Loading

Annals of Sports Medicine and Research

A Case of Ischial Bursitis Occurring in Obturator Externus Muscle Injury in Professional Football Player

Case Report | Open Access | Volume 10 | Issue 2

  • 1. Department of Radiology University of Insubria, Italy
  • 2. Department of Biomedicine, Neuroscience and Advanced Diagnostics (Bi.N.D.), University of Palermo, Italy
  • 3. Department of Radiology University of Insubria, Italy
  • 4. Department of Sport, Medicine Ospedale di Circolo e Fondazione Macchi, Italy
  • 5. 4 Department of Sport Medicine, Milan Lab, Italy
  • 6. Department of Sport Medicine, Milan Lab, Italy
  • 7. Department of Sport Medicine, Milan Lab, Italy
+ Show More - Show Less
Corresponding Authors
Eugenio Annibale Genovese, Medical Clinical Institute Intermedica - Columbus, via Buonarroti 48, 20145 Milano (MI), Italy
Abstract

The obturator externus muscle plays an essential role in hip stability. In professional athletes early diagnosis in case of injury is important to allow a quick return to sporting activity.

A 25-year-old high-level professional football player suffered an obturator externus muscle injury during an official match for which he under went multiple MRI examinations in recovery period.

A type 3 muscular injury was observed and studied: during subsequent checks, the lesion showed physiological repair phenomena but allowed to highlight the presence of a bursal collection of the obturator externus at the ischiatic insertion of the muscle.

This type of bursa of the obturator externus muscle has never been described in the literature both in cadavers and in vivo patients. Identifying this type of bursitis in professional soccer players in case of obturator externus injury is essential to avoid prolonged hip pain and excessively long recovery time.

Keywords

Obturator externus, Bursa, Professional athletes, Muscular injury, Hip

Citation

Gatta T, Greco A, Lamantea S, Calvi M, Mazzoni S, et al. (2023) A Case of Ischial Bursitis Occurring in Obturator Externus Muscle Injury in Professional Football Player. Ann Sports Med Res 10(2): 1204.

INTRODUCTION

The obturator externus muscle is a flat skeletal muscle located in hip area.

This muscle originates from the external edge of the obturator foramen. From their origin fibers head laterally, superiorly and posteriorly, surround the coxo-femoral joint and are inserted with a common terminus in the trochanteric fossa [1]. It relates anteriorly with the iliopsoas, pectineus, gracilis, adductor brevis and major muscles, with the femoral neck and with the joint capsule. It also arises anterior to the obturator membrane and the quadratus femoris muscle. Its innervation is provided by the obturator nerve (L1-L4) [2].

Its main function is to rotate and abduct the hip, as well as stabilize hip joint when walking. It is also involved in stabilizing other joints of the lower limb and torso [3].

Since it is an hip’s deep muscle it is infrequent to identify and diagnose an injury, indeed few cases are reported in literature [4].

Although obturator externus injury in football players is an uncommon finding, the importance of a correct and prompt diagnosis about lesions of the obturator externus appears particularly relevant when it occurs in professional athletes, as it can lead to a prolonged absence from sporting activities [5].

Magnetic resonance imaging (MRI) represents the gold standard examination for identifying muscular lesions and defining their characteristics [6], as well for determining recovery time [7].

CASE PRESENTATION

 A 25-year-old high-level professional athlete from main football league get injured during an official match, resulting in pain in the anterior region of his left thigh.

The next day he underwent an MRI diagnostic examination. All images were obtained using a 1.5-Tesla magnet system (Philips Ingenia Ambition/Elition). The examination was performed through coronal and axial plane acquisitions, integrated with DWI sequences and 3D reconstructions (DWIBS).

The exam highlighted extensive signal alteration of the left obturator externus muscle that almost completely affects the entire muscular element. This signal hyperintensity was expression of interstitial hemorrhage between tertiary fibers, associated with edema. In central area the hyperintensity had an inhomogeneous appearance and the signal had a slightly reduced intensity for an extension of about 24 mm, expression of real muscle damage. Signal alteration also affected the adjacent margin of obturator internus muscle, by contiguity. In DWI acquisitions, a reduction of diffusivity involving the muscle was observed (Figure 1).

MRI coronal STIR TSE weighted image shows signal  alteration of the entire obturator externus muscle, (type 3 lesion).

Figure 1: MRI coronal STIR TSE weighted image shows signal alteration of the entire obturator externus muscle, (type 3 lesion).

