Optimization for Testing the Sensitivity and Specificity of Antibodies to Brg1
- 1. Division of Hematology/Oncology, University of Florida, USA
- 2. Department of Pathology, Immunology and Laboratory Medicine, University of Florida, USA
ABSTRACT
Antibodies are vital experimental tools that are used extensively in basic science and in clinical settings. With the evolution of personalized medicine and targeted therapies, the development of reliable diagnostic antibodies will be in greater demand, as they are used for a variety of assays such as immunocytochemistry (ICC), immunohistochemistry (IHC), immunofluorescence (IF), enzyme-linked immunosorbent assay (ELISA), western blot (WB) and immunoprecipitation (IP), among others. While antibodies are largely produced commercially, the performance standards are most often defined by individual investigators who use an antibody for specific assays. Central to the reliability and validity is to what degree the antibody has been produced and tested to assure its specificity and selectivity. This, in turn, often requires specific scientific expertise and knowledge which often lie with individual investigators and not necessarily with commercial companies. Specifically, detailed knowledge is required to remove possible cross-reactive proteins which results from multiple epitopes with a similar sequence or with an overlapping sequence(s); these antigens can be easily eliminated with a well-designed double immunopurification step. Often, multiple antibodies are commercially available such that the decision becomes more complicated as one has to determine which of the antibodies are sensitive and not cross-reactive. Hence, it is sometimes difficult for investigators to find the “right” antibodies. The generation of antibodies against the SWI/SNF subunit BRG1 (Brahmarelated gene 1, SMARCA4), which has a high sequence homology to its counterpart BRM (Brahma, SMARCA2) represents such a paradigm. Within this article, we discuss a series of steps that scientists, pathologists and technicians can use to identify the “right” antibody for their purposes. Using a set of commercially-available antibodies to BRG, we detail a cadre of steps to assure that the chosen antibody possesses the prerequisite sensitivity and specificity. This is important as many companies do not rigorously test and perform thorough work-ups of their antibodies.
KEYWORDS
Immunohistochemistry, BRG1, Antibodies
CITATION
Marquez SB, Lu L, Reisman D (2014) Optimization for Testing the Sensitivity and Specificity of Antibodies to Brg1 Ann Clin Pathol 2(5): 1037.
ABBREVIATIONS
IHC: immunohistochemistry, ICC: immunocytochemistry, BRG1: Brahma-related gene 1, FFPE: formalin-fixed paraffin-embedded, HRP: horseradish peroxidase, DAB: 3,3’-diaminobenzidine, AR: antigen retrieval
INTRODUCTION
Immunochemistry is an important tool that has been incorporated into many life science disciplines, especially with the advent of modern staining techniques and improved production methods for the generation of large quantities of commercialgrade antibodies. Immunochemistry is primarily used to detect antigens (usually proteins) within cells (Immunocytochemistry, ICC) and tissues (Immunohistochemistry, IHC). The ability to distinguish among different antigens within a cell or tissue type is especially pertinent in clinical practice, where traditional diagnostic stains such as Hematoxylin and Eosin (H&E), among others, may be insufficient to render a diagnosis and where the presence or absence of a biomarker corresponds to a specific prognosis for a disease. Given that the total number of publications to date that involve IHC has increased from about 930 in the early 1980s to just over 96,000 in 2006 [1], it is vital that researchers and clinicians have the necessary tools to take full advantage of what IHC has to offer.
A number of different protocols have been devised for fresh, frozen and fixed specimens, some of which account for the location of a given epitope within the cell. The fixation process that is associated with formalin exposure makes IHC in these tissues inherently more difficult. As such, this paper will focus on the testing of the sensitivity and specificity of antibodies for IHC of formalin-fixed paraffin-embedded (FFPE) tissue sections using an enzymatic approach (peroxidase substrate).
To illustrate a practical set of methods that can be routinely employed, we will focus on the detection of BRG1 with a set of commercial antibodies. BRG1 is an important anticancer protein produced by the SMARCA4 gene. As BRG1 is one of two highly conserved mutually exclusive catalytic proteins within the SWI/SNF complex, defining and proving antibody specificity is markedly challenging. The study of this protein has continued to increase, as within the past decade, BRG1 and its homolog BRM have emerged as relevant tumor suppressors. Both of these subunits are lost to varying degrees in a variety of solid tumor types [2-6] and have been found to drive different steps within cancer development. As SWI/SNF serves as a prerequisite cofactor for a variety of different transcription factors and other key cellular proteins, the loss of BRG1 adversely impacts DNA repair, cell growth, cell adhesion, development as well as cellular and organ differentiation [7,8], and the loss of any one of these pathways is sufficient to drive cancer development. Moreover, recent evidence points to the potential use of either of these subunits as biomarkers and or prognostic markers for certain cancer types [6,7,9-12]. Given the broad and diverse roles that BRG1 plays within cells, the study of both the BRG1 and BRM genes spans the spectrum of scientific disciplines. Thus, the present focus on BRG1 in this paper should have broad appeal and utility. However, a common hurdle to the achievement of reliable techniques is whether the antibody possesses sufficient specificity for most applications, since BRG1 and BRM share a 74% amino acid sequence homology [13].
