergillosis. Other uncommon lung diseases like granulomatosis with polyangiitis (GPA), septic embolism, and rheumatoid nodules also necessitate vigilance in a differential diagnosis. Lung cancer with a solitary pulmonary cavity pattern is found in about 8% of all lung cancers and may pose a significant challenge for clinicians and radiologists [2]. Carcinomatous cavitation is a common cause of lung cavities, with the formation of lung cavities being most common in lung squamous cell carcinoma (SCC), often indicating a poor prognosis [3]. In a survey of 102 patients with lung cavities [4], 28 patients (27.4%) had cavitary lung cancer. Among these, 20 cases had secondary lung cancer (19.6%), and 8 cases were lung SCC (7.8%). Other causes of lung cavities include MTB infection, aspergillosis, and lung abscess. Pulmonary amyloidosis, eosinophilic GPA, sarcoidosis, and systemic lupus erythematosus rarely cause pulmonary cavities [5]. Here, we present a 77-year-old man with SCC and an adjacent bronchopulmonary cavity.

CASE PRESENTATION

A 77-year-old man presented with a 2-month history of cough, expectoration, right-sided chest pain, and dyspnea. He was admitted with a fever and hemoptysis for the last 3 days. On physical examination, his temperature was 36.6°C, heart rate 86 beats/min respiratory rate 20 breaths/min, and blood pressure 120/76 mmHg. No jugular vein irritability was observed. The chest appeared symmetrical; however, weak breath sounds were noted in the right lung, no rales was heard. The patient had a previous history of untreated diabetes mellitus and a heavy smoking history of 30 pack-years. There was no history of tuberculosis or drug use, and no family history of cancer. The patient reported a weight loss of approximately 5 kg within the last 3 months.

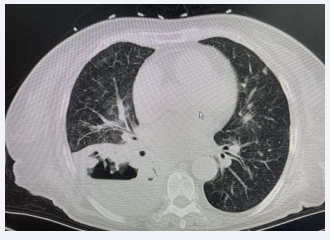
Laboratory tests revealed a white blood cell count of 12*109 /L, with a neutrophil percentage of 76%, and an elevated C-reactive protein level of 232 mg/L. The lung cancer marker cytokeratin 19 fragment (CYPRA21-1) was elevated at 6.44 ng/L (normal range 0–3.3 ng/ml). Sputum cultures and blood cultures yielded negative results for pathogenic microorganisms. CT scan of the chest revealed bronchial wall thickness in the upper and middle lobes of the right lung, along with bronchial changes in the middle and lower lobes of the right lung. Inflammation was observed in both lungs, particularly in the significant lower lobe of the right lung, featuring a combined lung abscess. Enlarged right hilar and mediastinal lymph nodes, as well as right-sided pleural effusion, were evident (Figure 1).

 Lung CT imaging (soft tissue window).

Figure 1: Lung CT imaging (soft tissue window).

Bronchoscopic examination revealed significant thickening of the right middle and lower lobar bronchus, marked stenosis of the bronchial origin of the right middle lobe. Additionally, the opening of the bronchus in the lower lobe of the right lung remained open, and necrotic granulation tissue was visible, including a large cavity with obvious necrotic lung tissue surrounded by brown necrotic materials (Figure 2).

Bronchoscopy findings.

Figure 2: Bronchoscopy findings.

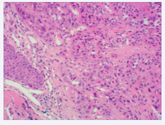
Biopsies were obtained during bronchoscopy at the opening of the middle and lower lobes, and bronchoalveolar lavage was performed on the lower lobe of the right lung. The culture and cytology of the bronchoalveolar lavage fluid were negative. A set of biopsy specimens, stained with hematoxylin and eosin (HE), indicated SCC in the right middle lobe and an inflammatory response in the lower lobe of the right lung (Figures 3,4).

 HE staining of the tissue obtained from the right middle lobe  of the right lung (×100).

Figure 3: HE staining of the tissue obtained from the right middle lobe of the right lung (×100).

HE staining of the tissue showing inframammary response  (×100).

Figure 4: HE staining of the tissue showing inframammary response (×100).

