Loading

Annals of Clinical Pathology

Histopathological Findings after Transanal Proximal Rectosigmoid Resection for Severe Chronic Idiopathic Constipation in Children with Megarectosigmoid

Research Article | Open Access | Volume 12 | Issue 1
Article DOI :

  • 1. Department of Surgery, West Virginia University, USA
  • 2. Department of Pediatric General and Thoracic Surgery, UPMC Children’s Hospital of Pittsburgh, USA
  • 3. Pathology and Laboratory Medicine, Miller School, University of Miami, USA
  • 4. International Center for Colorectal and Urogenital Care, Children’s Hospital Colorado, USA
+ Show More - Show Less
Corresponding Authors
Lea A. Wehrli, Department of Surgery, Division of Pediatric Surgery, WVU Medicine Golisano Children’s, Medical Center Drive, Morgantown, WV 26506, USA
Abstract

Purpose: To describe the histopathological findings in the megarectosigmoid of pediatric patients with severe chronic idiopathic constipation (CIC) who underwent a transanal proximal rectosigmoid resection. Methods: This study included pediatric patients diagnosed with severe CIC with megarectosigmoid, who underwent transanal proximal rectosigmoidectomy at the Colorectal Center for Children at UPMC Children’s Hospital of Pittsburgh between July 2017 and May 2018. A retrospective case review was conducted. Histopathological analysis of the resected specimens was performed circumferentially at both the proximal and distal margins. Longitudinal sections throughout the entire specimen length were also assessed. Muscle thickness and nerve fiber size were compared with age-matched controls. Statistical analyses were carried out using SPSS version 21.0. Results: A total of twelve patients met the inclusion criteria. The median age at the time of surgery was 8.6 years, with a predominance of male patients. The median duration of constipation was 5.5 years. Histopathological examination revealed significant hypertrophy of both the inner and outer muscular layers of the muscularis propria, as well as thickened nerve fibers and an increased width of the lamina propria when compared to controls. The increased thickness of the lamina propria was primarily attributed to fibrosis. A significant difference (p<0.05) in the thickness of the outer muscularis propria, nerve fiber size, and lamina propria was observed when comparing the distal (rectum) with the proximal margin (sigmoid) of the specimen. Fibrosis was universally present in all cases, predominantly within the lamina propria, and was more pronounced in the distal than the proximal segment. No morphometric analysis was performed for this assessment. Conclusion: Histopathological findings in pediatric patients with severe CIC and megarectosigmoid demonstrated marked muscular hypertrophy, thickened nerve fibers, and fibrosis within the lamina propria, with the most pronounced alterations observed in the resected rectal segment. These findings suggest a more advanced disease process within the rectum. This report is the first to document fibrosis in this patient population, raising concerns regarding potential irreversible changes that may only be amenable to surgical intervention.

Keywords

• Chronic idiopathic constipation

• Megarectum

• Megarectosigmoid

• Muscular hypertrophy

• Transanal proximal rectosigmoid resection

• Children

Citation

Wehrli LA, Scholz S, Salgado CM, De La Torre L (2025) Histopathological Findings after Transanal Proximal Rectosigmoid Resection for Severe Chronic Idiopathic Constipation in Children with Megarectosigmoid. Ann Clin Pathol 12(1): 1179.

INTRODUCTION

Chronic idiopathic constipation (CIC) is a prevalent condition in the pediatric population, often managed with various laxative treatments [1,2]. In cases of severe CIC, significant anatomical changes such as megarectosigmoid are commonly observed. These patients frequently require high-dose stimulant laxatives to achieve complete fecal evacuation of the megarectosigmoid. However, some patients fail to respond to laxative therapy due to inadequate efficacy or adverse side effects, necessitating surgical intervention. Various surgical approaches have been proposed for the management of severe constipation with megarectosigmoid [2–6], but the outcomes following these interventions are often variable, and complete resolution of fecal retention is not always achieved. Additionally, certain surgical procedures carry the risk of leaving the patient fecally incontinent [6,7]. Up until 2017,sigmoidectomy was the most common surgical approach for patients with CIC complicated by megarectosigmoid (Figure 1).

https://www.jscimedcentral.com/public/assets/images/uploads/image-1769168082-1.JPG

Figure 1 Schematic diagram of the extent of surgical resection in patients with megarectum and severe chronic idiopathic constipation, with red being the resection areas.

