Loading

Archives of Emergency Medicine and Critical Care

From ER to ICU: Early Fixation after TBI under a Neuron‑Derived sEV/miR‑21 Inflammation Axis-Case Report and Translational Synthesis

Case Report | Open Access | Volume 9 | Issue 2
Article DOI :

  • 1. Center for General Education, Chung Yuan Christian University, Republic of China
  • 2. Department of Trauma, Yi?Her Hospital, Choninn Medical Group, Republic of China
+ Show More - Show Less
Corresponding Authors
Chi?Ming Chiang, Center for General Education, Chung Yuan Christian University, Taoyuan, Taiwan, Republic of China.
Abstract

Background: Early definitive fixation improves pulmonary outcomes and mobilization in polytrauma. In traumatic brain injury (TBI), timing remains contested due to risks of secondary brain insults. Translational data suggest that parenchymal TBI releases neuron?derived small extracellular vesicles (sEVs) enriched with miR?21?5p and triggers systemic inflammatory/neuropeptidergic responses, potentially accelerating callus formation while increasing neurogenic heterotopic ossification (NHO) risk.

Case: A 58?year?old man sustained severe TBI (Glasgow Coma Scale 6) with a Pipkin IV femoral head fracture (ISS 22). Neurocritical care lowered intracranial pressure medically; no decompressive craniotomy was performed. After physiological stabilization, the hip injury underwent open reduction and internal fixation via an anterolateral (Watson–Jones) approach. The case is framed across the emergency department–intensive care unit (ER–ICU) continuum with a physiology?gated algorithm.

Discussion: Evidence supports early definitive fixation once resuscitation targets are met. A neuron?derived sEV/miR?21–inflammation axis provides a mechanistic rationale for expedited osteogenesis after TBI, while underscoring proactive NHO surveillance/prophylaxis.

Conclusion: A physiology?gated strategy reconciles neuroprotection with early fixation after TBI; the present case illustrates feasibility without craniotomy, consistent with vesicle? and cytokine?mediated systemic effects.

Keywords

• Traumatic brain injury

• Small extracellular vesicles

• miR?21?5p

• Early fixation

• Femoral head fracture

• Heterotopic ossification

• Emergency medicine

• Critical care

INTRODUCTION

Early definitive fixation (EDF) of major fractures reduces pulmonary complications and resource use in polytrauma. Timing is debated in the presence of severe TBI. Contemporary practice favors physiology-gated EDF once hemodynamic, respiratory, and neurophysiologic goals are achieved. In parallel, neuro-orthopaedic biology suggests that TBI accelerates osteogenesis via vesicle-borne microRNAs and systemic inflammatory signals. This report integrates a severe-TBI case with a translational framework supporting EDF after resuscitation.

CASE PRESENTATION

We treated severe TBI using contemporary physiology gates: an intervention band around intracranial pressure (ICP <22?mmHg) with a pragmatic 20-25?mmHg range for high-risk maneuvers, a CPP target of 60–70?mmHg individualized by cerebrovascular autoregulation, and SpO? ≥94% with normocapnia. Where available, brain oxygen monitoring guided therapy toward PbtO? ≥15?mmHg, which reduces the burden of brain hypoxia compared with ICP-only management [11,12]. For respiratory readiness to proceed to early definitive fixation, we maintained a PaO?/FiO? ≥300, consistent with remaining outside the ARDS range defined by the Berlin criteria [5]. Metabolic resuscitation continued until lactate trended <2?mmol/ L-more stringent than classic Early Appropriate Care thresholds (lactate <4?mmol/L, pH?≥?7.25, base excess ≥?−5.5) to ensure oxygen delivery/consumption balance before surgery [4,11].

ER–ICU Resuscitation Targets and Monitoring

Vasopressors were used after adequate volume resuscitation to secure CPP. Both norepinephrine and phenylephrine increase MAP/CPP, yet their effects on microcirculation and brain tissue oxygenation (PbtO?) are heterogeneous. A systematic review highlights limited outcomes-level evidence to prefer one agent universally, reinforcing a monitoring-guided approach [13]. Accordingly, we titrated the minimal effective vasoactive dose to reach CPP goals while coupling decisions to multimodal monitoring (ICP/CPP ± PbtO?) rather than treating CPP in isolation [11,12].

