Loading

Annals of Forensic Research and Analysis

Holohemispheric Hemorrhage in Dural Border Cell Layer Disclosed After Evacuation of Infantile Acute Subdural Hematoma

Case Report | Open Access | Volume 10 | Issue 1

  • 1. Department of Neurosurgery, Bethlehem Garden Hospital 3-14-72 Umesono, Japan
  • 2. Department of Neurosurgery, Tokyo Metropolitan Tama Medical Center 2-8-29 Musashidai, Japan
+ Show More - Show Less
Corresponding Authors
Nobuhiko Aoki, Department of Neurosurgery, Bethlehem Garden Hospital 3-14-72 Umesono, Kiyose, Tokyo 204-0024, Tel: (+81) 42-401-2525, Fax: (+81) 42-495-2878, Japan
Abstract

Background: Acute subdural hematoma in an infant without external signs of head trauma is sometimes thought to be symptomatic of shaken baby syndrome (SBS) in the United States or of infantile acute subdural hematoma (IASDH) due to minor head trauma in Japan.

The present case report aimed to demonstrate that holohemispheric hemorrhage in dural border cell layer (HHDBCL) can be disclosed after evacuation of IASDH.

Case description: A 12-month-old boy was noted by his mother falling backward and striking the occipital region. After crying, he developed convulsion followed by altered consciousness. He was brought to a nearby hospital where head CT revealed acute subdural hematoma on the right side associated with large sylvian fissure on the left side. The patient underwent emergency surgery. Via dural incision, xanthochromic fluid and flesh bloody fluid including several flesh clots were removed. His postoperative course was uncomplicated and revealed good recovery to the level same as the previous condition. Magnetic resonance imaging next day after operation disclosed thin, film-like, high-intensity hemorrhage surrounding the entire cerebral hemisphere (i.e holohemispheric hemorrhage), anatomically corresponding to dural border cell layer. Ophthalmological examination revealed bilateral retinal hemorrhages. His five years follow-up neurological examinations confirmed to have normal developmental milestones.

Discussion & Conclusion: Pathoetiology causing IASDH may be secondary spread of the hemorrhage from DBCL into the subdural compartment. HHDBCL is considered to be unique neuroimaging features that may indicate primary pathoetiology causing IASDH.

IASDH can occur after a short fall, if the dural border cell layer is disrupted in an infant with cranio-cerebral disproportion, including benign enlargement of subarachnoid space and or large sylvian fissure. Neuroimaging findings showing HHDBCL may be useful to make differential diagnosis between IASDH and SBS

KEYWORDS
  • Infantile acute subdural hematoma; Short fall; Holohemispheric hemorrhage; Dural border cell layer; Shaken baby syndrome; Benign enlargement of subarachnoid space; Large sylvian fissure
CITATION

Aoki N (2025) Holohemispheric Hemorrhage in Dural Border Cell Layer Disclosed After Evacuation of Infantile Acute Subdural Hematoma. Ann Forensic Res Anal 10(1): 1062.

INTRODUCTION

An acute subdural hematoma (ASDH) accompanied by retinal hemorrhage (RH) is often diagnosed without question worldwide as shaken baby syndrome (SBS) or abusive head trauma (AHT) [1].However, this tendency is based exclusively on the assumption that a short fall is unable to cause ASDH. An American neurosurgeon had insisted previously that SBS be diagnosed automatically on the assumption that a subdural hematoma (SDH) accompanied by a RH invariably indicated SBS [2]. Since then, this automatic diagnosis has gained traction in the English-speaking world, where the presence of a subdural fluid collection on computed tomography (CT) or magnetic resonance imaging (MRI) leads straightway to the diagnosis of SBS or AHD unless pathological findings indicate differently.

On the other hand, because infantile ASDH (IASDH) cases have been reported to date mostly in Japan [3-8], and rarely occur outside the home, the accidents resulting in the trauma are seldom witnessed by a third party [9]. The present case report demonstrates that IASDH can occur if the dural border cell layer (DBCL) is disrupted in an infant with cranio-cerebral disproportion (CCD), including benign enlargement of subarachnoid space (BESS) and large sylvian fissure LSF).

