Loading

Chemical Engineering and Process Techniques

Cloning, Expression and Purification of a Novel GLP-1 Analog in CHO with GC-Rich Vector

Research Article | Open Access | Volume 2 | Issue 2

  • 1. China National Key Laboratory of Biochemical Engineering, Chinese Academy of Sciences, China
  • 2. China National Key Laboratory of Biochemical Engineering, Graduate University of Chinese Academy of Sciences, Beijing, China
  • 3. Founder & Chief Scientific Officer of Am Protein Corporation, china
  • 0. Both authors contribute equally
+ Show More - Show Less
Corresponding Authors
Bo Xie, China National Key Laboratory of Biochemical Engineering, Chinese Academy of Sciences, China Zhiguo Su, Bei-erStreet, Zhongguancun, 100190 Beijing, China Tel/Fax: 86-10- 82544854
ABSTRACT

GLP-1 is the most potential drug for Type II diabetes mellitus as its significant functions on stimulating insulin secreting and protecting for pancreas beta cells. However, its half-life is short in vivo for small molecular size and cleavage by DPP-IV enzyme. In this study, a fused gene including GLP-1 and a hyper glycoslated fragment was constructed into a GC-rich vector and then transected into CHO-S cells. The stable and high-level expression clones were screened and used for further recombinant protein production. The recombinant protein was purified using an affinity chromatography purification protocol and identified by SDS-PAGE and Western blotting. The N terminal sequence that is EGTFT was determined by Edman degradation method. This hyper glycoslated GLP-1 anolog was clipped for the enzyme system in CHO cells and further identification might be re-solved this problem.

KEYWORDS

• Type II diabetes mellitus

• GLP-1

• Hyperglycoslated 

• GC rich vector

• N terminal clipping

CITATION

Liu S, Xie B, Hui M, Su Z (2014) Cloning, Expression and Purification of a Novel GLP-1 Analog in CHO with GC-Rich Vector. Chem Eng Process Tech 2(2): 1026.

ABBREVIATIONS

GLP-1: Glucagon-like peptide-1; T2DM: Type II diabetes mellitus; DPP-IV: Dipeptidyl peptidase-IV.

INTRODUCTION

Type II diabetes mellitus is a kind of chronic disease affecting more than 200 million people in the world [1]. It is associated with progressive decline in insulin-producing pancreatic betacells, an increase in hepatic glucose production, and a decrease in insulin sensitivity. An emerging class of diabetes therapeutics, the glucagon-like peptide-1 (GLP-1) receptor agonists, appears to address many of the unmet needs of patients with Type II diabetes mellitus (T2DM) [2]. GLP-1 is a 30-amino acid peptide insulin tropic hormone secreted predominantly by distal small intestine and colon and released in response to external nutrient exposure [3]. GLP-1 promotes nutrient assimilation through regulation of islet hormone secretion and gastrointestinal motility. GLP-1 promotes insulin release and inhibits glucagon secretion in a typical concentration-dependent manner, thereby indirectly modulating peripheral glucose uptake and control of hepatic glucose production. GLP-1 also slows down gastric emptying and may directly suppress appetite. Taken together, the multiple physiological characterizations of GLP-1 make it a promising drug candidate for the therapy of type 2 diabetes [4-7].

The major challenge for the therapeutic use of GLP-1 is its short half-life in vivo due to degradation by dipeptidyl peptidaseIV (DPP-IV) and renal clearance [8]. Hence, the majority of pharmaceutical approaches to the development of GLP-1 mimetic agents have focused on the long-acting degradation-resistant peptides. The strategies to prolong the half-life of recombinant protein in vivo mainly try to increase the hydrated radius of the molecular in solution environment and retain the intrinsic activity. Prevailing methods include modification by hydrated molecular, such as PEG or dextran, fusing with macromolecule protein, human serum albumin and Fc segment of immunoglobulin for instance, decoration by fatty acid or increase glycosylation of the molecular [9-11]. On the other hand, the cleavage site of DPP-IV, that is the former two amino acid of the sequence, Histidine and Alanine, was reformed to resist the degradation.