These patients often continued to experience recurrent fecal impaction within the residual rectal pouch. In 2019, our group published the clinical results a novel technique, the transanal proximal rectosigmoidectomy, which involves leaving a small rectal pouch of 5 to 7 cm in length, sufficient to prevent recurrent fecal impaction while preserving fecal continence due to its reservoir function [7]. Preliminary results indicated favorable postoperative outcomes, with follow-up periods ranging from 6 to 13 months showing restored fecal control, daily bowel movements, a significant reduction in laxative use, and the absence of fecal impaction and abdominal pain, with preserved fecal continence. The current study aims to characterize the histopathological findings of specimens obtained from this patient population, who underwent a transanal proximal rectosigmoidectomy for severe chronic idiopathic constipation with associated megarectosigmoid.

METHODS

Patient population and age-matched control group

Pediatric patients, younger than 19 years, with severe CIC associated with megarectosigmoid, who underwent transanal proximal rectosigmoidectomy at the Colorectal Center for Children at UPMC Children’s Hospital of Pittsburgh between July 2017 and May 2018, were included in the study. A retrospective case review was performed, collecting data on demographics, medical and surgical treatment history, and age at surgery. Clinical outcomes for this cohort were previously published [4]. A matched control group was selected by reviewing the pathology archives for autopsy and surgical specimens from age- and gender-matched individuals. Cases with a clinical history of constipation and/or confirmed or suspected forms of gastrointestinal or neuromuscular pathologies were excluded.This study was approved by the Institutional Review Board (STUDY22010091).

Histopathological Workup

A standard histopathological protocol was followed for the resected rectosigmoid specimens, which included circumferential full-thickness sections taken from both, the proximal (sigmoid) and distal (rectum) margins, as well as longitudinal sections spanning the entire length of the specimen. The specimens were fixed in 10% formalin, paraffin-embedded, and cut into 4 micrometer sections, which were subsequently stained with Hematoxylin and Eosin (H&E). In addition to Masson’s trichrome staining for evaluation of fibrosis, calretinin immunostaining was performed to assess the distribution and density of the myenteric and submucosal plexuses, and GLUT-1 immunostaining was utilized to facilitate measurement of nerve fiber thickness. Immunohistochemistry was performed on the Ventana® Benchmark XT (Ventana Medical Systems, Tucson, AZ) following the manufacturer’s instructions, using the primary antibody rabbit anti calretinin (Ventana prediluted kit #790-4467; Ventana Medical Systems). All histological slides and molecular results were reviewed.

Image capture, morphometric, and statistical analysis

Whole-slide images were captured by scanning at ×40 magnification using an Aperio Scanscope (Sausalito, CA, USA). Morphometric analysis was performed with Aperio ImageScope software, with measurements of the lamina propria and muscular layers taken from well-oriented sections. Three measurements were recorded for each available slide. The thickness of the lamina and muscularis propria and the diameter of nerve fibers were compared to age-matched controls. The location and extent of fibrosis within the specimens were documented. Fibrosis was not quantitatively compared to controls since there is a lack of standardized methods for assessing fibrosis in the colonic wall. Statistical analysis was conducted using SPSS version 21.0 (SPSS, Chicago, IL, USA). Results were presented as mean (SD) or total number and percentage. The Student’s t-test was used to compare continuous variables, and the chi-square test was applied to categorical variables. Statistical significance was set at p<0.05.

RESULTS

Twelve patients met the inclusion criteria (Table 1). The majority (66.7%) were male, and the patients’ ages ranged from 1.7 to 19 years, with a mean age of 8.5 years at the time of surgery. The median duration of constipation was 5.5 years. Half of the patients had a rectal biopsy preoperatively, none had Hirschsprung disease. All patients underwent transanal proximal rectosigmoidectomy, with or without appendicostomy creation and Botox injection into the anal sphincter at the time of surgery. Resected length ranged from 5cm to 18cm, with a mean of 10.7cm. The maximal diameter of the rectum varied from 3cm to 19.4cm, with a mean of 5.4cm. Fibrosis or fibrotic thickening was seen in eight patients, and in the remaining four patients, thickened muscularis propria was found.

Table 1: Patient population and specifics of resected specimen.

