Loading

JSM Clinical Case Reports

Optic Nerve Cyst Associated with Optic Disc Pit in a Child with Multi-Cystic Kidney

Case Report | Open Access | Volume 8 | Issue 2

  • 1. Department of Ophthalmology, Gold Coast University Hospital, Australia
  • 2. Department of Radiology, Gold Coast University Hospital, Australia
+ Show More - Show Less
Corresponding Authors
Verlyn Yang, Department of Ophthalmology, Gold Coast University Hospital, Australia
Abstract

In this case report, we present an unusual case of a 7-year-old female who came to the attention of the Ophthalmology department for reduced vision in the right eye 6/18 (LogMAR 0.4) with normal vision in the left eye. Fundoscopic examination revealed signs of an optic disc coloboma associated with an optic disc pit with adjacent sub-retinal fluid extending to the macula. She was born with a left multi-cystic kidney. Further work-up in the form of MRI and USG Orbits demonstrated a well-defined optic pit at the optic nerve head and a tubular channel extending to a 6-7mm multi-cystic lesion.

Keywords

Optic nerve cys; Optic disc pit; Coloboma; ODP-M

Citation

Yang V, Bhuta S, Kirpalani A (2020) Optic Nerve Cyst Associated with Optic Disc Pit in a Child with Multi-Cystic Kidney. JSM Clin Case Rep 8(2): 1179.

ABBREVIATIONS

Optic disc pit maculopathy (ODP-M); Magnetic Resonance Imaging (MRI)

INTRODUCTION

Congenital optic disc pit is an uncommon congenital condition occurring in about 1 in 11, 000 people with no known risk factors [1]. There has been suggestion of possible autosomal dominant inheritance but no genes have been identified as of yet [2]. Reported incidence of bilateral optic disc pits is 10-15% [3]. Often, the optic disc pit is detected in an asymptomatic patient undergoing routine ophthalmic fundus examination. The pits are generally found infero-temporally within the nerve or centrally. They appear to be a round or oval depression differing in pigmentation from the nerve [3]. Patients become symptomatic with visual deterioration when optic disc pit maculopathy (ODP-M) develops including the collection of intra- and subretinal fluid and retinal pigment changes [4]. ODP-M develops in 25-75% of patients with ODP often in their 3rd and 4th decades of life [5] but cases of paediatric ODP-M have been reported [6]. The association of a cyst adjacent to the ODP is highly unusual and has only been isolated to case reports [7,8].

CLINICAL PRESENTATION

A 7-year-old girl was referred to the Ophthalmology department for reduced vision in her right eye. She was diagnosed with a left multi-cystic kidney at birth. This had regressed effectively, leaving her with a solitary functioning kidney. Parents reported that she had been struggling at school and was diagnosed with learning difficulties. She was also being treated for Attention deficit hyperactivity disorder (ADHD). Her mother had been diagnosed with Stragardt’s disease. There were no other systemic, familial or genetic conditions of note.

On examination, her visual acuity was noted to be right eye: 6/18 (LogMAR 0.4), left eye: 6/9 (LogMAR 0.1), with no refractive error. Significantly, she was found to have an anomalous optic nerve appearance in the right eye on fundus examination. There were signs of an optic disc coloboma with an ODP visualized. Left eye was unremarkable.

INVESTIGATIONS/IMAGING FINDINGS

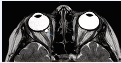
MRI of the brain and orbits was organized to exclude structural abnormalities of the brain and to better visualize optic nerve abnormalities. MRI brain was normal and the optic nerve pit was well-visualized. However, the pit extends in a tubular fashion to form a peripapillary cyst as illustrated in Figure 1.

Figure 1 T2 axial image of the Right optic nerve pit, tubular extension (orange arrow) into a cystic structure which enhances with contrast (blue arrow).

The appearance is distinct from that expected of a morning glory syndrome. The cyst appears to be of 6-7mm in size.

Ultrasound imaging of the orbit, further characterized the ODP measuring at 1.1mm (Figure 2a).

Figure 2 Ultrasound orbit. (a) ODP measuring 1.1mm and linear hypoechoic tract. (b) hypoechoic cyst.

It also shows a linear hypoechoic tract extending from the pit into an irregular hypoechoic cyst (Figure 2b).

Color fundus photograph shows an ODP on the temporal aspect of the disc and a coloboma, as illustrated in Figure 3,4.

Figure 3 Colour fundus photograph demonstrating ODP on temporal aspect of disc (grey arrow) and coloboma inferiorly (green arrow).

