Loading

Annals of Sports Medicine and Research

Anterior Cruciate Ligament Injuries: MR Imaging Diagnosis with Surgical Implications

Review Article | Open Access | Volume 10 | Issue 3

  • 1. Department of Radiology, Seoul National University Bundang Hospital, Republic of Korea
  • 2. Beverly Radiology Medical Group, Radnet, Los Angeles, CA, USA
  • 3. Division of Musculoskeletal Radiology, Department of Radiology, Penn Medicine, University of Pennsylvania, USA
+ Show More - Show Less
Corresponding Authors
Jenny T. Bencardino, Chief, Musculoskeletal Radiology, Department of Radiology, University of Pennsylvania, Perelman School of Medicine, 3737 Market Street, Philadelphia, PA 19104, USA, Tel: 215294-9520; Fax: 215-615-3316
Abstract

The anterior cruciate ligament (ACL) is an important stabilizing structure of the knee, preventing anterior translation and internal rotation of the tibia in relation to the femur. The disruption of ACL may result in impairment in function and the early onset of joint degeneration. Therefore, the accurate and timely diagnosis of ACL injuries is important. MR imaging is an accurate and important tool in diagnosing ACL injuries, and various primary and secondary signs of ACL injury have been reported. It is important to recognize the characteristic imaging findings on MRI and correlate these findings with the mechanism of trauma. ACL injuries may be associated with injuries to other supporting structures of the knee, such as menisci, collateral ligaments, the anterolateral ligament, and structures of the posterolateral corner. The presence of associated findings may alter the treatment plan, and therefore is important to diagnose them on imaging.

Keywords

Anterior cruciate ligament, Ligament injury, Magnetic resonance imaging

Citation

Kang Y, Dianat S, Bencardino JT. (2023) Anterior Cruciate Ligament Injuries: MR Imaging Diagnosis with Surgical Implications. Ann Sports Med Res 10(3): 1207.

ABBREVIATIONS

ACL: Anterior Cruciate Ligament; AM: Anteromedial; PL: Posterolateral; MRI: Magnetic Resonance Imaging

INTRODUCTION

The anterior cruciate ligament (ACL) is an important stabilizing structure of the knee, preventing anterior translation and internal rotation of the tibia in relation to the femur. The disruption of ACL may result in impairment in function and the early onset of degenerative joint disease. Therefore, the accurate and timely diagnosis of ACL injuries is important. MRI is the most accurate modality to evaluate the ACL. In this review, we will discuss the anatomy of the ACL, the risk factors and mechanism of ACL injury, MR imaging findings of ACL injury along with surgical implications.

ANATOMY

The ACL is a ligamentous structure composed of dense connective tissue with type I collagen fibers, interspersed fibroblasts, and matrix components. Type I collagen fibrils are oriented parallel to the longitudinal axis of the ligament and contribute to its tensile strength [1]. Blood supply to the ACL is primarily from the middle genicular artery that branches from the popliteal artery, with additional secondary supply from the inferomedial and inferolateral genicular arteries via the anterior fat pad [2]. Proprioceptive mechanoreceptors are found in the ACL, which is supplied by the tibial nerve [3].

The ACL originates from the posteromedial surface of the lateral femoral condyle and runs an oblique course to insert on the tibia at the anterior intercondylar area, just anterior and lateral to the medial tibial spine. The cross-sectional area of the ACL varies over the length of the ligament; it is smallest at the mid-substance and up to 3.5 times larger at the origin and insertion sites [4,5]. There are two distinct functional bundles of the ACL: the anteromedial (AM) bundle and the posterolateral (PL) bundle, which are named based on the relative insertion sites on the tibia [4,6]. The AM bundle originates at the anterior and proximal portion of the femoral attachment and insert at the anteromedial portion of the tibial footprint, whereas the PL bundle start at the posterior and distal portion of the femoral attachment and inserts on the posterolateral portion of the tibial insertion [7]. The average length of the AM bundle has been reported to be 28 to 38 mm, which is longer than the PL bundle, which averages 17.8 mm [4,8,9]. Due to the difference in length and point of insertion, the tension of the two bundles differ during knee flexion and extension: the AM bundle is taut when the knee is in ≥60° of flexion, whereas PL bundle is tight with knee extension, internal and external rotation [10], contributing to the different function of the two bundles. It is thought that the AM bundle contributes mostly to resisting anterior translation of the tibia whereas the PL bundle has a role in rotational stability [11]. An additional intermediate bundle has been occasionally noted between the two bundles [7,12].

MECHANISM OF INJURY

The majority of ACL injuries are non-contact injuries from various movements in sports-related activities; pivoting, cutting, jumping, acceleration and deceleration [13,14]. It is known that in about three fourths of the cases, the ACL is injured by a non-contact pivot shift mechanism, where the tibia translates anteriorly while the knee is in slight flexion and valgus [15,16]. The bone bruise patterns noted on MRI also suggest that a large anterior translation of the tibia relative to the femur, a small knee flexion angle, and knee valgus are important components in ACL injuries [16-18]. The ACL is the main restraint against anterior translation of the tibia accounting for 90% of the resistance to anteriorly directed loads [19]. Therefore, anterior translation of the tibia is thought to be the primary mechanism of ACL injury [16]. The ACL is at maximum strain when the knee is in near full extension with a small flexion angle, increasing the risk of injury [20,21]. Internal rotation of the tibia is also known to increased ACL load and may contribute to ACL tears [16,22,23].

Less frequently, the ACL may be injured by a contact-type mechanism resulting from a high-energy trauma producing extensive valgus stress or hyperextension of the knee joint. The majority of contact injuries occur form a lateral-sided collision to the knee leading to valgus stress and lateral compartment compression [24].

RISK FACTORS

Anatomic risk factors may contribute to ACL injury, including knee geometry, ACL volume, and generalized joint laxity [25]. It has been reported that a narrow intercondylar notch is associated with increased risk of ACL injury [26-29]. Studies have also shown that bony tibial geometry may contribute to ACL injury: a larger posterior-inferior-directed lateral tibial plateau slope and shallower medial tibial plateau depth can predispose to ACL injury (30). Features of the ACL itself may also predispose the ligament to injury; a decreased width, decreased volume, and increased length of the ligament have been reported to be associated with ACL injury [31,32].

Physiologic factors may also increase the risk of ACL injury. A body mass index that is higher than average is a risk factor for ACL injury [29,33]. Sex of the patient has been reported to influence ACL injury, with conflicting results. Some studies have shown that males have a higher absolute incidence of ACL injury [34- 36]. However, when normalized with exposure to sports activity, females have a higher ACL injury rate in most sports, including basketball, soccer, softball/baseball, handball, and lacrosse [37-39]. Neuromuscular factors such as hamstring-quadriceps imbalance may predispose individuals to an increased risk for ACL injury [40].

 

MR IMAGING

MR Imaging is the modality of choice in diagnosing ACL tear with a reported sensitivity, and specificity range of 63.6-100% [41-43] and 68.4-100% [43-46], respectively. A meta-analysis by Li et al. [47], reported a pooled sensitivity of 87% (95% CI, 84– 90%) and specificity of 90% (95% CI, 88–92%). MRI has a role in confirming the clinical diagnosis of ACL injury and identifying associated injuries of the meniscus, cartilage and collateral ligament.

IMAGING PROTOCOL

MRI is performed on a 1.5T or 3.0T MR scanner, using a dedicated knee coil. Although imaging protocols vary across institutions, a combination of short echo time pulse sequences and fat-suppressed fluid-sensitive pulse sequences in all three orthogonal planes are helpful in assessing the ACL.

The imaging evaluation of the ACL starts in the sagittal plane. However, the ACL may be incompletely visualized, and evaluation may be hindered by partial volume averaging in the sagittal plane. The addition of coronal and axial plane images increases the sensitivity, specificity, and diagnostic confidence in detecting ACL tears [48,49]. Oblique sagittal and oblique coronal planes can also help improve the diagnostic accuracy of MRI in assessing ACL tears [50-53]. A sagittal plane angled at 80 degrees from a reference line through the intercondylar joint space has been reported to be helpful in visualizing the ACL in its full length [51].

MRI FINDINGS OF NORMAL ACL

The normal ACL appears as an obliquely oriented, taut, continuous fibrous band extending from the posteromedial aspect of the lateral femoral condyle to the anterior aspect of the tibial eminence (Figure 1A).

Imaging appearance of normal ACL. (A) The normal ACL appears taut with a slope slightly more vertical to the Blumensaat line. The ACL exhibits a striated  appearance with alternating bands of low and intermediate signal intensity. (B) Oblique coronal image that parallels the course of the ACL show the anteromedial and  posterolateral bundle, which are named based on the relative insertion sites on the tibia.

