Loading

International Journal of Clinical Anesthesiology

Anesthetic Management for Stereotactic Neurosurgical Treatment of Patients with Pantothenate Kinase

Case Report | Open Access | Volume 5 | Issue 6

  • 1. Department of Neuroanesthesiology and Neuro Critical Care, National Institute of Mental Health and Neurosciences, India
+ Show More - Show Less
Corresponding Authors
Sudhir Venkataramaiah, Department of Neuroanesthesiology, National Institute of Mental Health and Neurosciences, 3rd Floor, Faculty block, National Institute of Mental Health and Neurosciences, Bangalore, Karnataka, 560029, India, Tel: 919900793108; Fax: 910826564830
Abstract

Pantothenate Kinase – associated neurodegeneration (PKAN) is a rare autosomal recessive disorder. PKAN presents with severe incapacitating dystonias, rigidity and cognitive impairment usually in early childhood. The initial treatment of patients suffering from PKAN constitutes medical line of management, but for those patients who are refractory to medical management surgical treatment is an option. Perioperative anaesthetic management is a challenge in view of generalized dystonias, restricted airway access due to head frame, need for an awake and co-operative patient, and to provide ideal conditions for intraoperative microelectrode recordings (MERs) under anesthesia. All these factors demand an appropriate anesthetic technique. It further becomes challenging if the surgical procedure is performed on children, since they require general anaesthesia which in turn can interfere with the interpretation of MERs and clinical assessment. We report two cases of PKAN who underwent surgical treatment using dexmedetomidine (alpha agonist) as the principal anesthetic agent.

Citation

Surve RM, Srinivas D, Umamaheswara Rao GS, Bansal S, Gopalkrishna KN, (2017) Anesthetic Management for Stereotactic Neurosurgical Treatment of Patients with Pantothenate Kinase – Associated Neurodegeneration (PKAN) – An Experience of Two Cases with Dexmedetomidine. Int J Clin Anesthesiol 5(6): 1087.

Keywords

•    Pantothenate kinase - associated neurodegeneration 
(PKAN)
•    Dexmedetomidine
•    Deep brain stimulation
•    Anesthesia

INTRODUCTION

Pantothenate Kinase - associated neurodegeneration is a rare autosomal recessive disorder presenting with severe incapacitating dystonias, rigidity and cognitive impairment, which by and large manifest in the early childhood. The diagnosis is usually based on the clinical presentation, magnetic resonance imaging (MRI) and genotyping [1,2]. Medically refractive dystonias can be surgically treated by performing bilateral stereotactic thalamotomy, pallidotomy or deep brain stimulation (DBS) [3-9]. Anaesthetic management necessitates rendering the patient in a balanced state of sedation wherein the patient needs to remain immobile during the critical steps of the surgery and at the same time should be able to quickly return to an awake state when functional assessment needs to be carried out. We report two cases in which the alpha agonist Dexmeditomidine was used to produce rapidly reversible sedated state with immobility while allowing functional analysis during stereotactic surgical procedure for DBS.

CASE REPORTS

Case 1

A 17-yr-old boy weighing 25 kg presented with a history of blepharospasm for 2 years, left-sided torticollis and opisthotonus for 6 months and was bed-bound in the past 3 months. MRI of the brain showed bilateral symmetrical, hyper intense signals with surrounding hypo intensities in the region of globuspallidus on T2 weighted images, consistent with the “eye of the tiger” sign. His dystonia remained refractory to medical management with trihexyphynydyl, tetrabenazine, carbamazepine, nitrazepam, clonazepam, syndopa (a combination of levodopa and carbidopa) and baclofen. Therefore, a pallidotomy was planned.