The existent derivatives of GLP-1 extended the half-life to varying degrees and had been promoted to further development. But very few reports had been checked out on chimeric protein of GLP-1 with hyper glycosylation, which is an effective means to prolong the half-life of recombinant protein, for oligosaccharide chains can increase the hydrated radius of the molecular and improve the stability in vivo. Natural EPO has three N-linked glycosylation sites and one O-linked glycosylation site. Amgen Corporation introduced another two N-linked glycosylation sites and two O-linked glycosylation sites away from the active locus of EPO by site-specific mutagenesis, which is named NESP, to prolong the elimination half-life to 25.3h from 8.5h [12]. However, it’s noteworthy to choose proper host cell line to obtain hyper glycosylation proteins for different host cell lines may have different types of post-translational modifications. There are several kinds of host cells often used to express the chimeric protein, such as bacteria, yeast, insect cell, plant cell and mammalian cell. Bacteria and yeast were used as most popular host cells at a low cost, but there are no glycosylation in bacteria and the glycan type is mainly man-nose in yeast. The transgenic plants usually have glycan with terminal of N-acetyl glucosamine and xylose. Native human glycoproteins usually have the terminus of N-acetyineuraminic acid that has accordance to the glycan type of mammalian cells, of which CHO cells is most proficiency and widely applied.

In this study, an analog of GLP-1 with hyper glycosylation was constructed. As mentioned above, GLP-1 is swiftly cleaved by DPP-IV in vivo, so we add another histidine and alanine at the N terminus, which are the former two amino acids of native GLP-1, with the expectation of sequent clipping and result of extension of half-life in vivo. It was also reported that glycosylation can protect the molecular from cleavage to some extent [13]. In order to provide convenience for purification and detection, a 6His tag was added at the C terminal of the chimeric protein, and 5Gly was added as flexible linker between hyper glycan segment and 6His tag. The fusion gene was ligated to a GC-rich mammalian expression vector pMH3 [14], which had been proved to express recombinant protein at high level. In this study, a new fusion protein molecule consisting of histidine, alanine, GLP-1, 5Gly, hyper glycan segment with 5 potential O-linked glycosylation sites and 6His tag, was designed, constructed and expressed in CHO cells, aiming to prolong the biological half-life of the protein.

MATERIALS AND METHODS

Strains, plasmids, and reagents

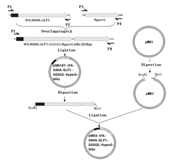
The Escherichia coli strain Top10 was purchased from Transgene. DNA restriction enzymes and pMD18-T vector were purchased from Takara. All cell culture and transfection reagents were obtained from Invitrogen unless specified. His tag affinity column was purchased from GE Healthcare. Mouse anti His tag antibody and goat anti mouse antibody were purchased from Santa Cruz. CHO-S cells cultured by DMEM/F12 or B001 medium and GC-rich vector pMH3 were stored in our lab. Construction of recombinant expression vector pMH3-tPA-HA-GLP-1- GGGGG-HyperG-6His (Figure 1)

Construction of the expression plasmid.

Figure 1: Construction of the expression plasmid.

Figure 2.

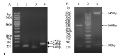
 (A) - Overlapping PCR. Lane 1, DNA ladder; lane 2, tPA-HAHA-GLP-1; lane 3, Hyper G-6His; lane 4, tPA-HAHA-GLP-1-GGGGG-HyperG-6His. (B) - Degestion of pMD18T plasmid and expression vector plasmid. Lane 1: cloning vector digested by EcoR I and Not I; Lane 2: DNA ladder; Lane 3: expression vector digested by EcoR I and Not I.

Figure 2: (A) - Overlapping PCR. Lane 1, DNA ladder; lane 2, tPA-HAHA-GLP-1; lane 3, Hyper G-6His; lane 4, tPA-HAHA-GLP-1-GGGGG-HyperG-6His. (B) - Degestion of pMD18T plasmid and expression vector plasmid. Lane 1: cloning vector digested by EcoR I and Not I; Lane 2: DNA ladder; Lane 3: expression vector digested by EcoR I and Not I.

