Loading

Annals of Clinical Pathology

Topographic Cell Cluster Sequencing Reveals Evolution Relationship and Driver Genes for Metastatic Invasive Micropapillary Carcinoma

Research Article | Open Access | Volume 10 | Issue 1

  • 1. Department of Laboratory Medicine, Third Affiliated Hospital of Zhengzhou University, China
  • 2. Department of Breast Cancer Pathology and Research Laboratory, Tianjin Medical University Cancer Institute and Hospital, China
+ Show More - Show Less
Corresponding Authors
Li Fu, Department of Breast Cancer Pathology and Research Laboratory, Tianjin Medical University Cancer Institute and Hospital, Tianjin, 300060, China, Email: fuli@ tmu.edu.cn
Citation

Shi Q, Fu L (2023) Topographic Cell Cluster Sequencing Reveals Evolution Relationship and Driver Genes for Metastatic Invasive Micropapillary Carcinoma. Ann Clin Pathol 10(1): 1164.

INTRODUCTION

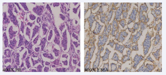
Invasive micropapillary carcinoma (IMPC) has very high rates of lymphovascular invasion and lymph node metastasis and has been reported in several organs [1-5]. Morphologically, IMPC tumor cells adhere to cell clustered structures with polarity reversed and located within empty stromal spaces, and tumor cells in recurrence, invasion, and metastasis are also arranged into cell cluster structures (Figure 1).

The IMPC tumor cells adhere to cell clustered structures with polarity reversed and located within empty stromal spaces.

Figure 1: The IMPC tumor cells adhere to cell clustered structures with polarity reversed and located within empty stromal spaces.

Clinically, IMPC exhibits higher rates of lymphovascular invasion, lymph node metastasis, recurrence, and distant metastasis, and a poorer prognosis [6,7]. The unique clustered growth pattern and aggressive biological behaviors make IMPC a good model for studying the mechanism of breast cancer invasion and metastasis.

In the past few years, we have been committed to the mechanisms of high invasion and metastasis of breast IMPC since 1994 [6]. It was found that IMPC is not only in the primary tumor but also in the invaded lymphovascular and metastatic lymph nodes, the tumor cells are arranged in tumor cell clusters with reversed polarity. Therefore, we proposed a hypothesis that “IMPC tumor cells growth, invasion and metastasis with clustered arrangement”. A series of studies also revealed by our team successfully examined the pathology, clinical features, and metastatic mechanism of the “clustered metastasis of IMPC tumor cells” [8-11]. Recently our team revealed the transcriptome of IMPC and reveals its extensive heterogeneity employed by spatial transcriptomics sequencing [12]. We also revealed the mechanism of tumor cell cluster invasion and metastasis in IMPC of the breast performed by single-cell RNA sequencing (unpublished data). However, the genomic variants and evolutionary relationship of tumor cell clusters of IMPC not yet revealed.

To address this possibility, in our recent study published in Nature Communications, topographic cell cluster sequencing (TCCS) was used to reveal the genomic features and evolutionary relationship of IMPC tumor cell clusters [13]. TCCS is a new method combined with laser-capture microdissection (LCM), spatial information of cell clusters in tissue sections and DNA sequencing. This method not only obtains the sequencing data from tumor cell clusters of IMPC but also the spatial location information of tumor cell clusters in the tissue sections. It is also possible to study the evolution of the invasion and metastasis of IMPC tumor cell clusters from primary to lymph node metastases.

Our data demonstrated that compared to SNV, CNV played a stronger correlation with the potential of IMPC lymph node metastasis, thus supporting that CNV plays a more important role in the characteristic of IMPC high lymph node metastasis. This indicates that our focus on CNVs is the key to research the invasion and metastasis mechanism of IMPC. So, we further found that primary IMPC components have far more unique genes than IDC, for example, the copy-number loss of AKT3, CCND1, and gains of MYCN, genes were observed in IMPC. Furthermore, IMPC and IDC accumulate more specific CNVs during metastasis than primary tumors. Our team previously found that even if the proportion of IMPC component was small, the lymphovascular invasion and lymph node metastasis was higher than IDC, and the metastatic lymph nodes are mainly IMPC components [8].

