Loading

JSM Bone Marrow Research

The Presentation and Pattern of Skeletal Metastases in a Sub-Saharan African Country a Hospital Based Cross Sectional,Study

Research Article | Open Access | Volume 3 | Issue 1
Article DOI :

  • 1. KCMC University, Tanzania
  • 2. Department of Orthopedics and Trauma, Kilimanjaro Christian Medical Centre, Tanzania
  • 3. Cancer Care Centre, Kilimanjaro Christian Medical Centre, Tanzania
  • 4. Orthopaedic Surgery, Royal College of Surgeons of Edinburgh, United Kingdom
+ Show More - Show Less
Corresponding Authors
Mathias Ncheye, Department of Orthopedics and Trauma, KCMC University, Kilimanjaro, Tanzania
Abstract

Introduction: The pattern of bone metastases and requirements for spinal surgery are well recognised in western countries. However, information on the origins, presentation and outlook are not well established in Sub-Saharan Africa. Materials and Methods: A cross-sectional study was conducted of cancer patients with metastatic bone disease presenting between November 2022 and April 2023. Data were collected from patients’ files, histopathology and radiology reports by structured questionnaire. Visual Analogue (VAS), Spinal instability neoplastic score (SINS) and Mirel’s scores were used to assess pain, instability and fracture risk. Neurological impairment was measured on The American Spinal Injury Association (ASIA) scale. Results: 72 consecutive patients were enrolled with a mean age of 69±11 years (75% male, 25% female). 65% presented with prostatic secondaries and 18% breast. 92% showed multiple deposits of which 93% were spinal, 53% pelvis and 21% femoral. 60% of deposits were osteoblastic on radiology and 24% osteolytic with a fracture rate of 31% at presentation. 68% of the long bone metastases required surgical stabilization (6 pathological fractures, 7 with Mirel’s score > 12) and 19% of the spinal metastases required surgical stabilization (9 SINS >13, 4 ASIA B). Conclusion: A different pattern of malignant bone disease was observed in patients presenting in Tanzania with an increased incidence of spinal deposits to that observed in more developed countries. Our data provide a baseline for analysis of factors influencing outcome with the aim of reducing skeletal related events especially relevant to spinal stability and the need for surgical intervention.

Keywords

• Metastatic Bone Disease

• Pathological Fracture

• Skeletal Related Events

• Surgery

Citation

Ncheye M, Maya E, Serventi F, Mandari F, Temu R, et al. (2025) The Presentation and Pattern of Skeletal Metastases in a Sub-Saharan African Country. a Hospital Based Cross Sectional Study. JSM Bone Marrow Res 3(1): 1009.

ABBREVIATIONS

MBD: Metastatic Bone disease; SRE’s: Skeletal Related Events; ASIA: American Spinal Injury Association; SINS: Spinal Instability Neoplastic Score; ECOG: Eastern Cooperative Oncology Group; VAS: Visual Analogue Scale; RANK-L: Receptor Activator for Nuclear Kappa Ligand; BRI’s: Bone Resorption Inhibitors; SCC: Spinal Cord Compression; RT: Radiotherapy

INTRODUCTION

In the US, it is estimated that about 5% of all cancer patients have bone metastasis, the common primary cancers been breast, prostate and lung cancer accounting for almost 70% of all bone metastasis [1,2]. In our setting, most cancer patients present late and bone metastasis is present in 24-58% of the patients [3-6], Bone metastasis is one of the most common musculoskeletal tumors just second to osteosarcoma. In one study that looked at histological pattern and anatomical location of spinal tumors at our center, it was shown that metastatic spine tumors were the commonest tumors followed by multiple myeloma [7]. Most patients present to the orthopedic surgeon with pain, pathological fractures or symptoms due to spinal (SRE’s). These cause significant morbidity and affect the quality of life of patients with cancer. The onset of SRE’s has been shown to vary depending on the primary tumor, metastatic site and the radiological pattern [8,9]. Surgical management of bone metastasis has been shown to help improve quality of life, in patients with metastatic bone disease. It can be done to fix a pathological fracture, to decompress spinal cord compression due to spine metastasis or even to prevent an impending pathological fracture in long bones. Surgery is also done for patients with intractable pain that does not respond to opioids or radiotherapy [10-12]. Due to the advancement of cancer treatment now patients with cancer live longer and so the incidence and prevalence of bone metastasis is also Increasing. The data on the distribution pattern of bone metastasis and the proportion of patients with metastatic bone disease who need surgery in our setting is limited. We aim to describe the origin, distribution pattern of bone metastases and proportion of patients with bone metastasis that need surgery.

MATERIALS AND METHODS

Study Area and setting

We conducted a Hospital based cross section study among cancer patients with metastatic bone disease attending at Kilimanjaro Christian Medical center (KCMC), a tertiary and consultant hospital in Northern Tanzania with bed capacity of 721. It serves approximately 11 million people from this part of the country as per 2022 census.

Study participants were recruited at the clinic of cancer care center after identifying them in the cancer registry. Only those with confirmed bone metastasis and who were receiving care at the hospital from 1st November, 2022 to 30th April, 2023 were included. Data was collected during this 6 Months period but data processing and analysis was done from May 2023 to July 2023. The author had access to identification information of the participants during and after data collection.

