Strangulated Small Bowel in a Spigelian Hernia and a Review of the Literature
- 1. Department of General Surgery, Royal Perth Hospital, Australia
Abstract
Spigelian hernia was named after the Belgian anatomist Adriaan van den Spieghel who first described the semilunar line in 1645. Spigelian hernia remains an exceedingly rare abdominal wall defect amongst all the abdominal wall hernias. It has a reported incidence of 0.2 to 2% in the literature. Clinical diagnosis of Spigelian hernia remains a challenge to all clinicians due to its vague and non-specific signs and symptoms. As a consequence, most patients often present to the emergency department with incarceration of Spigelian hernia as the first visit. The risk of strangulation of Spigelian hernia is thought to be ranged between 17 to 24%. Computed tomography is the most helpful imaging tool in diagnosing Spigelian hernia and guide pre-operative planning. Herein, we report a case of a 78-year-old man who presented with strangulated loop of small bowel in a right-sided Spigelian hernia in the setting of newer anticoagulation (Factor Xa inhibitor). We also aimed toreview the literature with a focus on emergency approaches for incarcerated Spigelian hernia.
Keywords
Spigelian hernia; Strangulation; Bowel resection; Hernia repair
Citation
Zi Qin NG, Willy LOW, Pradeep S, Joel S (2017) Strangulated Small Bowel in a Spigelian Hernia and a Review of the Literature. Ann Emerg Surg 2(2): 1011.
ABBREVIATIONS
SH: Spigelian Hernia; COPD: Chronic Obstructive Pulmonary Disease; CT: Computer Tomography; TEPP: Transabdominal Extraperitoneal Patch; TAPP: Transabdominal Preperitoneal; IPOM: Intraperitoneal Onlay Mesh
INTRODUCTION
Spigelian hernia was credited to the Belgian anatomist Adriaan van den Spieghel who first described the semilunar line in 1645, although it was first reported by Klinkosch in 1764. Spigelian hernia (SH) remains a rare entity of abdominal wall hernias with a reported incidence of 2% [1]. The clinical manifestation is usually non-specific and can be easily missed and a significant proportion of patient present with incarceration of SH in their first visit [2]. Surgical intervention is the gold standard for the management of SHs. Over the past decade, there has been advancement in minimally invasive techniques for repair of SHs with reasonably good outcomes. Nevertheless, the data has been restricted to mostly elective repairs of SH. Herein; we report the management of a case of strangulated small bowel in a Spigelian hernia in the setting of a newer anticoagulation (Factor Xa inhibitor). We also aimed to review the literature with anemphasis on the emergency surgical approaches for incarcerated SHs.
CASE PRESENTATION
78-year-old man presented with one-day history of sudden onset of lower abdominal pain whilst walking in a local store. He described the pain as intermittent, burning in nature and radiates to right lower quadrant. There was no nausea or vomiting. He opened his bowels the day before and denied any recent change in bowel habits. There was no history of chronic abdominal pain or lump over the past one year. Other significant past medical history included right inguinal hernia repair, type 2 diabetes mellitus, previous stroke, a trial fibrillation in which he takes a Factor Xa inhibitor for stroke prevention and chronic obstructive pulmonary disease (COPD).
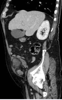
On examination, his vital signs were normal. His abdomen was soft and tender around right lower quadrant. A mass was also palpable at the right lower quadrant. Biochemistry examination revealed mildly raised white cell count (13 x 10* 9/L) and lactate of 2.4mmol/L). The computed tomography (CT) of abdomen/ pelvis demonstrated strangulated small bowel loops within a right SH (Figure 1, 2 and 3).
Figure 1: Axial view of CT scan showing herniated small bowel loop in a right Spigelian hernia (arrow).
Figure 2: Coronal view of CT scan showing incarcerated small bowel loops in a right Spigelian hernia. The adjacent soft tissue edema is suggestive of strangulation (arrow).
Figure 3: Right Spigelian hernia containing small bowel loop in sagittal view of CT scan.