#

Gender [f/m]

Age at time of surgery [years]

Length [cm]

Diameter [cm]

1

f

12

5

3

2

f

11

11

4

3

f

8

10.5

3.5

4

m

3

9.2

3.4

5

m

18

5

8.6

6

m

6

6

3.5

7

m

19

18

19.4

8

m

5

11.5

2.6

9

m

10

9.7

5.3

10

f

1.7

12.5

3.2

11

m

4

18

4.3

12

m

5

11.5

4

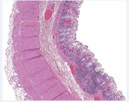
Histopathological examination revealed significant hypertrophy of both the inner and outer muscular layers of the muscularis propria, thickened nerve fibers, and increased lamina propria width in all patients compared to the control group (Table 2, Figures 2A/B, Figure 3, Figure 4, Figure 5A/B and Figure 6A/B). Notably, the increased thickness of the lamina propria was primarily attributed to fibrosis (Figures 4A and 4B). The distal portion (rectum) of the specimens exhibited more prominent fibrosis compared to the proximal portion (sigmoid), although no morphometric analysis was performed for this aspect.

Table 2: Patients with chronic idiopathic constipation who underwent transanal rectosigmoid resection compared to age and gender-matched controls. The proximal and distal segment of the specimen was compared to age and gender matched controls.

 

Case Group

Control Group

p-value

Age [years]

8.6 ± 5.6

8.8 ± 5.8

0.9

PROXIMAL MARGIN [µm]

Inner muscularis propria

1071.7 ±469.7

481.8 ± 218

<0.001

Outer muscularis propria

861.5±489.1

375.6±180.9

0.02

Nerve thickness

34.7±11.9

26.3±4.6

0.03

Lamina propria thickness

1089.8±386.3

447.9±192

<0.001

DISTAL MARGIN [µm]

Inner muscularis propria

1205.4±463.1

481.8 ± 218

<0.001

Outer muscularis propria

1420.6±739.6

375.6±180.9

<0.001

Nerve thickness

45.2±13.6

26.3±4.6

<0.001

Lamina propria thickness

1407.4±540

447.9±192

<0.001

Statistical comparison between the distal and proximal margins of the specimens revealed significant differences in the thickness of the outer (longitudinal) muscularis propria, nerve fiber size, and lamina propria (p<0.05) (Table 3). No significant difference was observed in the thickness of the inner muscularis propria between the proximal and distal measurements (p=0.432).

Table 3: Patients with chronic idiopathic constipation who underwent transanal rectosigmoid resection, with comparison of the proximal and distal segment measurements within the patient population.

 

Distal Resection Margin [µm]

Proximal Resection Margin [µm]

p-value

Inner muscle

1205.36±463.1

1071.73 ±469.7

0.4

Outer muscle

1420.55±739.6

861.45±489.1

0.03

Nerve thickness

45.17±13.6

34.67±11.9

0.049

Lamina propria thickness

1407.40±540

1089.80±386.3

0.04

https://www.jscimedcentral.com/public/assets/images/uploads/image-1769168347-1.JPG

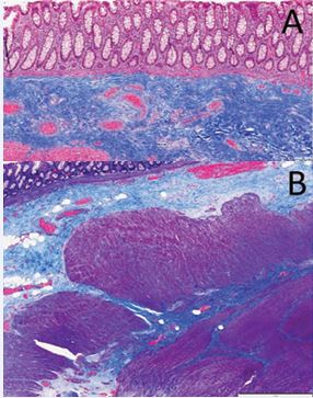
Figure 2 A/B: Hematoxylin & Eosin staining: Muscular hypertrophy, demonstrated with the measurements of the inner versus outer muscularis propria as shown in a specimen of a patient with severe chronic idiopathic constipation who underwent transanal rectosigmoid resection.

https://www.jscimedcentral.com/public/assets/images/uploads/image-1769168393-1.JPG

Figure 3 Hematoxylin and eosin staining of control group tissue. The section demonstrates normal-appearing muscular thickness of both the inner and outer layers of the muscularis propria, with preserved overall histological architecture.

https://www.jscimedcentral.com/public/assets/images/uploads/image-1769168439-1.JPG

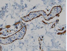
Figure 4 GLUT-1 immunohistochemical staining highlighting intrinsic nerve fibers and ganglion cells, demonstrating hypertrophic nerve fibers in a patient who underwent transanal rectosigmoid resection for severe chronic idiopathic constipation.

https://www.jscimedcentral.com/public/assets/images/uploads/image-1769168505-1.JPG