Figure 1: Imaging appearance of normal ACL. (A) The normal ACL appears taut with a slope slightly more vertical to the Blumensaat line. The ACL exhibits a striated appearance with alternating bands of low and intermediate signal intensity. (B) Oblique coronal image that parallels the course of the ACL show the anteromedial and posterolateral bundle, which are named based on the relative insertion sites on the tibia.

The slope of the ACL should be parallel or near parallel to the roof of the intercondylar notch (Blumensaat line). The proximal portion of the ACL exhibits an oval-shape in cross-section with uniform low-signal intensity on T1-, intermediate- and T2-weighted pulse sequences. As the ACL approaches the tibial insertion, the fibers are flared, and the signal intensity is increased exhibiting a striated appearance with alternating bands of low and intermediate signal intensity. The AM and PL bundles can be distinguished with intermediate signal intensity interposed between the two bundles (Figure 1B).

MRI FINDINGS OF ACL INJURY

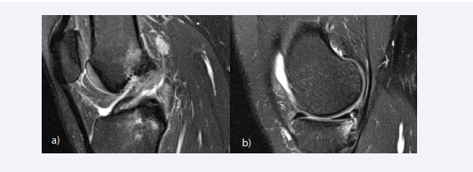
MR findings of ACL injury can be divided into primary signs related to the changes of the ACL itself, and secondary signs related to changes in the surrounding structures. The most reliable primary sign of acute ACL tear is the discontinuity of the ligament fibers, and the failure of the ACL fascicles to parallel the Blumensaat line on sagittal image [54] (Figure 2A).

Primary and secondary signs of ACL tear. (A) Sagittal T2-weighted image shows discontinuity of the ACL at the mid-substance indicating a complete tear. (B)  Sagittal fat-suppressed proton density-weighted shows diffuse enlargement and cloud-like hyperintense signal intensity of the ligament, resulting from edema and  hemorrhagic change of the ligament. (c) Sagittal image through the lateral compartment shows kissing bone contusion involving the posterior aspect of the lateral  tibial plateau and the mid portion of the lateral femoral condyle at the sulcus terminalis, which indicates a pivot shift injury. A slight depression fracture at the sulcus  terminalis of the lateral femoral condyle is noted (“deep notch sign”) (D) A thin fluid signal is interposed between the posterior horn of the medial meniscus and the  posteromedial capsule, leading to the diagnosis of meniscal ramp lesion associated with ACL tear.

Figure 2: Primary and secondary signs of ACL tear. (A) Sagittal T2-weighted image shows discontinuity of the ACL at the mid-substance indicating a complete tear. (B) Sagittal fat-suppressed proton density-weighted shows diffuse enlargement and cloud-like hyperintense signal intensity of the ligament, resulting from edema and hemorrhagic change of the ligament. (c) Sagittal image through the lateral compartment shows kissing bone contusion involving the posterior aspect of the lateral tibial plateau and the mid portion of the lateral femoral condyle at the sulcus terminalis, which indicates a pivot shift injury. A slight depression fracture at the sulcus terminalis of the lateral femoral condyle is noted (“deep notch sign”) (D) A thin fluid signal is interposed between the posterior horn of the medial meniscus and the posteromedial capsule, leading to the diagnosis of meniscal ramp lesion associated with ACL tear.

The ligament fibers may be edematous and hemorrhagic resulting in diffuse enlargement and cloud-like hyperintense T2 signal in the acute to subacute phase [55] (Figure 2B). The proximal stump of the torn ACL is usually oriented more vertically, and the distal stump more horizontally compared with the Blumensaat line. Nonvisualization of the ACL fibers is a common and specific finding of chronic complete tear of the ACL, resulting in an empty intercondylar notch [56, 57]. Another common finding of chronic ACL injury is a thin residual fiber demonstrating an abnormal slop. Occasionally, a chronic tear may be mistaken for an intact ligament, due to the fibrous scar that bridges the proximal and distal stumps giving the ACL a continuous appearance [55].

Various secondary signs may aid the diagnosis of ACL tears; anterior translation of the tibia, uncovering of the posterior horn of the lateral meniscus, buckling of the PCL, characteristic bone contusion patterns, and Segond fracture. Anterior translation of the tibia with reference to the femur is a helpful finding in diagnosing complete tears of the ACL [58] (Figure 3).

 Secondary sign of ACL tear. The tibia is anteriorly translated with reference to the lateral femoral condyle, leading to uncovering of the posterior horn of the  lateral meniscus.

Figure 3 : Secondary sign of ACL tear. The tibia is anteriorly translated with reference to the lateral femoral condyle, leading to uncovering of the posterior horn of the lateral meniscus.

The degree of translation can be measured in the lateral compartment on sagittal images, as the distance between the posterior margin of the proximal tibia and the posterior margin of the lateral femoral condyle. Translation of 5mm or greater has been reported to show a sensitivity of 86% and specificity of 99% for ACL tear [59]. Anterior translation may lead to uncovering of the posterior horn of the lateral meniscus, and buckling of the PCL [60].

The pattern of bone contusions depends on the mechanism of injury and can be helpful in diagnosing associated injuries of the meniscus and other ligamentous structures. The most common bone contusion pattern is the kissing bone contusion involving the posterior aspect of the lateral tibial plateau and the mid portion of the lateral femoral condyle at the sulcus terminalis, which is associated with pivot shift injury [16] (Figure 2C). Pivot shift reciprocating bone contusions indicate the impaction of the femoral condyle on the posterior aspect of the tibial plateau during anterior translation. Less commonly, bone contusions can be noted along the posterior aspect of the medial tibial plateau and the medial femoral condyle. Contusions of the medial compartment are thought to result from a contrecoup injury at the point of reduction [17]. Stronger compressive forces at the time of injury may cause cortical depression fractures in the tibia and femur. A depression fracture at the sulcus terminalis of the lateral femoral condyle is termed “deep notch sign” and is known as an indirect sign of acute ACL tear [61] (Figure 2C). With a depth cut-off of 1.5mm, the deep notch sign has a specificity of 100%, sensitivity of 15.4%, positive and negative predictive value of 100% and 49.1% respectively [62]. The deep notch sign was originally described on radiograph but can also be noted on MRI [63].

A Segond fracture is an avulsion fractures located at the lateral rim of the tibia, pathognomonic for an ACL tear [64,65] (Figure 4).

Segond fracture and Bosch-Bock bump. (A) Sagittal fat-suppressed T2-weighted image shows a complete tear of the ACL. (B) On coronal fat-suppressed T2- weighted image, a small avulsed bone fragment (white arrow) is noted at the lateral rim of the tibia (Segond fracture), which is a finding pathognomonic for an ACL  tear. (C) Corresponding CT images clearly depicts the Segond fracture. (D) The patient underwent ACL reconstruction surgery and on postoperative follow-up MRI  taken 2 years after the injury, the Segond fracture has healed, creating a characteristic bone excrescence at the lateral aspect of the proximal tibia (“Bosch-Bock bump”).

Figure 4 :Segond fracture and Bosch-Bock bump. (A) Sagittal fat-suppressed T2-weighted image shows a complete tear of the ACL. (B) On coronal fat-suppressed T2- weighted image, a small avulsed bone fragment (white arrow) is noted at the lateral rim of the tibia (Segond fracture), which is a finding pathognomonic for an ACL tear. (C) Corresponding CT images clearly depicts the Segond fracture. (D) The patient underwent ACL reconstruction surgery and on postoperative follow-up MRI taken 2 years after the injury, the Segond fracture has healed, creating a characteristic bone excrescence at the lateral aspect of the proximal tibia (“Bosch-Bock bump”).

Segond fractures occur from forced internal rotation and varus loading of the tibia relative to the femur [64,66]. They have been attributed to various structures; the mid-third lateral capsular ligament, the iliotibial band, the anterior arm of the biceps femoris tendon, the anterolateral ligament, and the anterolateral complex consisting of the ITB and anterolateral capsule [66-72]. Segond fracture has a reported prevalence of 2.4% to 29% in patients with ACL tears [64,65,73,74]. The healing of a Segond fracture may lead to a characteristic bone excrescence at the lateral aspect of the proximal tibia (“BoschBock bump”) [73] (Figure 4D).

PARTIAL TEARS OF THE ACL

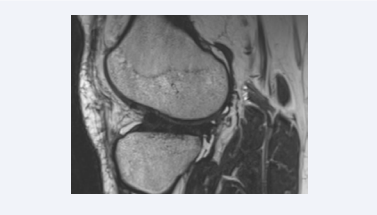
The diagnosis of partial tears of the ACL may be more challenging than complete tears; the sensitivity and specificity of MRI in diagnosing partial tears have been reported to be 40- 75% and 62-89%, respectively [75]. The partially torn ACL shows sagging of the ligament contour with some continuous fibers, and hyperintensity on fluid-sensitive sequences (Figure 5).

Partial tear of the ACL. Sagittal fat-suppressed proton density-weighted image shows partial discontinuity of the ligament fibers with hyperintensity.