Figure 4 OCT imaging. (a) OCT Disc demonstrates the ODP and coloboma. (b) cross section of the retina demonstrating sub-retinal fluid (red arrow), corresponding to area marked with red arrow in (a), associated with the ODP; (c) cross section of the retina at the fovea demonstrating perifoveal intra-retinal fluid (yellow arrow), corresponding to area marked with yellow arrow in (a).

DIFFERENTIAL DIAGNOSES

The presence of an ODP could be a variant of an optic disc coloboma and an isolated finding in a well-child but it has also been associated with congenital anomalies such as renal hypoplasia, Aicardi syndrome amongst others4 . In this patient, we seek out a possible unifying diagnosis with differential diagnoses including PAX2-related disorder (or synonym: Papillorenal syndrome), PAX6-related disorder, CHARGE syndrome and Cateye syndrome, amongst others9 . The patient has been worked up from a genetic point of view. However, there have been no significant genetic causative mutations identified.

Another differential diagnosis is the morning glory disc but that is easily ruled out clinically.

The ODP is typically found in an asymptomatic individual but can cause visual problems when the macular is involved, termed Optic Disc Pit – Maculopathy (ODP-M). In this case report, the patient had sub-retinal fluid associated with the ODP and intraretinal fluid in the perifoveal region, which is the likely cause of her reduced vision in the right eye.

Multiple hypotheses exist to explain the source of fluid in ODP-M. The most common theory relates to vitreous associated with vitreous liquefaction, supported by the observation of ODP-M occurring commonly between ages 30-40 [10,11] and small studies showing spontaneous resolution of ODP-M with completion of posterior vitreous detachment (PVD) [12]. Other hypotheses include cerebrospinal fluid (CSF) communication between the subarachnoid and subretinal spaces [13]. Other theories relate to the concept of blood vessel leakage at the ODP and Bruch’s membrane but have been disproved respectively [14,15]. The most popular theory relating to vitreous traction does not hold in the paediatric population as PVD does not occur in this age group [16].

TREATMENT

Many treatment options have been discussed in literature including peripapillary laser, pneumatic displacement or pars planar vitrectomy with limited efficacy and drawbacks17, 18. Our child remained clinically stable over the last 12 months, with no significant change of visual acuity and findings on OCT-M, with no intervention. We will continue to observe her at regular intervals.

The presence of an optic nerve cyst in association with an ODP is extremely rare and has only been mentioned in two case reports in literature till date7, 8. In the report by Lee et al.7 , the patient had compressive optic neuropathy with electrophysiology changes and visual field defect to complement resulting from a 6x6mm optic nerve cyst within the sheath. In our case, the ODP cyst was not found to be within the sheath. Our child was too young to perform a reliable visual field test and the likelihood of positive findings in her are low. However, that would be attempted when she gets older

CONCLUSIONS

In conclusion, we report an unusual case of a young child with ODP-M with co-existing congenital renal abnormalities for which a unifying diagnosis is sought. The incidental radiological findings of a cyst in this child will prompt ongoing monitoring to ensure the cyst does not grow to a size that would cause compressive optic neuropathy. Neuroimaging should be considered for patients with atypical optic nerve head appearances if they have visual field defects.

LEARNING POINTS

• Congenital optic disc pit is an uncommon congenital condition which may be hereditary but the genes have not yet been identified.

• Optic nerve cysts are a rare entity.

• The clinical significance is the potential for compressive optic neuropathy; hence, it should be identified if present.

• Optic disc pits can have maculopathies associated with it and cause reduction in vision.

• Patients with such findings should be referred to an Ophthalmologist for clinical correlation of imaging findings.

REFERENCES

1. Gordon R, Chatfield R. Pits in the optic disc associated with macular degeneration. Br J Ophthalmol. 1969; 53: 481-489.

2. Slusher M, Weaver R, Greven C, Mundorf T, Cashwell L. The Spectrum of Cavitary Optic Disc Anomalies in a Family. Ophthalmol. 1989; 96: 342-347.

3. Brodsky M. Congenital optic disk anomalies. Survey Ophthalmol. 1994; 39: 89-112.

4. Georgalas I, Ladas I, Georgopoulos G, Petrou P. Optic disc pit: a review. Graefes Arch Clin Exp Ophthalmol. 2011; 249: 1113-1122.

5. Brown G, Shields J, Goldberg R. Congenital Pits of the Optic Nerve Head. Ophthalmol. 1980; 87: 51-65.

6. Rii T, Hirakata A, Inoue M. Comparative findings in childhood-onset versus adult-onset optic disc pit maculopathy. Acta Ophthalmologica. 2012; 91: 429-433.

