Loading

Chemical Engineering and Process Techniques

Preparation and Characteristic of Dextran-BSA Antibody and Establishment of its Elisa immunoassay

Research Article | Open Access | Volume 2 | Issue 1

  • 1. Faculty of Light and Chemical Engineering, Guangdong University of Technology, China
  • 2. Guangzhou Institute of Sucrose, China
+ Show More - Show Less
Corresponding Authors
Xie Zhen-Ming, Faculty of Light and Chemical Engineering, Guangdong University of Technology, Guangzhou 510060, China
ABSTRACT

The enzyme linked immunosorbent assay (ELISA) is a potential tool for the determination of dextran. In this study, dextran–BSA antigens were prepared by Reductive amination method, and were confirmed by SDS-PAGE and free amino detection. The effects of coupled reaction conditions such as different oxidation degree of dextran, the reaction time were investigated and the immunity of the resulting dextran-BSA neoglycoprotein antigens were evaluated through the interaction with standard dextran antibody. The immunogen was immunized with white rabbits to obtained polyclonal antibody respectively. A general and broad class-specific Elisa detection method was developed according to Elisa theory. The method was put to use for quantitative analysis of dextran in practical saccharose samples.

KEYWORDS

• Dextran

• Neoglycoprotein antigen

• Preparation

• Polyclonal antibody

• ELISA

CITATION

Zhen-Ming X, Li-Sha F, Da-Feng L, Lin Y (2014) Preparation and Characteristic of Dextran-BSA Antibody and Establishment of its Elisa immunoassay. Chem Eng Process Tech 2(1): 1022.

INTRODUCTION

Dextrans are high-molecular-weight straight chain polysaccharides synthesized from sucrose by dextran sucrases. In sugar production, formation of dextran not only causes severe economic losses due to sugar loss, but also causes processing problems including high viscosity, poor filtration, low evaporation rate, poor crystallization, and slow mud settling [1- 3]. The use of the glycosyl hydrolase is the most efficient method to hydrolyze dextrans at sugar factory. However, due to the high price of dextranase, dextran needs to be exactly quantitated in order to decide the precise amount of dextranase required for the hydrolyzation treatment in syrup [4,5].

Several different methods are commonly used for the determination of dextran in sugar industry including Haze method [6], Roberts copper method [7], ASI II method [8] and the improved alcohol Haze method. However, these methods, except ASI II, are not specific for the determination of dextran and may cross react with other polysaccharides coexisting. Two new methods, Midland SucroTestTM and Optical Activity Ltd. DASA method have been reported to detect dextran only. But the DASA method might give erroneously high levels of dextran, due to either partial dextran hydrolysis or poor filtration [9]. Midland SucroTestTM is an immunological method that uses a monoclonal antibody to produce a linear increase in turbidity in response to dextran. This method is a rapid test that utilizes a minimum of equipments, and is highly specific to dextran, but the cost per analysis is considered to be too high for extensive use [10].

The enzyme linked immunosorbent assay (ELISA) has been developed for the detection and quantification of trace impurities in biotechnological production, which is rapid, efficient and selective [11,12]. Thus it will be of great significance to establish a low-cost ELISA analysis for dextran. The development of ELISA assay demands a sensitive antigen which could recognize the specific antibody produced by the animal’s immune system. Dextran is a high molecular compound with low immunocompetent, thus it is necessary to add an appended immunocompetent part such as protein or biotin to dextran [13- 15].

The aim of this study was to synthesize and analyze dextranBSA conjugates and illustrate their characteristics as immobilized antigens on the surfaces of ELISA plates. The effects of synthesis conditions were investigated, resulting in different dextran-BSA antigens. Immunity and application of the optimal dextran-BSA antigen were also examined. Polyclonal antibody was obtained by means of animal immunization and the Elisa determination method was established for dextran detection. The specificity and accuracy of the method were examined and the Elisa detection method was used for dextran analysis in practical saccharose samples.

MATERIALS AND METHODS

Materials and reagents

Dextran (10 kDa, 40 kDa, 100 kDa and 2000 kDa as T10, T40, T100 and T2000) and bovine albumin serum (BSA) were from Sangon Ltd. (China), anti-dextran mouse monoclonal antibody clone DX-1 was obtained from StemCell Technologies, and other standard protein was purchased from Takara Biotechnology (Dalian) Company. Sheep anti-mouse-IgG-HRP, phosphate buffered saline (PBS), Tween 20 and TMB were supplied by Sigma (St. Louis, MO, USA) for immunoassay. Sodium periodate Merck, Germany), O-phthaldialdehyde (OPA), Coomassie brilliant blue R-250, basic fuchsin were supplied by (Sigma, USA), and all the other chemicals were of analytical grade (purity >98%). Deionized water (electrical conductivity < 2 μS cm-1) was used throughout the experiments. Ultra-15 hydrophilic ultrafilter tubes were supplied by Millipore (USA).