A method to test antibodies used in research or in the clinic is pertinent for several reasons. First, not all commercial antibodies to BRG1 and BRM are double-immunopurified. This means that at least a portion of those antibodies against BRG1 may crossreact with BRM, and this is especially true for antibodies that recognize epitopes in the C-terminal domains of these proteins. For our research, it is essential to ensure that an antibody is specific to either BRG1 or BRM and that it does not bind to both antigens. Second, some companies validate a given antibody in certain applications and not others. This means that an antibody that has been demonstrated to work well for Western blot may in fact work well for IHC in FFPE, but the company simply may not have tested the antibody for that specific application. Third, antigens do not have to be closely-related homologs (e.g., BRG1 and BRM) for cross-reactivity to occur. Despite a company’s best efforts at producing a viable, specific antibody, it is ultimately the responsibility of the researcher, technician or clinician to determine the suitability of a given antibody for the application of interest. Therefore, this protocol may be applicable to other closely-related proteins that share conserved amino acid sequences and in cases where it is necessary to ensure the specificity of an antibody for research or clinical purposes.
MATERIALS AND METHODS
Cell culture and fixation
In order to determine whether a given antibody will work in FFPE tissue sections, we first test the antibody on cell lines that are known to express the antigen of interest. As a negative control, we culture cell lines that are devoid of the antigen for which we are testing. If no such cell line exists, expression of the gene corresponding to the antigen can be silenced by transfection with shRNA; a Western blot or ICC can then be performed to determine the level of knockdown.
To facilitate staining, cell lines are cultured on glass coverslips in a 6-well plate. While most cell types easily adhere to coverslips or chamber slides, other cell lines such as suspension cells, may not readily adhere. In this case, either pre-coated plates or chamber slides should be used, or alternatively, noncoated plates, coverslips and slides can be coated with an appropriate polymer solution (e.g., Poly-L-lysine, laminin). To initiate the staining process, the cells plated on coverslips are fixed in either methanol or 4% paraformaldehyde (PFA) and then can be subsequently stored in 1xPBS solution (phosphate buffered saline) at 4°C for several months. The PBS used in this study is composed of the following: potassium phosphate monobasic, sodium chloride and sodium phosphate dibasic at pH of 7.4 (70011, 10x PBS, Gibco, Grand Island, NY, USA) Note: it is imperative that the fixation method be compatible with the antigen. For instance, firmly attached antigens such as BRG1 or BRM, can be fixed with either methanol or PFA; however, most antigens within the cytoplasm (soluble antigens) are easily leached out and lost if fixed with methanol or alcohol/acetone mixtures. Hence, soluble antigens must first be fixed with cross linking agents such as paraformaldehyde (PFA) and then treated with a permeabilization agent to allow holes to form in the membrane, which allows the penetration of the primary antibody into the cell. Typically, this is done with a detergent such as Triton X-100 or Tween-20 (or some other detergent) to make the cell porous and allow for the entry of the primary antibody. Alcoholbased fixatives are best for staining membrane-bound antigens and can preclude the need for a permeabilization step during ICC [14]. Regardless, it is best to use the same fixative for cells as the one that will ultimately be used in tissues; therefore, if the goal is to perform IHC on FFPE tissues, then PFA or formalin should be used as the fixative.
Immunocytochemistry protocol for the determination of antibody sensitivity and specificity
Several technical steps greatly facilitate the process of ICC. First, cells are placed face-down in the solution on a strip of Parafilm rather than face-up to minimize the amount of reagents used. By allowing the solutions to bead underneath the coverslip, and because of surface tension, the spread of the solution is minimized and allows the use of a smaller volume.
Sometimes the primary and secondary antibodies bind to antigens other than the desired epitope. Therefore, the blocking of nonspecific proteins can be accomplished by several means: a concentrated non-immunogenic protein such as normal goat, horse or rabbit serum, a solution of reconstituted powdered milk, which is relatively inexpensive, or more typically, a solution of 3-5% BSA in PBS for 30 minutes. The incubation of the primary and secondary antibodies typically occurs in the same blocking solution. The duration of primary/secondary antibody incubation is a function of time, temperature and concentration of the antibodies. The antibody concentrations must each be empirically determined such that the staining with the desired primary antibody is easily detectible but also gives minimal nonspecific staining. Therefore, optimization requires that a range of concentrations (e.g., 1:100, 1:250, 1:500, 1:1000, etc.) of the primary antibody be tested. As a rule of thumb, FFPE staining usually requires antibody dilutions which are 2-3 times more concentrated than that determined for ICC. Some antibodies work best at room temperature (RT) anywhere from 30 minutes to 3 hours, but this is often dependent on the concentration of the antibody. In certain cases where the amount of the primary antibody is limited or the stock concentration is dilute, it might not be possible to achieve a high enough concentration to achieve optimal staining with a primary antibody over a period of 1-2 hours. In this case, an extension of staining time may be required and alternatively, incubation of the sections overnight at 4°C can be done for some antibodies if the binding is determined to not be adversely affected by the lower temperature.