Figure 5: Partial tear of the ACL. Sagittal fat-suppressed proton density-weighted image shows partial discontinuity of the ligament fibers with hyperintensity.

The loss of continuity in more than 50% of the ACL fibers indicates a high-grade partial tear, whereas less than 50% of fibers torn is a low-grade partial tear. Partial tears of the ACL may be difficult to differentiate from complete ACL tears, mucoid degeneration of the ACL or even a normal ACL, due to the overlapping imaging features [76].

IMAGING PITFALLS

Potential pitfalls in diagnosing ACL tears on MR imaging include partial volume averaging, fibrosis following ACL injury, mucoid degeneration, and ganglion cyst formation. The distal fibers of the ACL is separated by thin fat planes, hence the striated appearance on MRI. This normal striation should not be mistaken for a partial tear. Partial volume averaging can occur between the ACL and other structures in the intercondylar notch, including synovial fluid, fat, and bone. This may resulting in an increased intrasubstance signal intensity or incomplete visualization of the contiguous fibers along the entire course of the ACL, which may be erroneously interpreted as ACL tear [77]. In order to avoid erroneous interpretation, the ACL should be evaluated not only on sagittal image but also on axial and coronal images. The ACL may undergo fibrotic scarring following complete tear which may be mistaken for an intact or partially torn ACL in the chronic stage [55]. The residual ACL stump may adhere to adjacent structures such as the posterior cruciate ligament or the femoral notch.

The ACL can undergo mucoid degeneration or intrasubstance ganglion cyst formation mimicking tear [78]. Mucoid degeneration of the ACL manifests as a thickened and ill-defined ligament with increased signal intensity interspersed among visible intact fibers on MRI (“celery stalk” sign) [79], which results from the deposition of amorphous mucoid matrix along the fibers of the ACL (Figure 6A).

Imaging pitfalls in diagnosing ACL tears. (A) The ACL is thickened and ill-defined with increased signal intensity interspersed among visible intact fibers on  sagittal T2-weighted image(“celery stalk” sign), resulting from mucoid degeneration of the ACL. (B) A fusiform, lobulated lesion with fluid-equivalent signal intensity  is noted interspersed within the ACL fibers. A ganglion cyst may be mistaken for a torn ACL.

Figure 6: Imaging pitfalls in diagnosing ACL tears. (A) The ACL is thickened and ill-defined with increased signal intensity interspersed among visible intact fibers on sagittal T2-weighted image(“celery stalk” sign), resulting from mucoid degeneration of the ACL. (B) A fusiform, lobulated lesion with fluid-equivalent signal intensity is noted interspersed within the ACL fibers. A ganglion cyst may be mistaken for a torn ACL.

Ganglion cysts appear as a fusiform, lobulated or multilobulated lesion with fluid-equivalent signal intensity on all pulse sequences [80]. Ganglion cysts are typically located along the course of the ACL, either interspersed within the ligament fibers or surrounding the ligament (Figure 6B). It is important to make sure that the ACL bundles are intact from origin to insertion, when making the diagnosis of mucoid degeneration or ACL ganglia, to exclude partial tears.

ASSOCIATED INJURIES

The majority of ACL injuries are associated with medial or lateral meniscus injuries, and collateral ligament injuries. Detecting associated injuries of other stabilizing and supporting structures in the knee is important in surgical planning [81], and therefore should be sought for preoperative knee imaging.

Meniscal tears are frequently associated with ACL tears; the reported frequency is 39.6-73.0% [82-87]. Lateral meniscal tears are more commonly seen in acute ACL tear, whereas medial meniscal tears are more frequent in chronic injuries [88]. Meniscal tears are commonly located at the posterior horn, comprising 95% of the medial meniscal tears and 77% of the lateral meniscal tears [89]. Vertical longitudinal tear is the most common type of meniscus tear for both medial and lateral menisci in patients with ACL injuries [90-92] (Figure 7). Previous studies have reported that performing meniscus repair along with ACL reconstruction, may help restore knee kinematics, and improve patient-reported outcome [93-95].

 Associated injury of the meniscus. (A) Sagittal fat-suppressed – weighted image shows discontinuity of the ligament fibers with sagging of the ligament, and  increased signal intensity. (B) A vertical longitudinal tear is noted in the posterior horn of the medial meniscus

FIgure 7: Associated injury of the meniscus. (A) Sagittal fat-suppressed – weighted image shows discontinuity of the ligament fibers with sagging of the ligament, and increased signal intensity. (B) A vertical longitudinal tear is noted in the posterior horn of the medial meniscus

The clinical significance of meniscal ramp lesions in patients with ACL tear has gathered attention in the past decade. Meniscal ramp lesions refer to the tear, disruption, or separation of meniscocapsular junction of the posterior horn of the medial meniscus, which usually occur after traumatic knee injuries. Undiagnosed ramp lesions may lead to knee instability (anterior translation and external rotational laxity), aggravation of medial meniscus posterior horn tear and accelerated degeneration of both the meniscus and the articular cartilage [96]. Therefore, it is important to recognize ramp lesions in patients sustaining ACL injury. On MRI, ramp lesions are noted as a thin fluid signal interposed between the posterior horn of the medial meniscus and the posteromedial capsule (Figure 2d).

Multiple ligament injuries involving at least one ligament other than the ACL is not uncommon. Medial collateral ligament injuries are reported to occur in 20-38% of patients sustaining ACL injury [97,98] (Figure 8). Among the two components of the MCL, the superficial component is a primary stabilizer against valgus stress, whereas the deep component is a secondary stabilizer resisting anterior tibial translation and provides minor stabilization against valgus stress [99]. In an ACL deficient knee, the MCL may be subjected to greater stress. Combined ACL-LCL injury also occur, and have been reported to be the second most common multi-ligament injury pattern [100]. Previous studies have consistently demonstrated that surgical treatment is superior to non-surgical treatment in multiple-ligament injured knee [101-103]. Therefore, it is important to recognize the injury of other ligaments in patients sustaining ACL injury.

Associated injury of the medial collateral ligament. (A) Oblique coronal image shows complete detachment of the ACL from the femoral origin (black  arrowhead) with the stump transposed beneath the lateral femoral condyle (white arrowhead). (B) Coronal fat-suppressed T2-weighted image shows a complete tear  of the MCL (arrowhead).

FIgure 8: Associated injury of the medial collateral ligament. (A) Oblique coronal image shows complete detachment of the ACL from the femoral origin (black arrowhead) with the stump transposed beneath the lateral femoral condyle (white arrowhead). (B) Coronal fat-suppressed T2-weighted image shows a complete tear of the MCL (arrowhead).

Anterolateral ligament (ALL) injuries are found with varying severity and intensity in patients with acute ACL tear. ALL abnormalities have been reported to occur in 46 to 78.8% of ACL injuries in studies based on MR imaging [104,105] (Figure 9). The ALL functions as a stabilizer that resists anterior tibial translation, internal tibial rotation and pivot shifting, secondary to the ACL [106]. Failure to identify ALL injury may result in persistent instability following ACL reconstruction [107]. Concurrent reconstruction of the ACL and ALL significantly reduces internal rotation and axial plane tibial translation compared with isolated ACLR in the presence of ALL deficiency [108].

Associated injury of the anterolateral ligament (ALL) and medial meniscus (A) Oblique sagittal T2-weighted image shows a complete tear of the ACL at  the mid-substance. The proximal stump appears vertical to the Blumensaat line, whereas the distal stump appears horizontal. (B) On coronal fat-suppressed proton  density-weighted image, the ALL shows increased signal intensity near the tibial attachment (arrow) and periligamentous edema, indicating injury of the ligament.  Bone contusion is also noted at the lateral femoral condyle (arrowhead). (C) Axial fat-suppressed proton density-weighted image shows increased signal intensity of  the anterolateral ligament (arrow) and bone contusion at the posterior aspect of the lateral tibial plateau (arrowhead). (D) A vertical longitudinal tear is noted at the  posterior horn of the medial meniscus.

FIgure 9: Associated injury of the anterolateral ligament (ALL) and medial meniscus (A) Oblique sagittal T2-weighted image shows a complete tear of the ACL at the mid-substance. The proximal stump appears vertical to the Blumensaat line, whereas the distal stump appears horizontal. (B) On coronal fat-suppressed proton density-weighted image, the ALL shows increased signal intensity near the tibial attachment (arrow) and periligamentous edema, indicating injury of the ligament. Bone contusion is also noted at the lateral femoral condyle (arrowhead). (C) Axial fat-suppressed proton density-weighted image shows increased signal intensity of the anterolateral ligament (arrow) and bone contusion at the posterior aspect of the lateral tibial plateau (arrowhead). (D) A vertical longitudinal tear is noted at the posterior horn of the medial meniscus.