A midline exploratory laparotomy was performed which found 20cm of incarcerated ischaemic small bowel in right SH. Intraoperatively, the hernia was reduced and ischemic small bowel was resected with side-to-side anastomosis with a GIATM stapler (Covidien, US Surgical, Norwalk, CT). The Spigelian defect was closed with interrupted 1/0 Nylon sutures. The patient made an uneventful recovery post-operatively.
Review of the literature
A literature search was performed with the databases that included Medline with PubMed, Ovid, Embase, and Google Scholar to identify articles on the emergency management of Spigelian hernia. The following keywords were used for the search: “Spigelian hernia”, “strangulation”, “bowel resection” and “hernia repair”. The references of the articles obtained from the search were reviewed by title and followed by abstract review. The last search was performed up to January 10, 2017.
DISCUSSION
Definition, anatomy and incidence
Spigelian hernias are ventral hernias that occur through the Spigelian fascia which is comprised of the aponeurotic layer between the rectus muscles medially and the semilunar line laterally. Spigelian fascia is defined as the sword blade-shaped area between the lateral border of the rectus abdominis muscle and the medial border or the transversus abdominis muscle. Majority of them are inferior to the arcuate line and superior to the inferior epigastric vessels. The reported incidence in the literature ranges from 0.2 to 2% amongst the abdominal wall hernias [1,3]. It is most commonly seen in the middle age group and more frequently in females with a ratio of 1.4:1 [1-4]. Bilateral synchronous SHs have also been reported [3,5-9].
Etiology, pathophysiology and risk factors
A small number of cases of SH especially in the younger population may be congenital in origin and often are linked with cryptorchidism [3]. SHs found in the adults are usually acquired in nature and various predisposing factors have been reported in the literature: COPD, obesity, previous abdominal surgery, previous hernias, prior abdominal trauma and rapid weight loss [2,10]. Some authors have suggested there is a nature history of progression. SH may initially begin with a small split in the fascial layer of the semilunar line with extraperitoneal fat herniating through only. With time, these small hernias enlarge and develop a peritoneal sac and may explain that SH appears to be more common in older age group [3]. A loop of small bowel is the most commonly expected organ found in SH [11]. Other visceral organs have also been infrequently described in the SH such as colon [3,12,13] appendix [14-16], ovary, testicle, endometrial tissue and omentum [3,9]. Interestingly, several case reports have reported simultaneous repair of other hernias such as umbilical [17] and inguinal hernias [9].
Clinical presentation
The diagnosis of a SH is notoriously known to be challenging due to its vague and non-specific clinical manifestations [18,19]. Symptoms such as chronic intermittent abdominal pain and occasional bulge at abdominal wall may be obtained from the history [3]. The presence of pain in these patients varies from 31% to 86% of cases [20]. Occasionally, the patients may present with small or large bowel obstruction [21,22]. Clinical examination is usually also difficult as explained by the hernia protruding through the transversus abdominis muscle but the overlying external oblique fascia remains intact [18,19]. As such, a few retrospective studies have shown that clinical examination could only establish the diagnosis in 50 to 64% of cases [1,23]. Even with history and clinical examination, the diagnosis of SH could only be achieved in 74% of cases [1]. More strikingly, Perrakis and colleagues diagnosed 75% of SHs intraoperatively [10].
Diagnosis
Due to its difficulty in diagnosis and usually small hernia neck, a significant number of patients present with incarceration (17 to 24%) [3,18]. Ultrasound of the abdominal wall could be useful in demonstrating a defect in the Spigelian aponeurosis [18,21]. However, it is operator-dependent and the authors believe it is more beneficial in the non-emergency setting. In a study, the role of ultrasound was greatly limited by pain on examination [10]. Another author reported the use of ultrasound to provide direct visualization for the reduction of SH successfully [24]. CT abdomen/pelvis yields further details in excluding alternative pathology and more importantly the exact location of the defect, the size and the sac contents could be achieved [18,19,25,26]. Thus, it aids in preoperative planning.