CASE PRESENTATION

This 12-month-old boy without significant medical history was noted by his mother falling backward and striking the occipital region against a floor at home living room. After crying, he developed generalized tonic convulsion followed by altered consciousness.

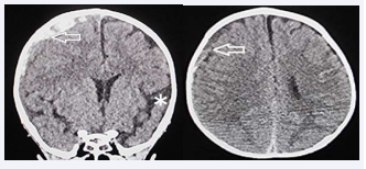
The patient was brought to a nearby hospital where signs of altered consciousness status was confirmed, prompting to undergo head CT (Figure 1).

Figure 1 Computed tomography on arrival. Left (Coronal View), Right (Axial View). Acute subdural hematoma with mixed density on the right side (arrows). Large sylvian fissure on the left side (asterisk), contralateral to the subdural hematoma

Figure 1: Computed tomography on arrival. Left (Coronal View), Right (Axial View). Acute subdural hematoma with mixed density on the right side (arrows).

Large sylvian fissure on the left side (asterisk), contralateral to the subdural hematoma

Based on the CT findings showing ASDH on the right side associated with LSF on the left side, the neurosurgen decided to undergo emergency surgery.

Under general anesthesia, dural incision after burr- hole craniotomy encountered gushed xanthochromic fluid followed by flesh bloody fluid including several clots. Subdural irrigation with saline solution was not encountered by ongoing bleeding. After insertion of subdural drainage catheter, uneventful wound closure was achieved.

His postoperative course was uncomplicated and revealed good recovery to the level same as the previous condition.

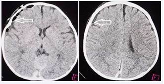
 Post-operative CT showed decreased volume of acute subdural hematoma without brain swelling (Figure 2).

Figure 2 Computed tomography Post-op on the day. Left & Right (Axial View): Decreased volume of acute subdural hematoma on the right side. (arrows)

Figure 2: Computed tomography Post-op on the day.

Left & Right (Axial View): Decreased volume of acute subdural hematoma on the right side. (arrows)

Magnetic resonance imaging (MRI) next day after operation disclosed thin, film-like, high-intensity hemorrhage surrounding the entire cerebral hemisphere (i.e holohemispheric hemorrhage), anatomically corresponding to dural border cell layer (Figure 3).

Figure 3 Magnetic resonance imaging (fluid-attenuated inversion recovery, axial view) next day after operation. Left & Right: Coronal View Thin, film-like, high-intensity hemorrhage surrounding the entire cerebral hemisphere (i.e holohemispheric hemorrhage), anatomically corresponding to dural border cell layer on the right side. (red arrows) Large subarachnoid space indicating benign enlargement of subarachnoid space. (black arrows). No primary cerebral parenchymal abnormality is observed.

Figure 3 Magnetic resonance imaging (fluid-attenuated inversion recovery, axial view) next day after operation.

Left & Right: Coronal View Thin, film-like, high-intensity hemorrhage surrounding the entire cerebral hemisphere (i.e holohemispheric hemorrhage), anatomically corresponding to dural border cell layer on the right side. (red arrows) Large subarachnoid space indicating benign enlargement of subarachnoid space. (black arrows).

No primary cerebral parenchymal abnormality is observed.

No primary cerebral parenchymal abnormality was observed. On the day after surgery, ophthalmological examination revealed bilateral retinal hemorrhage more on the right side.

His five years follow-up neurological examinations confirmed to have normal developmental milestones.

DISCUSSION

As noted earlier, the immaturity of the cerebrospinal fluid (CSF) dynamics induce age-regulated accumulation of CSF in the subarachnoid space (SAS) [10,11]. This phenomenon is commonly observed in infants between the ages of 6 and 10 months and also occurs in some patients with BESS [10]. In this age population, development of IASDH is most often [3,6], and is considered to be secondary to CCD including BESS and LSF [6,7]. As the pathoetiology, infants with CCD may be complicated by fluid collection including hemorrhage from venous plexus in DBCL [10,11].

Based on the biophysiological characteristics of infants, IASDH was originally defined in 1984 as an acute, infantile subdural hematoma apparently caused by minor head trauma without loss of consciousness and not associated with a primary brain injury [3]. Most cases of IASDH are also associated with RH [3,4,6]. IASDH is clinically graded as mild (grade I), intermediate (grade II) or fulminant (grade III) in accordance with the findings of a previous study (Table 1) [3].