CT scans of the head and abdomen showed no significant abnormalities. Based on these findings, the patient was diagnosed with lung SCC (T2N2Mx), and the etiology of the lung cavity could not be determined. The patient did not qualify for surgery or immunotherapy. Unfortunately, systemic chemotherapy could not be administered due to a poor performance status (PS = 4) and renal insufficiency. Subsequently, hospice palliative care was administered afterward.

DISCUSSION

The pathological mechanisms of lung cavities are complex, involving purulent necrosis, caseous necrosis, ischemic necrosis, cystic expansion of lung structure, or lung tissue displacement caused by cystic structures. These mechanisms can result from various causes, including tumors, infectious diseases (such as MTB, lung abscess, aspergillosis), rheumatic diseases (such as Wegener granulomatosis), pulmonary embolism, and bronchiolitis obliterans [6]. Therefore, a thorough differential diagnosis of the pathological process and etiology of lung cavities is crucial to guide treatment decisions.

In this paper, we present a case of chest pain, hemoptysis, and fever initially diagnosed as a lung abscess. However, subsequent bronchoscopy confirmed SCC in the right middle lobe of the lung and cavitary lesions in the right lower lobe. It is noteworthy that there are few published reports on unique nonmalignant endobronchial lung spaces complicated with lung cancer. The diagnosis of this case was challenging, and the exact etiology of the pulmonary cavity could not be determined. Although not confirmed, we believe that the most likely etiology is malignancy or MTB, aspergillosis or bacterial infection.

Pulmonary cavities with a malignant etiology typically progress in three ways: (1) Swelling may lead to tumor rupture, causing cavitary necrosis. (2) Infection or rupture of the lung parenchyma distal to the tumor. (3) Secondary cancerous abscess produced by a bronchial embolus carrying microorganisms. There is evidence suggesting that the majority of empty lung cancers are of squamous cell origin. Due to the similarity of symptoms between empty lung cancer and other chronic respiratory tract diseases, diagnosing primary lung cancer in the early stage is challenging [7]. Patients with cavitary SCC (cSLC) may initially present with clinical manifestations of infection, leading to potential misdiagnosis. Therefore, we recommend maintaining vigilance for the possibility of malignancy in patients with lung cavities.

MTB infection is more likely to lead to cavity formation as it provides opportunities for organisms to reproduce. Additionally, patients with malignancy face a significantly increased risk of active MTB [8]. In a study of patients undergoing nonsmall cell lung cancer resection, concurrent MTB infection was found in 17 (1.3%) patients; 11 had SCC and 6 had adenocarcinoma [9]. Patients with lung cancer and active tuberculosis typically present characteristic clinical symptoms, including fever, fatigue, dyspnea, and hemoptysis. Bacteriologic analysis of the patient’s sputum and bronchoalveolar lavage fluid suggested negativity for MTB. However, due to the slow growth rate of MTB, even if tuberculosis culture is negative, it may not completely exclude the possibility of MTB infection.

Patients with lung cancer often exhibit immunodeficiency, increasing their susceptibility to fungal infections. Aspergillosis represents an uncommon pulmonary disease, encompassing invasive pulmonary aspergillosis, chronic necrotizing aspergillosis, and allergic bronchopulmonary aspergillosis. Some studies [10,11] have reported the coexistence of aspergillosis and lung cancer in immunocompromized patients who received high-dose chemotherapy. Distinguishing between malignant cavitary lesions and aspergillus is challenging due to overlapping chest CT findings. In this case, bacteriological analyses of sputum, bronchoalveolar lavage fluid, and tissue biopsies were negative for aspergillosis.

Patients with tumors are more prone to bacterial infections due to factors such as tumor obstruction, disruption of natural anatomical barriers (skin or mucosa), and treatment-related interventions (chemotherapy, radiotherapy, invasive tests, surgery). Obstructive pneumonia is common in lung cancer patients, with approximately 40%–50% initially presenting with obstructive pneumonia. Furthermore, around 10%–15% of obstructive pneumonia cases progress to serious complications such as lung abscess [12]. CT examinations often face challenges in distinguishing between lung abscesses and lung cavities with malignant etiology, potentially leading to misdiagnoses of adenocarcinoma as lung abscess in clinical practice. In the presented case, bacteriological analyses of sputum and bronchoalveolar lavage fluid were negative for bacterial infections. However, the inflammatory reaction observed in the bronchus of the lower lobe suggests that the lung cavity in this patient may be attributed to a lung abscess.

