A Rare Case of Plunging Infected Ranula: MRI Diagnosis
- 1. Department of Radiology, Catholic University, Italy
Abstract
Ranula is a rare benign acquired cystic lesion that occurs at the floor of the mouth. It is difficult to diagnose when it is plunging. The objective of this report was to describe a case of multicompartmental extensive ranula with atypical clinical and ultrasound features. We present a case of left submandibular swelling in a child. Imaging features (US and MR), differential diagnosis of huge submandibular lesions and tips of surgical strategies are discussed.MRplays an important role in the diagnosis of plunging ranula in children, addressing surgical approach and technique.
Keywords
Ranula; US; MR
Citation
Schiarelli C, Sciandra M, Tand T, Colosimo C (2016) A Rare Case of Plunging Infected Ranula: MRI Diagnosis. JSM Clin Case Rep 4(1): 1094.
ABBREVIATION
US: Ultrasound Scan; MR: Magnetic Resonance; MRI: Magnetic Resonance Imaging; W: weighted
INTRODUCTION
Ranula is a sublingual gland mucocele; it’s a mucous extravasation cyst, which occurs as a result of trauma or obstructionof the sublingual or minor salivary gland or the duct itself[1,2]. The term ranula is derived from the Latin word Ranawhich means “belly of a frog”, and classic ranula presents as a translucent swelling bluish appearance in the floor of the mouth, resembling the bulging underbelly of a frog[1,3-5].
Ranula can be classified in 2 groups, simple (intraoral) and plunging (deep/diving/cervical). Simple ranula is a true cyst, located above the mylohyoid muscle, with a lining formed by the sublingual gland capsule; plungingranula is apseudocyst partially contained by the remaining epithelium and inflammatory cells and it occurs when it becomes large, ruptures out of the posterior sublingual salivary gland into submandibular space below the level of the mylohyoid muscle[6].Ranula is an uncommon pathology in the oral cavity witha prevalence of 0.2 cases per 1000 persons[7]. Presentation is most frequently in the second and third decades of life, with an age range of 3–61 years [8].The most frequent clinical presentation is painless swelling of the sublingual space or submandibular space; when it enlarges, may produce deviation of the tongue, interfering with speech, mastication, respiration, and swallowing.There are different methods of treatment of ranula.For simple ranula the easiest and least invasive treatment is marsupialization with drainage naturally into the floor of the mouth. This treatment is associated with high recurrence rates, approximately 60% to 90%[2,4,9]. Traditional surgical management of ranula involves a two-pronged approach, one via the mouth and the other via the neck. Intraoral approach includes the excision of the ranula with or without excision of thesublingual gland or excision of the sublingual gland with “evacuation” of a plunging ranula. The extraoral approach removes the ranula sac together with the submandibular gland[1,2,10].
CASE PRESENTATION
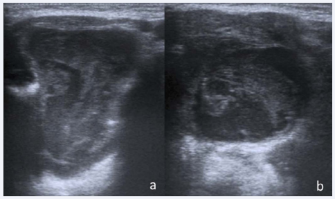
An 8-year-old male patient presented with a painless submandibular swelling, without fever or history of trauma. He came to our emergency departmentwithaweek-long history of a slowly enlargingleft neck mass. Physical examination revealed a soft submental mass extending into submandibularregion. There were noabnormalities of submandibular skin. The patient complained difficulties with speech, mastication and swallowing. An ultrasound scan (US) showed, in the floor of the mouth, a large complex mass measuring 5x4 cm, well-circumscribed, with heterogeneous echogenicity and unilocular morphology (Figure 1).
Figure 1 US images of large complex mass
(a,b) Trasversal (a) and oblique (b) ultrasound (US) images US images show a huge mass of 5x4 cm, with heterogeneous echogenicity, and convoluted morphology
There was no relationship with hyoid bone and no vascular signals were recognized at color Doppler US; there was noevidence of pathologicallyenlarged lymph nodes.
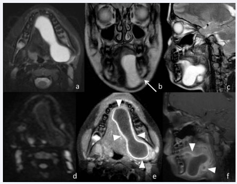
After 3 days an MRscan of the neck was performed. T2- weighted (w) andT1-w fast spin echo sequences before and after intravenous contrast administration were obtained in the axial, coronal and sagittal planes, with the addition of fatsaturation in axial plane; diffusion weighted images (DWI) were also performed in axial plane. The examinationdemonstrateda conspicuous left side lesion (measuring 7.5x2.8x4.5 cm), unilocular, hourglass shape, with sharp margins, emanating from the sublingual space, extending into the adjacent submandibular space. The masswashomogeneous, hypointenseon T1-w, markedly hyper intenseon T2-w and did not demonstrate restricted diffusion. After contrast administration the mass showed linear and thick enhancing wall(Figure 2).
Figure 2 MR imaging of plunging ranula
(a-c) Axial T2-w fat sat image (a), coronal (b) and sagittal (c) T2w images; d) axial diffusion weighted image (DWI);e-f) axial (e) and sagittal T1-w fat sat images. MRI showsan extensive left side lesion with sharp margins in sublingual and submandibular spaces. The lesion has homogeneous high signal intensity on T2-w sequences (a-c), without high signal on DWI (d) and with linear and thick enhancing wall (arrowhead). In this case there is the dehiscence of the mylohyoid muscle (arrow).