Discussion-Vasopressors and Brain Oxygenation

Given early hypercoagulability after head injury, we used an imaging-plus-hemostasis dual threshold to initiate prophylaxis once serial head CTs were stable and coagulopathy acceptable. Trauma and neurocritical-care guidance support starting LMWH/UFH within 24–72?h in appropriately selected TBI patients [11,14,15]. In a 4,951-patient multicenter cohort, each day of delay was associated with an 8% increase in VTE odds, and initiating >72?h after injury carried an ≈4-fold higher VTE risk compared with earlier start, without an increase in mortality [16,17]. Operationally, these data argue against deferral beyond the early window when imaging is stable (Figure 1 and Figure 2).

https://www.jscimedcentral.com/public/assets/images/uploads/image-1766058425-1.JPG

Figure 1 Pre-operative pelvic CT (coronal reconstructions) Coronal CT demonstrating a femoral head fracture with associated acetabular rim fragment consistent with Pipkin IV.

https://www.jscimedcentral.com/public/assets/images/uploads/image-1766058573-1.JPG

Figure 2 Proposed TBI→sEV/miR-21–inflammation axis Schematic showing neuron-/glia-derived sEV (miR-21-5p) and inflammatory/neuropeptidergic signals converging on osteoprogenitors, accelerating callus while increasing neurogenic HO risk; applicable even without craniotomy

Discussion-Timing of Pharmacologic VTE Prophylaxis

Traumatic brain injury rapidly establishes an osteo-permissive milieu via neuron/glia-derived small extracellular vesicles enriched with osteogenic microRNAs such as miR-21-5p, alongside a systemic surge in IL-6/ CCL2 and neuropeptidergic signaling (e.g., Substance?P), which together promote endochondral ossification and may accelerate callus while increasing neurogenic HO risk [6,7,9]. Because prophylactic radiotherapy is most effective within 24?h pre-op or ≤72?h post-op, and NSAIDs carry fixation-specific risks (e.g., posterior-wall nonunion), we recommend formal HO risk-stratification by postoperative days 3–5 and early scheduling of prophylaxis for high-risk hips/approaches [18,19,21] (Figure 3).

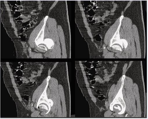
https://www.jscimedcentral.com/public/assets/images/uploads/image-1766058659-1.JPG

Figure 3 Pre-operative hip CT (sagittal reconstructions) Sagittal reconstructions highlighting intra-articular fragments and femoral head involvement.

Discussion-Early HO Surveillance and Prophylaxis

Timing practices vary internationally: the Western Trauma Association promotes early initiation when neuroimaging is stable, the Neurocritical Care Society supports chemoprophylaxis 24–48?h after a stable scan (and resumption ~24?h after neurosurgical procedures if stable), and ACS-TQIP 2024 emphasizes a 24–72?h window with repeated reassessment [11,14,15]. We adapt to age by accepting CPP toward 60–65?mmHg in frail or vasculopathic patients (escalating only if PbtO? or autoregulation data warrant) and to injury severity by starting LMWH as soon as the first stable repeat CT allows while using immediate mechanical prophylaxis during any mandated delay. In the present case, intracranial hypertension was controlled medically without craniotomy; because the vesicle/ inflammatory responses arise from parenchymal injury per se, the mechanistic rationale for timely fixation and early HO vigilance applies directly (Figure 4).

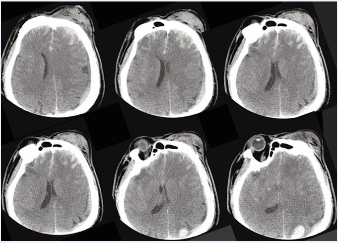
https://www.jscimedcentral.com/public/assets/images/uploads/image-1766058751-1.JPG

Figure 4 Admission head CT (axial slices) Representative axial images demonstrating parenchymal injury and edema in the acute phase of TBI.

Practice Variability and Individualized Thresholds

A 58-year-old man was transported after a high-energy motor-vehicle collision. On arrival, Glasgow Coma Scale was 6 (E1V1M4). Imaging showed severe TBI and a femoral head fracture with acetabular involvement (Pipkin IV); ISS 22. Airway control, neuroprotective ventilation, hemodynamic stabilization, and temperature management were instituted. Intracranial hypertension was controlled medically with hyperosmolar therapy and sedation; no craniotomy was performed. Once physiology met early-appropriate-care targets, open reduction and internal fixation was performed via an anterolateral (Watson–Jones) approach, followed by coordinated VTE prophylaxis and pulmonary hygiene, and surveillance for HO and femoral head viability (Figure 5).

https://www.jscimedcentral.com/public/assets/images/uploads/image-1766058852-1.JPG

Figure 5 Intra-operative views and retrieved fragments Watson–Jones exposure with removal of acetabular rim and femoral head fragments; bone model outlines the fracture line orientation.

