Loading

Annals of Clinical Pathology

A Rare Case of Genital Salmonella

Case Report | Open Access | Volume 5 | Issue 4

  • 1. Service de chirurgie digestive, HIA Laveran, 13013 Marseille, France
+ Show More - Show Less
Corresponding Authors
Dominique Gantois, Service de chirurgie digestive, HIA Laveran, 34 Boulevard Laveran 13013 Marseille, France, Tel: 06 45 85 97 97;
Abstract

Salmonella is a bacteria usually infecting the gastrointestinal system. However, other unusual presentations can be encountered such as genital tract infection. This case is about a young woman with suspected salpingitis and peritonitiswho was eventually treated for an infected ovarian cyst by a Salmonella entericaenterica serovar Reading. She had a four-day history of diffuse abdominal pain and presented increased white cell count and C reactive protein. She was not sexually active and did not have any genital symptoms or diarrhea. The first computed tomography revealed a right ovarian cyst and peritonitis but after an unsuccessful treatment attempt with laparoscopic peritoneal lavage and antibiotics, a second computed tomography revealed an increase of the cyst’s size compatible with an ovarian abscess. The patient was successfully treated with surgical drainage of the cyst and antibiotics. Salmonella can infect an ovarian cyst via the haematogenous or uro-genital route and cause unusual but severe clinical presentations. Salmonella serovar Reading is rarely encountered in human medicine and this is the first reported case of an ovarian cyst infected with this serogroup.

Keywords

• Ovarian abscess

• Salmonella

• Salpingitis

• Pelvic

Citation

Gantois D, Goudard Y, Wolf A, Imbert PY, Pauleau G, et al. (2017) A Rare Case of Genital Salmonella. Ann Clin Pathol 5(4): 1119

ABBREVIATIONS

CT: Computed Tomography; GL: Granulocytic Leukocytosis; CRP: C-reactive Protein; POD: Post-Operative Day.

INTRODUCTION

Acute abdominal pain with fever is a common reason for consultation in the emergency unit. In a woman of child-bearing age, common diseases must be considered such as urinary tract infections, digestive and gynecological causes without omitting complications of pregnancy and screening of sexually transmitted genital infections. Salpingitis can be symptomatic or asymptomatic and even when present, clinical symptoms and signs lack sensitivity and specificity. The symptoms suggestive of a diagnosis of salpingitis are the following: spontaneous lower abdominal pain and adnexal pain on movement of cervix or uterus. The rest of the symptoms and particularly genital losses are inconsistent. The laparoscopic diagnosis has a better positive predictive value compared to the clinical diagnosis. [1- 3]. Gonococcus and Chlamydia are the most common pathogenic germs discovered but digestive germs can also be held responsible for this disease. Salmonella enterica is a genus of the family Enterobactriaceae subclassified into seven subgroups and more than 2,000 serotypes. Four clinical presentations can be encountered [4-6]. Typhoid and Paratyphoid Salmonella mostly affect developing countries and lead to the classic typhoid fever [7]. On the other hand, Nontyphoid Salmonella serotypes are a major cause of food-borne infections in industrialized countries and most often result in self-limited acute gastroenteritis. The most common clinical features consist of acute nausea, vomiting, abdominal cramps, diarrhea, headache and a fever up to 39°C [6]. These symptoms can last 5 to 7 days and do not require antimicrobial therapy. Approximately 3 to 10% of the patients affected with Salmonella enterica develop bacteremia and an increased risk of extraintestinal focal infections such as aortitis, mycotic aneurysm, endocarditis, osteomyelitis and more [8-10]. Certain underlying conditions increase this risk of bacteremia such as immunodeficiency, immunosuppressive therapy and young age [11]. Asymptomatic carriers of Salmonella can also be identified [6]. We report the case of a young lady referred to our unit with a clinical suspicion of pelvi-peritonitis and salpingitis eventually treated for an infected ovarian cyst with Salmonella enterica.

CASE PRESENTATION

A 19-year-old woman of African origin with no medical or surgical history was accepted in the Emergency Unit with a four- day history of progressive abdominal pain, nausea and vomiting. She did not have any fever, diarrhea or vaginal symptoms but she described urinary burnings. She was nulliparous and assured us she never had any sexual activity. She took no medication, did not travel recently and she was the only one in her family to have those symptoms.