Management
There has been no consensus regarding the best operative technique for Spigelian hernia repair given its infrequent occurrence. Traditionally, open surgical repair is the procedure of choice in both elective and emergency settings. It can be approached either through a transverse incision across the SH or a midline laparotomy, each having its advantages and challenges (Table 1).
Table 1: A comparison of the different open and laparoscopic approaches for management of Spigelian hernia.
|
Approach |
Incision & Repair |
Common Advantages |
Unique Advantages |
Disadvantages |
|
Open |
Transverse incision & primary suture repair |
- Technique is more widely exposed to the general surgical community.
- Simple and cost-effective
- Accurate assessment of viability of sac contents and deal with unexpected findings. |
- |
-Bigger incision causing more tissue trauma and potentially higher complication rates
- More post-operative pain
-Unable to manage incidental findings of other hernias (in cases of transverse incision) |
|
With mesh (preperitoneal) |
- |
|||
|
Midline laparotomy & primary suture repair |
Allows flexibility in situation where organs that necessitate complex resection and reconstruction.
|
|||
|
With mesh (intraperitoneal onlay) |
- |
|||
|
Laparoscopic |
Primary suture repair |
- Less tissue trauma by smaller incision
- Better cosmetic outcome
- Less post-operative pain, quicker recovery and shorter hospital stay
- Accurately and quickly localizes the Spigelian hernia site
|
Simple, safe, cost-effective, reproducible |
Maybe feasible only in selected cases of small SH due to the need for tension-free repair. |
|
Transabdominal preperitoneal (TAPP) patch repair |
-Suitable for large and complex SH. -Allows assessment of viability of sac contents. |
Potential risk of intraperitoneal organ injury and adhesions formation. |
||
|
Total Extraperitoneal (TEPP) patch repair |
Avoids entry into peritoneal cavity and hence disturbance of intraperitoneal organs. |
-Technically more challenging and requires experience. -Smaller surgical field. -Longer operating time, more extensive dissection. -Other abdominal wall hernias maybe missed. |
||
|
Intraperitoneal onlay mesh (IPOM) (including the scroll technique) |
-Technically simpler than other laparoscopic techniques. -Requires less experience. -Broader surgical field. -Shorter operative time. -Allows concurrent fixation of other hernias discovered intraoperatively. |
Potential risk of mesh-related complications such as erosion, fistulation and infection. |
For the transverse incision across the SH, the repair can be performed via primary tissue repair [1,19], pre-shaped polypropylene umbrella plug [27], mesh placement between the external and internal oblique muscles [28] and mesh placement preperitoneally [29]. Importantly, in some cases by transverse incision, the SH may not be easily detected and may require extension of the excision. In certain circumstances, it may be more desirable to perform a midline laparotomy especially in emergency setting. It allows accurate assessment of the viability of the sac contents and provides flexibility in dealing with incarceration of rare organs that may necessitate resection and reconstruction. In our patient, we elected to perform a midline laparotomy due to concerns of small bowel necrosis. Given that the patient was also on a Factor Xa inhibitor, we envisaged that further abdominal exposure may be required for haemostasis if bleeding occurs.
In the past decade, since the first laparoscopic repair of SH was described by Carter and colleagues in 1992 [30], there has been blossoming interest in exploring several modifications to reduce the morbidity and attempt to implement the technique in emergency setting. Minimally invasive surgery has the benefits of less tissue trauma from smaller incision, better cosmetic outcome, less post-operative pain, quicker recovery and shorter hospital stay. The only randomized trial comparing open versus laparoscopic repair of SH in the literature concluded that the laparoscopic group significantly reduced the morbidity of patients and the length of stay [26]. However, there was no difference in the post-operative complications. Some authors also advocate for laparoscopic repair to avoid disrupting the physiological behavior and mechanics of abdominal wall through scarring in open surgery [2]. The modifications that have been described are: totally extraperitoneal (TEP) repair, intraperitoneal onlay mesh (IPOM), trans abdominal preperitoneal (TAPP) repair and transabdominal partially extraperitoneal repair [3,26,31]. It remains controversial of which laparoscopic technique should be the gold standard and the data has been largely limited to the elective SH repair [2-4,31-34]. Table (1) summarizes the different laparoscopic approaches and illustrates the it’s pros and cons.