Posterolateral corner injuries are commonly associated with cruciate ligament injuries. A study based on MRI reported that among patients with ACL injury, 19.7% were found to have a concomitant posterolateral corner (PLC) injury [109]. Missed PLC injuries may lead to considerable morbidity, and therefore, should be sought for both clinically and radiologically. The three major stabilizers of the posterolateral corner, which are the fibular collateral ligament, the popliteus tendon and the popliteofibular ligament, should be evaluated on MRI in patients with ACL injury [110] (Figure 10).

 Associated injury of the posterolateral corner. (A) A complete discontinuity is noted in the ACL on Sagittal T. (B) The popliteofibular ligament shows  increased signal intensity on coronal fat-suppressed T2-weighted image (arrow). (C) Axial fat-suppressed T2-weighted image also shows increased signal intensity  of the popliteofibular ligament along with periligamentous edema (arrow). Bone contusion is noted at the posterior aspect of the lateral tibial plateau (arrowhead).

FIgure 10: Associated injury of the posterolateral corner. (A) A complete discontinuity is noted in the ACL on Sagittal T. (B) The popliteofibular ligament shows increased signal intensity on coronal fat-suppressed T2-weighted image (arrow). (C) Axial fat-suppressed T2-weighted image also shows increased signal intensity of the popliteofibular ligament along with periligamentous edema (arrow). Bone contusion is noted at the posterior aspect of the lateral tibial plateau (arrowhead).

TREATMENT OF ACL TEAR

Operative and non-operative treatment of ACL tears are both considered acceptable options, depending on patient characteristics, including the activity level, sporting demands and the presence of concomitant injuries [81]. Some patients can functionally compensate for the instability after ACL injury and may be treated non-operatively with structured, progressive rehabilitation [111].

The goal of operative treatment is to restore the biomechanical stability of the knee and reduce secondary injury to the articular cartilage and menisci. For operative treatment of ACL injuries, ligament reconstruction with a tendon graft is considered the current gold standard [112]. Autografts, allografts, and synthetic grafts are available for reconstruction. Autographs include bone patellar tendon bone, hamstring, and bone quadriceps tendon grafts [113]. Both anatomical and non-anatomical ACL reconstruction techniques have been previously described. However, anatomical surgical techniques are considered superior, with better postoperative clinical scores, stability, and long-term outcomes of osteoarthritis development [81,114,115]. Selective bundle reconstruction technique refers to the isolated reconstruction of the injured AM or PL bundle with preservation of the non-injured bundle in partial ACL tear. Selective bundle reconstruction is advantageous in proprioceptive function due to the mechanoreceptors in the preserved ligament tissue [116].

Recently, arthroscopic primary repair of ACL has been reported as a potential treatment option in proximal tears with sufficient tissue quality [117-120]. Experimental studies have shown that by preserving the native ligament, primary ACL repair may effectively restore the normal kinematics of the knee joint and protect the joint from degenerative changes [121]. MRI can play an important role in evaluating the location of injury and the quality of remnant ACL, to select those appropriate for primary repair. On MRI, ligament tissue is considered to be of good quality if the fibers are uniform and parallel and the signal intensity is homogeneous [119,122].

CONCLUSION

The ACL is an important stabilizing structure of the knee, providing resistance against anterior translational and internal rotational forces. MR imaging is an accurate and important tool in diagnosing ACL injuries, and various primary and secondary signs of ACL injury have been reported. It is important to recognize the characteristic imaging findings on MRI and correlate these findings with the injury mechanism. ACL injuries may be associated with injuries to other supporting structures of the knee, such as menisci, collateral ligaments, the anterolateral ligament, and structures of the posterolateral corner. The presence of associated injuries may alter the treatment plan, and therefore is important to diagnose on imaging.

REFERENCES

1. Daniel DM, Akeson WH, O’Connor JJ. Knee ligaments : structure, function, injury, and repair. New York: Raven Press; 1990; xvii: 558.

2. Giuliani JR, Kilcoyne KG, Rue JP. Anterior cruciate ligament anatomy: a review of the anteromedial and posterolateral bundles. J Knee Surg. 2009; 22: 148-154.

3. Georgoulis AD, Pappa L, Moebius U, Malamou-Mitsi V, Pappa S, Papageorgiou CO, et al. The presence of proprioceptive mechanoreceptors in the remnants of the ruptured ACL as a possible source of re-innervation of the ACL autograft. Knee Surg Sports Traumatol Arthrosc. 2001; 9: 364-368.

4. Girgis FG, Marshall JL, Monajem A. The cruciate ligaments of the knee joint. Anatomical, functional and experimental analysis. Clin Orthop Relat Res. 1975; 106: 216-231.

5. 5. Harner CD, Baek GH, Vogrin TM, Carlin GJ, Kashiwaguchi S, Woo SL. Quantitative analysis of human cruciate ligament insertions. Arthroscopy. 1999; 15: 741-749.

6. Yasuda K, van Eck CF, Hoshino Y, Fu FH, Tashman S. Anatomic single and double-bundle anterior cruciate ligament reconstruction, part 1: Basic science. Am J Sports Med. 2011; 39: 1789-1799.

7. Amis AA, Dawkins GP. Functional anatomy of the anterior cruciate ligament. Fibre bundle actions related to ligament replacements and injuries. J Bone Joint Surg Br. 1991; 73: 260-267.

8. Buoncristiani AM, Tjoumakaris FP, Starman JS, Ferretti M, Fu FH. Anatomic double-bundle anterior cruciate ligament reconstruction. Arthroscopy. 2006; 22: 1000-1006.

9. Odensten M, Gillquist J. Functional anatomy of the anterior cruciate ligament and a rationale for reconstruction. J Bone Joint Surg Am. 1985; 67: 257-262.

10. Gabriel MT, Wong EK, Woo SL, Yagi M, Debski RE. Distribution of in situ forces in the anterior cruciate ligament in response to rotatory loads. J Orthop Res. 2004; 22: 85-89.

11. Amis AA. The functions of the fibre bundles of the anterior cruciate ligament in anterior drawer, rotational laxity and the pivot shift. Knee Surg Sports Traumatol Arthrosc. 2012; 20: 613-620.

12. Norwood LA, Cross MJ. Anterior cruciate ligament: functional anatomy of its bundles in rotatory instabilities. Am J Sports Med. 1979; 7: 23-26.

13. Eisenstein ED, Rawicki NL, Rensing NJ, Kusnezov NA, Lanzi JT. Variables Affecting Return to Play After Anterior Cruciate Ligament Injury in the National Football League. Orthop J Sports Med. 2016; 4: 2325967116670117.

14. Carey JL, Huffman GR, Parekh SG, Sennett BJ. Outcomes of anterior cruciate ligament injuries to running backs and wide receivers in the National Football League. Am J Sports Med. 2006; 34: 1911-1917.

15. Boden BP, Dean GS, Feagin JA, Jr., Garrett WE, Jr. Mechanisms of anterior cruciate ligament injury. Orthopedics. 2000; 23: 573-578.

16. Zhang L, Hacke JD, Garrett WE, Liu H, Yu B. Bone Bruises Associated with Anterior Cruciate Ligament Injury as Indicators of Injury Mechanism: A Systematic Review. Sports Med. 2019; 49: 453-462.

17. Kaplan PA, Gehl RH, Dussault RG, Anderson MW, Diduch DR. Bone contusions of the posterior lip of the medial tibial plateau (contrecoup injury) and associated internal derangements of the knee at MR imaging. Radiology. 1999; 211: 747-753.

18. Kim SY, Spritzer CE, Utturkar GM, Toth AP, Garrett WE, DeFrate LE. Knee Kinematics During Noncontact Anterior Cruciate Ligament Injury as Determined From Bone Bruise Location. Am J Sports Med. 2015; 43: 2515-2521.

19. Butler DL, Noyes FR, Grood ES. Ligamentous restraints to anteriorposterior drawer in the human knee. A biomechanical study. J Bone Joint Surg Am. 1980; 62: 259-270.

20. Taylor KA, Cutcliffe HC, Queen RM, Utturkar GM, Spritzer CE, Garrett WE, et al. In vivo measurement of ACL length and relative strain during walking. J Biomech. 2013; 46: 478-483.

21. Taylor KA, Terry ME, Utturkar GM, Spritzer CE, Queen RM, Irribarra LA, et al. Measurement of in vivo anterior cruciate ligament strain during dynamic jump landing. J Biomech. 2011; 44: 365-371.

22. Fleming BC, Renstrom PA, Beynnon BD, Engstrom B, Peura GD, Badger GJ, et al. The effect of weightbearing and external loading on anterior cruciate ligament strain. J Biomech. 2001; 34: 163-170.

23. Markolf KL, Burchfield DM, Shapiro MM, Shepard MF, Finerman GA, Slauterbeck JL. Combined knee loading states that generate high anterior cruciate ligament forces. J Orthop Res. 1995; 13: 930-935.