Synthesis of dextran-BSA antigen

Preparation of aldehyde-dextran: Aldehyde-dextran was obtained by oxidating dextran with sodium periodate, and different oxidization ratio (Dex/NaIO4 weight ratio of 1/10, 1/60, 1/120 and 1/187) were evaluated to optimize the preparation reaction. The reaction was stopped by adding ethylene glycol and the solution was ultra-filtered to remove the impurities and then freeze dried.

Preparation of dextran-BSA antigen:BSA was coupled with aldehyde-dextran according to the scheme presented in Figure 1.

Schematic representation of the synthesis of dextran-BSA neoglycoprotein.

Figure 1: Schematic representation of the synthesis of dextran-BSA neoglycoprotein.

Different aspects were evaluated to optimize the reaction, including the reaction time (12, 24, 48 or 72h) and the different dextran molecular (T10, T10, T100, T2000). Sodium cyanoborohydride solution was added to terminate the reaction and the solutions were centrifuged at 5000 rpm for 30 min using ultrafilter tubes to remove the impurity and the filtrate was stored at 4° C.

Characteristic of dextran-BSA antigen

SDS-PAGE characterization: The resultant dextran–BSA conjugates were analyzed using the SDS-Polyacrylamide gel electrophoresis (SDS-PAGE) technique to confirm the presence of neoglycoprotein antigens. SDS-PAGE was performed according to the method of Laemmli [16] using 7.5% acrylamide as separating gel and 3% stacking gel containing 0.1% SDS. The protein and neoglycoproteins were prepared in a 0.08 M Tris-HCl buffer at pH 6.8 containing 4% SDS and 0.5% mercaptoethanol. Electrophoresis was carried out at a constant voltage of 80 V for 4 h. The gel sheets were stained with 0.2% Coomassie brillant blue R-250 for protein or with 0.4% periodate-fuchsin solution containing 0.2% basic fuchsin for neoglycoproteins conjugates [17]. A Nikon digital camera was used to obtain photographs.

Determination of free amino groups

The amount of free amino groups was measured using OPA method as described by Nielsen [18]. All spectrophotometer readings were performed at 340 nm. Lysine was used as the standard for calibration curve and deionized water was used as reference. The free amino groups of modified dextran antigen and unmodified BSA protein were measured as Ct and C0 . The degree of graft (DG) was calculated as follow:

DG= (C0 - Ct )/C0 ×100%

The immunocompetence analysis of antigen

The immunocompetence of dextran-BSA neoglycoprotein antigens were determined by indirect ELISA. The gained neoglycoprotein antigens were diluted in coating buffer (0.05M carbonate, pH 9.6) to the specific concentrations for adsorption to the polystyrene microtiter plates (100 μL per well; an overnight incubation at 4 ° C). At the end of the incubation, the plates were washed three times with phosphate buffered saline (PBS, 0.01 M) containing 1% (v/v) Tween 20. The primary and secondary antibodies (anti-dextran mouse monoclonal antibody clone DX-1 and Fc-specific sheep anti-mouse-IgG-HRP) were diluted in blocking solution and incubated on the plate at 37?C for 45 min. After washing the plate, the reaction was developed by adding TMB to the wells and stopped by adding 0.5M H2 SO4 . The absorption of the solution was measured at 450 nm on 1420 VICTOR D Multilabel Counter.

Antibody synthesis and purification

Male New Zealand White rabbits were immunized by subcutaneous injection to gain dextran-BSA antibody. Briefly, 500 μg of the dextran T40-BSA antigen mixed 1:1 with Freund’s complete adjuvant was injected into rabbits, and booster injections were administered twice at 2-week intervals with the same amount of antigen mixed 1:1 with incomplete Freund’s adjuvant. Serum was collected and purified according saturation ammonium sulfate method and stored at -20°C. Establishment of dextran Elisa detection and practical sample determination

The dextran-BSA polyclonal antibody was analyzed and charactered by indirect non-competitive Elisa. The aspects as coating antigen concentration, the incubation time of antibody to enzyme-labeled antibody, the blocking solvent and the optimal antibody concentration were studied.