7. Lee P, Huang M, Wang T. Optic disc pit combining with an optic nerve cyst -A case report. Taiwan J Ophthalmol. 2012; 2: 31-34.

8. Huang T, Lin K, Sheu M, Tsai R. Optical Coherence Tomography of a Coexisting Optic Nerve Cyst and Optic Disc Pit: A Case Report. Kaohsiung J Med Sci. 2010; 26: 261-265.

9. Adam M, Ardinger H, Pagon R, Wallace S, Bean L, Stephens K, et al. Gene Reviews. Seattle: Differential_Diagnosis; 2018.

10. Theodossiadis G. Treatment of Maculopathy Associated With Optic Disk Pit by Sponge Explant. Am J Ophthalmol. 1996; 121: 630-637.

11. Kuhn F, Kover F, Szabo I, Mester V. Intracranial migration of silicone oil from an eye with optic pit. Graefes Arch Clin Exp Ophthalmol. 2006; 244: 1360-1362.

12. Bonnet M. Serous macular detachment associated with optic nerve pits. Graefes Arch Clin Exp Ophthalmol. 1991; 229: 526-532.

13. Krivoy D, Gentile R, Liebmann J. Imaging Congenital Optic Disc Pits and Associated Maculopathy Using Optical Coherence Tomography. Arch Ophthalmol. 1996; 114: 165.

14. Theodossiadis G, Ladas I, Panagiotodos D, Kollia A, Voudouri A, Theodossiadis P. Fluorescein and indocyanine green angiographic findings in congenital optic disk pit associated with macular detachment. Retina. 1999; 19: 6-11.

15. Sadun A, Khaderi K. Optic disc anomalies, pits, and associated serous macular detachment. In: Retina. London: Saunders/ Elsevier Inc; 2013: 1583-1588.

16. Imamura Y, Zweifel S, Fujiwara T, Freund K, Spaide R. High-resolution optical coherence tomography in optic pit maculopathy. Retina. 2010; 30: 1104-1112.

17. Reed D. Congenital pits of the optic nerve. Clinical Eye and Vision Care. 1999; 11: 75-80.

18. Lincoff H, Kreissig I. Optical coherence tomography of pneumatic displacement of optic disc pit maculopathy. Br J Ophthalmol. 1998; 82: 367-372.

Yang V, Bhuta S, Kirpalani A (2020) Optic Nerve Cyst Associated with Optic Disc Pit in a Child with Multi-Cystic Kidney. JSM Clin Case Rep 8(2): 1179.

