Loading

JSM Cardiothoracic Surgery

Multidisciplinary Assessment and Successful Conservative Management of Post-Intubation Tracheal Rupture

Case Report | Open Access | Volume 5 | Issue 1

  • 1. Department of General Thoracic Surgery, Fondazione Policlinico Universitario “A.Gemelli”, Italy.
  • 2. Department of Cardiovascular and Pulmonary Sciences, Catholic University of the Sacred Hearth, Italy
+ Show More - Show Less
Corresponding Authors
Adriana Nocera, Department of General Thoracic Surgery, Fondazione Policlinico Universitario “A.Gemelli”, IRCCS, Università Cattolica del Sacro Cuore, Rome, Italy
Abstract

Background: Tracheal rupture is a fearsome complication that can occur after single-lumen, double-lumen intubation, percutaneous tracheostomy, or surgical tracheostomy. Mortality rate is high, and it is difficult to quantify the real number due to the unknown amount of procedures performed worldwide. Timing is critical. It is important to decide to follow a conservative or a surgical approach based on the type of rupture, clinical symptoms and radiological findings. Case

Description: We describe the case of a 52-year-old woman with tracheal rupture diagnosed after intubation for reduction mastectomy. The patient came to our attention with regular vital parameters and clinically without symptoms with a tracheal lesion on the chest CT scan. After a multidisciplinary evaluation including Interventional Pneumologist, Intensive Care Unit and Thoracic Surgery, in view of the clinical radiological picture, it was decided to follow up the patient with radiological imaging and bronchoscopies. A surgical approach was not chosen, considering location, size of the lesion and clinical conditions. The patient after eleven days was discharged in good clinical conditions.

Conclusions: Treatment of tracheal tears is variable. This is a life-threatening condition, and a multidisciplinary evaluation is at the basis of the proper treatment. Although location and timely diagnosis are crucial, not all tracheal tears are to be treated surgically; conservative treatment is often crucial.

Keywords

• Trachea;

• Tracheal rupture;

• Intubation;

• Conservative

CITATION

Nocera A, Vita ML, Napolitano AG, Tabacco D, Trisolini R, et al. (2023) Multidisciplinary Assessment and Successful Conservative Management of Post-Intubation Tracheal Rupture. JSM Cardiothorac Surg 5(1): 1018.

INTRODUCTION

Tracheobronchial injuries (TFi) are most commonly caused by iatrogenic trauma or penetrating traumas; tracheal rupture is a rare and fearsome complication of intubation maneuvers [1], which can be performed electively, before scheduled surgery, or urgently, to protect the airways and in cases of acute cardiorespiratory failure. Indeed, it may occur generally after intubation, tracheostomy or interventional pneumology [2,3]. However early recognition of this injury can be lifesaving; indeed, mortality rate is high. The exact incidence of this complication cannot be reasonably estimated because the large number of intubations and tracheotomies performed daily worldwide is not known.

Patient-related factors that increase the risk for tracheal injury and rupture include congenital tracheal abnormalities, weakness of the pars membranacea of the trachea, chronic obstructive pulmonary disease and other inflammatory lesions of the tracheobronchial tree, advanced age and female gender [4].

CASE DESCRIPTION

A 52-year-old woman (height 170 cm, weight 90 kg, body mass index 31.14), with hypothyroidism, obesity, chronic gastritis and diabetes mellitus on insulin therapy, presented to the emergency room with chest pain onset associated with appearance of subcutaneous emphysema in the neck region. The day before, the patient underwent reduction mammoplasty surgical treatment. Due to appearance of subcutaneous emphysema after surgical treatment, a chest CT scan was performed which showed a lesion of about 2 cm at the level of the middle-distal portion of the trachea. Therefore, the patient was transferred to our hospital for specific investigations.

Upon admission to hospital, the patient was awake and cooperative, in spontaneous breathing with nasal cannulas 2 L/ min, respiratory frequency 15 breaths/minute, SpO2 98%, heart rate 92 bpm, blood pressure 161/81 mmHg.