With the optimized Elisa condition, an indirect competitive Elisa procedure was performed as the method of Tijssen [19] for the determination of dextran. The linear calibration graph was plotted by the absorption of the reacted solution at 450 nm versus the concentration of dextran-BSA antibody. The slope and correlation coefficient (r) were calculated using Origin software and the median inhibitory concentration IC50 and the detection limit were defined respectively. The specificity of the established Elisa detection method of dextran T40 to other different molecular dextran was evaluated by Cross reactivity (CR) as follow:

CR (%) = IC50 of dextran T40 / IC50 of other molacular dextran×100%

The practical applicability of the established Elisa detection method was demonstrated by quantitative determination of dextran T40 in saccharose sample.

RESULTS AND DISCUSSION

Synthesis and characteristic of dextran-BSA antigen

Dextran-BSA antigen was synthesis by periodate oxidation of dextran (T10, T40, T100, T2000), then conjugated with amino groups of BSA and finally reduced by sodium cyanoborohydride. Different aspects on reaction condition were studied as follow.

The effect of oxidation rate to antigen: The effect of NaIO4 on the extent of oxidation was subsequently assessed. Dextran (e.g. T40) was oxidized with different weight ratios of Dex/NaIO4 (1/10, 1/60, 1/120 and 1/187). The SDS-PAGE result (Figure 2)

SDS-PAGE of dextran-BSA neoglycoprotein prepared by different degrees of oxidation. 1 BSA?2 T40/NaIO4 =1/10?3 T40//NaIO4 =1/60? 4 T40//NaIO4 =1/120?5 T40//NaIO4 =1/187?

Figure 2: SDS-PAGE of dextran-BSA neoglycoprotein prepared by different degrees of oxidation. 1 BSA?2 T40/NaIO4 =1/10?3 T40//NaIO4 =1/60? 4 T40//NaIO4 =1/120?5 T40//NaIO4 =1/187?

and DG analysis (Figure 3)

The effect of different degrees of oxidation on DG of dextran-BSA antigen.

Figure 3: The effect of different degrees of oxidation on DG of dextran-BSA antigen.

were shown. It was noted that, with increasing amount of NaIO4 , dextran-BSA neoglycoprotein antigen was increased, and the grafting degree was also increased. In consideration of the strong oxidant can destroy the dextran chain, which likely reduced the immunocompetence of dextran-BSA antigen, and the strong oxidant expend the sodium cyanoborohydride during the Schiff’s base reducing reaction. The Dex/NaIO4 oxidation rate of 1/120 was selected.

An ELISA assay was developed to study the interaction of the dextran–BSA antigen with anti-dextran mouse monoclonal antibody clone DX-1, and the immunocompetence of dextranBSA antigens were evaluated and selected.

The dextran-BSA antigens obtained with different weight oxidation ratio (Dex/NaIO4 = 1/10, 1/60, 1/120 and 1/187) were combined with standard clone DX-1 antibody at a concentration of 2.5 μg mL-1, and the absorbance at 450 nm was monitored (Figure 4).

The OD value of different oxidized antigens combined with standard antibody .

Figure 4: The OD value of different oxidized antigens combined with standard antibody .

The results showed that the interaction of Dex-BSA antigen (obtained with Dex/NaIO4 weight ratio of 1/60) with Clone DX-1 antibody was the strongest. This might be attributed to the fact that dextran with low degree of oxidation might reduce the coupling of BSA with dextran, which inhibited the interaction with Clone DX-1; while dextran with high degree of oxidation might destroy the dextran chains, and the increased BSA conjugated with dextran caused steric hindrance, which may also hinder the interaction.

The effect of reaction time to antigen: The time required for the completion of the coupled reaction was also assessed. The resulting dextran-BSA neoglycoprotein antigen (e.g. T40) obtained with different reaction times (12h, 24h, 48h and 72h) were analyzed on SDS-PAGE (Figure 5).

SDS-PAGE of dextran-BSA neoglycoprotein prepared in different Reaction time.

Figure 5: SDS-PAGE of dextran-BSA neoglycoprotein prepared in different Reaction time.

It was found that the yield reached maximum at 24 h and kept a plateau, and the neoglycoprotein reduced at 72h. The degree of grafting (DG) was increased gradually, which was not consistent with the results observed on SDS-PAGE (Figure 6).

The effect of Reaction time on DG of dextran-BSA neoglycoprotein.

Figure 6: The effect of Reaction time on DG of dextran-BSA neoglycoprotein.