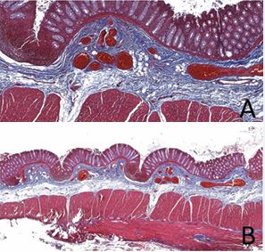
Figure 5 A/B: Masson’s trichrome staining of rectal tissue from a patient with severe chronic idiopathic constipation following transanal rectosigmoidectomy. The section demonstrates marked fibrosis within the lamina propria, characterized by an increased abundance of blue-stained collagen fibers. Cytoplasm appears pink and muscle fibers stain red, providing contrast that highlights the extent of collagen deposition and disruption of normal tissue architecture.

https://www.jscimedcentral.com/public/assets/images/uploads/image-1769168547-1.JPG

Figure 6 A/B: Masson’s trichrome staining of control group tissue. Collagen fibers are stained blue, cytoplasm appears pink, and muscle fibers are stained red, demonstrating normal tissue architecture without evidence of fibrosis or structural abnormalities.

 

Distal Resection Margin [µm]

Proximal Resection Margin [µm]

p-value

Inner muscle

1205.36±463.1

1071.73 ±469.7

0.4

Outer muscle

1420.55±739.6

861.45±489.1

0.03

Nerve thickness

45.17±13.6

34.67±11.9

0.049

Lamina propria thickness

1407.40±540

1089.80±386.3

0.04

Table 3: Patients with chronic idiopathic constipation who underwent transanal rectosigmoid resection, with comparison of the proximal and distal segment measurements within the patient population.

 

DISCUSSION

Chronic constipation in pediatric patients is common, with an incidence rate as high as 30% [2,7–12]. Previous studies have discussed histopathological findings in gastrointestinal motility disorders associated with constipation [8,9]. Numerous surgical options have been proposed for the management of severe idiopathic constipation with megarectosigmoid [2-6,11,12], although none have reported the histopathological characteristics of resected specimens. To this date, none have compared the clinical picture with the histopathologic findings in this patient population due to a lack of tissue analyses and comparisons with a reference population. Several factors contribute to coordinated peristalsis within the colon. The proper interaction of nerve cells and nerve fibers with the muscularis propria leads to propulsive peristalsis. Disruption of this coordination can lead to gastrointestinal dysmotility resulting in constipation. This study is the first to report histopathological findings in pediatric patients with megarectosigmoid and severe idiopathic chronic constipation, revealing a progression of pathological changes, including muscular hypertrophy, nerve fiber hypertrophy, and lamina propria thickening. The most significant changes were observed in the distal rectum, suggesting that the origin of these alterations may lie within the rectum itself. The thickening of the lamina propria was mainly due to increased connective tissue, raising concerns about structural damage within the distal colon. Further studies are needed to assess the extent and reversibility of these pathological changes.

CONCLUSION

Histopathological findings in pediatric patients with severe chronic idiopathic constipation and megarectosigmoid revealed significant muscular hypertrophy, nerve fiber thickening, and fibrosis of the lamina propria, with the most pronounced changes observed in the rectal segment. These findings suggest that the rectum may be the primary site of pathological changes. This report is the first to document fibrosis in this patient population, raising concerns about the potential irreversibility of these changes, which may only be addressed through surgical intervention. Further studies are necessary to evaluate the full extent of the disease process in chronic constipation among children.

AUTHORS AND ROLES

LAW: Conceptualization, drafting the work, reviewing the manuscript, final approval of the version to be published. SS: critically reviewed the manuscript, final approval of the version to be published. CMS: Conceptualization and Data analysis, critically reviewed the manuscript, final approval of the version to be published. LDLT: Conceptualization, Interpretation of data for the work, reviewed the manuscript, final approval of the version to be published.