These findings were expression of a type 3 lesion of the obturator externus, without serum-blood collection, with marginal peripheral involvement of the obturator internus.

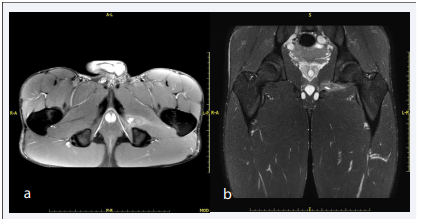
One week after, the patient underwent a second MRI examination which showed, in DWI acquisitions, significantly reduction of the diffusivity narrowing, both in terms of extension and signal, with residual diffusivity reduction only in the most medial portion of the left obturator externus, expression of resolution of the interstitial hemorrhage. There was persistence of edema in the same site, however less extensive than in previous investigation (Figure 2a).

Axial T2 (a) and coronal STIR TSE weighted (b) acquisitions  of the second MRI examination (after seven days) demonstrate the  resolution of the interstitial hemorrhage, with low persistence of  edema, and highlight the appearance of a bursal collection at the  ischiatic insertion of the muscle, with “drop” morphology.

Figure 2: Axial T2 (a) and coronal STIR TSE weighted (b) acquisitions of the second MRI examination (after seven days) demonstrate the resolution of the interstitial hemorrhage, with low persistence of edema, and highlight the appearance of a bursal collection at the ischiatic insertion of the muscle, with “drop” morphology.

Compared to the previous investigation, effusion with a “drop” morphology appeared at ischiatic insertion of the obturator externus. The effusion had a weak hypersignal in SE proton density acquisitions, expression of hemorrhagic component. The effusion had clear margins, well delimited interface towards to the muscle and to the bone, however free of spongious edema.

This last finding might be expression of a bursal collection of the obturator externus (Figure 2b).

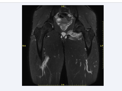
The last checkup was executed two weeks after the injury and demonstrated further reduction of the residual narrowing of diffusivity. In T2 acquisitions with fat suppression persisted hypersignal, lower than in previous investigations, involving only the obturator externus muscle. The signal alteration mainly affected the medial portion of the muscle. The hypersignal described at the obturator internus appeared completely resolved (Figure 3a).

Axial T2 (a) and coronal STIR TSE weighted (b) acquisitions  of the last MRI examination show minimal residual hypersignal only in  the medial portion of the muscle and significant reduction of bursitis.

Figure 3: Axial T2 (a) and coronal STIR TSE weighted (b) acquisitions of the last MRI examination show minimal residual hypersignal only in the medial portion of the muscle and significant reduction of bursitis.

Even the effusion described in previous investigation appeared considerably reduced, with an extension of just over 10 mm, with loss of the teardrop morphology previously described (Figure 3b). The scans obtained after intravenous infusion of paramagnetic contrast medium showed homogeneous contrast enhancement of the obturator internus muscle, in contrast with the markedly reduced signal in T2 acquisitions, expression of reparative colonization of the interstitial component between tertiary fibers of the muscle.

Therefore after the last examination, about four weeks after injury, the athlete began a gradual return to training without complications and clinical manifestations.

DISCUSSION

Muscle injuries are one of the main trauma that occurs in athletes [8].

These lesions can be distinguished in functional lesions, which may not be detectable with diagnostic tests, or structural lesions, that present macroscopic evidence at US or MRI imaging [9].

For structural lesions, MRI represents the gold standard diagnostic test, as it allows to characterize the lesion in terms of location, type, size, timing and anatomical characteristics [10].

Several studies suggest classifying injuries in terms of: structural component (muscle, joint and tendon), localization (intramuscular, myofascial, perifascial, musculotendinous), affected muscle area (proximal, middle and distal) and severity [11]

According to the Mueller-Wohlfahrt classification, structural muscle injury can be divided into two classes: type 3 which involves a partial muscle injury and type 4 which implies a subtotal or total injury. Particularly type 3 can be distinguished in 3A, or rather minor partial lesion in which there is lesion of one or more primary bundles within a secondary bundle, and 3B, or modest partial lesion in which there is lesion of one secondary bundle with breaking surface less than 50% of the muscle surface. Type 4 injury instead involves a subtotal or total tear or tendon avulsion in which the lesion affects more than 50% of the muscle surface, all of the muscle or the tendon-bone junction [9].