The antigen reduced at 72h might be the denaturation of neoglycoprotein with longer reaction time. The increased DG indicated only the decrease of free amino groups, and the performance of dextran-BSA antigens could not be evaluated simply by DG. Overall consideration, the time for the conjugation reaction was set at 24h.

At the coated antigen concentration of 10 μg mL-1, theinteraction of dextran-BSA neoglycoprotein antigens (obtained after 12, 24, 48 and 72 h reaction) and Clone DX-1 were studied (Figure 7).

The OD value of different coupled reaction time of antigen combined with standard antibod.

Figure 7: The OD value of different coupled reaction time of antigen combined with standard antibod.

The OD450 absorbance shown the conjugate obtained after 24 h exhibited strongest interaction with Clone DX-1.

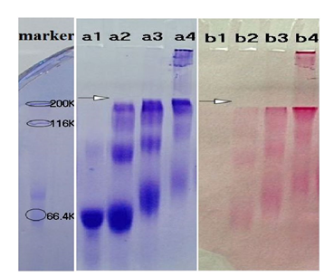
The effect of dextran molecular to antigen: Further studies on the coupling of BSA with different sizes of dextran (Figure 8)

SDS-PAGE of dex-BSA antigens prepared from different sizes of dextrans.

Figure 8: SDS-PAGE of dex-BSA antigens prepared from different sizes of dextrans.

indicated that the resulting conjugates were different. As expected, higher molecular dextran obtained higher molecular dex-BSA antigen, which shown the conjugation reaction was dependent on the degree of oxidation, not on the molecular weight of dextrans.

A coated antigen concentration of 10 μg mL-1 was selected for the investigation of the interaction between Clone DX-1 antibody with dex-BSA antigen synthezed by different molecular of dextran. As shown in Figure 9,

The OD value of different dextran antigen combined with standard dextran antibody.

Figure 9: The OD value of different dextran antigen combined with standard dextran antibody.

antigen with higher molecular dextran had strong interaction with Clone DX-1 antibody. This might be due to the enhanced selectivity and particularity of dextran–BSA antigen caused by high molecular dextran. As we preconceived, dextran antigen with high molecular and complex structure lead to higher immunological competence.

Preparation and immunity analysis of antibody

The dextran T40 polyclonal antibody was prepared and purified as described in 2.4, and the indirect non-competitive Elisa for antibody characteristic was developed. The aspects as coating antigen concentration, the incubation time of antibody to enzyme-labeled antibody, the blocking solvent and the optimun antibody concentration were studied as followed.

Optimization of the coating concentration: The dextran– BSA antigen (e.g. T40, Dex/NaIO4 ratio of 1/120) was prepared as coating buffer at different concentrations of 2.5, 5, 10 and 20 μg mL-1, respectively and combined with dextran T40 polyclonal antibody for multiple proportion dilution Elisa analysis. According to immunoassay analysis mentioned above, the absorbance at 450 nm was monitored and shown in figure 10.

Determination for optimal concentrations of coated antigen.

Figure 10: Determination for optimal concentrations of coated antigen.

The OD450 increased with the concentration of the coating conjugate from 2.5 to 10 μg mL-1, and reduced with the concentration increased to 20μg mL-1. Thereby, a concentration of 10 μg mL-1 was used for the coating dextran–BSA conjugate.

Optimization of the incubation time: At temperature of 37° C, the effect of incubation time of coating antigen reacted with polyclonal antibody and with sheep anti-mouse-IgG-HRP antibody was demonstrated in figure 11.

etermination for optimal time of incubatio.

Figure 11: Determination for optimal time of incubatio.

The result showed that the OD450 was most sensitive when the blocked coating antigen was incubated with either polyclonal antibody or enzyme-labeled antibody for 45min.

Optimization of the blocking solvent: Two kinds of blocking solvent were investigated, including 5% BSA protein and 5% casein protein, the effect of washed and unwashed the plate was also studied. The results were demonstrated in Figure 12

Determination for optimal blocking reagents.

Figure 12: Determination for optimal blocking reagents.

and 5% BSA protein as blocking solvent and the plate was washed three times after blocking was confirmed.

Optimization of the antibody dilutability: The effect of antibody dilutability was studied and the result shown in figure 13.

Detemination of the optimal dilution of polyclonal antibod.

Figure 13: Detemination of the optimal dilution of polyclonal antibod.

The best dilutability was set as 1/32000 according to the result.

