Loading

JSM Clinical Case Reports

Pott

Case Report | Open Access | Volume 11 | Issue 3

  • 1. ENT Head & Neck & Maxillofacial surgery Department, Hassan II University Hospital, Morocco
+ Show More - Show Less
Corresponding Authors
Arioua Abdelilah, ENT Head & Neck & Maxillofacial Surgery Department, Hassan II University Hospital, Fez, Morocco
Abstract

Background: Pott’s Puffy Tumor is one of the most dangerous complications of frontal sinusitis. It’s a manifestation of frontal bone osteomyelitis associated to subperiosteal abscess. It is now a rare pathology thanks to advances in antibiotic treatment of sinusitis. The diagnosis of Pott’s puffy tumor may be challenging and might be confused with a tumor, isolated abcess or hematoma. Although this condition is frequently observed in children, rare cases in adults have been described. Early diagnosis and treatment of this condition are essential for optimal outcomes.

Case Presentation: A 14-year-old male patient was admitted to the emergency department with an inflammatory frontal swelling, combined with headaches, purulent nasal discharge, and fever. CT scan revealed a collection in the anterior frontal soft tissues complicating an active pansinusitis with anterior and posterior frontal sinus walls defect. The patient underwent percutaneous drainage of the abscess under general anesthesia and was successfully treated by intravenous antibiotics. Postoperative course was uneventful. We reviewed published cases of Pott’s puffy tumor in adolescents and discussed the particularities of this condition.

Conclusion: Pott’s Puffy tumor, although very rare, can evolve into intracranial extension which can be fatal. It requires early diagnosis and treatment based on appropriate antibiotic therapy and surgical approach.

Keywords

Frontal sinusitis, Abscess, Osteomyelitis, Pott’s puffy tumor

CITATION

Abdelilah A, Snikah J, Ouattassi N, Kamal D, Oudidi A, et al. (2023) Pott’s Puffy Tumor: A Case Report. JSM Clin Case Rep 11(3): 1222.

BACKGROUND

Pott’s Puffy Tumor is a rare and serious condition that arises as a complication of frontal sinusitis. It is characterized by a subperiosteal abscess and osteomyelitis of the frontal bone [1]. It is often observed in children and adolescents, although it can also affect less frequently adults [2]. The diagnostic workup should include a contrast-enhanced CT scan with brain and bony sequences to reveal potential complications. The treatment for Pott’s puffy tumor involves both medical and surgical approaches. The best surgical procedure is controversial. Although miniinvasive procedure such as percutaneous emergency drainage of the abscess seems effective as a first step. More comprehensive delayed functional endoscopic sinus surgery (FESS) can be performed afterwards for safety considerations.       

CASE PRESENTATION

A 14-year-old adolescent with no particular medical history, was admitted to the emergency department with a painful frontal swelling that had been progressing for three weeks [Figure 1,2].

Clinical presentation: Inflammatory frontal swelling.

Figure 1: Clinical presentation: Inflammatory frontal swelling.

Clinical presentation: Inflammatory frontal swelling.

Figure 2: Clinical presentation: Inflammatory frontal swelling.

The patient reported frontal headaches, fever and a purulent nasal discharge.

Physical examination revealed a renitent inflammatory mass of the frontal region; fever (39°); a cardiac pulse of 100 per min; and a blood pressure of 110/60 mmHg. Clinical examination of the cranial nerves, visual field, and acuity were normal.

Routine blood tests showed hyperleukocytosis with 75% neutrophils, and an increased CRP value. Kidney function and coagulation test were normal.

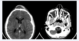
A contrast-enhanced CT scan was performed, and revealed the presence of an enhanced collection in the anterior frontal soft tissues, with a large defect in both anterior and posterior walls of the frontal sinus; complicating an active sinusitis but no abnormalities in the brain parenchyma [Figure 3,4].

Pan-sinusitis with frontal abscess.