The clinical manifestations of cavitary lung disease are nonspecific and mainly include dyspnea, cough, hemoptysis, chest pain, and fever. Accurate diagnosis of lesions in the early stage of the tumor is crucial for patient prognosis. Chest X-ray and CT are often employed for detecting lung disease, with CT being particularly valuable for diagnosing cavitary lesions. The morphology, location, distribution, and other imaging findings of the cavity can provide indications of the underlying disease [13]. Specifically, distinguishing between malignant and nonmalignant etiology is pivotal in the diagnosis of cavitary lung disease.

Some evidence suggests that under CT, lung cancer-associated lung cavitary lesions typically exhibit a wall thickness greater than 4 mm, whereas the wall thickness of benign lesions such as cysts may be less than 4 mm [14]. However, caution should be taken in relying solely on wall thickness to differentiate the etiology of pulmonary cavities, as the wall thickness between malignant lung cavities and those associated with aspergillus and infectious etiologies can overlap. Therefore, a comprehensive approach involving pathological and microbiologic analyses is recommended for diagnosing lesions associated with lung cavities and guiding treatment decisions.

Due to the lack of specificity in the clinical manifestations of cavitary lung cancer and the subjective nature of CT scan interpretation, early misdiagnosis of cavitary lung cancer may occur. Distinguishing the etiology is crucial as it guides treatment and prognosis. In this case, the patient was diagnosed with lung SCC of the right middle lobe and cavitary changes in the lower lobe of the right lung. Sputum and bronchoalveolar lavage cultures, as well as exfoliated cells, were negative, with no MTB infection detected. Considering the combination of lung cavitation and inflammation with the patient’s symptoms and auxiliary examinations is essential. As tumors growing adjacent to the trachea, exhibit less common cavitary changes, clinicians should remain vigilant in recognizing such rare cases to avoid misdiagnosis and delayed treatment.

REFERENCES
  1. Siegel RL, Miller KD, Wagle NS, Jemal A. Cancer statistics, 2023. CA Cancer J Clin. 2023; 73: 17-48.
  2. Parkar AP, Kandiah P. Differential Diagnosis of Cavitary Lung Lesions. J Belg Soc Radiol. 2016; 100: 100.
  3. Gafoor K, Patel S, Girvin F, Gupta N, Naidich D, Machnicki S, et al. Cavitary Lung Diseases: A Clinical-Radiologic Algorithmic Approach. Chest. 2018; 153: 1443-1465.
  4. Giacomelli IL, Barros M, Pacini GS, Altmayer S, Zanon M, Dias AB, et al. Multiple cavitary lung lesions on CT: imaging findings to differentiate between malignant and benign etiologies. J Bras Pneumol. 2019; 46: e20190024.
  5. Norman HE, Davis JM, Kadaria D. Difficult to Diagnose: An Unusual Cause of Cavitary Lung Lesion. Am J Case Rep. 2020; 21: e921274.
  6. Lal NR, Agarwal GR, Boruah DK. Role of Multidetector Computed Tomography in Differentiation of Benign and Malignant Cavitary Lung Lesions With a Histopathological Correlation: A Retrospective Cross-Sectional Study. Cureus. 2023; 15: e43005.
  7. Peter M Ellis, Rachel Vandermeer. Delays in the diagnosis of lung cancer. Journal of Thoracic Disease. 2011; 3: 183-8.
  8. Dobler CC, Cheung K, Nguyen J, Martin A. Risk of tuberculosis in patients with   solid   cancers   and   haematological   malignancies: a systematic review and meta-analysis. Eur Respir J. 2017; 50: 1700157.
  9. Evman S, Baysungur V, Alpay L, Uskul B, Misirlioglu AK, Kanbur S, Dogruyol T. Management and Surgical Outcomes of Concurrent Tuberculosis and Lung Cancer. Thorac Cardiovasc Surg. 2017; 65: 542-545.
  10. Jiang S, Jiang L, Shan F, Zhang X, Song M. Two cases of endobronchial aspergilloma with lung cancer: a review the literature of endobronchial aspergilloma with underlying malignant lesions of the lung. Int J Clin Exp Med. 2015; 8: 17015-21.
  11. Dos Santos VM, da Trindade MC, de Souza DW, de Menezes AI, Oguma PM, Nascimento AL. A 76-year-old man with a right lung adenocarcinoma and invasive Aspergillosis. Mycopathologia. 2013; 176: 113-8.
  12. Rolston KV. Infections in Cancer Patients with Solid Tumors: A Review. Infect Dis Ther. 2017; 6: 69-83.
  13. Xue XY, Liu YX, Wang KF, Zang XF, Sun JP, Zhang MY, et al. Computed tomography for the diagnosis of solitary thin-walled cavity lung cancer. Clin Respir J. 2015; 9: 392-8.
  14. Ryu JH, Swensen SJ. Cystic and cavitary lung diseases: focal and diffuse. Mayo Clin Proc. 2003; 78: 744-52.