24. Moran J, Lee MS, Kunze KN, Green JS, Katz LD, Wang A, et al. Examining the Distribution of Bone Bruise Patterns in Contact and Noncontact Acute Anterior Cruciate Ligament Injuries. Am J Sports Med. 2023; 51: 1155-1161.

25. Smith HC, Vacek P, Johnson RJ, Slauterbeck JR, Hashemi J, Shultz S, et al. Risk factors for anterior cruciate ligament injury: a review of the literature - part 1: neuromuscular and anatomic risk. Sports Health. 2012; 4: 69-78.

26. LaPrade RF, Burnett QM, 2nd. Femoral intercondylar notch stenosis and correlation to anterior cruciate ligament injuries. A prospective study. Am J Sports Med. 1994; 22: 198-202.

27. Lund-Hanssen H, Gannon J, Engebretsen L, Holen KJ, Anda S, Vatten L. Intercondylar notch width and the risk for anterior cruciate ligament rupture. A case-control study in 46 female handball players. Acta Orthop Scand. 1994; 65: 529-532.

28. Shelbourne KD, Davis TJ, Klootwyk TE. The relationship between intercondylar notch width of the femur and the incidence of anterior cruciate ligament tears. A prospective study. Am J Sports Med. 1998; 26: 402-408.

29. Uhorchak JM, Scoville CR, Williams GN, Arciero RA, St Pierre P, Taylor DC. Risk factors associated with noncontact injury of the anterior cruciate ligament: a prospective four-year evaluation of 859 West Point cadets. Am J Sports Med. 2003; 31: 831-842.

30. Hashemi J, Chandrashekar N, Mansouri H, Gill B, Slauterbeck JR, Schutt RC, Jr., et al. Shallow medial tibial plateau and steep medial and lateral tibial slopes: new risk factors for anterior cruciate ligament injuries. Am J Sports Med. 2010; 38: 54-62.

31. 31.Whitney DC, Sturnick DR, Vacek PM, DeSarno MJ, Gardner-Morse M, Tourville TW, et al. Relationship Between the Risk of Suffering a First-Time Noncontact ACL Injury and Geometry of the Femoral Notch and ACL: A Prospective Cohort Study With a Nested CaseControl Analysis. Am J Sports Med. 2014; 42: 1796-1805.

32. Chaudhari AM, Zelman EA, Flanigan DC, Kaeding CC, Nagaraja HN. Anterior cruciate ligament-injured subjects have smaller anterior cruciate ligaments than matched controls: a magnetic resonance imaging study. Am J Sports Med. 2009;37(7):1282-1287.

33. Hagglund M, Walden M. Risk factors for acute knee injury in female youth football. Knee Surg Sports Traumatol Arthrosc. 2016; 24: 737- 746.

34. Granan LP, Bahr R, Steindal K, Furnes O, Engebretsen L. Development of a national cruciate ligament surgery registry: the Norwegian National Knee Ligament Registry. Am J Sports Med. 2008; 36: 308- 315.

35. Shea KG, Pfeiffer R, Wang JH, Curtin M, Apel PJ. Anterior cruciate ligament injury in pediatric and adolescent soccer players: an analysis of insurance data. J Pediatr Orthop. 2004; 24: 623-628.

36. Gianotti SM, Marshall SW, Hume PA, Bunt L. Incidence of anterior cruciate ligament injury and other knee ligament injuries: a national population-based study. J Sci Med Sport. 2009;.12: 622-627.

37. Agel J, Arendt EA, Bershadsky B. Anterior cruciate ligament injury in national collegiate athletic association basketball and soccer: a 13- year review. Am J Sports Med. 2005; 33: 524-530.

38. Hootman JM, Dick R, Agel J. Epidemiology of collegiate injuries for 15 sports: summary and recommendations for injury prevention initiatives. J Athl Train. 2007;42(2):311-319.

39. Myklebust G, Maehlum S, Holm I, Bahr R. A prospective cohort study of anterior cruciate ligament injuries in elite Norwegian team handball. Scand J Med Sci Sports. 1998; 8: 149-153.

40. Alentorn-Geli E, Alvarez-Diaz P, Ramon S, Marin M, Steinbacher G, Boffa JJ, et al. Assessment of neuromuscular risk factors for anterior cruciate ligament injury through tensiomyography in male soccer players. Knee Surg Sports Traumatol Arthrosc. 2015; 23: 2508-2513.

41. Khan HA, Ahad H, Sharma P, Bajaj P, Hassan N, Kamal Y. Correlation between magnetic resonance imaging and arthroscopic findings in the knee joint. Trauma Mon. 2015; 20: e18635.

42. Thomas S, Pullagura M, Robinson E, Cohen A, Banaszkiewicz P. The value of magnetic resonance imaging in our current management of ACL and meniscal injuries. Knee Surg Sports Traumatol Arthrosc. 2007; 15: 533-536.

43. Sampson MJ, Jackson MP, Moran CJ, Shine S, Moran R, Eustace SJ. Three Tesla MRI for the diagnosis of meniscal and anterior cruciate ligament pathology: a comparison to arthroscopic findings. Clin Radiol. 2008; 63: 1106-1111.

44. chaefer FK, Schaefer PJ, Brossmann J, Frahm C, Muhle C, Hilgert RE, et al. Value of fat-suppressed PD-weighted TSE-sequences for detection of anterior and posterior cruciate ligament lesions--comparison to arthroscopy. Eur J Radiol. 2006; 58: 411-415.

45. Grubor P, Asotic A, Grubor M, Asotic M. Validity of magnetic resonance imaging in knee injuries. Acta Inform Med. 2013; 21: 200-204.

46. Duc SR, Pfirrmann CW, Koch PP, Zanetti M, Hodler J. Internal knee derangement assessed with 3-minute three-dimensional isovoxel true FISP MR sequence: preliminary study. Radiology. 2008; 246: 526-535.

47. Li K, Du J, Huang LX, Ni L, Liu T, Yang HL. The diagnostic accuracy of magnetic resonance imaging for anterior cruciate ligament injury in comparison to arthroscopy: a meta-analysis. Sci Rep. 2017; 7: 7583.

48. Fitzgerald SW, Remer EM, Friedman H, Rogers LF, Hendrix RW, Schafer MF. MR evaluation of the anterior cruciate ligament: value of supplementing sagittal images with coronal and axial images. AJR Am J Roentgenol. 1993; 160: 1233-1237.

49. Lerman JE, Gray DS, Schweitzer ME, Bartolozzi A. MR evaluation of the anterior cruciate ligament: value of axial images. J Comput Assist Tomogr. 1995; 19: 604-607.

50. Ghasem Hanafi M, Momen Gharibvand M, Jaffari Gharibvand R, Sadoni H. Diagnostic Value of Oblique Coronal and Oblique Sagittal Magnetic Resonance Imaging (MRI) in Diagnosis of Anterior Cruciate Ligament (ACL) Tears. J Med Life. 2018; 11: 281-285.

51. Breitenseher MJ, Mayerhoefer ME. Oblique MR imaging of the anterior cruciate ligament based on three-dimensional orientation. J Magn Reson Imaging. 2007; 26: 794-798.

52. Hong SH, Choi JY, Lee GK, Choi JA, Chung HW, Kang HS. Grading of anterior cruciate ligament injury. Diagnostic efficacy of oblique coronal magnetic resonance imaging of the knee. J Comput Assist Tomogr. 2003; 27: 814-819.

53. Katahira K, Yamashita Y, Takahashi M, Otsuka N, Koga Y, Fukumoto T, et al. MR imaging of the anterior cruciate ligament: value of thin slice direct oblique coronal technique. Radiat Med. 2001; 19: 1-7.

54. Robertson PL, Schweitzer ME, Bartolozzi AR, Ugoni A. Anterior cruciate ligament tears: evaluation of multiple signs with MR imaging. Radiology. 1994; 193: 829-834.

55. Vahey TN, Broome DR, Kayes KJ, Shelbourne KD. Acute and chronic tears of the anterior cruciate ligament: differential features at MR imaging. Radiology. 1991; 181: 251-253.

56. Chen WT, Shih TT, Tu HY, Chen RC, Shau WY. Partial and complete tear of the anterior cruciate ligament. Acta Radiol. 2002; 43: 511-516.

57. Yoon JP, Chang CB, Yoo JH, Kim SJ, Choi JY, Choi JA, et al. Correlation of magnetic resonance imaging findings with the chronicity of an anterior cruciate ligament tear. J Bone Joint Surg Am. 2010; 92: 353-360.

58. Chiu SS. The anterior tibial translocation sign. Radiology. 2006; 239: 914-915.

59. Chan WP, Peterfy C, Fritz RC, Genant HK. MR diagnosis of complete tears of the anterior cruciate ligament of the knee: importance of anterior subluxation of the tibia. AJR Am J Roentgenol. 1994; 162: 355-360.