Table 1 Clinical grade on arrival in patients with infantile acute subdural hematoma, proposed in1984 (Ref.3)

Disease

Type

Clinical features

grade

I

Mild

Conscious, no motor disturbance but with vomiting &/or irritability

II

Intermediate

Drowsy, minimal or mild hemiparesis

III

Fulminant

Stuporous to comatose, moderate to severe hemiparesis, with signs of cerebral herniation

The present case is invaluable because it demonstrates that intermediate type-IASDH can gain excellent outcome via emergency surgery because of absence of primary cerebral parenchymal injury [12,13].

A subdural collection may be described succinctly as an accumulation of fluid or blood within the dural border cell layer, which are very susceptible to disruption [10]. The MRI findings in the present case of a thin, film-like, high- intensity hemorrhage surrounding the entire cerebral hemisphere (i.e., the holohemisphere) presumably corresponded to the hemorrhage in the DBCL [12-15].

Particularly relevant here is thin-film like appearance seen after evacuation of ASDH may indicate hemorrhage localized in the DBCL. Based on the serial neuroimaging analysis, pathoetiology causing IASDH may be secondary spread of the hemorrhage from the DBCL into the subdural compartment [12]. Thus, some cases with IASDH may occur secondary to hemorrhage in DBCL without primary bridging vein rupture. Because the DBCL is easily disrupted, a hemorrhage originating in the inner dural plexus may be chiefly responsible for the non-traumatic situation or mild head impact [10].

Thin-film like appearance seen after evacuation of ASDH presumably shows hemorrhage localized in DBCL. The presence of HHDBCL in IASDH may make differential diagnosis from SBS/AHT, though requiring further discussion in future. In the present case, the intermediate- type IASDH located at inner part of the holohemispheric hemorrhage may indicate the secondary spread of the hemorrhage from the DBCL into the subdural compartment.

CONCLUSION

Pathoetiology causing IASDH may be secondary spread of the hemorrhage from DBCL into the subdural compartment. Holohemispheric hemorrhage in the DBCL is considered to be unique neuroimaging features that may indicate pathoetiology causing IASDH and in addition may be useful to make differential diagnosis between IASDH and SBS/AHT.

AUTHOR CONTRIBUTION

Nobuhiko  Aoki  (corresponding  author  with  no coauthors) conceived the study, conducted a search of the literature, and drafted the original manuscript. The author has reviewed the manuscript draft, revised it critically for intellectual content, and approved the final version for submission.

DECLARATIONS, ETHICS APPROVAL, AND CONSENT TO PARTICIPATE

This article was approved by the ethics committee of Bethlehem Garden Hospital and Tokyo Metropolitan Tama Medical Center. No funding was obtained for this study. The parents/legal guardians of the patient provided their consent to publish the details of this case.

CONSENT TO PUBLISH

The author consents to the publication of all identifiable details, which may include photographs, case history, and other details.

