Loading

Annals of Sports Medicine and Research

Aerobic Exercise and Calorie Restriction Alter Mitochondrial Biogenesis and Dynamics in Male Wistar Rats with Nonalcoholic Fatty Liver Disease

Research Article | Open Access | Volume 10 | Issue 5

  • 1. Ph.D. of Exercise Physiology, Department of Exercise Physiology, Faculty of Sport Sciences, University of Guilan, Rasht, Iran
  • 2. Professor of Exercise Physiology, Department of Exercise Physiology, Faculty of Sport Sciences, University of Guilan, Rasht, Iran
+ Show More - Show Less
Corresponding Authors
Farzaneh Yadegari, Ph.D of Exercise Physiology, Department of Exercise Physiology, Faculty of Sport Sciences, University of Guilan, Rasht, Iran
Abstract

Background: Non-alcoholic fatty liver disease (NAFLD) is one of the most common liver diseases. limited studies has been done on the effects of calorie restriction (CR) and aerobic exercise (AE) on mitochondrial biogenesis (PGC1α, NRF2) and dynamics (MFN2, DRP1) in NAFLD rats. In this present, the changes on PGC1α, NRF2, MFN2 and DRP1 Proteins expression after 12 weeks of CR and AE intervention in the NAFLD rat model were evaluated.

Methods: 40 rats were used, with 32 of them being induced to develop NAFLD through an 8-week high-fat diet. These rats were then divided into five groups: control (ate fatty food), sham (ate normal food), CR, AE, and CA (CR & AE). The CA and CR groups received 60% of their daily diet, while the AE and CA groups participated in treadmill aerobic exercise sessions five times a week for 12 weeks. After the intervention period, protein expression levels were measured in all groups. Data analysis utilized one-way ANOVA with a significance level set at P<0.05.

Results: As shown by the findings, there are significant differences in the expression of proteins between the groups. In PGC1α, NRF2, MFN2 proteins, CA group showed higher protein expression than CR group (respectively P=0.045, P=0.028, P=0.025). However, it presented a significant reduction in DRP1 protein. (P=0.015), and there was no significant difference between CA and AE in expression of PGC1α, NRf2, MFN2 and DRP1 proteins (P=0.995, P=0.44, P=0.635, P=0.076).

Conclusion: The results showed that AE combined with CR is able to improve NAFLD.

Keywords

• CR

• DRP1

• MFN2

• NRF2

• PGC1α

• AE

CITATION

Yadegari F, Rahmani-nia F (2023) Aerobic Exercise and Calorie Restriction Alter Mitochondrial Biogenesis and Dynamics in Male Wistar Rats with Nonalcoholic Fatty Liver Disease. Ann Sports Med Res 10(5): 1220.

ABBREVIATIONS

DRP1: Dynamin-related protein 1, MFN2: Mitofusin 2, NRF2: Nuclear factor erythroid-related factor 2, PGC1α: Peroxisome proliferator-activated receptor-gamma coactivator

INTRODUCTION

NAFLD, a common liver disease affecting approximately 30% of the global population, is known to be closely associated with mitochondrial dysfunction¹. Mitochondria have a vital effect in the pathogenesis of NAFLD, and promoting mitochondrial biogenesis is crucial to enhance mitochondrial capacity and mitigate lipid accumulation in the liver. PGC1α is a pivotal energy balance regulator since it controls the transcription of genes engaged in fatty acid oxidation and mitochondrial function. Other studies have indicated that NAFLD patients exhibit a 40% reduction in expression of hepatic PGC1α, associated with dysfunction in mitochondria [2].

NRF2 has a critical effect in inducing crucial antiinflammatory responses, promoting mitochondrial biogenesis, enhancing mitochondrial function, and stimulating autophagy. In the context of steatohepatitis development, NRF2 serves as a crucial regulator of the redox balance, which mediates the antiinflammatory and impacts of antioxidants. Moreover, NRF2 directly influences lipid metabolism [3]. These findings suggest a link between alterations in antioxidant pathways and metabolism in relation to NAFLD [4].

Mitochondrial function and structure are interconnected, and the latter is influenced by the continuous processes of mitochondrial fission and fusion, known as mitochondrial dynamics. In vertebrates, the regulation of mitochondrial fusion is controlled by mitofusin-1/2 (MFN1/2) and optic atrophy 1 (OPA1), while mitochondrial fission is governed by dynamin-related protein 1 (DRP1) and its receptors. Recent research on mitochondrial dynamics has highlighted its functional significance in liver diseases [5]. In NAFLD, inhibiting mitochondrial fission has been shown to reduce hepatic oxidative stress and steatosis [6]. Additionally, the mitochondria fragmentation resulting from the deletion of mitofusin 2 (MFN2) in hepatocytes exacerbates NAFLD progress, inflammation, and hyperglycemia in mice with a high-fat diet [7]. The deletion of MFN2 in hepatocytes leads to significant metabolic consequences, such as decreased mitochondrial respiration, reduced fat oxidation, and increased production of reactive oxygen species (ROS) Lifestyle interventions, particularly focusing on diet and physical exercise, play a crucial role in correcting an altered energy balance [8]. For NAFLD management, diet and physical activity (PA) interventions are of great importance [9]. Studies have demonstrated that exercise enhances the activity of mitochondrial fatty acid oxidation and helps prevent hepatic fat accumulation [10]. Exercise-induced mitochondrial biogenesis is an important adaptive mechanism, where PGC1α is stimulated [11]. Furthermore, exercise triggers beneficial adaptations mediated by the transcription factor NRF2 [12]. Some research has indicated that training can improve mitochondrial fusion and fission dysfunctions induced by obesity [13]. Calorie restriction (CR) has also been shown to induce mitochondrial biogenesis, leading to elevated respiration and expression of genes critical for dynamic fusion process essential for oxidative functioning [14].