Surgical procedure: Stereotactic Lekshell head frame was applied under local anaesthetic in filtration at the pin site and MRI was completed under dexmedetomidine sedation with intravenous (IV) bolus of1µg/kg over 15 min followed by 0.5µg/ kg/h achieving Ramsay sedation score (RSS) of 5. Pallidotomy was performed under conscious sedation with the administration of a 25-µg bolus of IV fentanyl followed by dexmedetomidine infusion at 0.7µg/kg/h until the burr holes were placed, and0.3-0.5µg/kg/h thereafter for maintenance of the sedated state. Dexmedetomidine infusion was stopped five minutes before the microelectrode recordings (MERs) and subsequent functional assessment. The patient was conscious, obeying verbal commands and cooperative with an RSS of 2 during MERs and subsequent assessment. The entire procedure lasted for 45 minutes. The patient’s dystonia decreased significantly after the procedure. His vital parameters remained stable throughout the procedure (Figure 1). The patient’s clinical condition improved following the procedure for a brief period. However, at 6 months follow up after surgery most of his symptoms had recurred and he was being considered for redo stereotactic surgery.

https://www.jscimedcentral.com/public/assets/images/uploads/image-1767854839-1.JPG

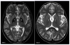
Figure 1 T2-weighted axial brain magnetic resonance images (MRIs) of both the cases shows the classical “eye of the tiger” sign in the globuspallidus.

The anesthetic management of this patient for preoperative MRI has been previously reported by other authors [10].

Case 2

A 5½-yr-old female child weighing 15 kilograms presented in acute dystonic crisis. She had abnormal movements initially in both the upper limbs, which progressed to involve lower limbs, trunk, head and neck over a period of 15 days. She also had difficulty in talking and breathing. On examination, the patient had generalized dystonia’s with intermit tent ophisthotonus and retrocollis. Her muscle tone was tough to evaluate because of pronounced rigidity. Predominant mouth breathing was present. The diagnosis was confirmed by an MRI of the brain that showed the “eye of the tiger” sign (Figure2a). Medical therapy with central anticholinergics, anticonvulsants and benzodiazepines failed therefore DBS was planned.

https://www.jscimedcentral.com/public/assets/images/uploads/image-1767854878-1.JPG

Figure 2a The graphical representation of the monitored vital parameters in Case 1 where the procedure was conducted under sedation with dexmeditomidine without tracheal intubation and general anesthesia.

Anesthetic management in the MRI suite was similar to that in case1. Considering her age and the presence of severe dystonias, general anesthesia (GA) was planned for the surgery. Anesthesia was induced with IV fentanyl 2µg/kg and propofol 2 mg/kg. After confirming mask ventilation, intravenous Succinylcholine 20mg was administered and trachea was intubated with a 5-mmuncuffed endotracheal tube (ETT) and mechanical ventilation was initiated. Non-invasive blood pressure (NIBP), pulse oximetry (SPO2), electrocardiography (ECG), urine output, skin temperature and spectral entropy for depth of anaesthesia were monitored. Anesthetic state was maintained using sevoflurane 1% in O2 and Air (FiO2 0.5), and dexmedetomidine and fentanyl infusion at 0.5µg/kg/h. The patients’ respiration was supported with pressure support mode of ventilation and muscle relaxants were avoided throughout the procedure. At the time of electrophysiological monitoring sevoflurane was stopped and dexmedetomidine infusion was titrated to 0.1-0.2µg/kg/h. The spectral entropy values were maintained at 20-30 which increased to 90-100 at the time of electrophysiological recordings following decrease in the dexmedetomidine infusion rate and cessation of sevoflurane. The variations in the spectral entropy during deep sedation and during electro physiological recordings when the patient was under a lighter plane of anesthesia have been graphically represented in Figure 2b.

https://www.jscimedcentral.com/public/assets/images/uploads/image-1767854951-1.JPG

Figure 2b The trend of vital parameters in Case 2 where the procedure was conducted under general anesthesia with tracheal intubation. Spectral entropy was monitored in this case which was maintained below 40 during general anesthesia with 1.0 MAC concentration of sevoflurane and was maintained above 90 during MERs under dexmedetomidine sedation without inhalational agent (SBP-systolic blood pressure, DBP-diastolic blood pressure, MAP-mean arterial pressure, MAC-minimum alveolar concentration, SpO2-oxygen saturation, EtCO2-end tidal carbon dioxide.