Blood tests, blood gas analysis and electrocardiogram were immediately requested, turning out to be normal. Evident swelling of the neck was present, which could be marked with a sensation of “fresh snow” on palpation. The hemodynamics was stable without need for pharmacological support. A new chest CT was required. At the chest CT, radiological findings were similar to the previous CT scan, showing bilateral interstitial emphysema, right pneumothorax and total compartmental pneumomediastinum. Indeed, the bilateral emphysema of subcutaneous soft tissues was also unchanged, appreciable in correspondence of the anterior chest wall, of the supraclavicular and laterocervical regions, with cranial extension up to the skull base and face.

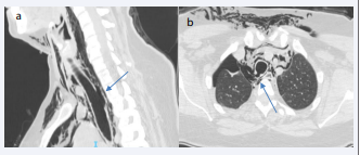
These findings were confirmed by a continuous solution of about 5 mm appreciable in correspondence with the right posterolateral wall of the middle III of the trachea, at the level of D1-D2, extending longitudinally for a length of about 20 mm. Externally to the breach, a thin membrane appeared to delimit a small “pocket” containing air with a maximum axial dimension of 12 mm [Figure 1a, 1b].

a) Tracheal rupture at CT scan. b) CT scan showing tracheal  breach.

Figure 1: a) Tracheal rupture at CT scan. b) CT scan showing tracheal breach.

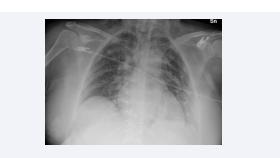
Based on clinical and radiological findings, it was indicated to transfer patient to the Intensive Care department, agreeing to perform a bronchoscopy for better evaluation, before performing any surgical procedure. Upon entry to the Intensive Care Unit, a chest x-ray was performed which showed ‘‘a thin layer of pneumothorax in the right apical site; mediastinum in axis. Amount of bilateral supraclavicular/laterocervical soft tissue emphysema and a large amount of pneumomediastinum. Areas of nuanced parenchymal hypodiaphania, of hypoventilative significance, in the basal site on the left. Pleural cavities apparently free from effusion. Regular left breast implant’’[Figure 2].

Chest X Ray showing bilateral soft tissue emphysema.

Figure 2: Chest X Ray showing bilateral soft tissue emphysema.

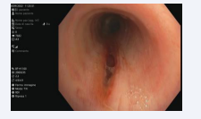
On I day of hospitalization, in multidisciplinary agreement and after the acquisition of informed consent, she underwent a first bronchoscopy under deep sedation which revealed in trachea, at about 7.5 cm from the chordal plane, a laceration of the pars membranacea extended for 5 cm [Figure 3], and within a rupture extending longitudinally for about 3 cm.

Longitudinal pars membranacea rupture of the trachea.

Figure 3: Longitudinal pars membranacea rupture of the trachea.

The following two days after bronchoscopy, the patient remained clinically and radiologically stable; a reduction in the amount of subcutaneous emphysema and pneumomediastinum was noticed. Therefore, in accordance with the Intensive Care Unit and due to stable conditions, on VI day of hospitalization, she was transferred to our Thoracic Surgery department, where a new revaluation with bronchoscopy was performed. The wellknown tracheal laceration of the ‘‘pars membranacea’’ was completely covered by a layer of fibrin [Figure 4].

Tracheal laceration covered by fibrin.

Figure 4: Tracheal laceration covered by fibrin.

Therefore, on VII day of hospitalization, a new chest CT was performed, in which the continuous solution previously reported at the level of the right posterolateral wall of the proximal trachea was no longer appreciable; only a residual wall thickening of about 3 mm, probably due to reparative phenomena, with a minimal amount of adjacent secretions. The patient was definitively evaluated by the multidisciplinary team, including Thoracic Surgery, Intensive Care Unit and Interventional Pneumology, which considered her stable and dischargeable, with no further surgical indication.

The patient was discharged after IX days of hospitalization, with indication of 20 days of home rest and new control with bronchoscopy three days after discharge and antibiotic coverage with Augmentin 875/125 mg.