At this time, her temperature was of 38°C but her heart rate and blood pressure were normal. Physical examination revealed moderate pain of the lower part of the abdomen without rigidity and careful genital examination did not reveal any purulent vaginal discharge other than menstrual losses. Laboratory tests revealed acute inflammatory syndrome with granulocytic leukocytosis [GL] of 14*10^3/ml and C-reactive protein [CRP] of 324mg/l [Norm<5mg/l] but there was no elevation of the HCG and the urinary tests remained sterile. Abdomino-pelvic computed tomography [CT] demonstrated pelvi-peritonitis, a right ovarian cystic structure of 5cm long and 5cm wide and reactional ileitis, pancreatitis and hepatitis. A laparoscopy was performed but did not found any purulent collection. Instead, there were false membranes, diffuse inflammation, peritoneal adhesions, a large right ovarian cyst and the right adnexa was swollen but not dilated. Peritoneal lavage, bacteriological samples and drainage system were performed.

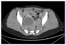
The patient received parenteral antibiotics with Doxycycline and Metronidazole and her physical condition improved day by day as she did not have any fever and her abdomen was less painful. Meanwhile, the level of GL kept decreasing. However, on Post-Operative Day [POD] 5, due to abdominal pain recurrence andthe rising of the GL up to 19*10^3/ml, a new abdomino-pelvic CT was completed and revealed increasing of the right ovarian cyst’s size with a diameter of 7,5cm compatible with an ovarian abscess (Figure 1,2).

Right ovarian abscess on the first abdomino-pelvic CT (cuts: 1,25mm) with contrast (left) and the same increased size abscess on the second CT with contrast (right).

Figure 1: Right ovarian abscess on the first abdomino-pelvic CT (cuts: 1,25mm) with contrast (left) and the same increased size abscess on the second CT with contrast (right).

Right ovarian abscess on the first abdomino-pevic CT with contrast (cuts: 1,25mm).

Figure 2: Right ovarian abscess on the first abdomino-pevic CT with contrast (cuts: 1,25mm).

Bacteriological analysis of the false membranes and peritoneal lavage identified a Salmonella enterica subsp. enterica serotype Readingwhich was sensitive to Ceftriaxone and Ofloxacine. Therefore, Ceftriaxone was added to her treatment.

Meanwhile, according to standard protocol for pelvic infections, screening for sexually transmitted infections was negative.

She was addressed to a gynecology department and had to be transferred to a reanimation unit because of a severe sepsis. Surgery was performed and the ovarian abscess was disrupted, sampled and drained. The patient fully recovered from this procedure and she was discharged with Doxycycline, Metronidazole and Ceftriaxone.

DISCUSSION

This case is about an intra peritoneal Salmonella infection that mimicked a salpingitis and pelvi peritonitis in a young women. It highlights several issues.

On the one hand, it confirms that acute abdominal pain with fever in young female patients presents a great diagnostic challenge. Moreover, pelvic infection in those patients is often easily paired with sexually transmitted infections [12]. In our case, it did not add up as the patient had no vaginal symptoms and she never had any sexual activity. The principal hypothesis were salpingitis with pelvi-peritonitis or an ovarian abscess. However, we could not formally exclude endometrioma infection, an ovarian malignant mass or active Crohn’s disease. In fact, Salmonella infection can be misleading by mimicking ovarian malignancy on radiographic studies and masqueradingas a malignant process [13].

On the other hand, it confirms that although Salmonella infects predominantly the gastrointestinal tube, it has a real potential for metastatic infection via the haematogenous route or the uro- genital route and can cause rare but severe ovarian cyst infections [14]. In fact, 3 to 10% of the patients develop bacteremia and most of the time, the extraintestinal localisations areaortitis, mycotic aneurysm, endocarditis, osteomyelitis and less frequently abscesses of any organ like the spleen, the appendix [15-20]. The risk of bacteremia is particularly important in children and adults with immunodeficiency. [11] In fact, many cases report ovarian abscess Salmonella infection in patients with systemic lupus erythematosus or rheumatoid arthritis. Most of the time, it is connected with the use of immunosuppressive drugs [21- 26]. In our case, the patient did not take any medication and her serological status for the HIV was negative.