Figure 3.

Dot blot of 96 wells dish in the first cloning stage.

Figure 3: Dot blot of 96 wells dish in the first cloning stage.

Figure 4.

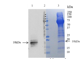
Western blot and SDS-PAGE on one PVDF membrane.

Figure 4: Western blot and SDS-PAGE on one PVDF membrane.

shows the construction of the expression vector. The plasmid pMH4-GLP1-Fc and pMH4-KGFHyperG were used at templates for the amplification of tPAGLP-1-5Gly and 5Gly-hyperG-6 His by PCR with primer 1and prime 2, and prime 3 and prime 4, respectively (Table 1).

Table 1: Oligonucleotides used in the construction of tPA-HA-GLP-1-5Gly-Hyper G-6His.

No.

Prime sequences

1

CCCCCAAGCTGGAATTCCACCATGGATGCAATGAAGAGAG

2

AGGTGGAGGGGCCTTTGAAGAGGAAGATCCGCCGCCGCCTCCTC

3

CCGAGGAGGCGGCGGCGGATCTTCCTCTTCAAAGGCCCCTCCAC

4

GTCGATGCGGCCGCTTATCAATGATGGTGATGGTGGTGCTGGGGCAGGATAGGGGTGTC

The tPA-HA-GLP-1-5Gly-Hyper G-6His was obtained by overlapping PCR using primer 1 and primer 4. The tPA-HA-GLP-1-5Gly-Hyper G-6His DNA fragment was digested with EcoR I and Not I, and then ligated to the corresponding sites of the GC-rich expression vector pMH3. The constructed plasmid pMH3-tPA-HA-GLP1-5Gly-Hyper G-6His was transformed into the competent E. coli Top10 cultured overnight by LB agar plates with 100 µg/ ml ampicillin. The expression plasmid was obtained from the positive transformants, and verified by EcoR I and Not I digestion.

Transfection, clone screening and expression

Harvest, count and wash 5×106 cells with cold PBS. Resuspend these cells in the 0.2ml of PBS which contains the DNA. Transfer the DNA/cell suspension to an electroporation cuvette. Keep on ice for 1min. Set and charge the Biorad Electroporator device at 160 volts, and 15 ms. Place the chilled cuvette with the cells/ plasmid mixture into the Electroporator and pulse. Immediately following the pulse, remove the cuvette and place it back on ice for 60 seconds. Put the chilled cuvette back into the Electroporator and apply the second pulse. Then transfer the cells to two dishes containing culture media with 10% FBS. Place the dishes at 37°C. At 24~48 hours change to new medium containing 10% FBS and G418, the concentration needed of which may vary from 150 to 250ug/ml. Keep 1 week under selective conditions, change media every 2-3 days as needed. When the mono colonies came into being, then they can be picked up. Put the tip in the colony, scratch the cells and transfer to fresh media in a 24-wells dish with D/F12 medium containing 100 mg/L G418 and subsequently into T25 flasks. Supernatants were collected from either the 96- or 24-well plates for initial assessment of protein expression by dot blot. Transformants with high expression of the target protein were further cultured in 40 ml shake flasks and 5-10 L bioreactors with B001 medium for serum-free cultivation by a fed-batch culture. After 13 days of cultivation, the cultures were centrifuged at 5500 g for 15 min and the supernatant was collected, filtrated and stored at -80°C until purification.

Dot blot assay

Use a strip of nitrocellulose membrane, and blot (5 µl) of culture medium of recombinant cells onto membranes. Membranes were blocked overnight with 5% dried skimmed milk in TBS containing 1% Tween 20(TBST). After washing three times with TBST, the blots were incubated for 1h at room temperature with mouse anti His antibody (1:5000 dilutions). After three washes of 30 min with TBST, blots were incubated for 0.5h at room temperature with goat anti mouse HRP-conjugated secondary antibody (1:15000 dilutions). The membranes were washed and then probed using the GE chemiluminescence system.