Establishment of Elisa method

Linear range quantitative analysis and lower limit of dextran T40: Using the optimized indirect non-competitive Elisa condition, a general and broad class-specific indirect competitive Elisa detection method was developed according to Elisa theory. With T40-BSA as coating antigen, concentration of 10µg/mL,polyclonal antibody dilutability of 1/32000, a working curve for dextran T40 detection was acquired, the regression equation was Y=1.0969-0.5203*log(X) (r2 = 9796), with the linear range was 0.5-128ng/mL and IC50 value as 32ng/mL, the limit of detection of 0.5ng/mL. The Elisa detection to other dextran (T10, T100, T2000) was also studied (Figure 14).

The Inhibitory effect of different molecular dextran.

Figure 14: The Inhibitory effect of different molecular dextran.

Specificity analysis: Using different dextran-BSA antigens (T10,T100 and T2000) as coating antigen, pure rabbit blood as the positive control, the corresponding dextran Elisa detection working curve were obtained as figure 14. The 50% inhibitory concentration IC50 were gained respectively, and the crossreactivities were calculated and listed in table 1.

Table 1: Indirect competitive Elisa standard curve for different dextran.

Dextran

IC50 / mg?L

CR %

T10

48

150

T100

8

25

T2000

4

12.5

Polyclonal antibody

0

0

The working curve shown different molecular dextran can be detected by T40 dex-BSA polyclonal antibody using Elisa detection. The higher dextran molecular gain the more sensitive the detection reached. From the cross-reactivity data, different molecular dextran hindered the Elisa detection of dextran T40. Dextran with similar molecular with dextran T40 had prominent effect. In consideration of dextran had similar structure, the developed method can be used for total dextran determination in practical samples.

Application to practical samples

Sucros samples were purchased from Guangzhou market, and the dextran determination was carried out according to the developped Elisa detection method. Different sample can be detected with the convenient method rapidly and credibly. One of the sample was shown as figure 15

The Inhibitory effect of antibody to Dextran T40 in practical sucrose sample.

Figure 15: The Inhibitory effect of antibody to Dextran T40 in practical sucrose sample.

 according to dextran T40 detection regression equation, the dextran concentration was 3.5µg/mL when the practical saccharose samples concentration was 25µg/mL.

CONCLUSIONS

In summary, dextran-BSA antigens were prepared by reductive amination method and the preparation condition were optimized as dextran oxidized by NaIO4 at the weight ratio of 1/120 for 24 h. The immunocompetence of resulting antigens was evaluated by Elisa detection with commerce antibody, and rabbits were immunized by the screened dex-BSA T40 antigen to gain polyclonal antibody. An indirect Elisa detection method was developed for dextran determination, and the method with good linear range and sensitivity which was applied to dextran determination in practical saccharose samples.

ACKNOWLEDGEMENTS

We acknowledge financial support from the integration of the Tertiary Teaching, Research and Production foundation and 211 development foundation of the Science Research Fund Institutions of Guangdong province (China) for this project. Technical supports from Mr. Dong Zhining and Zeng Lianqiang were also greatly acknowledged.