REFERENCES
  1. Wittschieber B, Karger D, Pfeifer H, Understanding Subdural Collections in Pediatric Abusive Head Trauma. AJNR AmJ Neuroradiol. 2019; 40: 388-395.
  2. Rekate HL Subdural hematomas in infants. (Letter) J Neurosurg. 1985; 61: 316-317.
  3. Aoki N, Masuzawa H, Infantile acute subdural hematoma. Clinical analysis of 26 cases. J Neurosurg. 1984; 61: 273-2807.
  4. Aoki N, Clinical and neuroimaging characteristics in mild-type infantile acute subdural hematoma. Report of four cases. Childs Nerv Syst. 2003; 40: 189-195.
  5. 5. Aoki N, “Infantile” acute subdural hematoma: a clinical entity different from abusive head trauma. J Pediatr Neurol Neurosci. 2020; 4: 151-153.
  6. Aoki N, Infantile acute subdural hematoma. Clinical and neuroimaging analysis of 15 cases focusing on intracranial structural vulnerabilities. J Sur. 2024; 9: 11104.
  7. Aoki N, Asymptomatic infantile acute subdural hematoma with benign enlargement of the subarachnoid space and large sylvian fissure. Mega J Case Rep. 2024; 7: 2001-2006.
  8. Aoki N. Infantile acute subdural hematoma: Caused by abuse or mild head trauma? Nervous System in Children. 2011; 36: 326-330.
  9. Aoki N, Infantile acute subdural hematoma with retinal hemorrhage caused by minor occipital impact witnessed by an ICU nurse: a case report. Pediatr Neurol Neurosci. 2020; 4: 47-50.
  10. Mack J, Squier W, Eastman JT, Anatomy and development of the meninges: implications for subdural collections and CSF circulation. Pediatr Radiol. 2009; 391: 200-210.
  11. Nabeshima S, Reese TS, Landis DM, Brightman MW, Junctions in the meninges and marginal glia. J Comp Neurol. 1975; 164: 127-169.
  12. Aoki N, Fulminant-type Infantile acute subdural hematoma: Pre- and Post-operative Neuroimaging Analysis. Int J Clin Case Rep Rev. 2024; 20: 01-05.
  13. Aoki N, Holohemispheric Hemorrhage in Infantile Acute Subdural Hematoma: Serial Neuroimaging Analysis. J Neuroscience and Neurological Surgery. 2024; 14; 01-05.
  14. Aoki N, Mild-type infantile acute subdural hematoma presenting with a holohemispheric subdural hematoma. Ame J Surg Clin Case Rep. 2024; 8: 1-5
  15. Aoki N, Holohemispheric Subdural Hematoma: Infantile Acute Subdural Hematoma Localized in the Dural Border Cell Layer. Ann Case Report. 2024; 9: 1959.

Aoki N (2025) Holohemispheric Hemorrhage in Dural Border Cell Layer Disclosed After Evacuation of Infantile Acute Subdural Hematoma. Ann Forensic Res Anal 10(1): 1062.

