African and Australian Insect Repellents for Malaria Prophylaxis
- 1. School of Science and Engineering, University of the Sunshine Coast, Australia
Abstract
Travelers to regions with Anopheles mosquitos infected with Plasmodium parasites need to prevent themselves contracting Malaria. There is no Malaria vaccine and chemoprophylaxis regimes are not 100 % protective against the disease, thus other Malaria prophylaxis measures must be implemented, including bite avoidance by applying insect repellent to exposed skin. The concentrations of active ingredients in insect repellents from Africa and Australia are investigated in this study. Hydrodistillation extracted the botanic ingredients from the African insect repellents and GC-MS analysis of these extracts revealed that both Botswana and Zimbabwe insect repellents contain citronella oil. The citronella oil concentration was between 40 % – 50 % in the African insect repellents. Repeated separatory funnel extractions recovered the DEET from Australian insect repellents. GC-MS analysis of these extracts determined that Repel Tropical Strength insect repellents contained 22 % DEET and Bushman Ultra Aerosol insect repellents contained 35 % DEET. There are no safety regulations for insect repellents in sub-Saharan Africa. Thus the effectiveness of insect repellents investigated in this study is compared with the minimum requirements for insect repellent retail in another Malaria endemic tourist destination, Thailand. Neither African insect repellents met the minimum requirements for insect repellent retail in Thailand. Conversely, both Australian insect repellents met the minimum requirements for insect repellent retail in Thailand. Only the Bushman Ultra Aerosol insect repellents met the more stringent insect repellent recommendations of Australian travel doctors for patients travelling to Malaria endemic countries.
Keywords
Insect repellent; Malaria; Hydro-distillation;Separatory funnel; GC-MS
Citation
Windsor SAM, Neilen A (2013) African and Australian Insect Repellents for Malaria Prophylaxis. JSM Chem 2(1): 1008.
ABBREVIATIONS
GC-MS: Gas Chromatography - Mass Spectrometry; DEET: N, N-diethyl-m-toluamide
INTRODUCTION
Malarial infection of humans commences with the bite of an Anopheles mosquito infected with a Plasmodium parasite. Malaria once occurred widely in temperate areas, including Western Europe and the United States of America (USA), but it receded with the 1940s and 1950s eradication campaigns which involved chloroquine for treatment and prevention and dichloro-diphenyltrichloroethane (DDT) for vector control. Unfortunately the emergence of chloroquine-resistant Plasmodium parasites and DDT-resistant Anopheles mosquitoes lead to the abandonment of eradication campaigns in the 1970s [1]. Ecological considerations also contributed to the banning of DDT, including bird egg shell thinning [2]. Chloroquine-resistant Plasmodium parasites have spread across the African continent and subsequently sulfadoxine-pyrimethamine resistant Plasmodium parasites rapidly emerged. Interventions (including drug combinations with an artemisinin derivative and anti-vector measures) have been effective in a few specific areas, such as Kwa Zulu Natal in South Africa [1].
Each year about 1700 cases of Malaria occur in the United Kingdom (UK) and most of these infections occur in UK residents travelling to Malaria areas. About 75% of these cases are caused by Plasmodium falciparum, which produces the most severe form of Malaria; five to 16 deaths occur annually and are nearly always in cases of Plasmodium falciparum Malaria. Plasmodium falciparum is the species of Malaria parasite which predominates in sub-Saharan Africa [3]. Thus, tourists travelling to Malaria endemic countries in sub-Saharan Africa (including Botswana and Zimbabwe) need to prevent Malaria using the “ABCD” approach: Awareness of risk, Bite avoidance, Compliance with chemoprophylaxis, and the prompt Diagnosis of Malaria [3]. Mosquito bites can be avoided by the use of insect repellents and insecticide-treated clothes and bednets [3]. It is the concentrations of active ingredients in insect repellents used for Malaria prophylaxis that will be investigated in this study.
In Australia a wide range of insect repellents are readily available in pharmacies, supermarkets and camping stores. Insect repellents sold in Australia are required to have a labelled ingredients list on the product, a Material Safety Data Sheet (MSDS) available and active ingredients registered with the Australian Pesticides and Veterinary Medicines Authority. 30 % - 40 % N,N-diethyl-m-toluamide (DEET) is the only insect repellent ingredient recommended to Australians travelling to Malaria endemic countries [4,5]. Consumer protection in Thailand, requires a repellent to be 100 % effective for a minimum of two hours to be deemed suitable for retail [6]. In sub-Saharan Africa, travelers are faced with limited insect repellent accessibility, consumer information and safety regulations. Outside of large cities tourists must rely on resort and guesthouse issued repellents. The four large suppliers of guesthouse insect repellent in Africa have been identified: ACC Africa Hospitality Procurement, Hotel Amenities Suppliers, Mitras Amenities and Nicci Personal Hotel & Guest House Amenities. Insect repellent ingredient lists were neither labelled nor registered, and a response was not received from emails requesting this information.