REFERENCES
  1. Bischoff A, Brisighelli G, Dickie B, Frischer J, Levitt MA, Peña A. Idiopathic constipation: A challenging but manageable problem. J Pediatr Surg. 2018; 53: 1742-1747.
  2. Bokova E, Svetanoff WJ, Rosen JM, Levitt MA, Rentea RM. Review: State of the Art Bowel Management for Pediatric Colorectal Problems: Functional Constipation. Children. 2023; 10, 1078.
  3. Wood RJ, Yacob D, Levitt MA. Surgical options for the management of severe functional constipation in children. Curr Opin Pediatr. 2016; 28: 370-379.
  4. De la Torre L, Cogley K, Cabrera-Hernández MA, Frias-Mantilla JE, Wehrli LA. Transanal proximal rectosigmoidectomy. A new operation for severe chronic idiopathic constipation associated with megarectosigmoid. J Pediatr Surg. 2019; 54: 2311-2317.
  5. De La Torre L, Cogley K, Calisto J, Nace G, Correa C. Primary sigmoidectomy and appendicostomy for chronic idiopathic constipation. Pediatr Surg Int. 2016; 32: 767-772.
  6. Levitt MA, Martin CA, Falcone RA, Peña A. Transanal rectosigmoid resection for severe intractable idiopathic constipation. J Pediatr Surg. 2009; 44: 1285-1291.
  7. De la Torre L, Zornoza-Moreno M, Cogley K, Calisto JL, Wehrli LA, Ruiz-Montañez A, et al. Transanal endorectal approach for the treatment of idiopathic rectal prolapse in children: Experience with the modified Delorme’s procedure. J Pediatr Surg. 2019; 54: 857–861.
  8. Feichter S, Meier-Ruge WA, Bruder E. The histopathology of gastrointestinal motility disorders in children. Semin Pediatr Surg. 2009; 18: 206-211.
  9. Meier-Ruge WA, Bruder E. Pathology of chronic constipation inpediatric and adult coloproctology. Pathobiology. 2005; 72: 1-106.
  10. Koppen IJ, Di Lorenzo C, Saps M, Dinning PG, Yacob D, Levitt MA, et al. Childhood constipation: Finally something is moving! Expert Rev Gastroenterol Hepatol. 2016; 10: 141-155.
  11. Mugie SM, Benninga MA, Di Lorenzo C. Epidemiology of constipation in children and adults: A systematic review. Best Pract Res Clin Gastroenterol. 2011; 25: 3-18.
  12. Vilanova-Sanchez A, Levitt MA. Surgical Interventions for FunctionalConstipation: An Update. Eur J Pediatr Surg. 2020; 30: 413-419.

Wehrli LA, Scholz S, Salgado CM, De La Torre L (2025) Histopathological Findings after Transanal Proximal Rectosigmoid Resection for Severe Chronic Idiopathic Constipation in Children with Megarectosigmoid. Ann Clin Pathol 12(1): 1179.