As secondary antibodies may be generated in 5 or more different species and may be used to target primary antibodies of any species, there is a great deal of flexibility in matching the primary and secondary antibodies. This is especially helpful when dual or triple staining is required. Incubation is typically 1 hour at RT with the appropriate biotinylated secondary antibody, and the detection is amplified indirectly by incubation with an enzyme-linked to streptavidin which has very high affinity for biotin. Different enzymes are paired with different chemicals to yield a variety of precipitate salts. The combination of secondary staining and a dye creates a sharp contrasting picture which highlights the location and intensity of the staining. In many cases, Horseradish Peroxidase (HRP) linked to streptavidin is used with the chromogen DAB to generate a dark brown or black stain; this contrasts with the blue hematoxylin counterstain which helps to highlight the cellular architecture.
The art of staining lies somewhat in the development of a standard methodology. Included in this, is washing the slides or coverslips in between each incubation step. It is often helpful to wash the coverslips by dipping them several times into a small beaker (100-250 ml) of isotonic PBS, and in addition, to incubate them on Parafilm in about 300 µL of PBS for 5-10 minutes to leach away any further nonspecific binding proteins. A second useful skill which is typically self-learned is what to do when a coverslip is dropped. In order to determine the orientation (i.e., which side contains the cells), one can hold the coverslip up to the light and scratch the surface of each side with a 18-25 gauge needle; the side on which the cells were plated will feel rough, while the side that does not contain cells will be smoother. Also, care must be taken when lifting and moving the coverslips, as they are easily broken. This is one advantage of using chamber slides rather than coverslips.
The exposure to the chromogen is one of the key steps. Often, 3,3’-diaminobenzidine (DAB) is used as the chromogen. Unenhanced DAB produces a brown color upon its reaction with peroxidase; in contrast, DAB that is “enhanced” with some type of metal (e.g., cobalt, nickel) typically produces a darker brown or black color. There are numerous chromogen alternatives that may be used, many of which are detailed in recent reviews by Chris M. van der Loos [15,16]. The incubation time with the chromogen, like the dilution and incubation time of the primary antibody, must be empirically determined. The more concentrated solution of primary antibody, the shorter the duration of incubation with the chromogen will be. Many times, a small window exists in which optimal staining can be obtained. As the degree of staining can only be crudely assessed during the staining period, care should be taken not to over-expose the cells, as this may cause intense over-staining. Alternatively, the use of an array of coverslips/slides where each is incubated at different time intervals greatly helps to determine the optimal incubation period with the chromogen. As it is recommended that only a single variable be tested per experiment, it often takes several reiterations to determine the optimal concentration of the primary antibody as well as exposure time to DAB since the primary antibody concentration impacts the incubation “window” with DAB. Furthermore, it is advisable to repeat the experiment to minimize the potential contribution of random errors. Depending on the nature and concentration of the antibody and how well the cells express the antigen, anywhere from 1 minute to 20 minutes of incubation with the chromogen may be necessary.
It may be necessary to periodically check each coverslip every 2-3 minutes by placing the coverslip face-up on a glass side and examining the cells under a light microscope. Similarly, exposure to the counter-stain must also be empirically tested over a range of times to ensure that the cells are sufficiently counter-stained. However, any microscopic examination of cover slips should be performed quickly so as not to allow the cells to become desiccated. We typically use Harris hematoxylin as a counter-stain (Shandon-Thermo, 6765003, Waltham, MA, USA) followed by bluing reagent (Richard-Allan Scientific-Thermo, 7301). Any remaining water on the slide combined with organic mounting medium causes “fogging” on the slide, and thus, a final dehydration step is needed where each coverslip is dipped for several seconds into increasing concentrations of alcohol and finally, xylene, prior to mounting on a glass side with Permount (SP15-500, Fisher Scientific, Waltham MA, USA). Alternatively, an aqueous mounting medium may be used which does not require dehydration of the cells.
Testing an array of BRG1 antibodies for sensitivity
We routinely use the protocol described above to test all antibodies that are purchased by our laboratory; in this case, all BRG1 antibodies that were tested are given in Table 1.