Although lesions of the obturator externus muscle are quite rare in general population, they appear to be predominantly frequent in elite soccer players. This explains why it is important to suspect them when the athlete shows pain in the hips and in the anterior region of the thighs, since a lesion of hip’s deep muscles can lead to delayed functional recovery and prolonged withdrawal from sporting activity [12].

The physiological evolution of the lesion explained in our case report also allowed us to highlight the presence of a synovial bursa pertaining to the obturator externus muscle, in which the hemorrhage that initially occurred between the tertiary fibers of the muscle has drained.

Numerous synovial bursae have been identified within the body [13], which are serous bursae composed of small sacs of synovial fluid located within joints. Their main function is to provide protection to joint structures which are subjected to friction and also allow a distribution of joint loads, which allows for greater fluidity in movement [14]. Pathological phenomena affecting the bursae can be inflammatory, infective or hemorrhagic phenomena, arising following trauma involving adjacent muscles [15]. Indeed blood or serous effusion can flow out inside the bursa with consequent local irritation and symptoms such as pain and stiffness, which can occur both at rest and during movement [16].

There are very few cases in the literature describing the existence of a synovial bursa of the obturator externus muscle.

Specifically there is a single review of Kassarjian et al demonstrating the communication between the obturator externus bursa and the hip joint based on the use of MRI arthrography [17].

A further study reported by Robinson et al illustrates the observation of obturator externus bursa in 8 dissected cadavers and in 10 patients who underwent MRI imaging; also in their analysis, in all patients, the bursa locates in communication with the hip joint [18].

In our case report the obturator externus muscle bursa is located at the interface with the ischium. Unlike the few previous studies that have dealt with this anatomical relief, it is the first time that this location has been observed, indeed in the available literature only cases of bursa located on the side of the hip joint, both in vivo and in cadavers, are reported.

CONCLUSION

 In conclusion in our case report we have reported an anatomical variation not yet observed in the literature; furthermore our finding, in agreement with previously quoted studies, demonstrate that injuries of the obturator externus and associated bursitis may represent a major pain point of the hip joint and that it is therefore worthy of suspicion and of in-depth study, particularly in subjects predisposed to this type of injury, such as high level athletes.

ACKNOWLEDGEMENTS

 All authors contributed to the study conception and design. Material preparation, data collection and analysis were performed by and The first draft of the manuscript was written by and all authors commented on previous versions of the manuscript. All authors read and approved the final manuscript.

REFERENCES

1. Khodaee M, Jones D, Spittler J. Obturator Internus and Obturator Externus Strain in a High School Quarterback. Asian J Sports Med. 2015; 6: e23481.

2. Gudena R, Alzahrani A, Railton P, Powell J, Ganz R. The Anatomy and Function of the Obturator Externus. HIP Int. 2015; 25: 424-427.

3. Kawaguchi Y, Otani T, Fujii H, Hayama T, Marumo K, Saito M. Functional and clinical anatomy of the obturator externus muscle: Cadaveric studies and clinical findings for total hip arthroplasty in the posterior approach. J Orthop. 2021; 25: 93-97.

4. Rhim HC, Gureck AE, Jang KM. Acute Obturator Externus Injury in Professional Soccer Players: A Case Series.

5. Medicina (Kaunas). 2022; 58: 1145.

6. Wong-On M, Turmo-Garuz A, Arriaza R, Jose Manuel Gonzalez de Suso, Luis Til-Perez, Xavier Yanguas-Leite, et al. Injuries of the obturator muscles in professional soccer players. Knee Surg Sports Traumatol Arthrosc. 2018; 26: 1936-1942.

7. Shelly MJ, Hodnett PA, MacMahon PJ, Moynagh MR, Kavanagh EC, Eustace SJ. MR imaging of muscle injury. Magn Reson Imaging Clin N Am. 2009; 17: 757-773.

8. Calvi M, Curti M, Mazzoni S, Lucio Genesio, Rodolfo Tavana Leonardo, Callegari, et al. Paramagnetic contrast medium in high-level athletes with lower limb muscle injuries: can it make the return to sport safer reducing the recurrence rate? Radiol Med. 2022; 127: 507-517.

9. Kumaravel M, Bawa P, Murai N. Magnetic resonance imaging of muscle injury in elite American football players: Predictors for return to play and performance. Eur J Radiol. 2018; 108: 155-164.