MERs, macro stimulation and motor testing could be completed successfully with low dose dexmedetomidine infusion. At the end of surgery, dexmedetomidine and fentanyl infusions were stopped and the patient was breathing comfortably. Postoperative computed tomography scan (CT) of the brain confirmed the accurate positioning of the electrodes. The scan also revealed a small volume pneumocephalus. Following the CT scan, the child was awake, obeying verbal commands, was moving all limbs, and her trachea was extubated.

The rest of the post-operative stay in the hospital was uneventful. Her clinical dystonic condition improved following DBS. At 3 months follow up Fahn-Marsden scoring for dystonia had improved to 38 from a score of 57 before the surgery (Figure 3).

https://www.jscimedcentral.com/public/assets/images/uploads/image-1767855025-1.JPG

Figure 3 Microelectrode recordings (MERs) at 7 different depths on one side in Case2 during stimulation of globus pallidus internus.

DISCUSSION

PKAN is a rare disease with reported frequency of one in one million [1]. Irreversible ablative stereotactic procedures have been performed surgically to treat medically refractive conditions [3,7]. In a retrospective study conducted by Timmermann et al., data of 23 patients with neurodegeneration with brain iron accumulation (NBIA) who underwent stereotactic neurosurgical procedure across many centres worldwide were collected and analysed. They concluded that secondary dystonia in NBIA improved following GPi-DBS and patients with severe dystonia fared better following stereotactic surgery. The authors also advocate surgery as soon as the dystonia became disabling and before any skeletal deformity manifested [11]. In recent times, DBS is increasingly being performed, even in paediatric patients as it is reversible, safe and titration of stimulation is possible [5,6,9].

Generalized dystonias, restricted airway access caused by the head frame, need for an awake and co-operative patient and ideal conditions for intraoperative MERs, all demand an appropriate anesthetic technique.

Literature on anesthetic management for DBS in PKAN is limited to a few case reports [3-9]; GA was employed in majority of these cases. A few reports have mentioned the use of propofol [3,6,8]. Keegan et al. [7], used sevoflurane (5%) induction for intubation and maintained anesthesia with fentanyl 100 µg, pancuronium, and isoflurane in N2 O and O2 . Isoflurane was titrated to a MAC of 0.4-0.7% at the time of electrical mapping. Propofol infusion was used for transport to and from the MRI room. Postoperatively, the patient had airway obstruction which was attributed to anxiety but other possibilities like the effects of residual anaesthetic, surgical manipulations, or inadequate thalamic ablation, could not be ruled out. Koc et al. [9], used propofol (2mg/kg), remifentanil (0.3ug/kg) and vecuronium (0.1mg/kg) for intubation; similar to our technique. For maintenance of anesthesia, sevoflurane 1-2% in O2 and air, and remifentanil infusion at 0.1ug/kg/min was used, which was titrated to 1% and 0.05-0.1ug/kg/min respectively while monitoring the motor responses to electrode stimulation. However, this technique did not permit the observation of immediate desired effects and possible complications of lesioning. Post operatively they used remifentanil and midazolam for overnight elective ventilation and extubated the patient next day. Dystoni has reappeared after 3 hours of extubation which were controlled with dexmedetomidine infusion at 0.3ug/kg/ hr. Unlike Koc et al., we used a low dose of dexmedetomidine infusion during electrophysiological monitoring which facilitated the motor examination and also helped us to note the onset of any adverse effects.

Anesthetic agents such as propofol and benzodiazepines can lead to respiratory depression and can potentially affect the MERs during DBS, as they are GABA-mimetic. Hutchison et al. [12], observed that the firing rates in the GPi nucleus were substantially reduced and were associated with long pauses under GA with propofol as compared with local anesthesia. Further, GA limits the benefit of clinical testing. Therefore, a sedative technique which does not interfere with the MERs could be a good alternative to GA.

Because of its unique properties and mechanism of action, dexmedetomidine may prove to be a good choice for sedation in patients with dystonias. Dexmedetomidine acts at sub cortical level, thus preserves cognitive functions and provides conscious sedation that mimics natural sleep. It induces prolonged nonREM sleep through alpha-2 adrenergic modulation. As suggested by Rao et al., probable mechanism for reduction of dystonias could be due to reduced muscle tone during non-REM sleep [10]. Further, it has non-GABA mimetic action with minimal effects on MERs [13,14]. In low dose, it does not alter the hemodynamic, or does it suppresses the respiration and is easily titrable. As an adjuvant to GA, it reduces the requirement of the opioids and inhalational anesthetics. However, its use during PKAN has not been explored much.