60. Tung GA, Davis LM, Wiggins ME, Fadale PD. Tears of the anterior cruciate ligament: primary and secondary signs at MR imaging. Radiology. 1993; 188: 661-667.

61. Cobby MJ, Schweitzer ME, Resnick D. The deep lateral femoral notch: an indirect sign of a torn anterior cruciate ligament. Radiology. 1992; 184: 855-858.

62. Lodewijks P, Delawi D, Bollen TL, Dijkhuis GR, Wolterbeek N, Zijl JAC. The lateral femoral notch sign: a reliable diagnostic measurement in acute anterior cruciate ligament injury. Knee Surg Sports Traumatol Arthrosc. 2019; 27: 659-664.

63. Grimberg A, Shirazian H, Torshizy H, Smitaman E, Chang EY, Resnick DL. Deep lateral notch sign and double notch sign in complete tears of the anterior cruciate ligament: MR imaging evaluation. Skeletal Radiol. 2015; 44: 385-391.

64. Hess T, Rupp S, Hopf T, Gleitz M, Liebler J. Lateral tibial avulsion fractures and disruptions to the anterior cruciate ligament. A clinical study of their incidence and correlation. Clin Orthop Relat Res. 1994; 303: 193-197.

65. Klos B, Scholtes M, Konijnenberg S. High prevalence of all complex Segond avulsion using ultrasound imaging. Knee Surg Sports Traumatol Arthrosc. 2017; 25: 1331-1338.

66. Flores DV, Smitaman E, Huang BK, Resnick DL. Segond fracture: an MR evaluation of 146 patients with emphasis on the avulsed bone fragment and what attaches to it. Skeletal Radiol. 2016; 45: 1635- 1647.

67. Shaikh H, Herbst E, Rahnemai-Azar AA, Bottene Villa Albers M, Naendrup JH, Musahl V, et al. The Segond Fracture Is an Avulsion of the Anterolateral Complex. Am J Sports Med. 2017; 45: 2247-2252.

68. Kaplan EB. The iliotibial tract; clinical and morphological significance. J Bone Joint Surg Am. 1958; 40: 817-832.

69. Terry GC, LaPrade RF. The biceps femoris muscle complex at the knee. Its anatomy and injury patterns associated with acute anterolateralanteromedial rotatory instability. Am J Sports Med. 1996; 24: 2-8.

70. Hughston JC, Andrews JR, Cross MJ, Moschi A. Classification of knee ligament instabilities. Part II. The lateral compartment. J Bone Joint Surg Am. 1976; 58: 173-179.

71. Sonnery-Cottet B, Daggett M, Fayard JM, Ferretti A, Helito CP, Lind M, et al. Anterolateral Ligament Expert Group consensus paper on the management of internal rotation and instability of the anterior cruciate ligament - deficient knee. J Orthop Traumatol. 2017; 18: 91- 106.

72. Herbst E, Albers M, Burnham JM, Fu FH, Musahl V. The Anterolateral Complex of the Knee. Orthop J Sports Med. 2017; 5: 2325967117730805.

73. Bock GW, Bosch E, Mishra DK, Daniel DM, Resnick D. The healed Segond fracture: a characteristic residual bone excrescence. Skeletal Radiol. 1994; 23: 555-556.

74. Yeo PY, Seah AMJ, Visvalingam V, Tan LTJ, T J, Lee KT, et al. Anterior cruciate ligament rupture and associated Segond fracture: Incidence and effect on associated ligamentous and meniscal injuries. Asia Pac J Sports Med Arthrosc Rehabil Technol. 2022; 30: 36-40.

75. Umans H, Wimpfheimer O, Haramati N, Applbaum YH, Adler M, Bosco J. Diagnosis of partial tears of the anterior cruciate ligament of the knee: value of MR imaging. AJR Am J Roentgenol. 1995; 165: 893-897.

76. Van Dyck P, De Smet E, Veryser J, Lambrecht V, Gielen JL, Vanhoenacker FM, et al. Partial tear of the anterior cruciate ligament of the knee: injury patterns on MR imaging. Knee Surg Sports Traumatol Arthrosc. 2012; 20: 256-261.

77. Mohankumar R, White LM, Naraghi A. Pitfalls and pearls in MRI of the knee. AJR Am J Roentgenol. 2014; 203: 516-530.

78. McIntyre J, Moelleken S, Tirman P. Mucoid degeneration of the anterior cruciate ligament mistaken for ligamentous tears. Skeletal Radiol. 2001; 30: 312-315.

79. Papadopoulou P. The celery stalk sign. Radiology. 2007; 245: 916- 917.

80. Vaishya R, Esin Issa A, Agarwal AK, Vijay V. Anterior Cruciate Ligament Ganglion Cyst and Mucoid Degeneration: A Review. Cureus. 2017; 9: e1682.

81. Diermeier TA, Rothrauff BB, Engebretsen L, Lynch A, Svantesson E, Hamrin Senorski EA, et al. Treatment after ACL injury: Panther Symposium ACL Treatment Consensus Group. Br J Sports Med. 2021; 55: 14-22.

82. Keyhani S, Esmailiejah AA, Mirhoseini MS, Hosseininejad SM, Ghanbari N. The Prevalence, Zone, and Type of the Meniscus Tear in Patients with Anterior Cruciate Ligament (ACL) Injury; Does Delayed ACL Reconstruction Affects the Meniscal Injury? Arch Bone Jt Surg. 2020; 8: 432-438.

83. Cain EL, Jr., Fleisig GS, Ponce BA, Boohaker HA, George MP, McGwin G, Jr., et al. Variables Associated with Chondral and Meniscal Injuries in Anterior Cruciate Ligament Surgery. J Knee Surg. 2017; 30: 659-667.

84. Chavez A, Jimenez AE, Riepen D, Schell B, Khazzam M, Coyner KJ. Anterior Cruciate Ligament Tears: The Impact of Increased Time From Injury to Surgery on Intra-articular Lesions. Orthop J Sports Med. 2020; 8: 2325967120967120.

85. Gaillard R, Magnussen R, Batailler C, Neyret P, Lustig S, Servien E. Anatomic risk factor for meniscal lesion in association with ACL rupture. J Orthop Surg Res. 2019; 14: 242.

86. Michalitsis S, Vlychou M, Malizos KN, Thriskos P, Hantes ME. Meniscal and articular cartilage lesions in the anterior cruciate ligamentdeficient knee: correlation between time from injury and knee scores. Knee Surg Sports Traumatol Arthrosc. 2015; 23: 232-239.

87. Perkins CA, Christino MA, Busch MT, Egger A, Murata A, Kelleman M, et al. Rates of Concomitant Meniscal Tears in Pediatric Patients With Anterior Cruciate Ligament Injuries Increase With Age and Body Mass Index. Orthop J Sports Med. 2021; 9: 2325967120986565.

88. Prodromos CC. The Anterior Cruciate Ligament: Reconstruction and Basic Science: Elsevier; 2017.

89. Kluczynski MA, Marzo JM, Bisson LJ. Factors associated with meniscal tears and chondral lesions in patients undergoing anterior cruciate ligament reconstruction: a prospective study. Am J Sports Med. 2013; 41: 2759-2765.

90. Kilcoyne KG, Dickens JF, Haniuk E, Cameron KL, Owens BD. Epidemiology of meniscal injury associated with ACL tears in young athletes. Orthopedics. 2012; 35: 208-212.

91. Keene GC, Bickerstaff D, Rae PJ, Paterson RS. The natural history of meniscal tears in anterior cruciate ligament insufficiency. Am J Sports Med. 1993; 21: 672-679.

92. Dufka FL, Lansdown DA, Zhang AL, Allen CR, Ma CB, Feeley BT. Accuracy of MRI evaluation of meniscus tears in the setting of ACL injuries. Knee. 2016; 23: 460-464.

93. Sarraj M, Coughlin RP, Solow M, Ekhtiari S, Simunovic N, Krych AJ, et al. Anterior cruciate ligament reconstruction with concomitant meniscal surgery: a systematic review and meta-analysis of outcomes. Knee Surg Sports Traumatol Arthrosc. 2019; 27: 3441-3452.

94. Phillips M, Ronnblad E, Lopez-Rengstig L, Svantesson E, Stalman A, Eriksson K, et al. Meniscus repair with simultaneous ACL reconstruction demonstrated similar clinical outcomes as isolated ACL repair: a result not seen with meniscus resection. Knee Surg Sports Traumatol Arthrosc. 2018; 26: 2270-2277.

95. Lorbach O, Kieb M, Domnick C, Herbort M, Weyers I, Raschke M, et al. Biomechanical evaluation of knee kinematics after anatomic single- and anatomic double-bundle ACL reconstructions with medial meniscal repair. Knee Surg Sports Traumatol Arthrosc. 2015; 23: 2734-2741.