The patient underwent two follow-up bronchoscopies, one 3 days after discharge and the other after one month. The first one showed that the lesion appeared to be in almost complete repair, in the absence of continuous solution [Figure 5]. After one month, the recent middle third tracheal lesion appeared completely repaired and re-epithelialized with minimal hyperemia, in the absence of continuous solution [Figure 5].

Complete tracheal lesion repair at one month bronchoscopy  control.

Figure 5: Complete tracheal lesion repair at one month bronchoscopy control.

All procedures performed in studies involving human participants were in accordance with the ethical standards of the institutional and/or national research committee(s) and with the Helsinki Declaration (as revised in 2013). Written informed consent was obtained from the patient for publication of this Case Report and any accompanying images.

DISCUSSION

TBi’s are not common, but often life- threatening [5]. The most frequent cause of tracheal-bronchial injury is after intubation or tracheotomy procedures [6]. Despite the number of cases worldwide, the real amount is underestimated due to high mortality. Orotracheal intubation causing tracheal rupture has a reported incidence of approximatively 0.05%-0.37%, despite it is underreported in literature [7]. Trauma appears to be essentially the main reason, but a few risk factors have been reported such as female gender and short stature [8]. When discovered and evaluated by a multidisciplinary team, good outcomes are possible. Bronchoscopy has a key role and is still considered to be the gold standard approach, together with CT scan, to clearly identify dimension, type and position of a TBi [9].

We want to affirm the pivotal role of multidisciplinary assessment in these life-threatening cases. As reported in literature, multidisciplinary approach is demanding and highly necessary to better establish the most appropriate treatment [10]. According to many authors in literature, TFis can be managed conservatively with good resolution [11,12]. Indeed, these patients must meet specific criteria to be evaluated as potentially conservatively approached. Membranous injuries are often treated with a conservative approach with good outcomes and lower rate mortality [13]; however, in specific cases, surgical treatment results to be necessary. There are no guidelines regarding surgical treatment. Surgical approach depends on a series of factors including location whether in the proximal onethird to two-third or distal one-third of the trachea extending to main bronchos. Based on Cardillo et al. [4,14], for tracheobronchial injuries after intubation, according to multidisciplinary team algorithm, conservative bronchoscopic treatment is effective in patients with partial thickness PITL (level I) or full thickness PITL (level II) with no oesophageal or mediastinal soft-tissue hernia. The presence of oesophageal/mediastinal soft tissue hernia identifies a high-risk category (IIIA) which can be treated conservatively if an adequate respiratory status is achieved and only in highly experienced Centres because of the strong possibility of mediastinitis. A patient with oesophageal injury, mediastinitis (level IIIB) or with extensive loss of substance/ fracture of tracheal rings (level IV) requires prompt surgical treatment [Table 1].

Table 1: Modified from: Cardillo G, et al. Eur J Cardio-thoracic Surg 2010; 37:581-587.

Classification

Morphologic description

Level I

Mucosal/Submucosal tracheal involvement without subcutaneous -mediastinal emphysema (partial thickness PITL)

Level II

Full-thickness tracheal lesion with subcutaneous or mediastinal emphysema without oesophageal injury or mediastinitis

Level IIIA

Full-thickness laceration of the tracheal wall with oesophageal or mediastinal soft-tissue hernia without oesophageal injury or mediastinitis

Level IIIB

Full-thickness laceration of the tracheal wall with oesophageal injury or mediastinitis

Level IV

Extensive Loss of substance/fracture of tracheal rings

Cardillo’s revised morphologic classification of the tracheal injury. Despite early surgical treatment is recommended in specific and selected cases after intubation, conservative approach is still a viable alternative in patient unfit for surgery, with reasonable ruptures and in absence of gross air leak [15].

In our case, the patient had no signs of mediastinitis or esophageal laceration, (Level II). No surgical treatment was required and no ventilation was required; in fact the patient was discharged home after IX days without further complications.

Key role was dictated by patient multidisciplinary management. In this type of life-threatening cases, multidisciplinary evaluation is essential to better assess correct approach to the patient and time plays an important role. From the time patient arrived at the emergency room, subsequent investigations such as radiological investigations with bronchoscopists aid, made diagnosis accurate as possible. When transferred to Intensive Care Unit, patient’s management was precise, and according to multidisciplinary decision, it was decided to keep monitoring based on subsequent radiological images and clinical picture, found to be stable during all hospitalization. Ultimately, Thoracic Surgery opinion did not depose for surgical treatment, but only observational follow-up. Patient’s clinical parameters were found to be improving day by day.

