An Unlikely Cause of Back Pain: Eikenella corrodens Osteomyelitis
- 1. Department of Internal Medicine, UC Davis Medical Center, USA
Abstract
Back pain is an exceedingly common complaint in primary care medicine. When conservative therapy for acute lower back pain fails, clinicians may be faced with a diagnostic dilemma. We present a case of osteomyelitis of the spine in a patient who presented with a seemingly-uncomplicated case of acute lower back pain. MRI eventually revealed multiple spinal lesions consistent with osteomyelitis. Cultures revealed the etiologic agent to be Eikenella corrodens, a gram negative facultative anaerobe that is part of the normal oropharyngeal flora and very uncommonly causes spinal infections. When conservative therapy for back pain fails, clinicians should aggressively seek answers. Osteomyelitis of the spine should be considered in the differential diagnosis, even for patients without underlying risk factors.
Keywords
Osteomyelitis; Eikenella; Back pain; Spinal infection
Citation
Heiman E, Keenan C (2015) An Unlikely Cause of Back Pain: Eikenella corrodens Osteomyelitis. JSM Clin Case Rep 3(3): 1087
ABBREVIATION
Iv: Intravenous; ESR: Erythrocyte Sedimentation Rate; CRP: C - reactive protein
CASE REPORT
A 65 year-old man presented to our hospital for uncontrollable back pain and a lumbar spine lesion on MRI.
The patient was in his usual state of good health until 7 weeks prior to presentation, when he developed acute back pain several days after lifting scuba gear. The pain was described as “sharp” and “excruciating”, located at bilateral lower back with radiation to the groin. There was no associated numbness or tingling, no weakness, and no bowel or bladder changes. The severity of his pain prompted an emergency room visit, where plain radiographs of the thoracic and lumbar spine were unremarkable. He was discharged with opioid analgesics and benzodiazepines for muscle strain and spasm. He continued to worsen on this regimen and visited his primary care doctor, who treated him with high dose NSAIDS, heating pads, and physical therapy.
The patient had been in excellent health previous to the start of his symptoms, with only a diagnosis of erectile dysfunction and intermittent herpes labialis. He took aspirin, fish oil, and a multivitamin daily, and took valacyclovir and sildenafil as needed. He worked as an investment advisor, lived with his wife in the Sacramento, California area. He had never been a cigarette smoker, drank a single glass of wine per night, denied any history of illicit or intravenous drug use and had no recent travel.
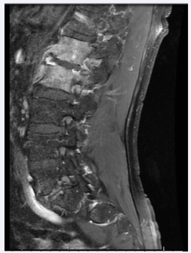
After six weeks without improvement with regular physical therapy, his exam remained unchanged, and an MRI was obtained(Figure 1).
Figure 1 Sagittal T1-weighted Contrast MRI of Lumbar Spine showing abnormal signal enhancement at L1 and L2.
It showed multiple areas of abnormal enhancement involving cancellous portions of L1 and L2, with extension into the adjacent paraspinal musculature. Laboratory studies were unremarkable except for mild normocytic anemia with a hemoglobin of 11.2 mg/CL, and elevated ESR and CRP levels, at 65 mm/hr and 16.1 mg/L, respectively. An urgent biopsy under fluoroscopy was obtained. After the biopsy, the patient was admitted to the inpatient medicine service for pain control and management of presumed vertebral osteomyelitis. His physical examination revealed normal vital signs and a normal exam except for lumbar spine and paraspinal pain with palpation. He was treated with broad-spectrum antibiotics (vancomycin and ceftriaxone) and parenteral opioids for pain control. On the fourth day after the patient’s biopsy, his tissue cultures grew out Eikenella corrodens.
The patient was treated with 6 weeks of IV ceftriaxone. Multiple blood cultures were negative. A trans-thoracic echocardiogram did not reveal vegetations. On further questioning, the patient reported that several weeks prior to the onset of his back pain, he began a regimen of very aggressive daily aggressive dental hygiene with a metal pick, often causing bleeding.
DISCUSSION
First characterized by Eiken in the 1950s [1], Eikenella corrodens is a gram negative, facultative anaerobe that demonstrates “fastidious”, slow growth in culture media. E. corrodens is recognized as a part of the normal human oropharyngeal flora [2], and can be a significant pathogen in head and neck infections including mandibular osteomyelitis, [3,4] meningitis, [5] tonsillitis, [6] and sinusitis [7,8] . It is often implicated in soft tissue infections associated with direct inoculation from oropharyngeal secretions, including fist fight injuries,9 fingernail biting10 and “needle lickers’ injuries” [11]. Direct inoculation has been shown to cause not only soft tissue infections but also osteomyelitis, by such methods as toothpick injury.12
More rarely, E. corrodens has been implicated in infections of the thoracic cavity [13-15] and in intra-abdominal abscesses [16,17]. It is recognized as one of the HACEK group of slowgrowing etiological agents of infective endocarditis, though recent case series suggest that E. corrodens is a less frequent culprit than other HACEK group members [18].
Back pain is an exceedingly common complaint in primary care medicine [19] .When conservative therapy for acute lower back pain fails, clinicians may be faced with a diagnostic dilemma. One less frequently-encountered cause of acute back pain in general practice is osteomyelitis of the spine. Spinal osteomyelitis is most often caused by Staphylococcus aureus, via bacteremic seeding or direct inoculation. Although E. corrodens is frequently implicated in osteomyelitis, only rare cases in the literature have described E. corrodens infections of the spine. One case described is by direct inoculation via a fishbone traversing the patient’s pharynx [20]. Others implicated co-morbidities and associated procedures, including a recent cardiac catheterization and valvular heart disease [21], a recently-removed infected vascular graft [22], recent dental manipulation, [23] and a spinal
hemangioma that acquired an E. corrodens super infection [24].
Our case was atypical for spinal osteomyelitis in its etiological agent and also atypical in that our patient had no clear risk factors for E. corrodens infection. In retrospect, he likely caused bacteremia during his aggressive dental hygiene, which seeded his lumbar vertebrae.
CONCLUSION
This is a rare case of Eikenella osteomyelitis in an otherwise healthy individual, without clear risk factors other than aggressive personal dental hygiene in a person with good dentition. When conservative therapy is not improving back pain, clinicians should aggressively seek to identify the etiology of the patients’ pain. Patients with suspected osteomyelitis should be questioned not only about potential infectious sources (i.e. recent infections, instrumentation), but also about recent visits to the dentist and their own dental hygiene habits at home.
ACKNOWLEDGEMENT
The authors wish to thank the UC Davis Department of Internal Medicine for supporting our clinical work.
REFERENCES
4. Chow AW, Roser SM, Brady FA. Orofacial odontogenic infections. Ann Intern Med. 1978; 88: 392-402.
11. Swisher LA, Roberts JR, Glynn MJ. Needle licker’s osteomyelitis. Am J Emerg Med. 1994; 12: 343-346.
12. Polin K, Shulman ST. Eikenella corrodens osteomyelitis. Pediatrics. 1982; 70: 462-463.
19. Deyo RA, Weinstein JN. Low back pain. N Engl J Med. 2001; 344: 363- 370.