10. Mueller-Wohlfahrt HW, Haensel L, Mithoefer K, Jan Ekstrand, Bryan English, Steven McNally, et al. Terminology and classification of muscle injuries in sport: The Munich consensus statement. Br J Sports Med. 2013; 47: 342-350.

11. Flores DV, Mejía Gómez C, Estrada-Castrillón M, Smitaman E, Pathria MN. MR Imaging of Muscle Trauma: Anatomy, Biomechanics, Pathophysiology, and Imaging Appearance. Radiographics. 2018; 38: 124-148.

12. Chan O, Del Buono A, Best TM, Maffulli N. Acute muscle strain injuries: a proposed new classification system. Knee Surg Sports Traumatol Arthrosc. 2012; 20: 2356-2362.

13. Valente HG, Marques FO, Souza LDSD, Abib RT, Ribeiro DC. Injury of the external obturator muscle in professional soccer athletes. Rev Bras Med Esporte. 2011; 17: 36-39.

14. Bywaters EG. THE BURSAE OF THE BODY. Ann Rheum Dis. 1965; 24: 215-218.

15. Ruangchaijatuporn T, Gaetke-Udager K, Jacobson JA, Yablon CM, Morag Y. Ultrasound evaluation of bursae. anatomy and pathological appearances. Skeletal Radiol. 2017; 46: 445-462.

16. Khodaee M. Common Superficial Bursitis. Am Fam Physician. 2017; 95: 224-231.

17. Williams BS, Cohen SP. Greater trochanteric pain syndrome: a review of anatomy, diagnosis and treatment. Anesth Analg. 2009; 108: 1662- 1670.

18. Kassarjian A, Llopis E, Schwartz RB, Bencardino JT. Obturator externus bursa: prevalence of communication with the hip joint and associated intra-articular findings in 200 consecutive hip MR arthrograms. Eur Radiol. 2009;

19: 2779-2782. 19. Robinson P, White LM, Agur A, Wunder J, Bell RS. Obturator externus bursa. anatomic origin and MR imaging features of pathologic involvement. Radiology. 2003; 228: 230-234.

Gatta T, Greco A, Lamantea S, Calvi M, Mazzoni S, et al. (2023) A Case of Ischial Bursitis Occurring in Obturator Externus Muscle Injury in Professional Football Player. Ann Sports Med Res 10(2): 1204.