Eligibility criteria

Inclusion criteria: All cancer patients with metastatic bone disease treated at KCMC from November 2022 to April 2023.

Exclusion criteria: Patients who have already received 

surgical treatment of bone metastasis, no histological results of primary tumor and those with missing information were excluded.

Variables

Outcomes were skeletal related events (SRE’s) and Need for surgery. Predictors were Age, Sex, Type of primary cancer, Location of metastatic lesion, number of lesions and radiological type of metastatic lesion.

Data sources and measurements

Demographic data was obtained by a structured questionnaire after obtaining a signed informed consent (S1 File) and secondary data was collected from patient’s files, histopathology and radiology reports by a structured extraction sheet. Skeletal-survery CT scan and MRI images were reviewed by the principle investigator to document the pattern and presence of spinal cord compression respectively.

VAS, SINS and Mirel’s scores was used to document pain severity, spinal instability and long bone fracture risk respectively. These scores have been shown to be valid and reliable than clinical judgment [13–15]. The ASIA impairment scale (S2 File) was used for documenting neurological deficits in patients with spine metastasis.

Study size

433 cancer patients were registered during the study period. A total of 130 patients had metastatic cancer at different sites, these were filtered and we were able to identify a total of 79 patients with metastatic bone disease. 7 were excluded due to missing information. 72 study participants were left for the final analysis.

Data Processing and Analysis plan

Data was entered and analysed by SPSS version

25.0 statistical package. Categorical variables were summarized by frequencies and percentages in tables, bars and charts. Numerical variables were summarized by measures of central tendency i..e mean (S.D) and median (Range) Chi square/fishers exact test was performed to compare differences in proportions of SRE’s between different groups and P value less than 0.05 was considered statistically significant.

Ethics statement

Approval to conduct the research was obtained from the Kilimanjaro Christian Medical University College Research, Ethics and Review Committee (CRERC) with clearance number PG94/2022. Written informed consent  was obtained from participants before participating in the study.

RESULTS

Social demographic information and other patients’ Characteristics N=72

Most of patients with metastatic bone disease were elderly with a mean age was 69±11 years and the majority (47.1%) were aged between 60 to 74 years. 75% of the study participants were male and 76.4% of the study participants had some form of health insurance.

Majority of the study participants were on combination treatment modality. 63.9% were on bisphosphonates, 59.7% on chemotherapy and 58.3% on hormonal therapy. 43.1% of the participants had received surgical treatment for resection of the primary tumor. Radiotherapy was the least among the treatments with only 11.1% of the participants who had received it during the course of their treatment. This information is shown in Tables 1 and 2.

The commonest primary cancers causing metastatic bone disease: Prostate cancer was found to be the leading cause of metastatic bone disease accounting for 65.3% followed by breast cancer 18.1%, Lung cancer 4.2%, Colorectal Cancer 4.2%. This information is summarized in Table 3.

Table 1: Social demographic characteristics N=72

Variable

N (%)

Age (Years)

 

<=59

13(18.1)

60-74

34(47.1)

75+ Mean (S.D) = 69 (11) Years

25(34.7)

Sex

 

Male

54(75.0)

Female

18(25.0)

Insurance status

 

Insured

55(76.4)

Not Insured

17(23.6)

Total

72(100.0)

Table 2: Type of treatment that the study participants were receiving.

Treatment

ReceivedN (%)

Not received N (%)

Surgical

31(43.1)

41(56.9)

Hormonal

42(58.3)

30(41.7)

Chemotherapy

43(59.7)

29(40.3)

Radiotherapy

8(11.1)

64(88.9)

Bisphosphonates

46(63.9)

26(36.1)

Table 3: The Common primary cancers causing metastatic bone disease.

Primary

N (%)

Breast Cancer

13(18.1)

Bronchus and lung cancer

3(4.2)

Colorectal cancer

3(4.2)

Gastric adenocarcinoma

1(1.4)

Liver cancer

1(1.4)

Ovary cancer

1(1.4)

Prostate adenocarcinoma

47(65.3)

Thyroid adenocarcinoma

2(2.8)

Unknown

1(1.4)

Total

72(100.0)

spine was involved in 67(93.1%) participants followed by the pelvis 38 (52.8%) and long bones 19 (26.4%). Other bones involved were the rib cage, scapula, clavicles, sternum, mandibles and skull which together accounted for 38.9%. This information is shown in Table 4.

Table 4: Location of bone metastasis

Location of bone metastasis

N (%)

Spine

67(93.1)

Pelvis

38(52.8)

Femur

15(20.8)

Humerus

3(4.2)

Other***

29(40.3)

***Other include ribcage, Thoracic, Scapula, Skull, Tibia, Clavicle and Mandible sterunum

Table 5: Distribution of study participants based on radiological pattern of the metastatis bone lesions.

Radiological pattern

Frequency

Percent

Osteoblastic

43

59.7

Osteolytic

17

23.6

Mixed pattern

12

16.7

Total

72

100.0

Radiological pattern: We found that majority 59.7% of the study participants had osteoblastic/sclerotic while 23.6% had osteolytic and 12 (16.7%) had mixed sclerotic and lytic lesions. This information is summarized in Table 5.

