Family Aggregation as a Diagnostic Factor for Aggressive Periodontitis
- 1. Department of Periodontology, Federal University Rio Grande do Sul, Brazil
Abstract
Periodontal diseases have as their main etiology the bacterial biofilm. The continuous deposition of the biofilm in the gingival tooth region without adequate periodic removal initiates the inflammatory response of the host, causing gingivitis, depending on the host’s susceptibility, gingivitis progresses to a more severe form of periodontal disease, periodontitis, which manifests itself two different ways, with different diagnosis and treatment: chronic or aggressive periodontitis. Aggressive periodontitis is characterized as a disease of low prevalence and rapid progression, mainly affecting young and adults systemically healthy. It is observed the occurrence of severe insertion loss, with formation of deep periodontal pockets and bone destruction. It is also related to local factors such as plaque and calculus, and their presence is not compatible with the periodontal destruction found in many cases. The radiographic features are angular bone loss in the region of incisors and first molars being denominated localized and it can also affect all teeth of the buccal cavity and called generalized. Besides the susceptibility of the host and the most virulent microbiological aspects, aggressive periodontitis has an important factor in the diagnosis of familial aggregation.
Keywords
Periodontal disease; Aggressive periodontitis; Family aggregation
Citation
Toniazzo MP, Lopes Daudt FAR (2017) Family Aggregation as a Diagnostic Factor for Aggressive Periodontitis. JSM Clin Case Rep 5(4): 1138.
ABBREVIATION
AgP: Aggressive Periodontitis; PD: Probing Depth; CAL: Clinical Attachment Loss; VPI: Visible Plaque Index; GBI: Gingival Bleeding Index
INTRODUCTION
Periodontal diseases are traditionally characterized as inflammatory, infectious diseases, products of the interaction between biofilms and the inflammatory and immune response of the host. This interaction is modulated by systemic and environmental conditions and by genetic factors [1]. Aggressive periodontitis [AgP] affects clinically healthy individuals, except for the presence of periodontal disease, characterized by rapid loss of bone insertion and destruction, the amount of plaque present inconsistent with the destruction of periodontal tissues, and family aggregation [2].
AgP presents a very characteristic familial distribution. When examining the prevalence of AgP in family aggregation studies, it is possible to observe a percentage of affected relatives varying from 8% in a family group in the United Kingdom [3] to 63% in a Brazilian family [4].
The detection of elevated levels of certain cytokines and antibodies in patients with AgP, as well as the perception of the family aggregation pattern of the disease, have led to studies [5- 7] to evaluate polymorphism. Linkage analysis and segregation of families with a genetic predisposition to localized AgP suggests that an important gene or set of genes plays a role in AgP, which is transmitted through an autosomal dominant mode of inheritance in South American populations [8]. In view of this, dental surgeons should consider the hereditary pattern of alveolar bone loss and investigate the presence of AgP within the family.
CASE PRESENTATION
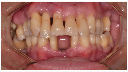
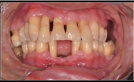
A 36-year-old male patient, melanoderma, was referred to the Specialization Course in Periodontics at the UFRGS Dental Clinic, complaining of marked mobility in all teeth of the mouth (Figure 1 and 2).
Figure 1 Initial photo - Front view.
Figure 2 Final photo – Front view.
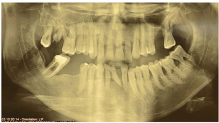
During the anamnesis, the patient did not report being a carrier of systemic diseases; declared him non-smoker. He reported regular tooth brushing three times a day with regular flossing and mouth washing. Asked about similar periodontal diseases in the family, he said he did not know. Radiographic examination revealed generalized vertical bone loss, being more localized in the molar and incisor regions. The diagnosis was aggressive periodontitis (Figure 3).
Figure 3 Radiography.
Extraoral examination was normal. During the intrabuccal examination, presence of several gingival recessions, periodontal clinical parameters were used: visible plaque index [VIP], gingival bleeding index [GBI], probing depth [PD] and clinical insertion oss [CAL]. Gingivitis induced by bacterial plaque and severe AgP was diagnosed. The presence of plaque visible in 41% of the faces and 35% of marginal bleeding justifies the diagnosis of gingivitis, the loss of insertion in all teeth, justifies the diagnosis of periodontitis. The presence of insertion loss between 1 and +10 mm in several teeth with a mean insertion loss of 6.61mm occurring in a period of maximum 20 years and degrees III furcation lesions in all molars in an adult indicates an important pattern of periodontal destruction, not compatible with slow and continuous progression of chronic periodontitis. Another factor that supports the diagnosis of aggressive periodontitis is the rapid progression of insertion loss, due to the presence of vertical bone loss identified in the radiographic examination [for example, teeth 12,11,24,47,42,31,36 and 37] (Figure 4 ).
Figure 4 Percentage of VPI and GBI of the Supragingival Control between initial examination, intermediate examination and the final examination.
The treatment established was basic periodontal [oral hygiene orientation, supra, and subgingival scaling in all sextants], polishing after each scraping session, extirpation of the unrecoverable teeth.
DISCUSSION
AgP today is a disease characterized by diseases earlyonset age; and the absence of systemic diseases; a rapid vertical loss of the supporting alveolar bone, resulting in infra-bony pouches more than four millimeters deep [8-11]. These infrabony pouches can lead to furcation compromising and cause mobility in permanent teeth. The most serious consequences are dental losses [12,13], as observed in the case reported here. As in chronic periodontitis, AgP is also related to local factors such as plaque and calculus, however, usually presenting a number of these incompatible with tissue destruction. In general, AgP may be associated with the presence or absence of specific microbiological factors or host factors and the response of the disease to therapy [9,14].