Table 1: The commercial antibodies denoted in this table were compared to our gold standard mouse monoclonal antibody from the Chambon lab. All antibodies listed were validated for IHC of FFPE tissue specimens with the exception of SC-17796, which was only validated for Western blot by our laboratory.
|
Antibody catalog Number and company |
Immunogen |
Sepecies and clonality |
Dilution |
Antigen Retrieval buffer |
|
A gift from Pierre Chambon |
Unknown |
Mouse monoclonal |
1:200 |
Sodium citrate pH 6 |
|
SC-10768(Santa Cruz Biotechnology |
aa209-296near N-terminus |
Rabbit polyclonal |
1:50 |
Sodium citrate pH 6 |
|
SC-10796(Santa Cruz Biotechnology |
aa209-296near N-terminus |
Mouse monoclonal |
1:50 |
N/A |
|
SC-10796(Santa Cruz Biotechnology |
Aa 115-149 |
Mouse monoclonal |
1:50 |
Sodium citrate pH 6 or Tris |
|
LS-B5107(Life Span Biosciences) |
Aa 2-14 |
Goat polyclonal |
1:50 |
Sodium citrate pH 6 |
|
21634-1-AP(Protein Tech) |
SMARCA4 fusion protein aa 207- 298 |
Rabbit polyclonal |
1:200 |
Sodium citrate pH 6 or Tris pH 10 |
Commercial antibodies to BRG1 used in our analysis
Abbreviations: aa: amino acid; TRIS: Tris base
Upon microscopic examination, as BRG1 is primarily a nuclear protein that adheres to the chromatin, a majority of the nuclei should stain positive in control cells (i.e., brown if DAB is used), whereas the nuclei of most of the negative control cells should only be visualized with the counter stain and should appear blue (Figure 1 and Figure 2 Panel A, A-C).
Figure 1 Determination of the sensitivity of antibodies to BRG1. The lung cancer-derived cell line H460 was used as a positive control to assess the sensitivity of various BRG1 antibodies: sc-374197 (A), sc-17796 (B), sc-10768 (C), LS-B5107 (D) and 21634-1-AP (E). All images are at 63x magnification. Scale bar=20µm.
Figure 2a Panel A. Determination of specificity of antibodies to BRG1. The lung cancer-derived cell line H522, which expresses neither BRG1 nor BRM, shows no immunoreactivity for BRG1 using sc-374197 (A), sc-10768 (B) or 21634-1-AP (C). H522 cells transiently transfected with BRG1 show mosaic immunoreactivity for the BRG1 antibodies sc-374197 (D), sc-10768 (E) and 21634-1-AP (F). When H522 cells were transiently transfected with BRM, cells stained negative with sc-374197 (G) and with 21634-1-AP (I), but there were some immunoreactive cells with sc-10768 (H). All images are 63x. Scale bar=20µm.
If an antibody does not stain a positive control cell line (Figure 1B), we assume that this antibody will not work in FFPE tissue sections, and thus we usually do not conduct further testing of these antibodies. If there is staining in the negative control cells, it is likely that the antibody is binding to another antigen with a similar amino acid sequence. In these cases, it is sometimes helpful to minimize nonspecific binding by using a dilute detergent in all staining steps. We also tested sc10768 on lung cancer-derived A549 cells, which express BRM,but not BRG1; as shown in Figure 2 Panel B.
Figure 2b Panel B. A BRG1 antibody that lacks specificity to BRG1. ICC with sc-10768 and lung cancer-derived A549 cells shown in (A) and (B), illustrate that this antibody is non-specific for BRG1, as A549 cells expression BRM but not BRG1. 63x magnification. Scale bar=20µm.
Some of the A549 cells were immunoreactive, which indicates that this antibody cross reacts with BRM.
Cell lines for the testing of antibody specificity
In order to determine the specificity of an antibody for BRG1, we transiently transfect BRG1 or BRM into a BRG1/BRM-negative cell line using the Polyplus Jet Prime DNA transfection reagent (Polyplus-transfection Inc., New York, USA). The advantage of this approach is that transient transfection is only about 50-60% effective in most cases, so this method generates both positive (antigen-expressing cells) and negative controls (cell that do not express the antigen) which can be viewed together on the same slide. After transfection, cultures are incubated for an additional 48-72 hours prior to fixation, to maximize the expression of the transfected antigen, in this case BRG1 or BRM. Since BRG1 and BRM have a high sequence homology, we use cell lines that are double-negative for both BRG1 and BRM as negative controls. Alternatively, selectively positive cell lines could be generated by selective knockdown of BRG1, BRM or both in a BRG1/BRMpositive cell line. It is critical to validate the cell lines used for these experiments, especially if the cell lines were obtained from a third party. While there are genotyping services and kits available for this purpose, it is usually possible to identify or at least distinguish two cell lines by sequencing for p53 mutations, as different cell lines usually harbor unique mutation sites which have been tabulated for most commonly-used cell lines. The staining pattern of BRG1/BRM-negative cells that are transfected with BRG1 should be mosaic, (Figure 2 Panel A, D-F), and the BRG1/BRM-negative cells transfected with BRM should show no immunoreactivity (Figure 2 Panel A, G-I). Since transfection efficiency is never 100%, and because the transfection is transient, some cells should be positive (brown), while others should be negative (blue). In contrast, BRG1/BRM-negative cells that were transfected with BRM and stained for BRG1 should stain negative (blue); if there are immunoreactive cells, the anti-BRG1 antibody likely cross-reacts with BRM (Figure 2 Panel A, H).