This research aimed at showing the impact of aerobic activity and caloric restriction on mitochondrial biogenesis (PGC1 α, NRF2) and dynamics (DRP1, MFN2) in NAFLD.

MATERIALS AND METHODS

Animals

In our work, 40 male Wistar rats, aged two months, were acquired from the Pasteur Institute (Iran). The rats were acclimated to the new environment for 14 days, during which they had unrestricted accessibility to water and food to avoid stress and ensure stable physiological situation. The rats were housed in clear polycarbonate cages, kept in pairs, with a temperature of 22±3°C and humidity range of 40% to 60%, following a 12- hour light-dark cycle. Ethical guidelines for working with laboratory animals were strictly followed, ensuring no physical harm or unnecessary procedures were performed on the animals throughout the research. The weight of animals was recorded weekly on a certain day. To induce fatty liver, 32 animals were put in the high-fat diet (HFD) group randomly, while 8 rats were put in the normal diet group (sham). Following eight weeks on the fatty food regimen (19% protein, 47% carbohydrates, 34% fat) [15], the 32 rats in the HFD group were divided into 4 groups, and the 8 rats in the normal diet group served as the sham group. The groups included sham, high-fat control, calorie restriction (CR), aerobic exercise (AE), and combined calorie restriction-aerobic exercise (CA). The CR and CA groups were provided with 60% of the daily diet [16]. The AE and CA groups underwent a 12-week AE plan on an animal-smart electronic treadmill for five days weekly. The exercise program involved maintaining a relative intensity of work at 24-33 m/min with a 15% slope. The training period started at 10 min daily in the first week and gradually increased to 60 min in the 5th week [17]. For determining amount of used food and CR, the daily food intake of animals was evaluated for 14 days, and in groups with caloric restrictions, the food provided was 60% of the amount used by normal animals. Following the last training session (after a 12-14 hour fasting period), the rats were anesthetized with an intraperitoneal injection of combined xylazine (5 mg/kg) and ketamine (60 mg/kg). Then, surgery was performed [18]. Afterward, the lower lobe of the liver tissue was excised, immediately collected, and frozen at -80°C. A portion of the tissue was stained with hematoxylin-eosin (H & E) and oil red, while other section was employed for Western blot analysis and quantification of PGC1α, NRF2, MFN2, and DRP1 proteins.

Western blot analysis

To isolate liver tissue proteins PGC1α, NRF2, MFN2, and DRP1, a radioimmunoprecipitation assay buffer (RIPA buffer) with 0 Tris buffer (.05 mM) (pH 8), sodium chloride molar (150 mL), 0.01% EGTA, 0.1% cocktail anti-protease (ROCHE), and 1% sodium dodecyl sulfate was employed. To extract proteins, the tissue (100 mg) was homogenized using a manual homogenizer in buffer (500 μL) that contained antiprotease, leaving at 4°C for 30 min. Then, the homogenate was centrifuged for 10 min at 4°C and 12,000 rpm by a refrigerated centrifuge (bo, SW14R froil). The resulting supernatant was collected, and the related protein concentration was assessed at 595 nm using a Bio-Rad protein determination kit. The sample was then stored at -20°C and mixed with sample loading buffer (2% sodium dodecyl sulfate, 50 mM Tris-HCl, 5% beta-mercaptoethanol, 0.005% aqueous bromophenol, and 10% glycerol) in a 1:1 ratio. The mixture was heated for 5 min to fully denature the proteins. Following that, proteins were removed by sodium dodecyl sulfate-polyacrylamide gel electrophoresis, being moved to a nitrocellulose membrane. 5% bovine serum albumin in 0.1% Tris Buffered Saline with Tween 20 was used to block the membrane for one hour. Afterward, incubation was done the primary antibody (1:500). After one day, we incubated membrane with the secondary antibody at ambient temperature for 1 h in 4% TBST. Proteins were visualized using electrochemiluminescence and quantified through densitometry analysis using ImageJ software (Image 1,2).

Counting of fat droplets in the liver in different groups with 20 µm magnification

Image 1: Counting of fat droplets in the liver in different groups with 20 µm magnification

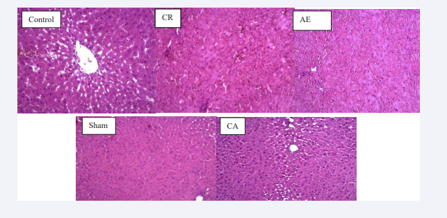
The degree of inflammation and damage in the liver based on the percentage of vacuolated hepatic cells with unclear nucleus and  nuclear membrane, dead cells with less color sensitivity than living cells in different groups with 100 µm magnification.

Image 2: The degree of inflammation and damage in the liver based on the percentage of vacuolated hepatic cells with unclear nucleus and nuclear membrane, dead cells with less color sensitivity than living cells in different groups with 100 µm magnification.

The primary and secondary antibodies used were as follows: PGC1α: GTX31921, NRF2: orb224910, MFN2: D2D10, DRP1: GTX54040, GAPDH: SC-166545, and the rabbit secondary antibody: BA1054-2.

Histopathological analysis

Oil red analysis: Sections of 8 to 10 microns in size were prepared from the frozen tissue samples and allowed to dry in open air. The parts were then fixed using formalin (Sigma -1.04002) and rinsed with water. Subsequently, they were immersed in 60% isopropanol and put in the Oil red working solution for 15 min to stain the samples. After staining, the slides were rinsed with 60% isopropanol, and the nuclei were counterstained with hematoxylin. Following another wash with distilled water, the slides were assembled using glycerin gel. Finally, photomicrographs were captured using a light microscope.