Another important issue again, stemming from multidisciplinary approach was discharge time. Patient was discharged in the absence of any complications on IX hospitalization day. There is no exact average of discharge days described in patient treated conservatively without ventilation need, considering available elements and wide cases reported.

In literature, cases of patients treated conservatively in absence of neither surgical treatment nor ventilation, average days of observation were higher, attesting a discharge time between 11 and 20 days [16-18]. However, the average of hospitalization and discharge days in patients treated conservatively, with brief ventilation support, as reported in the literature is almost between 6 and 30 days [19]. Therefore, our timing through shared action among colleagues was perfect. Satisfactory result was rapidity of choices, turning into reduction of hospitalization time.

CONCLUSIONS

Despite the presence of a large tracheal tear, conservative approach should always be implemented if the patient is stable. Treatment of intubation-related tracheal laceration is based on the patient’s condition. The need for multidisciplinary collaboration beyond treatment is critical. With the ability of combined work between complex units, better outcome, as it was in our case, is the main goal. As a life-threatening disease, time is critical. As multidisciplinary team works together, time of discharge and observation are reduced.

REFERENCES

1. Kaloud H, Smolle-Juettner FM, Prause G, List WF. Iatrogenic ruptures of the tracheobronchial tree. Chest. 1997; 112: 774-778.

2. Massard G, Rougé C, Dabbagh A, Kessler R, Hentz JG, Roeslin N, et al. Tracheobronchial lacerations after intubation and tracheostomy. Ann Thorac Surg. 1996; 61: 1483-1487.

3. Seijo LM, Sterman DH. Interventional pulmonology. N Engl J Med. 2001; 344: 740-749.

4. Cardillo G, Ricciardi S, Forcione A R, Carbone L, Carleo F, Di Martino M, et al. Post-intubation tracheal lacerations: Risk-stratification and treatment protocol according to morphological classification. Front Surg. 2022; 9: 1049126.

5. Balci AE, Eren N, Eren S, Ulkü R. Surgical treatment of post-traumatic tracheobronchial injuries: 14-year experience. Eur J Cardiothorac Surg. 2002; 22: 984-989.

6. Kyobu Geka. Tracheobronchial Injury. 2022; 75: 841-845.

7. Symbas PN, Justicz AG, Ricketts RR. Rupture of the airways from blunt trauma: treatment of complex injuries. Ann Thorac Surg. 1992; 54: 177-183.

8. Boutros J, Marquette CH, Ichai C, Leroy S, Benzaquen J. Multidisciplinary management of tracheobronchial injury. Eur Respir Rev. 2022; 31: 210126.

9. Marquette CH, Bocquillon N, Roumilhac D, Nevière R, Mathieu D, Ramon P. Conservative treatment of tracheal rupture. J Thorac Cardiovasc Surg. 1999; 117: 399-401.

10. Gómez-Caro A, Ausín P, Moradiellos FJ, Díaz-Hellín V, Larrú E, Pérez JA, et al. Role of conservative medical management of tracheobronchial injuries. J Trauma. 2006; 61: 1426-1434.

11. Jougon J, Ballester M, Choukroun E, Dubrez J, Reboul G, Velly JF. Conservative treatment for postintubation tracheobronchial rupture. Ann Thorac Surg. 2000; 69: 216-220.

12. Cardillo G, Carbone L, Carleo F, Batzella S, Jacono RD, Lucantoni G, et al. Tracheal lacerations after endotracheal intubation: a proposed morphological classification to guide non-surgical treatment. Eur J Cardiothorac Surg. 2010; 37: 581-587.

13. Borasio P, Ardissone F, Chiampo G. Post-intubation tracheal rupture. A report on ten cases. Eur J Cardiothorac Surg. 1997; 12: 98-100.

14. Jorge N, Costa L, Teixeira S, Silva-Pinto A, Paiva J. Tracheal Rupture after Trauma: A Successful Conservative Management. Cureus. 2022; 14: e32681.