Generation of a cell line paraffin block for antigen retrieval
Once the specificity and selectivity are established by ICC, the next step in the work-up of a new antibody is to stain paraffinembedded cell lines which require the additional step of antigen retrieval (AR). Since the initial description of AR appeared in the literature over 2 decades ago [17], numerous AR methods have been published [18-21]. Although the methods for AR are varied, and include heat-mediated and enzyme-mediated AR as well as the use of detergents, to name a few, we primarily use heat-mediated antigen retrieval in a standard microwave [22]. Typically either a 10mM sodium citrate buffer (pH 6) or a 10mM Tris buffer (pH 10) can be used for most antibodies. However,occasionally an antibody will require a Tris buffer of pH 8 or 9. Alternatively, there are many pre-made buffers that are available commercially.
As a first step in the determination of the appropriate AR method, we must use a system where the expression of the antigen is known. Hence, the use of normal tissue or tumor can be problematic, as the expression patterns of particular antigens have often not been validated. To accomplish this step, we generate a paraffin block of a cell line that has been validated to express the antigen in question (by western blot for both the presence (positive control) and absence (negative control) of expression). As negative cell lines are sometimes difficult to identify, it is at times necessary to generate a negative cell line using shRNAi knockdown of the targeted protein. We use these FFPE blocks that contain cell lines that do and do not express the antigen of choice (i.e., a positive and negative control), in this case, BRG1. Typically, we use the same cell lines as those used in the ICC step except that we have fixed them in formalin and embedded them in paraffin. Therefore, in order to break the cross-linking caused by formalin fixation and to make the antigen accessible, heat and pressure at a specific pH over a specific time must be applied. Failure to obtain staining results is typically due to non-optimal AR, as the only difference between ICC and FFPE staining (paraffin-embedded) is the antigen retrieval step. Like many step within this protocol, the duration of antigen retrieval can be varied to determine the optimal staining conditions for each antibody, which is especially important if the formalin fixation times of a given tissue were prolonged. However, AR heating is usually performed for 15 or 20 minutes with a range 10-30 minutes.
To generate stainable cell lines under FFPE conditions, the production of cell blocks is a useful technique as it allows for the generation paraffin-embedded control cell lines, which ideally have been previously validated for antigen/protein expression by western blot. In a 15- mL conical tube, 200,000 to 500,000 cells are spun down for 5 minutes to form a cell pellet which is 50-100 µl in size. These cells are admixed and resuspended in 200 µL of fresh frozen plasma (FFP) by striking the side of the tube to form a uniform mixture. To form the gelatinous clot, about 2-3 drops (15-25 µl) of thrombin are added to the FFP-cell mixture, which generates a gelatin-like “clot” relatively quickly. Prior to the resuspension of the cells, washing of the cells with PBS and the removal of all residual PBS are required since residual FBS (from the culture media) or PBS will inhibit the thrombin and will prevent the “clot” formation.
After the cell mixture becomes gelatinous which typically occurs within 15 minutes, the cell “glob” is placed in a standard tissue cassette and fixed with 10% neutral buffered formalin. Ifthe mixture does not form a gelatinous substrate within a few minutes, it is likely that the thrombin is too old or that there is too much residual fluid. After a formalin fixation of at least 24 hours, the cells are processed and embedded in paraffin. However, a longer fixation time may mimic tissues that have been fixed for a much longer period of time and helps one to determine more difficult antigen retrieval conditions. Alternatively, a cell block can also be made by using low-temperature agarose. The cell pellet volume is estimated, and 3-4 volumes of low temperature (37-40°C) agarose is added to form a mixture which quickly congeals; it can then be placed into a plastic cassette similar to the FFP-cell gelatinous plug. The cassette is then placed in formalin for the appropriate length of time and embedded in paraffin which can be cut and stained on slides. Care must be taken to ensure that the agarose is slightly cooled before its addition to the cell pellet, otherwise the cell membranes may be disrupted. For this reason, low-temperature agarose, which is commercially available, is recommended for this step.