H & E analysis: Initially, the slides were subjected to an incubation process for 20 min at 90°C to facilitate the melting of paraffin in the samples. Then, the samples were immersed in xylene 1 and 2 (730-1330-Sigma) for 15 min. Lastly, Entellan glue (Sigma-1.07961) was applied to the samples, and the coverslip was attached to the slide. Photomicrographs were captured using a light microscope.

Statistical analysis

Descriptive data were presented as the mean and SD. To assess the data normality for comparing variables between groups, the Shapiro-Wilk test was performed. With a normal data distribution, one-way ANOVA (P < 0.05) and Tukey’s post hoc test were employed for further comparisons between groups.

RESULTS

CR and CA resulted in decreased liver and body weight. The control group presented an alteration in body weight just before the protocol and at the 11th week following the protocol (p=0.045). Nevertheless, we did not notice any significant difference in body weight in the sham group (p=0.89). In the AE group, it was found that there is no significant intra-group difference in body weight (P=0.737). On the other hand, body weight showed a significant change in CR group (P=0.001). Similarly, the CA group showed significant changes in body weight at weeks 8 (P=0.008), 11 (P=0.002), and 12 (P=0.001) following the protocol in comparison with before the protocol (Table 1).

Noteworthy variations were noted in liver weight among the Sham (P=0.001), CR group, Control (P=0.001), and AE groups (P=0.001). Nonetheless, researchers did not observe any significant difference between the CR and CA groups (p=0.363), as well as between the AE and control groups (p=0.572). In the AE model, liver weight showed a substantial increase compared to both the CR group (P=0.001) and the CA group (P=0.001) (Figure 1).

CA and CR decrease liver weight. Dissimilar acronyms imply significant  differences.

Figure 1: CA and CR decrease liver weight. Dissimilar acronyms imply significant differences.

AE, CA, and CR were found to improve the hepatic histopathological changes caused by HFD. The mean and SD of the observations and the significant differences between the groups are presented in Table 2. Histological examinations of the model rats’ livers revealed microvesicular steatosis, characterized by excessive small lipid droplets in the cytoplasm and swelling of hepatocytes, along with 5% of nucleated hepatocytes exhibiting an apoptotic appearance [15]. In contrast, the Sham group showed a normal histological structure with no inflammation or steatosis. Significant differences were observed in liver fat between the control group and the other groups (AE: P=0.001, CR: P=0.001, CA: P=0.001). Moreover, considerable differences were noted in liver fat between the CA group and the CR (P=0.001) and AE (P=0.001) groups, but there were not any significant differences between the CR and AE groups (P=0.26). The liver histological structure of the other groups was notably enhanced in comparison to the control group, except for the control group, which exhibited inflammation and section of the liver tissue destruction. We observed dead cells with lower staining in the control group because of the absence of tissue staining. Regarding the hepatic steatosis severity, significant improvements were found merely in CA group (P=0.002) in comparison with the control group (Table 2). There was not any significant difference concerning inflammation and enhancement between the control group and the AE (P=0.061) and CR (P=0.061) groups, nor between the AE and CR groups (P=1.00). Additionally, there were not any significant differences concerning improving the steatosis severity and inflammation between the AE (P=0.2) and CR (P=0.2) groups compared to the CA group.

CR and AE resulted in increased PGC1α protein expression, as indicated in Table 2. The CR group presented a significant increase in PGC1α protein expression than control group (P=0.019), as did the CA and AE (P=0.002) groups (P=0.001). Nevertheless, there were no significant difference in PGC1α protein expression between AE and CR groups (P=0.063). The CA group exhibited higher PGC1α protein expression than CR (P=0.045). Nonetheless, there were no significant differences between AE and CA groups (P=0.995).

CR and AE resulted in a significant boost in NRF2 protein expression (Table 2). The CR group presented a significant boost in expression of NRF2 protein in comparison with the control group (P=0.037), as in AE (P=0.004) and CA groups (P=0.002). Nevertheless, there were not any significant difference in expression of NRF2 protein between the AE and CR groups (P=0.163). The CA group exhibited greater NRF2 protein expression compared to the CR group (P=0.028), but we did not note any significant difference between the AE and CA groups (P=0.442).

The groups of CR, AE, and CA exhibited a significant elevation in expression of MFN2 protein, as shown in Table 2. A significant elevation was noted in CR group in MFN2 protein expression in comparison with the control group (P=0.018), as in AE (P=0.002) and CA (P=0.001) groups. Nevertheless, there were not any significant differences in expression of MFN2 protein between the CR and AE groups (P=0.09). The CA group exhibited significantly higher MFN2 protein expression compared to the CR group (P=0.025), while we did not find any significant differences between the CA and AE groups (P=0.635).

The groups of CR, AE, and CA exhibited a significant reduction in expression of DRP1 protein, as shown in Table 2. A significant reduction was found in CR group in DRP1 protein expression than control group (P=0.001), as in AE (P=0.00) and CA (P=0.001) groups. Nevertheless, there were no significant differences in expression of DRP1 protein between the AE and CR groups (P=0.432). The CA group exhibited significantly lower DRP1 protein expression compared to the CR group (P=0.015), while there were no significant differences between CA and AE groups (P=0.076)

DISCUSSION

Over the past two decades, the incidence of NAFLD has doubled, but effective drugs for its management are still unavailable in clinical practice due to limited understanding of the disease mechanisms [1]. In the current work, a NAFLD animal model was recognized by nourishing them a high-fat diet for 8 weeks. Subsequently, the rats were grouped and subjected to calorie restriction (CR) and aerobic exercise (AE) for 12 weeks. The control group presented an increase in body weight, while the CR group experienced weight loss, which has been shown to improve NAFLD. A reduction of 5%-10% in excess body weight has been associated with improvements in fibrosis, liver histology, and serum markers of liver damage in patients with NAFLD [19]. Additionally, recent observations indicate that regular exercise, including resistance exercise, aerobic activity, and flexibility training, can enhance NAFLD independent of weight loss. Besides, exercise reduces intrahepatic fat and enhances systemic markers of liver function in mild-to-advanced NAFLD [20]. These findings highlight the potential of lifestyle interventions, such as calorie restriction and aerobic exercise, as promising strategies for NAFLD management.