MER’s were recorded in the second case when a low dose of dexmedetomidine was still on flow, and was stopped 5minutes prior to the recordings in the first. First patient was conscious and co-operative and the second was drowsy but easily arousable. The quality of MERs was good in both the patients. In Case2, we used entropy to titrate the sedation as the patient received GA with tracheal intubation. Entropy value was more than 90 during stimulation and MER. Elias et al. [15], used BIS monitoring to titrate dexmedetomidine sedation in patients with Parkinson’s disease. They found that on titration of sedation to an easily arousal state (BIS value > 80) with dexmedetomidine infusion at 0.1-0.4µg/kg/h, the quality of sub thalamic MERs was equivalent to that in the awake state while they were suppressed with deep sedation (BIS <80).

In conclusion, dexmedetomidine either independently for conscious sedation or as an adjunct to GA is an effective and safe option in the anesthetic management of PKAN patients undergoing DBS surgery to control dystonias and facilitate intraoperative MERs and functional assessment. Dexmeditomidine can be initiated preoperatively for MRI imaging and can be continued in the postoperative course if required, thus avoiding the need of multiple anesthetic agents. Low dose fentanyl infusion can be used during surgery to supplement analgesia as dexmedetomidine alone has a weak analgesic property. Spectral entropy monitoring is a good option to assess sedation during dexmedetomidine infusion under GA.

REFERENCES

1. Swaiman KF. Disorders of the basal ganglia. In: Swaiman KF, editors. Pediatric neurology: principles and practice. St Louis: Mosby. 1994: 1071-1098.

2. Hayflick SJ,Westaway SK, Levinson B, Zhou B,Johnson MA, Ching KH, et al. Genetic, clinical, and radiographic delineation of Hallervorden Spatz syndrome. N Engl J Med. 2003; 348: 33-40.

3. Balas I, Kovacs N, Hollody K. Staged Bilateral Stereotactic Pallidothalamotomy for Life-Threatening Dystonia in a Child withHallervorden–Spatz Disease. Movement Disorder. 2006; 21: 82- 85

4. Umemura A, Jaggi JL, Dolinskas CA, Stern MB, Baltuch GH. Pallidal deep brain stimulation for long standing severe generalized dystonia in Hallervorden-Spatz syndrome. Case report. J Neurosurg. 2004; 100: 706-709.

5. Castelnau P, Cif L, Valente EM, Vayssiere N, Hemm S, Gannau A, et al Pallidal Stimulation Improves Pantothenate Kinase–Associated Neurodegeneration. Ann Neurol. 2005; 57: 738-741.

6. Pinsker MO, Volkmann J, Falk D, Herzog J, Steigerwald F, Deuschl G, et al. Deep brain stimulation of the internal globuspallidus in dystonia: target localisation under general anaesthesia. Acta Neurochir. 2009; 151: 751-758.

7. Keegan MT, Flick RP, Matsumoto JY, Davis DH, Lanier WL. Anesthetic Management for Two-Stage Computer-Assisted, Stereotactic Thalamotomy in a Child with Hallervorden-Spatz Disease. J Neurosurg Anesthesiol. 2000; 12: 107-111.

8. Hurtado P, Salvador L, Carrero E, Rumia J, Fàbregas N. Anesthesia considerations for deep-brain stimulation in a patient with type-2 pantothenate kinase deficiency (Hallervorden-Spatz disease). Rev Esp Anestesiol Reanim. 2009; 56: 180-184.

9. Koc D, Imer P, Bayri Y, Seker A. Anesthetic management for deep brain stimulation in a patient with pantothenate kinase-associated neurodegeneration. J Anaesth Crit Care Pain Med. 2014; 2: 122-125.

10. Madhusudan Rao B, Radhakrishnan M. Dexmedetomidine for a patient with Hallervorden-Spatz syndrome during magnetic resonance imaging: a case report. J Anesth. 2013; 27: 963-964.