Purification of HA-GLP-1-5Gly-Hyper G-6His from CHO culture supernant

The supernatant was loaded onto a 20 ml Ni-NTA Superflow column equilibrated with 100ml buffer A (20mM PB, 0.5M NaCl, 5mM imidazole, pH 7.4) at a flow rate of 0.5 ml/min, washed by 100 ml buffer A containing 20 mM imidazole and the proteins were eluted with a linear 5–500 mM imidazole gradient by automatically mixing buffer A (20mM PB, 0.5M NaCl, 5mM imidazole, pH 7.4) and buffer B (20mM PB, 0.5M NaCl, 500mM imidazole, pH 7.4). The collected fractions were separated by SDS-PAGE and identified by Western blotting.

SDS-PAGE and western blot

Protein samples were separated by SDS-PAGE using 12% polyacrylamide gels. For western blot analysis, proteins resolved in the gel were transferred to polyvinylidene difluoride (PVDF) membrane (Millipore, USA). The membrane was blocked with 5% skim milk in TBST buffer (20 mM Tris-HCl, pH 8.0, 150 mM NaCl, 0.15 % Tween-20) at room temperature for 60 min, and then incubated with mouse anti-6His antibody (at 1:1000 dilutions in TBST containing 5% skim milk) at 30°C for overnight. The membrane was washed three times with TBST buffer and then incubated with Goat anti-mouse IgG*HRP antibody (at 1:5000 dilution in TBST containing 5% skim milk) at 30°C for 60 min. After that the membrane was washed three times with TBST followed by detection using chromogenic substrate.

N terminal sequencing of the chimerical protein

The N-terminal sequence of purified fused protein was analyzed by the Edman degradation method using an Automated Protein Sequencer, model ABI Procise 492 cLC.

RESULTS AND DISCUSSION

Construction of the fusion gene

The full length DNA of tPA- HA-GLP-1-5Gly-Hyper G-6His was obtained from overlapping PCR. The cloning vector and expression vector were verified by both EcoR I and Not I digestion.

Expression of the fusion protein

After transformation and screening, the recombinant CHO cells were cultured in 96 wells and expression level was detected using dot blot when the well was almost overspread by the cells. The highest expression level of 24h was about 20ug/ml. Choose the clone with highest expression level, scale up and harvest the culture solution.

Purification of the fusion protein

The same purified protein sample on one PVDF membrane was analyzed separately by western blot and Coomassie brilliant blue staining to confirm the destination band, and then committed N terminus sequencing.

N terminal sequencing of the fusion protein

N terminal sequencing of the fusion protein yielded the sequence EGTFT, same as the N terminus of the offspring of degradation. In this study, hyper glycoslated GLP-1 was constructed and expressed in CHO-S host cells, the glycosylation mechanism of which is up to the mustard. The destination band testified the glycosylation process for the virgin amino acid sequence of the molecular is about 6kDa, while it displayed actually 18kDa in the western blot result. But at last we harvested the N terminal clipped chimerical protein. The first additional HA and the subsequent original HA were all clipped and EGTFT was left as new terminus. Probably it has some relevance with the cleavage of GLP-1. GLP-1 was rapidly cleaved by dipeptidyl peptidase-IV in vivo, giving birth to the N-terminal clipped GLP1 without any bioactivity. Dipeptidyl peptidase-IV (DPP-IV), a highly specialized amino peptidase removing dipeptides only from peptides with N-terminal penultimate proline or alanine, exists in several kinds of tissues, serum and liver for instance. It can cleave several proteins with HA terminal, like GLP-1, GHRH and so on. In this study, another HA was added but cleaved totally at last, which gave out an intense signal that there might be DPPIV in CHO-S cell proteome and also showed the thoroughness of the degradation activity. It made a caution against the expression of proteins with HA as N terminus as well.