Received : 01 Mar 2023
Accepted : 28 Jun 2023
Published : 28 Jun 2023
Journals
Annals of Otolaryngology and Rhinology
ISSN : 2379-948X
Launched : 2014
JSM Schizophrenia
Launched : 2016
Journal of Nausea
Launched : 2020
JSM Internal Medicine
Launched : 2016
JSM Hepatitis
Launched : 2016
JSM Oro Facial Surgeries
ISSN : 2578-3211
Launched : 2016
Journal of Human Nutrition and Food Science
ISSN : 2333-6706
Launched : 2013
JSM Regenerative Medicine and Bioengineering
ISSN : 2379-0490
Launched : 2013
JSM Spine
ISSN : 2578-3181
Launched : 2016
Archives of Palliative Care
ISSN : 2573-1165
Launched : 2016
JSM Nutritional Disorders
ISSN : 2578-3203
Launched : 2017
Annals of Neurodegenerative Disorders
ISSN : 2476-2032
Launched : 2016
Journal of Fever
ISSN : 2641-7782
Launched : 2017
JSM Bone Marrow Research
ISSN : 2578-3351
Launched : 2016
JSM Mathematics and Statistics
ISSN : 2578-3173
Launched : 2014
Journal of Autoimmunity and Research
ISSN : 2573-1173
Launched : 2014
JSM Arthritis
ISSN : 2475-9155
Launched : 2016
JSM Head and Neck Cancer-Cases and Reviews
ISSN : 2573-1610
Launched : 2016
JSM General Surgery Cases and Images
ISSN : 2573-1564
Launched : 2016
JSM Anatomy and Physiology
ISSN : 2573-1262
Launched : 2016
JSM Dental Surgery
ISSN : 2573-1548
Launched : 2016
Annals of Emergency Surgery
ISSN : 2573-1017
Launched : 2016
Annals of Mens Health and Wellness
ISSN : 2641-7707
Launched : 2017
Journal of Preventive Medicine and Health Care
ISSN : 2576-0084
Launched : 2018
Journal of Chronic Diseases and Management
ISSN : 2573-1300
Launched : 2016
Annals of Vaccines and Immunization
ISSN : 2378-9379
Launched : 2014
JSM Heart Surgery Cases and Images
ISSN : 2578-3157
Launched : 2016
Annals of Reproductive Medicine and Treatment
ISSN : 2573-1092
Launched : 2016
JSM Brain Science
ISSN : 2573-1289
Launched : 2016
JSM Biomarkers
ISSN : 2578-3815
Launched : 2014
JSM Biology
ISSN : 2475-9392
Launched : 2016
Archives of Stem Cell and Research
ISSN : 2578-3580
Launched : 2014
Annals of Clinical and Medical Microbiology
ISSN : 2578-3629
Launched : 2014
JSM Pediatric Surgery
ISSN : 2578-3149
Launched : 2017
Journal of Memory Disorder and Rehabilitation
ISSN : 2578-319X
Launched : 2016
JSM Tropical Medicine and Research
ISSN : 2578-3165
Launched : 2016
JSM Head and Face Medicine
ISSN : 2578-3793
Launched : 2016
JSM Cardiothoracic Surgery
ISSN : 2573-1297
Launched : 2016
JSM Bone and Joint Diseases
ISSN : 2578-3351
Launched : 2017
JSM Bioavailability and Bioequivalence
ISSN : 2641-7812
Launched : 2017
JSM Atherosclerosis
ISSN : 2573-1270
Launched : 2016
Journal of Genitourinary Disorders
ISSN : 2641-7790
Launched : 2017
Journal of Fractures and Sprains
ISSN : 2578-3831
Launched : 2016
Journal of Autism and Epilepsy
ISSN : 2641-7774
Launched : 2016
Annals of Marine Biology and Research
ISSN : 2573-105X
Launched : 2014
JSM Health Education & Primary Health Care
ISSN : 2578-3777
Launched : 2016
JSM Communication Disorders
ISSN : 2578-3807
Launched : 2016
Annals of Musculoskeletal Disorders
ISSN : 2578-3599
Launched : 2016
Annals of Virology and Research
ISSN : 2573-1122
Launched : 2014
JSM Renal Medicine
ISSN : 2573-1637
Launched : 2016
Journal of Muscle Health
ISSN : 2578-3823
Launched : 2016
JSM Genetics and Genomics
ISSN : 2334-1823
Launched : 2013
JSM Anxiety and Depression
ISSN : 2475-9139
Launched : 2016
Clinical Journal of Heart Diseases
ISSN : 2641-7766
Launched : 2016
Annals of Medicinal Chemistry and Research
ISSN : 2378-9336
Launched : 2014
JSM Pain and Management
ISSN : 2578-3378
Launched : 2016
JSM Women's Health
ISSN : 2578-3696
Launched : 2016
Clinical Research in HIV or AIDS
ISSN : 2374-0094
Launched : 2013
Journal of Endocrinology, Diabetes and Obesity
ISSN : 2333-6692
Launched : 2013
Journal of Substance Abuse and Alcoholism
ISSN : 2373-9363
Launched : 2013
JSM Neurosurgery and Spine
ISSN : 2373-9479
Launched : 2013
Journal of Liver and Clinical Research
ISSN : 2379-0830
Launched : 2014
Journal of Drug Design and Research
ISSN : 2379-089X
Launched : 2014
JSM Clinical Oncology and Research
ISSN : 2373-938X
Launched : 2013
JSM Bioinformatics, Genomics and Proteomics
