A Giant Immature Teratoma of the Ovary in 18-Years Old Girl (A Case Report with Uncommon Presentation and Review of the Literature)
- 1. Department of Pathology, American University of the Caribbean, 1University Drive at Jordan Road Cupecoy, USA
- 2. Department of Pathology, American University of the Caribbean, 1University Drive at Jordan Road Cupecoy, USA
- 3. Department of Pathology, American University of the Caribbean, 1University Drive at Jordan Road Cupecoy, USA
- 4. Department of Pathology, American University of the Caribbean, 1 University Drive at Jordan Road Cupecoy, USA
ABSTRACT
Teratoma is a tumor usually seen in children and adolescents and is composed of a mixture of embryonal and adult tissues derived from all three germ layers: ectoderm, mesoderm, and endoderm. According to the current WHO grading system classification of the tumor consists of mature/benign and immature/malignant, depending on the presence and abundance of immature component [1,2,11,12].
The size and stage correlate to the survival. The microscopic grade of the primary tumor best determines the likelihood of extra-ovarian spread and the grade of the metastases correlate best with the subsequent course. Indeed, a thorough tumor sampling is necessary for accurate grading. Here we report a case of high-grade immature teratoma in an 18-year-old girl.
KEYWORDS
Immature teratoma, Ovary, Malignant, Retroperitoneal
CITATION
Dervishi M, Mohamad A, Fonseca C, Heidenreich A (2018) A Giant Immature Teratoma of the Ovary in 18-Years Old Girl (A Case Report with Uncommon Presentation and Review of the Literature). Ann Clin Pathol 6(3): 1139.
ABBREVIATIONS
WHO: World Health Organization
INTRODUCTION
A teratoma is a tumor with tissue or organ components resembling normal derivatives of all three germ layers. It is a common tumor, representing about 25% of all ovarian neoplasms. There is a broad age of distribution with a peak in reproductive years, and it usually involves the gonads or midline structures, but essentially can occur anywhere [1].
Division of teratomas consists of mature, and immature. Mature teratoma present as benign with a typical composition of various tissues/organ. Instead, immature teratoma mostly occurs in the first and second decades, and it is composed of immature, primitive components [1,3,4].
Immatureteratomas differ from mature cystic teratomasas they clinically demonstrate malignant patterns and are much less frequent (<1% of ovarian teratomas); It affects younger ages and is differentiated by the presence of immature or embryonic tissues [3,5,6]. They present larger compared to mature cystic teratomas and grossly may show with multiple cysts on the outer surface of the mass [6,7]. The lobules/cysts when dissected usually contain serous or mucinous fluid or fatty/greasy material [8].
Tumor grading, using the WHO system is based on the amount of immature tissue present; there are three different grades of immature teratoma. Grade 0, grade 1, grade 2, and grade 3 [11,12]. Another important clinical aspect taken into consideration are the four stages of cancer, indicating spread and cancer growth. Stage 1 signifies cancer is within the tissue of origin and stage 4, signifies cancer has metastasized to a different body organ [11,12]. Appropriate grading and staging of ovarian cancer have a pivotal role because they help the specialist to decide on the necessary line of treatment and prognosis of cancer [4,9,11,12].
This report describes an uncommon case of detected, large immature retroperitoneal teratoma.
CASE PRESENTATION
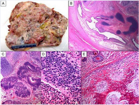
An 18 years old female presented with a painful abdominal mass. Ultrasonography and CT scan confirmed a left ovarian mass. A biopsy was performed, and histopathologically, the tumor was primarily composed of benign tissues, including skin and adnexa, gastrointestinal, pulmonary, bone, cartilage and neuroglial tissue. A tissue biopsy from the mass did not show evidence of immature component. To further classify the nature of the tumor and make a correct diagnosis, we requested additional tissue excision of the mass. Complete resection of the mass was performed, which measured 23 x 21 x 15 cm, revealing amultinodular nature with multiple cysts containing greasy material. No mature tissues or organs such as teeth, hair or bone were identified (Figure 1A).
Figure 1 Gross and microscopic findings of the excised mass. Photograph of the excised giant mass. Cut surface shows multilocular mixed solid and cystic mass, predominately cystic, containing greasy material. No mature tissues or organs such as teeth, hair or bone are identified (Figure 1, A). Photomicrograph (original magnification X20; H&E stain) shows mature elements (Figure 1, B). Photomicrograph (original magnification X40; H&E stain) shows immature elements in form of atypical neuroepithelial tissue (Figure 1, C). Photomicrograph (original magnification X60; H&E stain) High power shows malignant neuroepithelial cells with brisk mitosis (Figure 1, D). Photomicrograph (original magnification X60; H&E stain) shows malignant osteoid (Figure 1, E)
Initial microscopic examination of the completely resected mass revealed the same findings as seen in the original biopsy, no immature components (Figure 1B). However, the enormous size of the mass, multilobular appearance, and multiple cysts filled with lipid/greasy material are all features commonly seen in immature teratoma, indicating malignant nature [7]. In addition, at the time of surgery, the patient was found to have multiple peritoneal implants, and the tumor had extended to the pelvic wall.