96. Stephen JM, Halewood C, Kittl C, Bollen SR, Williams A, Amis AA. Posteromedial Meniscocapsular Lesions Increase Tibiofemoral Joint Laxity With Anterior Cruciate Ligament Deficiency, and Their Repair Reduces Laxity. Am J Sports Med. 2016; 44: 400-408.

97. Nagaraj R, Shivanna S. Pattern of multiligament knee injuries and their outcomes in a single stage reconstruction: Experience at a tertiary orthopedic care centre. J Clin Orthop Trauma. 2021; 15: 156- 160.

98. Svantesson E, Hamrin Senorski E, Ostergaard M, Grassi A, Krupic F, Westin O, et al. Graft Choice for Anterior Cruciate Ligament Reconstruction With a Concomitant Non-surgically Treated Medial Collateral Ligament Injury Does Not Influence the Risk of Revision. Arthroscopy. 2020; 36: 199-211.

99. Rao R, Bhattacharyya R, Andrews B, Varma R, Chen A. The management of combined ACL and MCL injuries: A systematic review. J Orthop. 2022; 34: 21-30.

100. 100. Kaeding CC, Pedroza AD, Parker RD, Spindler KP, McCarty EC, Andrish JT. Intra-articular findings in the reconstructed multiligament-injured knee. Arthroscopy. 2005; 21: 424-430.

101. Peskun CJ, Whelan DB. Outcomes of operative and nonoperative treatment of multiligament knee injuries: an evidence-based review. Sports Med Arthrosc Rev. 2011; 19: 167-173.

102. Levy BA, Dajani KA, Whelan DB, Stannard JP, Fanelli GC, Stuart MJ, et al. Decision making in the multiligament-injured knee: an evidencebased systematic review. Arthroscopy. 2009; 25: 430-438.

103. Richter M, Bosch U, Wippermann B, Hofmann A, Krettek C. Comparison of surgical repair or reconstruction of the cruciate ligaments versus nonsurgical treatment in patients with traumatic knee dislocations. Am J Sports Med. 2002; 30: 718-727.

104. Claes S, Bartholomeeusen S, Bellemans J. High prevalence of anterolateral ligament abnormalities in magnetic resonance images of anterior cruciate ligament-injured knees. Acta Orthop Belg. 2014; 80: 45-49.

105. Van Dyck P, Clockaerts S, Vanhoenacker FM, Lambrecht V, Wouters K, De Smet E, et al. Anterolateral ligament abnormalities in patients with acute anterior cruciate ligament rupture are associated with lateral meniscal and osseous injuries. Eur Radiol. 2016; 26: 3383- 3391.

106. Kittl C, El-Daou H, Athwal KK, Gupte CM, Weiler A, Williams A, et al. The Role of the Anterolateral Structures and the ACL in Controlling Laxity of the Intact and ACL-Deficient Knee. Am J Sports Med. 2016; 44: 345-354.

107. Tanaka M, Vyas D, Moloney G, Bedi A, Pearle AD, Musahl V. What does it take to have a high-grade pivot shift? Knee Surg Sports Traumatol Arthrosc. 2012; 20: 737-742.

108. Kraeutler MJ, Welton KL, Chahla J, LaPrade RF, McCarty EC. Current Concepts of the Anterolateral Ligament of the Knee: Anatomy, Biomechanics, and Reconstruction. Am J Sports Med. 2018; 46: 1235-1242.

109. Temponi EF, de Carvalho Junior LH, Saithna A, Thaunat M, Sonnery Cottet B. Incidence and MRI characterization of the spectrum of posterolateral corner injuries occurring in association with ACL rupture. Skeletal Radiol. 2017; 46: 1063-1070.

110. Dean RS, LaPrade RF. ACL and Posterolateral Corner Injuries. Curr Rev Musculoskelet Med. 2020; 13: 123-132.

111. Herrington L, Fowler E. A systematic literature review to investigate if we identify those patients who can cope with anterior cruciate ligament deficiency. Knee. 2006; 13: 260-265.

112. Petersen W, Haner M, Guenther D, Lutz P, Imhoff A, Herbort M, et al. Management after acute injury of the anterior cruciate ligament (ACL), part 2: management of the ACL-injured patient. Knee Surg Sports Traumatol Arthrosc. 2023; 31: 1675-1689.

113. Gerami MH, Haghi F, Pelarak F, Mousavibaygei SR. Anterior cruciate ligament (ACL) injuries: A review on the newest reconstruction techniques. J Family Med Prim Care. 2022; 11: 852-856.

114. Liu A, Sun M, Ma C, Chen Y, Xue X, Guo P, et al. Clinical outcomes of transtibial versus anteromedial drilling techniques to prepare the femoral tunnel during anterior cruciate ligament reconstruction. Knee Surg Sports Traumatol Arthrosc. 2017; 25: 2751-2759.

115. Rothrauff BB, Jorge A, de Sa D, Kay J, Fu FH, Musahl V. Anatomic ACL reconstruction reduces risk of post-traumatic osteoarthritis: a systematic review with minimum 10-year follow-up. Knee Surg Sports Traumatol Arthrosc. 2020; 28: 1072-1084.

116. Yeo MH, Seah SJ, Gatot C, Yew A, Lie D. Selective bundle versus complete anterior-cruciate ligament reconstruction: A systematic review and meta-analysis. J Orthop. 2022; 33: 124-130.

117. Achtnich A, Herbst E, Forkel P, Metzlaff S, Sprenker F, Imhoff AB, et al. Acute Proximal Anterior Cruciate Ligament Tears: Outcomes After Arthroscopic Suture Anchor Repair Versus Anatomic SingleBundle Reconstruction. Arthroscopy. 2016; 32: 2562-2569.

118. DiFelice GS, Villegas C, Taylor S. Anterior Cruciate Ligament Preservation: Early Results of a Novel Arthroscopic Technique for Suture Anchor Primary Anterior Cruciate Ligament Repair. Arthroscopy. 2015; 31: 2162-2171.

119. Daniels SP, van der List JP, Kazam JJ, DiFelice GS. Arthroscopic primary repair of the anterior cruciate ligament: what the radiologist needs to know. Skeletal Radiol. 2018; 47: 619-629.

120. van der List JP, DiFelice GS. Primary repair of the anterior cruciate ligament: A paradigm shift. Surgeon. 2017; 15: 161-168.

121. Fleming BC, Carey JL, Spindler KP, Murray MM. Can suture repair of ACL transection restore normal anteroposterior laxity of the knee? An ex vivo study. J Orthop Res. 2008; 26: 1500-1505.

122. van der List JP, DiFelice GS. Preoperative magnetic resonance imaging predicts eligibility for arthroscopic primary anterior cruciate ligament repair. Knee Surg Sports Traumatol Arthrosc. 2018; 26: 660-671.

Kang Y, Dianat S, Bencardino JT. (2023) Anterior Cruciate Ligament Injuries: MR Imaging Diagnosis with Surgical Implications. Ann Sports Med Res 10(3): 1207.