Independent variable

pathological fractures

Total

 

 

Yes

No

 

P-value

Age

 

 

 

 

<=59

8(36.4)

5(10.0)

13(18.1)

 

60-74

9(40.9)

25(50.0)

34(47.2)

0.032

75+

5(22.7)

20(40.0)

25(34.7)

 

Gender

 

 

 

 

Male

12(54.5)

42(84.0)

54(75.0)

 

Female

10(45.5)

8(16.0)

18(25.0)

0.016

Primary cancer

 

 

 

 

Prostate Cancer

9(40.9)

38(76.0)

47(65.3)

 

Breast Cancer

7(31.8)

6(12.0)

13(18.1)

0.015

Others

6(27.3)

6(12.0)

12(16.7)

 

Radiological pattern

 

 

 

 

Osteoblastic

6(27.3)

37(74.0)

43(59.7)

 

Osteolytic

11(50.0)

6(12.0)

17(23.6)

<0.0001

Mixed pattern

5(22.7)

7(14.0)

12(16.7)

 

Number of lesion

 

 

 

 

Single/Solitary

0(0.0)

6(12.0)

6(8.3)

 

Multiple

22(100.0)

44(88.0)

66(91.7)

0.168

Site

 

 

 

 

Spine

16(72.7)

51(79.7)

67(77.9)

 

Long bones

06(27.3)

13(10.3)

19(22.1)

0.163

Table 6: Pathological fractures according to age, sex, type of primary cancer and pattern of bone metastases (fisher’s exact test).

 

Frequency

Percentage

Interpretation

 

 

Stable

11

16.4

Potentially unstable

47

70.2

Unstable

9

13.4

Total

67

100.0

Table 7: Spine instability based on SINS score.

Indication

n(%)

Pathological fracture of long bones

06(8.3)

Impending fracture of long bones

07(9.7)

Unstable spine

09(12.5)

Spinal cord compression

04(5.6)

Total

26(36.1%)

Table 8: Proportion of study participants with absolute indications for surgical intervention of MBD

Skeletal related Events and Need for surgery

41.7% of the study participants had functional pain requiring opioid analgesics (Figure 1) and 31% had pathological fractures. 50% of the pathological fractures occurred in patients with osteolytic lesions (p – value

< 0.001) while only 27.3% occurred in patients with osteoblastic lesions. The rest of the fractures occurred in patients with mixed type of lesions. Table 6 shows the distribution of the pathological fractures by Age, Gender, type of primary cancer, radiological pattern, number of lesions and site of metastasis.

Among 67 patients with metastases to the spine, 23.9% had pathological fractures, 6% patients had spinal cord compression, 13.4% had spine instability while 70.1% had potential instability (Table 7). We found 17 patients with long bone metastases and a total of 19 long bones were involved. Among the 19 long bones, 06 (31.6%) had pathological fractures and 07 (36.8%) had impending fracture requiring prophylactic fixation. A total of 26 (36.1%) study participants had absolute indications for surgical intervention due to metastatic bone disease. These Indications with the corresponding number of study participants is shown in Table 8.

DISCUSSION

Discussion of key findings

Characteristics of the study participants: In our study we found that most of patients with metastatic bone disease were elderly with a mean age of 69 +/- 11 years. These findings are similar to a study done in Nigeria among patients with metastatic prostate cancer where mean age was 67+/-1.8 years. (16) They are consistent with other studies which also showed that increasing age is associated with more skeletal metastasis [4,6].

Men accounted for 75% of the study participants which is reflected by the large proportion of patients in this study having prostate cancer as the primary cancer leading to bone metastases.

76.4% of the study participants had some form of health insurance which is a good observation considering the cost of treatment in patients with metastatic bone disease.

More than half of the study participants were on either chemotherapy and/or hormonal therapy with bisphosphonates. Few had received radiotherapy at a peripheral center because it is currently not offered at KCMC Hospital and most of the patients who need RT are usually reffered to a center where it is offered. Efforts are being made to start providing Radiotherapy services at KCMC and RT bankers are under construction as we write this report.

The management of patients with bone metastases needs a multidisciplinary team approach. The main goal is for symptom palliation and prevention of skeletal related events thus improve survival and the quality of life among these patients. Conventional cytotoxic chemotherapy has little effect on bone as compared to bone targeting therapies which have direct effect on bone remodeling. The use of bone targeting therapies has paved way to achieving this goal and are divided into local regional and systemic therapies [8-10].

Local regional therapies include orthopedic surgery and radiotherapy which are aimed at pain relief and management of skeletal related events such as pathological 

fractures and spinal cord compression. Systemic bone targeting therapies include the use of Bone resorption inhibitors (BRI’s). Bisphosphonates is one example of the commonly used inhibitors of bone resorption.

Bisphosphonates have also been shown to stimulate innate anti-cancer immune response by up regulating gdT- cells [8].

Denosumab is another bone resorption inhibitor which is a monoclonal antibody against RANK-L. It reduses osteoclast activity by impairing the activation of osteoclasts. It also causes bone remodeling and increase survival of patients with bone metastases. Donosumab has been shown to be superior to zolendronic acid in reducing the likelihood of pathological fractures and other SRE’s but there was no significant difference in overall survival improvement between denosumab and zolendronic acid. [9-18].