Huang Y, Zhao Y (2024) A Case of Squamous Cell Carcinoma with Adjacent Bronchopulmonary Cavitary Lesions: A Case Report and Literature Review. Ann Clin Pathol 11(1): 1167.

Received : 11 Dec 2023
Accepted : 28 Feb 2024
Published : 29 Feb 2024
Journals
Annals of Otolaryngology and Rhinology
ISSN : 2379-948X
Launched : 2014
JSM Schizophrenia
Launched : 2016
Journal of Nausea
Launched : 2020
JSM Internal Medicine
Launched : 2016
JSM Hepatitis
Launched : 2016
JSM Oro Facial Surgeries
ISSN : 2578-3211
Launched : 2016
Journal of Human Nutrition and Food Science
ISSN : 2333-6706
Launched : 2013
JSM Regenerative Medicine and Bioengineering
ISSN : 2379-0490
Launched : 2013
JSM Spine
ISSN : 2578-3181
Launched : 2016
Archives of Palliative Care
ISSN : 2573-1165
Launched : 2016
JSM Nutritional Disorders
ISSN : 2578-3203
Launched : 2017
Annals of Neurodegenerative Disorders
ISSN : 2476-2032
Launched : 2016
Journal of Fever
ISSN : 2641-7782
Launched : 2017
JSM Bone Marrow Research
ISSN : 2578-3351
Launched : 2016
JSM Mathematics and Statistics
ISSN : 2578-3173
Launched : 2014
Journal of Autoimmunity and Research
ISSN : 2573-1173
Launched : 2014
JSM Arthritis
ISSN : 2475-9155
Launched : 2016
JSM Head and Neck Cancer-Cases and Reviews
ISSN : 2573-1610
Launched : 2016
JSM General Surgery Cases and Images
ISSN : 2573-1564
Launched : 2016
JSM Anatomy and Physiology
ISSN : 2573-1262
Launched : 2016
JSM Dental Surgery
ISSN : 2573-1548
Launched : 2016
Annals of Emergency Surgery
ISSN : 2573-1017
Launched : 2016
Annals of Mens Health and Wellness
ISSN : 2641-7707
Launched : 2017
Journal of Preventive Medicine and Health Care
ISSN : 2576-0084
Launched : 2018
Journal of Chronic Diseases and Management
ISSN : 2573-1300
Launched : 2016
Annals of Vaccines and Immunization
ISSN : 2378-9379
Launched : 2014
JSM Heart Surgery Cases and Images
ISSN : 2578-3157
Launched : 2016
Annals of Reproductive Medicine and Treatment
ISSN : 2573-1092
Launched : 2016
JSM Brain Science
ISSN : 2573-1289
Launched : 2016
JSM Biomarkers
ISSN : 2578-3815
Launched : 2014
JSM Biology
ISSN : 2475-9392
Launched : 2016
Archives of Stem Cell and Research
ISSN : 2578-3580
Launched : 2014
Annals of Clinical and Medical Microbiology
ISSN : 2578-3629
Launched : 2014
JSM Pediatric Surgery
ISSN : 2578-3149
Launched : 2017
Journal of Memory Disorder and Rehabilitation
ISSN : 2578-319X
Launched : 2016
JSM Tropical Medicine and Research
ISSN : 2578-3165
Launched : 2016
JSM Head and Face Medicine
ISSN : 2578-3793
Launched : 2016
JSM Cardiothoracic Surgery
ISSN : 2573-1297
Launched : 2016
JSM Bone and Joint Diseases
ISSN : 2578-3351
Launched : 2017
JSM Bioavailability and Bioequivalence
ISSN : 2641-7812
Launched : 2017
JSM Atherosclerosis
ISSN : 2573-1270
Launched : 2016
Journal of Genitourinary Disorders
ISSN : 2641-7790
Launched : 2017