The liver weight in the AE group was considerably larger than the CR and CA groups. This difference could be attributed to the elevation of liver glycogen capacity and muscle in the AE model.

As revealed by Oil red staining, the control group exhibited significantly higher liver lipid levels compared to the other groups, leading to damage and inflammation within this group. Both aerobic exercise and caloric restriction proved effective in reducing liver fat. The present work showed a notable enhancement in liver fat following 12 weeks of aerobic exercise. It is in consistency with the results by Oh et al. (2017), who demonstrated significant decline in intrahepatic fat content following 12 weeks of either moderate-intensity continuous cycling or vigorous-intensity interval cycling [21]. Moreover, some studies showed the reduction of hepatic fat content independent of weight loss by resistance training [20]. ShojaeeMoradie et al. (2016) reported that intrahepatocellular fat was significantly reduced in patients with NAFLD who experienced with a combination of resistance and aerobic training [22]. Moreover, a study indicated the reduction of fat accumulation and maintenance of lipid homeostasis, occurring by swimming, as a possible positive response of zebrafish liver to exercise [23]. Researchers also indicated that CR hinders the glycerolipids accumulation in the liver of animals under calorie restriction and and they are degraded to FFAs by increased autophagy [16].

In our work, H&E staining indicated that the combined intervention of caloric restriction and aerobic exercise improved inflammation and tissue damage. While both caloric restriction and aerobic exercise separately showed reductions in inflammation and damage, the changes were not statistically significant. Another study demonstrated that obesity leads to intrahepatic lipid oxidative damage, which can be reduced to normal levels with weight loss [24].

We investigated the impact of aerobic exercise and calorie restriction on PGC1α, NRF2, MFN2 and DRP1 Proteins expression in rats with NAFLD.

We observed a reduction in the NRF2 and PGC1α protein expression in the control group, which is in line with studies that showed that, the expression of PGC1α is decreased in steatotic liver in NAFLD mouse model. Consequently, the coactivator did not show interaction with the promoters having the NRF2 and NRF1 response elements, which reduces the levels of antioxidant and mitochondrial proteins and results in the accumulation of ROS [25] and the incapability for adapting to hepatic oxidative stress can speed up the development of NAFLD in NRF2 deficient mice [26]. Calorie restriction and aerobic exercise can be effective in treating NAFLD. Preliminary evidence has shown that CR increases mitochondrial content [14]. These results validate that caloric restriction (CR) promotes mitochondrial biogenesis, although certain studies have reported no significant increase in mitochondrial protein content or biogenesis due to CR [27]. An alternative explanation is that CR safeguards against mitochondrial dysfunction by enhancing mitochondrial dynamics and the effectiveness of mitochondrial processes [27].

Caloric restriction (CR) stimulates mitochondrial biogenesis through the activation of the transcriptional coactivator PGC-1α [28], which, in turn, synergistically activates nuclear respiratory factor-2 (NRF2) [3]. Our findings are consistent with this mechanism as we observed increased expression of PGC1α and NRF2 proteins under CR conditions. The expression and activation of PGC1α under CR conditions lead to enhanced mitochondrial biogenesis via the involvement of coactivators like NRF2 and NRF1 [29].

In this study, we observed that DRP1 increased and MFN2 decreased in the control group. A study revealed that during caloric excess, the coordinated processes of mtDNA fission and replication becomes disrupted, resulting in fragmented mitochondria with both functional and non-functional mtDNA copies (heteroplasmy) [3]. On the other hand, caloric restriction (CR) causes mitochondrial biogenesis by boosting respiration and the expression of genes critical for dynamic fusion process essential for oxidative function [14]. As a consequence, CR can upregulate fusion proteins and downregulate fission proteins. In the present study, 40% of caloric restriction increased MFN2 protein expression and decreased DRP1.

Our study demonstrated that engaging in aerobic training for 12 weeks, five days a week, at a specific intensity, resulted in the elevation of the PGC1α protein expression. This finding aligns with another research that indicated exercise boosts hepatic PGC1α levels in rat models using running wheels [10]. Moreover, exercise activity was shown to enhance the expression of PGC1α, thereby improving mitochondrial function and reducing liver steatosis, inflammation, and fibrosis [30]. To further confirm mitochondrial biogenesis in exercised mice, imaging with MitoTimer, a new fluorescent probe distinguishing between newly generated mitochondria (in green fluorescence) and older ones (in red fluorescence), revealed encouraging results. High-fat diet feeding caused a change to red fluorescence, indicating downregulated biogenesis, while exercise effectively hindered this shift [11].

Wafi et al. demonstrated that exercise has a regulatory effect on NRF2 expression and antioxidant levels in animals [31]. The current work also showed that aerobic exercise elevated expression of NRF2 protein in animals with NAFLD. Similarly, another research indicated that moderate-intensity physical exercises for six weeks significantly elevated NRF2 protein expression in the heart of both old and young animals, suggesting that moderate exercise can enhance NRF2 expression [32]. Additionally, according to another research, 5 weeks of moderateintensity endurance exercise improved antioxidant defense in young subjects and acute aerobic exercise performed through two cycling protocols of 30 min (constant load and intense interval) increased NRF2 protein expression in young men [32]. However, according to Gomez et al, resistance exercise did not change NRF2 expression in young animals, while it reduced NRF2 levels in older ones [33]. Interestingly, one research showed a significant decrease in NRF2 protein concentration in all areas of brain and skeletal muscles after acute aerobic exercise, whereas another study showed a significant increase in NRF2 protein concentration in the hippocampus area in reaction to exercise training [34].