Received : 21 Mar 2025
Accepted : 23 Apr 2025
Published : 24 Apr 2025
Journals
Annals of Otolaryngology and Rhinology
ISSN : 2379-948X
Launched : 2014
JSM Schizophrenia
Launched : 2016
Journal of Nausea
Launched : 2020
JSM Internal Medicine
Launched : 2016
JSM Hepatitis
Launched : 2016
JSM Oro Facial Surgeries
ISSN : 2578-3211
Launched : 2016
Journal of Human Nutrition and Food Science
ISSN : 2333-6706
Launched : 2013
JSM Regenerative Medicine and Bioengineering
ISSN : 2379-0490
Launched : 2013
JSM Spine
ISSN : 2578-3181
Launched : 2016
Archives of Palliative Care
ISSN : 2573-1165
Launched : 2016
JSM Nutritional Disorders
ISSN : 2578-3203
Launched : 2017
Annals of Neurodegenerative Disorders
ISSN : 2476-2032
Launched : 2016
Journal of Fever
ISSN : 2641-7782
Launched : 2017
JSM Bone Marrow Research
ISSN : 2578-3351
Launched : 2016
JSM Mathematics and Statistics
ISSN : 2578-3173
Launched : 2014
Journal of Autoimmunity and Research
ISSN : 2573-1173
Launched : 2014
JSM Arthritis
ISSN : 2475-9155
Launched : 2016
JSM Head and Neck Cancer-Cases and Reviews
ISSN : 2573-1610
Launched : 2016
JSM General Surgery Cases and Images
ISSN : 2573-1564
Launched : 2016
JSM Anatomy and Physiology
ISSN : 2573-1262
Launched : 2016
JSM Dental Surgery
ISSN : 2573-1548
Launched : 2016
Annals of Emergency Surgery
ISSN : 2573-1017
Launched : 2016
Annals of Mens Health and Wellness
ISSN : 2641-7707
Launched : 2017
Journal of Preventive Medicine and Health Care
ISSN : 2576-0084
Launched : 2018
Journal of Chronic Diseases and Management
ISSN : 2573-1300
Launched : 2016
Annals of Vaccines and Immunization
ISSN : 2378-9379
Launched : 2014
JSM Heart Surgery Cases and Images
ISSN : 2578-3157
Launched : 2016
Annals of Reproductive Medicine and Treatment
ISSN : 2573-1092
Launched : 2016
JSM Brain Science
ISSN : 2573-1289
Launched : 2016
JSM Biomarkers
ISSN : 2578-3815
Launched : 2014
JSM Biology
ISSN : 2475-9392
Launched : 2016
Archives of Stem Cell and Research
ISSN : 2578-3580
Launched : 2014
Annals of Clinical and Medical Microbiology
ISSN : 2578-3629
Launched : 2014
JSM Pediatric Surgery
ISSN : 2578-3149
Launched : 2017
Journal of Memory Disorder and Rehabilitation
ISSN : 2578-319X
Launched : 2016
JSM Tropical Medicine and Research
ISSN : 2578-3165
Launched : 2016
JSM Head and Face Medicine
ISSN : 2578-3793
Launched : 2016
JSM Cardiothoracic Surgery
ISSN : 2573-1297
Launched : 2016
JSM Bone and Joint Diseases
ISSN : 2578-3351
Launched : 2017
JSM Bioavailability and Bioequivalence
ISSN : 2641-7812
Launched : 2017
JSM Atherosclerosis
ISSN : 2573-1270
Launched : 2016
Journal of Genitourinary Disorders
ISSN : 2641-7790
Launched : 2017
Journal of Fractures and Sprains
ISSN : 2578-3831
Launched : 2016
Journal of Autism and Epilepsy
ISSN : 2641-7774
Launched : 2016
Annals of Marine Biology and Research
ISSN : 2573-105X
Launched : 2014
JSM Health Education & Primary Health Care
ISSN : 2578-3777
Launched : 2016
JSM Communication Disorders
ISSN : 2578-3807
Launched : 2016
Annals of Musculoskeletal Disorders
ISSN : 2578-3599
Launched : 2016
Annals of Virology and Research
ISSN : 2573-1122
Launched : 2014
JSM Renal Medicine
ISSN : 2573-1637
Launched : 2016
Journal of Muscle Health
ISSN : 2578-3823
Launched : 2016
JSM Genetics and Genomics
ISSN : 2334-1823
Launched : 2013
JSM Anxiety and Depression
ISSN : 2475-9139
Launched : 2016
Clinical Journal of Heart Diseases
ISSN : 2641-7766
Launched : 2016
Annals of Medicinal Chemistry and Research
ISSN : 2378-9336
Launched : 2014
JSM Pain and Management
ISSN : 2578-3378
Launched : 2016
JSM Women's Health
ISSN : 2578-3696
Launched : 2016
Clinical Research in HIV or AIDS
ISSN : 2374-0094
Launched : 2013
Journal of Endocrinology, Diabetes and Obesity
ISSN : 2333-6692
Launched : 2013
Journal of Substance Abuse and Alcoholism
ISSN : 2373-9363
Launched : 2013
JSM Neurosurgery and Spine
ISSN : 2373-9479
Launched : 2013
Journal of Liver and Clinical Research
ISSN : 2379-0830
Launched : 2014
Journal of Drug Design and Research
ISSN : 2379-089X
Launched : 2014
JSM Clinical Oncology and Research
ISSN : 2373-938X
Launched : 2013
JSM Bioinformatics, Genomics and Proteomics