A Review of the Literature was published in 2017 and reported previous ovarian cysts and endometriomas infected with Salmonella between 1963 and 2016 [27]. There were 33 cases reported from 2 to 48 years old, mostly from Asia and Europe, only 55% of them had preceding diarrheal illness and most of the time, the diagnostic test was ultrasound or CT. Most of them had endometrioma or teratoma and only three of them had sepsis. The most common types of Salmonella were enteritis and typhi. All of these patients were treated with surgery and antibiotics such as penicillins, third-generation cephalosporins and fluoroquinolones [28-35].

Salmonella Reading is a minor   serogroup,   isolated   for the first time in 1916 and rarely encountered in human medicine. The last epidemic occurred in the United States in 2016, causing 35 cases of gastroenteritis, probably related to the ingestion of contaminated alfalfa germ. A few other cases of Salmonella Reading infections show a more serious clinical picture of osteomyelitis or breast abscess [36,37]. According to the CDC, poultry and swine seem to be the common reservoirs for this serovar Reading and no virulence factors seem to be associated to this serotype [38]. This is the first case of human genital infection with Salmonella Reading

After reviewing all the cases, we foundmany similarities with our case as most of the time, the abscesses appear to be simple ovarian cysts or teratomas on pre-operative imaging. Recovery is uneventful after treatment with antibiotics and repeated imaging demonstrate abscess characteristics of the cyst. In our case, the cyst had grown between the two CTs in a few days which lead us to the diagnostic of abscess. These cases also suggest that the treatment of choice is always surgery and antibiotics.

Even though ciprofloxacin seems to be the treatment of choice for salmonellosis, many studies report increasing of Salmonella resistant to quinolones in the United States and Asia [39-42]. We chose to pursue the initial administration of ceftriaxone as it was adapted to the antibiogram we received.

In conclusion, we report a case of ovarian abscess due to Salmonella infection that simulated a salpingitis and pelvi- peritonitis in a young woman. The infection of an ovarian cyst is not so rare and we must suspect Salmonella as it can be responsible for severe bacteremia. We must bear in mind this diagnostic as the morbidity of these surgeriescan be important among which severe infection on a short-term and impairment of fertility on a long-term.