As a result of all the latter features, further thorough sampling of the giant mass with additional multiple sections was performed. The final, thorough analysis, resulted in the identification of an immature component of the tumor, revealing multiple foci of malignant neuroepithelium with brisk mitotic activity (Figure 1 C,D). Immunohistochemistry studies revealed negative for AFB (Alpha-fetoprotein), HCG (Human chorionic gonadotropin), and PLAP (Placental alkaline phosphatase). DNA ploidy was 1.0 Diploid, and S-phase was 6.5%.
The malignant neuroepithelial element occupied more than three low magnification (40X) fields signifying a high grade (grade 3) immature teratoma. Furthermore, immature cartilage and bone tissues were also observed (Figure 1E). The final diagnosis was ovarian teratoma with immature malignant component grade 3. Following excision of the entire mass, the patient was treated with chemotherapy, including a regular follow up utilizing imaging studies. The tumor reoccurred 14 months after the gross surgical removal, and the patient expired 6 months following the recurrent tumor.
DISCUSSION
Teratoma is a rare germ cell tumor characterized by the presence of tissues derived from all three germ layers [1]. The prognosis for mature teratoma is excellent with complete surgical resection even if peritoneal implants are present [9]. However, the clinical outcome of immature teratoma is highly dependent upon the grade and the treatment. Studies have shown that higher grade correlates to a poorer prognosis of cancer [4,9,11,12]. As with every other gonadal germ cell tumor, immature teratoma can be diagnostically challenging for pathologists due to insufficient sampling of a large mass, and correct diagnosis has significant therapeutic and prognostic implications.
Regardless of location in the body, a teratoma is classified according to a cancer staging system. The stage indicates whether chemotherapy or radiation therapy is necessary, in addition to surgery. Teratomas commonly are classified using the GonzalezCrussi [13] grading system: 0 or mature (benign); 1 or immature, probably benign; 2 or immature, possibly malignant (cancerous); and 3 or frankly malignant. If frankly malignant, the tumor is a cancer for which additional cancer staging applies. Their content also classifies teratomas: a solid teratoma contains only tissues (perhaps including more complex structures); a cystic teratoma contains only pockets of fluid or semi-fluid such as cerebrospinal fluid, sebum, or fat; a mixed teratoma contains both solid and cystic parts. Cystic teratomas usually are grade 0 and, conversely, grade 0 usually are cystic.
Grade 0, 1 and 2 pure teratomas, have the potential to become malignant (grade 3), and pure malignant teratomas have the potential to metastasize. These rare forms of teratoma with malignant transformation may contain elements of somatic (non-germ cell) malignancy such as leukemia, carcinoma or sarcoma [14]. A teratoma may contain elements of other germ cell tumors, in which case it is not a pure teratoma but instead is a mixed germ cell tumor and is malignant. In infants and young children, these elements usually are endodermal sinus tumor, followed by choriocarcinoma. Finally, a teratoma can be pure and not malignant yet highly aggressive: this is exemplified by growing teratoma syndrome, in which chemotherapy eliminates the malignant elements of a mixed tumor, leaving pure teratoma which paradoxically begins to proliferate rapidly [15].
Grade 3, as in our case, is categorized as a high-grade teratoma with the highest rate of metastasis and mortality in patients [9,11,12].
Yanai-Inbar et al., present a various degree of relation and variable presentation between immature teratomas with mature cystic teratomas, which demands further investigation of the tumor and understanding of its nature [10]. In addition, this uncommon case report reinforces the clinical importance on the matter of adequate sampling necessary to reach a conclusive diagnosis. Initial biopsy of the mass, presented as a benign mass, and suggestive of mature teratoma. Presently, it is commonly accepted across pathology specialists that definitive diagnosis of a large adnexal mass requires excision of the entire mass and cannot be based on a small incision biopsy. Thorough sampling of the mass with multiple sections should be performed in search of immature malignant elements. In our case, additional meticulous and thorough sampling prevented a potential misdiagnosis of the mass as a mature teratoma, which otherwise would wrongfully exclude the patient from receiving chemotherapy treatment.
Unlike mature cystic teratoma, an immature teratoma is removed surgically, as well as treated with chemotherapy, and the outcomes of the treatment vary on the grade of cancer [11,12]. For these apparent reasons, it is critical that regardless of its appearance or initial biopsy, all large teratomas need to be thoroughly and extensively sampled to identify any possible immature malignant component.