11. Timmermann L, Pauls KA, Wieland K, Jech R, Kurlemann G, Sharma N, et al. Dystonia in neurodegeneration with brain iron accumulation: outcome of bilateral pallidal stimulation. Brain. 2010; 133: 701-712.

12. Hutchison WD, Lang AE, Dostrovsky JO, Lozano AM. Pallidal neuronal activity: implications for models of dystonia. Ann Neurol. 2003; 53: 480-488.

13. Rozet I. Anesthesia for functional neurosurgery: the role of dexmedetomidine. Curr Opin Anaesthesiol. 2008; 21: 537-543.

14. Rozet I, Muangman S, Vavilala MS, Lee LA, Souter MJ, Domino KJ, et al. Clinical experience with dexmedetomidine forimplantation of deep brain stimulators in Parkinson’s disease. Anesth Analg. 2006; 103: 1224-1228.

15. Elias WJ, Durieux ME, Huss D, Frysinger RC. Dexmedetomidine and arousal effect of subthalamic neurons. MovDisord. 2008; 23: 1317- 1320.

Surve RM, Srinivas D, Umamaheswara Rao GS, Bansal S, Gopalkrishna KN, (2017) Anesthetic Management for Stereotactic Neurosurgical Treatment of Patients with Pantothenate Kinase – Associated Neurodegeneration (PKAN) – An Experience of Two Cases with Dexmedetomidine. Int J Clin Anesthesiol 5(6): 1087.