Received : 16 Aug 2020
Accepted : 08 Sep 2020
Published : 09 Sep 2020
Journals
Annals of Otolaryngology and Rhinology
ISSN : 2379-948X
Launched : 2014
JSM Schizophrenia
Launched : 2016
Journal of Nausea
Launched : 2020
JSM Internal Medicine
Launched : 2016
JSM Hepatitis
Launched : 2016
JSM Oro Facial Surgeries
ISSN : 2578-3211
Launched : 2016
Journal of Human Nutrition and Food Science
ISSN : 2333-6706
Launched : 2013
JSM Regenerative Medicine and Bioengineering
ISSN : 2379-0490
Launched : 2013
JSM Spine
ISSN : 2578-3181
Launched : 2016
Archives of Palliative Care
ISSN : 2573-1165
Launched : 2016
JSM Nutritional Disorders
ISSN : 2578-3203
Launched : 2017
Annals of Neurodegenerative Disorders
ISSN : 2476-2032
Launched : 2016
Journal of Fever
ISSN : 2641-7782
Launched : 2017
JSM Bone Marrow Research
ISSN : 2578-3351
Launched : 2016
JSM Mathematics and Statistics
ISSN : 2578-3173
Launched : 2014
Journal of Autoimmunity and Research
ISSN : 2573-1173
Launched : 2014
JSM Arthritis
ISSN : 2475-9155
Launched : 2016
JSM Head and Neck Cancer-Cases and Reviews
ISSN : 2573-1610
Launched : 2016
JSM General Surgery Cases and Images
ISSN : 2573-1564
Launched : 2016
JSM Anatomy and Physiology
ISSN : 2573-1262
Launched : 2016
JSM Dental Surgery
ISSN : 2573-1548
Launched : 2016
Annals of Emergency Surgery
ISSN : 2573-1017
Launched : 2016
Annals of Mens Health and Wellness
ISSN : 2641-7707
Launched : 2017
Journal of Preventive Medicine and Health Care
ISSN : 2576-0084
Launched : 2018
Journal of Chronic Diseases and Management
ISSN : 2573-1300
Launched : 2016
Annals of Vaccines and Immunization
ISSN : 2378-9379
Launched : 2014
JSM Heart Surgery Cases and Images
ISSN : 2578-3157
Launched : 2016
Annals of Reproductive Medicine and Treatment
ISSN : 2573-1092
Launched : 2016
JSM Brain Science
ISSN : 2573-1289
Launched : 2016
JSM Biomarkers
ISSN : 2578-3815
Launched : 2014
JSM Biology
ISSN : 2475-9392
Launched : 2016
Archives of Stem Cell and Research
ISSN : 2578-3580
Launched : 2014
Annals of Clinical and Medical Microbiology
ISSN : 2578-3629
Launched : 2014
JSM Pediatric Surgery
ISSN : 2578-3149
Launched : 2017
Journal of Memory Disorder and Rehabilitation
ISSN : 2578-319X
Launched : 2016
JSM Tropical Medicine and Research
ISSN : 2578-3165
Launched : 2016
JSM Head and Face Medicine
ISSN : 2578-3793
Launched : 2016
JSM Cardiothoracic Surgery
ISSN : 2573-1297
Launched : 2016
JSM Bone and Joint Diseases
ISSN : 2578-3351
Launched : 2017
JSM Bioavailability and Bioequivalence
ISSN : 2641-7812
Launched : 2017
JSM Atherosclerosis
ISSN : 2573-1270
Launched : 2016
Journal of Genitourinary Disorders
ISSN : 2641-7790
Launched : 2017
Journal of Fractures and Sprains
ISSN : 2578-3831
Launched : 2016
Journal of Autism and Epilepsy
ISSN : 2641-7774
Launched : 2016
Annals of Marine Biology and Research
ISSN : 2573-105X
Launched : 2014
JSM Health Education & Primary Health Care
ISSN : 2578-3777
Launched : 2016
JSM Communication Disorders
ISSN : 2578-3807
Launched : 2016
Annals of Musculoskeletal Disorders
ISSN : 2578-3599
Launched : 2016
Annals of Virology and Research
ISSN : 2573-1122
Launched : 2014
JSM Renal Medicine
ISSN : 2573-1637
Launched : 2016
Journal of Muscle Health
ISSN : 2578-3823
Launched : 2016
JSM Genetics and Genomics
ISSN : 2334-1823
Launched : 2013
JSM Anxiety and Depression
ISSN : 2475-9139
Launched : 2016
Clinical Journal of Heart Diseases
ISSN : 2641-7766
Launched : 2016
Annals of Medicinal Chemistry and Research
ISSN : 2378-9336
Launched : 2014
JSM Pain and Management
ISSN : 2578-3378
Launched : 2016
JSM Women's Health
ISSN : 2578-3696
Launched : 2016
Clinical Research in HIV or AIDS
ISSN : 2374-0094
Launched : 2013
Journal of Endocrinology, Diabetes and Obesity
ISSN : 2333-6692
Launched : 2013
Journal of Substance Abuse and Alcoholism
ISSN : 2373-9363
Launched : 2013
JSM Neurosurgery and Spine
ISSN : 2373-9479
Launched : 2013
Journal of Liver and Clinical Research
ISSN : 2379-0830
Launched : 2014
Journal of Drug Design and Research
ISSN : 2379-089X
Launched : 2014
JSM Clinical Oncology and Research
ISSN : 2373-938X
Launched : 2013
JSM Bioinformatics, Genomics and Proteomics