If it was confirmed that there is DPP-IV protease in CHO cells and it is responsible for the N terminal clipping, site mutation of the cleavage site would be the most feasible method to solve this problem. Or the DPP-IV gene of the host cell line can be knocked down or knocked off to prevent its expression. Or inhibitors of DPP-IV can be added in the process of incubation and purification to confirm the integrity of the structure. Otherwise addition of other protection sequence, RRKR as furin protease cleavage site for example, the chimeric protein can escape form terminal clipping. The protection sequence could be clipped by protease when the full length protein was obtained. Or the 6His tag can be added in the N terminal and can be removed later.

CONCLUSION

In this study, to prolong the half-life ofGLP-1, a hyper glycosylated GLP-1 analog with another Histidine and Alanine was constructed and expressed in CHO-S host cells. The mammalian cell expression system possesses advanced posttranslational modification functions, such as glycosylation, therefore the production is much similar to that of human beings. The N terminal of this hyper glycosylated GLP-1 analog was clipped for the enzyme system in CHO cells, which indicates that extra HA could not provide shielder for the following HA but turned into substrate for digestive enzyme as well, and further identification might be launched to resolve this phenomenon.

ACKNOWLEDGEMENTS

This research was supported by the National High Technology Research and Development Program of China (No. 2012AA021202) and the National Key Basic Research Program of China (No. 2013CB733600).

REFERENCES

1. Marre M, Penfornis A. GLP-1 receptor agonist’s today.Diabetes Res Clin Pract. 2011; 93: 317-327.

2. Hogan AE, Tobin AM, Ahern T, Corrigan MA, Gaoatswe G, Jackson R, et al. Glucagon-like peptide-1 (GLP-1) and the regulation of human invariant natural killer T cells: lessons from obesity, diabetes and psoriasis. Diabetologia. 2011; 54: 2745-2754.

3. Nauck MA, Holst JJ, Willms B, Schmiegel W. Glucagon-like peptide 1 (GLP-1) as a new therapeutic approach for type 2-diabetes. Exp Clin Endocrinol Diabetes. 1997; 105: 187-195.

4. Kielgast U, Holst JJ, Madsbad S. Antidiabetic actions of endogenous and exogenous GLP-1 in type 1 diabetic patients with and without residual beta-cell function. Diabetes.   2011; 60: 1599-1607.

5. Schirra J, Nicolaus M, Woerle HJ, Struckmeier C, Katschinski M, Goke B. GLP-1 regulates gastroduodenal motility involving cholinergic pathways. Neurogastroenterol Motil. 2009; 21: 609-618.

6. Vella A, Rizza RA. Extrapancreatic effects of GIP and GLP-1. Horm Metab Res. 2004; 36: 830-836.

7. Holst JJ. Treatment of type 2 diabetes mellitus with agonists of the GLP-1 receptor or DPP-IV inhibitors. Expert Opin Emerg Drugs. 2004; 9: 155-166.

8. Pala L, Ciani S, Dicembrini I, Bardini G, Cresci B, Pezzatini A, et al. Relationship between GLP-1 levels and dipeptidyl peptidase-4 activity in different glucose tolerance conditions. Diabet Med. 2010; 27: 691-695.

9. Chae SY, ChunYG, Lee S, Jin CH, Lee ES, Lee KC, et al. Pharmacokinetic and pharmacodynamic evaluation of site-specific PEGylated glucagon-like peptide-1 analogs as flexible postprandial-glucose controllers. J Pharm Sci. 2009; 98: 1556-1567.

10. Kim DM, Chu SH, Kim S, Park YW, Kim SS. Fc fusion to glucagon-like peptide-1 inhibits degradation by human DPP-IV, increasing its half-life in serum and inducing a potent activity for human GLP-1 receptor activation. BMB Rep.2009; 42: 212-216.

11. Gao Z, Bai G, Chen J, Zhang Q, Pan P, Bai F, et al. Development, characterization, and evaluation of a fusion protein of a novel glucagon-like peptide-1 (GLP-1) analog and human serum albumin in Pichia pastoris. Biosci Biotechnol Biochem. 2009; 73: 688-694.