REFERENCES
  1. Workowski KA, Berman S, Centers for Disease Control and Prevention (CDC). Sexually transmitted diseases treatment guidelines, 2010. MMWR Recomm Rep. 2010 Dec 17; 59: 1-110.
  2. Bevan CD, Johal BJ, Mumtaz G, Ridgway GL, Siddle NC. Clinical, laparoscopic and microbiological findings in acute salpingitis: report on a United Kingdom cohort. Br J Obstet Gynaecol. 1995; 102: 407- 414.
  3. Morcos R, Frost N, Hnat M, Petrunak A, Caldito G. Laparoscopic versus clinical diagnosis of acute pelvic inflammatory disease. J Reprod Med. 1993; 38: 53-56.
  4. Su LH, Chiu CH. Salmonella: clinical importance and evolution of nomenclature. Chang Gung Med J. 2007; 30: 210-219.
  5. Gary P. Wormser, Charles Stratton. Manual of Clinical Microbiology. 9th edn. Washington: Murray PR, Baron EJ, Jorgensen, JH, Landry ML, Pfaller MA. editors. 2007.
  6. Ryan KJ, Ray CG. Sherris Medical Microbiology: An Introduction to Infectious Disease. 4th edn. New York: McGraw-Hill. 2004.
  7. Connor BA, Schwartz E. Typhoid and paratyphoid fever in travellers. Lancet Infect Dis. 2005; 5: 623-628.
  8. Chimalizeni Y, Kawaza K, Molyneux E. The epidemiology and management of non typhoidal salmonella infections. Adv Exp Med Biol. 2010; 659: 33-46.
  9. Cohen JI, Bartlett JA, Corey GR. Extra-intestinal manifestations of salmonella infections. Medicine (Baltimore). 1987; 66: 349-88.
  10. Soravia-Dunand VA, Loo VG, Salit IE. Aortitis due to Salmonella: report of 10 cases and comprehensive review of the literature. Clin Infect Dis. 1999; 29: 862-868.
  11. Chiu CH, Lin TY, Ou JT. Predictors for extraintestinal infection of non- typhoidal Salmonella in patients without AIDS. Int J Clin Pract. 1999; 53: 161-164.
  12. Valayatham V. Salmonella: the pelvic masquerader. Int J Infect Dis. 2009; 13: 53-55.
  13. Kudesia R, Gupta D. Pelvic Salmonella Infection Masquerading as Gynecologic Malignancy. Obstet Gynecol. 2011; 118: 475-477.
  14. Voicu F, Voicu L. Hematogenous primary peritonitis caused by Salmonella paratyphi A. Rev Med Chir Soc Med Nat Iasi. 1973; 77: 627-630.
  15. Stewart-Parker EP, Atta M, Doddi S. A curious cause of appendicitis. BMJ Case Rep. 2016; 2016.
  16. Sucato DJ, Gillespie R. Salmonella pelvic osteomyelitis in normal children: report of two cases and a review of the literature. J Pediatr Orthop. 1997; 17: 463-466.
  17. Cheng WL, Li CW, Li MC, Lee NY, Lee CC, Ko WC. Salmonella infective endocarditis. J Microbiol Immunol Infect. 2016; 49: 313-320.
  18. Hoff E, Nayeri F. Splenic abscess due to Salmonella schwarzengrund in a previously healthy individual returning from Bali. BMJ Case Rep. 2015; 2015.
  19. Benenson S, Raveh D, Schlesinger Y, Alberton J, Rudensky B, Hadas- Halpern I, et al. The risk of vascular infection in adult patients with nontyphi Salmonella bacteremia. Am J Med. 2001; 110: 60-63.
  20. Wang JH, Liu YC, Yen MY, Wang JH, Chen YS, Wann SR, et al. Mycotic aneurysm due to non-typhi salmonella: report of 16 cases. Clin Infect Dis. 1996; 23: 743-747.
  21. Shahram F, Akbarian M, Davatchi F. Salmonella infection in systemic lupus erythematosus. Lupus. 1993; 2: 55-59.
  22. Li EK, Cohen MG. Nontyphoidal salmonella ovarian abscess in systemic lupus erythematosus. J Rheumatol. 1995; 22: 575-576.