AgP can be classified as localized and generalized. The localized form is characterized by to affect first molars and permanent incisors, with loss of supporting alveolar bone and the generalized in no more than two teeth other than first molars and incisors [9]. There should be no local factors, such as subgingival restorations or poorly adapted fixed prosthetic crowns, in the areas of periodontal destruction.
The diagnosis of AgP should be made by anamnesis and medical history, which seeks to exclude systemic disease related to AgP. In addition, perform a thorough clinical examination, including periodontal probing, for the detection of bone loss. The radiographic examination is imperative [panoramic, periapical and bite wing] for radiographic evaluation of the vertical bone loss around the affected teeth. In the anamnesis, consider also possible hereditary factors [15].
The most common initial signs are the mobility and migration of the first molars and permanent incisors [12,16]. Usually, there is a distobuccal migration of the upper incisors with the appearance of diastema. Depending on the progression of the disease, other signs and symptoms may arise, such as exposure of the root surfaces, pain during mastication, and periodontal abscesses. Radio graphically, vertical loss of alveolar bone around the first molars and permanent incisors can be observed, a sign of probable AgP [15,17]. Other radiographic findings include “arch loss of the alveolar bone, extending from the distal surface of the second premolar to the mesial surface of the second molar” [18].
The objective of the treatment of periodontitis is associated with reduction of inflammatory descriptors, periodontal bleeding, suppuration and depth of probing and with the stability of the descriptors of destruction, loss of insertion and bone loss. It is important to remember that a prerequisite for the treatment of periodontitis is to have an adequate control of the supragingival biofilm associated with the absence of gingival bleeding [19]. This will prevent subgingival reinfection from the presence of the supragingival biofilm in addition to differentiating gingival bleeding from periodontal [20]. The prevention and control of AgP are a challenge [21]. Non-surgical periodontal therapy alone, although effective in treating chronic periodontitis, appears less effective in patients with AgP [22].
The efficacy of systemic antibiotics as adjuncts in nonsurgical treatment has been investigated, including tetracycline, amoxicillin, metronidazole and combinations thereof [23]. Etiology of AgP, according to several authors, is caused by bacteria. The presence of Aggregatibacter actinomycetemcomitans, in addition to Pophyromonas gingivalis, Bacteroides forsythus and Treponema denticola are reported [9,18,24,25]. Generally, studies show better clinical outcomes following the use of antibiotics [26,27], although the results are sometimes inconsistent [28]. The range of antibiotics used in the treatment of periodontal infections is quite extensive. However, clear guidelines for the use of these agents in clinical practice are not yet available [29]. Basic questions about the use of systemic antibiotics to treat periodontitis remain unanswered, such as: which drug [s] should be used; which patients would benefit most from treatment; which are the most effective protocols [ie doses and durations]; since the same clinical form of periodontitis can be caused by different microorganisms in different patients [26,27] .
There is a distinct tendency of AgP for familial aggregation, precisely because the susceptibility to AgP can be transmitted. In this context, it is crucial to evaluate siblings and other family members of affected patients [2,5,8,9, 30]. The diagnostic form provides valuable information about the level of risk eventually shared among family members, and helps establish the need to monitor clinically unaffected individuals [8,31].
Page and Vandesteen 1985 [15], carried out research with a family composed of six individuals [father, mother and four children]. After analyzing five individuals in this family [parents, 14-, 12- and 5-years-old children], they concluded that AgP is hereditary, since it was found in four of the five individuals examined, with only the five-years-old child yet the disease. Several authors, at different times, observed the family pattern of AgP with respect to genetic effects and environmental factors. They concluded that these contribute to the development of the disease. Aggregatibacter actinomycetemcomitans diffuses among members of the same family in two ways: transmission through interfamily contact or through genetic transmission of susceptibility to disease [32].
Studies have concluded that AgP is transmitted genetically by the dominant X chromosome. The authors used mice in their work, proving that rats were twice as affected by AgP compared to rats, and father-to-child transmission did not exist because the mouse sends only the Y chromosome to the child [25]. The rapid periodontal destruction present in AgP is an extremely important factor because it is an infectious inflammatory disease characterized by a highly virulent microbiota and / or a high level of susceptibility of the individual.
For the diagnosis of AgP, we must consider the rapid destruction of the support structures of the periodontium, vertical or cup-shaped radiographic bone loss and the distribution among family members.
The parameters: genetic susceptibility, specific bacterial pathogens and immune response by the host should also be observed.
The fact that the patient reports that his sister “has also been treated in this college with the same disease he has” along with clinical and radiographic examination. It helped us arrive at the diagnosis of generalized AgP.
This reinforces the importance of evaluating siblings and other family members of affected patients. So that we can help establish earlier diagnoses within the family and establish the need to monitor clinically unaffected individuals (Table 1).
| Table 1: Percentage of PD and CAL in sites probed in the initial exam, intermediate exam and final exam | ||||||
| Baseline | Intermediate | Final | ||||
| PD | CAL | PD | CAL | PD | CAL | |
| < 3mm | 27% | 14% | 27% | 13% | 48% | 10% |
| 3 mm ≥ 6 mm | 48% | 40% | 52% | 45% | 37% | 56% |
| 7 mm ≥ 10 mm | 25% | 37% | 12% | 33% | 15% | 29% |
| > 10 mm | 0% | 9% | 0% | 9% | 0% | 5% |