Translational Bridge: Neuron-derived sEV/miR-21 and Inflammatory Axes

Parenchymal TBI releases neuron-/glia-derived sEVs that traffic to osteoprogenitors and deliver osteogenic miRNAs, with miR-21-5p repeatedly implicated as a pro-osteogenic cargo. TBI also elicits systemic elevations in IL-6 and CCL2 and neuropeptidergic signaling (Substance P), supporting PI3K–AKT and BMP pathways. These converging signals can enlarge and mineralize callus yet increase neurogenic HO risk. Crucially, these effects arise without the need for craniotomy and therefore apply to the present case (Figure 6).

https://www.jscimedcentral.com/public/assets/images/uploads/image-1766058936-1.JPG

Figure 6 Radiographs and early rehabilitation Pre-operative and post-operative anteroposterior pelvis radiographs without noticed avascular necrosis at left femoral head with early mobilization photographs at follow-up.

Timing and ER–ICU algorithm

Proceed to EDF within ~24–36 h when oxygenation is adequate on lung-protective ventilation, vasopressor needs are stable or decreasing, acidosis/coagulopathy are corrected, and intracranial pressures are acceptable. Otherwise favor damage-control fixation with staged conversion. Because TBI biology may accelerate callus consolidation, timely anatomic reduction and fixation are advantageous once criteria are met; plan HO prophylaxis and neurosurgically aligned VTE prevention in parallel (Figure 7).

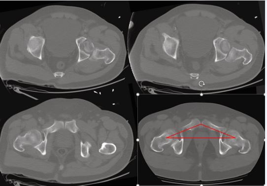
https://www.jscimedcentral.com/public/assets/images/uploads/image-1766059026-1.JPG

Figure 7 Axial pelvic CT for pre-operative planning Axial reconstructions across the hip joint; bottom-right panel includes a red overlay illustrating the acetabular roof contour/orientation used for planning.

CONCLUSIONS

EDF can be executed safely after TBI under a physiology-gated protocol. The sEV/miR-21 and inflammatory axes provide a biologic rationale for EDF while emphasizing proactive HO risk management.