Denosumab was also shown to have less adverse events than bisphosphonates. The side effects of bisphosphonates include osteonecrosis of the Jaw, gastro-intestinal upset and gastritis, hypo-calcemia, fevers and skin rash.

Other systemic bone targeting therapies under study include the use of Tyrosine Kinase Inhibitors and Immune Checkpoint Inhibitors but these are out of scope of this study [8].

Common primary Cancers causing Metastatic Bone Disease: Prostate cancer was found to be the leading cause of metastatic bone disease followed by breast cancer, Lung cancer, Colorectal Cancer. In our setting more than half of patients with prostate and Breast cancer have been shown to present with bone metastasis metastasis [4-6]. These cancers have also been shown to be the commonest primary cancers in studies done in other parts of the world [1-20].

https://www.jscimedcentral.com/public/assets/images/uploads/image-1768992344-1.JPG

Figure 2 Multiple lesions of the spine; Sagittal CT images of the thoraco- lumbar spine of a lady who had breast cancer showing multiple metastatic lesions on the spine with pathological fracture of vertebral body

This is because the establishment of bone metastasis involve an intricate relationship between the primary tumor and the bone micro-environment. It involves phases from the detachment of tumor cells from the primaries to the colonization of the metastatic site. 

The vertebral venous plexus is a system of valve less veins that drains the chest cavity and pelvis. It was postulated by Batson in 1940 that this system of veins is responsible for the spreading of cancer cells to the bones. However, this does not explain the preferential homing of cancer cells in bones [8-21].

Paget hypothesized what is called the “Seed and soil model” where the tumor cells are the seeds that will flourish and grow in a micro-environment of the organ that will provide a suitable soil. The bone provides a favorable microenvironment for tumor growth due to the presence of calcium, hypoxia, acidosis and various growth factors that are released from the mineralized bone matrix [8-21].

The homage of tumor cells into the bones is influenced by various integrins and chemokines such as CCXR4 that help the tumor cells attach to the bone marrow endothelium.Metastatic bone tumors thrive in the bone micro- environment by a feed forward vicious cycle. This cycle involves an interplay between the tumor cells, osteoclasts, osteoblasts, cytokines and growth factors.

Pattern of Bone metastases: In most of the study participants, more than one site was involved and almost all had multiple metastatic lesions (Figure 2). This pattern was seen to be common in studies done in other parts of the world [16-22].The spine was involved in 93.1% participants followed by the pelvis 52.8% and long bones 26.4%. Other bones involved were the rib cage, scapula, clavicles, sternum, mandibles and skull which together accounted for 38.9%. These findings are similar to other studies where the spine was shown to be the preferred metastatic site [16-23]. These findings are explained by the hematogenous spread of the cancer cells through the Batson Venous plexus, thus increasing their propensity to lodge in the vertebral bodies.

https://www.jscimedcentral.com/public/assets/images/uploads/image-1768992429-1.JPG

Figure 3 Osteoblastic lesions; X ray image showing diffuse osteoblastic lesions involving the pelvis and proximal femur in a patient with prostate carcinoma attending at our center

Radiologically, 59.7% of the metastatic bone lesions were osteoblastic/sclerotic (Figure 3) while 23.6% were osteolytic and 16.7% had mixed sclerotic and lytic lesions. These findings are contrary to most of the studies we reviewed where osteolytic lesions were more common than osteoblastic lesions [20-25]. This might be explained by the fact that in their studies the commonest primary 

cancers are breast and lung malignancy while in our study the commonest primary is prostate carcinoma. Breast and lung cancer have been shown to form more lytic bone lesions than osteoblastic while prostate carcinoma forms more osteoblastic bone lesions.

Skeletal related events and need for surgery: About a third of the study participants had pathological fractures either on spine vertebrae or the long bones. Among the patients with metastases to the spine majority (70.1%) had potential instability, 23.9% had pathological fractures, 6% had spinal cord compression and 13.4% had spine instability. This rates are lower compared to studies done in other parts of the world where more than half of their study participants had pathological fractures and neurological deficits [9-11]. This might be explained by the larger proportion of our study participants having prostate carcinoma while in their studies the leading primary cancers were Breast and lung cancer.

Irrespective of the site involved, 41.7% of the study participants had severe pain requiring opioid analgesics. This finding differed with studies we reviewed where the value was higher in one study and very low in another [11- 24].

The onset of SRE’s has been shown to vary depending on the primary tumor, metastatic site and the radiological pattern. Tumors that form osteolytic metastatic lesions tend to cause more SREs such as pain and pathological fractures than those that form sclerotic lesions. In our study, half of the pathological fractures occurred in patients with osteolytic lesions and another 22.7% in 

mixed lytic and blastic lesions. This emphasizes on the risk of pathological fractures in patients with osteolytic lesions (Figure 4).

Hoban et al did a Retrospective cohort study to assess the fracture risk in patients with bone metastasis of the upper limb and found the overall fracture rate to be 76% after a mean follow up of 3.6 years. They also found out that a Mirels’ score of 7 or above had a high predictive value for fracture risk with higher sensitivity and specificity than that recommended in lower limb lesions [26].