12. Lee DE, Son W, Ha BJ, Oh MS, Yoo OJ. The prolonged half-lives of new erythropoietin derivatives via peptide addition. Biochem Biophys Res Commun. 2006; 339: 380-385.

13. Dorai H, Nemeth JF, Cammaart E, Wang Y, Tang QM, Magill A, et al. Development of mammalian production cell lines expressing CNTO736, a glucagon like peptide-1-MIMETIBODY: factors that influence productivity and product quality. Biotechnol Bioeng. 2009; 103: 162-176.

14. Jia Q, Wu H, Zhou X, Gao J, Zhao W, Aziz J, et al. A "GC-rich" method for mammalian gene expression: a dominant role of non-coding DNA GC content in regulation of mammalian gene expression. Sci China Life Sci. 2010; 53: 94-100.

Liu S, Xie B, Hui M, Su Z (2014) Cloning, Expression and Purification of a Novel GLP-1 Analog in CHO with GC-Rich Vector. Chem Eng Process Tech 2(2): 1026.

Received : 28 Jul 2014
Accepted : 08 Oct 2014
Published : 10 Oct 2014
Journals
Annals of Otolaryngology and Rhinology
ISSN : 2379-948X
Launched : 2014
JSM Schizophrenia
Launched : 2016
Journal of Nausea
Launched : 2020
JSM Internal Medicine
Launched : 2016
JSM Hepatitis
Launched : 2016
JSM Oro Facial Surgeries
ISSN : 2578-3211
Launched : 2016
Journal of Human Nutrition and Food Science
ISSN : 2333-6706
Launched : 2013
JSM Regenerative Medicine and Bioengineering
ISSN : 2379-0490
Launched : 2013
JSM Spine
ISSN : 2578-3181
Launched : 2016
Archives of Palliative Care
ISSN : 2573-1165
Launched : 2016
JSM Nutritional Disorders
ISSN : 2578-3203
Launched : 2017
Annals of Neurodegenerative Disorders
ISSN : 2476-2032
Launched : 2016
Journal of Fever
ISSN : 2641-7782
Launched : 2017
JSM Bone Marrow Research
ISSN : 2578-3351
Launched : 2016
JSM Mathematics and Statistics
ISSN : 2578-3173
Launched : 2014
Journal of Autoimmunity and Research
ISSN : 2573-1173
Launched : 2014
JSM Arthritis
ISSN : 2475-9155
Launched : 2016
JSM Head and Neck Cancer-Cases and Reviews
ISSN : 2573-1610
Launched : 2016
JSM General Surgery Cases and Images
ISSN : 2573-1564
Launched : 2016
JSM Anatomy and Physiology
ISSN : 2573-1262
Launched : 2016
JSM Dental Surgery
ISSN : 2573-1548
Launched : 2016
Annals of Emergency Surgery
ISSN : 2573-1017
Launched : 2016
Annals of Mens Health and Wellness
ISSN : 2641-7707
Launched : 2017
Journal of Preventive Medicine and Health Care
ISSN : 2576-0084
Launched : 2018
Journal of Chronic Diseases and Management
ISSN : 2573-1300
Launched : 2016
Annals of Vaccines and Immunization
ISSN : 2378-9379
Launched : 2014
JSM Heart Surgery Cases and Images
ISSN : 2578-3157
Launched : 2016
Annals of Reproductive Medicine and Treatment
ISSN : 2573-1092
Launched : 2016
JSM Brain Science
ISSN : 2573-1289
Launched : 2016
JSM Biomarkers
ISSN : 2578-3815
Launched : 2014
JSM Biology
ISSN : 2475-9392
Launched : 2016
Archives of Stem Cell and Research
ISSN : 2578-3580
Launched : 2014
Annals of Clinical and Medical Microbiology
ISSN : 2578-3629
Launched : 2014
JSM Pediatric Surgery
ISSN : 2578-3149
Launched : 2017
Journal of Memory Disorder and Rehabilitation
ISSN : 2578-319X
Launched : 2016
