Solitary Amyloidoma of Soft Tissue: A Report of an Unusual Presentation with Review of Literature
- 1. Department of Pathology, American University of the Caribbean, USA
Abstract
Amyloidoma is a rare presentation of tissue amyloid deposition usually seen in the respiratory, genitourinary, and gastrointestinal tracts, but has also been reported in the mediastinum, central nervous system, skin, breast, and soft tissue. In this case, a 55-year-old man presented with a 5-cm soft tissue mass in the gluteal region, suggestive of a lipoma. Eventually the mass was found to be an isolated amyloidoma associated with a localized plasmacytoma. Soft-tissue amyloidoma in the absence of systemic amyloidosis or plasma cell dyscrasia in bone marrow is uncommon, and those localized to the extremities are extremely rare.
Keywords
Amyloidoma; Primary amyloidosis; Plasmacytoma; Soft-tissue; Extremity
Citation
Busch T, Mohamad A (2018) Solitary Amyloidoma of Soft Tissue: A Report of an Unusual Presentation with Review of Literature. JSM Clin Case Rep 6(2): 1149.
ABBREVIATIONS
AL: Aamyloid Light; SEP: Solitary Extramedullary Plasmacytoma; MM: Multiple Myeloma; FLC: Immunoglobulin Free Light Chain
INTRODUCTION
Amyloidoma is a rare presentation of tissue amyloid deposition in the absence of systemic amyloidosis. Insoluble amyloid fibrils form through spontaneous oligomerization of soluble protein precursors into a cross β-pleated sheet quaternary structure; the type of precursor protein and tissue distribution determine the clinical manifestations. The mechanism of amyloidogensis is the subject of intense study for its implication of direct cytotoxicity in a myriad of human diseases accounting for significant morbidity and mortality. In vitro studies reveal a characteristic flexible molecular configuration with high surface area-tohydrophobicity index conferring propensity for binding lipid membranes [1]. We here report a case of soft-tissue amyloidoma in the lower extremity.
CASE PRESENTATION
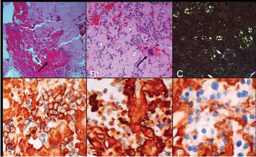
A 55-year-old man presented with a solitary nodular soft tissue mass palpable over the gluteal muscles, suggestive of a lipoma. The mass was surgically excised and the gross specimen measured 5.0 x 3.0 x 2.0 cm with a central area of softening. The original excision showed lesion cells at the surgical margin, so it was followed by re-excision with adequate safe margins. Histologically, the mass showed prominent sheet-like deposits of proteinaceous material (Figure 1A).
Figure 1 Amyloidoma in a Background of Plasmacytoma.
A. Light micrograph of excised mass demonstrating solid sheets of extracellular proteinaceous hyaline deposits, hematoxylin-eosin staining, original magnification x5
B. An inflammatory infiltrate is visible which includes syncytial cells (arrow), hematoxylin-eosin staining, and original magnification x20
C. The deposits take up Congo-Red stain with a brightly-colored appearance when analyzed under cross polarized light, original magnificationx40
D. Degenerating cell aggregates positive for surface CD-138, x40 original magnification
E. The deposits exhibit strong κ positivity, original magnification x40
F. The deposits exhibit weak λ positivity, 80X original magnificationx40
Lymphoplasmacytoid cells and multinucleated giant cells were present (Figure 1B). The proteinaceous material took up Congo-Red stain, which appeared brightly colored against a dark background when analyzed under cross-polarized light, indicative of amyloid (Figure 1C). Degenerated cellular aggregates are visible surrounding the amyloid, which stained positive for CD138 and monoclonal κ light chain and negative for Leukocyte Common Antigen (LCA), CD20, and λ light chain (Figure 1D,E,F). Serum protein electrophoresis was positive for monoclonal κlight chain. Bone marrow immunohistochemistry for clonal plasma cells was unremarkable. The mass was diagnosed as amyloidoma associated with localized solitary extramedullary plasmacytoma (SEP).
DISCUSSION
The case presented here highlights the importance of differentiating whether soft-tissue amyloidoma of the extremity represents primary or secondary amyloid and whether it was produced locally or systemically. An accurate diagnosis of SEP can guide deferral of systemic chemotherapy until definitive evidence of disseminated disease is discovered, thus minimizing patient harm.
The most common cause of amyloidoma is systemic amyloidosis associated with malignancy, chronic inflammation, genetic factors, and iatrogenic insults. In developed countries, Primary Amyloidosis (AL) is the most common type of systemic amyloidosis, is associated with plasma cell neoplasm, and has a median survival of just over three years [2]. Amyloid is demonstrated on microscopy by Congo-Red positivity and colored birefringence when analyzed under cross-polarized light. Immunoglobulin free light chains (FLC) are the precursors to AL amyloid fibrils; total body burden of monoclonal FLC from plasma cell dyscrasia correlates with spectrum of organ involvement and survival [3]. Complete workup for AL amyloidosis in warranted in all cases of biopsy-documented amyloidoma without family history of amyloidosis, infectious or chronic inflammatory conditions, or end-stage renal disease. The differential diagnosis includes solitary extra medullary plasmacytoma (SEP), solitary plasmacytoma of bone, or multiple myeloma (MM), which are cytologically equivalent but variable in prognosis. Surgical exploration with complete excision can be curative for SEP, but the standard treatment modality when there is bone involvement, high-dose anti-plasma cell chemotherapy with adjunctive autologous stem-cell transplantation, is associated with significant early mortality [2-4]. SEPs account for approximately 3 percent of plasma cell malignancies [5]. It is important to note the tendency of SEP to recur or evolve into disseminated disease if incompletely resected, which illustrates the importance of accurate diagnosis, prompt treatment, and close follow-up for optimizing patient outcomes [6-7].