Amongst all, IPOM is the most popular technique due to its simplicity and shorter operating time [32]. Minimal dissection is needed to obtain a good working space and it allows placement of larger mesh without any difficulty in extending it. It also permits concomitant management of other hernias or pathology [17,35-37]. However, there is a potential risk of mesh-related complications such as erosion, fistulation and infection due to bowel coming in contact. With newer and improved mesh properties such as a composite mesh, complications are extremely rare [38]. TAPP is the next most commonly performed technique. It is usually more suitable in cases with large and complex SH and shares some characteristics of both IPOM and TEP. TEP is the least utilized technique due to its technical difficulty. It also requires more extensive dissection and hence longer operating time. It may not be suitable for large SH as larger mesh might not be able to be accommodated. It has the advantage of avoiding disturbance of intraperitoneal organs over IPOM and TAPP. Moreno-Egea et al., concluded that there was no significant difference between IPOM and TEP for the repair of SH [33].
Only a few cases of incarcerated SHs in the literature have been managed laparoscopically – primary suture repair [2], IPOM [39,40], TEP [21,41]. This could be explained by its rarity and technical challenge associated with learning. It may be easier to learn IPOM as usually being proficient in laparoscopic surgery is adequate. Nonetheless, there has been no formal study to assess the learning curve of the individual techniques, although a recent study suggested a steeper learning curve with TEP [33].
The choice of mesh remains an area of contention. Various types of mesh have been used such as polypropylene mesh [11,13,31,41], Prolene [10] and composite prosthesis comprised of a sandwich of polyester fiber mesh [21,39] but there is no robust data to support which is the ideal mesh. One of the main concerns with mesh repair - infection could be avoided with TEP and TAPP. This also eliminates the risk of complications from mesh like adhesions and/or fistulas [29]. However, mesh repair may not always be necessary in small hernias and primary suture repair is usually adequate [18]. Another unanswered question is the ideal distance of overlap around the defect. Some authors suggested at least 5 cm of overlap around the circumference of the defect is sufficient [33]. Mesh repair was not performed in our case due to the concern of bacterial translocation in the setting of bowel resection. No cases of mesh repair have been performed in patients requiring bowel resection in the literature [2,42].
Long-term outcome
From the review of the literature, the overall recurrence rate of SH is varies and ranges from 5 to 14 % [18,33]. Majority of these cases were repaired by primary suture repair. In a series of 70 patients undergoing open primary suture repair, there were 3 recurrences (4.3%) which subsequently underwent further repair with no further recurrence [1]. There has been no recurrence of SH in any of the laparoscopic approaches with a follow-up ranges from 6 to 32 months [2,8,26,38,41,43-46]. Nonetheless, the available evidence should be interpreted with caution as the duration of follow-up is usually short.
In conclusion, the diagnosis of SH requires a high degree of clinical suspicion especially in patients presenting with unexplained chronic abdominal pain. CT scan remains the most sensitive diagnostic tool for SH. There is currently no agreed consensus on the best approach for repair of SH although there is a trend towards laparoscopic repair in the past decade due to its various benefits of quicker convalescence, better cosmetic appearance, lesser post-operative pain and most importantly similar outcomes. Similarly, the use of mesh is still an area of contention. The newer anticoagulants used over the past few years may pose a new challenge to emergency surgery but fortunately in our case haemostasis was easily achieved.
REFERENCES
- Larson DW, Farley DR. Spigelian hernias: repair and outcome for 81 patients. World J Surg. 2002; 26: 1277-1281.
- Leff DR, Hassell J, Sufi P, Heath D. Emergency and elective laparoscopic repair of spigelian hernias: two case reports and a review of the literature. Surg Laparosc Endosc Percutan Tech. 2009; 19: e152-155.
- Webber V, Low C, Skipworth RJ, Kumar S, de Beaux AC, Tulloh B. Contemporary thoughts on the management of Spigelian hernia. Hernia. 2017.