We constructed the evolutionary relationship of IMPC tumor cell clusters in the primary tumor, and found that the tumor cell clusters in the primary lesions were heterogeneous, and the cell clusters located inside the tissue sections were in the early stages of tumor evolution, and the cell clusters outside the tissue section were in the late stage of tumor evolution. This suggests that tumor cell clusters located at the edge of tumor tissue sections accumulate more CNV genes and have stronger invasion and metastasis capabilities. To further reveal the metastatic path of IMPC tumor cell clusters, we constructed a phylogenetic tree between tumor cell clusters from the primary tumor to metastatic lymph nodes. It was found that the cell clusters in metastatic foci originated from a single subclone in the primary tumor. This indicates that IMPC is invaded and metastasized using a monoclonal metastatic seed route. Further analysis of the genomic CNV characteristics of the monoclonal metastatic seed showed that the copy-number losses of PRDM16, IGSF9 genes and the copy-number gain of the ALDH2 gene were the highly frequency genomic CNV characteristics of IMPC monoclonal metastatic seed. This manifests that PRDM16, IGSF9, and ALDH2 genes are the key driving genes for IMPC high lymph node metastasis. Immunohistochemistry results of 86 IMPC patients also demonstrated that low expression of IGSF9 and PRDM16 and high expression of ALDH2 are significantly associated with lymph node metastasis of IMPC.

Overall, we found that genomic CNV plays a more critical role in the biological behavior of IMPC’s highly metastasis. In addition, IMPC evolves with monoclonal metastatic seed. Harboring the copy-number losses of PRDM16, IGSF9 genes, and the copynumber gain of the ALDH2 gene, tumor cell cluster will easier break away from the primary tumor, invade and metastases to lymph nodes (Figure 2).

The monoclonal metastatic seed harboring the copy-number losses of PRDM16, IGSF9 genes, and the copy-number gain of the ALDH2 gene in IMPC primary tumor

Figure 2: The monoclonal metastatic seed harboring the copy-number losses of PRDM16, IGSF9 genes, and the copy-number gain of the ALDH2 gene in IMPC primary tumor

These three genes identified in this study provide key targets for precise diagnosis and treatment of IMPC patients.

Based on this least research result, Prof. Li Fu recently has led a team to jointly marker ALDH2 and the overexpressed folate receptor-α (FR-α) on the surface of tumor cells for in vivo visualization of pathological diagnosis research (Figure 3).

Schematic diagram of non-invasive pathological diagnosis of in vivo visualization of ALDH2 and folate receptor-?

Figure 3: Schematic diagram of non-invasive pathological diagnosis of in vivo visualization of ALDH2 and folate receptor-α

Correlate the fluorescence imaging characteristics of ALDH2 and FR-α, the key molecules of breast cancer metastasis seed cell evolution, with tumor cell localization, establish a functional classification index system for invasive/metastatic breast cancer, and form a non-invasive pathological diagnosis of breast cancer and surgical navigation. New technology, dedicated to improving survival and quality of life for breast cancer patients.