36.1% of the study participants had absolute indications for surgery. More than half of the patients with long bone metastases had either a pathological fracture or had an impending fracture requiring prophylactic fixation. This does not mean all these patients are fit for surgery and will end up being operated. Other important surgical considerations include assessment of the general medical condition of the patient such as the performance status, presence of other metastatic sites, expected survival and magnitude of the surgery to be performed. All these affect the decision on whether to operate or not to operate. The choice of surgery whether to do internal fixation or endo- prosthetic reconstruction should be chosen on the basis of the location of the lesion, the extent of bone destruction and the stability of the construct to outlast the life expectancy of the patient [11-27].

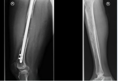
https://www.jscimedcentral.com/public/assets/images/uploads/image-1768992541-1.JPG

Figure 4 Osteolytic lesions; X ray images in a lady who had impending fracture of the femur (Left) which was fixed by intramedullary nailing and then later presented with metastatic osteolytic lesion involving the shaft of the Tibia (Right).

In a Multi-Center Prospective study done in France that involved 245 patients to compare those treated by surgery for fracture fixation versus those who had surgery for prophylactic fixation, they found out that more than half of the patients were operated for fracture fixation. In this study they also found out that advanced age, VAS 

pain score > 6, WHO grade performance and upper limb location were independent predictors for surgical fixation [25].

In the systematic review done by Errani to assess the treatment of long bone metastasis, patients with metastasis to the LL were operated more than those with metastasis to the upper limbs. In their study, patients were operated if expected survival was more than 6 weeks [19].

Considering these factors, the need for surgery in patients with Metastatic bone disease further narrows down to few patients with longer anticipated survival post-surgery and those who are in good general medical condition.

This means that a huge proportion of the study participants will end up on other forms of treatment for MBD like Radiotherapy and bisphosphonates for pain relief, prevention of SRE’s and progression of the disease.

Study Limitations and Strengths

Study limitations: Currently we do not have PET – CT scan and Radiotherapy services at our center. It is very likely that some lesions were missed and this was an important imaging modality for appropriate description of the pattern of the skeletal metastases. Also the lack RT services leads poor continuity of care as there is a significant number of patients who are reffered to other centers for Radiotherapy. This posed a challenge in acquiring information because it is not easy to access investigation results and data from a different center.

This is a single center observational study, so results can only be generalized with caution.

Strength: This study is first of its kind in our setting,we hope it will pave way for further studies on MBD

CONCLUSION AND RECOMMENDATIONS

As stated prostate cancer is the leading cause of metastatic bone disease followed by breast cancer. So the role of targeted hormonal therapies cannot be over- emphasized. Also routine screening for breast cancer in females will help early detection and treatment to prevent advanced disease.

Most MBD present with multiple lesions involving multiple sites but the spine was the mostly affected site with a third of the patients presenting with pathological fractures. Despite this, a lesser number of the patients will be fit for surgery and so Radiotherapy and other non-surgical treatments will be preferred. A multicenter prospective study which will also look on survival and life expectancy will give more powerful findings that may guide in creating local protocols and guidelines for optimal treatment of these patients in our setting.