Homoeopathic prophylaxis is a popular but ineffective Malaria prevention practice which can include ingestion of any combination of: China officinalis originally derived from the bark of the Peruvian tree, Cinchona; Neem originally derived from an Indian tree, Azadirachta indica; and Malaria officinalis originally derived from the swamp water thought to give rise to the bad air (Italian mal’aria) that caused the headaches, nausea and intermittent fevers with chills [7]. Deaths have even been reported from use of these homeopathic practices [3]. Other popular but ineffective Malaria prevention practices include ingestion of yeast, garlic, marmite and vitamin B1 and use of electronic mosquito repellents [3].
The effectiveness of purchased insect repellents has previously been investigated by the time to first bite of human volunteers who inserted their repellent treated arms into cages containing female Aedes aegypti mosquitoes [8,9]. Three insect repellents met the minimum requirements for retail suitability in Thailand [6]. The 100 % citronella oil, 20 % DEET and 23.8 % DEET were 100 % effective for 2 hours, 3 hours and 3 hours and 20 minutes, respectively [8,9]. However, no insect repellents tested in either arm-in-cage study [8,9], met the recommendations to Australians travelling to Malaria endemic countries [4,5]. In this study, the chemical composition of African and Australian insect repellents will be compared to the chemical composition of the effective insect repellents determined by arm-in-cage trials [8,9]
Citronella oil, obtained by steam distillation of Cymbopogon winterianus, has previously been analysed by gas chromatography – mass spectrometry (GC-MS) and its four highest percentage composition of ingredients were: citronellal (31 %), citronellol (19 %), geraniol (18 %) and limonene (5 %) [10]. Conventional distillation methods have previously been used in conjunction with GC-MS to identify and quantify the compounds present in citronella oil [11], and hydro-distillation is adopted in this study for the extraction and analysis of African insect repellents. In this study, Australian insect repellents were extracted with the same solvent (hexane) and internal standard (n-hexadecane) and analysed with the same technique (GC-MS) as the African insect repellents. However, since DEET is moderately polar, it is partially water soluble and thus a different extraction technique was required for Australian insect repellents which involved repeated separatory funnel extractions. The structures of active ingredients of insect repellents are shown in (Figure 1).

Figure 1: A: citronellal; B: citronellol; C: geraniol; D: limonene; E: isopulegol; and F: DEET
Walkabout is an Australian botanical insect repellent which was spiked with a known quantity of DEET in this study prior to extraction via hydro-distillation. GC-MS analysis of DEET spiked Walkabout insect repellent revealed that 100 % of labelled botanical ingredients were recovered by this extraction technique, but only 27 % of DEET spike was recovered. Thus hydro-distillation could be used for botanical ingredient extraction from insect repellents, but a new technique needed to be developed to extract DEET from insect repellents. Walkabout insect repellent was again spiked with a known quantity of DEET, but this time extracted with repeated separatory funnel extractions. GC-MS analysis of DEET spiked Walkabout insect repellent dissolved in water revealed that approximately 65 % of DEET spike was extracted into the upper hexane layer per extraction. Eight extractions in total were performed. The GCMS traces showed progressively smaller DEET peak areas from extractions 1 to 6. As expected, with less than 0.1 % of the original DEET left to extract by the 7th extraction, no DEET was observed in the GC-MS trace of extraction 8.
MATERIALS AND METHODS
Guest amenity insect repellents were collected from resorts in sub-Saharan Africa: four samples from Chobe Game Lodge in Botswana and three samples from Ilala Lodge in Zimbabwe. Three samples of Bushman Ultra Aerosol and three samples of Repel Tropical Strength insect repellents were purchased from a retail outlet in Maroochydore, Queensland, Australia, 4558. One botanical insect repellent, Walkabout, was purchased from a retail outlet in Marcoola, Queensland, Australia, 4564. Gas chromatography grade hexane and n-hexadecane for synthesis were purchased from Merck, Kilsyth, Victoria, Australia, 3137. Analytical standard DEET was purchased from Sigma Aldrich, Castle Hill, New South Wales, Australia, 1765. MilliQ water was obtained from an in-house MilliQ Synthesis Quantum EX Cartridge Filter.