Journal of Fractures and Sprains
ISSN : 2578-3831
Launched : 2016
Journal of Autism and Epilepsy
ISSN : 2641-7774
Launched : 2016
Annals of Marine Biology and Research
ISSN : 2573-105X
Launched : 2014
JSM Health Education & Primary Health Care
ISSN : 2578-3777
Launched : 2016
JSM Communication Disorders
ISSN : 2578-3807
Launched : 2016
Annals of Musculoskeletal Disorders
ISSN : 2578-3599
Launched : 2016
Annals of Virology and Research
ISSN : 2573-1122
Launched : 2014
JSM Renal Medicine
ISSN : 2573-1637
Launched : 2016
Journal of Muscle Health
ISSN : 2578-3823
Launched : 2016
JSM Genetics and Genomics
ISSN : 2334-1823
Launched : 2013
JSM Anxiety and Depression
ISSN : 2475-9139
Launched : 2016
Clinical Journal of Heart Diseases
ISSN : 2641-7766
Launched : 2016
Annals of Medicinal Chemistry and Research
ISSN : 2378-9336
Launched : 2014
JSM Pain and Management
ISSN : 2578-3378
Launched : 2016
JSM Women's Health
ISSN : 2578-3696
Launched : 2016
Clinical Research in HIV or AIDS
ISSN : 2374-0094
Launched : 2013
Journal of Endocrinology, Diabetes and Obesity
ISSN : 2333-6692
Launched : 2013
Journal of Substance Abuse and Alcoholism
ISSN : 2373-9363
Launched : 2013
JSM Neurosurgery and Spine
ISSN : 2373-9479
Launched : 2013
Journal of Liver and Clinical Research
ISSN : 2379-0830
Launched : 2014
Journal of Drug Design and Research
ISSN : 2379-089X
Launched : 2014
JSM Clinical Oncology and Research
ISSN : 2373-938X
Launched : 2013
JSM Bioinformatics, Genomics and Proteomics
ISSN : 2576-1102
Launched : 2014
JSM Chemistry
ISSN : 2334-1831
Launched : 2013
Journal of Trauma and Care
ISSN : 2573-1246
Launched : 2014
JSM Surgical Oncology and Research
ISSN : 2578-3688
Launched : 2016
Annals of Food Processing and Preservation
ISSN : 2573-1033
Launched : 2016
Journal of Radiology and Radiation Therapy
ISSN : 2333-7095
Launched : 2013
JSM Physical Medicine and Rehabilitation
ISSN : 2578-3572
Launched : 2016
Annals of Cardiovascular Diseases
ISSN : 2641-7731
Launched : 2016
Journal of Behavior
ISSN : 2576-0076
Launched : 2016
Annals of Clinical and Experimental Metabolism
ISSN : 2572-2492
Launched : 2016
Clinical Research in Infectious Diseases
ISSN : 2379-0636
Launched : 2013
JSM Microbiology
ISSN : 2333-6455
Launched : 2013
Journal of Urology and Research
ISSN : 2379-951X
Launched : 2014
Journal of Family Medicine and Community Health
ISSN : 2379-0547
Launched : 2013
Annals of Pregnancy and Care
ISSN : 2578-336X
Launched : 2017
JSM Cell and Developmental Biology
ISSN : 2379-061X
Launched : 2013
Annals of Aquaculture and Research
ISSN : 2379-0881
Launched : 2014
Clinical Research in Pulmonology
ISSN : 2333-6625
Launched : 2013
Journal of Immunology and Clinical Research
ISSN : 2333-6714
Launched : 2013
Annals of Forensic Research and Analysis
ISSN : 2378-9476
Launched : 2014