Figure 3: Pan-sinusitis with frontal abscess.

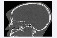
CT scan in sagittal section: Defect of anterior and posterior walls of the frontal sinus with abscess.

Figure 4: CT scan in sagittal section: Defect of anterior and posterior walls of the frontal sinus with abscess.

During the patient’s hospital care, he presented a brief episode of dysarthria along with a partial seizure. The occurrence of these neurologic signs prompted the decision to perform a new CT scan with a lumbar puncture. The new computed tomography scan showed stability of the initially described lesions, but with the appearance of a focal meningeal irritation near to the posterior wall of the frontal sinus. The lumbar puncture was sterile. An evaluation of patient’s immune status was performed; including normal blood glucose levels and negative viral serologies.

The treatment consisted of surgical drainage of the frontal collection; under General Anesthesia through a frontal approach [Figure 5].

Surgical drainage through a frontal mini-incision.

Figure 5: Surgical drainage through a frontal mini-incision.

Bacteriological examination is systematically performed before irrigation with providence-iodine serum, and placement of providence-iodine-soaked gauze wicks within the abscess cavity [Figure 6].

Surgical drainage through a frontal mini-incision.

Figure 6: Surgical drainage through a frontal mini-incision.

The patient received also intravenous ceftriaxone at intrathecal dose: 100mg/kg daily; with 40mg/kg daily metronidazole for two weeks; and 5mg/kg daily gentamicin for five days. Bacteriological result identified the presence of Group F streptococcus. The postoperative course was uneventful. Fever, edema and swelling resolved and the patient was free of symptoms at 2 months follow-up.

The patient underwent a nasofibroscopy after 2 months. It revealed an inflamed nasal mucosa with secretions observed in the middle meatus, requiring initial medical preparation with antibiotics, local corticosteroids, and recurrent nasal saline washes.

The child will be readmitted to the service within 6 months after the infection; for a functional endoscopic sinus surgery Type Draff 2b. This procedure will enlarge the frontal recess, including the milling of the sinus floor, remaining limited laterally to the lamina papyracea. This surgical management allows a complete resolution of sinus blockage improves sinus drainage and thereby prevents infectious complications.

DISCUSSION

Potts puffy tumor (PPT) was first described by Percivall Pott in 1768 as a subperiosteal abscess due to cranial trauma. This pathology predominantly affects children and adolescents [5]. It is less common in adults, with a clear male predominance [3]. The main causes are acute and chronic sinusitis, as well as cranial trauma. Intracranial complications are secondary due to frontal osteomyelitis and can manifest primarily as a frontal abscess, subdural or epidural empyema [5].

The most commonly found bacteria are Streptococcus, Staphylococcus, and anaerobes [4,6]. This can be explained by the reduced oxygen concentration in the frontal sinus [6]. Cultures often reveal a polymicrobial flora [6]. In our case, the presence of Group F streptococcus was identified.

Pott’s puffy tumor can manifest clinically with headaches, orbital or frontal swelling, cutaneous fistulas, altered consciousness, or cranial nerve involvement. Fever may be absent [7]. In our case, the patient presented with headaches, frontal swelling, dysarthria, and partial seizures as a neurological complication.

Diagnosis is confirmed by contrast-enhanced CT scan, while MRI allows for better characterization of the intracranial extension [7]. In our case, an urgent craniofacial contrastenhanced CT scan was performed, revealing the presence of a collection in the anterior medial frontal soft tissues that enhanced peripherally after contrast injection. Additionally, a defect in the anterior and posterior walls of the frontal sinus was identified, complicating an active acute pan sinusitis without clear delineation of a cerebral complication.

Antibiotic therapy should be continued for at least 4 to 6 weeks to prevent recurrence of osteomyelitis [6]. In our case, the treatment was extended for an additional 3 weeks at home with antibiotics after discharge. The treatment for Pott’s puffy tumor involves both medical and surgical approaches. The best surgical procedure is controversial. Although mini-invasive procedure such as percutaneous emergency drainage of the abscess seems effective as a first step. More comprehensive delayed functional endoscopic sinus surgery (FESS) can be performed afterwards for safety considerations. Our patient showed clinical improvement, which can be attributed to the early diagnostic and both medical and surgery therapeutic management.