In contrast to our study, previous research revealed that MFN1/2 mRNA expression did not change 2 hours after a single intense exercise session, while it was elevated after 24 hours, mediated by exercise-responsive co-activators PGC1α and ERRα, promoting mitochondrial biogenesis. However, a different study did not observe any alterations in MFN2 protein levels at the evaluated time points [35]. Subsequent studies reported no significant changes in FIS1, MFN1/2, and DRP1 protein levels after a single session of high intensity interval exercise (HIIE) in humans, but a significant increase was observed after two weeks of HIIE training [35]. Another study revealed that exercise triggers the phosphorylation of DRP1 at Ser637 through protein kinase A (PKA), resulting in the inhibition of DRP1 activity and subsequent elongation of the mitochondrial network. Furthermore, both mRNA and protein levels of MFN were found to increase in human skeletal muscle after physical exercise [11]. In humans, the mRNA expression of MFN1 and MFN2 exhibited an increase for 24 hours following intense continuous exercise, and there were rapid upregulations in MFN2 mRNA expression after performing sprint exercises involving repeated 20- to 30-second all-out efforts, as well as after 25- to 50-minute moderateintensity exercise at the lactate threshold [36]. These results are in line with our study, supporting the notion that alterations in MFN1/2 and mitochondrial dynamics induced by exercise might be vital for enhancing mitochondrial function and adaptations in response to physical activity.

Contradictory results have been reported in which exercise and caloric restriction lead to increased or decreased expression of proteins in relation to mitochondrial biogenesis and dynamics. This can be attributed to variations in exercise intensity and duration, amount of calorie restriction, tissue type, and different experimental conditions.

Collectively, it is revealed that PGC1α, NRF2, MFN2 and DRP1 have been found to have an important role in inhibiting of the NAFLD progression. But in no research, the simultaneous impact of AE and CR on PGC1α, NRF2, MFN2 and DRP1 proteins expression in patients with fatty liver was observed. So, in our study, it has been shown that AE and CR can elevate the expression of PGC1α, NRF2, MFN2 proteins, and reduce the expression DRP1 protein and reduce liver fat through increasing mitochondrial efficiency and improve NAFLD by reducing inflammation and liver damage.

ACKNOWLEDGMENTS

The researchers would like to thank all the officials of the animal laboratory who helped with conducting this work. Most of the expenses related to this research were paid by the corresponding author and a small part of it was paid by the financial affairs of the Faculty of Physical Education and Sports Sciences of Gilan University from a student grant.

Author Contributions

Farzaneh Yadegari participated in the design of the study, data collection and data analysis; Farhad Rahmani Nia participated in the design of the study.

Ethical Approval

The study protocol was approved by the Research Ethics Committee of Sport Sciences Research Institute with code: IR.SSRI. REC.1400.1301

REFERENCES

1. Huang B, Xiong X, Zhang L, Liu X, Wang Y, Gong X, et al. PSA controls hepatic lipid metabolism by regulating the NRF2 signaling pathway. J Mol Cell Biol. 2021; 13: 527-39.

2. Wang SW, Sheng H, Bai YF et ah. Neohesperidin enhances PGC-1αmediated mitochondrial biogenesis and alleviates hepatic steatosis in high fat diet fed mice. J Nutrition and Diabetes. 2020; 10: 27

3. Hardwick J. Does Mitochondrial Size or Number Play a Role in Metabolic Syndrome? Gene Cell Tissue. 2014; 1: 21227.

4. Smirne C, Croce E, Di Benedetto D, Cantaluppi V, Comi C, Sainaghi PP, et al. Oxidative stress in non-alcoholic fatty liver disease. Livers. 2022; 2: 30-76.

5. Wang L, Li X, Hanada Y, et al. Dynamin-related protein 1 deficiency accelerates lipopolysaccharide-induced acute liver injury and inflammation in mice. Communications Biology. 2021; 4: 894.

6. Choi Y, Seo H, Cho M, et al. Rutin inhibits DRP1-mediated mitochondrial fission and prevents ethanol-induced hepatotoxicity in HepG2 cells and zebrafish. Animal Cells And Systems. 2021; 25: 74-81.

7. Shum M, Ngo J, Shirihai O,etal. Mitochondrial oxidative function in NAFLD: Friend or foe? Molecular Metabolism. 2021; 50: 101134.

8. LopezTrinidad M, Martinez R, Kapravelou G, et al. Caloric restriction, physical exercise, and CB1 receptor blockade as an efcient combined strategy for bodyweight control and cardiometabolic status improvement in male rats. Scientifc Reports. 2021; 11: 4286.

9. Oh S, Shida T, Yamagishi K, et al. Moderate to Vigorous Physical Activity Volume Is an Important Factor for Managing Nonalcoholic Fatty Liver Disease: A Retrospective Study. Hepatology. 2015; 61: 1205-1215.

10. Nassir F, A. Ibdah J . Role of Mitochondria in Nonalcoholic Fatty Liver Disease: An expanded review. Int J MolSci. 2014; 15: 8713-8742.

11. Tanaka T, Nishimura A, Nishiyama K, Goto T. Mitochondrial dynamics in exercise physiology. European Journal of Physiology. 2019.

12. Ostrom E, Valencia P, Marcinek D, et al. High intensity muscle stimulation activates a systemic Nrf2-mediated redox stress response. 2021.