REFERENCES
  1. Siriaunkgul S, Tavassoli FA. Invasive micropapillary carcinoma of the breast. Mod Pathol. 1993; 6: 660-2.
  2. Amin MB, Ro JY, el-Sharkawy T, Lee KM, Troncoso P, Silva EG, et al. Micropapillary variant of transitional cell carcinoma of the urinary bladder. Histologic pattern resembling ovarian papillary serous carcinoma. Am J Surg Pathol. 1994; 18: 1224-32.
  3. Sakamoto K, Watanabe M, De La Cruz C, Honda H, Ise H, Mitsui K, et al. Primary invasive micropapillary carcinoma of the colon. Histopathology. 2005; 47: 479- 84.
  4. Kuroda N, Hamaguchi N, Ohara M, Hirouchi T, Miyzaki E, Mizuno K. Intracytoplasmic lumina in invasive micropapillary carcinoma of the lung. Diagn Cytopathol. 2006; 34: 224-6.
  5. Kitagawa H, Nakamura M, Tani T, Tajima H, Nakagawara H, Ohnishi I, et al. A pure invasive micropapillary carcinoma of the pancreatic head: Long disease- free survival after pancreatoduodenectomy and adjuvant chemotherapy with gemcitabine. Pancreas. 2007; 35: 190-2.
  6. Fu L, Ikuo M, Fu XY, Liu TH, Shinichi T. [relationship between biologic behavior and morphologic features of invasive micropapillary carcinoma of the breast]. Zhonghua Bing Li Xue Za Zhi. 2004; 33: 21-5.
  7. Guo X, Chen L, Lang R, Fan Y, Zhang X, Fu L. Invasive micropapillary carcinoma of the breast: Association of pathologic features with lymph node metastasis. Am J Clin Pathol. 2006; 126: 740-6.
  8. Cui LF, Guo XJ, Wei J, Liu FF, Fan Y, Lang RG, et al. Overexpression of tnf-alpha and tnfrii in invasive micropapillary carcinoma of the breast: Clinicopathological correlations. Histopathology. 2008; 53: 381-8.
  9. Liu F, Lang R, Wei J, Fan Y, Cui L, Gu F, et al. Increased expression of sdf-1/cxcr4 is associated with lymph node metastasis of invasive micropapillary carcinoma of the breast. Histopathology. 2009; 54: 741-50.
  10. Li W, Liu F, Lei T, Xu X, Liu B, Cui L, et al. The clinicopathological significance of cd44+/cd24-/low and cd24+ tumor cells in invasive micropapillary carcinoma of the breast. Pathol Res Pract. 2010; 206: 828-34.
  11. Li S, Yang C, Zhai L, Zhang W, Yu J, Gu F, et al. Deep sequencing reveals small rna characterization of invasive micropapillary carcinomas of the breast. Breast Cancer Res Treat. 2012; 136: 77-87.
  12. Lv J, Shi Q, Han Y, Li W, Liu H, Zhang J, et al. Spatial transcriptomics reveals gene expression characteristics in invasive micropapillary carcinoma of the breast. Cell death & disease. 2021; 12: 1095.
  13. Shi Q, Shao K, Jia H, Cao B, Li W, Dong S, et al. Genomic alterations and evolution of cell clusters in metastatic invasive micropapillary carcinoma of the breast. Nature Communications. 2022; 13: 111.

Shi Q, Fu L (2023) Topographic Cell Cluster Sequencing Reveals Evolution Relationship and Driver Genes for Metastatic Invasive Micropapillary Carcinoma. Ann Clin Pathol 10(1): 1164.

