Meniscal Ossicle: Arthroscopic Treatment via Intercondylar Access Combined with Posteromedial Portal
- 1. Department of Orthopedics and Traumatology, Universidade Federal de São Paulo, Brazil
Abstract
Meniscal Ossicle are a rare clinical entity with an incidence of only 0,15% [1]. However, it may cause functional limitations and its diagnosis is confused with other knee pathologies. We shall share here our experience in the diagnosis and surgical treatment of a case of meniscal ossicle by arthroscopy, utilizing the anterolateral and anteromedial portals, with intercodylar and posteromedial portal access.
Keywords
Meniscal Ossicle , Arthroscopy , Arthritis
Citation
Carneiro M, de Moura JPFM, Nakama G, Vinicius M, Luzo M (2016) Meniscal Ossicle: Arthroscopic Treatment via Intercondylar Access Combined with Posteromedial Portal. Ann Sports Med Res 3(6): 1081
CASE REPORT
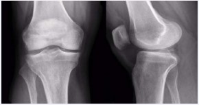
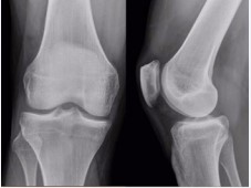
A 44 year old patient, male suffering from rheumatoid arthritis, complaining pain and clamping of the right knee for 5 years during the daily routine activities, with no associated trauma. The patient presents with a history of physiotherapy treatment and two arthroscopic procedures, with no improvement of symptoms. Radiographic examination revealed an image consistent with an intra-articular loose body in the medial compartment, in the topography of the posterior horn of the meniscus (Figure 1). The Magnetic Resonance Imaging (MRI) enabled the identification of bone tissue internal to the posterior horn of the medial meniscus (Figure 2). The surgical treatment was performed by arthroscopy via inter condylar access through the anterolateral and anteromedial portals (Figure 3) to position the optics and visualization of the posterior compartment (Figure 4). We identified the mensicalossicle adjacent to the posterior horn of the medial meniscus (Figure 5) and performed its removal utilizing basket forceps associated with economic resection of the posterior horn of the meniscus, due to the intimate anatomic relation between the two structures (Figures 6,7). The material was subjected to histopathological analysis, which identified fragments of meniscus containing hyaline alterations and metaplastic ossification, apart from a degenerative process, fibrosis, and foci of neovascularization (Figure 8). The patient evolved satisfactorily, with complete recovery of the range of motion and absence of joint locking symptoms, being that his last clinical evaluation was done with 3 months of postoperative. The last X-ray showed the absence of the bone body on the posterior compartment of the knee (Figure 9).
Figure 1: x-rays of the knee showing the bone body in the posterior region of the medial compartment.
Figure 2: Sagittal MRI cuts showing the ossicle in the posterior horn of the medial meniscus.
Figure 3: Arthroscopic image obtained with the optics in the anterolateral portal. The progress in the interval (p) between the fibers of the Posterior Cruciate Ligament (*) and the medial condyle (cm) confer access to the posterior region of the medial compartment.
Figure 4: Illustration demonstrating the trajectory of the optics in the intercondylar access to visualize the posterior region of the medial meniscus.
Figure 5: Arthroscopic image of the meniscal ossicle in the posterior horn of the medial meniscus (arrow).
Figure 6: Sequence of images showing the removal of fragments from the posterior horn (a, b) and the final aspect of the procedure (c).
DISCUSSION
The etiology of the meniscal ossicle is controversial [2]. The phylogenetic theory considers it a vestigial structure3 interpreted as an anatomical variation in human beings, but is observed in other mammals [4]. There is also the hypothesis that points to the emergence of bone tissue in the menisci as a result of metaplasia [5,6] due to inflammatory, post-traumatic [7], or degenerative changes of the meniscus [8,9].
The first reports of meniscal ossicles date back to 1931 with Wollenberg [10] and have since exceeded 60 cases [1-3,5-31] described in international scientific literature in the last 85 years. Watson-Jones [5] described two cases in 1934 and theorized about the occurrence of metaplastic changes. Pedersen4 identified mensicalossicles in rodents in 1949, and in 1958 Rosen [3] described three cases considering an anatomical variation named lunula. The literature indicates preponderance in males (81.3% to 84%) in various age groups (12 to 76 years), in most cases young adults (mean age: 25.6 to 26.4 years). The meniscal ossicle is frequently found in the medial meniscus (92% to 94%), almost exclusively in its posterior horn [9,18]. Patients may present asymptomatically or with pain and a limited range of motion [2,9]. Radiographic examinations point to the presence of intraarticular calcification and the differential diagnoses are avulsion fracture, intra-articular loose body (osteochondral fracture) and chondrocalcinosis [1,9,21]. The MRI allows for the diagnosis of
Figure 7: Macroscopic aspect of the ossicle fragments.
Figure 8: Histologic cuts of the meniscal fragments shows hyaline alterations and metaplastic ossification, apart from a degenerative process, fibrosis, and foci of neovascularization (hematoxylin-eosin).
Figure 9: Post-operative x-rays of the knee showing the absence of the bone body in the posterior region of the medial compartment.
meniscal ossicle due to the presence of a lesion in the substance of the meniscus, circular or triangular in shape, exhibiting a hyper signal center in T1 and surrounded by a hypo signal halo. The appearances are consistent with medular bone tissue and cortical bone, respectively. The examination further provides its precise location, approximate dimensions, and allows the identification of associated lesions [1,21]. Treatment tends to be conservative in asymptomatic cases. Patients experiencing pain or history of recent trauma also receive symptomatic prescription medication and physiotherapy. Refractory cases or those with associated lesions must be addressed surgically, with resection of the meniscal ossicle and treatment of the other lesions. Our patient had already been submitted to two artroscopies and persisted with symptoms, and that probably occurred due to the fact that the posterior compartment of the knee was not examined on these procedures. Arthroscopy with intercondylar access [32] associated with posteromedial portal [33] allows for good visualization of the posterior region of the medial compartment, free from blind spots, in addition to protecting the medial femoral condyle from the risk of iatrogenic lesions, hence being a safe and efficient strategy in the treatment of these lesions [32,33]. It is essential when suspecting of a meniscal ossicle to access the posterior compartment of the knee utilizing the arthroscopic technique described above, otherwise the meniscal ossicle cannot be seen if one utilize only the anterolateral e anteromedial portals. So it is very important that the knee surgeons have the knowledge of the existence of this rare pathologic condition that when suspected needs the arthroscopic approach to the posterior compartment.
REFERENCES
4. Pedersen HE. The ossicles of the semilunar cartilages of rodents. Anat Rec. 1949; 105: 1-9.
6. Harris HA. Calcification and ossification in the semilunar cartilages. Lancet. 1934; 1: 1114-1116.
11. Eck T. Meniscal calcification and its differential diagnosis. Chirurgie. 1939; 11: 547.
12. Cave EF. Calcification in the menisci. J Bone Joint Surg Am. 1934; 25: 53-57.
17. Yoo JH, Yang BK, Son BK. Meniscal ossicle: a case report. Knee. 2007; 14: 493-496.
18. Kato Y, Oshida M, Saito A, Ryu. Meniscal ossicles. J Orthop Sci. 2007; 12: 375-380.
27. Bozdech Z. Lunula-sesamoid bone in the semi-lunar cartilage. Cesk Radiol. 1964; 18:193-195.