REFERENCES
  1. Ryan C, Stoltzfus KC, Horn S, Chen H, Louie AV, Lehrer EJ, et al. Epidemiology of bone metastases. Bone. 2022; 158: 115783.
  2. Jiang W, Rixiati Y, Zhao B, Li Y, Tang C, Liu J. Incidence, prevalence, and outcomes of systemic malignancy with bone metastases. J Orthop Surg (Hong Kong). 2020; 28: 2309499020915989.
  3. Mabula JB, Mchembe MD, Chalya PL, Giiti G, Chandika AB, Rambau P, et al. Stage at diagnosis, clinicopathological and treatment patterns of breast cancer at Bugando Medical Centre in north-western Tanzania. Tanzan J Health Res. 2012; 14: 269-279.
  4. Ekpe E, Shaikh AJ, Shah J, Jacobson JS, Sayed S. Metastatic Breast Cancer in Kenya: Presentation, Pathologic Characteristics, and Patterns-Findings from a Tertiary Cancer Center. J Glob Oncol. 2019; 5: 1-11.
  5. Gnanamuttupulle M, Henke O, Ntundu SH, Serventi F, Mwakipunda LE, Amsi P, et al. Clinicopathological characteristics of breast cancer patients from Northern Tanzania: common aspects of late stage presentation and triple negative breast cancer. Ecancermedical science. 2021; 15: 1282.
  6. Kibona S, Mbwambo O, Ngowi N, Bright F, Mbwambo J, Mteta A, et al. Correlation Between Bone Metastases and PSA Among Prostate Cancer Patients at Kilimanjaro Christian Medical Centre from June 2018 to May 2019. Int J Clin Urol. 2021; 5: 47.
  7. Mrimba PM, Mremi A, Ncheye MS, Maya EG, Serventi FJ, Pallangyo AJ, et al. Histological Pattern , Anatomical Location and Spinal Instability of Patients with Spinal Tumors Attended at Kilimanjaro Christian Medical Centre from Jan 2018 to Aug 2021. 2022; 1-12.
  8. D’Oronzo S, Coleman R, Brown J, Silvestris F. Metastatic bone disease: Pathogenesis and therapeutic options: Up-date on bone metastasis management. J Bone Oncol. 2018; 15: 004-4.
  9. Turpin A, Duterque-Coquillaud M, Vieillard MH. Bone Metastasis: Current State of Play. Transl Oncol. 2020; 13: 308-320.
  10. Bickels J, Dadia S, Lidar Z. Surgical management of metastatic bonedisease. J Bone Joint Surg Am. 2009; 91: 1503-1516.
  11. Bouthors C, Prost S, Court C, Blondel B, Charles YP, Fuentes S, et al. Outcomes of surgical treatments of spinal metastases: a prospective study. Support Care Cancer. 2020; 28: 2127-2135.
  12. Sørensen MS, Horstmann PF, Hindsø K, Petersen MM. Use of endoprostheses for proximal femur metastases results in a rapid rehabilitation and low risk of implant failure. A prospective population-based study. J Bone Oncol. 2019; 19: 100264.
  13. Sahgal A, Schouten R, Versteeg A, Boriani S, Pal Varga P, Rhines L, et al. A Multi-institutional Study Evaluating the Reliability of the Spinal Instability Neoplastic Score (SINS) Among Radiation Oncologists for Spinal Metastases. Int J Radiat Oncol. 2014; 90: S350.
  14. Jawad MU, Scully SP. In brief: classifications in brief: Mirels’ classification: metastatic disease in long bones and impending pathologic fracture. Clin Orthop Relat Res. 2010; 468: 2825-2827.
  15. Anract P, Biau D, Boudou-Rouquette P. Metastatic fractures of long limb bones. Orthop Traumatol Surg Res. 2017; 103: S41-S51.
  16. Folasire A, Ntekim A, Omikunle A, Ali-Gombe M. Association of gleason risk groups with metastatic sites in prostate cancer. African J Biomed Res. 2015; 18:189-196.
  17. Zheng GZ, Chang B, Lin FX, Xie D, Hu QX, Yu GY, et al. Meta-analysis comparing denosumab and zoledronic acid for treatment of bone metastases in patients with advanced solid tumours. Eur J Cancer Care (Engl). 2017; 26.
  18. Al Farii H, Frazer A, Farahdel L, AlFayyadh F, Turcotte R. Bisphosphonates Versus Denosumab for Prevention of Pathological Fracture in Advanced Cancers With Bone Metastasis: A Meta-analysis of Randomized Controlled Trials. J Am Acad Orthop Surg Glob Res Rev. 2020; 4: e20.00045.
  19. Errani C, Mavrogenis AF, Cevolani L, Spinelli S, Piccioli A, Maccauro G, et al. Treatment for long bone metastases based on a systematic literature review. Eur J Orthop Surg Traumatol. 2017; 27: 205-211.
  20. Flaifel A, Tabaja F, Bannoura S, Loya A, Mushtaq S, Khalifeh I. Patterns of pathologically confirmed metastasis to bone in Near East population. Cancer Epidemiol. 2018; 54: 7-11.
  21. Chiechi A, Guise T. Pathobiology of Osteolytic and Osteoblastic Bone Metastases. In: Randall RL, editor. 2016; 15-35.
  22. Zhu M, Liu X, Qu Y, Hu S, Zhang Y, Li W, et al. Bone metastasis pattern of cancer patients with bone metastasis but no visceral metastasis. J Bone Oncol. 2019; 15: 100219.
  23. Adewuyi SA, Chom ND, Humera M, Samaila MOA. Pattern of skeletal metastases from breast cancer in an Asian population. Niger J Surg Res. 2006; 8: 128-131.
  24. Ramsey DC, Lam PW, Hayden J, Doung YC, Gundle KR. Mirels Scores in Patients Undergoing Prophylactic Stabilization for Femoral Metastatic Bone Disease in the Veterans Administration Healthcare System. J Am Acad Orthop Surg Glob Res Rev. 2020; 4: e20.00141.
  25. Crenn V, Carlier C, Gouin F, Sailhan F, Bonnevialle P; members of the So.F.C.O.T.. High rate of fracture in long-bone metastasis: Proposal for an improved Mirels predictive score. Orthop Traumatol Surg Res. 2020; 106: 1005-1011.
  26. Hoban KA, Downie S, Adamson DJA, MacLean JG, Cool P, Jariwala AC. Mirels’ score for upper limb metastatic lesions: do we need a different cutoff for recommending prophylactic fixation? JSES Int. 2022; 6: 675-681.
  27. Choi D, Crockard A, Bunger C, Harms J, Kawahara N, Mazel C , et al. Review of metastatic spine tumour classification and indications for surgery: the consensus statement of the Global Spine Tumour Study Group. Eur Spine J. 2010; 19: 215-222.

Ncheye M, Maya E, Serventi F, Mandari F, Temu R, et al. (2025) The Presentation and Pattern of Skeletal Metastases in a Sub-Saharan African Country. a Hospital Based Cross Sectional Study. JSM Bone Marrow Res 3(1): 1009.