ISSN : 2576-1102
Launched : 2014
JSM Chemistry
ISSN : 2334-1831
Launched : 2013
Journal of Trauma and Care
ISSN : 2573-1246
Launched : 2014
JSM Surgical Oncology and Research
ISSN : 2578-3688
Launched : 2016
Annals of Food Processing and Preservation
ISSN : 2573-1033
Launched : 2016
Journal of Radiology and Radiation Therapy
ISSN : 2333-7095
Launched : 2013
JSM Physical Medicine and Rehabilitation
ISSN : 2578-3572
Launched : 2016
Annals of Clinical Pathology
ISSN : 2373-9282
Launched : 2013
Annals of Cardiovascular Diseases
ISSN : 2641-7731
Launched : 2016
Journal of Behavior
ISSN : 2576-0076
Launched : 2016
Annals of Clinical and Experimental Metabolism
ISSN : 2572-2492
Launched : 2016
Clinical Research in Infectious Diseases
ISSN : 2379-0636
Launched : 2013
JSM Microbiology
ISSN : 2333-6455
Launched : 2013
Journal of Urology and Research
ISSN : 2379-951X
Launched : 2014
Journal of Family Medicine and Community Health
ISSN : 2379-0547
Launched : 2013
Annals of Pregnancy and Care
ISSN : 2578-336X
Launched : 2017
JSM Cell and Developmental Biology
ISSN : 2379-061X
Launched : 2013
Annals of Aquaculture and Research
ISSN : 2379-0881
Launched : 2014
Clinical Research in Pulmonology
ISSN : 2333-6625
Launched : 2013
Journal of Immunology and Clinical Research
ISSN : 2333-6714
Launched : 2013
Annals of Forensic Research and Analysis
ISSN : 2378-9476
Launched : 2014
JSM Biochemistry and Molecular Biology
ISSN : 2333-7109
Launched : 2013
Annals of Breast Cancer Research
ISSN : 2641-7685
Launched : 2016
Annals of Gerontology and Geriatric Research
ISSN : 2378-9409
Launched : 2014
Journal of Sleep Medicine and Disorders
ISSN : 2379-0822
Launched : 2014
JSM Burns and Trauma
ISSN : 2475-9406
Launched : 2016
Chemical Engineering and Process Techniques
ISSN : 2333-6633
Launched : 2013
Annals of Clinical Cytology and Pathology
ISSN : 2475-9430
Launched : 2014
JSM Allergy and Asthma
ISSN : 2573-1254
Launched : 2016
Journal of Neurological Disorders and Stroke
ISSN : 2334-2307
Launched : 2013
Annals of Sports Medicine and Research
ISSN : 2379-0571
Launched : 2014
JSM Sexual Medicine
ISSN : 2578-3718
Launched : 2016
Annals of Vascular Medicine and Research
ISSN : 2378-9344
Launched : 2014
JSM Biotechnology and Biomedical Engineering
ISSN : 2333-7117
Launched : 2013
Journal of Hematology and Transfusion
ISSN : 2333-6684
Launched : 2013
JSM Environmental Science and Ecology
ISSN : 2333-7141
Launched : 2013
Journal of Cardiology and Clinical Research
ISSN : 2333-6676
Launched : 2013
JSM Nanotechnology and Nanomedicine
ISSN : 2334-1815
Launched : 2013
Journal of Ear, Nose and Throat Disorders
ISSN : 2475-9473
Launched : 2016
JSM Ophthalmology
ISSN : 2333-6447
Launched : 2013
Journal of Pharmacology and Clinical Toxicology
ISSN : 2333-7079
Launched : 2013
Annals of Psychiatry and Mental Health
ISSN : 2374-0124
Launched : 2013
Medical Journal of Obstetrics and Gynecology
ISSN : 2333-6439
Launched : 2013
Annals of Pediatrics and Child Health
ISSN : 2373-9312
Launched : 2013
JSM Clinical Pharmaceutics
ISSN : 2379-9498
Launched : 2014
JSM Foot and Ankle
ISSN : 2475-9112
Launched : 2016
JSM Alzheimer's Disease and Related Dementia
ISSN : 2378-9565
Launched : 2014
Journal of Addiction Medicine and Therapy
ISSN : 2333-665X
Launched : 2013
Journal of Veterinary Medicine and Research
ISSN : 2378-931X
Launched : 2013
Annals of Public Health and Research
ISSN : 2378-9328
Launched : 2014
Annals of Orthopedics and Rheumatology
ISSN : 2373-9290
Launched : 2013
Journal of Clinical Nephrology and Research
ISSN : 2379-0652
Launched : 2014
Annals of Community Medicine and Practice
ISSN : 2475-9465
Launched : 2014
Annals of Biometrics and Biostatistics
ISSN : 2374-0116
Launched : 2013
Journal of Cancer Biology and Research
ISSN : 2373-9436
Launched : 2013
Journal of Surgery and Transplantation Science
ISSN : 2379-0911
Launched : 2013
Journal of Dermatology and Clinical Research
ISSN : 2373-9371
Launched : 2013
JSM Gastroenterology and Hepatology
ISSN : 2373-9487
Launched : 2013
Annals of Nursing and Practice
ISSN : 2379-9501
Launched : 2014
JSM Dentistry
ISSN : 2333-7133
Launched : 2013
Author Information X