Received : 07 Oct 2017
Accepted : 13 Nov 2017
Published : 16 Nov 2017
Journals
Annals of Otolaryngology and Rhinology
ISSN : 2379-948X
Launched : 2014
JSM Schizophrenia
Launched : 2016
Journal of Nausea
Launched : 2020
JSM Internal Medicine
Launched : 2016
JSM Hepatitis
Launched : 2016
JSM Oro Facial Surgeries
ISSN : 2578-3211
Launched : 2016
Journal of Human Nutrition and Food Science
ISSN : 2333-6706
Launched : 2013
JSM Regenerative Medicine and Bioengineering
ISSN : 2379-0490
Launched : 2013
JSM Spine
ISSN : 2578-3181
Launched : 2016
Archives of Palliative Care
ISSN : 2573-1165
Launched : 2016
JSM Nutritional Disorders
ISSN : 2578-3203
Launched : 2017
Annals of Neurodegenerative Disorders
ISSN : 2476-2032
Launched : 2016
Journal of Fever
ISSN : 2641-7782
Launched : 2017
JSM Bone Marrow Research
ISSN : 2578-3351
Launched : 2016
JSM Mathematics and Statistics
ISSN : 2578-3173
Launched : 2014
Journal of Autoimmunity and Research
ISSN : 2573-1173
Launched : 2014
JSM Arthritis
ISSN : 2475-9155
Launched : 2016
JSM Head and Neck Cancer-Cases and Reviews
ISSN : 2573-1610
Launched : 2016
JSM General Surgery Cases and Images
ISSN : 2573-1564
Launched : 2016
JSM Anatomy and Physiology
ISSN : 2573-1262
Launched : 2016
JSM Dental Surgery
ISSN : 2573-1548
Launched : 2016
Annals of Emergency Surgery
ISSN : 2573-1017
Launched : 2016
Annals of Mens Health and Wellness
ISSN : 2641-7707
Launched : 2017
Journal of Preventive Medicine and Health Care
ISSN : 2576-0084
Launched : 2018
Journal of Chronic Diseases and Management
ISSN : 2573-1300
Launched : 2016
Annals of Vaccines and Immunization
ISSN : 2378-9379
Launched : 2014
JSM Heart Surgery Cases and Images
ISSN : 2578-3157
Launched : 2016
Annals of Reproductive Medicine and Treatment
ISSN : 2573-1092
Launched : 2016
JSM Brain Science
ISSN : 2573-1289
Launched : 2016
JSM Biomarkers
ISSN : 2578-3815
Launched : 2014
JSM Biology
ISSN : 2475-9392
Launched : 2016
Archives of Stem Cell and Research
ISSN : 2578-3580
Launched : 2014
Annals of Clinical and Medical Microbiology
ISSN : 2578-3629
Launched : 2014
JSM Pediatric Surgery
ISSN : 2578-3149
Launched : 2017
Journal of Memory Disorder and Rehabilitation
ISSN : 2578-319X
Launched : 2016
JSM Tropical Medicine and Research
ISSN : 2578-3165
Launched : 2016
JSM Head and Face Medicine
ISSN : 2578-3793
Launched : 2016
JSM Cardiothoracic Surgery
ISSN : 2573-1297
Launched : 2016
JSM Bone and Joint Diseases
ISSN : 2578-3351
Launched : 2017
JSM Bioavailability and Bioequivalence
ISSN : 2641-7812
Launched : 2017
JSM Atherosclerosis
ISSN : 2573-1270
Launched : 2016
Journal of Genitourinary Disorders
ISSN : 2641-7790
Launched : 2017
Journal of Fractures and Sprains
ISSN : 2578-3831
Launched : 2016
Journal of Autism and Epilepsy
ISSN : 2641-7774
Launched : 2016
Annals of Marine Biology and Research
ISSN : 2573-105X
Launched : 2014
JSM Health Education & Primary Health Care
ISSN : 2578-3777
Launched : 2016
JSM Communication Disorders
ISSN : 2578-3807
Launched : 2016
Annals of Musculoskeletal Disorders
ISSN : 2578-3599
Launched : 2016
Annals of Virology and Research
ISSN : 2573-1122
Launched : 2014
JSM Renal Medicine
ISSN : 2573-1637
Launched : 2016
Journal of Muscle Health
ISSN : 2578-3823
Launched : 2016
JSM Genetics and Genomics
ISSN : 2334-1823
Launched : 2013
JSM Anxiety and Depression
ISSN : 2475-9139
Launched : 2016
Clinical Journal of Heart Diseases
ISSN : 2641-7766
Launched : 2016
Annals of Medicinal Chemistry and Research
ISSN : 2378-9336
Launched : 2014
JSM Pain and Management
ISSN : 2578-3378
Launched : 2016
JSM Women's Health
ISSN : 2578-3696
Launched : 2016
Clinical Research in HIV or AIDS
ISSN : 2374-0094
Launched : 2013
Journal of Endocrinology, Diabetes and Obesity
ISSN : 2333-6692
Launched : 2013
Journal of Substance Abuse and Alcoholism
ISSN : 2373-9363
Launched : 2013
JSM Neurosurgery and Spine
ISSN : 2373-9479
Launched : 2013
Journal of Liver and Clinical Research
ISSN : 2379-0830
Launched : 2014
Journal of Drug Design and Research
ISSN : 2379-089X
Launched : 2014
JSM Clinical Oncology and Research
ISSN : 2373-938X
Launched : 2013
JSM Bioinformatics, Genomics and Proteomics
ISSN : 2576-1102
Launched : 2014