REFERENCES
  1. Newman BA, Kabat EA. An immunochemical study of the combining site specificities of C57BL/6J monoclonal antibodies to alpha (1----6)-linked dextran B512. J Immunol. 1985; 135: 1220-1231.
  2. Jiménez ER. The dextranase along sugar-making industry. Biotecnología Aplicada. 2005; 22: 20-27.
  3. Abdel-Rahmana EA, Smejkala Q, Schicka R, El-Syiadb S, Kurza T. Influence of dextran concentrations and molecular fractions on the rate of sucrose crystallization in pure sucrose solutions. Journal of Food Engineering. 2008; 84: 501–508.
  4. Khalikova E, Susi P, Korpela T. Microbial dextran-hydrolyzing enzymes: fundamentals and applications. Microbiol Mol Biol Rev. 2005; 69: 306-325.
  5. Chung CC. Handbook of Sugar Refining: A Manual for the Design and Operation of Sugar Refining Facilities. New York: John Wiley & Sons, Inc., 2000; 516-517.
  6. Day DF, Cuddihy JA, Rauh JS. Versatility of the antibody dextran test method. [M]. 32nd Annual Joint ASSCT Meeting, Amelia Island Plantation, FL., 2002; 26-28.
  7. Clarke MA, Godshall MA. Determination of dextrans in raw cane sugar by Roberts copper method: Collaborative study. Journal-Association of official analytical. 1988; 71: 276-279.
  8. Sarkar D, Day DF. Dextran analysis: A modified method. J Am Soc Sugar Cane Technology. 1986; 6: 102-107.
  9. Singleton V, Horn J, Bucke C, Adlard M. A new polarimetric method for the analysis of dextran and sucrose. J Am Soc Sugar Cane Technology. 2002; 22: 112-119.
  10. Mattiasson B, Teeparuksapun K, Hedström M. Immunochemical binding assays for detection and quantification of trace impurities in biotechnological production. Trends Biotechnol. 2010; 28: 20-27.
  11. Ahmad S, Tester RF, Corbett A, Karkalas J. Dextran and 5-aminosalicylic acid (5-ASA) conjugates: synthesis, characterisation and enzymic hydrolysis. Carbohydr Res. 2006; 341: 2694-2701.
  12. Muangsiri W, Kirsch LE. The protein-binding and drug release properties of macromolecular conjugates containing daptomycin and dextran. Int J Pharm. 2006; 315: 30-43.
  13. Böcher M, Böldicke T, Kiess M, Bilitewski U. Synthesis of mono- and bifunctional peptide-dextran conjugates for the immobilization of peptide antigens on ELISA plates: properties and application. J Immunol Methods. 1997; 208: 191-202.
  14. Brik A. New Strategies for Glycopeptide, Neoglycopeptide and Glycoprotein Synthesis. Chemistry and Biology. 2010; 6: 55-89.
  15. Chabre YM, Roy R. Design and creativity in synthesis of multivalent neoglycoconjugates. Adv Carbohydr Chem Biochem. 2010; 63: 165-393.
  16. Laemmli UK. Cleavage of structural proteins during the assembly of the head of bacteriophage T4. Nature. 1970; 227: 680-685.
  17. Zacharius RM, Zell TE, Morrison JH, Woodlock JJ. Glycoprotein staining following electrophoresis on acrylamide gels. Anal Biochem. 1969; 30: 148-152.
  18. Nielsen PM, Petersen D, Dambmann C. Improved method for determining food protein degree of hydrolysis. J Food Sci. 2001; 66: 642-646
  19. Tijssen P. In: Laboratory Techniques in Biochemistry and Molecular Biology. Burden RH, Van Knippenberg PH.  Eds. Practice and Theory of Enzyme Immunoassays. Elsevier, Amsterdam. 1985; 15.

Zhen-Ming X, Li-Sha F, Da-Feng L, Lin Y (2014) Preparation and Characteristic of Dextran-BSA Antibody and Establishment of its Elisa immunoassay. Chem Eng Process Tech 2(1): 1022.