15. Prunet B, Lacroix G, Asencio Y, Cathelinaud O, Avaro JP, Goutorbe P. Iatrogenic post-intubation tracheal rupture treated conservatively without intubation: a case report. Cases J. 2008; 1: 259.

16. Hyeon Oh J, Jun Hong S, Soo Kang S, Mi Hwang S. Successful Conservative Management of Tracheal Injury After Forceful Coughing During Extubation: A Case Report. Anesth Pain Med. 2016; 6: e39262.

17. Conti M, Pougeoise M, Wurtz A, Porte H, Fourrier F, Ramon P, et al. Management of postintubation tracheobronchial ruptures. Chest. 2006; 130: 412-418.

18. Hyeon Oh J, Jun Hong S, Soo Kang S, Mi Hwang S. Successful Conservative Management of Tracheal Injury After Forceful Coughing During Extubation: A Case Report. Anesth Pain Med. 2016; 6: e39262.

19. Conti M, Pougeoise M, Wurtz A, Porte H, Fourrier F, Ramon P, et al. Management of postintubation tracheobronchial ruptures. Chest. 2006; 130: 412-418.

Nocera A, Vita ML, Napolitano AG, Tabacco D, Trisolini R, et al. (2023) Multidisciplinary Assessment and Successful Conservative Management of Post-Intubation Tracheal Rupture. JSM Cardiothorac Surg 5(1): 1018.