Determination of the optimal antigen retrieval method
Once a cell line paraffin block is obtained, slides are generated by cutting sections of desired thickness (generally 5-7 µm), the removal of paraffin using multiple xylene washes, followed by rehydration in graded alcohol solutions and finally, in water. To make the desired antigen accessible, the slide undergoes the antigen retrieval process as discussed above. This antigen retrieval step typically entails 15 minutes of heating on the HIGH setting with a range of 10-20 minutes. Underheating or overheating sections may result in a lack of staining, even when the antibody is viable and the antigen is present. Most if not all cells in the cell line block should stain relatively uniformly. However, when this is performed in tissues, which demonstrate a range of staining intensities, it is critical that internal positive controls are used to gauge the degree of staining from slide to slide. For BRG1 and BRM IHC, we have found that lymphocytes usually stain fairly consistently and with equal intensity. Alternatively, for problematic antibodies, a titration of the pH of the AR buffer from 11 to 5 can be attempted in order to maximize the sensitivity while minimizing cross-reactivity. We find this technique very useful in the identification of difficulties with the antigen retrieval step which can be a bit problematic especially if it is not known which buffer, pH or heating method works best for a specific antibody.
IHC Protocol
The steps for IHC are similar to those for ICC, with only a few differences. IHC slides are usually kept in a humidified staining box during incubation times. In addition, to limit the amount of staining solution used or to separate multiple sections on a single slide, a wax pencil or a hydrophobic barrier pen may be used to limit the region of staining (Super PAP Pen, 00- 8899, Life Technologies, Grand Island, NY, USA).As with cells on coverslips, it is imperative to check the slides every 2-3 minutes during the DAB incubation to ensure that the tissues are adequately stained and to ensure that they are not overstained. To enhance the contrast of the stained slide, counterstaining is usually performed with hematoxylin. However, the colors of the primary stain and counterstain must be carefully matched so the counterstain does not mask or block the primary staining. Moreover, the solubility of the chromogen is also important. For example, the chromogen AEC is soluble in alcohol, and therefore counterstaining with Mayer’s hematoxylin is preferred over the alcohol-containing Harris’s hematoxylin [14]. After sections are dipped in bluing reagent, slides are dehydrated by graded alcohol solutions and finally washed with xylene, prior to mounting with Permount. An aqueous medium may also be used which does not require dehydration of the tissue specimens. In the event that a tissue specimen is deemed insufficiently counterstained, a slide may be re-counterstained by removal of the coverslip by soaking the section in xylene to dissolve the organic mounting medium. On the contrary, if an aqueous mounting medium is used, it may be necessary to soak the slide in deionized water. Some chromogens such as DAB are permanent, so if re-staining the same tissue section in the future may be required, a nonpermanent chromogen (e.g., AEC) should be used. Finally, if DAB is used or if an organic mounting medium is used, storage at room temperate is sufficient. However, if AEC and or an aqueous mounting medium are used, storage at 4°C may help minimize fading of the chromogen. Using a sealant such as clear nail polish may help prevent evaporation of the aqueous mounting medium while the slides are kept at 4°C [14].
BRG1 antibodies for IHC
We have tested a variety of commercial BRG1 antibodies in our laboratory using the methods described above. These antibodies are listed in Table 1. Our lab has evaluated antibodies in addition to those listed in Table 1, but they were not included in this review if they were not validated by our laboratory for ICC or IHC (i.e., all staining was negative). The mouse monoclonal antibody gifted to us by Dr. Chambon was produced in his laboratory, and after we verified its specificity for BRG1, have used this antibody as the “gold standard” against which we compare all commercial BRG1antibodies. Examples of IHC with this antibody in a human lung tumor and a murine lung tumor are shown in Figure 3 Panel A.
Figure 3a Panel A: A human FFPE NSCLC specimen stained with our gold standard mouse monoclonal antibody (gift from Pierre Chambon) at a 1:100 dilution (A). A murine tumor stained with the same antibody at a 1:100 dilution (B). 40x magnification. Scale bar=20µm.
RESULTS AND DISCUSSION
Testing the sensitivity of BRG1 antibodies
We first performed ICC on the lung cancer-derived cell line H460, which expresses both BRG1 and BRM, in order to test the sensitivity of the commercial antibodies listed in Table 1. H460 cells stained positive with all commercial antibodies that were tested with the exception of sc-17796 (Figure 1). The rabbit polyclonal sc-10768 showed a mosaic staining pattern (Figure1C), but did not show this same pattern in tissue sections. We also stained the lung cancer-derived cell line H522, which expresses neither BRG1 nor BRM. We did not stain H522 cells with sc17796 since this antibody failed to stain the positive control (H460). None of the H522 cells stained positive with any of the commercial antibodies, including LS-5107 (data not shown), which indicates that these antibodies likely do not recognize proteins other than BRG1 and or BRM that may be expressed in this cell line (Figure 2A-C).