Received : 25 Feb 2014
Accepted : 10 Mar 2014
Published : 13 Mar 2014
Journals
Annals of Otolaryngology and Rhinology
ISSN : 2379-948X
Launched : 2014
JSM Schizophrenia
Launched : 2016
Journal of Nausea
Launched : 2020
JSM Internal Medicine
Launched : 2016
JSM Hepatitis
Launched : 2016
JSM Oro Facial Surgeries
ISSN : 2578-3211
Launched : 2016
Journal of Human Nutrition and Food Science
ISSN : 2333-6706
Launched : 2013
JSM Regenerative Medicine and Bioengineering
ISSN : 2379-0490
Launched : 2013
JSM Spine
ISSN : 2578-3181
Launched : 2016
Archives of Palliative Care
ISSN : 2573-1165
Launched : 2016
JSM Nutritional Disorders
ISSN : 2578-3203
Launched : 2017
Annals of Neurodegenerative Disorders
ISSN : 2476-2032
Launched : 2016
Journal of Fever
ISSN : 2641-7782
Launched : 2017
JSM Bone Marrow Research
ISSN : 2578-3351
Launched : 2016
JSM Mathematics and Statistics
ISSN : 2578-3173
Launched : 2014
Journal of Autoimmunity and Research
ISSN : 2573-1173
Launched : 2014
JSM Arthritis
ISSN : 2475-9155
Launched : 2016
JSM Head and Neck Cancer-Cases and Reviews
ISSN : 2573-1610
Launched : 2016
JSM General Surgery Cases and Images
ISSN : 2573-1564
Launched : 2016
JSM Anatomy and Physiology
ISSN : 2573-1262
Launched : 2016
JSM Dental Surgery
ISSN : 2573-1548
Launched : 2016
Annals of Emergency Surgery
ISSN : 2573-1017
Launched : 2016
Annals of Mens Health and Wellness
ISSN : 2641-7707
Launched : 2017
Journal of Preventive Medicine and Health Care
ISSN : 2576-0084
Launched : 2018
Journal of Chronic Diseases and Management
ISSN : 2573-1300
Launched : 2016
Annals of Vaccines and Immunization
ISSN : 2378-9379
Launched : 2014
JSM Heart Surgery Cases and Images
ISSN : 2578-3157
Launched : 2016
Annals of Reproductive Medicine and Treatment
ISSN : 2573-1092
Launched : 2016
JSM Brain Science
ISSN : 2573-1289
Launched : 2016
JSM Biomarkers
ISSN : 2578-3815
Launched : 2014
JSM Biology
ISSN : 2475-9392
Launched : 2016
Archives of Stem Cell and Research
ISSN : 2578-3580
Launched : 2014
Annals of Clinical and Medical Microbiology
ISSN : 2578-3629
Launched : 2014
JSM Pediatric Surgery
ISSN : 2578-3149
Launched : 2017
Journal of Memory Disorder and Rehabilitation
ISSN : 2578-319X
Launched : 2016
JSM Tropical Medicine and Research
ISSN : 2578-3165
Launched : 2016
JSM Head and Face Medicine
ISSN : 2578-3793
Launched : 2016
JSM Cardiothoracic Surgery
ISSN : 2573-1297
Launched : 2016
JSM Bone and Joint Diseases
ISSN : 2578-3351
Launched : 2017
JSM Bioavailability and Bioequivalence
ISSN : 2641-7812
Launched : 2017
JSM Atherosclerosis
ISSN : 2573-1270
Launched : 2016
Journal of Genitourinary Disorders
ISSN : 2641-7790
Launched : 2017
Journal of Fractures and Sprains
ISSN : 2578-3831
Launched : 2016
Journal of Autism and Epilepsy
ISSN : 2641-7774
Launched : 2016
Annals of Marine Biology and Research
ISSN : 2573-105X
Launched : 2014
JSM Health Education & Primary Health Care
ISSN : 2578-3777
Launched : 2016
JSM Communication Disorders
ISSN : 2578-3807
Launched : 2016
Annals of Musculoskeletal Disorders
ISSN : 2578-3599
Launched : 2016
Annals of Virology and Research
ISSN : 2573-1122
Launched : 2014
JSM Renal Medicine
ISSN : 2573-1637
Launched : 2016
Journal of Muscle Health
ISSN : 2578-3823
Launched : 2016
JSM Genetics and Genomics
ISSN : 2334-1823
Launched : 2013
JSM Anxiety and Depression
ISSN : 2475-9139
Launched : 2016
Clinical Journal of Heart Diseases
ISSN : 2641-7766
Launched : 2016
Annals of Medicinal Chemistry and Research
ISSN : 2378-9336
Launched : 2014
JSM Pain and Management
ISSN : 2578-3378
Launched : 2016
JSM Women's Health
ISSN : 2578-3696
Launched : 2016
Clinical Research in HIV or AIDS
ISSN : 2374-0094
Launched : 2013
Journal of Endocrinology, Diabetes and Obesity
ISSN : 2333-6692
Launched : 2013
Journal of Substance Abuse and Alcoholism
ISSN : 2373-9363
Launched : 2013
JSM Neurosurgery and Spine
ISSN : 2373-9479
Launched : 2013
Journal of Liver and Clinical Research
ISSN : 2379-0830
Launched : 2014
Journal of Drug Design and Research
ISSN : 2379-089X
Launched : 2014
JSM Clinical Oncology and Research
ISSN : 2373-938X
Launched : 2013
JSM Bioinformatics, Genomics and Proteomics