Received : 18 Sep 2023
Accepted : 05 Oct 2023
Published : 14 Oct 2023
Journals
Annals of Otolaryngology and Rhinology
ISSN : 2379-948X
Launched : 2014
JSM Schizophrenia
Launched : 2016
Journal of Nausea
Launched : 2020
JSM Internal Medicine
Launched : 2016
JSM Hepatitis
Launched : 2016
JSM Oro Facial Surgeries
ISSN : 2578-3211
Launched : 2016
Journal of Human Nutrition and Food Science
ISSN : 2333-6706
Launched : 2013
JSM Regenerative Medicine and Bioengineering
ISSN : 2379-0490
Launched : 2013
JSM Spine
ISSN : 2578-3181
Launched : 2016
Archives of Palliative Care
ISSN : 2573-1165
Launched : 2016
JSM Nutritional Disorders
ISSN : 2578-3203
Launched : 2017
Annals of Neurodegenerative Disorders
ISSN : 2476-2032
Launched : 2016
Journal of Fever
ISSN : 2641-7782
Launched : 2017
JSM Bone Marrow Research
ISSN : 2578-3351
Launched : 2016
JSM Mathematics and Statistics
ISSN : 2578-3173
Launched : 2014
Journal of Autoimmunity and Research
ISSN : 2573-1173
Launched : 2014
JSM Arthritis
ISSN : 2475-9155
Launched : 2016
JSM Head and Neck Cancer-Cases and Reviews
ISSN : 2573-1610
Launched : 2016
JSM General Surgery Cases and Images
ISSN : 2573-1564
Launched : 2016
JSM Anatomy and Physiology
ISSN : 2573-1262
Launched : 2016
JSM Dental Surgery
ISSN : 2573-1548
Launched : 2016
Annals of Emergency Surgery
ISSN : 2573-1017
Launched : 2016
Annals of Mens Health and Wellness
ISSN : 2641-7707
Launched : 2017
Journal of Preventive Medicine and Health Care
ISSN : 2576-0084
Launched : 2018
Journal of Chronic Diseases and Management
ISSN : 2573-1300
Launched : 2016
Annals of Vaccines and Immunization
ISSN : 2378-9379
Launched : 2014
JSM Heart Surgery Cases and Images
ISSN : 2578-3157
Launched : 2016
Annals of Reproductive Medicine and Treatment
ISSN : 2573-1092
Launched : 2016
JSM Brain Science
ISSN : 2573-1289
Launched : 2016
JSM Biomarkers
ISSN : 2578-3815
Launched : 2014
JSM Biology
ISSN : 2475-9392
Launched : 2016
Archives of Stem Cell and Research
ISSN : 2578-3580
Launched : 2014
Annals of Clinical and Medical Microbiology
ISSN : 2578-3629
Launched : 2014
JSM Pediatric Surgery
ISSN : 2578-3149
Launched : 2017
Journal of Memory Disorder and Rehabilitation
ISSN : 2578-319X
Launched : 2016
JSM Tropical Medicine and Research
ISSN : 2578-3165
Launched : 2016
JSM Head and Face Medicine
ISSN : 2578-3793
Launched : 2016
JSM Bone and Joint Diseases
ISSN : 2578-3351
Launched : 2017
JSM Bioavailability and Bioequivalence
ISSN : 2641-7812
Launched : 2017
JSM Atherosclerosis
ISSN : 2573-1270
Launched : 2016
Journal of Genitourinary Disorders
ISSN : 2641-7790
Launched : 2017
Journal of Fractures and Sprains
ISSN : 2578-3831
Launched : 2016
Journal of Autism and Epilepsy
ISSN : 2641-7774
Launched : 2016
Annals of Marine Biology and Research
ISSN : 2573-105X
Launched : 2014
JSM Health Education & Primary Health Care
ISSN : 2578-3777
Launched : 2016
JSM Communication Disorders
ISSN : 2578-3807
Launched : 2016
Annals of Musculoskeletal Disorders
ISSN : 2578-3599
Launched : 2016
Annals of Virology and Research
ISSN : 2573-1122
Launched : 2014
JSM Renal Medicine
ISSN : 2573-1637
Launched : 2016
Journal of Muscle Health
ISSN : 2578-3823
Launched : 2016
JSM Genetics and Genomics
ISSN : 2334-1823
Launched : 2013
JSM Anxiety and Depression
ISSN : 2475-9139
Launched : 2016
Clinical Journal of Heart Diseases
ISSN : 2641-7766
Launched : 2016
Annals of Medicinal Chemistry and Research
ISSN : 2378-9336
Launched : 2014
JSM Pain and Management
ISSN : 2578-3378
Launched : 2016
JSM Women's Health
ISSN : 2578-3696
Launched : 2016
Clinical Research in HIV or AIDS
ISSN : 2374-0094
Launched : 2013
Journal of Endocrinology, Diabetes and Obesity
ISSN : 2333-6692
Launched : 2013
Journal of Substance Abuse and Alcoholism
ISSN : 2373-9363
Launched : 2013
JSM Neurosurgery and Spine
ISSN : 2373-9479
Launched : 2013
Journal of Liver and Clinical Research
ISSN : 2379-0830
Launched : 2014
Journal of Drug Design and Research
ISSN : 2379-089X
Launched : 2014
JSM Clinical Oncology and Research
ISSN : 2373-938X
Launched : 2013
JSM Bioinformatics, Genomics and Proteomics
ISSN : 2576-1102
Launched : 2014
JSM Chemistry
ISSN : 2334-1831