13. Hashemi Taklimi M, Shadmehri S. Changes in Mitochondrial Dynamic Factors (mfn2 and drp1) Following High Intensity Interval Training and Moderate Intensity Continuous Training in Obese Male Rats. IR J Dia and Obe. 2021; 13: 57-64.

14. Nisoli E, Tonello C, Cardile A, et al. Calorie Restriction Promotes Mitochondrial Biogenesis by Inducing the Expression of Enos. J Sci. 2005; 310: 314-317.

15. Guo Y, Li JX, Mao TY, Zhao WH, Liu LJ, Wang YL. Targeting Sirt1 in a rat model of high-fat diet-induced non-alcoholic fatty liver disease: comparison of Gegen Qinlian decoction and resveratrol. Exp Ther Med. 2017; 14: 4279-87.

16. Kim KE, Jung Y, Min S, Nam M, Heo RW, Jeon BT, et al. Caloric restriction of db/db mice reverts hepatic steatosis and body weight with divergent hepatic metabolism. Sci Rep. 2016; 6: 30111.

17. Jafari A, Pourrazi H, Nikookheslat S, Baradaran B. Effect of exercise training on Bcl-2 and bax gene expression in the rat heart. Gene Cell Tissue. 2015; 2: e60174.

18. Delroz H, Abdi A, Barari A, Farzanegi P. Protective effect of aerobic training along with resveratrol on mitochondrial dynamics of cardiac myocytes in animal model of nonalcoholic fatty liver disease. J Ardabil Univ Med Sci. 2019; 19: 272-83.

1. Li L, Fu J, Sun J, Liu D, Chen C, Wang H, et al. Is Nrf2-ARE a potential target in NAFLD mitigation? Curr Opin Toxicol. 2019;13:35-44. doi: 10.1016/j.cotox.2018.12.005.

19. Farzanegi P, Dana A, Ebrahimpoor Z, Asadi M, Azarbayjani MA. Mechanisms of beneficial effects of exercise training on nonalcoholic fatty liver disease (NAFLD): roles of oxidative stress and inflammation. Eur J Sport Sci. 2019; 19: 994-1003.

20. Oh S, So R, Shida T, Matsuo T, Kim B, Akiyama K, et al. Highintensity aerobic exercise improves both hepatic fat content and stiffness in sedentary obese men with nonalcoholic fatty liver disease. Sci Rep. 2017; 7: 43029.

21. Shojaee-Moradie F, Cuthbertson DJ, Barrett M, Jackson NC, Herring R, Thomas EL, et al. Exercise training reduces liver fat and increases rates of VLDL clearance but not VLDL production in NAFLD. J Clin Endocrinol Metab. 2016; 101: 4219-28.

22. Zou Y, Chen Z, Sun C, Yang D, Zhou Z, Peng X, et al. Exercise intervention mitigates pathological liver changes in NAFLD zebrafish by activating SIRT1/AMPK/NRF2 signaling. Int J Mol Sci. 2021; 22: 10940.

23. Mendes IKS, Matsuura C, Aguila MB, Daleprane JB, Martins MA, Mury WV, et al. Weight loss enhances hepatic antioxidant status in a NAFLD model induced by high-fat diet. Appl Physiol Nutr Metab. 2018; 43: 23-9.

24. Piccinin E, Villani G, Moschetta A. Metabolic aspects in NAFLD, NASH and hepatocellular carcinoma: the role of PGC1 coactivators. | GAsT& HePA. 2019; 16: 160-174.

25. Davinelli S, De Stefani D, De Vivo I, Scapagnini G. Polyphenols as caloric restriction mimetics regulating mitochondrial biogenesis and mitophagy. Trends Endocrinol Metab. 2020; 31: 536-50.

26. Gao A, Cantó C, Houtkooper R. Mitochondrial response to nutrient availability and its role in metabolic disease. EMBO Molecular Medicine. 2014; 6: 580-589.

2. Moraes D, Oliveira CA, Amara M, etal. Liver metabolic changes induced by conjugated linoleic acid in calorie-restricted rats. Arch Endocrinol Metab. 2017;61(1):45-53.

3. Vomhof-Dekrey EE, Picklo MJ Sr. The Nrf2-antioxidant response element pathway: a target for regulating energy metabolism. J Nutr Biochem. 2012;23(10):1201-6. doi: 10.1016/j.jnutbio.2012.03.005.

4. Akbarzadeh, Elham .”Effect of aerobic exercise and caloric restriction on hormonal and metabolic factors related to fatty liver” in postmenopausal women suffering from non-alcoholic fatty liver disease”. 2021. Ph.D. thesis in sports physiology, Guilan University.

27. Muthusamy VR, Kannan S, Sadhaasivam K, Gounder SS, Davidson CJ, Boeheme C, et al. Acute exercise stress activates Nrf2/ARE signaling and promotes antioxidant mechanisms in the myocardium. Free Radic Biol Med. 2012; 52: 366-76.

28. Li T, He S, Liu S, Kong Z, Wang J, Zhang Y. Effects of different exercise durations on Keap1-Nrf2-ARE pathway activation in mouse skeletal muscle. Free Radic Res. 2015;49:1269-74.

29. Gomes FC, Chuffa LG, Scarano WR, Pinheiro PF, Fávaro WJ, Domeniconi RF. Nandrolone decanoate and resistance exercise training favor the occurrence of lesions and activate the inflammatory response in the ventral prostate. Andrology. 2016;4:473-80.

30. Vervaecke LS. Acute and Chronic Exercise Effects on NrF2 and Antioxidants in the Muscle and Brain Tissue of Sprague Dawley Rats . UNCG. 2017.