- Polistina FA, Garbo G, Trevisan P, Frego M. Twelve years of experience treating Spigelian hernia. Surgery. 2015; 157: 547-550.
- Klimopoulos S, Kounoudes C, Validakis A, Galanis G. Low spigelian hernias: experience of 26 consecutive cases in 24 patients. Eur J Surg. 2001; 167: 631-633.
- Safioleas M, Stamatakos M, Moulakakis K, Safioleas P, Skandalakis P. Spigelian hernia. A rare case of bilateral hernia and presentation of our experience. Chirurgia (Bucur). 2007; 102: 429-432.
- Ng JW. A case of small spigelian hernias successfully treated by a simple laparoscopy-assisted technique. Surg Laparosc Endosc Percutan Tech. 2004; 14: 300-303.
- Malazgirt Z, Topgul K, Sokmen S, Ersin S, Turkcapar AG, Gok H, et al. Spigelian hernias: a prospective analysis of baseline parameters and surgical outcome of 34 consecutive patients. Hernia. 2006; 10: 326-330.
- Vannahme M, Monkhouse SJ. Acute management of a unilateral incarcerated Spigelian hernia in a patient with bilateral Spigelian hernias. Ann R Coll Surg Engl. 2013; 95: e89-91.
- Perrakis A, Velimezis G, Kapogiannatos G, Koronakis D, Perrakis E. Spigel hernia: a single center experience in a rare hernia entity. Hernia. 2012; 16: 439-444.
- Tsalis K, Zacharakis E, Lambrou I, Betsis D. Incarcerated small bowel in a spigelian hernia. Hernia. 2004; 8: 384-386.
- Topal E, Kaya E, Topal NB, Sahin I. Giant spigelian hernia due to abdominal wall injury: a case report. Hernia. 2007; 11: 67-69.
- Miller R, Lifschitz O, Mavor E. Incarcerated Spigelian hernia mimicking obstructing colon carcinoma. Hernia. 2008; 12: 87-89.
- Thomasset SC, Villatoro E, Wood S, Martin A, Finlay K, Patterson JE. An unusual Spigelian hernia involving the appendix: a case report. Cases J. 2010; 3: 22.
- Lin PH, Koffron AJ, Heilizer TJ, Lujan HJ. Right lower quadrant abdominal pain due to appendicitis and an incarcerated spigelian hernia. Am Surg. 2000; 66: 725-727.
- Onal A, Sokmen S, Atila K. Spigelian hernia associated with strangulation of the small bowel and appendix. Hernia. 2003; 7: 156-157.
- Amendolara M. Video laparoscopic treatment of Spigelian hernias. Surg Laparosc Endosc. 1998; 8: 136-139.
- Spangen L. Spigelian hernia. World J Surg. 1989; 13: 573-580.
- Spangen L. Spigelian hernia. Surg Clin North Am. 1984; 64: 351-366.
- Moreno-Egea A, Flores B, Girela E, Martin JG, Aguayo JL, Canteras M. Spigelian hernia: bibliographical study and presentation of a series of 28 patients. Hernia. 2002; 6: 167-170.
- Bastidas JG, Khan AR, LeBlanc KA. Spigelian hernia as a cause of small bowel obstruction. South Med J. 2010; 103: 567-569.
- Vos DI, Scheltinga MR. Incidence and outcome of surgical repair of spigelian hernia. Br J Surg. 2004; 91: 640-644.
- Stirnemann H. [The Spigelian hernia: missed? rare? puzzling diagnosis?]. Chirurg. 1982; 53: 314-317.
- Blaivas M. Ultrasound-guided reduction of a Spigelian hernia in a difficult case: an unusual use of bedside emergency ultrasonography. Am J Emerg Med. 2002; 20: 59-61.
- Balthazar EJ, Subramanyam BR, Megibow A. Spigelian hernia: CT and ultrasonography diagnosis. Gastrointest Radiol. 1984; 9: 81-84.
- Moreno-Egea A, Carrasco L, Girela E, Martin JG, Aguayo JL, Canteras M. Open vs laparoscopic repair of spigelian hernia: a prospective randomized trial. Arch Surg. 2002; 137: 1266-1268.