Launched : 2013
Journal of Trauma and Care
ISSN : 2573-1246
Launched : 2014
JSM Surgical Oncology and Research
ISSN : 2578-3688
Launched : 2016
Annals of Food Processing and Preservation
ISSN : 2573-1033
Launched : 2016
Journal of Radiology and Radiation Therapy
ISSN : 2333-7095
Launched : 2013
JSM Physical Medicine and Rehabilitation
ISSN : 2578-3572
Launched : 2016
Annals of Clinical Pathology
ISSN : 2373-9282
Launched : 2013
Annals of Cardiovascular Diseases
ISSN : 2641-7731
Launched : 2016
Journal of Behavior
ISSN : 2576-0076
Launched : 2016
Annals of Clinical and Experimental Metabolism
ISSN : 2572-2492
Launched : 2016
Clinical Research in Infectious Diseases
ISSN : 2379-0636
Launched : 2013
JSM Microbiology
ISSN : 2333-6455
Launched : 2013
Journal of Urology and Research
ISSN : 2379-951X
Launched : 2014
Journal of Family Medicine and Community Health
ISSN : 2379-0547
Launched : 2013
Annals of Pregnancy and Care
ISSN : 2578-336X
Launched : 2017
JSM Cell and Developmental Biology
ISSN : 2379-061X
Launched : 2013
Annals of Aquaculture and Research
ISSN : 2379-0881
Launched : 2014
Clinical Research in Pulmonology
ISSN : 2333-6625
Launched : 2013
Journal of Immunology and Clinical Research
ISSN : 2333-6714
Launched : 2013
Annals of Forensic Research and Analysis
ISSN : 2378-9476
Launched : 2014
JSM Biochemistry and Molecular Biology
ISSN : 2333-7109
Launched : 2013
Annals of Breast Cancer Research
ISSN : 2641-7685
Launched : 2016
Annals of Gerontology and Geriatric Research
ISSN : 2378-9409
Launched : 2014
Journal of Sleep Medicine and Disorders
ISSN : 2379-0822
Launched : 2014
JSM Burns and Trauma
ISSN : 2475-9406
Launched : 2016
Chemical Engineering and Process Techniques
ISSN : 2333-6633
Launched : 2013
Annals of Clinical Cytology and Pathology
ISSN : 2475-9430
Launched : 2014
JSM Allergy and Asthma
ISSN : 2573-1254
Launched : 2016
Journal of Neurological Disorders and Stroke
ISSN : 2334-2307
Launched : 2013
Annals of Sports Medicine and Research
ISSN : 2379-0571
Launched : 2014
JSM Sexual Medicine
ISSN : 2578-3718
Launched : 2016
Annals of Vascular Medicine and Research
ISSN : 2378-9344
Launched : 2014
JSM Biotechnology and Biomedical Engineering
ISSN : 2333-7117
Launched : 2013
Journal of Hematology and Transfusion
ISSN : 2333-6684
Launched : 2013
JSM Environmental Science and Ecology
ISSN : 2333-7141
Launched : 2013
Journal of Cardiology and Clinical Research
ISSN : 2333-6676
Launched : 2013
JSM Nanotechnology and Nanomedicine
ISSN : 2334-1815
Launched : 2013
Journal of Ear, Nose and Throat Disorders
ISSN : 2475-9473
Launched : 2016
JSM Ophthalmology
ISSN : 2333-6447
Launched : 2013
Journal of Pharmacology and Clinical Toxicology
ISSN : 2333-7079
Launched : 2013
Annals of Psychiatry and Mental Health
ISSN : 2374-0124
Launched : 2013
Medical Journal of Obstetrics and Gynecology
ISSN : 2333-6439
Launched : 2013
Annals of Pediatrics and Child Health
ISSN : 2373-9312
Launched : 2013
JSM Clinical Pharmaceutics
ISSN : 2379-9498
Launched : 2014
JSM Foot and Ankle
ISSN : 2475-9112
Launched : 2016
JSM Alzheimer's Disease and Related Dementia
ISSN : 2378-9565
Launched : 2014
Journal of Addiction Medicine and Therapy
ISSN : 2333-665X
Launched : 2013
Journal of Veterinary Medicine and Research
ISSN : 2378-931X
Launched : 2013
Annals of Public Health and Research
ISSN : 2378-9328
Launched : 2014
Annals of Orthopedics and Rheumatology
ISSN : 2373-9290
Launched : 2013
Journal of Clinical Nephrology and Research
ISSN : 2379-0652
Launched : 2014
Annals of Community Medicine and Practice
ISSN : 2475-9465
Launched : 2014
Annals of Biometrics and Biostatistics
ISSN : 2374-0116
Launched : 2013
JSM Clinical Case Reports
ISSN : 2373-9819
Launched : 2013
Journal of Cancer Biology and Research
ISSN : 2373-9436
Launched : 2013
Journal of Surgery and Transplantation Science
ISSN : 2379-0911
Launched : 2013
Journal of Dermatology and Clinical Research
ISSN : 2373-9371
Launched : 2013
JSM Gastroenterology and Hepatology
ISSN : 2373-9487
Launched : 2013
Annals of Nursing and Practice
ISSN : 2379-9501
Launched : 2014
JSM Dentistry
ISSN : 2333-7133
Launched : 2013
Author Information X