31. J. Trewin A, J. Berry B, P. Wojtovich A. Exercise and Mitochondrial Dynamics: Keeping in Shape with ROS and AMPK. Antioxidants. 2018;7:7.

32. R. Huertas J, Ruiz-Ojeda FJ, Plaza-D´?az J, et al. Human muscular mitochondrial fusion in athletes during exercise. FASEB J. 2019;33:12087-12098.

Yadegari F, Rahmani-nia F (2023) Aerobic Exercise and Calorie Restriction Alter Mitochondrial Biogenesis and Dynamics in Male Wistar Rats with Nonalcoholic Fatty Liver Disease. Ann Sports Med Res 10(5): 1220.

Received : 02 Nov 2023
Accepted : 30 Nov 2023
Published : 01 Dec 2023
Journals
Annals of Otolaryngology and Rhinology
ISSN : 2379-948X
Launched : 2014
JSM Schizophrenia
Launched : 2016
Journal of Nausea
Launched : 2020
JSM Internal Medicine
Launched : 2016
JSM Hepatitis
Launched : 2016
JSM Oro Facial Surgeries
ISSN : 2578-3211
Launched : 2016
Journal of Human Nutrition and Food Science
ISSN : 2333-6706
Launched : 2013
JSM Regenerative Medicine and Bioengineering
ISSN : 2379-0490
Launched : 2013
JSM Spine
ISSN : 2578-3181
Launched : 2016
Archives of Palliative Care
ISSN : 2573-1165
Launched : 2016
JSM Nutritional Disorders
ISSN : 2578-3203
Launched : 2017
Annals of Neurodegenerative Disorders
ISSN : 2476-2032
Launched : 2016
Journal of Fever
ISSN : 2641-7782
Launched : 2017
JSM Bone Marrow Research
ISSN : 2578-3351
Launched : 2016
JSM Mathematics and Statistics
ISSN : 2578-3173
Launched : 2014
Journal of Autoimmunity and Research
ISSN : 2573-1173
Launched : 2014
JSM Arthritis
ISSN : 2475-9155
Launched : 2016
JSM Head and Neck Cancer-Cases and Reviews
ISSN : 2573-1610
Launched : 2016
JSM General Surgery Cases and Images
ISSN : 2573-1564
Launched : 2016
JSM Anatomy and Physiology
ISSN : 2573-1262
Launched : 2016
JSM Dental Surgery
ISSN : 2573-1548
Launched : 2016
Annals of Emergency Surgery
ISSN : 2573-1017
Launched : 2016
Annals of Mens Health and Wellness
ISSN : 2641-7707
Launched : 2017
Journal of Preventive Medicine and Health Care
ISSN : 2576-0084
Launched : 2018
Journal of Chronic Diseases and Management
ISSN : 2573-1300
Launched : 2016
Annals of Vaccines and Immunization
ISSN : 2378-9379
Launched : 2014
JSM Heart Surgery Cases and Images
ISSN : 2578-3157
Launched : 2016
Annals of Reproductive Medicine and Treatment
ISSN : 2573-1092
Launched : 2016
JSM Brain Science
ISSN : 2573-1289
Launched : 2016
JSM Biomarkers
ISSN : 2578-3815
Launched : 2014
JSM Biology
ISSN : 2475-9392
Launched : 2016
Archives of Stem Cell and Research
ISSN : 2578-3580
Launched : 2014
Annals of Clinical and Medical Microbiology
ISSN : 2578-3629
Launched : 2014
JSM Pediatric Surgery
ISSN : 2578-3149
Launched : 2017
Journal of Memory Disorder and Rehabilitation
ISSN : 2578-319X
Launched : 2016
JSM Tropical Medicine and Research
ISSN : 2578-3165
Launched : 2016
JSM Head and Face Medicine
ISSN : 2578-3793
Launched : 2016
JSM Cardiothoracic Surgery
ISSN : 2573-1297
Launched : 2016
JSM Bone and Joint Diseases
ISSN : 2578-3351
Launched : 2017
JSM Bioavailability and Bioequivalence
ISSN : 2641-7812
Launched : 2017
JSM Atherosclerosis
ISSN : 2573-1270
Launched : 2016
Journal of Genitourinary Disorders
ISSN : 2641-7790
Launched : 2017
Journal of Fractures and Sprains
ISSN : 2578-3831
Launched : 2016
Journal of Autism and Epilepsy
ISSN : 2641-7774
Launched : 2016
Annals of Marine Biology and Research
ISSN : 2573-105X
Launched : 2014
JSM Health Education & Primary Health Care
ISSN : 2578-3777
Launched : 2016
JSM Communication Disorders
ISSN : 2578-3807
Launched : 2016
Annals of Musculoskeletal Disorders
ISSN : 2578-3599
Launched : 2016
Annals of Virology and Research
ISSN : 2573-1122
Launched : 2014
JSM Renal Medicine
ISSN : 2573-1637
Launched : 2016
Journal of Muscle Health
ISSN : 2578-3823
Launched : 2016
JSM Genetics and Genomics
ISSN : 2334-1823
Launched : 2013
JSM Anxiety and Depression
ISSN : 2475-9139
Launched : 2016
Clinical Journal of Heart Diseases
ISSN : 2641-7766
Launched : 2016
Annals of Medicinal Chemistry and Research
ISSN : 2378-9336
Launched : 2014
JSM Pain and Management
ISSN : 2578-3378
Launched : 2016
JSM Women's Health
ISSN : 2578-3696
Launched : 2016
Clinical Research in HIV or AIDS
ISSN : 2374-0094
Launched : 2013
Journal of Endocrinology, Diabetes and Obesity
ISSN : 2333-6692
Launched : 2013
Journal of Substance Abuse and Alcoholism
ISSN : 2373-9363
Launched : 2013
JSM Neurosurgery and Spine
ISSN : 2373-9479
Launched : 2013