- Sanchez-Montes I, Deysine M. Spigelian hernias: a new repair technique using preshaped polypropylene umbrella plugs. Arch Surg. 1998; 133: 670-672.
- Celdran A, Senaris J, Manas J, Frieyro O. The open mesh repair of Spigelian hernia. Am J Surg. 2007; 193: 111-113.
- Malazgirt Z, Dervisoglu A, Polat C, Guneren E, Guven H, Akpolat T. Preperitoneal mesh repair of spigelian hernias under local anesthesia: description and clinical evaluation of a new technique. Hernia. 2003; 7: 202-205.
- Carter JE, Mizes C. Laparoscopic diagnosis and repair of spigelian hernia: report of a case and technique. Am J Obstet Gynecol. 1992; 167: 77-78.
- Martell EG, Singh NN, Zagorski SM, Sawyer MA. Laparoscopic repair of a spigelian hernia: a case report and literature review. JSLS. 2004; 8: 269-274.
- Skouras C, Purkayastha S, Jiao L, Tekkis P, Darzi A, Zacharakis E. Laparoscopic management of spigelian hernias. Surg Laparosc Endosc Percutan Tech. 2011; 21: 76-81.
- Moreno-Egea A, Campillo-Soto A, Morales-Cuenca G. Which should be the gold standard laparoscopic technique for handling Spigelian hernias? Surg Endosc. 2015; 29: 856-862.
- Kelly ME, Courtney D, McDermott FD, Heeney A, Maguire D, Geoghegan JG, et al. Laparoscopic Spigelian Hernia Repair: A Series of 40 Patients. Surg Laparosc Endosc Percutan Tech. 2015; 25: e86-89.
- Fisher BL. Video-assisted Spigelian hernia repair. Surg Laparosc Endosc. 1994; 4: 238-240.
- Teleky R, Duda M, Brezina L. [Spigelian hernia and cholecystolithiasis treated laparoscopically]. Rozhl Chir. 1999; 78: 610-612.
- Strand L, Larsen JF. [Laparoscopic surgery of Spiegelian hernia]. Ugeskr Laeger. 2002; 164: 1223-1224.
- Saber AA, Elgamal MH, Rao AJ, Osmer RL, Itawi EA. Laparoscopic spigelian hernia repair: the scroll technique. Am Surg. 2008; 74: 108-112.
- Subramanya MS, Chakraborty J, Memon B, Memon MA. Emergency intraperitoneal onlay mesh repair of incarcerated spigelian hernia. JSLS. 2010; 14: 275-278.
- Yoshida D, Itoh S, Kinjo N, Harimoto N, Maruyama S, Kawanaka H, et al. Laparoscopic intraperitoneal mesh repair of Spigelian hernia: A case report. Asian J Endosc Surg. 2015; 8: 477-479.
- Yau KK, Siu WT, Chau CH, Yang GP, Li MK. A laparoscopic approach for incarcerated Spigelian hernia. J Laparoendosc Adv Surg Tech A. 2005; 15: 57-59.
- Foster D, Nagarajan S, Panait L. Richter-type Spigelian hernia: A case report and review of the literature. Int J Surg Case Rep. 2015; 6: 160-162.
- DeMatteo RP, Morris JB, Broderick G. Incidental laparoscopic repair of a spigelian hernia. Surgery. 1994; 115: 521-522.
- Appeltans BM, Zeebregts CJ, Cate Hoedemaker HO. Laparoscopic repair of a Spigelian hernia using an expanded polytetrafluoroethylene (ePTFE) mesh. Surg Endosc. 2000; 14: 1189.
- Habib E, Elhadad A. Spigelian hernia long considered as diverticulitis: CT scan diagnosis and laparoscopic treatment. Computed tomography. Surg Endosc. 2003; 17: 159.
- Iswariah H, Metcalfe M, Morrison CP, Maddern GJ. Facilitation of open spigelian hernia repair by laparoscopic location of the hernial defect. Surg Endosc. 2003; 17: 832.