JSM Tropical Medicine and Research
ISSN : 2578-3165
Launched : 2016
JSM Head and Face Medicine
ISSN : 2578-3793
Launched : 2016
JSM Cardiothoracic Surgery
ISSN : 2573-1297
Launched : 2016
JSM Bone and Joint Diseases
ISSN : 2578-3351
Launched : 2017
JSM Bioavailability and Bioequivalence
ISSN : 2641-7812
Launched : 2017
JSM Atherosclerosis
ISSN : 2573-1270
Launched : 2016
Journal of Genitourinary Disorders
ISSN : 2641-7790
Launched : 2017
Journal of Fractures and Sprains
ISSN : 2578-3831
Launched : 2016
Journal of Autism and Epilepsy
ISSN : 2641-7774
Launched : 2016
Annals of Marine Biology and Research
ISSN : 2573-105X
Launched : 2014
JSM Health Education & Primary Health Care
ISSN : 2578-3777
Launched : 2016
JSM Communication Disorders
ISSN : 2578-3807
Launched : 2016
Annals of Musculoskeletal Disorders
ISSN : 2578-3599
Launched : 2016
Annals of Virology and Research
ISSN : 2573-1122
Launched : 2014
JSM Renal Medicine
ISSN : 2573-1637
Launched : 2016
Journal of Muscle Health
ISSN : 2578-3823
Launched : 2016
JSM Genetics and Genomics
ISSN : 2334-1823
Launched : 2013
JSM Anxiety and Depression
ISSN : 2475-9139
Launched : 2016
Clinical Journal of Heart Diseases
ISSN : 2641-7766
Launched : 2016
Annals of Medicinal Chemistry and Research
ISSN : 2378-9336
Launched : 2014
JSM Pain and Management
ISSN : 2578-3378
Launched : 2016
JSM Women's Health
ISSN : 2578-3696
Launched : 2016
Clinical Research in HIV or AIDS
ISSN : 2374-0094
Launched : 2013
Journal of Endocrinology, Diabetes and Obesity
ISSN : 2333-6692
Launched : 2013
Journal of Substance Abuse and Alcoholism
ISSN : 2373-9363
Launched : 2013
JSM Neurosurgery and Spine
ISSN : 2373-9479
Launched : 2013
Journal of Liver and Clinical Research
ISSN : 2379-0830
Launched : 2014
Journal of Drug Design and Research
ISSN : 2379-089X
Launched : 2014
JSM Clinical Oncology and Research
ISSN : 2373-938X
Launched : 2013
JSM Bioinformatics, Genomics and Proteomics
ISSN : 2576-1102
Launched : 2014
JSM Chemistry
ISSN : 2334-1831
Launched : 2013
Journal of Trauma and Care
ISSN : 2573-1246
Launched : 2014
JSM Surgical Oncology and Research
ISSN : 2578-3688
Launched : 2016
Annals of Food Processing and Preservation
ISSN : 2573-1033
Launched : 2016
Journal of Radiology and Radiation Therapy
ISSN : 2333-7095
Launched : 2013
JSM Physical Medicine and Rehabilitation
ISSN : 2578-3572
Launched : 2016
Annals of Clinical Pathology
ISSN : 2373-9282
Launched : 2013
Annals of Cardiovascular Diseases
ISSN : 2641-7731
Launched : 2016
Journal of Behavior
ISSN : 2576-0076
Launched : 2016
Annals of Clinical and Experimental Metabolism
ISSN : 2572-2492
Launched : 2016
Clinical Research in Infectious Diseases
ISSN : 2379-0636
Launched : 2013
JSM Microbiology
ISSN : 2333-6455
Launched : 2013
Journal of Urology and Research
ISSN : 2379-951X
Launched : 2014
Journal of Family Medicine and Community Health
ISSN : 2379-0547
Launched : 2013
Annals of Pregnancy and Care
ISSN : 2578-336X
Launched : 2017
JSM Cell and Developmental Biology
ISSN : 2379-061X
Launched : 2013