CONCLUSION

Pott’s puffy tumor is a rare complication of sinusitis; however, delayed diagnosis can be life-threatening. PPT should be suspected in any patient with frontal swelling in the context of sinusitis. Urgent imaging is mandatory, and initiation of antibiotics combined with surgical drainage is required to improve morbidity and mortality.

Abdelilah A, Snikah J, Ouattassi N, Kamal D, Oudidi A, et al. (2023) Pott’s Puffy Tumor: A Case Report. JSM Clin Case Rep 11(3): 1222.

Received : 10 Sep 2023
Accepted : 30 Sep 2023
Published : 30 Sep 2023
Journals
Annals of Otolaryngology and Rhinology
ISSN : 2379-948X
Launched : 2014
JSM Schizophrenia
Launched : 2016
Journal of Nausea
Launched : 2020
JSM Internal Medicine
Launched : 2016
JSM Hepatitis
Launched : 2016
JSM Oro Facial Surgeries
ISSN : 2578-3211
Launched : 2016
Journal of Human Nutrition and Food Science
ISSN : 2333-6706
Launched : 2013
JSM Regenerative Medicine and Bioengineering
ISSN : 2379-0490
Launched : 2013
JSM Spine
ISSN : 2578-3181
Launched : 2016
Archives of Palliative Care
ISSN : 2573-1165
Launched : 2016
JSM Nutritional Disorders
ISSN : 2578-3203
Launched : 2017
Annals of Neurodegenerative Disorders
ISSN : 2476-2032
Launched : 2016
Journal of Fever
ISSN : 2641-7782
Launched : 2017
JSM Bone Marrow Research
ISSN : 2578-3351
Launched : 2016
JSM Mathematics and Statistics
ISSN : 2578-3173
Launched : 2014
Journal of Autoimmunity and Research
ISSN : 2573-1173
Launched : 2014
JSM Arthritis
ISSN : 2475-9155
Launched : 2016
JSM Head and Neck Cancer-Cases and Reviews
ISSN : 2573-1610
Launched : 2016
JSM General Surgery Cases and Images
ISSN : 2573-1564
Launched : 2016
JSM Anatomy and Physiology
ISSN : 2573-1262
Launched : 2016
JSM Dental Surgery
ISSN : 2573-1548
Launched : 2016
Annals of Emergency Surgery
ISSN : 2573-1017
Launched : 2016
Annals of Mens Health and Wellness
ISSN : 2641-7707
Launched : 2017
Journal of Preventive Medicine and Health Care
ISSN : 2576-0084
Launched : 2018
Journal of Chronic Diseases and Management
ISSN : 2573-1300
Launched : 2016
Annals of Vaccines and Immunization
ISSN : 2378-9379
Launched : 2014
JSM Heart Surgery Cases and Images
ISSN : 2578-3157
Launched : 2016
Annals of Reproductive Medicine and Treatment
ISSN : 2573-1092
Launched : 2016
JSM Brain Science
ISSN : 2573-1289
Launched : 2016
JSM Biomarkers
ISSN : 2578-3815
Launched : 2014
JSM Biology
ISSN : 2475-9392
Launched : 2016
Archives of Stem Cell and Research
ISSN : 2578-3580
Launched : 2014
Annals of Clinical and Medical Microbiology
ISSN : 2578-3629
Launched : 2014
JSM Pediatric Surgery
ISSN : 2578-3149
Launched : 2017
Journal of Memory Disorder and Rehabilitation
ISSN : 2578-319X
Launched : 2016
JSM Tropical Medicine and Research
ISSN : 2578-3165
Launched : 2016
JSM Head and Face Medicine
ISSN : 2578-3793
Launched : 2016
JSM Cardiothoracic Surgery
ISSN : 2573-1297
Launched : 2016
JSM Bone and Joint Diseases
ISSN : 2578-3351