Received : 21 Nov 2025
Accepted : 23 Dec 2025
Published : 24 Dec 2025
Journals
Annals of Otolaryngology and Rhinology
ISSN : 2379-948X
Launched : 2014
JSM Schizophrenia
Launched : 2016
Journal of Nausea
Launched : 2020
JSM Internal Medicine
Launched : 2016
JSM Hepatitis
Launched : 2016
JSM Oro Facial Surgeries
ISSN : 2578-3211
Launched : 2016
Journal of Human Nutrition and Food Science
ISSN : 2333-6706
Launched : 2013
JSM Regenerative Medicine and Bioengineering
ISSN : 2379-0490
Launched : 2013
JSM Spine
ISSN : 2578-3181
Launched : 2016
Archives of Palliative Care
ISSN : 2573-1165
Launched : 2016
JSM Nutritional Disorders
ISSN : 2578-3203
Launched : 2017
Annals of Neurodegenerative Disorders
ISSN : 2476-2032
Launched : 2016
Journal of Fever
ISSN : 2641-7782
Launched : 2017
JSM Bone Marrow Research
ISSN : 2578-3351
Launched : 2016
JSM Mathematics and Statistics
ISSN : 2578-3173
Launched : 2014
Journal of Autoimmunity and Research
ISSN : 2573-1173
Launched : 2014
JSM Arthritis
ISSN : 2475-9155
Launched : 2016
JSM Head and Neck Cancer-Cases and Reviews
ISSN : 2573-1610
Launched : 2016
JSM General Surgery Cases and Images
ISSN : 2573-1564
Launched : 2016
JSM Anatomy and Physiology
ISSN : 2573-1262
Launched : 2016
JSM Dental Surgery
ISSN : 2573-1548
Launched : 2016
Annals of Emergency Surgery
ISSN : 2573-1017
Launched : 2016
Annals of Mens Health and Wellness
ISSN : 2641-7707
Launched : 2017
Journal of Preventive Medicine and Health Care
ISSN : 2576-0084
Launched : 2018
Journal of Chronic Diseases and Management
ISSN : 2573-1300
Launched : 2016
Annals of Vaccines and Immunization
ISSN : 2378-9379
Launched : 2014
JSM Heart Surgery Cases and Images
ISSN : 2578-3157
Launched : 2016
Annals of Reproductive Medicine and Treatment
ISSN : 2573-1092
Launched : 2016
JSM Brain Science
ISSN : 2573-1289
Launched : 2016
JSM Biomarkers
ISSN : 2578-3815
Launched : 2014
JSM Biology
ISSN : 2475-9392
Launched : 2016
Archives of Stem Cell and Research
ISSN : 2578-3580
Launched : 2014
Annals of Clinical and Medical Microbiology
ISSN : 2578-3629
Launched : 2014
JSM Pediatric Surgery
ISSN : 2578-3149
Launched : 2017
Journal of Memory Disorder and Rehabilitation
ISSN : 2578-319X
Launched : 2016
JSM Tropical Medicine and Research
ISSN : 2578-3165
Launched : 2016
JSM Head and Face Medicine
ISSN : 2578-3793
Launched : 2016
JSM Cardiothoracic Surgery
ISSN : 2573-1297
Launched : 2016
JSM Bone and Joint Diseases
ISSN : 2578-3351
Launched : 2017
JSM Bioavailability and Bioequivalence
ISSN : 2641-7812
Launched : 2017
JSM Atherosclerosis
ISSN : 2573-1270
Launched : 2016
Journal of Genitourinary Disorders
ISSN : 2641-7790
Launched : 2017
Journal of Fractures and Sprains
ISSN : 2578-3831
Launched : 2016
Journal of Autism and Epilepsy
ISSN : 2641-7774
Launched : 2016
Annals of Marine Biology and Research
ISSN : 2573-105X
Launched : 2014
JSM Health Education & Primary Health Care
ISSN : 2578-3777
Launched : 2016
JSM Communication Disorders
ISSN : 2578-3807
Launched : 2016
Annals of Musculoskeletal Disorders
ISSN : 2578-3599
Launched : 2016
Annals of Virology and Research
ISSN : 2573-1122
Launched : 2014
JSM Renal Medicine
ISSN : 2573-1637
Launched : 2016
Journal of Muscle Health
ISSN : 2578-3823
Launched : 2016
JSM Genetics and Genomics
ISSN : 2334-1823
Launched : 2013
JSM Anxiety and Depression
ISSN : 2475-9139
Launched : 2016
Clinical Journal of Heart Diseases
ISSN : 2641-7766
Launched : 2016
Annals of Medicinal Chemistry and Research
ISSN : 2378-9336
Launched : 2014
JSM Pain and Management
ISSN : 2578-3378
Launched : 2016
JSM Women's Health
ISSN : 2578-3696
Launched : 2016
Clinical Research in HIV or AIDS
ISSN : 2374-0094
Launched : 2013
Journal of Endocrinology, Diabetes and Obesity
ISSN : 2333-6692
Launched : 2013
Journal of Substance Abuse and Alcoholism
ISSN : 2373-9363
Launched : 2013
JSM Neurosurgery and Spine
ISSN : 2373-9479
Launched : 2013
Journal of Liver and Clinical Research
ISSN : 2379-0830
Launched : 2014
Journal of Drug Design and Research
ISSN : 2379-089X
Launched : 2014
JSM Clinical Oncology and Research
ISSN : 2373-938X
Launched : 2013
JSM Bioinformatics, Genomics and Proteomics