Journal of Liver and Clinical Research
ISSN : 2379-0830
Launched : 2014
Journal of Drug Design and Research
ISSN : 2379-089X
Launched : 2014
JSM Clinical Oncology and Research
ISSN : 2373-938X
Launched : 2013
JSM Bioinformatics, Genomics and Proteomics
ISSN : 2576-1102
Launched : 2014
JSM Chemistry
ISSN : 2334-1831
Launched : 2013
Journal of Trauma and Care
ISSN : 2573-1246
Launched : 2014
JSM Surgical Oncology and Research
ISSN : 2578-3688
Launched : 2016
Annals of Food Processing and Preservation
ISSN : 2573-1033
Launched : 2016
Journal of Radiology and Radiation Therapy
ISSN : 2333-7095
Launched : 2013
JSM Physical Medicine and Rehabilitation
ISSN : 2578-3572
Launched : 2016
Annals of Clinical Pathology
ISSN : 2373-9282
Launched : 2013
Annals of Cardiovascular Diseases
ISSN : 2641-7731
Launched : 2016
Journal of Behavior
ISSN : 2576-0076
Launched : 2016
Annals of Clinical and Experimental Metabolism
ISSN : 2572-2492
Launched : 2016
Clinical Research in Infectious Diseases
ISSN : 2379-0636
Launched : 2013
JSM Microbiology
ISSN : 2333-6455
Launched : 2013
Journal of Urology and Research
ISSN : 2379-951X
Launched : 2014
Journal of Family Medicine and Community Health
ISSN : 2379-0547
Launched : 2013
Annals of Pregnancy and Care
ISSN : 2578-336X
Launched : 2017
JSM Cell and Developmental Biology
ISSN : 2379-061X
Launched : 2013
Annals of Aquaculture and Research
ISSN : 2379-0881
Launched : 2014
Clinical Research in Pulmonology
ISSN : 2333-6625
Launched : 2013
Journal of Immunology and Clinical Research
ISSN : 2333-6714
Launched : 2013
Annals of Forensic Research and Analysis
ISSN : 2378-9476
Launched : 2014
JSM Biochemistry and Molecular Biology
ISSN : 2333-7109
Launched : 2013
Annals of Breast Cancer Research
ISSN : 2641-7685
Launched : 2016
Annals of Gerontology and Geriatric Research
ISSN : 2378-9409
Launched : 2014
Journal of Sleep Medicine and Disorders
ISSN : 2379-0822
Launched : 2014
JSM Burns and Trauma
ISSN : 2475-9406
Launched : 2016
Chemical Engineering and Process Techniques
ISSN : 2333-6633
Launched : 2013
Annals of Clinical Cytology and Pathology
ISSN : 2475-9430
Launched : 2014
JSM Allergy and Asthma
ISSN : 2573-1254
Launched : 2016
Journal of Neurological Disorders and Stroke
ISSN : 2334-2307
Launched : 2013
JSM Sexual Medicine
ISSN : 2578-3718
Launched : 2016
Annals of Vascular Medicine and Research
ISSN : 2378-9344
Launched : 2014
JSM Biotechnology and Biomedical Engineering
ISSN : 2333-7117
Launched : 2013
Journal of Hematology and Transfusion
ISSN : 2333-6684
Launched : 2013
JSM Environmental Science and Ecology
ISSN : 2333-7141
Launched : 2013
Journal of Cardiology and Clinical Research
ISSN : 2333-6676
Launched : 2013
JSM Nanotechnology and Nanomedicine
ISSN : 2334-1815
Launched : 2013
Journal of Ear, Nose and Throat Disorders
ISSN : 2475-9473
Launched : 2016
JSM Ophthalmology
ISSN : 2333-6447
Launched : 2013
Journal of Pharmacology and Clinical Toxicology
ISSN : 2333-7079
Launched : 2013
Annals of Psychiatry and Mental Health
ISSN : 2374-0124
Launched : 2013
Medical Journal of Obstetrics and Gynecology
ISSN : 2333-6439
Launched : 2013
Annals of Pediatrics and Child Health
ISSN : 2373-9312
Launched : 2013
JSM Clinical Pharmaceutics
ISSN : 2379-9498
Launched : 2014
JSM Foot and Ankle
ISSN : 2475-9112
Launched : 2016
JSM Alzheimer's Disease and Related Dementia
ISSN : 2378-9565
Launched : 2014
Journal of Addiction Medicine and Therapy
ISSN : 2333-665X
Launched : 2013
Journal of Veterinary Medicine and Research
ISSN : 2378-931X
Launched : 2013
Annals of Public Health and Research
ISSN : 2378-9328
Launched : 2014
Annals of Orthopedics and Rheumatology
ISSN : 2373-9290
Launched : 2013
Journal of Clinical Nephrology and Research
ISSN : 2379-0652
Launched : 2014
Annals of Community Medicine and Practice
ISSN : 2475-9465
Launched : 2014
Annals of Biometrics and Biostatistics
ISSN : 2374-0116
Launched : 2013
JSM Clinical Case Reports
ISSN : 2373-9819
Launched : 2013
Journal of Cancer Biology and Research
ISSN : 2373-9436
Launched : 2013
Journal of Surgery and Transplantation Science
ISSN : 2379-0911
Launched : 2013
Journal of Dermatology and Clinical Research
ISSN : 2373-9371
Launched : 2013
JSM Gastroenterology and Hepatology
ISSN : 2373-9487
Launched : 2013
Annals of Nursing and Practice
ISSN : 2379-9501
Launched : 2014
JSM Dentistry
ISSN : 2333-7133
Launched : 2013
Author Information X