Launched : 2017
JSM Bioavailability and Bioequivalence
ISSN : 2641-7812
Launched : 2017
JSM Atherosclerosis
ISSN : 2573-1270
Launched : 2016
Journal of Genitourinary Disorders
ISSN : 2641-7790
Launched : 2017
Journal of Fractures and Sprains
ISSN : 2578-3831
Launched : 2016
Journal of Autism and Epilepsy
ISSN : 2641-7774
Launched : 2016
Annals of Marine Biology and Research
ISSN : 2573-105X
Launched : 2014
JSM Health Education & Primary Health Care
ISSN : 2578-3777
Launched : 2016
JSM Communication Disorders
ISSN : 2578-3807
Launched : 2016
Annals of Musculoskeletal Disorders
ISSN : 2578-3599
Launched : 2016
Annals of Virology and Research
ISSN : 2573-1122
Launched : 2014
JSM Renal Medicine
ISSN : 2573-1637
Launched : 2016
Journal of Muscle Health
ISSN : 2578-3823
Launched : 2016
JSM Genetics and Genomics
ISSN : 2334-1823
Launched : 2013
JSM Anxiety and Depression
ISSN : 2475-9139
Launched : 2016
Clinical Journal of Heart Diseases
ISSN : 2641-7766
Launched : 2016
Annals of Medicinal Chemistry and Research
ISSN : 2378-9336
Launched : 2014
JSM Pain and Management
ISSN : 2578-3378
Launched : 2016
JSM Women's Health
ISSN : 2578-3696
Launched : 2016
Clinical Research in HIV or AIDS
ISSN : 2374-0094
Launched : 2013
Journal of Endocrinology, Diabetes and Obesity
ISSN : 2333-6692
Launched : 2013
Journal of Substance Abuse and Alcoholism
ISSN : 2373-9363
Launched : 2013
JSM Neurosurgery and Spine
ISSN : 2373-9479
Launched : 2013
Journal of Liver and Clinical Research
ISSN : 2379-0830
Launched : 2014
Journal of Drug Design and Research
ISSN : 2379-089X
Launched : 2014
JSM Clinical Oncology and Research
ISSN : 2373-938X
Launched : 2013
JSM Bioinformatics, Genomics and Proteomics
ISSN : 2576-1102
Launched : 2014
JSM Chemistry
ISSN : 2334-1831
Launched : 2013
Journal of Trauma and Care
ISSN : 2573-1246
Launched : 2014
JSM Surgical Oncology and Research
ISSN : 2578-3688
Launched : 2016
Annals of Food Processing and Preservation
ISSN : 2573-1033
Launched : 2016
Journal of Radiology and Radiation Therapy
ISSN : 2333-7095
Launched : 2013
JSM Physical Medicine and Rehabilitation
ISSN : 2578-3572
Launched : 2016
Annals of Clinical Pathology
ISSN : 2373-9282
Launched : 2013
Annals of Cardiovascular Diseases
ISSN : 2641-7731
Launched : 2016
Journal of Behavior
ISSN : 2576-0076
Launched : 2016
Annals of Clinical and Experimental Metabolism
ISSN : 2572-2492
Launched : 2016
Clinical Research in Infectious Diseases
ISSN : 2379-0636
Launched : 2013
JSM Microbiology
ISSN : 2333-6455
Launched : 2013
Journal of Urology and Research
ISSN : 2379-951X
Launched : 2014
Journal of Family Medicine and Community Health
ISSN : 2379-0547
Launched : 2013
Annals of Pregnancy and Care
ISSN : 2578-336X
Launched : 2017
JSM Cell and Developmental Biology
ISSN : 2379-061X
Launched : 2013
Annals of Aquaculture and Research
ISSN : 2379-0881
Launched : 2014
Clinical Research in Pulmonology
ISSN : 2333-6625