Between 20 g and 30 g of African insect repellent was squeezed from its tube into a 1 L round bottom flask. 600 mL of MilliQ water and a few boiling chips were added to the flask. 50 mL of hexane which contained 15 mg of n-hexadecane internal standard was pipetted into the flask and acted as a solvent trap Between 20 g and 30 g of African insect repellent was squeezed from its tube into a 1 L round bottom flask. 600 mL of MilliQ water and a few boiling chips were added to the flask. 50 mL of hexane which contained 15 mg of n-hexadecane internal standard was pipetted into the flask and acted as a solvent trap
For Repel Tropical Strength insect repellents, approximately 1 g of sample was scratched from the stick into a separatory funnel. Exact mass loss from the repellent stick was recorded. For Bushman Ultra Aerosol insect repellents, approximately 1 g of sample was sprayed from the can into a beaker. Exact mass loss from the can was recorded to simulate the real world use of the insect repellent, spraying on human skin. The beaker was placed in the fume hood for 30 min to outgas the propellant. The remaining liquid was poured from the beaker into the separatory funnel.
100 mL MilliQ water was poured into the separatory funnel. 50 mL of hexane which contained 100 mg of n-hexadecane internal standard was pipetted into the funnel. The funnel was inverted and shaken five times and left for 30 min. Approximately five drops were transferred by glass Pasteur pipette from the upper hexane layer to a 1.5 mL aliquot GC-MS vial and diluted with hexane prior to analysis. The lower water layer was emptied out of the separatory funnel tap into the collection beaker. The emulsion layer was broken up into hexane and water layers via vacuum filtration. The filtrate was poured into the separatory funnel and the lower water layer was emptied out of the separatory funnel tap into the collection beaker. The hexane layer was emptied out of the separatory funnel tap into a hexane waste container. The water collected was poured from the beaker into the separatory funnel. Eight extractions in total were performed.
GC-MS was carried out using a Perkin Elmer Clarus 580 GCMS. The compounds were separated on an Elite 5MS capillary column (30 m × 0.25 mm i.d. × 0.25 mm film), with a helium carrier gas flow rate of 1 mL min-1. Split injection was employed for samples with a ratio of 50:1. The injection temperature was 280 °C. The column oven temperature was programmed for an initial temperature of 50 °C held isothermal for 0.5 min, then ramped from 50 °C to 280 °C at 6 °C min-1. Compound ionization was at 70 eV electron impact, analyzing m/z+ 50 - 350. Mass spectrometer program included an initial 4 min delay followed by mass spectra collection between 4 min – 38 min. Compounds were identified by a combination of their gas chromatogram retention index and mass spectrum against published spectra [12].
RESULTS AND DISCUSSION
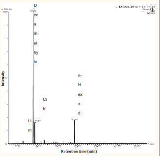
The GC-MS trace for sample #1, a Botswana insect repellent, is shown in (Figure 2)

Figure 2 :GC-MS trace of Botswana insect repellent, sample #1.
Limonene, decamethylcyclopentasiloxane, citronellal and the internal standard, n-hexadecane, elute at 7.71, 10.26, 10.67 and 20.65 min, respectively (see Figure 2 and Table 1).
Table 1: Percentage concentrations (%) of botanical ingredients in African insect repellents.
| Sample # | Time (min) |
1 | 2 | 3 | 4 | 5 | 6 | 7 |
| Origin | Botswana | Zimbabwe | ||||||
| Limonene | 7.71 | 2 | 2 | 2 | 2 | 2 | 17 | 8 |
| Decamethylcyclopentasiloxane | 10.26 | 84 | 83 | 80 | 84 | |||
| Isopulegol | 10.56 | 6 | 6 | 2 | ||||
| Citronellal | 10.67 | 14 | 15 | 18 | 14 | 17 | 14 | 8 |
| Citronellol | 4 | 3 | 2 | |||||
| Hexadecanol | 71 | 60 | 80 | |||||
Abbreviations: min: minutes
The mean ± standard deviation percentage concentration of limonene, decamethylcyclopentasiloxane and citronellal are 2.0 ± 0.0 %, 82.8 ± 1.9 % and 15.3 ± 1.9 %, respectively in the Botswana insect repellents (see Table 1). Decamethylcyclopentasiloxane is a preservative used in skin care products [13]. Citronellal and limonene are two of the four highest percentage composition ingredients of citronella oil [10]. 100 % citronella oil contains approximately 31 % citronellal [10], thus Botswana insect repellents are approximately 49 % citronella oil. The mean time to first bite of arms covered with 50 % citronella oil in cages containing Anopheles dirus mosquitos was 30 minutes [9], thus Botswana insect repellents are 100 % effective for approximately 30 minutes and hence do not meet the minimum requirement for insect repellent retail in Thailand (another Malaria endemic tourist destination) [6]. As Botswana insect repellents contain no DEET, they also do not meet the insect repellent recommendations of Australian travel doctors for patients travelling to Malaria endemic countries [4,5].