Received : 28 Mar 2023
Accepted : 27 Apr 2023
Published : 27 Apr 2023
Journals
Annals of Otolaryngology and Rhinology
ISSN : 2379-948X
Launched : 2014
JSM Schizophrenia
Launched : 2016
Journal of Nausea
Launched : 2020
JSM Internal Medicine
Launched : 2016
JSM Hepatitis
Launched : 2016
JSM Oro Facial Surgeries
ISSN : 2578-3211
Launched : 2016
Journal of Human Nutrition and Food Science
ISSN : 2333-6706
Launched : 2013
JSM Regenerative Medicine and Bioengineering
ISSN : 2379-0490
Launched : 2013
JSM Spine
ISSN : 2578-3181
Launched : 2016
Archives of Palliative Care
ISSN : 2573-1165
Launched : 2016
JSM Nutritional Disorders
ISSN : 2578-3203
Launched : 2017
Annals of Neurodegenerative Disorders
ISSN : 2476-2032
Launched : 2016
Journal of Fever
ISSN : 2641-7782
Launched : 2017
JSM Bone Marrow Research
ISSN : 2578-3351
Launched : 2016
JSM Mathematics and Statistics
ISSN : 2578-3173
Launched : 2014
Journal of Autoimmunity and Research
ISSN : 2573-1173
Launched : 2014
JSM Arthritis
ISSN : 2475-9155
Launched : 2016
JSM Head and Neck Cancer-Cases and Reviews
ISSN : 2573-1610
Launched : 2016
JSM General Surgery Cases and Images
ISSN : 2573-1564
Launched : 2016
JSM Anatomy and Physiology
ISSN : 2573-1262
Launched : 2016
JSM Dental Surgery
ISSN : 2573-1548
Launched : 2016
Annals of Emergency Surgery
ISSN : 2573-1017
Launched : 2016
Annals of Mens Health and Wellness
ISSN : 2641-7707
Launched : 2017
Journal of Preventive Medicine and Health Care
ISSN : 2576-0084
Launched : 2018
Journal of Chronic Diseases and Management
ISSN : 2573-1300
Launched : 2016
Annals of Vaccines and Immunization
ISSN : 2378-9379
Launched : 2014
JSM Heart Surgery Cases and Images
ISSN : 2578-3157
Launched : 2016
Annals of Reproductive Medicine and Treatment
ISSN : 2573-1092
Launched : 2016
JSM Brain Science
ISSN : 2573-1289
Launched : 2016
JSM Biomarkers
ISSN : 2578-3815
Launched : 2014
JSM Biology
ISSN : 2475-9392
Launched : 2016
Archives of Stem Cell and Research
ISSN : 2578-3580
Launched : 2014
Annals of Clinical and Medical Microbiology
ISSN : 2578-3629
Launched : 2014
JSM Pediatric Surgery
ISSN : 2578-3149
Launched : 2017
Journal of Memory Disorder and Rehabilitation
ISSN : 2578-319X
Launched : 2016
JSM Tropical Medicine and Research
ISSN : 2578-3165
Launched : 2016
JSM Head and Face Medicine
ISSN : 2578-3793
Launched : 2016
JSM Cardiothoracic Surgery
ISSN : 2573-1297
Launched : 2016
JSM Bone and Joint Diseases
ISSN : 2578-3351
Launched : 2017
JSM Bioavailability and Bioequivalence
ISSN : 2641-7812
Launched : 2017
JSM Atherosclerosis
ISSN : 2573-1270
Launched : 2016
Journal of Genitourinary Disorders
ISSN : 2641-7790
Launched : 2017
Journal of Fractures and Sprains
ISSN : 2578-3831
Launched : 2016
Journal of Autism and Epilepsy
ISSN : 2641-7774
Launched : 2016
Annals of Marine Biology and Research
ISSN : 2573-105X
Launched : 2014
JSM Health Education & Primary Health Care
ISSN : 2578-3777
Launched : 2016
JSM Communication Disorders
ISSN : 2578-3807
Launched : 2016
Annals of Musculoskeletal Disorders
ISSN : 2578-3599
Launched : 2016
Annals of Virology and Research
ISSN : 2573-1122
Launched : 2014
JSM Renal Medicine
ISSN : 2573-1637
Launched : 2016
Journal of Muscle Health
ISSN : 2578-3823
Launched : 2016
JSM Genetics and Genomics
ISSN : 2334-1823
Launched : 2013
JSM Anxiety and Depression
ISSN : 2475-9139
Launched : 2016
Clinical Journal of Heart Diseases
ISSN : 2641-7766
Launched : 2016
Annals of Medicinal Chemistry and Research
ISSN : 2378-9336
Launched : 2014
JSM Pain and Management
ISSN : 2578-3378
Launched : 2016
JSM Women's Health
ISSN : 2578-3696
Launched : 2016
Clinical Research in HIV or AIDS
ISSN : 2374-0094
Launched : 2013
Journal of Endocrinology, Diabetes and Obesity
ISSN : 2333-6692
Launched : 2013
Journal of Substance Abuse and Alcoholism
ISSN : 2373-9363
Launched : 2013
JSM Neurosurgery and Spine
ISSN : 2373-9479
Launched : 2013
Journal of Liver and Clinical Research
ISSN : 2379-0830
Launched : 2014
Journal of Drug Design and Research
ISSN : 2379-089X
Launched : 2014
JSM Clinical Oncology and Research
ISSN : 2373-938X
Launched : 2013
JSM Bioinformatics, Genomics and Proteomics