Annals of Aquaculture and Research
ISSN : 2379-0881
Launched : 2014
Clinical Research in Pulmonology
ISSN : 2333-6625
Launched : 2013
Journal of Immunology and Clinical Research
ISSN : 2333-6714
Launched : 2013
Annals of Forensic Research and Analysis
ISSN : 2378-9476
Launched : 2014
JSM Biochemistry and Molecular Biology
ISSN : 2333-7109
Launched : 2013
Annals of Breast Cancer Research
ISSN : 2641-7685
Launched : 2016
Annals of Gerontology and Geriatric Research
ISSN : 2378-9409
Launched : 2014
Journal of Sleep Medicine and Disorders
ISSN : 2379-0822
Launched : 2014
JSM Burns and Trauma
ISSN : 2475-9406
Launched : 2016
Annals of Clinical Cytology and Pathology
ISSN : 2475-9430
Launched : 2014
JSM Allergy and Asthma
ISSN : 2573-1254
Launched : 2016
Journal of Neurological Disorders and Stroke
ISSN : 2334-2307
Launched : 2013
Annals of Sports Medicine and Research
ISSN : 2379-0571
Launched : 2014
JSM Sexual Medicine
ISSN : 2578-3718
Launched : 2016
Annals of Vascular Medicine and Research
ISSN : 2378-9344
Launched : 2014
JSM Biotechnology and Biomedical Engineering
ISSN : 2333-7117
Launched : 2013
Journal of Hematology and Transfusion
ISSN : 2333-6684
Launched : 2013
JSM Environmental Science and Ecology
ISSN : 2333-7141
Launched : 2013
Journal of Cardiology and Clinical Research
ISSN : 2333-6676
Launched : 2013
JSM Nanotechnology and Nanomedicine
ISSN : 2334-1815
Launched : 2013
Journal of Ear, Nose and Throat Disorders
ISSN : 2475-9473
Launched : 2016
JSM Ophthalmology
ISSN : 2333-6447
Launched : 2013
Journal of Pharmacology and Clinical Toxicology
ISSN : 2333-7079
Launched : 2013
Annals of Psychiatry and Mental Health
ISSN : 2374-0124
Launched : 2013
Medical Journal of Obstetrics and Gynecology
ISSN : 2333-6439
Launched : 2013
Annals of Pediatrics and Child Health
ISSN : 2373-9312
Launched : 2013
JSM Clinical Pharmaceutics
ISSN : 2379-9498
Launched : 2014
JSM Foot and Ankle
ISSN : 2475-9112
Launched : 2016
JSM Alzheimer's Disease and Related Dementia
ISSN : 2378-9565
Launched : 2014
Journal of Addiction Medicine and Therapy
ISSN : 2333-665X
Launched : 2013
Journal of Veterinary Medicine and Research
ISSN : 2378-931X
Launched : 2013
Annals of Public Health and Research
ISSN : 2378-9328
Launched : 2014
Annals of Orthopedics and Rheumatology
ISSN : 2373-9290
Launched : 2013
Journal of Clinical Nephrology and Research
ISSN : 2379-0652
Launched : 2014
Annals of Community Medicine and Practice
ISSN : 2475-9465
Launched : 2014
Annals of Biometrics and Biostatistics
ISSN : 2374-0116
Launched : 2013
JSM Clinical Case Reports
ISSN : 2373-9819
Launched : 2013
Journal of Cancer Biology and Research
ISSN : 2373-9436
Launched : 2013
Journal of Surgery and Transplantation Science
ISSN : 2379-0911
Launched : 2013
Journal of Dermatology and Clinical Research
ISSN : 2373-9371
Launched : 2013
JSM Gastroenterology and Hepatology
ISSN : 2373-9487
Launched : 2013
Annals of Nursing and Practice
ISSN : 2379-9501
Launched : 2014
JSM Dentistry
ISSN : 2333-7133
Launched : 2013
Author Information X