Received : 24 Sep 2025
Accepted : 24 Dec 2025
Published : 26 Dec 2025
Journals
Annals of Otolaryngology and Rhinology
ISSN : 2379-948X
Launched : 2014
JSM Schizophrenia
Launched : 2016
Journal of Nausea
Launched : 2020
JSM Internal Medicine
Launched : 2016
JSM Hepatitis
Launched : 2016
JSM Oro Facial Surgeries
ISSN : 2578-3211
Launched : 2016
Journal of Human Nutrition and Food Science
ISSN : 2333-6706
Launched : 2013
JSM Regenerative Medicine and Bioengineering
ISSN : 2379-0490
Launched : 2013
JSM Spine
ISSN : 2578-3181
Launched : 2016
Archives of Palliative Care
ISSN : 2573-1165
Launched : 2016
JSM Nutritional Disorders
ISSN : 2578-3203
Launched : 2017
Annals of Neurodegenerative Disorders
ISSN : 2476-2032
Launched : 2016
Journal of Fever
ISSN : 2641-7782
Launched : 2017
JSM Mathematics and Statistics
ISSN : 2578-3173
Launched : 2014
Journal of Autoimmunity and Research
ISSN : 2573-1173
Launched : 2014
JSM Arthritis
ISSN : 2475-9155
Launched : 2016
JSM Head and Neck Cancer-Cases and Reviews
ISSN : 2573-1610
Launched : 2016
JSM General Surgery Cases and Images
ISSN : 2573-1564
Launched : 2016
JSM Anatomy and Physiology
ISSN : 2573-1262
Launched : 2016
JSM Dental Surgery
ISSN : 2573-1548
Launched : 2016
Annals of Emergency Surgery
ISSN : 2573-1017
Launched : 2016
Annals of Mens Health and Wellness
ISSN : 2641-7707
Launched : 2017
Journal of Preventive Medicine and Health Care
ISSN : 2576-0084
Launched : 2018
Journal of Chronic Diseases and Management
ISSN : 2573-1300
Launched : 2016
Annals of Vaccines and Immunization
ISSN : 2378-9379
Launched : 2014
JSM Heart Surgery Cases and Images
ISSN : 2578-3157
Launched : 2016
Annals of Reproductive Medicine and Treatment
ISSN : 2573-1092
Launched : 2016
JSM Brain Science
ISSN : 2573-1289
Launched : 2016
JSM Biomarkers
ISSN : 2578-3815
Launched : 2014
JSM Biology
ISSN : 2475-9392
Launched : 2016
Archives of Stem Cell and Research
ISSN : 2578-3580
Launched : 2014
Annals of Clinical and Medical Microbiology
ISSN : 2578-3629
Launched : 2014
JSM Pediatric Surgery
ISSN : 2578-3149
Launched : 2017
Journal of Memory Disorder and Rehabilitation
ISSN : 2578-319X
Launched : 2016
JSM Tropical Medicine and Research
ISSN : 2578-3165
Launched : 2016
JSM Head and Face Medicine
ISSN : 2578-3793
Launched : 2016
JSM Cardiothoracic Surgery
ISSN : 2573-1297
Launched : 2016
JSM Bone and Joint Diseases
ISSN : 2578-3351
Launched : 2017
JSM Bioavailability and Bioequivalence
ISSN : 2641-7812
Launched : 2017
JSM Atherosclerosis
ISSN : 2573-1270
Launched : 2016
Journal of Genitourinary Disorders
ISSN : 2641-7790
Launched : 2017
Journal of Fractures and Sprains
ISSN : 2578-3831
Launched : 2016
Journal of Autism and Epilepsy
ISSN : 2641-7774
Launched : 2016
Annals of Marine Biology and Research
ISSN : 2573-105X
Launched : 2014
JSM Health Education & Primary Health Care
ISSN : 2578-3777
Launched : 2016
JSM Communication Disorders
ISSN : 2578-3807
Launched : 2016
Annals of Musculoskeletal Disorders
ISSN : 2578-3599
Launched : 2016
Annals of Virology and Research
ISSN : 2573-1122
Launched : 2014
JSM Renal Medicine
ISSN : 2573-1637
Launched : 2016
Journal of Muscle Health
ISSN : 2578-3823
Launched : 2016
JSM Genetics and Genomics
ISSN : 2334-1823
Launched : 2013
JSM Anxiety and Depression
ISSN : 2475-9139
Launched : 2016
Clinical Journal of Heart Diseases
ISSN : 2641-7766
Launched : 2016
Annals of Medicinal Chemistry and Research
ISSN : 2378-9336
Launched : 2014
JSM Pain and Management
ISSN : 2578-3378
Launched : 2016
JSM Women's Health
ISSN : 2578-3696
Launched : 2016
Clinical Research in HIV or AIDS
ISSN : 2374-0094
Launched : 2013
Journal of Endocrinology, Diabetes and Obesity
ISSN : 2333-6692
Launched : 2013
Journal of Substance Abuse and Alcoholism
ISSN : 2373-9363
Launched : 2013
JSM Neurosurgery and Spine
ISSN : 2373-9479
Launched : 2013
Journal of Liver and Clinical Research
ISSN : 2379-0830
Launched : 2014
Journal of Drug Design and Research
ISSN : 2379-089X
Launched : 2014
JSM Clinical Oncology and Research
ISSN : 2373-938X
Launched : 2013
JSM Bioinformatics, Genomics and Proteomics
ISSN : 2576-1102
Launched : 2014
JSM Chemistry
ISSN : 2334-1831
