Acute Eosinophilic Pneumonia due to Extended-Release Exenatide
- 1. Department of Internal Medicine, San Antonio Military Medical Center, USA
- 2. Department of Pulmonology/Critical Care Medicine, USA
Abstract
Eosinophilic lung disease (ELD) is a spectrum of respiratory disorders characterized by airway and parenchymal inflammation associated with profound pulmonary eosinophilia with or without peripheral eosinophilia. Drug-induced eosinophilic pneumonia is one etiology of ELD, with non-steroidal anti-inflammatory drugs and antibiotics being the most common. We present the case of a 52 year-old female with complaints of acute dyspnea after recently starting extended-release Exenatide, a glucagon-like-peptide-1 agonist. Chest imaging revealed diffuse ground-glass opacities with mosaic attenuation throughout. Bronchoalveolar lavage (BAL) demonstrated40% eosinophils within the fluid with all cultures negative. Serologic evaluation for alternative etiologies was negative. The patient had radiographic improvement and complete resolution of symptoms after cessation of extendedrelease Exenatide and initiation of corticosteroid therapy. To our knowledge, this is
the only documented case of drug-induced acute eosinophilic pneumonia secondary to extended-release Exenatide.
Keywords
Eosinophilic pneumonia; Drug-induced lung disease; Extended-release Exenatide
Citation
Askin C, Sjulin T, Hull J, Reis J (2016) Acute Eosinophilic Pneumonia due to Extended-Release Exenatide. JSM Clin Case Rep 4(5): 1113.
ABBREVIATIONS
AEP: Acute Eosinophilic Pneumonia; TTE: Transthoracic Echocardiogram; Anti-CCP: Anti-Cyclic Citrullinated Peptide; AFB: Acid-Fast Bacilli; HRCT: High-Resolution Computed Tomography; ELD: Eosinophilic Lung Disease; BAL: Bronchoalveolar Lavage; WNL: Within Normal Limits; RF: Rheumatoid Factor; ANA: Antinuclear Antibody; ANA: Anti-Neutrophil Cytoplasmic Antibody
INTRODUCTION
Drug-induced eosinophilic pneumoniais an acute illness characterized by dyspnea, hypoxemia, diffuse pulmonary infiltrates, and pulmonary eosinophilia with or without peripheral eosinophilia associated with intake of an offending drug [1]. An investigation to rule out alternative diagnoses (atopy, infection, malignancy) is often performed as the clinical syndrome has significant overlap with other pulmonary diseases. Treatment includes stopping the offending medication and frequently the use of systemic corticosteroids to hasten the disease process. Over 300 medications have been known to cause AEP with non steroidal anti-inflammatory and antimicrobial medications being the most common [5]. We describe the only documented case of drug-induced eosinophilic pneumonia secondary to extendedrelease Exenatide
CASE PRESENTATION
A 52 year-old morbidly obese Hispanic female with a past medial history of hypertension and type 2 diabetes, and no known lung disease to include asthma/atopy, presented with a three day history of new onset dyspnea at rest, non-productive cough, and fatigue. Patient denied fevers, sick contacts, and had no recent travel. She was a lifetime non-smoker with no environmental or occupational pulmonary exposures. The patient started extended-release Exenatide injections three weeks ago and had an erythematous, pruritic reaction at the injection site with each prior injection that would last for days. Other medications included metformin, atorvastatin and lisinopril. Vital signs on presentation showed a blood pressure of 143/88, a heart rate of 81, and a temperature of 98.1°F. ABG showed a pH of 7.43, pCO2 of38, and a paO2 of 67 while on aFiO2 of 36%. Physical exam was notable for diffuse bilateral end-inspiratory rales, no lower extremity edema, and resolution ofher previous rash at the site of her injections. Initial blood-work and urinalysis were only notable for a leukocytosis of 13,790 with 7.5% eosinophils (1,034 absolute eosinophils), a mildly elevated D-Dimer of 0.87 mcg/ml (ref range 0-0.43), procalcitonin of <0.05 (reference range <.5), and a negative respiratory virus panel PCR. HerESR was elevated at 42 mm/hr (normal 0-30) and her C-Reactive Protein was increased to7.5 mg/dl (normal 0-0.49). Serologies for connective tissue diseases were negative. Her ANCA was negative. Serologies for systemic fungal infections were negative. Normal Pro-BNP of 102 pg/ml (normal 0-125) and normal troponin T < 0.01 ng/ml with her electrocardiogram showing normal sinus rhythm with no evidence of ischemia or right ventricle strain. Computed to mography (CT) pulmonary angiogram was negative for pulmonary embolism. Her high-resolution computed tomography (HRCT) showed diffuse bilateral ground-glass opacities with areas of mosaic attenuation and no mediastinal lymphadenopathy. Transthoracic echocardiogram was normal with a left ventricular ejection fraction of 65%, normal left ventricular diastolic function, and no significant valvular disease.