ISSN : 2576-1102
Launched : 2014
JSM Chemistry
ISSN : 2334-1831
Launched : 2013
Journal of Trauma and Care
ISSN : 2573-1246
Launched : 2014
JSM Surgical Oncology and Research
ISSN : 2578-3688
Launched : 2016
Annals of Food Processing and Preservation
ISSN : 2573-1033
Launched : 2016
Journal of Radiology and Radiation Therapy
ISSN : 2333-7095
Launched : 2013
JSM Physical Medicine and Rehabilitation
ISSN : 2578-3572
Launched : 2016
Annals of Cardiovascular Diseases
ISSN : 2641-7731
Launched : 2016
Journal of Behavior
ISSN : 2576-0076
Launched : 2016
Annals of Clinical and Experimental Metabolism
ISSN : 2572-2492
Launched : 2016
Clinical Research in Infectious Diseases
ISSN : 2379-0636
Launched : 2013
JSM Microbiology
ISSN : 2333-6455
Launched : 2013
Journal of Urology and Research
ISSN : 2379-951X
Launched : 2014
Journal of Family Medicine and Community Health
ISSN : 2379-0547
Launched : 2013
Annals of Pregnancy and Care
ISSN : 2578-336X
Launched : 2017
JSM Cell and Developmental Biology
ISSN : 2379-061X
Launched : 2013
Annals of Aquaculture and Research
ISSN : 2379-0881
Launched : 2014
Clinical Research in Pulmonology
ISSN : 2333-6625
Launched : 2013
Journal of Immunology and Clinical Research
ISSN : 2333-6714
Launched : 2013
Annals of Forensic Research and Analysis
ISSN : 2378-9476
Launched : 2014
JSM Biochemistry and Molecular Biology
ISSN : 2333-7109
Launched : 2013
Annals of Breast Cancer Research
ISSN : 2641-7685
Launched : 2016
Annals of Gerontology and Geriatric Research
ISSN : 2378-9409
Launched : 2014
Journal of Sleep Medicine and Disorders
ISSN : 2379-0822
Launched : 2014
JSM Burns and Trauma
ISSN : 2475-9406
Launched : 2016
Chemical Engineering and Process Techniques
ISSN : 2333-6633
Launched : 2013
Annals of Clinical Cytology and Pathology
ISSN : 2475-9430
Launched : 2014
JSM Allergy and Asthma
ISSN : 2573-1254
Launched : 2016
Journal of Neurological Disorders and Stroke
ISSN : 2334-2307
Launched : 2013
Annals of Sports Medicine and Research
ISSN : 2379-0571
Launched : 2014
JSM Sexual Medicine
ISSN : 2578-3718
Launched : 2016
Annals of Vascular Medicine and Research
ISSN : 2378-9344
Launched : 2014
JSM Biotechnology and Biomedical Engineering
ISSN : 2333-7117
Launched : 2013
Journal of Hematology and Transfusion
ISSN : 2333-6684
Launched : 2013
JSM Environmental Science and Ecology
ISSN : 2333-7141
Launched : 2013
Journal of Cardiology and Clinical Research
ISSN : 2333-6676
Launched : 2013
JSM Nanotechnology and Nanomedicine
ISSN : 2334-1815
Launched : 2013
Journal of Ear, Nose and Throat Disorders
ISSN : 2475-9473
Launched : 2016
JSM Ophthalmology
ISSN : 2333-6447
Launched : 2013
Journal of Pharmacology and Clinical Toxicology
ISSN : 2333-7079
Launched : 2013
Annals of Psychiatry and Mental Health
ISSN : 2374-0124
Launched : 2013
Medical Journal of Obstetrics and Gynecology
ISSN : 2333-6439
Launched : 2013
Annals of Pediatrics and Child Health
ISSN : 2373-9312
Launched : 2013
JSM Clinical Pharmaceutics
ISSN : 2379-9498
Launched : 2014
JSM Foot and Ankle
ISSN : 2475-9112
Launched : 2016
JSM Alzheimer's Disease and Related Dementia
ISSN : 2378-9565
Launched : 2014
Journal of Addiction Medicine and Therapy
ISSN : 2333-665X
Launched : 2013
Journal of Veterinary Medicine and Research
ISSN : 2378-931X
Launched : 2013
Annals of Public Health and Research
ISSN : 2378-9328
Launched : 2014
Annals of Orthopedics and Rheumatology
ISSN : 2373-9290
Launched : 2013
Journal of Clinical Nephrology and Research
ISSN : 2379-0652
Launched : 2014
Annals of Community Medicine and Practice
ISSN : 2475-9465
Launched : 2014
Annals of Biometrics and Biostatistics
ISSN : 2374-0116
Launched : 2013
JSM Clinical Case Reports
ISSN : 2373-9819
Launched : 2013
Journal of Cancer Biology and Research
ISSN : 2373-9436
Launched : 2013
Journal of Surgery and Transplantation Science
ISSN : 2379-0911
Launched : 2013
Journal of Dermatology and Clinical Research
ISSN : 2373-9371
Launched : 2013
JSM Gastroenterology and Hepatology
ISSN : 2373-9487
Launched : 2013
Annals of Nursing and Practice
ISSN : 2379-9501
Launched : 2014
JSM Dentistry
ISSN : 2333-7133
Launched : 2013
Author Information X