ISSN : 2576-1102
Launched : 2014
JSM Chemistry
ISSN : 2334-1831
Launched : 2013
Journal of Trauma and Care
ISSN : 2573-1246
Launched : 2014
JSM Surgical Oncology and Research
ISSN : 2578-3688
Launched : 2016
Annals of Food Processing and Preservation
ISSN : 2573-1033
Launched : 2016
Journal of Radiology and Radiation Therapy
ISSN : 2333-7095
Launched : 2013
JSM Physical Medicine and Rehabilitation
ISSN : 2578-3572
Launched : 2016
Annals of Clinical Pathology
ISSN : 2373-9282
Launched : 2013
Annals of Cardiovascular Diseases
ISSN : 2641-7731
Launched : 2016
Journal of Behavior
ISSN : 2576-0076
Launched : 2016
Annals of Clinical and Experimental Metabolism
ISSN : 2572-2492
Launched : 2016
Clinical Research in Infectious Diseases
ISSN : 2379-0636
Launched : 2013
JSM Microbiology
ISSN : 2333-6455
Launched : 2013
Journal of Urology and Research
ISSN : 2379-951X
Launched : 2014
Journal of Family Medicine and Community Health
ISSN : 2379-0547
Launched : 2013
Annals of Pregnancy and Care
ISSN : 2578-336X
Launched : 2017
JSM Cell and Developmental Biology
ISSN : 2379-061X
Launched : 2013
Annals of Aquaculture and Research
ISSN : 2379-0881
Launched : 2014
Clinical Research in Pulmonology
ISSN : 2333-6625
Launched : 2013
Journal of Immunology and Clinical Research
ISSN : 2333-6714
Launched : 2013
Annals of Forensic Research and Analysis
ISSN : 2378-9476
Launched : 2014
JSM Biochemistry and Molecular Biology
ISSN : 2333-7109
Launched : 2013
Annals of Breast Cancer Research
ISSN : 2641-7685
Launched : 2016
Annals of Gerontology and Geriatric Research
ISSN : 2378-9409
Launched : 2014
Journal of Sleep Medicine and Disorders
ISSN : 2379-0822
Launched : 2014
JSM Burns and Trauma
ISSN : 2475-9406
Launched : 2016
Chemical Engineering and Process Techniques
ISSN : 2333-6633
Launched : 2013
Annals of Clinical Cytology and Pathology
ISSN : 2475-9430
Launched : 2014
JSM Allergy and Asthma
ISSN : 2573-1254
Launched : 2016
Journal of Neurological Disorders and Stroke
ISSN : 2334-2307
Launched : 2013
JSM Sexual Medicine
ISSN : 2578-3718
Launched : 2016
Annals of Vascular Medicine and Research
ISSN : 2378-9344
Launched : 2014
JSM Biotechnology and Biomedical Engineering
ISSN : 2333-7117
Launched : 2013
Journal of Hematology and Transfusion
ISSN : 2333-6684
Launched : 2013
JSM Environmental Science and Ecology
ISSN : 2333-7141
Launched : 2013
Journal of Cardiology and Clinical Research
ISSN : 2333-6676
Launched : 2013
JSM Nanotechnology and Nanomedicine
ISSN : 2334-1815
Launched : 2013
Journal of Ear, Nose and Throat Disorders
ISSN : 2475-9473
Launched : 2016
JSM Ophthalmology
ISSN : 2333-6447
Launched : 2013
Journal of Pharmacology and Clinical Toxicology
ISSN : 2333-7079
Launched : 2013
Annals of Psychiatry and Mental Health
ISSN : 2374-0124
Launched : 2013
Medical Journal of Obstetrics and Gynecology
ISSN : 2333-6439
Launched : 2013
Annals of Pediatrics and Child Health
ISSN : 2373-9312
Launched : 2013
JSM Clinical Pharmaceutics
ISSN : 2379-9498
Launched : 2014
JSM Foot and Ankle
ISSN : 2475-9112
Launched : 2016
JSM Alzheimer's Disease and Related Dementia
ISSN : 2378-9565
Launched : 2014
Journal of Addiction Medicine and Therapy
ISSN : 2333-665X
Launched : 2013
Journal of Veterinary Medicine and Research
ISSN : 2378-931X
Launched : 2013
Annals of Public Health and Research
ISSN : 2378-9328
Launched : 2014
Annals of Orthopedics and Rheumatology
ISSN : 2373-9290
Launched : 2013
Journal of Clinical Nephrology and Research
ISSN : 2379-0652
Launched : 2014
Annals of Community Medicine and Practice
ISSN : 2475-9465
Launched : 2014
Annals of Biometrics and Biostatistics
ISSN : 2374-0116
Launched : 2013
JSM Clinical Case Reports
ISSN : 2373-9819
Launched : 2013
Journal of Cancer Biology and Research
ISSN : 2373-9436
Launched : 2013
Journal of Surgery and Transplantation Science
ISSN : 2379-0911
Launched : 2013
Journal of Dermatology and Clinical Research
ISSN : 2373-9371
Launched : 2013
JSM Gastroenterology and Hepatology
ISSN : 2373-9487
Launched : 2013
Annals of Nursing and Practice
ISSN : 2379-9501
Launched : 2014
JSM Dentistry
ISSN : 2333-7133
Launched : 2013
Author Information X