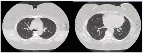
The patient’s symptoms intensified and hypoxemia worsened within 48 hours of admission which subsequently required humidified high flow nasal cannula to maintain her SpO2 saturations above 92%. Bronchoscopy with BAL was performed which showed a cell differential of 40% eosinophils, 45% macrophages and 15% lymphocytes. Bacterial, fungal, and AFB cultures were all negative. Viral PCR, herpes simplex virus antigen, and galactomannan antigen were also negative. Cytology demonstrated no evidence of malignancy (Figure 1,2).
Figure 1 HRCT showing diffuse bilateral ground-glass and patchy airspace opacities with areas of mosaic attenuation.
Figure 2 CT Non-Contrast 4 weeks after stopping extended-release Exenatide and starting prednisone, showing complete resolution of bilateral ground-glass.
A diagnosis of acute eosinophilic pneumonia was made and the patient was started on high dose prednisone (0.5mg/kg). Within 48 hours the patient’s symptoms markedly improved as well as her hypoxemia, and she was discharged home with supplemental oxygen at 2 liters per minute. At one week followup all symptoms had resolved and the patient was not requiring supplemental oxygen. Repeat non-contrast chest CT at four weeks showed complete resolution of the bilateral ground-glass airspace opacities. All laboratory data revealed no evidence of a rheumatologic or infectious etiology and thus, the patient was ultimately diagnosed with acute eosinophilic pneumonia due to extended-release Exenatide.
DISCUSSION
Eosinophilic lung disease (ELD) is abroad term for symptomatic pulmonary pathology associated with pulmonary eosinophilia and/or peripheral eosinophilia [1]. ELD can be subdivided into primary and secondary ELD based upon etiology. Primary ELD may be isolated to the lung, such as in idiopathic acute and idiopathic chronic eosinophilic pneumonia or associated with systemic disease as in eosinophilic granulomatosis with polyangiitis (formerly known as Churg–Strauss syndrome) or hypereosinophilic syndrome. Secondary ELD can be due to infections, malignancy, rheumatologic disease, or drug/toxinmediated and are of a higher prevalence than primary ELDs [1].
Initial laboratory evaluation includes a complete blood count with differential evaluating for peripheral eosinophilia, which is defined as > 400 cells/mm3 . Hypereosinophilia is defined as a eosinophilia > 1500 cells/mm3; evidence of chronicity and end-organ damage from eosinophilia is referred to as the hypereosinophilic syndrome. The level of blood eosinophils, however, does not correlate to the severity of disease as eosinophils are located primary within tissues. An elevated IgE> 100 U/ml is often observed. Laboratory evaluation of general inflammatory markers (ESR, CRP), specific rheumatologic markers (ANA, dsDNA, RF, anti-CCP), and an infectious work up looking for evidence of fungal, parasitic, viral or bacterial involvement is performed to excluded those diagnoses which can have similar presentations.
Chest radiography and HRCT are key component for the evaluation of ELDs. HRCT abnormalities can vary based on etiology of ELD but often show ground glass opacities, diffuse reticular opacities, varying degrees of bronchiectas is or airway inflammation, and/or consolidations [2]. The pattern seen on imaging may guide clinicians towards an etiology for a patient’s ELD, have help guide a bronchoscopic evaluation, and is ultimately valuable for monitoring patient’s response to therapy.
Bronchoscopy with BAL is often used as an adjunctive diagnostic tool to assess the degree of pulmonary eosinophilia; furthermore, specimens can be sent for microbiologic and cytologic evaluation.BAL fluid in normal individuals should have less than 1% eosinophils [9]. If BAL fluid has >25% eosinophils then the patient has pulmonary eosinophilia. This, in combination with the clinical syndrome of dyspnea, hypoxia, and radiographic abnormalities, is supportive of a diagnosis of eosinophilic pneumonia [4].
In drug and toxin-induced ELD, disease is thought to be caused by an MHC-II-mediated mechanism whereby alveolar macrophages encounter an epitope on a drug or toxin, recruit Th2 lymphocytes, which in turn recruit eosinophils via IL-5 [3]. There are over 300 medications known to cause ELD with antibiotics (e.g. nitrofurantoin and minocycline) and nonsteroidal anti-inflammatory drugs (e.g. acetylsalicylic acid) being the most common offending medications. In cases of toxin or drug exposure thought to cause ELD, primary management includes cessation of the offending agents or removal of the toxin. Treatment with systemic corticosteroids is often utilized to reduce the eosinophilic inflammation and shorten the duration of symptoms.
Exenatide is a glucagon-like-peptide-1 agonist commonly used in the management of diabetes. Exenatide is a synthetic injectable drug based upon a hormone discovered in Gila monsters in the early 1990’s. Exenatide has an extended-release injectable suspension (tradename, Bydureon®) which is administered once a week. Most common side effects include headache, nausea and local site reactions. There have been reports of hypersensitivity pneumonitis occurring due to exenatide use, but no reports of systemic or pulmonary eosinophilic disease.
Our case of acute eosinophilic pneumonia secondary to extended-release Exenatide is the first published case report to our knowledge. This case is important due to the growing prevalence of diabetes and the increasing use of extendedrelease Exenatide. Clinicians should be aware of this rare, but serious adverse reaction. A systemic reaction to extended-release Exenatide should be in the differential when evaluating a patient presenting with dyspnea and a clinical syndrome consistent with eosinophilic lung disease.