ISSN : 2576-1102
Launched : 2014
JSM Chemistry
ISSN : 2334-1831
Launched : 2013
Journal of Trauma and Care
ISSN : 2573-1246
Launched : 2014
JSM Surgical Oncology and Research
ISSN : 2578-3688
Launched : 2016
Annals of Food Processing and Preservation
ISSN : 2573-1033
Launched : 2016
Journal of Radiology and Radiation Therapy
ISSN : 2333-7095
Launched : 2013
JSM Physical Medicine and Rehabilitation
ISSN : 2578-3572
Launched : 2016
Annals of Clinical Pathology
ISSN : 2373-9282
Launched : 2013
Annals of Cardiovascular Diseases
ISSN : 2641-7731
Launched : 2016
Journal of Behavior
ISSN : 2576-0076
Launched : 2016
Annals of Clinical and Experimental Metabolism
ISSN : 2572-2492
Launched : 2016
Clinical Research in Infectious Diseases
ISSN : 2379-0636
Launched : 2013
JSM Microbiology
ISSN : 2333-6455
Launched : 2013
Journal of Urology and Research
ISSN : 2379-951X
Launched : 2014
Journal of Family Medicine and Community Health
ISSN : 2379-0547
Launched : 2013
Annals of Pregnancy and Care
ISSN : 2578-336X
Launched : 2017
JSM Cell and Developmental Biology
ISSN : 2379-061X
Launched : 2013
Annals of Aquaculture and Research
ISSN : 2379-0881
Launched : 2014
Clinical Research in Pulmonology
ISSN : 2333-6625
Launched : 2013
Journal of Immunology and Clinical Research
ISSN : 2333-6714
Launched : 2013
JSM Biochemistry and Molecular Biology
ISSN : 2333-7109
Launched : 2013
Annals of Breast Cancer Research
ISSN : 2641-7685
Launched : 2016
Annals of Gerontology and Geriatric Research
ISSN : 2378-9409
Launched : 2014
Journal of Sleep Medicine and Disorders
ISSN : 2379-0822
Launched : 2014
JSM Burns and Trauma
ISSN : 2475-9406
Launched : 2016
Chemical Engineering and Process Techniques
ISSN : 2333-6633
Launched : 2013
Annals of Clinical Cytology and Pathology
ISSN : 2475-9430
Launched : 2014
JSM Allergy and Asthma
ISSN : 2573-1254
Launched : 2016
Journal of Neurological Disorders and Stroke
ISSN : 2334-2307
Launched : 2013
Annals of Sports Medicine and Research
ISSN : 2379-0571
Launched : 2014
JSM Sexual Medicine
ISSN : 2578-3718
Launched : 2016
Annals of Vascular Medicine and Research
ISSN : 2378-9344
Launched : 2014
JSM Biotechnology and Biomedical Engineering
ISSN : 2333-7117
Launched : 2013
Journal of Hematology and Transfusion
ISSN : 2333-6684
Launched : 2013
JSM Environmental Science and Ecology
ISSN : 2333-7141
Launched : 2013
Journal of Cardiology and Clinical Research
ISSN : 2333-6676
Launched : 2013
JSM Nanotechnology and Nanomedicine
ISSN : 2334-1815
Launched : 2013
Journal of Ear, Nose and Throat Disorders
ISSN : 2475-9473
Launched : 2016
JSM Ophthalmology
ISSN : 2333-6447
Launched : 2013
Journal of Pharmacology and Clinical Toxicology
ISSN : 2333-7079
Launched : 2013
Annals of Psychiatry and Mental Health
ISSN : 2374-0124
Launched : 2013
Medical Journal of Obstetrics and Gynecology
ISSN : 2333-6439
Launched : 2013
Annals of Pediatrics and Child Health
ISSN : 2373-9312
Launched : 2013
JSM Clinical Pharmaceutics
ISSN : 2379-9498
Launched : 2014
JSM Foot and Ankle
ISSN : 2475-9112
Launched : 2016
JSM Alzheimer's Disease and Related Dementia
ISSN : 2378-9565
Launched : 2014
Journal of Addiction Medicine and Therapy
ISSN : 2333-665X
Launched : 2013
Journal of Veterinary Medicine and Research
ISSN : 2378-931X
Launched : 2013
Annals of Public Health and Research
ISSN : 2378-9328
Launched : 2014
Annals of Orthopedics and Rheumatology
ISSN : 2373-9290
Launched : 2013
Journal of Clinical Nephrology and Research
ISSN : 2379-0652
Launched : 2014
Annals of Community Medicine and Practice
ISSN : 2475-9465
Launched : 2014
Annals of Biometrics and Biostatistics
ISSN : 2374-0116
Launched : 2013
JSM Clinical Case Reports
ISSN : 2373-9819
Launched : 2013
Journal of Cancer Biology and Research
ISSN : 2373-9436
Launched : 2013
Journal of Surgery and Transplantation Science
ISSN : 2379-0911
Launched : 2013
Journal of Dermatology and Clinical Research
ISSN : 2373-9371
Launched : 2013
JSM Gastroenterology and Hepatology
ISSN : 2373-9487
Launched : 2013
Annals of Nursing and Practice
ISSN : 2379-9501
Launched : 2014
JSM Dentistry
ISSN : 2333-7133
Launched : 2013
Author Information X