Received : 30 Jun 2023
Accepted : 31 Jul 2023
Published : 31 Jul 2023
Journals
Annals of Otolaryngology and Rhinology
ISSN : 2379-948X
Launched : 2014
JSM Schizophrenia
Launched : 2016
Journal of Nausea
Launched : 2020
JSM Internal Medicine
Launched : 2016
JSM Hepatitis
Launched : 2016
JSM Oro Facial Surgeries
ISSN : 2578-3211
Launched : 2016
Journal of Human Nutrition and Food Science
ISSN : 2333-6706
Launched : 2013
JSM Regenerative Medicine and Bioengineering
ISSN : 2379-0490
Launched : 2013
JSM Spine
ISSN : 2578-3181
Launched : 2016
Archives of Palliative Care
ISSN : 2573-1165
Launched : 2016
JSM Nutritional Disorders
ISSN : 2578-3203
Launched : 2017
Annals of Neurodegenerative Disorders
ISSN : 2476-2032
Launched : 2016
Journal of Fever
ISSN : 2641-7782
Launched : 2017
JSM Bone Marrow Research
ISSN : 2578-3351
Launched : 2016
JSM Mathematics and Statistics
ISSN : 2578-3173
Launched : 2014
Journal of Autoimmunity and Research
ISSN : 2573-1173
Launched : 2014
JSM Arthritis
ISSN : 2475-9155
Launched : 2016
JSM Head and Neck Cancer-Cases and Reviews
ISSN : 2573-1610
Launched : 2016
JSM General Surgery Cases and Images
ISSN : 2573-1564
Launched : 2016
JSM Anatomy and Physiology
ISSN : 2573-1262
Launched : 2016
JSM Dental Surgery
ISSN : 2573-1548
Launched : 2016
Annals of Emergency Surgery
ISSN : 2573-1017
Launched : 2016
Annals of Mens Health and Wellness
ISSN : 2641-7707
Launched : 2017
Journal of Preventive Medicine and Health Care
ISSN : 2576-0084
Launched : 2018
Journal of Chronic Diseases and Management
ISSN : 2573-1300
Launched : 2016
Annals of Vaccines and Immunization
ISSN : 2378-9379
Launched : 2014
JSM Heart Surgery Cases and Images
ISSN : 2578-3157
Launched : 2016
Annals of Reproductive Medicine and Treatment
ISSN : 2573-1092
Launched : 2016
JSM Brain Science
ISSN : 2573-1289
Launched : 2016
JSM Biomarkers
ISSN : 2578-3815
Launched : 2014
JSM Biology
ISSN : 2475-9392
Launched : 2016
Archives of Stem Cell and Research
ISSN : 2578-3580
Launched : 2014
Annals of Clinical and Medical Microbiology
ISSN : 2578-3629
Launched : 2014
JSM Pediatric Surgery
ISSN : 2578-3149
Launched : 2017
Journal of Memory Disorder and Rehabilitation
ISSN : 2578-319X
Launched : 2016
JSM Tropical Medicine and Research
ISSN : 2578-3165
Launched : 2016
JSM Head and Face Medicine
ISSN : 2578-3793
Launched : 2016
JSM Cardiothoracic Surgery
ISSN : 2573-1297
Launched : 2016
JSM Bone and Joint Diseases
ISSN : 2578-3351
Launched : 2017
JSM Bioavailability and Bioequivalence
ISSN : 2641-7812
Launched : 2017
JSM Atherosclerosis
ISSN : 2573-1270
Launched : 2016
Journal of Genitourinary Disorders
ISSN : 2641-7790
Launched : 2017
Journal of Fractures and Sprains
ISSN : 2578-3831
Launched : 2016
Journal of Autism and Epilepsy
ISSN : 2641-7774
Launched : 2016
Annals of Marine Biology and Research
ISSN : 2573-105X
Launched : 2014
JSM Health Education & Primary Health Care
ISSN : 2578-3777
Launched : 2016
JSM Communication Disorders
ISSN : 2578-3807
Launched : 2016
Annals of Musculoskeletal Disorders
ISSN : 2578-3599
Launched : 2016
Annals of Virology and Research
ISSN : 2573-1122
Launched : 2014
JSM Renal Medicine
ISSN : 2573-1637
Launched : 2016
Journal of Muscle Health
ISSN : 2578-3823
Launched : 2016
JSM Genetics and Genomics
ISSN : 2334-1823
Launched : 2013
JSM Anxiety and Depression
ISSN : 2475-9139
Launched : 2016
Clinical Journal of Heart Diseases
ISSN : 2641-7766
Launched : 2016
Annals of Medicinal Chemistry and Research
ISSN : 2378-9336
Launched : 2014
JSM Pain and Management
ISSN : 2578-3378
Launched : 2016
JSM Women's Health
ISSN : 2578-3696
Launched : 2016
Clinical Research in HIV or AIDS
ISSN : 2374-0094
Launched : 2013
Journal of Endocrinology, Diabetes and Obesity
ISSN : 2333-6692
Launched : 2013
Journal of Substance Abuse and Alcoholism
ISSN : 2373-9363
Launched : 2013
JSM Neurosurgery and Spine
ISSN : 2373-9479
Launched : 2013
Journal of Liver and Clinical Research
ISSN : 2379-0830
Launched : 2014
Journal of Drug Design and Research
ISSN : 2379-089X
Launched : 2014
JSM Clinical Oncology and Research
ISSN : 2373-938X
Launched : 2013
JSM Bioinformatics, Genomics and Proteomics
ISSN : 2576-1102
Launched : 2014
JSM Chemistry
ISSN : 2334-1831
Launched : 2013
Journal of Trauma and Care
ISSN : 2573-1246
Launched : 2014
JSM Surgical Oncology and Research
ISSN : 2578-3688
Launched : 2016
Annals of Food Processing and Preservation
ISSN : 2573-1033
Launched : 2016
Journal of Radiology and Radiation Therapy
ISSN : 2333-7095
Launched : 2013
JSM Physical Medicine and Rehabilitation
ISSN : 2578-3572
Launched : 2016
Annals of Clinical Pathology
ISSN : 2373-9282
Launched : 2013
Annals of Cardiovascular Diseases
ISSN : 2641-7731
Launched : 2016
Journal of Behavior
ISSN : 2576-0076
Launched : 2016
Annals of Clinical and Experimental Metabolism
ISSN : 2572-2492
Launched : 2016
Clinical Research in Infectious Diseases
ISSN : 2379-0636
Launched : 2013
JSM Microbiology
ISSN : 2333-6455
Launched : 2013
Journal of Urology and Research
ISSN : 2379-951X
Launched : 2014
Journal of Family Medicine and Community Health
ISSN : 2379-0547
Launched : 2013
Annals of Pregnancy and Care
ISSN : 2578-336X
Launched : 2017
JSM Cell and Developmental Biology
ISSN : 2379-061X
Launched : 2013
Annals of Aquaculture and Research
ISSN : 2379-0881
Launched : 2014
Clinical Research in Pulmonology
ISSN : 2333-6625
Launched : 2013
Journal of Immunology and Clinical Research
ISSN : 2333-6714
Launched : 2013
Annals of Forensic Research and Analysis
ISSN : 2378-9476
Launched : 2014
JSM Biochemistry and Molecular Biology
ISSN : 2333-7109
Launched : 2013
Annals of Breast Cancer Research
ISSN : 2641-7685
Launched : 2016
Annals of Gerontology and Geriatric Research
ISSN : 2378-9409
Launched : 2014
Journal of Sleep Medicine and Disorders
ISSN : 2379-0822
Launched : 2014
JSM Burns and Trauma
ISSN : 2475-9406
Launched : 2016
Chemical Engineering and Process Techniques
ISSN : 2333-6633
Launched : 2013
Annals of Clinical Cytology and Pathology
ISSN : 2475-9430
Launched : 2014
JSM Allergy and Asthma
ISSN : 2573-1254
Launched : 2016
Journal of Neurological Disorders and Stroke
ISSN : 2334-2307
Launched : 2013
JSM Sexual Medicine
ISSN : 2578-3718
Launched : 2016
Annals of Vascular Medicine and Research
ISSN : 2378-9344
Launched : 2014
JSM Biotechnology and Biomedical Engineering
ISSN : 2333-7117
Launched : 2013
Journal of Hematology and Transfusion
ISSN : 2333-6684
Launched : 2013
JSM Environmental Science and Ecology
ISSN : 2333-7141
Launched : 2013
Journal of Cardiology and Clinical Research
ISSN : 2333-6676
Launched : 2013
JSM Nanotechnology and Nanomedicine
ISSN : 2334-1815
Launched : 2013
Journal of Ear, Nose and Throat Disorders
ISSN : 2475-9473
Launched : 2016
JSM Ophthalmology
ISSN : 2333-6447
Launched : 2013
Journal of Pharmacology and Clinical Toxicology
ISSN : 2333-7079
Launched : 2013
Annals of Psychiatry and Mental Health
ISSN : 2374-0124
Launched : 2013
Medical Journal of Obstetrics and Gynecology
ISSN : 2333-6439
Launched : 2013
Annals of Pediatrics and Child Health
ISSN : 2373-9312
Launched : 2013
JSM Clinical Pharmaceutics
ISSN : 2379-9498
Launched : 2014
JSM Foot and Ankle
ISSN : 2475-9112
Launched : 2016
JSM Alzheimer's Disease and Related Dementia
ISSN : 2378-9565
Launched : 2014
Journal of Addiction Medicine and Therapy
ISSN : 2333-665X
Launched : 2013
Journal of Veterinary Medicine and Research
ISSN : 2378-931X
Launched : 2013
Annals of Public Health and Research
ISSN : 2378-9328
Launched : 2014
Annals of Orthopedics and Rheumatology
ISSN : 2373-9290
Launched : 2013
Journal of Clinical Nephrology and Research
ISSN : 2379-0652
Launched : 2014
Annals of Community Medicine and Practice
ISSN : 2475-9465
Launched : 2014
Annals of Biometrics and Biostatistics
ISSN : 2374-0116
Launched : 2013
JSM Clinical Case Reports
ISSN : 2373-9819
Launched : 2013
Journal of Cancer Biology and Research
ISSN : 2373-9436
Launched : 2013
Journal of Surgery and Transplantation Science
ISSN : 2379-0911
Launched : 2013
Journal of Dermatology and Clinical Research
ISSN : 2373-9371
Launched : 2013
JSM Gastroenterology and Hepatology
ISSN : 2373-9487
Launched : 2013
Annals of Nursing and Practice
ISSN : 2379-9501
Launched : 2014
JSM Dentistry
ISSN : 2333-7133
Launched : 2013
Author Information X