ISSN : 2576-1102
Launched : 2014
JSM Chemistry
ISSN : 2334-1831
Launched : 2013
Journal of Trauma and Care
ISSN : 2573-1246
Launched : 2014
JSM Surgical Oncology and Research
ISSN : 2578-3688
Launched : 2016
Annals of Food Processing and Preservation
ISSN : 2573-1033
Launched : 2016
Journal of Radiology and Radiation Therapy
ISSN : 2333-7095
Launched : 2013
JSM Physical Medicine and Rehabilitation
ISSN : 2578-3572
Launched : 2016
Annals of Cardiovascular Diseases
ISSN : 2641-7731
Launched : 2016
Journal of Behavior
ISSN : 2576-0076
Launched : 2016
Annals of Clinical and Experimental Metabolism
ISSN : 2572-2492
Launched : 2016
Clinical Research in Infectious Diseases
ISSN : 2379-0636
Launched : 2013
JSM Microbiology
ISSN : 2333-6455
Launched : 2013
Journal of Urology and Research
ISSN : 2379-951X
Launched : 2014
Journal of Family Medicine and Community Health
ISSN : 2379-0547
Launched : 2013
Annals of Pregnancy and Care
ISSN : 2578-336X
Launched : 2017
JSM Cell and Developmental Biology
ISSN : 2379-061X
Launched : 2013
Annals of Aquaculture and Research
ISSN : 2379-0881
Launched : 2014
Clinical Research in Pulmonology
ISSN : 2333-6625
Launched : 2013
Journal of Immunology and Clinical Research
ISSN : 2333-6714
Launched : 2013
Annals of Forensic Research and Analysis
ISSN : 2378-9476
Launched : 2014
JSM Biochemistry and Molecular Biology
ISSN : 2333-7109
Launched : 2013
Annals of Breast Cancer Research
ISSN : 2641-7685
Launched : 2016
Annals of Gerontology and Geriatric Research
ISSN : 2378-9409
Launched : 2014
Journal of Sleep Medicine and Disorders
ISSN : 2379-0822
Launched : 2014
JSM Burns and Trauma
ISSN : 2475-9406
Launched : 2016
Chemical Engineering and Process Techniques
ISSN : 2333-6633
Launched : 2013
Annals of Clinical Cytology and Pathology
ISSN : 2475-9430
Launched : 2014
JSM Allergy and Asthma
ISSN : 2573-1254
Launched : 2016
Journal of Neurological Disorders and Stroke
ISSN : 2334-2307
Launched : 2013
Annals of Sports Medicine and Research
ISSN : 2379-0571
Launched : 2014
JSM Sexual Medicine
ISSN : 2578-3718
Launched : 2016
Annals of Vascular Medicine and Research
ISSN : 2378-9344
Launched : 2014
JSM Biotechnology and Biomedical Engineering
ISSN : 2333-7117
Launched : 2013
Journal of Hematology and Transfusion
ISSN : 2333-6684
Launched : 2013
JSM Environmental Science and Ecology
ISSN : 2333-7141
Launched : 2013
Journal of Cardiology and Clinical Research
ISSN : 2333-6676
Launched : 2013
JSM Nanotechnology and Nanomedicine
ISSN : 2334-1815
Launched : 2013
Journal of Ear, Nose and Throat Disorders
ISSN : 2475-9473
Launched : 2016
JSM Ophthalmology
ISSN : 2333-6447
Launched : 2013
Journal of Pharmacology and Clinical Toxicology
ISSN : 2333-7079
Launched : 2013
Annals of Psychiatry and Mental Health
ISSN : 2374-0124
Launched : 2013
Medical Journal of Obstetrics and Gynecology
ISSN : 2333-6439
Launched : 2013
Annals of Pediatrics and Child Health
ISSN : 2373-9312
Launched : 2013
JSM Clinical Pharmaceutics
ISSN : 2379-9498
Launched : 2014
JSM Foot and Ankle
ISSN : 2475-9112
Launched : 2016
JSM Alzheimer's Disease and Related Dementia
ISSN : 2378-9565
Launched : 2014
Journal of Addiction Medicine and Therapy
ISSN : 2333-665X
Launched : 2013
Journal of Veterinary Medicine and Research
ISSN : 2378-931X
Launched : 2013
Annals of Public Health and Research
ISSN : 2378-9328
Launched : 2014
Annals of Orthopedics and Rheumatology
ISSN : 2373-9290
Launched : 2013
Journal of Clinical Nephrology and Research
ISSN : 2379-0652
Launched : 2014
Annals of Community Medicine and Practice
ISSN : 2475-9465
Launched : 2014
Annals of Biometrics and Biostatistics
ISSN : 2374-0116
Launched : 2013
JSM Clinical Case Reports
ISSN : 2373-9819
Launched : 2013
Journal of Cancer Biology and Research
ISSN : 2373-9436
Launched : 2013
Journal of Surgery and Transplantation Science
ISSN : 2379-0911
Launched : 2013
Journal of Dermatology and Clinical Research
ISSN : 2373-9371
Launched : 2013
JSM Gastroenterology and Hepatology
ISSN : 2373-9487
Launched : 2013
Annals of Nursing and Practice
ISSN : 2379-9501
Launched : 2014
JSM Dentistry
ISSN : 2333-7133
Launched : 2013
Author Information X