ISSN : 2576-1102
Launched : 2014
JSM Chemistry
ISSN : 2334-1831
Launched : 2013
Journal of Trauma and Care
ISSN : 2573-1246
Launched : 2014
JSM Surgical Oncology and Research
ISSN : 2578-3688
Launched : 2016
Annals of Food Processing and Preservation
ISSN : 2573-1033
Launched : 2016
Journal of Radiology and Radiation Therapy
ISSN : 2333-7095
Launched : 2013
JSM Physical Medicine and Rehabilitation
ISSN : 2578-3572
Launched : 2016
Annals of Clinical Pathology
ISSN : 2373-9282
Launched : 2013
Annals of Cardiovascular Diseases
ISSN : 2641-7731
Launched : 2016
Journal of Behavior
ISSN : 2576-0076
Launched : 2016
Annals of Clinical and Experimental Metabolism
ISSN : 2572-2492
Launched : 2016
Clinical Research in Infectious Diseases
ISSN : 2379-0636
Launched : 2013
JSM Microbiology
ISSN : 2333-6455
Launched : 2013
Journal of Urology and Research
ISSN : 2379-951X
Launched : 2014
Journal of Family Medicine and Community Health
ISSN : 2379-0547
Launched : 2013
Annals of Pregnancy and Care
ISSN : 2578-336X
Launched : 2017
JSM Cell and Developmental Biology
ISSN : 2379-061X
Launched : 2013
Annals of Aquaculture and Research
ISSN : 2379-0881
Launched : 2014
Clinical Research in Pulmonology
ISSN : 2333-6625
Launched : 2013
Journal of Immunology and Clinical Research
ISSN : 2333-6714
Launched : 2013
Annals of Forensic Research and Analysis
ISSN : 2378-9476
Launched : 2014
JSM Biochemistry and Molecular Biology
ISSN : 2333-7109
Launched : 2013
Annals of Breast Cancer Research
ISSN : 2641-7685
Launched : 2016
Annals of Gerontology and Geriatric Research
ISSN : 2378-9409
Launched : 2014
Journal of Sleep Medicine and Disorders
ISSN : 2379-0822
Launched : 2014
JSM Burns and Trauma
ISSN : 2475-9406
Launched : 2016
Annals of Clinical Cytology and Pathology
ISSN : 2475-9430
Launched : 2014
JSM Allergy and Asthma
ISSN : 2573-1254
Launched : 2016
Journal of Neurological Disorders and Stroke
ISSN : 2334-2307
Launched : 2013
Annals of Sports Medicine and Research
ISSN : 2379-0571
Launched : 2014
JSM Sexual Medicine
ISSN : 2578-3718
Launched : 2016
Annals of Vascular Medicine and Research
ISSN : 2378-9344
Launched : 2014
JSM Biotechnology and Biomedical Engineering
ISSN : 2333-7117
Launched : 2013
Journal of Hematology and Transfusion
ISSN : 2333-6684
Launched : 2013
JSM Environmental Science and Ecology
ISSN : 2333-7141
Launched : 2013
Journal of Cardiology and Clinical Research
ISSN : 2333-6676
Launched : 2013
JSM Nanotechnology and Nanomedicine
ISSN : 2334-1815
Launched : 2013
Journal of Ear, Nose and Throat Disorders
ISSN : 2475-9473
Launched : 2016
JSM Ophthalmology
ISSN : 2333-6447
Launched : 2013
Journal of Pharmacology and Clinical Toxicology
ISSN : 2333-7079
Launched : 2013
Annals of Psychiatry and Mental Health
ISSN : 2374-0124
Launched : 2013
Medical Journal of Obstetrics and Gynecology
ISSN : 2333-6439
Launched : 2013
Annals of Pediatrics and Child Health
ISSN : 2373-9312
Launched : 2013
JSM Clinical Pharmaceutics
ISSN : 2379-9498
Launched : 2014
JSM Foot and Ankle
ISSN : 2475-9112
Launched : 2016
JSM Alzheimer's Disease and Related Dementia
ISSN : 2378-9565
Launched : 2014
Journal of Addiction Medicine and Therapy
ISSN : 2333-665X
Launched : 2013
Journal of Veterinary Medicine and Research
ISSN : 2378-931X
Launched : 2013
Annals of Public Health and Research
ISSN : 2378-9328
Launched : 2014
Annals of Orthopedics and Rheumatology
ISSN : 2373-9290
Launched : 2013
Journal of Clinical Nephrology and Research
ISSN : 2379-0652
Launched : 2014
Annals of Community Medicine and Practice
ISSN : 2475-9465
Launched : 2014
Annals of Biometrics and Biostatistics
ISSN : 2374-0116
Launched : 2013
JSM Clinical Case Reports
ISSN : 2373-9819
Launched : 2013
Journal of Cancer Biology and Research
ISSN : 2373-9436
Launched : 2013
Journal of Surgery and Transplantation Science
ISSN : 2379-0911
Launched : 2013
Journal of Dermatology and Clinical Research
ISSN : 2373-9371
Launched : 2013
JSM Gastroenterology and Hepatology
ISSN : 2373-9487
Launched : 2013
Annals of Nursing and Practice
ISSN : 2379-9501
Launched : 2014
JSM Dentistry
ISSN : 2333-7133
Launched : 2013
Author Information X