  23. Lin YH, Chen CP, Chiang S, Chen TC. Ovarian abscess caused by nontyphoidal Salmonella in a woman with systemic lupus erythematosus: a case report. J Reprod Med. 2005; 50: 627-629.
  24. Chao A, Chao AS, Wang TH, Liu LP, Wang CJ. Management of Salmonella ovarian abscess in a patient with systemic lupus erythematosus. Fertil Steril. 2009; 92: 391.e1-3.
  25. Guler S, Oksuz H, Cetin GY, Kokoglu OF. Bilateral tubo-ovarian abscess and sepsis caused by Salmonella in patients with systemic lupus erythematosus. BMJ Case Rep. 2013; 2013.
  26. Inoue M, Yanaihara N, Okamoto A. Salmonella ovarian abscess in a patient with rheumatoid arthritis (RA): a case report with literature review. Clin Exp Obstet Gynecol. 2014; 41: 465-467.
  27. Adelman MW, Johnson JH, Hohmann EL, Gandhi RT. Ovarian Endometrioma Superinfected With Salmonella: Case Report and Review of the Literature. Open Forum Infect Dis. 2017; 4: 48.
  28. Saltzman DH, Evans MI, Robichaux AG, Grossman JH, Friedman AJ. Nongonococcal pelvic abscess caused by Salmonella enteritidis. Obstet Gynecol. 1984; 64: 585-586.
  29. Ranta T, Kostiala AA. Ciprofloxacin management of pelvic inflammation caused by Salmonella panama. Duodecim. 1989; 105: 58-60.
  30. Kostiala AA, Ranta T. Pelvic inflammatory disease caused by Salmonella panama and its treatment with ciprofloxacin. Case report. Br J Obstet Gynaecol. 1989; 96: 120-122.
  31. Hung TH, Jeng CJ, Su SC, Wang KG. Pelvic abscess caused by Salmonella: a case report. Zhonghua Yi Xue Za Zhi (Taipei). 1996; 57: 457-459.
  32. Tohya T, Yoshimura T, Onoda C. Unilateral ovarian abscess caused by Salmonella. Infect Dis Obstet Gynecol. 2003; 11: 217-219.
  33. Miller AS, Hunstad DA. Salmonella ovarian abscess in an adolescent. Pediatr Infect Dis J. 2007;26: 548-549.
  34. Tachdjian R, Tourangeau L, Schneider JL, Nel A. Urticaria associated with necrotic uterine leiomyomas infected with salmonella. Obstet Gynecol. 2010; 116: 491-493.
  35. Gorisek NM, Oreskovi? S, But I. Salmonella ovarian abscess in young girl presented as acute abdomen--case report. Coll Antropol. 2011; 35: 223-225.
  36. Edelstein H. Breast abscess due to Salmonella serogroup B, Serotype Reading, in a Young Nonpuerperal Woman. Clin Infect Dis. 1993; 17: 951-952.
  37. Vekich Vincent L, Janner D. Salmonella reading osteomyelitis in a patient coinfected with Salmonella agona. Clin Microbiol. Newsletter. 1993; 15: 175-176.
  38. Mitrovic M. First Report of Paratyphoid Infection in Turkey Poults Due to Salmonella reading*. Poult Sci. 1956; 35: 171-174.
  39. Medalla F, Hoekstra RM, Whichard JM, Barzilay EJ, Chiller TM, Joyce K, et al. Increase in resistance to ceftriaxone and nonsusceptibility to ciprofloxacin and decrease in multidrug resistance among Salmonella strains, United States, 1996-2009. Foodborne Pathog Dis. 2013; 10: 302-309.
  40. Herikstad H, Hayes P, Mokhtar M, Fracaro ML, Threlfall EJ, Angulo FJ. Emerging Quinolone-Resistant Salmonella in the United States. Emerg Infect Dis. 1997; 3: 371-372.
  41. Olsen SJ, DeBess EE, McGivern TE, Marano N, Eby T, Mauvais S, et al. A Nosocomial Outbreak of Fluoroquinolone-Resistant Salmonella Infection. N Engl J Med. 2001; 344: 1572-1579.
  42. Lee HY, Su LH, Tsai MH, Kim SW, Chang HH, Jung SI, et al. High rate of reduced susceptibility to ciprofloxacin and ceftriaxone among nontyphoid Salmonella clinical isolates in Asia. Antimicrob Agents Chemother. 2009; 53: 2696-2699.