Launched : 2013
Journal of Trauma and Care
ISSN : 2573-1246
Launched : 2014
JSM Surgical Oncology and Research
ISSN : 2578-3688
Launched : 2016
Annals of Food Processing and Preservation
ISSN : 2573-1033
Launched : 2016
Journal of Radiology and Radiation Therapy
ISSN : 2333-7095
Launched : 2013
JSM Physical Medicine and Rehabilitation
ISSN : 2578-3572
Launched : 2016
Annals of Clinical Pathology
ISSN : 2373-9282
Launched : 2013
Annals of Cardiovascular Diseases
ISSN : 2641-7731
Launched : 2016
Journal of Behavior
ISSN : 2576-0076
Launched : 2016
Annals of Clinical and Experimental Metabolism
ISSN : 2572-2492
Launched : 2016
Clinical Research in Infectious Diseases
ISSN : 2379-0636
Launched : 2013
JSM Microbiology
ISSN : 2333-6455
Launched : 2013
Journal of Urology and Research
ISSN : 2379-951X
Launched : 2014
Journal of Family Medicine and Community Health
ISSN : 2379-0547
Launched : 2013
Annals of Pregnancy and Care
ISSN : 2578-336X
Launched : 2017
JSM Cell and Developmental Biology
ISSN : 2379-061X
Launched : 2013
Annals of Aquaculture and Research
ISSN : 2379-0881
Launched : 2014
Clinical Research in Pulmonology
ISSN : 2333-6625
Launched : 2013
Journal of Immunology and Clinical Research
ISSN : 2333-6714
Launched : 2013
Annals of Forensic Research and Analysis
ISSN : 2378-9476
Launched : 2014
JSM Biochemistry and Molecular Biology
ISSN : 2333-7109
Launched : 2013
Annals of Breast Cancer Research
ISSN : 2641-7685
Launched : 2016
Annals of Gerontology and Geriatric Research
ISSN : 2378-9409
Launched : 2014
Journal of Sleep Medicine and Disorders
ISSN : 2379-0822
Launched : 2014
JSM Burns and Trauma
ISSN : 2475-9406
Launched : 2016
Chemical Engineering and Process Techniques
ISSN : 2333-6633
Launched : 2013
Annals of Clinical Cytology and Pathology
ISSN : 2475-9430
Launched : 2014
JSM Allergy and Asthma
ISSN : 2573-1254
Launched : 2016
Journal of Neurological Disorders and Stroke
ISSN : 2334-2307
Launched : 2013
Annals of Sports Medicine and Research
ISSN : 2379-0571
Launched : 2014
JSM Sexual Medicine
ISSN : 2578-3718
Launched : 2016
Annals of Vascular Medicine and Research
ISSN : 2378-9344
Launched : 2014
JSM Biotechnology and Biomedical Engineering
ISSN : 2333-7117
Launched : 2013
Journal of Hematology and Transfusion
ISSN : 2333-6684
Launched : 2013
JSM Environmental Science and Ecology
ISSN : 2333-7141
Launched : 2013
Journal of Cardiology and Clinical Research
ISSN : 2333-6676
Launched : 2013
JSM Nanotechnology and Nanomedicine
ISSN : 2334-1815
Launched : 2013
Journal of Ear, Nose and Throat Disorders
ISSN : 2475-9473
Launched : 2016
JSM Ophthalmology
ISSN : 2333-6447
Launched : 2013
Journal of Pharmacology and Clinical Toxicology
ISSN : 2333-7079
Launched : 2013
Annals of Psychiatry and Mental Health
ISSN : 2374-0124
Launched : 2013
Medical Journal of Obstetrics and Gynecology
ISSN : 2333-6439
Launched : 2013
Annals of Pediatrics and Child Health
ISSN : 2373-9312
Launched : 2013
JSM Clinical Pharmaceutics
ISSN : 2379-9498
Launched : 2014
JSM Foot and Ankle
ISSN : 2475-9112
Launched : 2016
JSM Alzheimer's Disease and Related Dementia
ISSN : 2378-9565
Launched : 2014
Journal of Addiction Medicine and Therapy
ISSN : 2333-665X
Launched : 2013
Journal of Veterinary Medicine and Research
ISSN : 2378-931X
Launched : 2013
Annals of Public Health and Research
ISSN : 2378-9328
Launched : 2014
Annals of Orthopedics and Rheumatology
ISSN : 2373-9290
Launched : 2013
Journal of Clinical Nephrology and Research
ISSN : 2379-0652
Launched : 2014
Annals of Community Medicine and Practice
ISSN : 2475-9465
Launched : 2014
Annals of Biometrics and Biostatistics
ISSN : 2374-0116
Launched : 2013
JSM Clinical Case Reports
ISSN : 2373-9819
Launched : 2013
Journal of Cancer Biology and Research
ISSN : 2373-9436
Launched : 2013
Journal of Surgery and Transplantation Science
ISSN : 2379-0911
Launched : 2013
Journal of Dermatology and Clinical Research
ISSN : 2373-9371
Launched : 2013
JSM Gastroenterology and Hepatology
ISSN : 2373-9487
Launched : 2013
Annals of Nursing and Practice
ISSN : 2379-9501
Launched : 2014
JSM Dentistry
ISSN : 2333-7133
Launched : 2013
Author Information X