To our knowledge, thirty-six cases of soft-tissue amyloidoma localized to the extremities have been previously described in the English language (Table 1).
Table 1: Reports of soft-tissue amyloidoma in the extremities, listed chronologically
|
Table 1: Reports of soft-tissue amyloidoma in the extremities, listed chronologically |
|||||
|
Case |
Authors |
Age/Sex |
Mass location |
Amyloid type |
Medical history |
|
1 |
Lipper and Kahn [22] |
57/F |
Groin |
NS |
NS |
|
2 |
Wilson and Rich [23] |
72/F |
Thigh |
NS |
Breast carcinoma |
|
3 |
Reese et al.[10]. |
50/M |
Popliteal fossa bilaterally |
B2-microglobulin |
CRF with dialysis. CTS |
|
4 |
Floege et al.[12]. |
62/M |
Gluteal region |
B2-microglobulin |
Dialysis. tuberculosis. CTS. THA. tenosynovitis |
|
5 |
Sethi et al.[11]. |
48/M |
Gluteal region |
B2-microglobulin |
Dialysis. polyarthropathy. CTS. macroglossia |
|
6 |
Tom et al.[8]. |
47/F |
Gluteal region bilaterally |
B2-microglobulin |
Dialysis. femoral neck fracture |
|
7 |
Comensa et al.[14]. |
49/F |
Multifocal shoulder. hip. hand |
NS. probable AL |
Multiple Myeloma |
|
8 |
Vadmal et al.[24]. |
72/F |
Distal leg |
AA |
Primary biliary cirrhosis. non-Hodgkin lymphoma |
|
9 |
Sidoni et al.[25]. |
61/F |
Multifocal leg |
AA |
Various autoimmune disorders |
|
10 |
Flores et al.[15]. |
36/F |
Popliteal fossa |
AL |
Mental retardation |
|
11 |
Romagnoli et al. [26]. |
66/F |
Leg |
AA |
Diabetes. HTN |
|
12 |
Aoki et al.[9]. |
40/M |
Popliteal fossa bilaterally |
AA |
Dialysis. CTS. femoral head lesion |
|
13 |
Khoo [16] |
40/M |
Hip |
AL |
None |
|
14 |
Sahoo et al.[27]. |
54/M |
Shoulder |
NS |
Diabetes |
|
15 |
Mukhopadhyay et al.[17]. |
45/M |
Ankle |
AL |
Diabetes. multiple surgeries for traumatic ankle fractures complicated by infection |
|
16 |
Sheldon and Forrester [28] |
70/F |
Popliteal fossa |
NS |
Dialysis |
|
17 |
Bardin et al.[29]. |
77/M |
Proximal arm |
AA |
Diabetes. HTN. prolonged smoking. peripheral neuropathy. nephrolithiasis. PAD |
|
18 |
Iguchi et al.[18]. |
59/M |
Gluteal region |
AL |
Lymphoplasticdyscrasia |
|
19 |
Joung et al.[19]. |
61/M |
Multifocal inguinal region bilaterally |
AL |
Multiple Myeloma |
|
20 |
Pasternak et al.[30]. |
85/F |
Leg |
AL |
Hyperlipidemia. gastritis. diverticulosis. hypothyroidism |
|
21 |
Maheshwari [31] |
NS/NS |
Thigh |
NS |
NS |
|
22-30 |
Walsh et al.[20]. |
NS/NS |
Upper and lower extremities |
AL |
Extra-nodal lymphoma |
|
31 |
Montagna et al. [32]. |
NS/NS |
Gluteal region bilaterally |
NS |
Dialysis |
|
32 |
Beggs et al.[33]. |
69/M |
Thigh |
NS |
COPD. HTN. knee osteoarthritis |
|
33 |
Elkins et al.[34]. |
NS/M |
Multifocal calf |
NS |
NS |
|
34 |
Clark et al.[35]. |
75/F |
multifocal lower extremities bilaterally |
NS |
NS |
|
35 |
Billaro et al.[36]. |
65/F |
Ankle |
AA |
Sarcoidosis |
|
Abbreviations: NS: Not Specified. AL: Amyloid Light. AA: Amyloid Associated. CRF: Chronic Renal Failure. CTS: Carpel Tunnel Syndrome. THA: Total Hip Arthroplasty. HTN: Hypertension. PAD: Peripheral Artery Disease. COPD: Chronic Obstructive Pulmonary Disease |
|||||
Four identified B2-microglobulin amyloid associated with chronic hemodialysis [8-12]. One identified insulin-derived amyloid (Amylin) at an injection site in a long-standing diabetic [13]. Seventeen cases were confirmed AL amyloidoma; of these, two were associated with MM and eight were associated with extra-nodal lymphoma [14- 20]. Novel radioisotopes and monoclonal antibodies targeting amyloidogenic precursors and mature amyloid fibrils forecast a bright horizon of diagnostic and therapeutic advancement [1,2,21]. At present, however, clinicians need to rely on careful history-taking and biopsy for rapid assessment of potentially dangerous B-cell-derived clones to facilitate appropriate diagnosis and initiate individualized treatment.
REFERENCES
3. Kovacsovics T. [Current treatment of AL amyloidosis]. Rev Med Suisse Romande. 2000; 120: 771-775.
6. Merlini G, Stone MJ. Dangerous small B-cell clones. Blood. 2006; 108: 2520-2530.
16. Khoo JJ. Soft tissue amyloidoma. Pathol. 2002; 34: 291-293.
23. Wilson RG, Rich AJ. Solitary amyloid nodule in the leg. J R Coll Surg Edinb. 1983; 28: 65-66.