Anteriorly it extended to the submentalregion of both sides.Posteriorly and inferiorly itplunged through mylohyoid muscle.Posteriorly and medially extended to parapharingeal space. Adjacent soft tissue planes and structures appeared compressedand displaced; the mandible appeared normal with no evidence of destruction. The diagnosis of plunging ranula was postulated, after differential diagnosis from other swellings of the anterior-lateral neck region. Excision of the mass was carried out under general anesthesia via an intraoral technique, approaching the floor of the mouth. The left sublingual gland was excised with ranula marsupialization. Histopathological examination of the excised mass confirmed the diagnosis of mucous extravasation cyst, revealing a connective tissue with inflammatory cell response, lining the lumen. No recurrence has been observed atone-year follow up
DISCUSSION
Ranula is a benign mucous containing cyst of the sublingual salivary gland that is caused by either rupture or blockageof salivary duct, often occurring in children.Recognizing a ranula is not always easy. When it is an isolated,small and oral lesion the diagnosis is generally easy on clinical examination. Clinical diagnosis could be difficultwhen ranulapresentsas large cervical mass becauseit can mimic other soft tissue masses of the neck (dermoid, branchial cysts, lipomas, lymphangioma). These entities cannot be distinguished by clinical evaluation alone, so diagnosis requires imaging and fluid aspiration from the cervical swelling.Different diagnostic modalities are available. US is a noninvasive, cheap, reliable examination commonly used to investigate a neck mass in young people as it enables differentiation between cystic and solid masses and identifies anatomic location.It could be useful to identify a possible relationship with hyoid bone[5,11].Ranula usually appears like hypoechoic well defined mass. If ultrasound findings are unusual or inconclusive additional diagnostic imaging is required.
In children MR may be regarded as a gold standard as it gives high-resolution multiplanar images, determines precise location and involvement of the other surrounding soft tissue, shows the lesion’s content. It enables the differential diagnosis with the other cystic lesion of this region and gives important supplemental information for accurate preoperative planning[5]. On MR imaging, plunging ranula is unilocular mass and show a typically comet-shaped with its tail in collapsed sublingual space and its head in posterior submandibular space. The signal is low on the T1-w sequences and very high on the T2-w sequences, with a thin enhancing wall. If lesion is infected, it may exhibit thick, enhancing wall.Lesions that should be considered in childrenlocated in submandibular/sublingual spaces are: branchial cleft cyst, cystic hygroma, dermoid and epidermoid cyst, thyroglossal duct cyst, and abscess[7].Dermoid and epidermoid are cystic lesions, arising from congenital inclusion of dermal elements at site of embryonic 1° and 2° branchial arches, located on the floor of the mouth.Dermoid cystscontain proteinaceousmaterial andfat congenital inclusionwith variable signal characteristicsimaging. They are typically hyperintense (due to cholesterol components) on T1-w images but vary from hypo- to hyperintense on T2-w.Epidermoid cystsarise from ectodermal inclusions, mimiccerebral spinal fluid (CSF) on CT and MR, with homogeneous signal and restricteddiffusion on MRI [12]. These entities all differ in appearance on MRI from plunging ranula; the latter does not contain fatty component and shows increased diffusion in relation to water mucin [7]. Cystic hygroma is the most common form of lymphangioma that arises from embryonic lymph sac andthe most common location is posterior cervical triangle, followed by the oral cavity. The typical morphology is multilocular cystic mass with septae, easily identified on imaging, enabling the differential diagnosis fromplunging ranula, which is unilocular.In relation to the location, MR can distinguish ranula from branchial cleft cyst (in particular the 2° one)located usually medial to the anterior border of the sternocleidomastoid muscle and thyroglossal duct cyst that is usually a midline structure in the anterior neck, near the hyoid bone. Finally, in the differential diagnosis, abscess should be considered in septic patients with single or multiple ringenhancing fluid collections.
Our case is a rare extensive plunging ranula with multicompartmental involvement; the clinical diagnosis was difficult because the initial clinical presentation was submandibular swelling and only later involved the floor of the mouth. Furthermore lesion heterogeneous echogenicity and multicompartmental extensiondid not allow the correct diagnosis by ultrasound.Thick enhancing wall on MRIis an atypical finding for plunging ranula, nevertheless this technique allowed a correct diagnosis due to signal intensity characteristics, the ability to assess ramifications in deeper neck spaces, to evaluate the anatomic relationship with adjacent soft tissue, and especially to identify a connection to the sublingual space.
MR offered a definitive imaging diagnosis, thus representing a true “gold standard” tool for complex neck masses in children.
REFERENCES
3. Suresh BV, Vora SK. Huge plunging ranula. J Maxillofac Oral Surg. 2012; 11: 487-490.
4. Baurmash HD. Mucoceles and ranulas. J Oral Maxillofac Surg. 2003; 61: 369-378.
7. Bahnassy M. A huge oral ranula. Oman Med J. 2009; 24: 306-307.
12. Yamakawa H, Hattori T, Tanigawara T, Sahashi Y, Ohkuma A. Intracanalicular aneurysm at the meatal loop of the distal anterior inferior cerebellar artery: a case report and review of the literature. Surg Neurol. 2004; 61: 82-88.