Gantois D, Goudard Y, Wolf A, Imbert PY, Pauleau G, et al. (2017) A Rare Case of Genital Salmonella. Ann Clin Pathol 5(4): 1119

Received : 28 Jun 2017
Accepted : 18 Jul 2017
Published : 19 Jul 2017
Journals
Annals of Otolaryngology and Rhinology
ISSN : 2379-948X
Launched : 2014
JSM Schizophrenia
Launched : 2016
Journal of Nausea
Launched : 2020
JSM Internal Medicine
Launched : 2016
JSM Hepatitis
Launched : 2016
JSM Oro Facial Surgeries
ISSN : 2578-3211
Launched : 2016
Journal of Human Nutrition and Food Science
ISSN : 2333-6706
Launched : 2013
JSM Regenerative Medicine and Bioengineering
ISSN : 2379-0490
Launched : 2013
JSM Spine
ISSN : 2578-3181
Launched : 2016
Archives of Palliative Care
ISSN : 2573-1165
Launched : 2016
JSM Nutritional Disorders
ISSN : 2578-3203
Launched : 2017
Annals of Neurodegenerative Disorders
ISSN : 2476-2032
Launched : 2016
Journal of Fever
ISSN : 2641-7782
Launched : 2017
JSM Bone Marrow Research
ISSN : 2578-3351
Launched : 2016
JSM Mathematics and Statistics
ISSN : 2578-3173
Launched : 2014
Journal of Autoimmunity and Research
ISSN : 2573-1173
Launched : 2014
JSM Arthritis
ISSN : 2475-9155
Launched : 2016
JSM Head and Neck Cancer-Cases and Reviews
ISSN : 2573-1610
Launched : 2016
JSM General Surgery Cases and Images
ISSN : 2573-1564
Launched : 2016
JSM Anatomy and Physiology
ISSN : 2573-1262
Launched : 2016
JSM Dental Surgery
ISSN : 2573-1548
Launched : 2016
Annals of Emergency Surgery
ISSN : 2573-1017
Launched : 2016
Annals of Mens Health and Wellness
ISSN : 2641-7707
Launched : 2017
Journal of Preventive Medicine and Health Care
ISSN : 2576-0084
Launched : 2018
Journal of Chronic Diseases and Management
ISSN : 2573-1300
Launched : 2016
Annals of Vaccines and Immunization
ISSN : 2378-9379
Launched : 2014
JSM Heart Surgery Cases and Images
ISSN : 2578-3157
Launched : 2016
Annals of Reproductive Medicine and Treatment
ISSN : 2573-1092
Launched : 2016
JSM Brain Science
ISSN : 2573-1289
Launched : 2016
JSM Biomarkers
ISSN : 2578-3815
Launched : 2014
JSM Biology
ISSN : 2475-9392
Launched : 2016
Archives of Stem Cell and Research
ISSN : 2578-3580
Launched : 2014
Annals of Clinical and Medical Microbiology
ISSN : 2578-3629
Launched : 2014
JSM Pediatric Surgery
ISSN : 2578-3149
Launched : 2017
Journal of Memory Disorder and Rehabilitation
ISSN : 2578-319X
Launched : 2016
JSM Tropical Medicine and Research
ISSN : 2578-3165
Launched : 2016
JSM Head and Face Medicine
ISSN : 2578-3793
Launched : 2016
JSM Cardiothoracic Surgery
ISSN : 2573-1297
Launched : 2016
JSM Bone and Joint Diseases
ISSN : 2578-3351
Launched : 2017
JSM Bioavailability and Bioequivalence
ISSN : 2641-7812
Launched : 2017
JSM Atherosclerosis
ISSN : 2573-1270
Launched : 2016
Journal of Genitourinary Disorders
ISSN : 2641-7790
Launched : 2017
Journal of Fractures and Sprains
ISSN : 2578-3831
Launched : 2016
Journal of Autism and Epilepsy
ISSN : 2641-7774
Launched : 2016
Annals of Marine Biology and Research
ISSN : 2573-105X
Launched : 2014
JSM Health Education & Primary Health Care
ISSN : 2578-3777
Launched : 2016
JSM Communication Disorders
ISSN : 2578-3807
Launched : 2016
Annals of Musculoskeletal Disorders
ISSN : 2578-3599
Launched : 2016
Annals of Virology and Research
ISSN : 2573-1122
Launched : 2014
JSM Renal Medicine
ISSN : 2573-1637
Launched : 2016
Journal of Muscle Health
ISSN : 2578-3823
Launched : 2016
JSM Genetics and Genomics
ISSN : 2334-1823
Launched : 2013
JSM Anxiety and Depression
ISSN : 2475-9139
Launched : 2016
Clinical Journal of Heart Diseases
ISSN : 2641-7766
Launched : 2016
Annals of Medicinal Chemistry and Research
ISSN : 2378-9336
Launched : 2014
JSM Pain and Management
ISSN : 2578-3378
Launched : 2016
JSM Women's Health
ISSN : 2578-3696
Launched : 2016
Clinical Research in HIV or AIDS
ISSN : 2374-0094
Launched : 2013
Journal of Endocrinology, Diabetes and Obesity
ISSN : 2333-6692
Launched : 2013
Journal of Substance Abuse and Alcoholism
ISSN : 2373-9363
Launched : 2013
JSM Neurosurgery and Spine
ISSN : 2373-9479
Launched : 2013
Journal of Liver and Clinical Research
ISSN : 2379-0830
Launched : 2014
Journal of Drug Design and Research
ISSN : 2379-089X
Launched : 2014
JSM Clinical Oncology and Research
ISSN : 2373-938X