JSM Biochemistry and Molecular Biology
ISSN : 2333-7109
Launched : 2013
Annals of Breast Cancer Research
ISSN : 2641-7685
Launched : 2016
Annals of Gerontology and Geriatric Research
ISSN : 2378-9409
Launched : 2014
Journal of Sleep Medicine and Disorders
ISSN : 2379-0822
Launched : 2014
JSM Burns and Trauma
ISSN : 2475-9406
Launched : 2016
Chemical Engineering and Process Techniques
ISSN : 2333-6633
Launched : 2013
Annals of Clinical Cytology and Pathology
ISSN : 2475-9430
Launched : 2014
JSM Allergy and Asthma
ISSN : 2573-1254
Launched : 2016
Journal of Neurological Disorders and Stroke
ISSN : 2334-2307
Launched : 2013
Annals of Sports Medicine and Research
ISSN : 2379-0571
Launched : 2014
JSM Sexual Medicine
ISSN : 2578-3718
Launched : 2016
Annals of Vascular Medicine and Research
ISSN : 2378-9344
Launched : 2014
JSM Biotechnology and Biomedical Engineering
ISSN : 2333-7117
Launched : 2013
Journal of Hematology and Transfusion
ISSN : 2333-6684
Launched : 2013
JSM Environmental Science and Ecology
ISSN : 2333-7141
Launched : 2013
Journal of Cardiology and Clinical Research
ISSN : 2333-6676
Launched : 2013
JSM Nanotechnology and Nanomedicine
ISSN : 2334-1815
Launched : 2013
Journal of Ear, Nose and Throat Disorders
ISSN : 2475-9473
Launched : 2016
JSM Ophthalmology
ISSN : 2333-6447
Launched : 2013
Journal of Pharmacology and Clinical Toxicology
ISSN : 2333-7079
Launched : 2013
Annals of Psychiatry and Mental Health
ISSN : 2374-0124
Launched : 2013
Medical Journal of Obstetrics and Gynecology
ISSN : 2333-6439
Launched : 2013
Annals of Pediatrics and Child Health
ISSN : 2373-9312
Launched : 2013
JSM Clinical Pharmaceutics
ISSN : 2379-9498
Launched : 2014
JSM Foot and Ankle
ISSN : 2475-9112
Launched : 2016
JSM Alzheimer's Disease and Related Dementia
ISSN : 2378-9565
Launched : 2014
Journal of Addiction Medicine and Therapy
ISSN : 2333-665X
Launched : 2013
Journal of Veterinary Medicine and Research
ISSN : 2378-931X
Launched : 2013
Annals of Public Health and Research
ISSN : 2378-9328
Launched : 2014
Annals of Orthopedics and Rheumatology
ISSN : 2373-9290
Launched : 2013
Journal of Clinical Nephrology and Research
ISSN : 2379-0652
Launched : 2014
Annals of Community Medicine and Practice
ISSN : 2475-9465
Launched : 2014
Annals of Biometrics and Biostatistics
ISSN : 2374-0116
Launched : 2013
JSM Clinical Case Reports
ISSN : 2373-9819
Launched : 2013
Journal of Cancer Biology and Research
ISSN : 2373-9436
Launched : 2013
Journal of Surgery and Transplantation Science
ISSN : 2379-0911
Launched : 2013
Journal of Dermatology and Clinical Research
ISSN : 2373-9371
Launched : 2013
JSM Gastroenterology and Hepatology
ISSN : 2373-9487
Launched : 2013
Annals of Nursing and Practice
ISSN : 2379-9501
Launched : 2014
JSM Dentistry
ISSN : 2333-7133
Launched : 2013
Author Information X