Testing the specificity of BRG1 antibodies
In order to determine the specificity of each antibody for BRG1, we transiently transfected the H522 cells with either BRG1 or BRM, and then stained with each of the 5 commercial antibodies. Data for sc-374197, sc-10768, and 21634-1-AP are shown in Figure 2. As expected, all 3 antibodies produced a mosaic expression pattern in H522 cells that were transfected with BRG1, as the transfection efficiency is never 100%. However, after transient transfection of H522 cells with BRM, ICC with sc-10768 demonstrates some immunopositivity, which indicates cross-reactivity of this antibody with BRM (Figure 2 Panel A). To verify that this antibody does indeed cross-react with BRM, we also stained the lung cancer-derived cell line A549, which expresses BRM but not BRG1 (Figure 2 Panel B). Again, we found that this cell was immunoreactive for sc-10768, which indicates that this antibody is non-specific for BRG1. A Western blot also demonstrated the non-specificity of this antibody, as multiple bands of various sizes were obtained (data not shown). In certain situations, a cross-reacting polyclonal antibody can be salvaged. To remove cross-reactivity, an acetone powder is produced from a cell line that demonstrates cross reactivity but that does not express the desired antigen. After the acetone power is generated, an equal volume of the powder and antibody solution is incubated for 24-72 hours at 4°C or 37°C, after which the solution is centrifuged at high speed for 1-2 hours; the liquid phase is removed, and the antibody is then retested. Typical, a majority of cross-reactivity can be quenched using this technique.
BRG1 IHC of human NSCLC and murine lung tumors
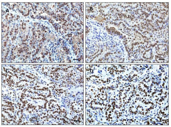
We then performed IHC on human- and murine-derived lung tumors to determine the ability of these commercial antibodies to detect BRG1 in FFPE. We typically use NSCLC specimens to detect BRG1 and or BRM, as these lung tumors only demonstrate a 15-30% loss of BRG1 and a 20-40% loss of BRM as determined by IHC [23]. A human non-small cell lung cancer (NSCLC) was stained with our gold standard mouse monoclonal (gift from Pierre Chambon) (Figure 3 Panel A), and subsequent sections of the same tumor were stained with the antiBRG1 rabbit polyclonal from Protein Tech, a goat polyclonal antibody from Life Span Biosciences, and a mouse monoclonal antibody from Santa Cruz (Figure 3 Panels B and C).
Figure 3b Panel B. High magnification (40x) of a human lung tumor stained with sc-374197 (A), LS-B5107 (B) and 21634-1-AP (C). None of these antibodies showed high background or nonspecific staining in the human tumors that were tested. 40x magnification. Scale bar=20µm
Figure 3c Panel C. A murine lung tumor at 40x magnification stained with sc-374197 (A), sc-10768 (B), LS-B5107 (C) and 21634-1-AP, pH6 (D).As in Panel A, nonspecific background staining is observed in (A), since this was a mouse antibody applied to mouse tissue. The goal polyclonal antibody from LifeSpan Biosciences and the rabbit polyclonal antibody from PT give crisp, clear staining in tissues derived from both mouse and human. All images at 40x magnification. Scale bar=20µm.
The mouse monoclonal antibody to BRG1 demonstrates some non-specific staining and high background due to the nature of using both mouse tissue and an antibody made in mouse (Figure 3 Panel C, A). However, this antibody is still specific for BRG1, and the issue of high background can be overcome with the use of a M.O.M. Kit (BMK2202, Vector Labs). The rabbit polyclonal sc-10768 works well for FFPE tissue sections, but is not specific for BRG1, as the BRG1/BRM-negative cell line H522 stained positive with this antibody when transfected with BRM.
CONCLUSION
As more companies continue to produce antibodies and as the number of available antibodies increases, it will be of the utmost importance for each investigator and clinician to test each antibody for sensitivity and specificity prior to its application for research or diagnostics. Specifically, BRG1, BRM and other subunits of the SWI/SNF complex are becoming recognized as tumor suppressors, and there is evidence that at least as a subset of these proteins may be used as diagnostic or prognostic biomarkers. Therefore, it is imperative that researchers and clinicians have at their disposal the specific antibodies to BRG1, and if necessary, the tools to determine the sensitivity and specificity of almost any antibody that they might require.
REFERENCES
- Matos LL, Trufelli DC, de Matos MG, da Silva Pinhal MA. Immunohistochemistry as an important tool in biomarkers detection and clinical practice. Biomark Insights. 2010; 5: 9-20.
- Matos LL, Trufelli DC, de Matos MG, da Silva Pinhal MA. Immunohistochemistry as an important tool in biomarkers detection and clinical practice. Biomark Insights. 2010; 5: 9-20.
- Shen H, Powers N, Saini N, Comstock CE, Sharma A, Weaver K. The SWI/SNF ATPase Brm is a gatekeeper of proliferative control in prostate cancer. Cancer Res. 2008; 68: 10154-10162.