Launched : 2013
JSM Bioinformatics, Genomics and Proteomics
ISSN : 2576-1102
Launched : 2014
JSM Chemistry
ISSN : 2334-1831
Launched : 2013
Journal of Trauma and Care
ISSN : 2573-1246
Launched : 2014
JSM Surgical Oncology and Research
ISSN : 2578-3688
Launched : 2016
Annals of Food Processing and Preservation
ISSN : 2573-1033
Launched : 2016
Journal of Radiology and Radiation Therapy
ISSN : 2333-7095
Launched : 2013
JSM Physical Medicine and Rehabilitation
ISSN : 2578-3572
Launched : 2016
Annals of Cardiovascular Diseases
ISSN : 2641-7731
Launched : 2016
Journal of Behavior
ISSN : 2576-0076
Launched : 2016
Annals of Clinical and Experimental Metabolism
ISSN : 2572-2492
Launched : 2016
Clinical Research in Infectious Diseases
ISSN : 2379-0636
Launched : 2013
JSM Microbiology
ISSN : 2333-6455
Launched : 2013
Journal of Urology and Research
ISSN : 2379-951X
Launched : 2014
Journal of Family Medicine and Community Health
ISSN : 2379-0547
Launched : 2013
Annals of Pregnancy and Care
ISSN : 2578-336X
Launched : 2017
JSM Cell and Developmental Biology
ISSN : 2379-061X
Launched : 2013
Annals of Aquaculture and Research
ISSN : 2379-0881
Launched : 2014
Clinical Research in Pulmonology
ISSN : 2333-6625
Launched : 2013
Journal of Immunology and Clinical Research
ISSN : 2333-6714
Launched : 2013
Annals of Forensic Research and Analysis
ISSN : 2378-9476
Launched : 2014
JSM Biochemistry and Molecular Biology
ISSN : 2333-7109
Launched : 2013
Annals of Breast Cancer Research
ISSN : 2641-7685
Launched : 2016
Annals of Gerontology and Geriatric Research
ISSN : 2378-9409
Launched : 2014
Journal of Sleep Medicine and Disorders
ISSN : 2379-0822
Launched : 2014
JSM Burns and Trauma
ISSN : 2475-9406
Launched : 2016
Chemical Engineering and Process Techniques
ISSN : 2333-6633
Launched : 2013
Annals of Clinical Cytology and Pathology
ISSN : 2475-9430
Launched : 2014
JSM Allergy and Asthma
ISSN : 2573-1254
Launched : 2016
Journal of Neurological Disorders and Stroke
ISSN : 2334-2307
Launched : 2013
Annals of Sports Medicine and Research
ISSN : 2379-0571
Launched : 2014
JSM Sexual Medicine
ISSN : 2578-3718
Launched : 2016
Annals of Vascular Medicine and Research
ISSN : 2378-9344
Launched : 2014
JSM Biotechnology and Biomedical Engineering
ISSN : 2333-7117
Launched : 2013
Journal of Hematology and Transfusion
ISSN : 2333-6684
Launched : 2013
JSM Environmental Science and Ecology
ISSN : 2333-7141
Launched : 2013
Journal of Cardiology and Clinical Research
ISSN : 2333-6676
Launched : 2013
JSM Nanotechnology and Nanomedicine
ISSN : 2334-1815
Launched : 2013
Journal of Ear, Nose and Throat Disorders
ISSN : 2475-9473
Launched : 2016
JSM Ophthalmology
ISSN : 2333-6447
Launched : 2013
Journal of Pharmacology and Clinical Toxicology
ISSN : 2333-7079
Launched : 2013
Annals of Psychiatry and Mental Health
ISSN : 2374-0124
Launched : 2013
Medical Journal of Obstetrics and Gynecology
ISSN : 2333-6439
Launched : 2013
Annals of Pediatrics and Child Health
ISSN : 2373-9312
Launched : 2013
JSM Clinical Pharmaceutics
ISSN : 2379-9498
Launched : 2014
JSM Foot and Ankle
ISSN : 2475-9112
Launched : 2016
JSM Alzheimer's Disease and Related Dementia
ISSN : 2378-9565
Launched : 2014
Journal of Addiction Medicine and Therapy
ISSN : 2333-665X
Launched : 2013
Journal of Veterinary Medicine and Research
ISSN : 2378-931X
Launched : 2013
Annals of Public Health and Research
ISSN : 2378-9328
Launched : 2014
Annals of Orthopedics and Rheumatology
ISSN : 2373-9290
Launched : 2013
Journal of Clinical Nephrology and Research
ISSN : 2379-0652
Launched : 2014
Annals of Community Medicine and Practice
ISSN : 2475-9465
Launched : 2014
Annals of Biometrics and Biostatistics
ISSN : 2374-0116
Launched : 2013
JSM Clinical Case Reports
ISSN : 2373-9819
Launched : 2013
Journal of Cancer Biology and Research
ISSN : 2373-9436
Launched : 2013
Journal of Surgery and Transplantation Science
ISSN : 2379-0911
Launched : 2013
Journal of Dermatology and Clinical Research
ISSN : 2373-9371
Launched : 2013
JSM Gastroenterology and Hepatology
ISSN : 2373-9487
Launched : 2013
Annals of Nursing and Practice
ISSN : 2379-9501
Launched : 2014
JSM Dentistry
ISSN : 2333-7133
Launched : 2013
Author Information X