REFERENCES
  1. Bone LB, Johnson KD, Weigelt J, Scheinberg R. Early versus delayed stabilization of femoral fractures: a prospective randomized study. J Bone Joint Surg Am. 1989; 71: 336-340.
  2. Jaicks RR, Cohn SM, Moller BA. Early fracture fixation may be deleterious after head injury. J Trauma. 1997; 42: 1-5.
  3. Scalea TM, Scott JD, Brumback RJ, Burgess AR, Mitchell KA, Kufera JA, et al. Early fracture fixation may be ‘just fine’ after head injury: no difference in CNS outcomes. J Trauma. 1999; 46: 839-846.
  4. Vallier HA, Moore TA, Como JJ, Wagner KG, Smith CE, Wang XF, et al. Complications are reduced with an early appropriate care protocol for patients with femoral and pelvic fractures. J Orthop Surg Res. 2015; 10: 155.
  5. Ranieri VM, Rubenfeld GD, Thompson BT, Ferguson ND, Caldwell E, Fan E, et al. Acute Respiratory Distress Syndrome: The Berlin Definition. JAMA. 2012; 307: 2526-2533.
  6. Xia W, Xie J, Cai Z. Damaged brain accelerates bone healing by releasing small extracellular vesicles that target osteoprogenitors. Nat Commun. 2021; 12 :6043.
  7. Lin Z, Xiong Y, Sun Y, Zeng R, Xue H, Hu Y, et al. Circulating miRNA-21–enriched extracellular vesicles promote bone remodeling in traumatic brain injury patients. Exp Mol Med. 2023; 55: 587-596.
  8. Haffner-Luntzer M, Fischer V, Ignatius A. Altered early immune response after fracture and traumatic brain injury. Front Immunol. 2023; 14: 1074207.
  9. Wong KR, Trudel G, Marchand-Leroux C. Neurological heterotopic ossification: novel mechanisms and therapeutic implications. Bone Res. 2020; 8: 33.
  10. Zheng J, CENTER-TBI Investigators. Early vs late fixation of extremity fractures among adults with traumatic brain injury. JAMA Netw Open. 2024; 7: e241556.
  11. American College of Surgeons. Best Practices Guidelines: Traumatic Brain Injury. 2024.
  12. Okonkwo DO, Shutter LA, Moore C. Brain tissue oxygen monitoring and management in severe traumatic brain injury: a randomized trial (BOOST-II). Neurosurgery. 2017; 81: 509-520.
  13. Lloyd-Donald P, Spencer W, Cheng J, Romero L, Jithoo R, Udy A, et al. In adult patients with severe TBI, does norepinephrine-augmented CPP improve outcomes? A systematic review. Injury. 2020; 51: 2129- 2134.
  14. Ley EJ, Brown CVR, Moore EE, Sava JA, Peck K, Ceisla DJ, et al. Updated guidelines to reduce venous thromboembolism in trauma patients: Western Trauma Association Critical Decisions Algorithm. J Trauma Acute Care Surg. 2020; 89: 971-981.
  15. Nyquist P, Bautista C, Jichici D, Burns J, Chhangani S, DeFilippis M, et al. Prophylaxis of venous thrombosis in neurocritical care patients: a guideline from the Neurocritical Care Society. Neurocrit Care. 2016; 24: 47-60.
  16. Byrne JP, Mason SA, Gomez D. Association of VTE prophylaxis timing with outcomes after urgent neurosurgical intervention for TBI. JAMA Surg. 2022.
  17. Al-Dorzi HM, Al-Harbi SA, Tamim HM. Timing of pharmacologic VTE prophylaxis and outcomes in moderate-to-severe TBI. Ann Thorac Med. 2022; 17: 120-127.
  18. Mourad WF, Packianathan S, Shourbaji RA. Prolonged delay between trauma and prophylactic radiation increases HO risk. Int J Radiat Oncol Biol Phys. 2012; 82: e339–e344.
  19. Moore KD, Goss K, Anglen JO. Indomethacin versus single-doseradiation for HO prophylaxis after acetabular fracture surgery: randomized prospective trial. J Bone Joint Surg Br. 1998; 80: 259- 263.
  20. Blokhuis TJ, Frölke JP. Is radiation superior to indomethacin to prevent HO in acetabular fractures? A systematic review. Clin Orthop Relat Res. 2009; 467: 526-530.

Chiang CM (2025) From ER to ICU: Early Fixation after TBI under a Neuron?Derived sEV/miR?21?Inflammation Axis?Case Report and Trans lational Synthesis. Arch Emerg Med Crit Care 9(2): 1073.

