Paraesophageal Hernia as a Cause of Pulmonary Embolism
- 1. Department of Anesthesiology, Dupuytren University Hospital, France
- 2. Department of Emergency, Dupuytren University Hospital, France
- 3. Department of Surgery, Dubois Hospital, France
- 4. Medical-surgical Intensive Care, Dubois Hospital, France
Citation
Nallatamby A, Tronche J, Abdeh A, Pichon N (2018) Paraesophageal Hernia as a Cause of Pulmonary Embolism. JSM Clin Case Rep 6(5): 1163.
CASE REPORT
76 years-old woman, with a medical history of thyroidectomy and no significant medical history of thromboembolic disease, presented to emergency department with severe dyspnea and chest pain. Her respiratory rate was 38 breaths/min, blood pressure was 65/44mmHgand pulse rate was 118 beats/min. Chest X-Ray showed a mediastinum enlarged with a paracardiac lucency indicative of air-filled hiatal hernia (Figure 1a).
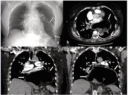
Figure 1 a) Admission chest X-Ray showing a mediastinum enlarged with a para-cardiac lucency indicative of air-filled hiatal hernia (arrows).
b,c,d) CT chest showing dilated right heart cavities, a large paraesophageal hernia into the thoracic cavity with complete herniation of the stomach (arrows) compressing the heart and blood vessels and defects suggestive of blood clots in the right and left branches of the pulmonary arteries (stippled arrows).
The computed tomographic scan of the chest revealed a large paraesophageal hernia with mass effect on the heart and pulmonary arteries and bilateral proximal pulmonary thrombi (Figure 1 b,c,d). The patient was treated with thrombolytic therapy and heparin. Venous ultrasonography showed no deep venous system thrombosis. The work-ups looking for neoplasia and for thrombophilia, turned out for inherited hypercoagulable disorders, were negative. A laparoscopic approach with reduction of the hernia contents into the abdominal cavity, diaphragmatic hernia repair and To upset fundoplication was performed 3 weeks after thrombolysis. Postoperative recovery was uneventful.
A paraesophageal hernia is an uncommon type of hiatal hernia with a peritoneal layer that forms a sac into the mediastinum where gastric fundus and abdominal viscera protrude. Three broad categories of factors are thought to contribute to thrombosis (stasis, hypercoagulability and endothelial injury). The high pressure and mass effect on the blood vessels due to the large paraesophageal hernia, noted in the thoracic cavity, can lead to stasis and thrombus formation in the pulmonary artery system [1,2]. To our knowledge this is the first reported case of massive pulmonary artery embolism associated with paraesophageal hernia