- Glaros S, Cirrincione GM, Muchardt C, Kleer CG, Michael CW, Reisman D. The reversible epigenetic silencing of BRM: implications for clinical targeted therapy. Oncogene. 2007; 26: 7058-7066.
- Endo M, Yasui K, Zen Y, Gen Y, Zen K, Tsuji K. Alterations of the SWI/SNF chromatin remodelling subunit-BRG1 and BRM in hepatocellular carcinoma. Liver Int. 2013; 33: 105-117.
- Oike T. A synthetic lethality-based strategy to treat cancers harboring a genetic deficiency in the chromatin remodeling factor BRG1. Cancer Res. 73: 5508-5518.
- Matsubara D, Kishaba Y, Ishikawa S, Sakatani T, Oguni S, Tamura T. Lung cancer with loss of BRG1/BRM, shows epithelial mesenchymal transition phenotype and distinct histologic and genetic features. Cancer Sci. 2013; 104: 266-273.
- Reisman DN, Sciarrotta J, Wang W, Funkhouser WK, Weissman BE. Loss of BRG1/BRM in human lung cancer cell lines and primary lung cancers: correlation with poor prognosis. Cancer Res. 2003; 63: 560-566.
- Reisman D, Glaros S, Thompson EA. The SWI/SNF complex and cancer. Oncogene. 2009; 28: 1653-1668.
- Fukuoka J, Fujii T, Shih JH, Dracheva T, Meerzaman D, Player A. Chromatin remodeling factors and BRM/BRG1 expression as prognostic indicators in non-small cell lung cancer. Clin Cancer Res. 2004; 10: 4314-4324.
- Bai J, Mei P, Zhang C, Chen F, Li C, Pan Z. BRG1 is a prognostic marker and potential therapeutic target in human breast cancer. PLoS One. 2013; 8: e59772.
- Yamamichi N, Inada K, Ichinose M, Yamamichi-Nishina M, Mizutani T, Watanabe H. Frequent loss of Brm expression in gastric cancer correlates with histologic features and differentiation state. Cancer Res. 2007; 67: 10727-10735.
- Numata M, Morinaga S, Watanabe T, Tamagawa H, Yamamoto N, Shiozawa M. The clinical significance of SWI/SNF complex in pancreatic cancer. Int J Oncol. 2013; 42: 403-410.
- Cohet N, Stewart KM, Mudhasani R, Asirvatham AJ, Mallappa C, Imbalzano KM. SWI/SNF chromatin remodeling enzyme ATPases promote cell proliferation in normal mammary epithelial cells. J Cell Physiol. 2010; 223: 667-678.
- Renshaw S. Immunohistochemistry: Methods Express, ed. S. Renshaw. 2007, Bloxham, UK: Scion Publishing Limited. Loos C M v d. Multiple Immunoenzyme Staining: Methods and Visualizations
- van der Loos CM. Multiple immunoenzyme staining: methods and visualizations for the observation with spectral imaging. J Histochem Cytochem. 2008; 56: 313-328.
- Loos CMvd. Chromogens in Multiple Immunohistochemical Staining Used for Visual Assessment and Spectral Imaging: The Colorful Future.Journal of Histotechnology, 2010.33: 31-40.
- Shi SR, Coté C, Kalra KL, Taylor CR, Tandon AK. A technique for retrieving antigens in formalin-fixed, routinely acid-decalcified, celloidin-embedded human temporal bone sections for immunohistochemistry. J Histochem Cytochem. 1992; 40: 787-792.
- Kajiya, H., et al., Selection of buffer pH by the isoelectric point of the antigen for the efficient heat-induced epitope retrieval: re-appraisal for nuclear protein pathobiology.Histochem Cell Biol, 2009.132(6): p. 659-67.
- O'Leary TJ, Fowler CB, Evers DL, Mason JT. Protein fixation and antigen retrieval: chemical studies. Biotech Histochem. 2009; 84: 217-221.
- Shi SR, Cote RJ, Young L, Imam SA, Taylor CR. Use of pH 9.5 Tris-HCl buffer containing 5% urea for antigen retrieval immunohistochemistry. Biotech Histochem. 1996; 71: 190-196.
- Shi SR, Chaiwun B, Young L, Imam A, Cote RJ, Taylor CR. Antigen retrieval using pH 3.5 glycine-HCl buffer or urea solution for immunohistochemical localization of Ki-67. Biotech Histochem. 1994; 69: 213-215.
- Taylor CR, Shi SR, Chen C, Young L, Yang C, Cote RJ. Comparative study of antigen retrieval heating methods: microwave, microwave and pressure cooker, autoclave, and steamer. Biotech Histochem. 1996; 71: 263-270.
- Marquez SB, T.K., Kahali B, Lu L, Reisman D, Beyond Mutations: Additional Mechanisms and Implications of SWI/SNF Complex Inactivation.Cancer Discovery, 2014.In Press.