Received : 17 Dec 2025
Accepted : 05 Dec 2025
Published : 08 Dec 2025
Journals
Annals of Otolaryngology and Rhinology
ISSN : 2379-948X
Launched : 2014
JSM Schizophrenia
Launched : 2016
Journal of Nausea
Launched : 2020
JSM Internal Medicine
Launched : 2016
JSM Hepatitis
Launched : 2016
JSM Oro Facial Surgeries
ISSN : 2578-3211
Launched : 2016
Journal of Human Nutrition and Food Science
ISSN : 2333-6706
Launched : 2013
JSM Regenerative Medicine and Bioengineering
ISSN : 2379-0490
Launched : 2013
JSM Spine
ISSN : 2578-3181
Launched : 2016
Archives of Palliative Care
ISSN : 2573-1165
Launched : 2016
JSM Nutritional Disorders
ISSN : 2578-3203
Launched : 2017
Annals of Neurodegenerative Disorders
ISSN : 2476-2032
Launched : 2016
Journal of Fever
ISSN : 2641-7782
Launched : 2017
JSM Bone Marrow Research
ISSN : 2578-3351
Launched : 2016
JSM Mathematics and Statistics
ISSN : 2578-3173
Launched : 2014
Journal of Autoimmunity and Research
ISSN : 2573-1173
Launched : 2014
JSM Arthritis
ISSN : 2475-9155
Launched : 2016
JSM Head and Neck Cancer-Cases and Reviews
ISSN : 2573-1610
Launched : 2016
JSM General Surgery Cases and Images
ISSN : 2573-1564
Launched : 2016
JSM Anatomy and Physiology
ISSN : 2573-1262
Launched : 2016
JSM Dental Surgery
ISSN : 2573-1548
Launched : 2016
Annals of Emergency Surgery
ISSN : 2573-1017
Launched : 2016
Annals of Mens Health and Wellness
ISSN : 2641-7707
Launched : 2017
Journal of Preventive Medicine and Health Care
ISSN : 2576-0084
Launched : 2018
Journal of Chronic Diseases and Management
ISSN : 2573-1300
Launched : 2016
Annals of Vaccines and Immunization
ISSN : 2378-9379
Launched : 2014
JSM Heart Surgery Cases and Images
ISSN : 2578-3157
Launched : 2016
Annals of Reproductive Medicine and Treatment
ISSN : 2573-1092
Launched : 2016
JSM Brain Science
ISSN : 2573-1289
Launched : 2016
JSM Biomarkers
ISSN : 2578-3815
Launched : 2014
JSM Biology
ISSN : 2475-9392
Launched : 2016
Archives of Stem Cell and Research
ISSN : 2578-3580
Launched : 2014
Annals of Clinical and Medical Microbiology
ISSN : 2578-3629
Launched : 2014
JSM Pediatric Surgery
ISSN : 2578-3149
Launched : 2017
Journal of Memory Disorder and Rehabilitation
ISSN : 2578-319X
Launched : 2016
JSM Tropical Medicine and Research
ISSN : 2578-3165
Launched : 2016
JSM Head and Face Medicine
ISSN : 2578-3793
Launched : 2016
JSM Cardiothoracic Surgery
ISSN : 2573-1297
Launched : 2016
JSM Bone and Joint Diseases
ISSN : 2578-3351
Launched : 2017
JSM Bioavailability and Bioequivalence
ISSN : 2641-7812
Launched : 2017
JSM Atherosclerosis
ISSN : 2573-1270
Launched : 2016
Journal of Genitourinary Disorders
ISSN : 2641-7790
Launched : 2017
Journal of Fractures and Sprains
ISSN : 2578-3831
Launched : 2016
Journal of Autism and Epilepsy
ISSN : 2641-7774
Launched : 2016
Annals of Marine Biology and Research
ISSN : 2573-105X
Launched : 2014
JSM Health Education & Primary Health Care
ISSN : 2578-3777
Launched : 2016
JSM Communication Disorders
ISSN : 2578-3807
Launched : 2016
Annals of Musculoskeletal Disorders
ISSN : 2578-3599
Launched : 2016
Annals of Virology and Research
ISSN : 2573-1122
Launched : 2014
JSM Renal Medicine
ISSN : 2573-1637
Launched : 2016
Journal of Muscle Health
ISSN : 2578-3823
Launched : 2016
JSM Genetics and Genomics
ISSN : 2334-1823
Launched : 2013
JSM Anxiety and Depression
ISSN : 2475-9139
Launched : 2016
Clinical Journal of Heart Diseases
ISSN : 2641-7766
Launched : 2016
Annals of Medicinal Chemistry and Research
ISSN : 2378-9336
Launched : 2014
JSM Pain and Management
ISSN : 2578-3378
Launched : 2016
JSM Women's Health
ISSN : 2578-3696
Launched : 2016
Clinical Research in HIV or AIDS
ISSN : 2374-0094
Launched : 2013
Journal of Endocrinology, Diabetes and Obesity
ISSN : 2333-6692
Launched : 2013
Journal of Substance Abuse and Alcoholism
ISSN : 2373-9363
Launched : 2013
JSM Neurosurgery and Spine
ISSN : 2373-9479
Launched : 2013
Journal of Liver and Clinical Research
ISSN : 2379-0830
Launched : 2014
Journal of Drug Design and Research
ISSN : 2379-089X
Launched : 2014
JSM Clinical Oncology and Research
ISSN : 2373-938X
Launched : 2013
JSM Bioinformatics, Genomics and Proteomics
ISSN : 2576-1102
Launched : 2014