Isopulegol, citronellol and hexadecanol elute at 10.56, 12.32 and 25.82, respectively in the Zimbabwe insect repellents (see Table 1). The mean ± standard deviation percentage concentration of limonene, isopulegol, citronellal, citronellol and hexadecanol are 9.0 ± 7.5 %, 4.7 ± 2.3 %, 13.0 ± 4.6 %, 3.0 ± 1.0 % and 70.3 ± 10.0 %, respectively in the Zimbabwe insect repellents (see Table 1). Hexadecanol is an emulsifier widely used in cosmetics and topical medicaments [14]. Limonene, isopulegol, citronellal and citronellol are ingredients of citronella oil [10]. 100 % citronella oil contains approximately 31 % citronellal [10], thus Zimbabwe insect repellents are approximately 42 % citronella oil. Zimbabwe insect repellents are 100 % effective for less time than Botswana insect repellents and therefore meet neither Thailand nor Australian insect repellent regulations [4- 6].
DEET elutes at 20.16 min in the GC-MS traces of the Australian insect repellents. The mass loss of the diethyl amide group results in the dominant 119.06 m/z+, leaving behind the relatively stable configuration of the double bonded oxygen resonating with the benzene ring. The DEET mean ± standard deviation percentage concentration of Repel Tropical Strength insect repellents was 22.3 ± 2.5 % (see Table 2)
Table 2: Percentage concentrations (%) of DEET in Australian insect repellents.
| Sample # | Insect repellent type | Labelled percentage concentration (%) | Percentage concentration (%) |
| 8 | Repel Tropical Strength | 30 | 25 |
| 9 | 22 | ||
| 10 | 20 | ||
| 11 | Bushman Ultra Aerosol | 40 | 35 |
| 12 | 36 | ||
| 13 | 34 |
. The minimum times to first bite from Aedesaegypti mosquitos on arms covered with 20 % and 23.8 % DEET were 3 hours and 3 hours and 20 minutes, respectively [8]; thus Repel Tropical Strength insect repellents are 100 % effective for approximately 3 hours and hence exceed the minimum requirement for insect repellent retail in Thailand (another Malaria endemic tourist destination) [7]. However, Repel Tropical Strength insect repellents do not meet the insect repellent recommendations of Australian travel doctors for patients travelling to Malaria endemic countries [4,5], because they contain less than 30 % DEET.
The DEET mean ± standard deviation percentage concentration of Bushman Ultra Aerosol insect repellents was 35.0 ± 1.0 % (see Table 2). The minimum time to first bite from Aedesaegypti mosquitos on arms covered with 23.8 % DEET was 3 hours and 20 minutes [8], thus Bushman Ultra Aerosol insect repellents are 100 % effective for longer than 3 hours and 20 minutes and hence exceed the minimum requirement for insect repellent retail in Thailand [6]. Bushman Ultra Aerosol insect repellents also meet the insect repellent recommendations (30 % - 40 % DEET) of Australian travel doctors [4,5]. However, the average measured DEET percentage concentration of Repel Tropical Strength (22 %) and Bushman Ultra Aerosol (35 %) insect repellents were below the labelled DEET concentrations of Repel Tropical Strength (30 %) and Bushman Ultra Aerosol (40 %).
CONCLUSION
Botswana insect repellents are approximately 49 % citronella oil and Zimbabwe insect repellents are approximately 42 % citronella oil. Thus African insect repellents met neither the minimum requirement for insect repellent retail in Thailand [6], nor insect repellent recommendations of Australian travel doctors [4, 5]. Current travelers to sub-Saharan Africa need to take their own insect repellents with them from their own country and in the future insect repellent accessibility needs to be increased and safety regulations need to be implemented in sub-Saharan Africa.
Repel Tropical Strength insect repellents contained 22 % DEET and Bushman Ultra Aerosol insect repellents contained 35 % DEET. Thus both Australian insect repellents met the minimum requirement for insect repellent retail in Thailand [6]. However, only the Bushman Ultra Aerosol insect repellents met the insect repellent recommendations of Australian travel doctors [4,5]. Both Australian insect repellents had DEET percentage concentrations lower than their labelled values.
ACKNOWLEDGEMENTS
The authors would like to thank Dr John Kenafake (certified member of the Travel Medicine Alliance), Maroochydore Seven Day Medical Centre, Maroochydore, Queensland, Australia, 4558, for his up-to-date recommendations for patients travelling to Malaria areas.