Launched : 2013
Journal of Immunology and Clinical Research
ISSN : 2333-6714
Launched : 2013
Annals of Forensic Research and Analysis
ISSN : 2378-9476
Launched : 2014
JSM Biochemistry and Molecular Biology
ISSN : 2333-7109
Launched : 2013
Annals of Breast Cancer Research
ISSN : 2641-7685
Launched : 2016
Annals of Gerontology and Geriatric Research
ISSN : 2378-9409
Launched : 2014
Journal of Sleep Medicine and Disorders
ISSN : 2379-0822
Launched : 2014
JSM Burns and Trauma
ISSN : 2475-9406
Launched : 2016
Chemical Engineering and Process Techniques
ISSN : 2333-6633
Launched : 2013
Annals of Clinical Cytology and Pathology
ISSN : 2475-9430
Launched : 2014
JSM Allergy and Asthma
ISSN : 2573-1254
Launched : 2016
Journal of Neurological Disorders and Stroke
ISSN : 2334-2307
Launched : 2013
Annals of Sports Medicine and Research
ISSN : 2379-0571
Launched : 2014
JSM Sexual Medicine
ISSN : 2578-3718
Launched : 2016
Annals of Vascular Medicine and Research
ISSN : 2378-9344
Launched : 2014
JSM Biotechnology and Biomedical Engineering
ISSN : 2333-7117
Launched : 2013
Journal of Hematology and Transfusion
ISSN : 2333-6684
Launched : 2013
JSM Environmental Science and Ecology
ISSN : 2333-7141
Launched : 2013
Journal of Cardiology and Clinical Research
ISSN : 2333-6676
Launched : 2013
JSM Nanotechnology and Nanomedicine
ISSN : 2334-1815
Launched : 2013
Journal of Ear, Nose and Throat Disorders
ISSN : 2475-9473
Launched : 2016
JSM Ophthalmology
ISSN : 2333-6447
Launched : 2013
Journal of Pharmacology and Clinical Toxicology
ISSN : 2333-7079
Launched : 2013
Annals of Psychiatry and Mental Health
ISSN : 2374-0124
Launched : 2013
Medical Journal of Obstetrics and Gynecology
ISSN : 2333-6439
Launched : 2013
Annals of Pediatrics and Child Health
ISSN : 2373-9312
Launched : 2013
JSM Clinical Pharmaceutics
ISSN : 2379-9498
Launched : 2014
JSM Foot and Ankle
ISSN : 2475-9112
Launched : 2016
JSM Alzheimer's Disease and Related Dementia
ISSN : 2378-9565
Launched : 2014
Journal of Addiction Medicine and Therapy
ISSN : 2333-665X
Launched : 2013
Journal of Veterinary Medicine and Research
ISSN : 2378-931X
Launched : 2013
Annals of Public Health and Research
ISSN : 2378-9328
Launched : 2014
Annals of Orthopedics and Rheumatology
ISSN : 2373-9290
Launched : 2013
Journal of Clinical Nephrology and Research
ISSN : 2379-0652
Launched : 2014
Annals of Community Medicine and Practice
ISSN : 2475-9465
Launched : 2014
Annals of Biometrics and Biostatistics
ISSN : 2374-0116
Launched : 2013
Journal of Cancer Biology and Research
ISSN : 2373-9436
Launched : 2013
Journal of Surgery and Transplantation Science
ISSN : 2379-0911
Launched : 2013
Journal of Dermatology and Clinical Research
ISSN : 2373-9371
Launched : 2013
JSM Gastroenterology and Hepatology
ISSN : 2373-9487
Launched : 2013
Annals of Nursing and Practice
ISSN : 2379-9501
Launched : 2014
JSM Dentistry
ISSN : 2333-7133
Launched : 2013
Author Information X