JSM Chemistry
ISSN : 2334-1831
Launched : 2013
Journal of Trauma and Care
ISSN : 2573-1246
Launched : 2014
JSM Surgical Oncology and Research
ISSN : 2578-3688
Launched : 2016
Annals of Food Processing and Preservation
ISSN : 2573-1033
Launched : 2016
Journal of Radiology and Radiation Therapy
ISSN : 2333-7095
Launched : 2013
JSM Physical Medicine and Rehabilitation
ISSN : 2578-3572
Launched : 2016
Annals of Clinical Pathology
ISSN : 2373-9282
Launched : 2013
Annals of Cardiovascular Diseases
ISSN : 2641-7731
Launched : 2016
Journal of Behavior
ISSN : 2576-0076
Launched : 2016
Annals of Clinical and Experimental Metabolism
ISSN : 2572-2492
Launched : 2016
Clinical Research in Infectious Diseases
ISSN : 2379-0636
Launched : 2013
JSM Microbiology
ISSN : 2333-6455
Launched : 2013
Journal of Urology and Research
ISSN : 2379-951X
Launched : 2014
Journal of Family Medicine and Community Health
ISSN : 2379-0547
Launched : 2013
Annals of Pregnancy and Care
ISSN : 2578-336X
Launched : 2017
JSM Cell and Developmental Biology
ISSN : 2379-061X
Launched : 2013
Annals of Aquaculture and Research
ISSN : 2379-0881
Launched : 2014
Clinical Research in Pulmonology
ISSN : 2333-6625
Launched : 2013
Journal of Immunology and Clinical Research
ISSN : 2333-6714
Launched : 2013
Annals of Forensic Research and Analysis
ISSN : 2378-9476
Launched : 2014
JSM Biochemistry and Molecular Biology
ISSN : 2333-7109
Launched : 2013
Annals of Breast Cancer Research
ISSN : 2641-7685
Launched : 2016
Annals of Gerontology and Geriatric Research
ISSN : 2378-9409
Launched : 2014
Journal of Sleep Medicine and Disorders
ISSN : 2379-0822
Launched : 2014
JSM Burns and Trauma
ISSN : 2475-9406
Launched : 2016
Chemical Engineering and Process Techniques
ISSN : 2333-6633
Launched : 2013
Annals of Clinical Cytology and Pathology
ISSN : 2475-9430
Launched : 2014
JSM Allergy and Asthma
ISSN : 2573-1254
Launched : 2016
Journal of Neurological Disorders and Stroke
ISSN : 2334-2307
Launched : 2013
Annals of Sports Medicine and Research
ISSN : 2379-0571
Launched : 2014
JSM Sexual Medicine
ISSN : 2578-3718
Launched : 2016
Annals of Vascular Medicine and Research
ISSN : 2378-9344
Launched : 2014
JSM Biotechnology and Biomedical Engineering
ISSN : 2333-7117
Launched : 2013
Journal of Hematology and Transfusion
ISSN : 2333-6684
Launched : 2013
JSM Environmental Science and Ecology
ISSN : 2333-7141
Launched : 2013
Journal of Cardiology and Clinical Research
ISSN : 2333-6676
Launched : 2013
JSM Nanotechnology and Nanomedicine
ISSN : 2334-1815
Launched : 2013
Journal of Ear, Nose and Throat Disorders
ISSN : 2475-9473
Launched : 2016
JSM Ophthalmology
ISSN : 2333-6447
Launched : 2013
Journal of Pharmacology and Clinical Toxicology
ISSN : 2333-7079
Launched : 2013
Annals of Psychiatry and Mental Health
ISSN : 2374-0124
Launched : 2013
Medical Journal of Obstetrics and Gynecology
ISSN : 2333-6439
Launched : 2013
Annals of Pediatrics and Child Health
ISSN : 2373-9312
Launched : 2013
JSM Clinical Pharmaceutics
ISSN : 2379-9498
Launched : 2014
JSM Foot and Ankle
ISSN : 2475-9112
Launched : 2016
JSM Alzheimer's Disease and Related Dementia
ISSN : 2378-9565
Launched : 2014
Journal of Addiction Medicine and Therapy
ISSN : 2333-665X
Launched : 2013
Journal of Veterinary Medicine and Research
ISSN : 2378-931X
Launched : 2013
Annals of Public Health and Research
ISSN : 2378-9328
Launched : 2014
Annals of Orthopedics and Rheumatology
ISSN : 2373-9290
Launched : 2013
Journal of Clinical Nephrology and Research
ISSN : 2379-0652
Launched : 2014
Annals of Community Medicine and Practice
ISSN : 2475-9465
Launched : 2014
Annals of Biometrics and Biostatistics
ISSN : 2374-0116
Launched : 2013
JSM Clinical Case Reports
ISSN : 2373-9819
Launched : 2013
Journal of Cancer Biology and Research
ISSN : 2373-9436
Launched : 2013
Journal of Surgery and Transplantation Science
ISSN : 2379-0911
Launched : 2013
Journal of Dermatology and Clinical Research
ISSN : 2373-9371
Launched : 2013
JSM Gastroenterology and Hepatology
ISSN : 2373-9487
Launched : 2013
Annals of Nursing and Practice
ISSN : 2379-9501
Launched : 2014
JSM Dentistry
ISSN : 2333-7133
Launched : 2013
Author Information X