JSM Chemistry
ISSN : 2334-1831
Launched : 2013
Journal of Trauma and Care
ISSN : 2573-1246
Launched : 2014
JSM Surgical Oncology and Research
ISSN : 2578-3688
Launched : 2016
Annals of Food Processing and Preservation
ISSN : 2573-1033
Launched : 2016
Journal of Radiology and Radiation Therapy
ISSN : 2333-7095
Launched : 2013
JSM Physical Medicine and Rehabilitation
ISSN : 2578-3572
Launched : 2016
Annals of Clinical Pathology
ISSN : 2373-9282
Launched : 2013
Annals of Cardiovascular Diseases
ISSN : 2641-7731
Launched : 2016
Journal of Behavior
ISSN : 2576-0076
Launched : 2016
Annals of Clinical and Experimental Metabolism
ISSN : 2572-2492
Launched : 2016
Clinical Research in Infectious Diseases
ISSN : 2379-0636
Launched : 2013
JSM Microbiology
ISSN : 2333-6455
Launched : 2013
Journal of Urology and Research
ISSN : 2379-951X
Launched : 2014
Journal of Family Medicine and Community Health
ISSN : 2379-0547
Launched : 2013
Annals of Pregnancy and Care
ISSN : 2578-336X
Launched : 2017
JSM Cell and Developmental Biology
ISSN : 2379-061X
Launched : 2013
Annals of Aquaculture and Research
ISSN : 2379-0881
Launched : 2014
Clinical Research in Pulmonology
ISSN : 2333-6625
Launched : 2013
Journal of Immunology and Clinical Research
ISSN : 2333-6714
Launched : 2013
Annals of Forensic Research and Analysis
ISSN : 2378-9476
Launched : 2014
JSM Biochemistry and Molecular Biology
ISSN : 2333-7109
Launched : 2013
Annals of Breast Cancer Research
ISSN : 2641-7685
Launched : 2016
Annals of Gerontology and Geriatric Research
ISSN : 2378-9409
Launched : 2014
Journal of Sleep Medicine and Disorders
ISSN : 2379-0822
Launched : 2014
JSM Burns and Trauma
ISSN : 2475-9406
Launched : 2016
Chemical Engineering and Process Techniques
ISSN : 2333-6633
Launched : 2013
Annals of Clinical Cytology and Pathology
ISSN : 2475-9430
Launched : 2014
JSM Allergy and Asthma
ISSN : 2573-1254
Launched : 2016
Journal of Neurological Disorders and Stroke
ISSN : 2334-2307
Launched : 2013
Annals of Sports Medicine and Research
ISSN : 2379-0571
Launched : 2014
JSM Sexual Medicine
ISSN : 2578-3718
Launched : 2016
Annals of Vascular Medicine and Research
ISSN : 2378-9344
Launched : 2014
JSM Biotechnology and Biomedical Engineering
ISSN : 2333-7117
Launched : 2013
Journal of Hematology and Transfusion
ISSN : 2333-6684
Launched : 2013
JSM Environmental Science and Ecology
ISSN : 2333-7141
Launched : 2013
Journal of Cardiology and Clinical Research
ISSN : 2333-6676
Launched : 2013
JSM Nanotechnology and Nanomedicine
ISSN : 2334-1815
Launched : 2013
Journal of Ear, Nose and Throat Disorders
ISSN : 2475-9473
Launched : 2016
JSM Ophthalmology
ISSN : 2333-6447
Launched : 2013
Journal of Pharmacology and Clinical Toxicology
ISSN : 2333-7079
Launched : 2013
Annals of Psychiatry and Mental Health
ISSN : 2374-0124
Launched : 2013
Medical Journal of Obstetrics and Gynecology
ISSN : 2333-6439
Launched : 2013
Annals of Pediatrics and Child Health
ISSN : 2373-9312
Launched : 2013
JSM Clinical Pharmaceutics
ISSN : 2379-9498
Launched : 2014
JSM Foot and Ankle
ISSN : 2475-9112
Launched : 2016
JSM Alzheimer's Disease and Related Dementia
ISSN : 2378-9565
Launched : 2014
Journal of Addiction Medicine and Therapy
ISSN : 2333-665X
Launched : 2013
Journal of Veterinary Medicine and Research
ISSN : 2378-931X
Launched : 2013
Annals of Public Health and Research
ISSN : 2378-9328
Launched : 2014
Annals of Orthopedics and Rheumatology
ISSN : 2373-9290
Launched : 2013
Journal of Clinical Nephrology and Research
ISSN : 2379-0652
Launched : 2014
Annals of Community Medicine and Practice
ISSN : 2475-9465
Launched : 2014
Annals of Biometrics and Biostatistics
ISSN : 2374-0116
Launched : 2013
JSM Clinical Case Reports
ISSN : 2373-9819
Launched : 2013
Journal of Cancer Biology and Research
ISSN : 2373-9436
Launched : 2013
Journal of Surgery and Transplantation Science
ISSN : 2379-0911
Launched : 2013
Journal of Dermatology and Clinical Research
ISSN : 2373-9371
Launched : 2013
JSM Gastroenterology and Hepatology
ISSN : 2373-9487
Launched : 2013
Annals of Nursing and Practice
ISSN : 2379-9501
Launched : 2014
JSM Dentistry
ISSN : 2333-7133
Launched : 2013
Author Information X